Osteosarcoma Metastasis to the Thorax: A Pictorial Review of Chest Computed Tomography Findings
Abstract
1. Introduction
2. The Lungs
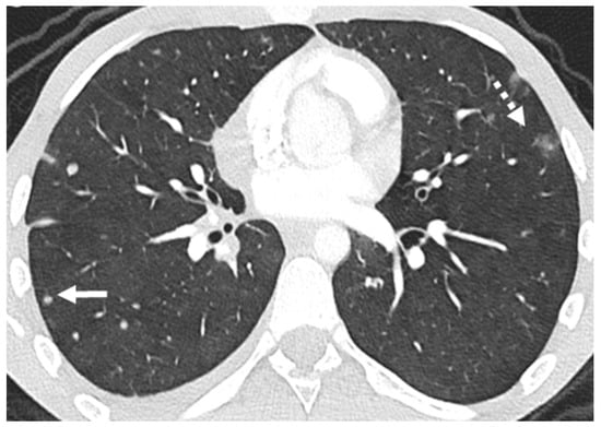
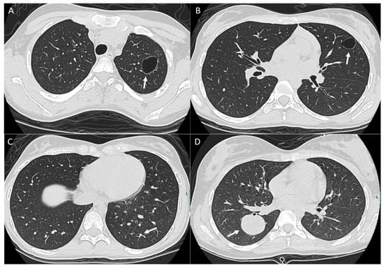
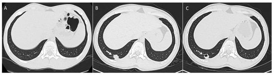
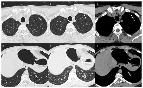
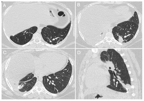
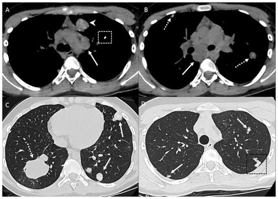
2.1. Parenchymal Metastasis
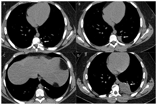
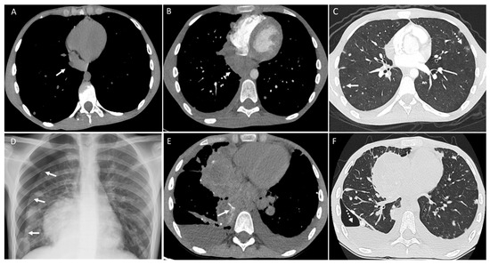
2.2. Vascular Metastasis
2.3. Endobronchial Metastasis
2.4. Lymphangitic Carcinomatosis
2.5. Management
3. Pleura
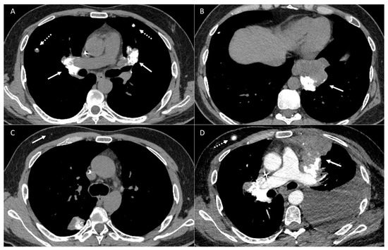
4. Mediastinum and Hilum
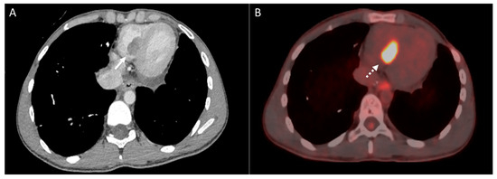
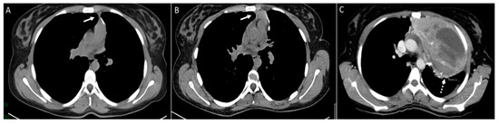
5. Cardiac and Major Thoracic Vessels
6. Chest Wall
7. Role of Chest CT
8. Conclusions
Author Contributions
Funding
Conflicts of Interest
Abbreviations
References
- Bielack, S.; Jürgens, H.; Jundt, G.; Kevric, M.; Kühne, T.; Reichardt, P.; Zoubek, A.; Werner, M.; Winkelmann, W.; Kotz, R. Osteosarcoma: The COSS Experience. In Pediatric and Adolescent Osteosarcoma; Springer US: Berlin/Heidelberg, Germany, 2009; pp. 289–308. ISBN 978-1-4419-0284-9. [Google Scholar]
- Kaste, S.C.; Pratt, C.B.; Cain, A.M.; Jones-Wallace, D.J.; Rao, B.N. Metastases detected at the time of diagnosis of primary pediatric extremity osteosarcoma at diagnosis: Imaging features. Cancer 1999, 86, 1602–1608. [Google Scholar] [CrossRef]
- Harting, M.T.; Blakely, M.L. Management of osteosarcoma pulmonary metastases. Semin. Pediatr. Surg. 2006, 15, 25–29. [Google Scholar] [CrossRef] [PubMed]
- Bacci, G.; Rocca, M.; Salone, M.; Balladelli, A.; Ferrari, S.; Palmerini, E.; Forni, C.; Briccoli, A. High grade osteosarcoma of the extremities with lung metastases at presentation: Treatment with neoadjuvant chemotherapy and simultaneous resection of primary and metastatic lesions. J. Surg. Oncol. 2008, 98, 415–420. [Google Scholar] [CrossRef] [PubMed]
- Bielack, S.S.; Kempf-Bielack, B.; Delling, G.; Exner, G.U.; Flege, S.; Helmke, K.; Kotz, R.; Salzer-Kuntschik, M.; Werner, M.; Winkelmann, W.; et al. Prognostic Factors in High-Grade Osteosarcoma of the Extremities or Trunk: An Analysis of 1,702 Patients Treated on Neoadjuvant Cooperative Osteosarcoma Study Group Protocols. J. Clin. Oncol. 2002, 20, 776–790. [Google Scholar] [CrossRef]
- Kager, L.; Zoubek, A.; Pötschger, U.; Kastner, U.; Flege, S.; Kempf-Bielack, B.; Branscheid, D.; Kotz, R.; Salzer-Kuntschik, M.; Winkelmann, W.; et al. Primary Metastatic Osteosarcoma: Presentation and Outcome of Patients Treated on Neoadjuvant Cooperative Osteosarcoma Study Group Protocols. J. Clin. Oncol. 2003, 21, 2011–2018. [Google Scholar] [CrossRef]
- Mialou, V.; Philip, T.; Kalifa, C.; Perol, D.; Gentet, J.; Marec-Berard, P.; Pacquement, H.; Chastagner, P.; Defaschelles, A.; Hartmann, O. Metastatic osteosarcoma at diagnosis: Prognostic factors and long-term outcome—The French pediatric experience. Cancer 2005, 104, 1100–1109. [Google Scholar] [CrossRef]
- Stiller, C.A.; Craft, A.W.; Corazziari, I. Survival of children with bone sarcoma in Europe since 1978. Eur. J. Cancer 2001, 37, 760–766. [Google Scholar] [CrossRef]
- Chiesa, A.M.; Spinnato, P.; Miceli, M.; Facchini, G. Radiologic Assessment of Osteosarcoma Lung Metastases: State of the Art and Recent Advances. Cells 2021, 10, 553. [Google Scholar] [CrossRef]
- Ciccarese, F.; Bazzocchi, A.; Ciminari, R.; Righi, A.; Rocca, M.; Rimondi, E.; Picci, P.; Bacchi Reggiani, M.L.; Albisinni, U.; Zompatori, M.; et al. The many faces of pulmonary metastases of osteosarcoma: Retrospective study on 283 lesions submitted to surgery. Eur. J. Radiol. 2015, 84, 2679–2685. [Google Scholar] [CrossRef]
- Johnson, G.L.; Askin, F.B.; Fishman, E.K. Thoracic involvement from osteosarcoma: Typical and atypical CT manifestations. Am. J. Roentgenol. 1997, 168, 347–349. [Google Scholar] [CrossRef]
- Rastogi, R.; Garg, R.; Thulkar, S.; Bakhshi, S.; Gupta, A. Unusual thoracic CT manifestations of osteosarcoma: Review of 16 cases. Pediatr. Radiol. 2008, 38, 551–558. [Google Scholar] [CrossRef] [PubMed]
- Saifuddin, A.; Baig, M.S.; Dalal, P.; Strauss, S.J. The diagnosis of pulmonary metastases on chest computed tomography in primary bone sarcoma and musculoskeletal soft tissue sarcoma. Br. J. Radiol. 2021, 94, 20210088. [Google Scholar] [CrossRef] [PubMed]
- Seo, J.B.; Im, J.-G.; Goo, J.M.; Chung, M.J.; Kim, M.-Y. Atypical Pulmonary Metastases: Spectrum of Radiologic Findings. Radio Graph. 2001, 21, 403–417. [Google Scholar] [CrossRef] [PubMed]
- Briccoli, A.; Rocca, M.; Salone, M.C.; Di Fiore, M.; Vanel, D.; Balladelli, A.; Alberghini, M. “Bubble-like” lung metastases in osteosarcoma patients. Eur. J. Radiol. 2009, 71, 144–146. [Google Scholar] [CrossRef]
- Songür, N.; Karakaş, A.; Arıkan, M.; Demir, S.; Bozkurt, A.; Uçaner, A. Multiple Cystic Pulmonary Metastases from Osteosarcoma. Respiration 2005, 72, 418. [Google Scholar] [CrossRef]
- Albuquerque, M.; Silva, J.; Marchiori, E.; Carvalho de Macedo, F.; Ricardo Garcia da Silva, P.; Brandão Amorim, V. 3 Pulmonary metastasis of osteosarcoma: Multiple presentations in a single patient. J. Bras. Pneumol. 2022, 48, e20210478. [Google Scholar] [CrossRef]
- Yedururi, S.; Morani, A.C.; Gladish, G.W.; Vallabhaneni, S.; Anderson, P.M.; Hughes, D.; Wang, W.-L.; Daw, N.C. Cardiovascular involvement by osteosarcoma: An analysis of 20 patients. Pediatr. Radiol. 2015, 46, 21–33. [Google Scholar] [CrossRef]
- Ting, P.T.; Burrowes, P.W.; Gray, R.R. Intravascular pulmonary metastases from sarcoma: Appearance on computed tomography in 3 cases. Can. Assoc. Radiol. J. 2005, 56, 214–218. [Google Scholar]
- Kadamkulam Syriac, A.; Bhaskarla, A.V.; Elrifai, M.; Alraiyes, A.H. Endobronchial metastasis as an uncommon pattern of metastatic dissemination from small cell osteosarcoma. BMJ Case Rep. 2019, 12, e229779. [Google Scholar] [CrossRef]
- Mazboudi, O.; Abboud, M.R.; Muwakkit, S.; Akel, S.; Husari, A. Endobronchial metastasis of osteosarcoma presenting as position-dependent and variable airway obstruction of the trachea. Thorax 2009, 65, 92. [Google Scholar] [CrossRef]
- Mogulkoc, N.; Goker, E.; Atasever, A.; Veral, A.; Ozkok, S.; Bishop, P.W. Endobronchial Metastasis From Osteosarcoma of Bone. Chest 1999, 116, 1811–1814. [Google Scholar] [CrossRef] [PubMed]
- Hatori, M. Synchronous Multifocal Osteosarcoma with Lymphatic Spread in the Lung: An Autopsy Case Report. Jpn. J. Clin. Oncol. 2001, 31, 562–566. [Google Scholar] [CrossRef] [PubMed]
- Cipriano, C.; Brockman, L.; Romancik, J.; Hartemayer, R.; Ording, J.; Ginder, C.; Krier, J.; Gitelis, S.; Kent, P. The Clinical Significance of Initial Pulmonary Micronodules in Young Sarcoma Patients. J. Pediatr. Hematol. Oncol. 2015, 37, 548–553. [Google Scholar] [CrossRef] [PubMed]
- Meyer, J.S.; Nadel, H.R.; Marina, N.; Womer, R.B.; Brown, K.L.B.; Eary, J.F.; Gorlick, R.; Grier, H.E.; Randall, R.L.; Lawlor, E.R.; et al. Imaging guidelines for children with Ewing sarcoma and osteosarcoma: A report from the Children’s Oncology Group Bone Tumor Committee. Pediatr. Blood Amp; Cancer 2008, 51, 163–170. [Google Scholar] [CrossRef]
- Oh, C.; Bishop, M.W.; Cho, S.Y.; Im, H.-J.; Shulkin, B.L. (18)F-FDG PET/CT in the Management of Osteosarcoma. J. Nucl. Med. 2023, 64, 842–851. [Google Scholar] [CrossRef]
- Iagaru, A.; Chawla, S.; Menendez, L.; Conti, P.S. 18F-FDG PET and PET/CT for detection of pulmonary metastases from musculoskeletal sarcomas. Nucl. Med. Commun. 2006, 27, 795–802. [Google Scholar] [CrossRef]
- Briccoli, A.; Rocca, M.; Salone, M.; Guzzardella, G.A.; Balladelli, A.; Bacci, G. High grade osteosarcoma of the extremities metastatic to the lung: Long-term results in 323 patients treated combining surgery and chemotherapy, 1985–2005. Surg. Oncol. 2010, 19, 193–199. [Google Scholar] [CrossRef]
- Rasalkar, D.D.; Chu, W.C.W.; Lee, V.; Paunipagar, B.K.; Cheng, F.W.T.; Li, C.K. Pulmonary metastases in children with osteosarcoma: Characteristics and impact on patient survival. Pediatr. Radiol. 2010, 41, 227–236. [Google Scholar] [CrossRef]
- Letourneau, P.A.; Xiao, L.; Harting, M.T.; Lally, K.P.; Cox, C.S.; Andrassy, R.J.; Hayes-Jordan, A.A. Location of pulmonary metastasis in pediatric osteosarcoma is predictive of outcome. J. Pediatr. Surg. 2011, 46, 1333–1337. [Google Scholar] [CrossRef]
- Absalon, M.J.; McCarville, M.B.; Liu, T.; Santana, V.M.; Daw, N.C.; Navid, F. Pulmonary nodules discovered during the initial evaluation of pediatric patients with bone and soft-tissue sarcoma. Pediatr. Blood Amp. Cancer 2008, 50, 1147–1153. [Google Scholar] [CrossRef]
- McCarville, M.B.; Kaste, S.C.; Cain CCRA, A.M.; Goloubeva, O.; Rao, B.N.; Pratt, C.B. Prognostic factors and imaging patterns of recurrent pulmonary nodules after thoracotomy in children with osteosarcoma. Cancer 2001, 91, 1170–1176. [Google Scholar] [CrossRef] [PubMed]
- Shanley, D.J.; Mulligan, M.E. Osteosarcoma with isolated metastases to the pleura. Pediatr. Radiol. 1991, 21, 226. [Google Scholar] [CrossRef] [PubMed]
- Marchiori, E.; Menna Barreto, M.; Zanetti, G. Pleural Metastasis of Osteosarcoma. Ann. Thorac. Surg. 2018, 105, e87–e88. [Google Scholar] [CrossRef]
- Krishnamurthy, K.; Alghamdi, S.; Kochiyil, J.; Bruney, G.F.; Poppiti, R.J. Osteosarcoma presenting with malignant pleural effusion in a 55 year old. Respir. Med. Case Rep. 2018, 25, 314–317. [Google Scholar] [CrossRef] [PubMed]
- Carvalho, C.; Marinho, A.S.; Barbosa-Sequeira, J.; Correia, M.R.; Banquart-Leitão, J.; Carvalho, F. Compensatory sweating after thoracoscopic sympathectomy for primary focal hyperhidrosis in children: Are there patient-related risk factors? J. Pediatr. Surg. 2022, 57, 203–206. [Google Scholar] [CrossRef]
- Nakada, T.; Okumura, S.; Kuroda, H.; Uehara, H.; Mun, M.; Sakao, Y.; Nakagawa, K. Outcome of Radical Surgery for Pulmonary Metastatic Osteosarcoma with Secondary Spontaneous Pneumothorax: Case Series Report. Ann. Thorac. Cardiovasc. Surg. 2014, 20, 574–577. [Google Scholar] [CrossRef]
- Tariq, U.; Sohail, M.S.; Fatima, Z.; Khan, A.; Sheikh, A.B.; Bhatti, S.I. Simultaneous Bilateral Spontaneous Pneumothorax: A Rare Complication of Osteosarcoma. Cureus 2018, 10, e2745. [Google Scholar] [CrossRef]
- Tsuda, K.; Nishi, M.; Yamada, K.; Yamamoto, K. Spontaneous hemothorax in a patient with lung metastases of osteosarcoma. Masui 2005, 54, 1027–1029. [Google Scholar]
- Meyers, P.A.; Heller, G.; Healey, J.H.; Huvos, A.; Applewhite, A.; Sun, M.; LaQuaglia, M. Osteogenic sarcoma with clinically detectable metastasis at initial presentation. J. Clin. Oncol. 1993, 11, 449–453. [Google Scholar] [CrossRef]
- Padmaja, M.; Bhuniya, S.; Naik, S.; Sable, M.; Ghosh, S.; Mohapatra, P.R. An Uncommon Presentation of Osteosarcoma. Adv. Respir. Med. 2020, 88, 282–284. [Google Scholar] [CrossRef]
- Nistor, C.; Fudulu, D.P.; Pantile, D.; Horvat, T. Mediastinal osteosarcoma metastasis causing right heart failure due to pulmonary trunk compression. BMJ Case Rep. 2016, 2016, bcr2016217431. [Google Scholar] [CrossRef]
- Merimsky, O.; Isakov, J.; Kollender, Y.; Nirkin, A.; Inbar, M.; Meller, I. Vascular invasion in high grade sarcoma of the extremity is associated with short overall survival. Oncol. Rep. 1998, 5, 985–994. [Google Scholar] [CrossRef]
- Platonov, M.A.; Turner, A.R.; Mullen, J.C.; Noga, M.; Welsh, R.C. Tumour on the tricuspid valve: Metastatic osteosarcoma and the heart. Can. J. Cardiol. 2005, 21, 63–67. [Google Scholar] [PubMed]
- Alizadeh, L.S.; Vogl, T.J.; Waldeck, S.S.; Overhoff, D.; D’Angelo, T.; Martin, S.S.; Yel, I.; Gruenewald, L.D.; Koch, V.; Fulisch, F.; et al. Dual-Energy CT in Cardiothoracic Imaging: Current Developments. Diagnostics 2023, 13, 2116. [Google Scholar] [CrossRef]
- Hong, Y.J.; Hur, J.; Han, K.; Im, D.J.; Suh, Y.J.; Lee, H.-J.; Kim, Y.J.; Choi, B.W. Quantitative Analysis of a Whole Cardiac Mass Using Dual-Energy Computed Tomography: Comparison with Conventional Computed Tomography and Magnetic Resonance Imaging. Sci. Rep. 2018, 8, 15334. [Google Scholar] [CrossRef] [PubMed]
- Foti, G.; Ascenti, G.; Agostini, A.; Longo, C.; Lombardo, F.; Inno, A.; Modena, A.; Gori, S. Dual-Energy CT in Oncologic Imaging. Tomography 2024, 10, 299–319. [Google Scholar] [CrossRef]
- Bacci, G.; Longhi, A.; Bertoni, F.; Briccoli, A.; Versari, M.; Pignotti, E.; Picci, P. Bone metastases in osteosarcoma patients treated with neoadjuvant or adjuvant chemotherapy The Rizzoli experience in 52 patients. Acta Orthop. 2006, 77, 938–943. [Google Scholar] [CrossRef] [PubMed]
- Byun, B.H.; Kong, C.-B.; Lim, I.; Kim, B.I.; Choi, C.W.; Song, W.S.; Cho, W.H.; Jeon, D.-G.; Koh, J.-S.; Lee, S.-Y.; et al. Comparison of (18)F-FDG PET/CT and (99 m)Tc-MDP bone scintigraphy for detection of bone metastasis in osteosarcoma. Skelet. Radiol. 2013, 42, 1673–1681. [Google Scholar] [CrossRef]
- Usmani, S.; Marafi, F.; Rasheed, R.; Bakiratharajan, D.; Al Maraghy, M.; Al Kandari, F. Unsuspected Metastases to Muscles in Osteosarcoma Detected on 18F-Sodium Fluoride PET-CT. Clin. Nucl. Med. 2018, 43, e343–e345. [Google Scholar] [CrossRef]
- Dhingra, V.; Meena, A.; Veerwal, H.; Dhingra, M. Unexpected metastasis to breast, lymph node, subcutaneous, abdominal wall, intraabdominal, and bone in osteogenic osteosarcoma: An unusual presentation on bone scintigraphy. Indian J. Nucl. Med. 2022, 37, 91. [Google Scholar] [CrossRef]
- Basu, S.; Shet, T.; Awasare, S. Bilateral adrenal metastases and metastatic subcutaneous deposit in the chest wall from osteosarcoma of the mandible: Utility of 18F-FDG-PET. Hell. J. Nucl. Med. 2009, 12, 51–54. [Google Scholar] [PubMed]
- Casali, P.G.; Bielack, S.; Abecassis, N.; Aro, H.T.; Bauer, S.; Biagini, R.; Bonvalot, S.; Boukovinas, I.; Bovee, J.V.M.G.; Brennan, B.; et al. Bone sarcomas: ESMO–PaedCan–EURACAN Clinical Practice Guidelines for diagnosis, treatment and follow-up. Ann. Oncol. 2018, 29, iv79–iv95. [Google Scholar] [CrossRef] [PubMed]
- Paioli, A.; Rocca, M.; Cevolani, L.; Rimondi, E.; Vanel, D.; Palmerini, E.; Cesari, M.; Longhi, A.; Eraldo, A.M.; Marchesi, E.; et al. Osteosarcoma follow-up: Chest X-ray or computed tomography? Clin. Sarcoma Res. 2017, 7, 1–8. [Google Scholar] [CrossRef] [PubMed]
- Detterbeck, F.C.; Grodzki, T.; Gleeson, F.; Robert, J.H. Imaging Requirements in the Practice of Pulmonary Metastasectomy. J. Thorac. Oncol. 2010, 5, S134–S139. [Google Scholar] [CrossRef] [PubMed]
- Pfannschmidt, J.; Bischoff, M.; Muley, T.; Kunz, J.; Zamecnik, P.; Schnabel, P.; Hoffmann, H.; Dienemann, H.; Heussel, C. Diagnosis of Pulmonary Metastases with Helical CT: The Effect of Imaging Techniques. Thorac. Cardiovasc. Surg. 2008, 56, 471–475. [Google Scholar] [CrossRef]
- Eisenhauer, E.A.; Therasse, P.; Bogaerts, J.; Schwartz, L.H.; Sargent, D.; Ford, R.; Dancey, J.; Arbuck, S.; Gwyther, S.; Mooney, M.; et al. New response evaluation criteria in solid tumours: Revised RECIST guideline (version 1.1). Eur. J. Cancer 2009, 45, 228–247. [Google Scholar] [CrossRef]
- Guenther, L.M.; Rowe, R.G.; Acharya, P.T.; Swenson, D.W.; Meyer, S.C.; Clinton, C.M.; Guo, D.; Sridharan, M.; London, W.B.; Grier, H.E.; et al. Response Evaluation Criteria in Solid Tumors (RECIST) following neoadjuvant chemotherapy in osteosarcoma. Pediatr. Blood Cancer 2018, 65, e26896. [Google Scholar] [CrossRef]

















Disclaimer/Publisher’s Note: The statements, opinions and data contained in all publications are solely those of the individual author(s) and contributor(s) and not of MDPI and/or the editor(s). MDPI and/or the editor(s) disclaim responsibility for any injury to people or property resulting from any ideas, methods, instructions or products referred to in the content. |
© 2024 by the authors. Licensee MDPI, Basel, Switzerland. This article is an open access article distributed under the terms and conditions of the Creative Commons Attribution (CC BY) license (https://creativecommons.org/licenses/by/4.0/).
Share and Cite
Alduraibi, K.A.; Towhari, J.A.; Alebdi, H.A.; Alfadhel, B.Z.; Alotaibi, G.S.; Ghosh, S.; Bin Saeedan, M. Osteosarcoma Metastasis to the Thorax: A Pictorial Review of Chest Computed Tomography Findings. Diagnostics 2024, 14, 2085. https://doi.org/10.3390/diagnostics14182085
Alduraibi KA, Towhari JA, Alebdi HA, Alfadhel BZ, Alotaibi GS, Ghosh S, Bin Saeedan M. Osteosarcoma Metastasis to the Thorax: A Pictorial Review of Chest Computed Tomography Findings. Diagnostics. 2024; 14(18):2085. https://doi.org/10.3390/diagnostics14182085
Chicago/Turabian StyleAlduraibi, Khalid Abdulaziz, Jawaher Ali Towhari, Hatim Abdullah Alebdi, Bader Zaid Alfadhel, Ghazi S. Alotaibi, Subha Ghosh, and Mnahi Bin Saeedan. 2024. "Osteosarcoma Metastasis to the Thorax: A Pictorial Review of Chest Computed Tomography Findings" Diagnostics 14, no. 18: 2085. https://doi.org/10.3390/diagnostics14182085
APA StyleAlduraibi, K. A., Towhari, J. A., Alebdi, H. A., Alfadhel, B. Z., Alotaibi, G. S., Ghosh, S., & Bin Saeedan, M. (2024). Osteosarcoma Metastasis to the Thorax: A Pictorial Review of Chest Computed Tomography Findings. Diagnostics, 14(18), 2085. https://doi.org/10.3390/diagnostics14182085

