Small Renal Masses without Gross Fat: What Is the Role of Contrast-Enhanced MDCT?
Abstract
:1. Introduction
2. Materials and Methods
2.1. Study Design, Setting, Population and Analysed Data
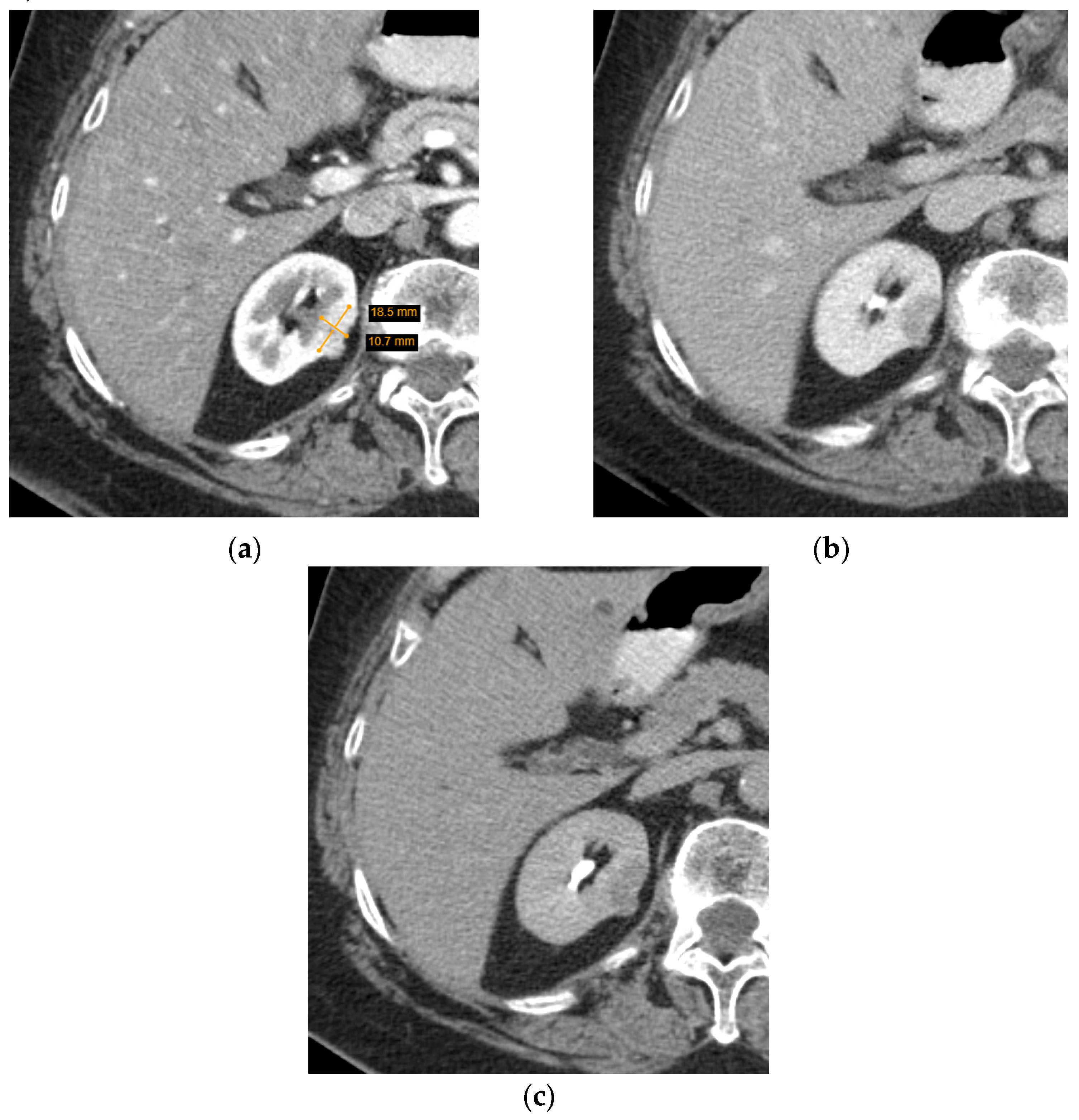
2.2. Scanning Parameters and Image Assessment
2.3. Statistical Analysis
3. Results
4. Discussion
5. Conclusions
Author Contributions
Funding
Institutional Review Board Statement
Informed Consent Statement
Data Availability Statement
Conflicts of Interest
References
- Lightfoot, N.; Conlon, M.; Kreiger, N.; Bissett, R.; Desai, M.; Warde, P.; Prichard, H.M. Impact of noninvasive imaging on increased incidental detection of renal cell carcinoma. Eur. Urol. 2000, 37, 521–527. [Google Scholar] [CrossRef] [PubMed]
- Hollingsworth, J.M.; Miller, D.C.; Daignault, S.; Hollenbeck, B.K. Rising Incidence of Small Renal Masses: A Need to Reassess Treatment Effect. JNCI J. Natl. Cancer Inst. 2006, 98, 1331–1334. [Google Scholar] [CrossRef] [PubMed]
- Znaor, A.; Lortet-Tieulent, J.; Laversanne, M.; Jemal, A.; Bray, F. International variations and trends in renal cell carcinoma incidence and mortality. Eur. Urol. 2015, 67, 519–530. [Google Scholar] [CrossRef] [PubMed]
- Herts, B.R.; Silverman, S.G.; Hindman, N.M.; Uzzo, R.G.; Hartman, R.P.; Israel, G.M.; Baumgarten, D.A.; Berland, L.L.; Pandharipande, P.V. Management of the Incidental Renal Mass on CT: A White Paper of the ACR Incidental Findings Committee. J. Am. Coll. Radiol. 2018, 15, 264–273. [Google Scholar] [CrossRef] [Green Version]
- Whelan, E.A.; Mason, R.J.; Himmelman, J.G.; Matheson, K.; Rendon, R.A. Extended Duration of Active Surveillance of Small Renal Masses: A Prospective Cohort Study. J. Urol. 2019, 202, 57–61. [Google Scholar] [CrossRef]
- Deng, J.; Li, L.; Xia, H.; Guo, J.; Wu, X.; Yang, X.; Hong, Y.; Chen, Q.; Hu, J. A comparison of the prognosis of papillary and clear cell renal cell carcinoma: Evidence from a meta-analysis. Medicine 2019, 98, e16309. [Google Scholar] [CrossRef]
- Escudier, B.; Porta, C.; Schmidinger, M.; Rioux-Leclercq, N.; Bex, A.; Khoo, V.; Grünwald, V.; Gillessen, S.; Horwich, A. Renal cell carcinoma: ESMO Clinical Practice Guidelines for diagnosis, treatment and follow-up. Ann. Oncol. 2019, 30, 706–720. [Google Scholar] [CrossRef] [Green Version]
- Siegel, R.L.; Miller, K.D.; Jemal, A. Cancer statistics, 2018. CA A Cancer J. Clin. 2018, 68, 7–30. [Google Scholar] [CrossRef]
- Kang, S.K.; Huang, W.C.; Pandharipande, P.V.; Chandarana, H. Solid renal masses: What the numbers tell us. Am. J. Roentgenol. 2014, 202, 1196–1206. [Google Scholar] [CrossRef] [Green Version]
- Leão, R.R.N.; Ahmad, A.E.; Richard, P.O. Should Small Renal Masses Be Biopsied? Curr. Urol. Rep. 2017, 18, 7. [Google Scholar] [CrossRef]
- Paterson, C.; Ghaemi, J.; Alashkham, A.; Biyani, C.S.; Coles, B.; Baker, L.; Szewczyk-Bieda, M.; Nabi, G. Diagnostic accuracy of image-guided biopsies in small (<4 cm) renal masses with implications for active surveillance: A systematic review of the evidence. Br. J. Radiol. 2018, 91, 20170761. [Google Scholar] [CrossRef] [PubMed] [Green Version]
- Marconi, L.; Dabestani, S.; Lam, T.B.; Hofmann, F.; Stewart, F.; Norrie, J.; Bex, A.; Bensalah, K.; Canfield, S.E.; Hora, M.; et al. Systematic review and meta-analysis of diagnostic accuracy of percutaneous renal tumour biopsy. Eur. Urol. 2016, 39, 660–673. [Google Scholar] [CrossRef] [PubMed]
- Bosniak, M.A. The small (≤3.0 cm) renal parenchymal tumor: Detection, diagnosis, and controversies. Radiology 1991, 179, 307–317. [Google Scholar] [CrossRef] [PubMed]
- Leveridge, M.J.; Bostrom, P.J.; Koulouris, G.; Finelli, A.; Lawrentschuk, N. Imaging renal cell carcinoma with ultrasonography, CT and MRI. Nat. Rev. Urol. 2010, 7, 311–325. [Google Scholar] [CrossRef] [PubMed]
- Woo, S.; Cho, J.Y.; Kim, S.H.; Kim, S.Y.; Lee, H.J.; Hwang, S., II; Moon, M.H.; Sung, C.K. Segmental enhancement inversion of small renal oncocytoma: Differences in prevalence according to tumor size. Am. J. Roentgenol. 2013, 200, 1054–1059. [Google Scholar] [CrossRef]
- Schieda, N.; Kielar, A.Z.; al Dandan, O.; McInnes, M.D.F.; Flood, T.A. Ten uncommon and unusual variants of renal angiomyolipoma (AML): Radiologic-pathologic correlation. Clin. Radiol. 2015, 70, 206–220. [Google Scholar] [CrossRef]
- Woo, S.; Suh, C.H.; Cho, J.Y.; Kim, S.Y.; Kim, S.H. Diagnostic performance of CT for diagnosis of fat-poor angiomyolipoma in patients with renal masses: A systematic review and meta-analysis. Am. J. Roentgenol. 2017, 209, W297–W307. [Google Scholar] [CrossRef]
- Cho, E.; Adami, H.O.; Lindblad, P. Epidemiology of renal cell cancer. Hematol. Oncol. Clin. N. Am. 2011, 25, 651–665. [Google Scholar] [CrossRef]
- Al Harbi, F.; Tabatabaeefar, L.; Jewett, M.A.; Finelli, A.; O’Malley, M.; Atri, M. Enhancement threshold of small (<4 cm) solid renal masses on CT. Am. J. Roentgenol. 2016, 206, 554–558. [Google Scholar] [CrossRef]
- Choi, S.K.; Jeon, S.H.; Chang, S.G. Characterization of small renal masses less than 4 cm with quadriphasic multidetector helical computed tomography: Differentiation of benign and malignant lesions. Korean J. Urol. 2012, 53, 159–164. [Google Scholar] [CrossRef]
- Silver, D.A.; Morash, C.; Brenner, P.; Campbell, S.; Russo, P. Pathologic findings at the time of nephrectomy for renal mass. Ann. Surg. Oncol. 1997, 4, 570–574. [Google Scholar] [CrossRef] [PubMed]
- Duchene, D.A.; Lotan, Y.; Cadeddu, J.A.; Sagalowsky, A.I.; Koeneman, K.S. Histopathology of surgically managed renal tumors: Analysis of a contemporary series. Urology 2003, 62, 827–830. [Google Scholar] [CrossRef]
- Kutikov, A.; Fossett, L.K.; Ramchandani, P.; Tomaszewski, J.E.; Siegelman, E.S.; Banner, M.P.; van Arsdalen, K.N.; Wein, A.J.; Malkowicz, S.B. Incidence of benign pathologic findings at partial nephrectomy for solitary renal mass presumed to be renal cell carcinoma on preoperative imaging. Urology 2006, 68, 737–740. [Google Scholar] [CrossRef] [PubMed]
- Schachter, L.R.; Cookson, M.S.; Chang, S.S.; Smith, J.A.; Dietrich, M.S.; Jayaram, G.; Herrell, S.D. Frequency of benign renal cortical tumors and histologic subtypes based on size in a contemporary series: What to tell our patients. J. Endourol. 2007, 21, 819–823. [Google Scholar] [CrossRef]
- Silverman, S.G.; Israel, G.M.; Trinh, Q.D. Incompletely characterized incidental renal masses: Emerging data support conservative management. Radiology 2015, 275, 28–42. [Google Scholar] [CrossRef]
- Kay, F.U.; Pedrosa, I. Imaging of Solid Renal Masses. Radiol. Clin. N. Am. 2017, 55, 243–258. [Google Scholar] [CrossRef] [Green Version]
- Kim, S.H.; Kim, C.S.; Kim, M.J.; Cho, J.Y.; Cho, S.H. Differentiation of clear cell renal cell carcinoma from other subtypes and fat-poor angiomyolipoma by use of quantitative enhancement measurement during three-phase MDCT. Am. J. Roentgenol. 2016, 206, W21–W28. [Google Scholar] [CrossRef]
- Paño, B.; Macías, N.; Salvador, R.; Torres, F.; Buñesch, L.; Sebastià, C.; Nicolau, C. Usefulness of MDCT to differentiate between renal cell carcinoma and oncocytoma: Development of a predictive model. Am. J. Roentgenol. 2016, 206, 764–774. [Google Scholar] [CrossRef]
- Frank, I.; Blute, M.L.; Cheville, J.C.; Lohse, C.M.; Weaver, A.L.; Zincke, H. Solid renal tumors: An analysis of pathological features related to tumor size. J. Urol. 2003, 170, 2217–2220. [Google Scholar] [CrossRef]
- Erdim, C.; Yardimci, A.H.; Bektas, C.T.; Kocak, B.; Koca, S.B.; Demir, H.; Kilickesmez, O. Prediction of Benign and Malignant Solid Renal Masses: Machine Learning-Based CT Texture Analysis. Acad. Radiol. 2020, 27, 1422–1429. [Google Scholar] [CrossRef]
- Raman, S.P.; Chen, Y.; Schroeder, J.L.; Huang, P.; Fishman, E.K. CT texture analysis of renal masses: Pilot study using random forest classification for prediction of pathology. Acad. Radiol. 2014, 21, 1587–1596. [Google Scholar] [CrossRef] [PubMed] [Green Version]
- Hodgdon, T.; McInnes, M.D.F.; Schieda, N.; Flood, T.A.; Lamb, L.; Thornhill, R.E. Can quantitative CT texture analysis be used to differentiate fat-poor renal angiomyolipoma from renal cell carcinoma on unenhanced CT images? Radiology 2015, 276, 787–796. [Google Scholar] [CrossRef] [PubMed]
- Sasaguri, K.; Takahashi, N.; Gomez-Cardona, D.; Leng, S.; Schmit, G.D.; Carter, R.E.; Leibovich, B.C.; Kawashima, A. Small (<4 cm) renal mass: Differentiation of oncocytoma from renal cell carcinoma on biphasic contrast-enhanced CT. Am. J. Roentgenol. 2015, 205, 999–1007. [Google Scholar] [CrossRef] [PubMed]
- Sasaguri, K.; Takahashi, N. CT and MR imaging for solid renal mass characterization. Eur. J. Radiol. 2018, 99, 40–54. [Google Scholar] [CrossRef] [PubMed]
- Choudhary, S.; Rajesh, A.; Mayer, N.J.; Mulcahy, K.A.; Haroon, A. Renal oncocytoma: CT features cannot reliably distinguish oncocytoma from other renal neoplasms. Clin. Radiol. 2009, 64, 517–522. [Google Scholar] [CrossRef]
- Varghese, B.A.; Chen, F.; Hwang, D.H.; Cen, S.Y.; Desai, B.; Gill, I.S.; Duddalwar, V.A. Differentiation of predominantly solid enhancing lipid-poor renal cell masses by use of contrast-enhanced CT: Evaluating the role of texture in tumor subtyping. Am. J. Roentgenol. 2018, 211, W288–W296. [Google Scholar] [CrossRef]
- Park, S.Y.; Shin, S.J.; Cho, N.H.; Jung, D.C.; Rha, K.H.; Han, W.K.; Oh, Y.T. Solid small renal mass without gross fat: CT criteria for achieving excellent positive predictive value for renal cell carcinoma. Am. J. Roentgenol. 2018, 210, W148–W155. [Google Scholar] [CrossRef] [Green Version]
- Lim, R.S.; Flood, T.A.; McInnes, M.D.F.; Lavallee, L.T.; Schieda, N. Renal angiomyolipoma without visible fat: Can we make the diagnosis using CT and MRI? Eur. Radiol. 2018, 28, 542–553. [Google Scholar] [CrossRef]
- Mir, M.C.; Capitanio, U.; Bertolo, R.; Ouzaid, I.; Salagierski, M.; Kriegmair, M.; Volpe, A.; Jewett, M.A.S.; Kutikov, A.; Pierorazio, P.M. Role of Active Surveillance for Localized Small Renal Masses. Eur. Urol. Oncol. 2018, 1, 177–187. [Google Scholar] [CrossRef]
- Ristau, B.T.; Kutikov, A.; Uzzo, R.G.; Smaldone, M.C. Active Surveillance for Small Renal Masses: When Less is More. Eur. Urol. Focus 2016, 2, 660–668. [Google Scholar] [CrossRef]
- Pierorazio, P.M.; Johnson, M.H.; Ball, M.W.; Gorin, M.A.; Trock, B.J.; Chang, P.; Wagner, A.A.; McKiernan, J.M.; Allaf, M.E. Five-year Analysis of a Multi-institutional Prospective Clinical Trial of Delayed Intervention and Surveillance for Small Renal Masses: The DISSRM Registry. Eur. Urol. 2015, 68, 408–415. [Google Scholar] [CrossRef] [PubMed]




| Tumour | Accumulation of Contrast Agent | Calcification | Central Scarring | ||
|---|---|---|---|---|---|
| Homogeneous | Heterogeneous | Poor | |||
| CCC * | − | + | − | + | +/− |
| PRCC * | − | − | + | + | − |
| ChRCC * | − | − | + | +/− | + |
| AML * | + | − | − | − | − |
| Oncocytoma | + | − | − | − | + |
| Parameters | Malignant Tumours n = 63 | Benign Tumours n = 35 | p | All Tumours n = 98 |
|---|---|---|---|---|
| Sex (%) | ||||
| Female | 37 (58.7) | 20 (57.1) | 0.88 | 57 (58.2) |
| Male | 26 (41.3) | 15 (42.9) | 41 (41.8) | |
| Affected kidney, n (%) | ||||
| Right | 28 (44.4) | 13 (57.1) | 0.53 | 41 (41.8) |
| Left | 35 (55.6) | 22 (42.9) | 57 (58.2) | |
| Diameter of the tumour (cm), median (quartiles) | 3.1 (2.6–3.8) | 2.5 (2–3.2) | 0.006 | 2.9 (2.4–3.6) |
| Age (years), median (quartiles) | 66 (57–72) | 66 (59–80) | 0.16 | 66 (58–74) |
| Localisation of the tumour, n (%) | ||||
| Superior third | 14 (22.2) | 8 (22.9) | 22 (22.4) | |
| Middle third | 24 (38.1) | 15 (42.9) | 0.9 | 39 (39.8) |
| Inferior third | 25 (39.7) | 12 (34.3) | 37 (37.8) | |
| Localisation of the tumour, n (%) | ||||
| Peripheral part | 56 (88.9) | 32 (91.4) | 0.9 | 88 (98.8) |
| Central part | 7 (11.1) | 3 (8.6) | 10 (10.2) | |
| Growth of the tumour, n (%) | ||||
| Exophytic | 20 (31.7) | 13 (37.1) | 0.65 | 33 (33.7) |
| Endophytic | 43 (68.3) | 22 (62.9) | 65 (66.3) | |
| Contact with renal pelvis/calyces, n (%) | ||||
| No | 32 (50.8) | 24 (68.6) | 0.13 | 56 (57.1) |
| Yes | 31 (49.2) | 11 (31.4) | 42 (42.9) |
| Univariate Analysis | Multivariate Analysis | |||||
|---|---|---|---|---|---|---|
| Parameters | OR * | 95% CI * | p | OR * | 95% CI * | p |
| Diameter of the tumour | 2.1 | (1.29–3.54) | 0.003 | 2.4 | (1.36–4.18) | 0.003 |
| Middle third of the kidney | 2.8 | (1.23–6.17) | 0.01 | 1.8 | (0.69–4.61) | 0.2 |
| Exophytic growth | 3.0 | (1.32–6.82) | 0.009 | 0.5 | (0.18–1.34) | 0.2 |
| Heterogeneous accumulation of c/a ** | 4.1 | (1.79–9.38) | 0.001 | 0.8 | (0.25–2.85) | 0.8 |
| Homogeneous accumulation of c/a ** | 5.8 | (2.3–14.66) | 0.001 | 3.4 | (1.13–9.90) | 0.03 |
| Central scar | 16.2 | (3.29–79.84) | 0.001 | 10.6 | (1.75–64.60) | 0.001 |
| Parameter | Sensitivity | Specificity | PPV | NPV |
|---|---|---|---|---|
| Heterogeneous accumulation of c/a * | 62.7 | 51.4 | 69.9 | 43.4 |
| Homogeneous accumulation of c/a * | 20.6 | 68.6 | 54.2 | 32.4 |
| Central scar | 91.3 | 22.9 | 68.0 | 59.3 |
| Exophytic growth | 68.3 | 37.1 | 66.2 | 39.4 |
| Middle third | 38.1 | 57.1 | 61.5 | 33.9 |
| The diameter of the tumour ≤ 3 vs. >3 cm | 52.4 | 74.3 | 78.6 | 46.4 |
| Parameters | Malignant Tumours, n = 63 | Benign Tumours, n = 35 | p | All Tumours, n = 98 |
|---|---|---|---|---|
| Accumulation of c/a, n (%) | ||||
| Poor | 12 (19.0) | 7 (20.0) | 19 (19.4) | |
| Homogeneous | 13 (20.6) | 11 (31.4) | 0.44 | 24 (24.5) |
| Heterogeneous | 38 (60.3) | 17 (48.6) | 55 (56.1) | |
| Calcification, n (%) | ||||
| Yes | 57 (90.5) | 33 (94.3) | 0.7 | 90 (91.8) |
| No | 6 (9.5) | 2 (5.7) | 8 (8.2) | |
| Central scarring, n (%) | ||||
| Yes | 55 (87.3) | 25 (71.4) | 0.06 | 80 (81.6) |
| No | 8 (12.7) | 10 (28.6) | 18 (18.4) |
Publisher’s Note: MDPI stays neutral with regard to jurisdictional claims in published maps and institutional affiliations. |
© 2022 by the authors. Licensee MDPI, Basel, Switzerland. This article is an open access article distributed under the terms and conditions of the Creative Commons Attribution (CC BY) license (https://creativecommons.org/licenses/by/4.0/).
Share and Cite
Repeckaite, G.; Zviniene, K.; Jankauskiene, J.; Basevicius, A.; Milonas, D. Small Renal Masses without Gross Fat: What Is the Role of Contrast-Enhanced MDCT? Diagnostics 2022, 12, 553. https://doi.org/10.3390/diagnostics12020553
Repeckaite G, Zviniene K, Jankauskiene J, Basevicius A, Milonas D. Small Renal Masses without Gross Fat: What Is the Role of Contrast-Enhanced MDCT? Diagnostics. 2022; 12(2):553. https://doi.org/10.3390/diagnostics12020553
Chicago/Turabian StyleRepeckaite, Gerta, Kristina Zviniene, Justina Jankauskiene, Algidas Basevicius, and Daimantas Milonas. 2022. "Small Renal Masses without Gross Fat: What Is the Role of Contrast-Enhanced MDCT?" Diagnostics 12, no. 2: 553. https://doi.org/10.3390/diagnostics12020553
APA StyleRepeckaite, G., Zviniene, K., Jankauskiene, J., Basevicius, A., & Milonas, D. (2022). Small Renal Masses without Gross Fat: What Is the Role of Contrast-Enhanced MDCT? Diagnostics, 12(2), 553. https://doi.org/10.3390/diagnostics12020553
