COVID-19 Infection Segmentation and Severity Assessment Using a Self-Supervised Learning Approach
Abstract
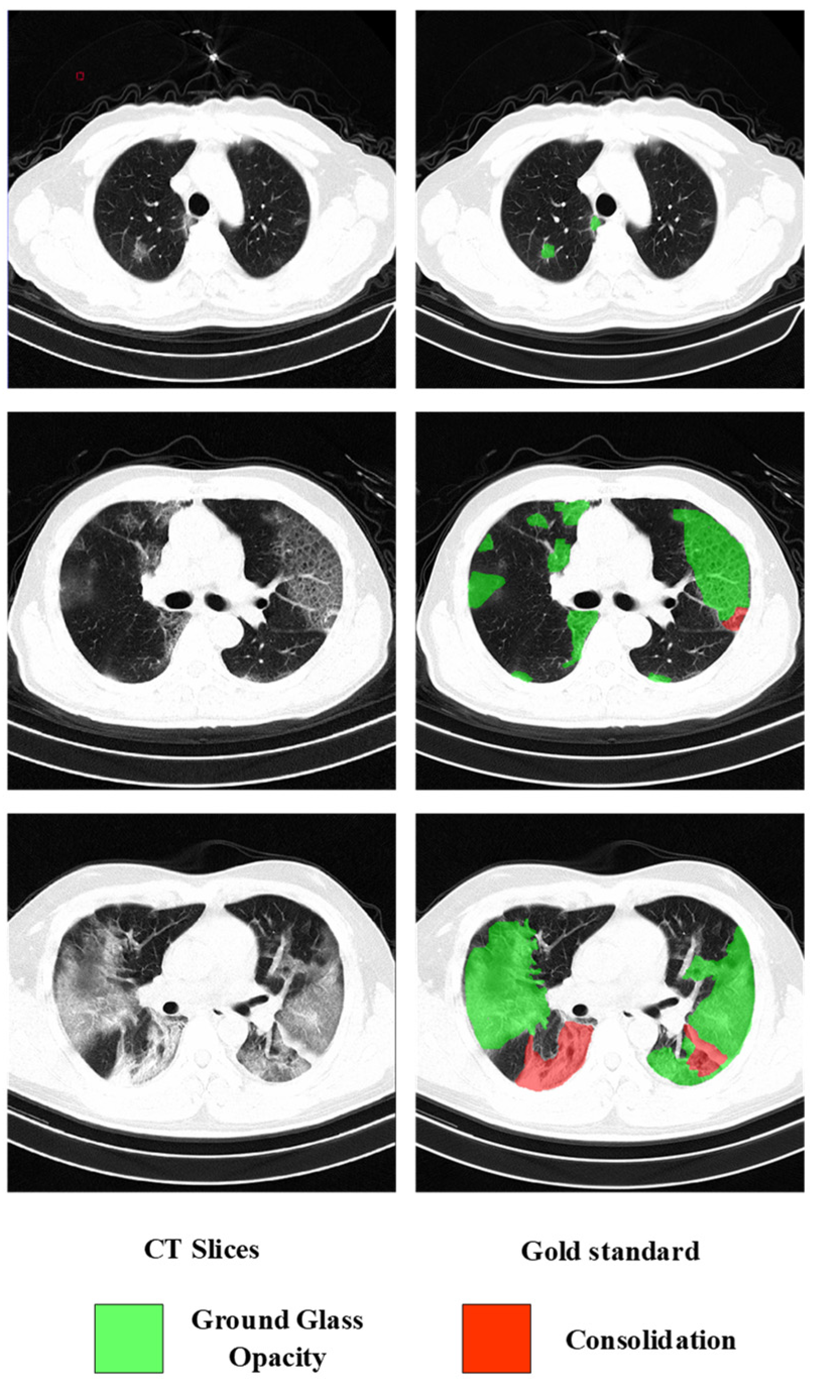
:1. Introduction
- Transfer learning [7] was used to fine-tune the pre-trained model for the target task. However, transfer learning can be impractical and inefficient because the predefined model’s architecture is not as accurate as transfer learning from medical images because of the differences in image features.
- Semi-supervised learning [8] was proposed to exploit an unlimited amount of unlabeled data to improve performance. However, it usually assumes that labeled data is sufficient to cover the data distribution, with smoothness assumptions, low-density separation assumptions, and popular assumptions, such as adversarial learning [9] and noisy labels [10].
- Active learning [11] was developed to select the most representative samples that are annotated without unannotated data but only focus on saving manual labor.
- Self-Supervised Learning [12], also known as unsupervised visual representation learning, can be achieved by providing a strategy to pre-train the neural network with unlabeled data, draw the prior knowledge distribution of the image itself, and then fine-tune the downstream tasks with limited annotation to transfer the knowledge learned during the pre-training process to the downstream tasks and improve the downstream tasks.
- We propose a novel SSL framework that provides an encoder for classification and an encoder-decoder for segmentation for severity classification and lesion segmentation from COVID-19 CT images.
- We formulate a collaborative learning task that splits features into learning rotation-dependent and invariant representations, which can learn rotation-discriminative features from pneumonia images and rotation-independent features. When comparing prediction tasks, we investigate different data augmentation operations in the definition. The results show that random cropping, color dithering, random erasing, and binarization combined are helpful for the pretext task of CT images to learn discriminative feature representations.
- Experiments are conducted on an aggregated dataset consisting of three COVID-19 CT image datasets. The results show that our self-supervised method achieved better results than other state-of-the-art methods. Our method has demonstrated superior performance in COVID-19 severity diagnosis and lesion segmentation. Our method can reduce the performance gaps caused by the number of annotated datasets (10% vs. 100% annotations) with limited annotated datasets.
2. Related Works
2.1. Deep Learning for COIVD-19 Diagnosis Based on Classification and Segmentation Tasks
2.2. Self-Supervised Learning
3. Materials and Methods
3.1. Rotation Prediction Task
3.2. Multi-View Instance Discrimination Task
3.3. Reconstruction Task
3.4. Loss Function
3.5. Encoder-Decoder Architecture
4. Experiments and Results
4.1. Datasets
4.1.1. Self-Built Dataset (3D-COVID)
4.1.2. Lesion Segmentation Dataset (COVID19-Seg)
4.1.3. Lesion Segmentation Dataset (CC-COVID)
4.2. Experimental Details
4.3. Assessment of Performance
4.4. Classification Results of COVID-19 Severity
4.5. Segmentation Results of COVID-19 Lesions
4.6. Ablation Experiment
4.6.1. Data Augmentation Analysis
4.6.2. Influence of Pretext Tasks
4.6.3. The Impact of Unlabeled Sample Data Volume
5. Discussion
6. Conclusions
Author Contributions
Funding
Conflicts of Interest
References
- Xu, X.; Jiang, X.; Ma, C.; Du, P.; Li, X.; Lv, S.; Yu, L.; Ni, Q.; Chen, Y.; Su, J. A deep learning system to screen novel coronavirus disease 2019 pneumonia. Engineering 2020, 6, 1122–1129. [Google Scholar] [CrossRef]
- Rahman, T.; Al-Ishaq, F.A.; Al-Mohannadi, F.S.; Mubarak, R.S.; Al-Hitmi, M.H.; Islam, K.R.; Khandakar, A.; Hssain, A.A.; Al-Madeed, S.; Zughaier, S.M. Mortality prediction utilizing blood biomarkers to predict the severity of COVID-19 using machine learning technique. Diagnostics 2021, 11, 1582. [Google Scholar] [CrossRef]
- Baratella, E.; Ruaro, B.; Marrocchio, C.; Starvaggi, N.; Salton, F.; Giudici, F.; Quaia, E.; Confalonieri, M.; Cova, M.A. Interstitial lung disease at high resolution CT after SARS-CoV-2-related acute respiratory distress syndrome according to pulmonary segmental anatomy. J. Clin. Med. 2021, 10, 3985. [Google Scholar] [CrossRef]
- Ruaro, B.; Confalonieri, P.; Pozzan, R.; Tavano, S.; Mondini, L.; Baratella, E.; Pagnin, A.; Lerda, S.; Geri, P.; Biolo, M. Severe COVID-19 ARDS Treated by Bronchoalveolar Lavage with Diluted Exogenous Pulmonary Surfactant as Salvage Therapy: In Pursuit of the Holy Grail? J. Clin. Med. 2022, 11, 3577. [Google Scholar] [CrossRef]
- He, K.; Zhao, W.; Xie, X.; Ji, W.; Liu, M.; Tang, Z.; Shi, Y.; Shi, F.; Gao, Y.; Liu, J. Synergistic learning of lung lobe segmentation and hierarchical multi-instance classification for automated severity assessment of COVID-19 in CT images. Pattern Recognit. 2021, 113, 107828. [Google Scholar] [CrossRef]
- Qiblawey, Y.; Tahir, A.; Chowdhury, M.E.; Khandakar, A.; Kiranyaz, S.; Rahman, T.; Ibtehaz, N.; Mahmud, S.; Maadeed, S.A.; Musharavati, F. Detection and severity classification of COVID-19 in CT images using deep learning. Diagnostics 2021, 11, 893. [Google Scholar] [CrossRef]
- He, K.; Girshick, R.; Dollár, P. Rethinking imagenet pre-training. In Proceedings of the IEEE/CVF International Conference on Computer Vision, Seoul, Korea, 27 October–2 November 2019; pp. 4918–4927. [Google Scholar]
- Li, X.; Yu, L.; Chen, H.; Fu, C.-W.; Xing, L.; Heng, P.-A. Transformation-consistent self-ensembling model for semisupervised medical image segmentation. IEEE Trans. Neural Netw. Learn. Syst. 2020, 32, 523–534. [Google Scholar] [CrossRef]
- Madani, A.; Moradi, M.; Karargyris, A.; Syeda-Mahmood, T. Semi-supervised learning with generative adversarial networks for chest X-ray classification with ability of data domain adaptation. In Proceedings of the 2018 IEEE 15th International Symposium on Biomedical Imaging (ISBI 2018), Washington, DC, USA, 4–7 April 2018; pp. 1038–1042. [Google Scholar]
- Yu, L.; Wang, S.; Li, X.; Fu, C.-W.; Heng, P.-A. Uncertainty-aware self-ensembling model for semi-supervised 3D left atrium segmentation. In Proceedings of the International Conference on Medical Image Computing and Computer-Assisted Intervention, Shenzhen, China, 13–17 October 2019; pp. 605–613. [Google Scholar]
- Yang, L.; Zhang, Y.; Chen, J.; Zhang, S.; Chen, D.Z. Suggestive annotation: A deep active learning framework for biomedical image segmentation. In Proceedings of the International Conference on Medical Image Computing and Computer-Assisted Intervention, Quebec City, QC, Canada, 11–13 September 2017; Springer: Cham, Switzerland, 2017; pp. 399–407. [Google Scholar]
- Zhai, X.; Oliver, A.; Kolesnikov, A.; Beyer, L. S4l: Self-supervised semi-supervised learning. In Proceedings of the IEEE/CVF International Conference on Computer Vision, Seoul, Korea, 27 October–2 November 2019; pp. 1476–1485. [Google Scholar]
- Zhang, R.; Isola, P.; Efros, A.A. Colorful image colorization. In Proceedings of the European Conference on Computer Vision, Amsterdam, The Netherlands, 11–14 October 2016; Springer: Cham, Switzerland, 2016; pp. 649–666. [Google Scholar]
- Noroozi, M.; Favaro, P. Unsupervised learning of visual representations by solving jigsaw puzzles. In Proceedings of European Conference on Computer Vision; Springer: Cham, Switzerland, 2016; pp. 69–84. [Google Scholar]
- Dai, Q.; Patil, V.; Hecker, S.; Dai, D.; Van Gool, L.; Schindler, K. Self-supervised object motion and depth estimation from video. In Proceedings of the IEEE/CVF Conference on Computer Vision and Pattern Recognition Workshops, Seattle, WA, USA, 14–19 June 2020; pp. 1004–1005. [Google Scholar]
- Feng, Z.; Xu, C.; Tao, D. Self-supervised representation learning by rotation feature decoupling. In Proceedings of the IEEE/CVF Conference on Computer Vision and Pattern Recognition, Long Beach, CA, USA, 15–20 June 2019; pp. 10364–10374. [Google Scholar]
- Kingma, D.P.; Welling, M. Auto-encoding variational bayes. arXiv 2013, arXiv:1312.6114. [Google Scholar]
- Goodfellow, I.; Pouget-Abadie, J.; Mirza, M.; Xu, B.; Warde-Farley, D.; Ozair, S.; Courville, A.; Bengio, Y. Generative adversarial nets. arXiv 2014, arXiv:1406.2661. [Google Scholar]
- Jamaludin, A.; Kadir, T.; Zisserman, A. Self-supervised learning for spinal MRIs. In Deep Learning in Medical Image Analysis and Multimodal Learning for Clinical Decision Support; Springer: Berlin/Heidelberg, Germany, 2017; pp. 294–302. [Google Scholar]
- Bai, W.; Chen, C.; Tarroni, G.; Duan, J.; Guitton, F.; Petersen, S.E.; Guo, Y.; Matthews, P.M.; Rueckert, D. Self-supervised learning for cardiac mr image segmentation by anatomical position prediction. In Proceedings of the International Conference on Medical Image Computing and Computer-Assisted Intervention, Shenzhen, China, 13–17 October 2019; Springer: Cham, Switzerland, 2019; pp. 541–549. [Google Scholar]
- Tajbakhsh, N.; Hu, Y.; Cao, J.; Yan, X.; Xiao, Y.; Lu, Y.; Liang, J.; Terzopoulos, D.; Ding, X. Surrogate supervision for medical image analysis: Effective deep learning from limited quantities of labeled data. In Proceedings of the 2019 IEEE 16th International Symposium on Biomedical Imaging (ISBI 2019), Venice, Italy, 8–11 April 2019; pp. 1251–1255. [Google Scholar]
- Zhuang, X.; Li, Y.; Hu, Y.; Ma, K.; Yang, Y.; Zheng, Y. Self-supervised feature learning for 3d medical images by playing a rubik’s cube. In Proceedings of the International Conference on Medical Image Computing and Computer-Assisted Intervention, Shenzhen, China, 13–17 October 2019; Springer: Cham, Switzerland, 2019; pp. 420–428. [Google Scholar]
- Zhu, J.; Li, Y.; Hu, Y.; Ma, K.; Zhou, S.K.; Zheng, Y. Rubik’s cube+: A self-supervised feature learning framework for 3d medical image analysis. Med. Image Anal. 2020, 64, 101746. [Google Scholar] [CrossRef]
- Cheng, G.; Zhou, P.; Han, J. Rifd-cnn: Rotation-invariant and fisher discriminative convolutional neural networks for object detection. In Proceedings of the IEEE Conference on Computer Vision and Pattern Recognition, Las Vegas, NV, USA, 27–30 June 2016; pp. 2884–2893. [Google Scholar]
- Cheng, G.; Zhou, P.; Han, J. Learning rotation-invariant convolutional neural networks for object detection in VHR optical remote sensing images. IEEE Trans. Geosci. Remote Sens. 2016, 54, 7405–7415. [Google Scholar] [CrossRef]
- Cheng, G.; Han, J.; Zhou, P.; Xu, D. Learning rotation-invariant and fisher discriminative convolutional neural networks for object detection. IEEE Trans. Image Processing 2018, 28, 265–278. [Google Scholar] [CrossRef] [PubMed]
- Li, X.; Hu, X.; Qi, X.; Yu, L.; Zhao, W.; Heng, P.-A.; Xing, L. Rotation-oriented Collaborative Self-supervised Learning for Retinal Disease Diagnosis. IEEE Trans. Med. Imaging 2021, 40, 2284–2294. [Google Scholar] [CrossRef] [PubMed]
- Aslan, M.F.; Sabanci, K.; Durdu, A.; Unlersen, M.F. COVID-19 diagnosis using state-of-the-art CNN architecture features and Bayesian Optimization. Comput. Biol. Med. 2022, 2022, 105244. [Google Scholar] [CrossRef]
- Aslan, M.F.; Unlersen, M.F.; Sabanci, K.; Durdu, A. CNN-based transfer learning–BiLSTM network: A novel approach for COVID-19 infection detection. Appl. Soft Comput. 2021, 98, 106912. [Google Scholar] [CrossRef]
- Zhao, C.; Xu, Y.; He, Z.; Tang, J.; Zhang, Y.; Han, J.; Shi, Y.; Zhou, W. Lung segmentation and automatic detection of COVID-19 using radiomic features from chest CT images. Pattern Recognit. 2021, 119, 108071. [Google Scholar] [CrossRef]
- Qian, X.; Fu, H.; Shi, W.; Chen, T.; Fu, Y.; Shan, F.; Xue, X. M3 Lung-Sys: A Deep Learning System for Multi-Class Lung Pneumonia Screening From CT Imaging. IEEE J. Biomed. Health Inform. 2020, 24, 3539–3550. [Google Scholar] [CrossRef]
- Zhang, J.; Xie, Y.; Pang, G.; Liao, Z.; Verjans, J.; Li, W.; Sun, Z.; He, J.; Li, Y.; Shen, C. Viral pneumonia screening on chest x-rays using Confidence-Aware anomaly detection. IEEE Trans. Med. Imaging 2020, 40, 879–890. [Google Scholar] [CrossRef]
- Liu, X.; Yuan, Q.; Gao, Y.; He, K.; Wang, S.; Tang, X.; Tang, J.; Shen, D. Weakly Supervised Segmentation of COVID19 Infection with Scribble Annotation on CT Images. Pattern Recognit. 2021, 122, 108341. [Google Scholar] [CrossRef]
- Wu, J.; Xu, H.; Zhang, S.; Li, X.; Chen, J.; Zheng, J.; Gao, Y.; Tian, Y.; Liang, Y.; Ji, R. Joint segmentation and detection of COVID-19 via a sequential region generation network. Pattern Recognit. 2021, 118, 108006. [Google Scholar] [CrossRef]
- Goncharov, M.; Pisov, M.; Shevtsov, A.; Shirokikh, B.; Kurmukov, A.; Blokhin, I.; Chernina, V.; Solovev, A.; Gombolevskiy, V.; Morozov, S. CT-based COVID-19 triage: Deep multitask learning improves joint identification and severity quantification. Med. Image Anal. 2021, 71, 102054. [Google Scholar] [CrossRef] [PubMed]
- He, K.; Zhang, X.; Ren, S.; Sun, J. Deep residual learning for image recognition. In Proceedings of the IEEE Conference on Computer Vision and Pattern Recognition, Las Vegas, NV, USA, 27–30 June 2016; pp. 770–778. [Google Scholar]
- Ronneberger, O.; Fischer, P.; Brox, T. U-net: Convolutional networks for biomedical image segmentation. In Proceedings of the International Conference on Medical Image Computing and Computer-Assisted Intervention, Munich, Germany, 5–9 October 2015; Springer: Cham, Switzerland, 2015; pp. 234–241. [Google Scholar]
- Liu, X.; Yu, A.; Wei, X.; Pan, Z.; Tang, J. Multimodal MR image synthesis using gradient prior and adversarial learning. IEEE J. Sel. Top. Signal Processing 2020, 14, 1176–1188. [Google Scholar] [CrossRef]
- Mu, N.; Wang, H.; Zhang, Y.; Jiang, J.; Tang, J. Progressive global perception and local polishing network for lung infection segmentation of COVID-19 CT images. Pattern Recognit. 2021, 120, 108168. [Google Scholar] [CrossRef]
- Doersch, C.; Gupta, A.; Efros, A.A. Unsupervised visual representation learning by context prediction. In Proceedings of the IEEE International Conference on Computer Vision, Santiago, Chile, 7–13 December 2015; pp. 1422–1430. [Google Scholar]
- Larsson, G.; Maire, M.; Shakhnarovich, G. Colorization as a proxy task for visual understanding. In Proceedings of the IEEE Conference on Computer Vision and Pattern Recognition, Honolulu, HI, USA, 21–26 July 2017; pp. 6874–6883. [Google Scholar]
- Chen, L.; Bentley, P.; Mori, K.; Misawa, K.; Fujiwara, M.; Rueckert, D. Self-supervised learning for medical image analysis using image context restoration. Med. Image Anal. 2019, 58, 101539. [Google Scholar] [CrossRef] [PubMed]
- Dosovitskiy, A.; Fischer, P.; Springenberg, J.T.; Riedmiller, M.; Brox, T. Discriminative unsupervised feature learning with exemplar convolutional neural networks. IEEE Trans. Pattern Anal. Mach. Intell. 2015, 38, 1734–1747. [Google Scholar] [CrossRef] [PubMed] [Green Version]
- Wu, Z.; Xiong, Y.; Yu, S.X.; Lin, D. Unsupervised feature learning via non-parametric instance discrimination. In Proceedings of the IEEE Conference on Computer Vision and Pattern Recognition, Salt Lake City, UT, USA, 18–22 June 2018; pp. 3733–3742. [Google Scholar]
- Ye, M.; Zhang, X.; Yuen, P.C.; Chang, S.-F. Unsupervised embedding learning via invariant and spreading instance feature. In Proceedings of the IEEE/CVF Conference on Computer Vision and Pattern Recognition, Long Beach, CA, USA, 15–20 June 2019; pp. 6210–6219. [Google Scholar]
- Chen, X.; Yao, L.; Zhou, T.; Dong, J.; Zhang, Y. Momentum contrastive learning for few-shot COVID-19 diagnosis from chest CT images. Pattern Recognit. 2021, 113, 107826. [Google Scholar] [CrossRef]
- Zhang, K.; Liu, X.; Shen, J.; Li, Z.; Sang, Y.; Wu, X.; Zha, Y.; Liang, W.; Wang, C.; Wang, K. Clinically applicable AI system for accurate diagnosis, quantitative measurements, and prognosis of COVID-19 pneumonia using computed tomography. Cell 2020, 181, 1423–1433.e11. [Google Scholar] [CrossRef] [PubMed]
- Simonyan, K.; Zisserman, A. Very deep convolutional networks for large-scale image recognition. arXiv 2014, arXiv:1409.1556. [Google Scholar]
- Huang, G.; Liu, Z.; Van Der Maaten, L.; Weinberger, K.Q. Densely connected convolutional networks. In Proceedings of the IEEE Conference on Computer Vision and Pattern Recognition, Honolulu, HI, USA, 21–26 July 2017; pp. 4700–4708. [Google Scholar]
- Gidaris, S.; Singh, P.; Komodakis, N. Unsupervised representation learning by predicting image rotations. arXiv 2018, arXiv:1803.07728. [Google Scholar]
- He, K.; Fan, H.; Wu, Y.; Xie, S.; Girshick, R. Momentum contrast for unsupervised visual representation learning. In Proceedings of the IEEE/CVF Conference on Computer Vision and Pattern Recognition, Seattle, WA, USA, 14–19 June 2020; pp. 9729–9738. [Google Scholar]
- Chen, T.; Kornblith, S.; Norouzi, M.; Hinton, G. A simple framework for contrastive learning of visual representations. In Proceedings of the International Conference on Machine Learning, Vienna, Austria, 12–18 July 2020; pp. 1597–1607. [Google Scholar]
- Zhou, Z.; Rahman Siddiquee, M.M.; Tajbakhsh, N.; Liang, J. Unet++: A nested u-net architecture for medical image segmentation. In Deep Learning in Medical Image Analysis and Multimodal Learning for Clinical Decision Support; Springer: Berlin/Heidelberg, Germany, 2018; pp. 3–11. [Google Scholar]
- Tang, J.; Millington, S.; Acton, S.T.; Crandall, J.; Hurwitz, S. Ankle Cartilage Surface Segmentation using directional Gradient Vector Flow Snakes. In Proceedings of the IEEE International Conference on Image Processing (ICIP 2004), Singapore, 24–27 October 2004; pp. 2745–2748. [Google Scholar]
- Tang, J.; Guo, S.; Sun, Q.; Deng, Y.; Zhou, D. Speckle reducing bilateral filter for cattle follicle segmentation. BMC Genom. 2010, 11, 1–9. [Google Scholar] [CrossRef] [Green Version]





| Module Name | Num | Floor | Input | The Amount of Data |
|---|---|---|---|---|
| Encoder block 1 | 2 | {conv, batchnorm, ReLU} | 2D CT slices | 34 K |
| pooling layer 1 | 1 | max-pooling | Encoder block 1 | - |
| Encoder block 2 | 2 | {conv, batchnorm, ReLU} | pooling layer 1 | 68 K |
| pooling layer 2 | 1 | max-pooling | Encoder block 2 | - |
| Encoder block 3 | 2 | {conv, batchnorm, ReLU} | pooling layer 2 | 68 K |
| pooling layer 3 | 1 | max-pooling | Encoder block 3 | - |
| Encoder block 4 | 2 | {conv, batchnorm, ReLU} | pooling layer 3 | 68 K |
| pooling layer 4 | 1 | max-pooling | Encoder block 4 | - |
| Encoder block 5 | 2 | {conv, batchnorm, ReLU} | pooling layer 4 | 2465 K |
| Decoder-block 4 | 1 | {up-sample, conv, batchnorm, ReLU, concat} | Encoder block 5 | 358 K |
| 2 | {conv, batchnorm, ReLU} | Decoder-block 4 | ||
| Decoder-block 3 | 1 | {up-sample, conv, batchnorm, ReLU, concat} | Decoder-block 4 | 137 K |
| 2 | {conv, batchnorm, ReLU} | Decoder-block 3 | ||
| Decoder-block 2 | 1 | {up-sample, conv, batchnorm, ReLU, concat} | Decoder-block 3 | 137 K |
| 2 | {conv, batchnorm, ReLU} | Decoder-block 2 | ||
| Decoder-block 1 | 1 | {up-sample, conv, batchnorm, ReLU, concat} | Decoder-block 2 | 137 K |
| 1 | {conv, batchnorm, ReLU} | Decoder-block 1 | ||
| 1 × 1 Conv block | 1 | 1 × 1 conv | Decoder-block 1 | 0.25 K |
| Datasets | 3D-COVID | COVID19-Seg | CC-COVID |
|---|---|---|---|
| Slight | 200 | 60 | 47 |
| Medium | 250 | 30 | 29 |
| Severe | 150 | 10 | 24 |
| Sum | 600 | 100 | 100 |
| Method | Accuracy | Precision | Recall | F1 Score | |
|---|---|---|---|---|---|
| Supervised | VGG19 [48] | 73.21 | 68.60 | 63.26 | 65.82 |
| ResNet50 [36] | 75.89 | 73.19 | 69.58 | 71.34 | |
| DenseNet121 [49] | 76.64 | 78.51 | 72.95 | 75.62 | |
| Self-supervised | Rotation [50] | 82.33 | 78.39 | 65.00 | 71.06 |
| Wu [44] | 84.69 | 88.63 | 74.34 | 80.85 | |
| Moco V1 [51] | 88.33 | 82.49 | 70.53 | 76.04 | |
| SimCLR [52] | 84.21 | 79.17 | 71.88 | 75.34 | |
| Ours | 95.49 | 93.66 | 86.98 | 90.19 |
| Labels | Method | Dice % |
|---|---|---|
| 10% | Ours | 74.94 |
| U-Net | 58.06 | |
| U-Net++ | 57.21 | |
| 30% | Ours | 78.32 |
| U-Net | 66.44 | |
| U-Net++ | 66.27 | |
| 70% | Ours | 82.11 |
| U-Net | 74.09 | |
| U-Net++ | 76.32 | |
| 100% | Ours | 84.91 |
| U-Net | 79.33 | |
| U-Net++ | 81.16 |
| Crop | Color Jitter | Random Erasing | Binarization | Dice |
|---|---|---|---|---|
| 77.12 | ||||
| ✓ | 79.44 | |||
| ✓ | 78.79 | |||
| ✓ | 77.89 | |||
| ✓ | 79.22 | |||
| ✓ | ✓ | ✓ | 80.83 | |
| ✓ | ✓ | ✓ | 81.66 | |
| ✓ | ✓ | ✓ | 81.19 | |
| ✓ | ✓ | ✓ | 82.91 | |
| ✓ | ✓ | ✓ | ✓ | 84.91 |
| Accuracy | Precision | Dice | F1 Score | |
|---|---|---|---|---|
| λ1 = 1, λ2 = 0 | 85.67 | 83.95 | 76.51 | 80.05 |
| λ1 = 1, λ2 = 0.5 | 87.69 | 84.42 | 80.98 | 82.66 |
| λ1 = λ2 = 1 | 89.03 | 87.12 | 82.37 | 84.67 |
| λ1 = 1.5, λ2 = 1 | 95.49 | 93.66 | 86.98 | 90.19 |
| λ1 = 2, λ2 = 1 | 92.21 | 88.55 | 81.23 | 84.73 |
| λ1 = 0, λ2 = 1 | 78.42 | 76.97 | 69.38 | 72.98 |
| Pre-Training | Accuracy | Precision | Recall | F1 Score | Dice |
|---|---|---|---|---|---|
| All | 95.49 | 93.66 | 86.98 | 90.19 | 84.91 |
| Dataset 1 | 83.52 | 79.19 | 78.30 | 78.74 | 75.26 |
Publisher’s Note: MDPI stays neutral with regard to jurisdictional claims in published maps and institutional affiliations. |
© 2022 by the authors. Licensee MDPI, Basel, Switzerland. This article is an open access article distributed under the terms and conditions of the Creative Commons Attribution (CC BY) license (https://creativecommons.org/licenses/by/4.0/).
Share and Cite
Song, Y.; Liu, J.; Liu, X.; Tang, J. COVID-19 Infection Segmentation and Severity Assessment Using a Self-Supervised Learning Approach. Diagnostics 2022, 12, 1805. https://doi.org/10.3390/diagnostics12081805
Song Y, Liu J, Liu X, Tang J. COVID-19 Infection Segmentation and Severity Assessment Using a Self-Supervised Learning Approach. Diagnostics. 2022; 12(8):1805. https://doi.org/10.3390/diagnostics12081805
Chicago/Turabian StyleSong, Yao, Jun Liu, Xinghua Liu, and Jinshan Tang. 2022. "COVID-19 Infection Segmentation and Severity Assessment Using a Self-Supervised Learning Approach" Diagnostics 12, no. 8: 1805. https://doi.org/10.3390/diagnostics12081805
APA StyleSong, Y., Liu, J., Liu, X., & Tang, J. (2022). COVID-19 Infection Segmentation and Severity Assessment Using a Self-Supervised Learning Approach. Diagnostics, 12(8), 1805. https://doi.org/10.3390/diagnostics12081805

