Late Enhancement Computed Tomography for Left Atrial Fibrosis Imaging: A Pilot “Proof-of-Concept” Study
Abstract
1. Introduction
2. Material and Methods
2.1. Study Design and Population
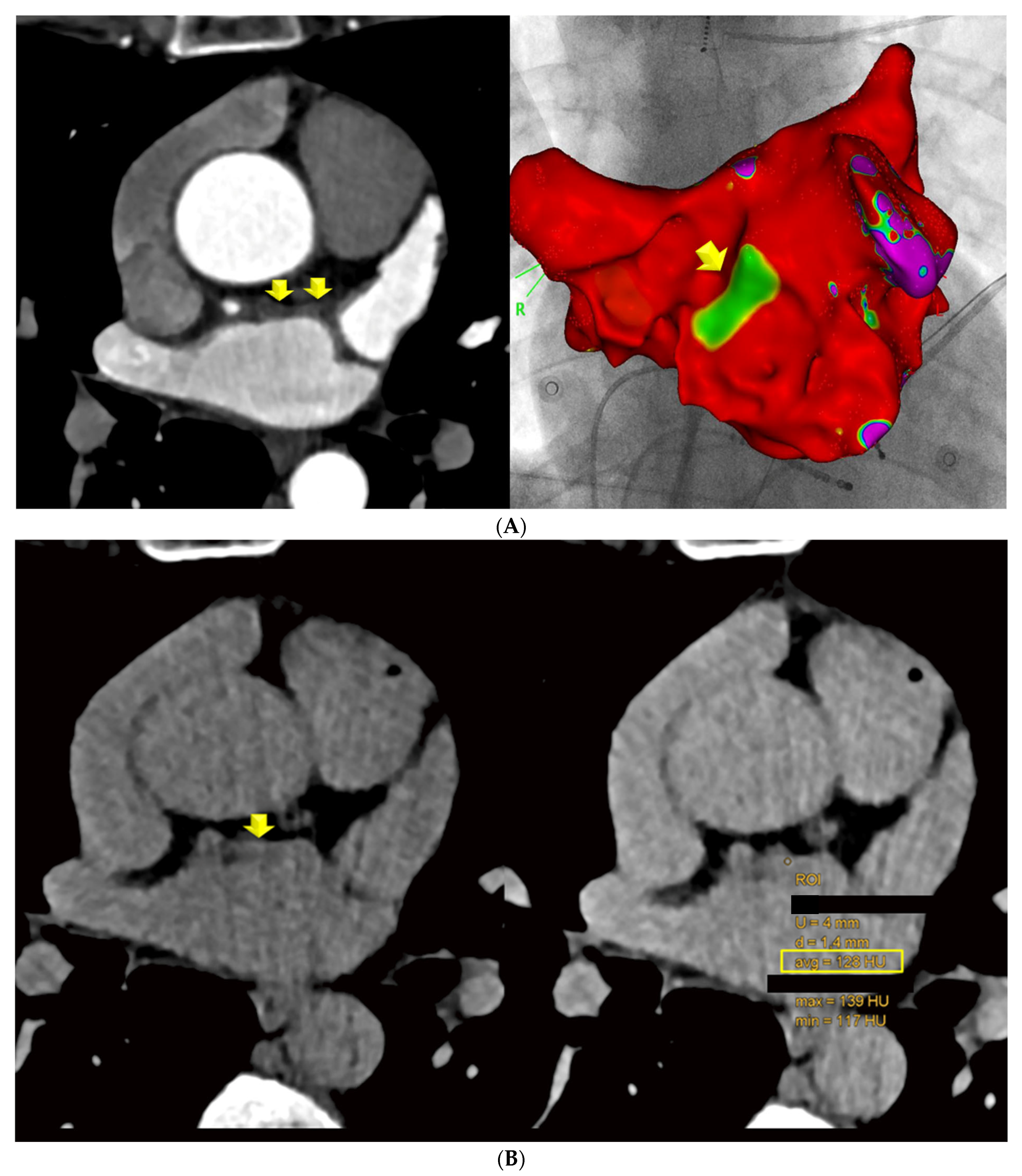
2.2. Computed Tomography (CT)
2.3. Electroanatomical Mapping and Left Atrial Catheter Ablation
2.4. Statistical Analysis
3. Results
4. Discussion
5. Conclusions
Supplementary Materials
Author Contributions
Funding
Institutional Review Board Statement
Informed Consent Statement
Data Availability Statement
Acknowledgments
Conflicts of Interest
References
- Lippi, G.; Sanchis-Gomar, F.; Cervellin, G. Global epidemiology of atrial fibrillation: An increasing epidemic and public health challenge. Int. J. Stroke 2021, 16, 217–221. [Google Scholar] [CrossRef] [PubMed]
- Tzeis, S.; Gerstenfeld, E.P.; Kalman, J.; Saad, E.B.; Sepehri Shamloo, A.; Andrade, J.G.; Barbhaiya, C.R.; Baykaner, T.; Boveda, S.; Calkins, H.; et al. 2024 European Heart Rhythm Association/Heart Rhythm Society/Asia Pacific Heart Rhythm Society/Latin American Heart Rhythm Society expert consensus statement on catheter and surgical ablation of atrial fibrillation. Heart Rhythm. 2024, 12, e31–e149. [Google Scholar] [CrossRef]
- King, J.B.; Azadani, P.N.; Suksaranjit, P.; Bress, A.P.; Witt, D.M.; Han, F.T.; Chelu, M.G.; Silver, M.A.; Biskupiak, J.; Wilson, B.D.; et al. Left Atrial Fibrosis and Risk of Cerebrovascular and Cardiovascular Events in Patients with Atrial Fibrillation. J. Am. Coll. Cardiol. 2017, 70, 1311–1321. [Google Scholar] [CrossRef] [PubMed]
- Chung, M.K.; Refaat, M.; Shen, W.K.; Kutyifa, V.; Cha, Y.M.; Di Biase, L.; Baranchuk, A.; Lampert, R.; Natale, A.; Fisher, J.; et al. ACC Electrophysiology Section Leadership Council. Atrial Fibrillation: JACC Council Perspectives. J. Am. Coll. Cardiol. 2020, 75, 1689–1713. [Google Scholar] [CrossRef] [PubMed]
- Hindricks, G.; Potpara, T.; Dagres, N.; Arbelo, E.; Bax, J.J.; Blomström-Lundqvist, C.; Boriani, G.; Castella, M.; Dan, G.A.; Dilaveris, P.E.; et al. 2020 ESC Guidelines for the diagnosis and management of atrial fibrillation developed in collaboration with the European Association for Cardio-Thoracic Surgery (EACTS): The Task Force for the diagnosis and management of atrial fibrillation of the European Society of Cardiology (ESC) Developed with the special contribution of the European Heart Rhythm Association (EHRA) of the ESC. Eur. Heart J. 2021, 42, 373–498, Erratum in Eur. Heart J. 2021, 42, 507. Erratum in Eur. Heart J. 2021, 42, 546–547. [Google Scholar] [CrossRef]
- Joglar, J.A.; Chung, M.K.; Armbruster, A.L.; Benjamin, E.J.; Chyou, J.Y.; Cronin, E.M.; Deswal, A.; Eckhardt, L.L.; Goldberger, Z.D.; Gopinathannair, R.; et al. 2023 ACC/AHA/ACCP/HRS Guideline for the Diagnosis and Management of Atrial Fibrillation: A Report of the American College of Cardiology/American Heart Association Joint Committee on Clinical Practice Guidelines. Circulation 2024, 149, e1–e156. [Google Scholar] [CrossRef]
- Sillett, C.; Razeghi, O.; Lee, A.W.; Solis Lemus, J.A.; Roney, C.; Mannina, C.; De Vere, F.; Ananthan, K.; Ennis, D.B.; Haberland, U.; et al. A three-dimensional left atrial motion estimation from retrospective gated computed tomography: Application in heart failure patients with atrial fibrillation. Front. Cardiovasc. Med. 2024, 11, 1359715. [Google Scholar] [CrossRef]
- Nakamura, K.; Funabashi, N.; Uehara, M.; Ueda, M.; Murayama, T.; Takaoka, H.; Komuro, I. Left atrial wall thickness in paroxysmal atrial fibrillation by multislice-CT is initial marker of structural remodeling and predictor of transition from paroxysmal to chronic form. Int. J. Cardiol. 2011, 148, 139–147. [Google Scholar] [CrossRef]
- Bai, Y.; Jia, R.; Wang, X.; Chan, J.; Cui, K. Association of left atrial wall thickness with recurrence after cryoballoon ablation of paroxysmal atrial fibrillation. J. Interv. Card. Electrophysiol. 2024, 67, 657–667. [Google Scholar] [CrossRef]
- Beyer, C.; Tokarska, L.; Stühlinger, M.; Feuchtner, G.; Hintringer, F.; Honold, S.; Fiedler, L.; Schönbauer, M.S.; Schönbauer, R.; Plank, F. Structural Cardiac Remodeling in Atrial Fibrillation. JACC Cardiovasc. Imaging 2021, 14, 2199–2208. [Google Scholar] [CrossRef]
- Huber, A.T.; Fankhauser, S.; Wittmer, S.; Chollet, L.; Lam, A.; Maurhofer, J.; Madaffari, A.; Seiler, J.; Servatius, H.; Haeberlin, A. Epicardial adipose tissue dispersion at CT and recurrent atrial fibrillation after pulmonary vein isolation. Eur. Radiol. 2024, 34, 4928–4938. [Google Scholar] [CrossRef] [PubMed]
- Adukauskaite, A.; Barbieri, F.; Senoner, T.; Plank, F.; Knoflach, M.; Boehme, C.; Hintringer, F.; Mueller, S.; Bauer, A.; Feuchtner, G.; et al. Left Atrial Appendage Morphology and Left Atrial Wall Thickness Are Associated with Cardio-Embolic Stroke. J. Clin. Med. 2020, 9, 3944. [Google Scholar] [CrossRef] [PubMed]
- Bansmann, P.M.; Mohsen, Y.; Horlitz, M.; Stöckigt, F. Optimizing fibrosis detection: A comparison of electroanatomical mapping and late enhancement gadolinium magnetic resonance imaging. J. Interv. Card. Electrophysiol. 2024, 67, 571–577. [Google Scholar] [CrossRef]
- Marrouche, N.F.; Wilber, D.; Hindricks, G.; Jais, P.; Akoum, N.; Marchlinski, F.; Kholmovski, E.; Burgon, N.; Hu, N.; Mont, L.; et al. Association of atrial tissue fibrosis identified by delayed enhancement MRI and atrial fibrillation catheter ablation: The DECAAF study. JAMA 2014, 311, 498–506. [Google Scholar] [CrossRef]
- Nairn, D.; Eichenlaub, M.; Mueller-Edenborn, B.; Huang, T.; Lehrmann, H.; Nagel, C.; Azzolin, L.; Luongo, G.; Figueras Ventura, R.M.; Rubio Forcada, B.; et al. Differences in atrial substrate localization using late gadolinium enhancement-magnetic resonance imaging, electrogram voltage, and conduction velocity: A cohort study using a consistent anatomical reference frame in patients with persistent atrial fibrillation. Europace 2023, 25, euad278. [Google Scholar] [PubMed]
- Iles, L.M.; Ellims, A.H.; Llewellyn, H.; Hare, J.L.; Kaye, D.M.; McLean, C.A.; Taylor, A.J. Histological validation of cardiac magnetic resonance analysis of regional and diffuse interstitial myocardial fibrosis. Eur. Heart J. Cardiovasc. Imaging 2015, 16, 14–22. [Google Scholar] [CrossRef]
- Cosentino, F.; Grant, P.J.; Aboyans, V.; Bailey, C.J.; Ceriello, A.; Delgado, V.; Federici, M.; Filippatos, G.; Grobbee, D.E.; Hansen, T.B.; et al. 2019 ESC Guidelines on diabetes, pre-diabetes, and cardiovascular diseases developed in collaboration with the EASD. Eur. Heart J. 2020, 41, 255–323. [Google Scholar] [CrossRef] [PubMed]
- Khurram, I.M.; Beinart, R.; Zipunnikov, V.; Dewire, J.; Yarmohammadi, H.; Sasaki, T.; Spragg, D.D.; Marine, J.E.; Berger, R.D.; Halperin, H.R.; et al. Magnetic resonance image intensity ratio, a normalized measure to enable interpatient comparability of left atrial fibrosis. Heart Rhythm. 2014, 11, 85–92. [Google Scholar] [CrossRef]
- Olsen, F.J.; Bertelsen, L.; de Knegt, M.C.; Christensen, T.E.; Vejlstrup, N.; Svendsen, J.H.; Jensen, J.S.; Biering-Sørensen, T. Cardiac Imaging for the Assessment of Left Atrial Function and the Association with Atrial Arrhythmias. Circ. Cardiovasc. Imaging 2016, 9, e004947. [Google Scholar] [CrossRef]
- Bodagh, N.; Williams, M.C.; Vickneson, K.; Gharaviri, A.; Niederer, S.; Williams, S.E. State of the art paper: Cardiac computed tomography of the left atrium in atrial fibrillation. J. Cardiovasc. Comput. Tomogr. 2023, 17, 166–176. [Google Scholar] [CrossRef]
- Hamdy, A.; Kitagawa, K.; Goto, Y.; Yamada, A.; Nakamura, S.; Takafuji, M.; Nagasawa, N.; Sakuma, H. Comparison of the different imaging time points in delayed phase cardiac CT for myocardial scar assessment and extracellular volume fraction estimation in patients with old myocardial infarction. Int. J. Cardiovasc. Imaging 2019, 35, 917–926. [Google Scholar] [CrossRef] [PubMed]
- Bijvoet, G.P.; Nies, H.M.; Holtackers, R.J.; Linz, D.; Adriaans, B.P.; Nijveldt, R.; Wildberger, J.E.; Vernooy, K.; Chaldoupi, S.M.; Mihl, C. Correlation between Cardiac MRI and Voltage Mapping in Evaluating Atrial Fibrosis: A Systematic Review. Radiol. Cardiothorac. Imaging 2022, 4, e220061. [Google Scholar] [CrossRef] [PubMed]
- Li, L.; Li, L.; Yang, D.; Nong, S.; Luo, C.; Gui, C. Analysis of the thickness characteristics of the left atrial posterior wall and its correlation with the low and no voltage areas of the left atrial posterior wall in patients with atrial fibrillation. J. Cardiothorac. Surg. 2024, 19, 187. [Google Scholar] [CrossRef] [PubMed]
- El Mahdiui, M.; Simon, J.; Smit, J.M.; Kuneman, J.H.; van Rosendael, A.R.; Steyerberg, E.W.; van der Geest, R.J.; Száraz, L.; Herczeg, S.; Szegedi, N.; et al. Posterior Left Atrial Adipose Tissue Attenuation Assessed by Computed Tomography and Recurrence of Atrial Fibrillation After Catheter Ablation. Circ. Arrhythm. Electrophysiol. 2021, 14, e009135. [Google Scholar] [CrossRef]
- Lacaita, P.G.; Luger, A.; Troger, F.; Widmann, G.; Feuchtner, G.M. Photon-Counting Detector Computed Tomography (PCD-CT): A New Era for Cardiovascular Imaging? Current Status and Future Outlooks. J. Cardiovasc. Dev. Dis. 2024, 11, 127. [Google Scholar] [CrossRef]






| Age (years) | 59.8 +/− 9.6 |
| Females | 38 (27.7%) |
| BMI kg/cm2 | 26.8 +/− 4.2 |
| CVRF | |
| Smokers (active) | 14 (10.2%) |
| Arterial hypertension | 50 (36.9%) |
| Dyslipidemia | 56 (40.4%) |
| Diabetes | 8 (5.8%) |
| Atrial fibrillation type | |
| Paroxysmal Persistent | 91 (66.4%) 46 (33.6%) |
| Medication | |
| Vit-K inhibitors NOAC No anticoagulants (e.g., ASA) | 9 (6.5%) 87 (63.6%) 41 (29.9%) |
Disclaimer/Publisher’s Note: The statements, opinions and data contained in all publications are solely those of the individual author(s) and contributor(s) and not of MDPI and/or the editor(s). MDPI and/or the editor(s) disclaim responsibility for any injury to people or property resulting from any ideas, methods, instructions or products referred to in the content. |
© 2024 by the authors. Licensee MDPI, Basel, Switzerland. This article is an open access article distributed under the terms and conditions of the Creative Commons Attribution (CC BY) license (https://creativecommons.org/licenses/by/4.0/).
Share and Cite
Lacaita, P.G.; Beyer, C.; Plank, F.; Stühlinger, M.; Feuchtner, G.M. Late Enhancement Computed Tomography for Left Atrial Fibrosis Imaging: A Pilot “Proof-of-Concept” Study. Diagnostics 2024, 14, 2753. https://doi.org/10.3390/diagnostics14232753
Lacaita PG, Beyer C, Plank F, Stühlinger M, Feuchtner GM. Late Enhancement Computed Tomography for Left Atrial Fibrosis Imaging: A Pilot “Proof-of-Concept” Study. Diagnostics. 2024; 14(23):2753. https://doi.org/10.3390/diagnostics14232753
Chicago/Turabian StyleLacaita, Pietro G., Christoph Beyer, Fabian Plank, Markus Stühlinger, and Gudrun M. Feuchtner. 2024. "Late Enhancement Computed Tomography for Left Atrial Fibrosis Imaging: A Pilot “Proof-of-Concept” Study" Diagnostics 14, no. 23: 2753. https://doi.org/10.3390/diagnostics14232753
APA StyleLacaita, P. G., Beyer, C., Plank, F., Stühlinger, M., & Feuchtner, G. M. (2024). Late Enhancement Computed Tomography for Left Atrial Fibrosis Imaging: A Pilot “Proof-of-Concept” Study. Diagnostics, 14(23), 2753. https://doi.org/10.3390/diagnostics14232753

