Transcranial Magnetic Stimulation Improves Executive Functioning through Modulation of Social Cognitive Networks in Patients with Mild Cognitive Impairment: Preliminary Results
Abstract
1. Introduction
2. Materials and Methods
2.1. Patient Recruitment
2.2. Intervention
2.3. Evaluation
2.4. Statistical Analysis
3. Results
4. Discussion
Author Contributions
Funding
Institutional Review Board Statement
Informed Consent Statement
Data Availability Statement
Conflicts of Interest
References
- Albert, M.S.; DeKosky, S.T.; Dickson, D.; Dubois, B.; Feldman, H.H.; Fox, N.C.; Gamst, A.; Holtzman, D.M.; Jagust, W.J.; Petersen, R.C.; et al. The diagnosis of mild cognitive impairment due to Alzheimer’s disease: Recommendations from the National Institute on Aging-Alzheimer’s Association workgroups on diagnostic guidelines for Alzheimer’s disease. Alzheimer’s Dement. J. Alzheimer’s Assoc. 2011, 7, 270–279. [Google Scholar] [CrossRef]
- Petersen, R.C.; Doody, R.; Kurz, A.; Mohs, R.C.; Morris, J.C.; Rabins, P.V.; Ritchie, K.; Rossor, M.; Thal, L.; Winblad, B. Current concepts in mild cognitive impairment. Arch. Neurol. 2001, 58, 1985–1992. [Google Scholar] [CrossRef] [PubMed]
- Petersen, R.C. Mild Cognitive Impairment. Continuum 2016, 22, 404–418. [Google Scholar] [CrossRef] [PubMed]
- Petersen, R.C.; Lopez, O.; Armstrong, M.J.; Getchius, T.S.D.; Ganguli, M.; Gloss, D.; Gronseth, G.S.; Marson, D.; Pringsheim, T.; Day, G.S.; et al. Practice guideline update summary: Mild cognitive impairment: Report of the Guideline Development, Dissemination, and Implementation Subcommittee of the American Academy of Neurology. Neurology 2018, 90, 126–135. [Google Scholar] [CrossRef] [PubMed]
- Roberts, R.O.; Geda, Y.E.; Knopman, D.S.; Cha, R.H.; Pankratz, V.S.; Boeve, B.F.; Tangalos, E.G.; Ivnik, R.J.; Rocca, W.A.; Petersen, R.C. The incidence of MCI differs by subtype and is higher in men: The Mayo Clinic Study of Aging. Neurology 2012, 78, 342–351. [Google Scholar] [CrossRef]
- Morris, J.C.; Storandt, M.; Miller, J.P.; McKeel, D.W.; Price, J.L.; Rubin, E.H.; Berg, L. Mild cognitive impairment represents early-stage Alzheimer disease. Arch. Neurol. 2001, 58, 397–405. [Google Scholar] [CrossRef]
- Devanand, D.P.; Pradhaban, G.; Liu, X.; Khandji, A.; De Santi, S.; Segal, S.; Rusinek, H.; Pelton, G.H.; Honig, L.S.; Mayeux, R.; et al. Hippocampal and entorhinal atrophy in mild cognitive impairment: Prediction of Alzheimer disease. Neurology 2007, 68, 828–836. [Google Scholar] [CrossRef]
- Mitchell, A.J.; Shiri-Feshki, M. Rate of progression of mild cognitive impairment to dementia--meta-analysis of 41 robust inception cohort studies. Acta Psychiatr. Scand. 2009, 119, 252–265. [Google Scholar] [CrossRef]
- Koepsell, T.D.; Monsell, S.E. Reversion from mild cognitive impairment to normal or near-normal cognition: Risk factors and prognosis. Neurology 2012, 79, 1591–1598. [Google Scholar] [CrossRef]
- Roberts, G.; Durcan, R.; Donaghy, P.C.; Lawley, S.; Ciafone, J.; Hamilton, C.A.; Colloby, S.J.; Firbank, M.J.; Allan, L.; Barnett, N.; et al. Accuracy of Cardiac Innervation Scintigraphy for Mild Cognitive Impairment With Lewy Bodies. Neurology 2021, 96, e2801–e2811. [Google Scholar] [CrossRef]
- Richard, E.; Schmand, B.; Eikelenboom, P.; Yang, S.C.; Ligthart, S.A.; Moll van Charante, E.P.; van Gool, W.A. Symptoms of apathy are associated with progression from mild cognitive impairment to Alzheimer’s disease in non-depressed subjects. Dement. Geriatr. Cogn. Disord. 2012, 33, 204–209. [Google Scholar] [CrossRef]
- Palmer, K.; Berger, A.K.; Monastero, R.; Winblad, B.; Bäckman, L.; Fratiglioni, L. Predictors of progression from mild cognitive impairment to Alzheimer disease. Neurology 2007, 68, 1596–1602. [Google Scholar] [CrossRef]
- Tyas, S.L.; Salazar, J.C.; Snowdon, D.A.; Desrosiers, M.F.; Riley, K.P.; Mendiondo, M.S.; Kryscio, R.J. Transitions to mild cognitive impairments, dementia, and death: Findings from the Nun Study. Am. J. Epidemiol. 2007, 165, 1231–1238. [Google Scholar] [CrossRef]
- Ravaglia, G.; Forti, P.; Maioli, F.; Martelli, M.; Servadei, L.; Brunetti, N.; Pantieri, G.; Mariani, E. Conversion of mild cognitive impairment to dementia: Predictive role of mild cognitive impairment subtypes and vascular risk factors. Dement. Geriatr. Cogn. Disord. 2006, 21, 51–58. [Google Scholar] [CrossRef]
- Brandt, J.; Aretouli, E.; Neijstrom, E.; Samek, J.; Manning, K.; Albert, M.S.; Bandeen-Roche, K. Selectivity of executive function deficits in mild cognitive impairment. Neuropsychology 2009, 23, 607–618. [Google Scholar] [CrossRef]
- Van Dam, N.T.; Sano, M.; Mitsis, E.M.; Grossman, H.T.; Gu, X.; Park, Y.; Hof, P.R.; Fan, J. Functional neural correlates of attentional deficits in amnestic mild cognitive impairment. PLoS ONE 2013, 8, e54035. [Google Scholar] [CrossRef]
- Stokin, G.B.; Krell-Roesch, J.; Petersen, R.C.; Geda, Y.E. Mild Neurocognitive Disorder: An Old Wine in a New Bottle. Harv. Rev. Psychiatry 2015, 23, 368–376. [Google Scholar] [CrossRef]
- Thams, F.; Kuzmina, A.; Backhaus, M.; Li, S.C.; Grittner, U.; Antonenko, D.; Flöel, A. Cognitive training and brain stimulation in prodromal Alzheimer’s disease (AD-Stim)-study protocol for a double-blind randomized controlled phase IIb (monocenter) trial. Alzheimer’s Res. Ther. 2020, 12, 142. [Google Scholar] [CrossRef]
- Padala, P.R.; Padala, K.P.; Lensing, S.Y.; Jackson, A.N.; Hunter, C.R.; Parkes, C.M.; Dennis, R.A.; Bopp, M.M.; Caceda, R.; Mennemeier, M.S.; et al. Repetitive transcranial magnetic stimulation for apathy in mild cognitive impairment: A double-blind, randomized, sham-controlled, cross-over pilot study. Psychiatry Res. 2018, 261, 312–318. [Google Scholar] [CrossRef]
- Budd Haeberlein, S.; Aisen, P.S.; Barkhof, F.; Chalkias, S.; Chen, T.; Cohen, S.; Dent, G.; Hansson, O.; Harrison, K.; von Hehn, C.; et al. Two Randomized Phase 3 Studies of Aducanumab in Early Alzheimer’s Disease. J. Prev. Alzheimer’s Dis. 2022, 9, 197–210. [Google Scholar] [CrossRef]
- Chen, F.T.; Etnier, J.L.; Chan, K.H.; Chiu, P.K.; Hung, T.M.; Chang, Y.K. Effects of Exercise Training Interventions on Executive Function in Older Adults: A Systematic Review and Meta-Analysis. Sport. Med. 2020, 50, 1451–1467. [Google Scholar] [CrossRef] [PubMed]
- Fox, M.D.; Buckner, R.L.; Liu, H.; Chakravarty, M.M.; Lozano, A.M.; Pascual-Leone, A. Resting-state networks link invasive and noninvasive brain stimulation across diverse psychiatric and neurological diseases. Proc. Natl. Acad. Sci. USA 2014, 111, E4367–E4375. [Google Scholar] [CrossRef] [PubMed]
- Lefaucheur, J.P.; André-Obadia, N.; Antal, A.; Ayache, S.S.; Baeken, C.; Benninger, D.H.; Cantello, R.M.; Cincotta, M.; de Carvalho, M.; De Ridder, D.; et al. Evidence-based guidelines on the therapeutic use of repetitive transcranial magnetic stimulation (rTMS). Clin. Neurophysiol. Off. J. Int. Fed. Clin. Neurophysiol. 2014, 125, 2150–2206. [Google Scholar] [CrossRef] [PubMed]
- Lefaucheur, J.P.; Antal, A.; Ayache, S.S.; Benninger, D.H.; Brunelin, J.; Cogiamanian, F.; Cotelli, M.; De Ridder, D.; Ferrucci, R.; Langguth, B.; et al. Evidence-based guidelines on the therapeutic use of transcranial direct current stimulation (tDCS). Clin. Neurophysiol. Off. J. Int. Fed. Clin. Neurophysiol. 2017, 128, 56–92. [Google Scholar] [CrossRef]
- Birba, A.; Ibáñez, A.; Sedeño, L.; Ferrari, J.; García, A.M.; Zimerman, M. Non-Invasive Brain Stimulation: A New Strategy in Mild Cognitive Impairment? Front. Aging Neurosci. 2017, 9, 16. [Google Scholar] [CrossRef]
- Chervyakov, A.V.; Chernyavsky, A.Y.; Sinitsyn, D.O.; Piradov, M.A. Possible Mechanisms Underlying the Therapeutic Effects of Transcranial Magnetic Stimulation. Front. Hum. Neurosci. 2015, 9, 303. [Google Scholar] [CrossRef]
- Li, X.; Qi, G.; Yu, C.; Lian, G.; Zheng, H.; Wu, S.; Yuan, T.F.; Zhou, D. Cortical plasticity is correlated with cognitive improvement in Alzheimer’s disease patients after rTMS treatment. Brain Stimul. 2021, 14, 503–510. [Google Scholar] [CrossRef]
- Chu, C.S.; Li, C.T.; Brunoni, A.R.; Yang, F.C.; Tseng, P.T.; Tu, Y.K.; Stubbs, B.; Carvalho, A.F.; Thompson, T.; Rajji, T.K.; et al. Cognitive effects and acceptability of non-invasive brain stimulation on Alzheimer’s disease and mild cognitive impairment: A component network meta-analysis. J. Neurol. Neurosurg. Psychiatry 2021, 92, 195–203. [Google Scholar] [CrossRef]
- Cheng, C.P.W.; Wong, C.S.M.; Lee, K.K.; Chan, A.P.K.; Yeung, J.W.F.; Chan, W.C. Effects of repetitive transcranial magnetic stimulation on improvement of cognition in elderly patients with cognitive impairment: A systematic review and meta-analysis. Int. J. Geriatr. Psychiatry 2018, 33, e1–e13. [Google Scholar] [CrossRef]
- Plewnia, C.; Lotze, M.; Gerloff, C. Disinhibition of the contralateral motor cortex by low-frequency rTMS. Neuroreport 2003, 14, 609–612. [Google Scholar] [CrossRef]
- Hummel, F.C.; Cohen, L.G. Non-invasive brain stimulation: A new strategy to improve neurorehabilitation after stroke? Lancet Neurol. 2006, 5, 708–712. [Google Scholar] [CrossRef]
- Raichle, M.E.; MacLeod, A.M.; Snyder, A.Z.; Powers, W.J.; Gusnard, D.A.; Shulman, G.L. A default mode of brain function. Proc. Natl. Acad. Sci. USA 2001, 98, 676–682. [Google Scholar] [CrossRef]
- Harrison, B.J.; Pujol, J.; López-Solà, M.; Hernández-Ribas, R.; Deus, J.; Ortiz, H.; Soriano-Mas, C.; Yücel, M.; Pantelis, C.; Cardoner, N. Consistency and functional specialization in the default mode brain network. Proc. Natl. Acad. Sci. USA 2008, 105, 9781–9786. [Google Scholar] [CrossRef]
- Corbetta, M.; Shulman, G.L. Control of goal-directed and stimulus-driven attention in the brain. Nat. Rev. Neurosci. 2002, 3, 201–215. [Google Scholar] [CrossRef]
- Chang, C.F.; Hsu, T.Y.; Tseng, P.; Liang, W.K.; Tzeng, O.J.; Hung, D.L.; Juan, C.H. Right temporoparietal junction and attentional reorienting. Hum. Brain Mapp. 2013, 34, 869–877. [Google Scholar] [CrossRef]
- Krall, S.C.; Volz, L.J.; Oberwelland, E.; Grefkes, C.; Fink, G.R.; Konrad, K. The right temporoparietal junction in attention and social interaction: A transcranial magnetic stimulation study. Hum. Brain Mapp. 2016, 37, 796–807. [Google Scholar] [CrossRef]
- Xu, G.Q.; Lan, Y.; Zhang, Q.; Liu, D.X.; He, X.F.; Lin, T. 1-Hz Repetitive Transcranial Magnetic Stimulation over the Posterior Parietal Cortex Modulates Spatial Attention. Front. Hum. Neurosci. 2016, 10, 38. [Google Scholar] [CrossRef]
- Schuwerk, T.; Grosso, S.S.; Taylor, P.C.J. The influence of TMS of the rTPJ on attentional control and mentalizing. Neuropsychologia 2021, 162, 108054. [Google Scholar] [CrossRef]
- Grigoletto, F.; Zappalà, G.; Anderson, D.W.; Lebowitz, B.D. Norms for the Mini-Mental State Examination in a healthy population. Neurology 1999, 53, 315–320. [Google Scholar] [CrossRef]
- Spinnler, H.T.G. Standardizzazione e Taratura Italiana di Test Neuropsicologici Gruppo Italiano per lo Studio Neuropsicologico Dell’invecchiamento; Masson Italia Periodici: Milano, Italy, 1987. [Google Scholar]
- Rossi, S.; Hallett, M.; Rossini, P.M.; Pascual-Leone, A. Safety, ethical considerations, and application guidelines for the use of transcranial magnetic stimulation in clinical practice and research. Clin. Neurophysiol. Off. J. Int. Fed. Clin. Neurophysiol. 2009, 120, 2008–2039. [Google Scholar] [CrossRef]
- Boccardi, M.; Monsch, A.U.; Ferrari, C.; Altomare, D.; Berres, M.; Bos, I.; Buchmann, A.; Cerami, C.; Didic, M.; Festari, C.; et al. Harmonizing neuropsychological assessment for mild neurocognitive disorders in Europe. Alzheimer’s Dement. J. Alzheimer’s Assoc. 2022, 18, 29–42. [Google Scholar] [CrossRef] [PubMed]
- Santangelo, G.; Siciliano, M.; Pedone, R.; Vitale, C.; Falco, F.; Bisogno, R.; Siano, P.; Barone, P.; Grossi, D.; Santangelo, F.; et al. Normative data for the Montreal Cognitive Assessment in an Italian population sample. Neurol. Sci. Off. J. Ital. Neurol. Soc. Ital. Soc. Clin. Neurophysiol. 2015, 36, 585–591. [Google Scholar] [CrossRef] [PubMed]
- Siciliano, M.; Chiorri, C.; Battini, V.; Sant’Elia, V.; Altieri, M.; Trojano, L.; Santangelo, G. Regression-based normative data and equivalent scores for Trail Making Test (TMT): An updated Italian normative study. Neurol. Sci. Off. J. Ital. Neurol. Soc. Ital. Soc. Clin. Neurophysiol. 2019, 40, 469–477. [Google Scholar] [CrossRef] [PubMed]
- Appollonio, I.; Leone, M.; Isella, V.; Piamarta, F.; Consoli, T.; Villa, M.L.; Forapani, E.; Russo, A.; Nichelli, P. The Frontal Assessment Battery (FAB): Normative values in an Italian population sample. Neurol. Sci. Off. J. Ital. Neurol. Soc. Ital. Soc. Clin. Neurophysiol. 2005, 26, 108–116. [Google Scholar] [CrossRef] [PubMed]
- Galeoto, G.; Sansoni, J.; Scuccimarri, M.; Bruni, V.; De Santis, R.; Colucci, M.; Valente, D.; Tofani, M. A Psychometric Properties Evaluation of the Italian Version of the Geriatric Depression Scale. Depress. Res. Treat. 2018, 2018, 1797536. [Google Scholar] [CrossRef]
- Basso, M.R.; Bornstein, R.A.; Lang, J.M. Practice effects on commonly used measures of executive function across twelve months. Clin. Neuropsychol. 1999, 13, 283–292. [Google Scholar] [CrossRef]
- Zakzanis, K.K.; Mraz, R.; Graham, S.J. An fMRI study of the Trail Making Test. Neuropsychologia 2005, 43, 1878–1886. [Google Scholar] [CrossRef]
- Matsuhashi, M.; Ikeda, A.; Ohara, S.; Matsumoto, R.; Yamamoto, J.; Takayama, M.; Satow, T.; Begum, T.; Usui, K.; Nagamine, T.; et al. Multisensory convergence at human temporo-parietal junction—Epicortical recording of evoked responses. Clin. Neurophysiol. Off. J. Int. Fed. Clin. Neurophysiol. 2004, 115, 1145–1160. [Google Scholar] [CrossRef]
- Blanke, O.; Arzy, S. The out-of-body experience: Disturbed self-processing at the temporo-parietal junction. Neurosci. A Rev. J. Bringing Neurobiol. Neurol. Psychiatry 2005, 11, 16–24. [Google Scholar] [CrossRef]
- Bledowski, C.; Prvulovic, D.; Goebel, R.; Zanella, F.E.; Linden, D.E. Attentional systems in target and distractor processing: A combined ERP and fMRI study. NeuroImage 2004, 22, 530–540. [Google Scholar] [CrossRef]
- Yuan, P.; Raz, N. Prefrontal cortex and executive functions in healthy adults: A meta-analysis of structural neuroimaging studies. Neurosci. Biobehav. Rev. 2014, 42, 180–192. [Google Scholar] [CrossRef]
- Bolkan, S.S.; Stujenske, J.M.; Parnaudeau, S.; Spellman, T.J.; Rauffenbart, C.; Abbas, A.I.; Harris, A.Z.; Gordon, J.A.; Kellendonk, C. Thalamic projections sustain prefrontal activity during working memory maintenance. Nat. Neurosci. 2017, 20, 987–996. [Google Scholar] [CrossRef]
- Andrews-Hanna, J.R.; Reidler, J.S.; Sepulcre, J.; Poulin, R.; Buckner, R.L. Functional-anatomic fractionation of the brain’s default network. Neuron 2010, 65, 550–562. [Google Scholar] [CrossRef]
- Arioli, M.; Crespi, C.; Canessa, N. Social Cognition through the Lens of Cognitive and Clinical Neuroscience. BioMed Res. Int. 2018, 2018, 4283427. [Google Scholar] [CrossRef]
- Van Overwalle, F.; Baetens, K. Understanding others’ actions and goals by mirror and mentalizing systems: A meta-analysis. NeuroImage 2009, 48, 564–584. [Google Scholar] [CrossRef]
- Dos Santos, T.; de Carvalho, R.L.S.; Nogueira, M.; Baptista, M.A.T.; Kimura, N.; Lacerda, I.B.; Dourado, M.C.N. The Relationship between Social Cognition and Executive Functions in Alzheimer’s Disease: A Systematic Review. Curr. Alzheimer Res. 2020, 17, 487–497. [Google Scholar] [CrossRef]
- Lucena, A.T.; Bhalla, R.K.; Belfort Almeida Dos Santos, T.T.; Dourado, M.C.N. The relationship between theory of mind and cognition in Alzheimer’s disease: A systematic review. J. Clin. Exp. Neuropsychol. 2020, 42, 223–239. [Google Scholar] [CrossRef]
- Jannati, A.; Oberman, L.M.; Rotenberg, A.; Pascual-Leone, A. Assessing the mechanisms of brain plasticity by transcranial magnetic stimulation. Neuropsychopharmacol. Off. Publ. Am. Coll. Neuropsychopharmacol. 2023, 48, 191–208. [Google Scholar] [CrossRef]
- Fox, M.D.; Buckner, R.L.; White, M.P.; Greicius, M.D.; Pascual-Leone, A. Efficacy of transcranial magnetic stimulation targets for depression is related to intrinsic functional connectivity with the subgenual cingulate. Biol. Psychiatry 2012, 72, 595–603. [Google Scholar] [CrossRef]
- Beynel, L.; Powers, J.P.; Appelbaum, L.G. Effects of repetitive transcranial magnetic stimulation on resting-state connectivity: A systematic review. NeuroImage 2020, 211, 116596. [Google Scholar] [CrossRef]
- Hawco, C.; Voineskos, A.N.; Steeves, J.K.E.; Dickie, E.W.; Viviano, J.D.; Downar, J.; Blumberger, D.M.; Daskalakis, Z.J. Spread of activity following TMS is related to intrinsic resting connectivity to the salience network: A concurrent TMS-fMRI study. Cortex 2018, 108, 160–172. [Google Scholar] [CrossRef] [PubMed]
- Philip, N.S.; Barredo, J.; van’t Wout-Frank, M.; Tyrka, A.R.; Price, L.H.; Carpenter, L.L. Network Mechanisms of Clinical Response to Transcranial Magnetic Stimulation in Posttraumatic Stress Disorder and Major Depressive Disorder. Biol. Psychiatry 2018, 83, 263–272. [Google Scholar] [CrossRef] [PubMed]
- Siddiqi, S.H.; Taylor, S.F.; Cooke, D.; Pascual-Leone, A.; George, M.S.; Fox, M.D. Distinct Symptom-Specific Treatment Targets for Circuit-Based Neuromodulation. Am. J. Psychiatry 2020, 177, 435–446. [Google Scholar] [CrossRef] [PubMed]
- Rutherford, G.; Lithgow, B.; Moussavi, Z. Short and Long-term Effects of rTMS Treatment on Alzheimer’s Disease at Different Stages: A Pilot Study. J. Exp. Neurosci. 2015, 9, 43–51. [Google Scholar] [CrossRef]
- Hampstead, B.M.; Khoshnoodi, M.; Yan, W.; Deshpande, G.; Sathian, K. Patterns of effective connectivity during memory encoding and retrieval differ between patients with mild cognitive impairment and healthy older adults. NeuroImage 2016, 124, 997–1008. [Google Scholar] [CrossRef]
- Porcelli, S.; Van Der Wee, N.; van der Werff, S.; Aghajani, M.; Glennon, J.C.; van Heukelum, S.; Mogavero, F.; Lobo, A.; Olivera, F.J.; Lobo, E.; et al. Social brain, social dysfunction and social withdrawal. Neurosci. Biobehav. Rev. 2019, 97, 10–33. [Google Scholar] [CrossRef]
- Belfort, T.; Simões, P.; de Sousa, M.F.B.; Santos, R.L.; Barbeito, I.; Torres, B.; Dourado, M.C.N. The Relationship Between Social Cognition and Awareness in Alzheimer Disease. J. Geriatr. Psychiatry Neurol. 2018, 31, 27–33. [Google Scholar] [CrossRef]
- Nishiguchi, S.; Yamada, M.; Tanigawa, T.; Sekiyama, K.; Kawagoe, T.; Suzuki, M.; Yoshikawa, S.; Abe, N.; Otsuka, Y.; Nakai, R.; et al. A 12-Week Physical and Cognitive Exercise Program Can Improve Cognitive Function and Neural Efficiency in Community-Dwelling Older Adults: A Randomized Controlled Trial. J. Am. Geriatr. Soc. 2015, 63, 1355–1363. [Google Scholar] [CrossRef]
- Nguyen, L.; Murphy, K.; Andrews, G. Immediate and long-term efficacy of executive functions cognitive training in older adults: A systematic review and meta-analysis. Psychol. Bull. 2019, 145, 698–733. [Google Scholar] [CrossRef]
- Heaton, R.K. Wisconsin Card Sorting Test manual. Psychol. Assess. Resour. 1981, 4, 1–4. [Google Scholar]
- Scheltens, P.; Leys, D.; Barkhof, F.; Huglo, D.; Weinstein, H.C.; Vermersch, P.; Kuiper, M.; Steinling, M.; Wolters, E.C.; Valk, J. Atrophy of medial temporal lobes on MRI in “probable” Alzheimer’s disease and normal ageing: Diagnostic value and neuropsychological correlates. J. Neurol. Neurosurg. Psychiatry 1992, 55, 967–972. [Google Scholar] [CrossRef]




| Subject | Age | Sex (0 = Female; 1 = Male) | Education (Years) | MCI Type | MoCA Score | Liquor Abeta 1–42 | Liquor Tau total | Liquor p-tau | Fazekas/MTA |
|---|---|---|---|---|---|---|---|---|---|
| 1 | 79 | 1 | 8 | Multiple-domain | 17 * | 1/2 * | |||
| 2 | 74 | 1 | 8 | Multiple-domain | 16 * | / | / | / | 0/2 * |
| 3 | 77 | 1 | 13 | Multiple-domain | 22 * | 555 * | 496 * | 94 * | 0/2 * |
| 4 | 76 | 1 | 8 | Multiple-domain | 15 * | / | / | / | 1/1 |
| 5 | 76 | 1 | 9 | Multiple-domain | 18 * | / | / | / | 3 */1.5 |
| 6 | 69 | 0 | 12 | Multiple-domain | 22 * | 511 * | 824 * | 191 * | 1/0 |
| 7 | 70 | 1 | 13 | Single-domain amnestic | 25 * | / | / | / | 1/1 |
| 8 | 80 | 0 | 13 | Single-domain amnestic | 21 * | / | / | / | 2 */1 |
| 9 | 71 | 0 | 23 | Multiple-domain | 17 * | 609 * | 590 * | 103 * | 0/1 |
| 10 | 78 | 0 | 13 | Multiple-domain | 20 * | 584 * | 517 * | 100 * | 1/1 |
| 11 | 77 | 1 | 13 | Multiple-domain | 20 * | / | / | / | / |
| T0 (Prior rTMS Treatment) Median (IQR) | T1 (after TMS Stimulation) Median (IQR) | p | |
|---|---|---|---|
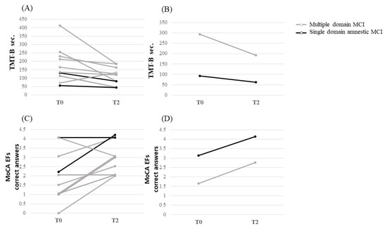
| MoCA—Global score | 21.0 (18.5–23.0) | 23.0 (21.0–25.0) | 0.049 |
| MoCA—Memory | 0.0 (0.0–0.5) | 0.0 (0.0–1.25) | 0.414 |
| MoCA—Visuospatial abilities | 3.0 (2.0–3.5) | 3.5 (2.8–4.0) | 0.102 |
| MoCA—Executive functions | 2.0 (1.0–3.0) | 3.0 (2.0–4.0) | 0.015 |
| MoCA—Attention | 6.0 (5.0–6.0) | 6.0 (5.0–6.0) | 0.414 |
| MoCA—Language | 4.0 (4.0–6.0) | 5.0 (3.8–5.3) | 0.340 |
| MoCA—Orientation | 5.0 (3.0–6.0) | 5.0 (3.8–6.0) | 0.792 |
| TMT-A | 41.0 (23.0–66.5) | 27.0 (19.8–48.8) | 0.398 |
| TMT-B | 134.0 (92.0–243.5) | 121.0 (73.0–168.3) | 0.028 |
| TMT B-A | 105.0 (44.0–180.0) | 73.5 (28.0–102.3) | 0.066 |
| FAB | 16.0 (13.5–17.0) | 15.5 (13.8–16.3) | 0.952 |
| GDS | 6.0 (4.5–11.5) | 6.5 (4.0–8.5) | 0.641 |
Disclaimer/Publisher’s Note: The statements, opinions and data contained in all publications are solely those of the individual author(s) and contributor(s) and not of MDPI and/or the editor(s). MDPI and/or the editor(s) disclaim responsibility for any injury to people or property resulting from any ideas, methods, instructions or products referred to in the content. |
© 2023 by the authors. Licensee MDPI, Basel, Switzerland. This article is an open access article distributed under the terms and conditions of the Creative Commons Attribution (CC BY) license (https://creativecommons.org/licenses/by/4.0/).
Share and Cite
Sacco, L.; Ceroni, M.; Pacifico, D.; Zerboni, G.; Rossi, S.; Galati, S.; Caverzasio, S.; Kaelin-Lang, A.; Riccitelli, G.C. Transcranial Magnetic Stimulation Improves Executive Functioning through Modulation of Social Cognitive Networks in Patients with Mild Cognitive Impairment: Preliminary Results. Diagnostics 2023, 13, 415. https://doi.org/10.3390/diagnostics13030415
Sacco L, Ceroni M, Pacifico D, Zerboni G, Rossi S, Galati S, Caverzasio S, Kaelin-Lang A, Riccitelli GC. Transcranial Magnetic Stimulation Improves Executive Functioning through Modulation of Social Cognitive Networks in Patients with Mild Cognitive Impairment: Preliminary Results. Diagnostics. 2023; 13(3):415. https://doi.org/10.3390/diagnostics13030415
Chicago/Turabian StyleSacco, Leonardo, Martino Ceroni, Deborah Pacifico, Giorgia Zerboni, Stefania Rossi, Salvatore Galati, Serena Caverzasio, Alain Kaelin-Lang, and Gianna C. Riccitelli. 2023. "Transcranial Magnetic Stimulation Improves Executive Functioning through Modulation of Social Cognitive Networks in Patients with Mild Cognitive Impairment: Preliminary Results" Diagnostics 13, no. 3: 415. https://doi.org/10.3390/diagnostics13030415
APA StyleSacco, L., Ceroni, M., Pacifico, D., Zerboni, G., Rossi, S., Galati, S., Caverzasio, S., Kaelin-Lang, A., & Riccitelli, G. C. (2023). Transcranial Magnetic Stimulation Improves Executive Functioning through Modulation of Social Cognitive Networks in Patients with Mild Cognitive Impairment: Preliminary Results. Diagnostics, 13(3), 415. https://doi.org/10.3390/diagnostics13030415

