Radiomics Feature Stability in True and Virtual Non-Contrast Reconstructions from Cardiac Photon-Counting Detector CT Datasets
Abstract
1. Introduction
2. Materials and Methods
2.1. Study Population
2.2. Image Acquisition (Image Protocol)
2.3. Image Reconstruction
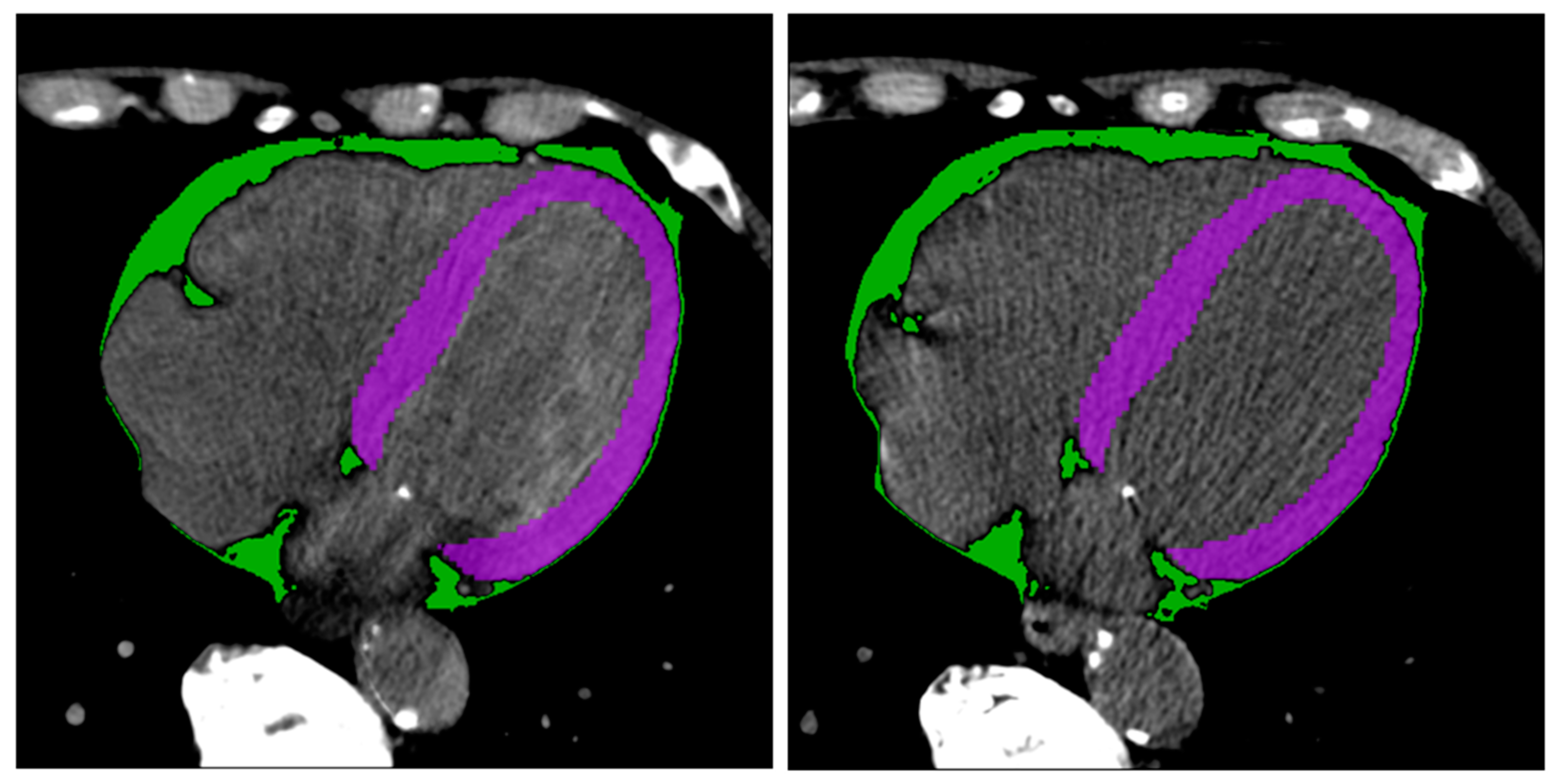
2.4. Radiomics Features Extraction
2.5. Statistical Analysis
3. Results
3.1. Patient Characteristics
3.2. Radiomics Feature Analysis
4. Discussion
5. Conclusions
Supplementary Materials
Author Contributions
Funding
Institutional Review Board Statement
Informed Consent Statement
Data Availability Statement
Conflicts of Interest
References
- Scapicchio, C.; Gabelloni, M.; Barucci, A.; Cioni, D.; Saba, L.; Neri, E. A deep look into radiomics. Radiol. Med. 2021, 126, 1296–1311. [Google Scholar] [CrossRef] [PubMed]
- Wolf, E.V.; Muller, L.; Schoepf, U.J.; Fink, N.; Griffith, J.P., III; Zsarnoczay, E.; Baruah, D.; Suranyi, P.; Kabakus, I.M.; Halfmann, M.C.; et al. Photon-counting detector CT-based virtual monoenergetic reconstructions: Repeatability and reproducibility of radiomics features of an organic phantom and human myocardium. Eur. Radiol. Exp. 2023, 7, 59. [Google Scholar] [CrossRef]
- Mayerhoefer, M.E.; Materka, A.; Langs, G.; Haggstrom, I.; Szczypinski, P.; Gibbs, P.; Cook, G. Introduction to Radiomics. J. Nucl. Med. 2020, 61, 488–495. [Google Scholar] [CrossRef]
- van Griethuysen, J.J.M.; Fedorov, A.; Parmar, C.; Hosny, A.; Aucoin, N.; Narayan, V.; Beets-Tan, R.G.H.; Fillion-Robin, J.C.; Pieper, S.; Aerts, H. Computational Radiomics System to Decode the Radiographic Phenotype. Cancer Res. 2017, 77, e104–e107. [Google Scholar] [CrossRef] [PubMed]
- Ayx, I.; Tharmaseelan, H.; Hertel, A.; Norenberg, D.; Overhoff, D.; Rotkopf, L.T.; Riffel, P.; Schoenberg, S.O.; Froelich, M.F. Myocardial Radiomics Texture Features Associated with Increased Coronary Calcium Score-First Results of a Photon-Counting CT. Diagnostics 2022, 12, 1663. [Google Scholar] [CrossRef]
- Ayx, I.; Tharmaseelan, H.; Hertel, A.; Norenberg, D.; Overhoff, D.; Rotkopf, L.T.; Riffel, P.; Schoenberg, S.O.; Froelich, M.F. Comparison Study of Myocardial Radiomics Feature Properties on Energy-Integrating and Photon-Counting Detector CT. Diagnostics 2022, 12, 1294. [Google Scholar] [CrossRef]
- Lubner, M.G.; Smith, A.D.; Sandrasegaran, K.; Sahani, D.V.; Pickhardt, P.J. CT Texture Analysis: Definitions, Applications, Biologic Correlates, and Challenges. Radiographics 2017, 37, 1483–1503. [Google Scholar] [CrossRef] [PubMed]
- Kocak, B.; Baessler, B.; Bakas, S.; Cuocolo, R.; Fedorov, A.; Maier-Hein, L.; Mercaldo, N.; Muller, H.; Orlhac, F.; Pinto Dos Santos, D.; et al. CheckList for EvaluAtion of Radiomics research (CLEAR): A step-by-step reporting guideline for authors and reviewers endorsed by ESR and EuSoMII. Insights Imaging 2023, 14, 75. [Google Scholar] [CrossRef]
- Kocak, B.; Akinci D’Antonoli, T.; Mercaldo, N.; Alberich-Bayarri, A.; Baessler, B.; Ambrosini, I.; Andreychenko, A.E.; Bakas, S.; Beets-Tan, R.G.H.; Bressem, K.; et al. METhodological RadiomICs Score (METRICS): A quality scoring tool for radiomics research endorsed by EuSoMII. Insights Imaging 2024, 15, 8. [Google Scholar] [CrossRef]
- Investigators, S.-H.; Newby, D.E.; Adamson, P.D.; Berry, C.; Boon, N.A.; Dweck, M.R.; Flather, M.; Forbes, J.; Hunter, A.; Lewis, S.; et al. Coronary CT Angiography and 5-Year Risk of Myocardial Infarction. N. Engl. J. Med. 2018, 379, 924–933. [Google Scholar] [CrossRef]
- Moss, A.J.; Williams, M.C.; Newby, D.E.; Nicol, E.D. The Updated NICE Guidelines: Cardiac CT as the First-Line Test for Coronary Artery Disease. Curr. Cardiovasc. Imaging Rep. 2017, 10, 15. [Google Scholar] [CrossRef] [PubMed]
- Risch, F.; Schwarz, F.; Braun, F.; Bette, S.; Becker, J.; Scheurig-Muenkler, C.; Kroencke, T.J.; Decker, J.A. Assessment of epicardial adipose tissue on virtual non-contrast images derived from photon-counting detector coronary CTA datasets. Eur. Radiol. 2023, 33, 2450–2460. [Google Scholar] [CrossRef] [PubMed]
- Willemink, M.J.; Persson, M.; Pourmorteza, A.; Pelc, N.J.; Fleischmann, D. Photon-counting CT: Technical Principles and Clinical Prospects. Radiology 2018, 289, 293–312. [Google Scholar] [CrossRef]
- Mergen, V.; Racine, D.; Jungblut, L.; Sartoretti, T.; Bickel, S.; Monnin, P.; Higashigaito, K.; Martini, K.; Alkadhi, H.; Euler, A. Virtual Noncontrast Abdominal Imaging with Photon-counting Detector CT. Radiology 2022, 305, 107–115. [Google Scholar] [CrossRef]
- Al’Aref, S.J.; Anchouche, K.; Singh, G.; Slomka, P.J.; Kolli, K.K.; Kumar, A.; Pandey, M.; Maliakal, G.; van Rosendael, A.R.; Beecy, A.N.; et al. Clinical applications of machine learning in cardiovascular disease and its relevance to cardiac imaging. Eur. Heart J. 2019, 40, 1975–1986. [Google Scholar] [CrossRef] [PubMed]
- Henglin, M.; Stein, G.; Hushcha, P.V.; Snoek, J.; Wiltschko, A.B.; Cheng, S. Machine Learning Approaches in Cardiovascular Imaging. Circ. Cardiovasc. Imaging 2017, 10, e005614. [Google Scholar] [CrossRef]
- Dunning, C.A.S.; Rajendran, K.; Fletcher, J.G.; McCollough, C.H.; Leng, S. Impact of improved spatial resolution on radiomic features using photon-counting-detector CT. In Proceedings of the SPIE—the International Society for Optical Engineering, San Diego, CA, USA, 20 February–28 March 2022; Volume 12032. [Google Scholar] [CrossRef]
- Emrich, T.; Aquino, G.; Schoepf, U.J.; Braun, F.M.; Risch, F.; Bette, S.J.; Woznicki, P.; Decker, J.A.; O’Doherty, J.; Brandt, V.; et al. Coronary Computed Tomography Angiography-Based Calcium Scoring: In Vitro and In Vivo Validation of a Novel Virtual Noniodine Reconstruction Algorithm on a Clinical, First-Generation Dual-Source Photon Counting-Detector System. Investig. Radiol. 2022, 57, 536–543. [Google Scholar] [CrossRef]
- Wasserthal, J.; Breit, H.-C.; Meyer, M.T.; Pradella, M.; Hinck, D.; Sauter, A.W.; Heye, T.; Boll, D.T.; Cyriac, J.; Yang, S.; et al. TotalSegmentator: Robust Segmentation of 104 Anatomic Structures in CT Images. Radiol. Artif. Intell. 2023, 5, e230024. [Google Scholar] [CrossRef]
- Isensee, F.; Jaeger, P.F.; Kohl, S.A.A.; Petersen, J.; Maier-Hein, K.H. nnU-Net: A self-configuring method for deep learning-based biomedical image segmentation. Nat. Methods 2021, 18, 203–211. [Google Scholar] [CrossRef]
- Xue, C.; Yuan, J.; Lo, G.G.; Chang, A.T.Y.; Poon, D.M.C.; Wong, O.L.; Zhou, Y.; Chu, W.C.W. Radiomics feature reliability assessed by intraclass correlation coefficient: A systematic review. Quant. Imaging Med. Surg. 2021, 11, 4431–4460. [Google Scholar] [CrossRef]
- Shrout, P.E.; Fleiss, J.L. Intraclass correlations: Uses in assessing rater reliability. Psychol. Bull. 1979, 86, 420–428. [Google Scholar] [CrossRef] [PubMed]
- Bobak, C.A.; Barr, P.J.; O’Malley, A.J. Estimation of an inter-rater intra-class correlation coefficient that overcomes common assumption violations in the assessment of health measurement scales. BMC Med. Res. Methodol. 2018, 18, 93. [Google Scholar] [CrossRef] [PubMed]
- Espinasse, M.; Pitre-Champagnat, S.; Charmettant, B.; Bidault, F.; Volk, A.; Balleyguier, C.; Lassau, N.; Caramella, C. CT Texture Analysis Challenges: Influence of Acquisition and Reconstruction Parameters: A Comprehensive Review. Diagnostics 2020, 10, 258. [Google Scholar] [CrossRef] [PubMed]
- Decker, J.A.; Bette, S.; Scheurig-Muenkler, C.; Jehs, B.; Risch, F.; Woznicki, P.; Braun, F.M.; Haerting, M.; Wollny, C.; Kroencke, T.J.; et al. Virtual Non-Contrast Reconstructions of Photon-Counting Detector CT Angiography Datasets as Substitutes for True Non-Contrast Acquisitions in Patients after EVAR-Performance of a Novel Calcium-Preserving Reconstruction Algorithm. Diagnostics 2022, 12, 558. [Google Scholar] [CrossRef] [PubMed]
- Si, N.; Shi, K.; Li, N.; Dong, X.; Zhu, C.; Guo, Y.; Hu, J.; Cui, J.; Yang, F.; Zhang, T. Identification of patients with acute myocardial infarction based on coronary CT angiography: The value of pericoronary adipose tissue radiomics. Eur. Radiol. 2022, 32, 6868–6877. [Google Scholar] [CrossRef] [PubMed]
- Cundari, G.; Galea, N.; Mergen, V.; Alkadhi, H.; Eberhard, M. Myocardial extracellular volume quantification with computed tomography-current status and future outlook. Insights Imaging 2023, 14, 156. [Google Scholar] [CrossRef] [PubMed]
- Cui, M.; Bao, S.; Li, J.; Dong, H.; Xu, Z.; Yan, F.; Yang, W. CT radiomic features reproducibility of virtual non-contrast series derived from photon-counting CCTA datasets using a novel calcium-preserving reconstruction algorithm compared with standard non-contrast series: Focusing on epicardial adipose tissue. Int. J. Cardiovasc. Imaging 2024, 40, 1257–1267. [Google Scholar] [CrossRef]
- Kumar, V.; Gu, Y.; Basu, S.; Berglund, A.; Eschrich, S.A.; Schabath, M.B.; Forster, K.; Aerts, H.J.; Dekker, A.; Fenstermacher, D.; et al. Radiomics: The process and the challenges. Magn. Reson. Imaging 2012, 30, 1234–1248. [Google Scholar] [CrossRef]
- Bette, S.; Risch, F.; Canalini, L.; Becker, J.; Leithner, E.V.; Huber, A.; Haerting, M.; Jehs, B.; Wollny, C.; Schwarz, F.; et al. Diagnostic performance of photon-counting detector CT for differentiation between adrenal adenomas and metastases. Eur. Radiol. 2024, 34, 5944–5953. [Google Scholar] [CrossRef]
- Douek, P.C.; Boccalini, S.; Oei, E.H.; Cormode, D.P.; Pourmorteza, A.; Boussel, L.; Si-Mohamed, S.A.; Budde, R.P. Clinical applications of photon-counting CT: A review of pioneer studies and a glimpse into the future. Radiology 2023, 309, e222432. [Google Scholar] [CrossRef]
- Vecsey-Nagy, M.; Varga-Szemes, A.; Emrich, T.; Zsarnoczay, E.; Nagy, N.; Fink, N.; Schmidt, B.; Nowak, T.; Kiss, M.; Vattay, B.; et al. Calcium scoring on coronary computed angiography tomography with photon-counting detector technology: Predictors of performance. J. Cardiovasc. Comput. Tomogr. 2023, 17, 328–335. [Google Scholar] [CrossRef] [PubMed]





| Final Cohort = 84 Patients | ||
|---|---|---|
| Age, years | 80 (75–84) | |
| Sex, female | 48/84 (57.1%) | |
| CT acquisitions | Non-contrast (TNC) | CTA |
| CTDIvol (mGy) | 1.4 (1.1–2.1) | 26.6 (19.9–36.7) |
| DLP (mGy∙cm) | 29.4 (22.3–41.9) | 442.0 (329.0–583.0) |
| SSDE (mGy) | 1.9 (1.6–2.4) | 35.7 (28.8–47.1) |
| Stable Features Between Two Structures | Epicardial Adipose Tissue | Myocardium |
|---|---|---|
| shape_MeshVolume | 0.94 (0.91, 0.96) | 0.94 (0.91, 0.96) |
| shape_VoxelVolume | 0.94 (0.91, 0.96) | 0.94 (0.91, 0.96) |
| firstorder_Energy | 0.94 (0.9, 0.96) | 0.94 (0.9, 0.96) |
| firstorder_TotalEnergy | 0.94 (0.9, 0.96) | 0.94 (0.9, 0.96) |
| glrlm_GrayLevelNonUniformity | 0.92 (0.88, 0.95) | 0.89 (0.83, 0.93) |
| shape_Maximum2DDiameterSlice | 0.91 (0.86, 0.94) | 0.95 (0.92, 0.97) |
| ngtdm_Coarseness | 0.9 (0.84, 0.93) | 0.91 (0.86, 0.94) |
| gldm_GrayLevelNonUniformity | 0.89 (0.84, 0.93) | 0.82 (0.73, 0.88) |
| firstorder_Skewness | 0.88 (0.82, 0.92) | 0.92 (0.87, 0.94) |
| ngtdm_Strength | 0.85 (0.78, 0.9) | 0.97 (0.95, 0.98) |
| shape_Maximum2DDiameterColumn | 0.85 (0.78, 0.9) | 0.96 (0.94, 0.97) |
| shape_MinorAxisLength | 0.85 (0.77, 0.9) | 0.91 (0.86, 0.94) |
| glcm_ClusterShade | 0.84 (0.76, 0.89) | 0.93 (0.9, 0.96) |
| gldm_DependenceNonUniformity | 0.84 (0.76, 0.89) | 0.87 (0.8, 0.91) |
| shape_LeastAxisLength | 0.83 (0.74, 0.88) | 0.94 (0.91, 0.96) |
| glcm_ClusterProminence | 0.82 (0.74, 0.88) | 0.91 (0.86, 0.94) |
| shape_MajorAxisLength | 0.81 (0.72, 0.87) | 0.92 (0.87, 0.95) |
| glcm_DifferenceVariance | 0.79 (0.7, 0.86) | 0.95 (0.93, 0.97) |
| glrlm_GrayLevelVariance | 0.78 (0.67, 0.85) | 0.98 (0.97, 0.99) |
| gldm_GrayLevelVariance | 0.78 (0.68, 0.85) | 0.96 (0.94, 0.98) |
| firstorder_Variance | 0.78 (0.68, 0.85) | 0.96 (0.94, 0.98) |
| shape_Maximum3DDiameter | 0.77 (0.67, 0.85) | 0.93 (0.89, 0.95) |
| shape_Maximum2DDiameterRow | 0.77 (0.66, 0.84) | 0.91 (0.87, 0.94) |
| gldm_SmallDependenceHighGrayLevelEmphasis | 0.76 (0.66, 0.84) | 0.91 (0.87, 0.94) |
Disclaimer/Publisher’s Note: The statements, opinions and data contained in all publications are solely those of the individual author(s) and contributor(s) and not of MDPI and/or the editor(s). MDPI and/or the editor(s) disclaim responsibility for any injury to people or property resulting from any ideas, methods, instructions or products referred to in the content. |
© 2024 by the authors. Licensee MDPI, Basel, Switzerland. This article is an open access article distributed under the terms and conditions of the Creative Commons Attribution (CC BY) license (https://creativecommons.org/licenses/by/4.0/).
Share and Cite
Canalini, L.; Becker, E.G.; Risch, F.; Bette, S.; Hellbrueck, S.; Becker, J.; Rippel, K.; Scheurig-Muenkler, C.; Kroencke, T.; Decker, J.A. Radiomics Feature Stability in True and Virtual Non-Contrast Reconstructions from Cardiac Photon-Counting Detector CT Datasets. Diagnostics 2024, 14, 2483. https://doi.org/10.3390/diagnostics14222483
Canalini L, Becker EG, Risch F, Bette S, Hellbrueck S, Becker J, Rippel K, Scheurig-Muenkler C, Kroencke T, Decker JA. Radiomics Feature Stability in True and Virtual Non-Contrast Reconstructions from Cardiac Photon-Counting Detector CT Datasets. Diagnostics. 2024; 14(22):2483. https://doi.org/10.3390/diagnostics14222483
Chicago/Turabian StyleCanalini, Luca, Elif G. Becker, Franka Risch, Stefanie Bette, Simon Hellbrueck, Judith Becker, Katharina Rippel, Christian Scheurig-Muenkler, Thomas Kroencke, and Josua A. Decker. 2024. "Radiomics Feature Stability in True and Virtual Non-Contrast Reconstructions from Cardiac Photon-Counting Detector CT Datasets" Diagnostics 14, no. 22: 2483. https://doi.org/10.3390/diagnostics14222483
APA StyleCanalini, L., Becker, E. G., Risch, F., Bette, S., Hellbrueck, S., Becker, J., Rippel, K., Scheurig-Muenkler, C., Kroencke, T., & Decker, J. A. (2024). Radiomics Feature Stability in True and Virtual Non-Contrast Reconstructions from Cardiac Photon-Counting Detector CT Datasets. Diagnostics, 14(22), 2483. https://doi.org/10.3390/diagnostics14222483

