Magnetic Resonance Imaging or Ultrasound in Localized Intermediate- or High-Risk Soft Tissue Tumors of the Extremities (MUSTT): Final Results of a Prospective Comparative Trial
Abstract
1. Introduction
2. Materials and Methods
2.1. Patients
- -
- Age > 18 years;
- -
- Surgery for proven primary intermediate or high-risk STT of the upper or lower limb (e.g., spindle-cell or pleomorphic histology, myxoid-round cell liposarcoma, leiomyosarcoma, synovial sarcoma, malignant peripheral nerve sheath tumor, undifferentiated pleomorphic sarcoma, myxofibrosarcoma, pleomorphic liposarcoma, pleomorphic rhabdomyosarcoma, et al.) according to WHO criteria;
- -
- Localized disease (non-metastatic);
- -
- ECOG performance status < 1;
- -
- Signed informed consent;
- -
- Complete US and MRI follow-up every 3–4 months;
- -
- Follow-up of 24 months for negative US and MRI findings;
- -
- Time-lapse between US and MRI < 7 days.
- -
- Pregnancy or lactation;
- -
- Other malignancies within the past 5 years;
- -
- Metastatic disease;
- -
- Low-risk sarcomas;
- -
- Lack of informed consent or limited compliance;
- -
- Impossibility of warranting imaging follow-up at the center;
- -
- Absence of definitive histological diagnosis on surgically excised masses (when surgery was not performed or performed in other centers).
2.2. Imaging Follow-Up Program
2.3. Ultrasound
2.4. Magnetic Resonance Imaging
2.5. Statistical Analysis
2.6. Power Analysis
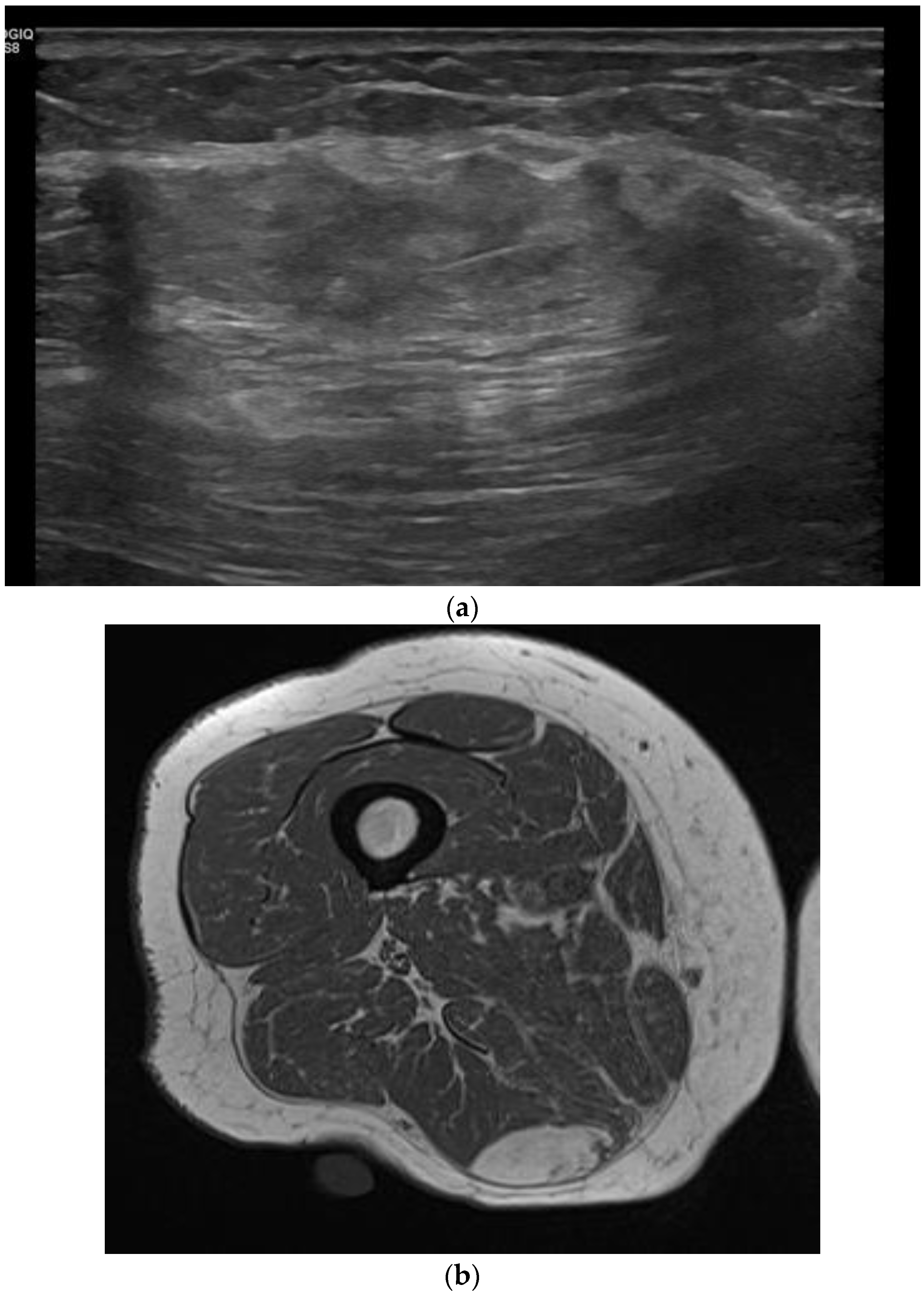
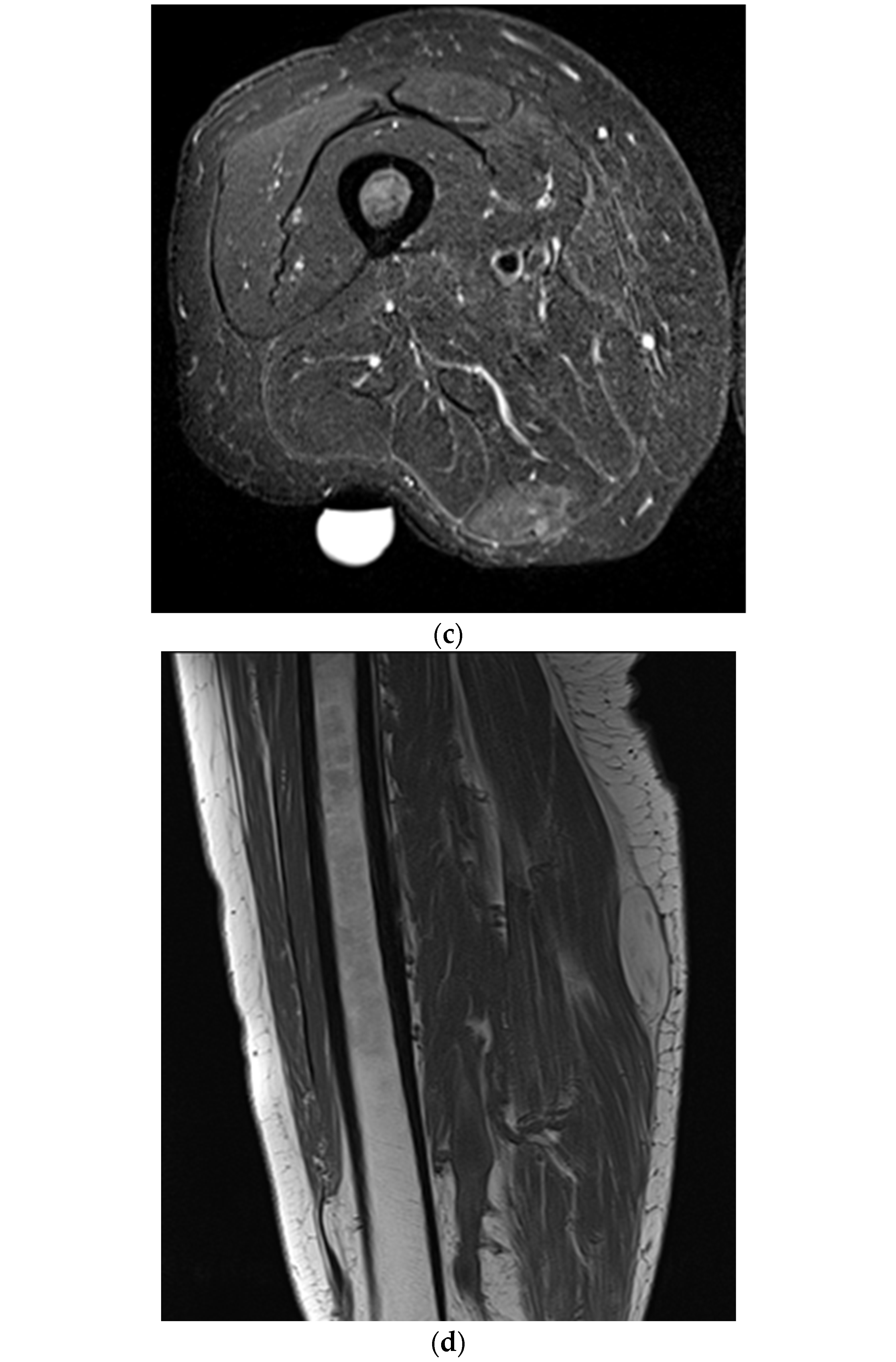
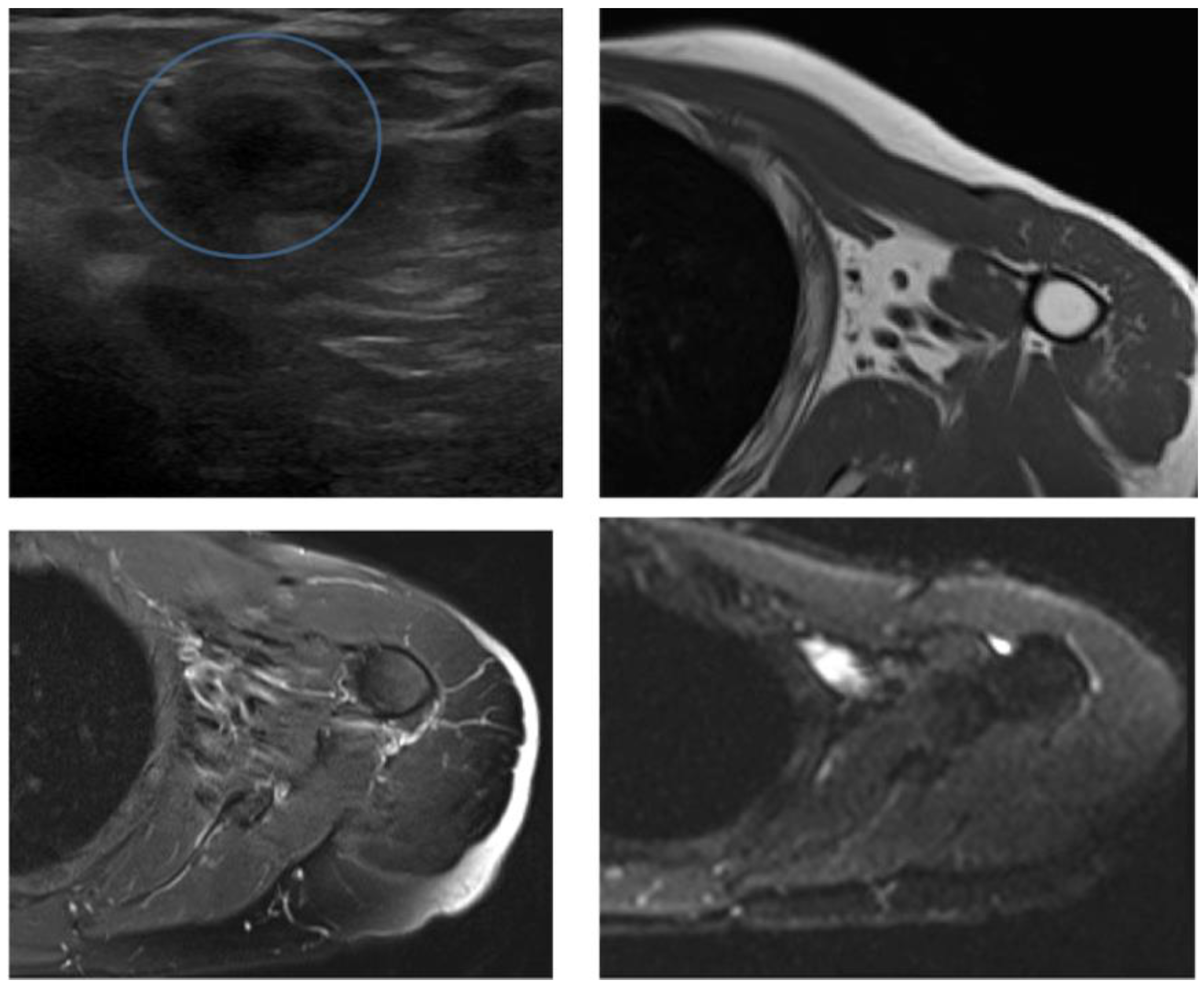
3. Results
4. Discussion
Author Contributions
Funding
Institutional Review Board Statement
Informed Consent Statement
Data Availability Statement
Conflicts of Interest
Abbreviations
| STT | Soft tissue tumors |
| US | Ultrasound |
| MRI | Magnetic resonance imaging |
| ROC | Receiver operating characteristic |
| ESMO | European Society of Medical Oncology |
| ESSR | European Society of Musculoskeletal Radiology |
| WHO | World Health Organization |
| ECOG | Eastern Cooperative Oncology Group |
| ESSR | European Society of Musculoskeletal Radiology |
| ACR | American College of Radiology |
| AUC | Area under the curve |
References
- Gronchi, A.; Vullo, S.L.; Colombo, C.; Collini, P.; Stacchiotti, S.; Mariani, L.; Fiore, M.; Casali, P.G. Extremity Soft Tissue Sarcoma in a Series of Patients Treated at a Single Institution: Local control directly impacts survival. Ann. Surg. 2010, 251, 506–511. [Google Scholar] [CrossRef] [PubMed]
- Casali, P.G.; Abecassis, N.; Bauer, S.; Biagini, R.; Bielack, S.; Bonvalot, S.; Boukovinas, I.; Bovee, J.V.M.G.; Brodowicz, T.; Broto, J.; et al. Soft tissue and visceral sarcomas: ESMO–EURACAN Clinical Practice Guidelines for diagnosis, treatment and follow-up. Ann. Oncol. 2018, 29 (Suppl. S4), iv51–iv67. [Google Scholar] [CrossRef]
- Eilber, F.C.; Rosen, G.; Nelson, S.D.; Selch, M.; Dorey, F.; Eckardt, J.; Eilber, F.R. High-Grade Extremity Soft Tissue Sarcomas: Factors predictive of local recurrence and its effect on morbidity and mortality. Ann. Surg. 2003, 237, 218–226. [Google Scholar] [CrossRef] [PubMed]
- Zagars, G.K.; Ballo, M.; Pisters, P.W.; Pollock, R.E.; Patel, S.R.; Benjamin, R.S. Prognostic factors for disease-specific survival after first relapse of soft-tissue sarcoma: Analysis of 402 patients with disease relapse after initial conservative surgery and radiotherapy. Int. J. Radiat. Oncol. Biol. Phys. 2003, 57, 739–747. [Google Scholar] [CrossRef]
- Nakamura, T.; Abudu, A.; Murata, H.; Grimer, R.; Carter, S.; Tillman, R.; Jeys, L. Oncological outcome of patients with deeply located soft tissue sarcoma of the pelvis: A follow up study at minimum 5 years after diagnosis. Eur. J. Surg. Oncol. J. Eur. Soc. Surg. Oncol. Br. Assoc. Surg. Oncol. 2013, 39, 1030–1035. [Google Scholar] [CrossRef]
- Italiano, A.; Le Cesne, A.; Mendiboure, J.; Blay, J.-Y.; Piperno-Neumann, S.; Chevreau, C.; Delcambre, C.; Penel, N.; Terrier, P.; Ranchere-Vince, D.; et al. Prognostic factors and impact of adjuvant treatments on local and metastatic relapse of soft-tissue sarcoma patients in the competing risks setting. Cancer 2014, 120, 3361–3369. [Google Scholar] [CrossRef]
- Gamboa, A.C.; Gronchi, A.; Cardona, K. Soft-tissue sarcoma in adults: An update on the current state of histiotype-specific management in an era of personalized medicine. CA A Cancer J. Clin. 2020, 70, 200–229. [Google Scholar] [CrossRef] [PubMed]
- Correa, R.; Goméz-Millan, J.; Lobato, M.; Fernandez, A.; Ordoñez, R.; Castro, C.; Lupiañez, Y.; Medina, J.A. Radiotherapy in soft-tissue sarcoma of the extremities. Clin. Transl. Oncol. Off. Publ. Fed. Span. Oncol. Soc. Natl. Cancer Inst. Mex. 2018, 20, 1127–1135. [Google Scholar] [CrossRef]
- Chou, Y.-S.; Liu, C.-Y.; Chen, W.-M.; Chen, T.-H.; Chen, P.C.-H.; Wu, H.-T.H.; Chiou, H.-J.; Shiau, C.-Y.; Wu, Y.-C.; Liu, C.-L.; et al. Follow-up after primary treatment of soft tissue sarcoma of extremities: Impact of frequency of follow-up imaging on disease-specific survival. J. Surg. Oncol. 2012, 106, 155–161. [Google Scholar] [CrossRef]
- Noebauer-Huhmann, I.M.; Weber, M.-A.; Lalam, R.K.; Trattnig, S.; Bohndorf, K.; Vanhoenacker, F.; Tagliafico, A.; Van Rijswijk, C.; Vilanova, J.C.; Afonso, P.D.; et al. Soft Tissue Tumors in Adults: ESSR-Approved Guidelines for Diagnostic Imaging. Semin. Musculoskelet. Radiol. 2015, 19, e1. Erratum in Semin. Musculoskelet. Radiol. 2015, 19, 475–482. [Google Scholar]
- Tagliafico, A.S.; Bignotti, B.; Rossi, F.; Valdora, F.; Martinoli, C. Local recurrence of soft tissue sarcoma: A radiomic analysis. Radiol. Oncol. 2019, 53, 300–306. [Google Scholar] [CrossRef] [PubMed]
- Weiss, S.; Korthaus, A.; Baumann, N.; Yamamura, J.; Spiro, A.S.; Lübke, A.M.; Frosch, K.-H.; Schlickewei, C.; Priemel, M. Musculoskeletal Soft-Tissue Sarcoma: Quality Assessment of Initial MRI Reports Shows Frequent Deviation from ESSR Guidelines. Diagnostics 2021, 11, 695. [Google Scholar] [CrossRef] [PubMed]
- Tagliafico, A.; Truini, M.; Spina, B.; Cambiaso, P.; Zaottini, F.; Bignotti, B.; Calabrese, M.; Derchi, L.E.; Martinoli, C. Follow-up of recurrences of limb soft tissue sarcomas in patients with localized disease: Performance of ultrasound. Eur. Radiol. 2015, 25, 2764–2770. [Google Scholar] [CrossRef] [PubMed]
- Tagliafico, A.S.; Isaac, A.; Bignotti, B.; Rossi, F.; Zaottini, F.; Martinoli, C. Nerve Tumors: What the MSK Radiologist Should Know. Semin. Musculoskelet. Radiol. 2019, 23, 76–84. [Google Scholar] [CrossRef]
- Bull, S.B. Sample Size and Power Determination for a Binary Outcome and an Ordinal Exposure when Logistic Regression Analysis Is Planned. Am. J. Epidemiol. 1993, 137, 676–684. [Google Scholar] [CrossRef]
- Erturk, S.M. Retrospective Power Analysis: When? Radiology 2005, 237, 743–744. [Google Scholar] [CrossRef]
- Maretty-Nielsen, K. Prognostic factors in soft tissue sarcoma. Dan. Med. J. 2014, 61, B4957. [Google Scholar]
- Patel, S.R.; Zagars, G.K.; Pisters, P.W. The follow-up of adult soft-tissue sarcomas. Semin. Oncol. 2003, 30, 413–416. [Google Scholar] [CrossRef]
- Hagedorn, K.N.; Hayatghaibi, S.E.; Levine, M.H.; Orth, R.C. Cost Comparison of Ultrasound Versus MRI to Diagnose Adolescent Female Patients Presenting with Acute Abdominal/Pelvic Pain Using Time-Driven Activity-Based Costing. Acad. Radiol. 2019, 26, 1618–1624. [Google Scholar] [CrossRef]
- Xu, H.; Zhang, Y.; Zhang, H.; Wang, C.; Mao, P. Comparison of the clinical effectiveness of US grading scoring system vs MRI in the diagnosis of early rheumatoid arthritis (RA). J. Orthop. Surg. Res. 2017, 12, 152. [Google Scholar] [CrossRef]
- Aghdassi, A.A.; Schauer, B.; Duscha, D.; Ittermann, T.; Pickartz, T.; Budde, C.; Simon, P.; Moskwa, P.; Kromrey, M.L.; Bülow, R.; et al. Comparability of size measurements of the pancreas in magnetic resonance imaging and transabdominal ultrasound. Clin. Anat. 2020, 33, 431–439. [Google Scholar] [CrossRef] [PubMed]
- Cantisani, V.; Ricci, P.; Erturk, M.; Pagliara, E.; Drudi, F.M.; Calliada, F.; Mortele, K.; D’Ambrosio, U.; Marigliano, C.; Catalano, C.; et al. Detection of Hepatic Metastases from Colorectal Cancer: Prospective Evaluation of Gray Scale US Versus SonoVue® Low Mechanical Index Real Time-Enhanced US as Compared with Multidetector-CT or Gd-BOPTA-MRI. Ultraschall Med. 2010, 31, 500–505. [Google Scholar] [CrossRef] [PubMed]
- Ha, S.M.; Cha, J.H.; Shin, H.J.; Chae, E.Y.; Choi, W.J.; Kim, H.H. Mammography, US, and MRI to Assess Outcomes of Invasive Breast Cancer with Extensive Intraductal Component: A Matched Cohort Study. Radiology 2019, 292, 299–308. [Google Scholar] [CrossRef] [PubMed]
- Hakozaki, Y.; Matsushima, H.; Kumagai, J.; Murata, T.; Masuda, T.; Hirai, Y.; Oda, M.; Kawauchi, N.; Yokoyama, M.; Homma, Y. A prospective study of magnetic resonance imaging and ultrasonography (MRI/US)-fusion targeted biopsy and concurrent systematic transperineal biopsy with the average of 18-cores to detect clinically significant prostate cancer. BMC Urol. 2017, 17, 117. [Google Scholar] [CrossRef]
- Kim, H.R.; Jung, H.K.; Ko, K.H.; Kim, S.J.; Lee, K.S. Mammography, US, and MRI for Preoperative Prediction of Extensive Intraductal Component of Invasive Breast Cancer: Interobserver Variability and Performances. Clin. Breast Cancer 2016, 16, 305–311. [Google Scholar] [CrossRef]
- Choi, H.; Varma, D.G.; Fornage, B.D.; Kim, E.E.; Johnston, D.A. Soft-tissue sarcoma: MR imaging vs sonography for detection of local recurrence after surgery. AJR Am. J. Roentgenol. 1991, 157, 353–358. [Google Scholar] [CrossRef][Green Version]
- Pino, G.; Conzi, G.F.; Murolo, C.; Schenone, F.; Magliani, L.; Imperiale, A.; Dato, G.; Panetta, M.; Toma, S. Sonographic evaluation of local recurrences of soft tissue sarcomas. J. Ultrasound Med. Off. J. Am. Inst. Ultrasound Med. 1993, 12, 23–26. [Google Scholar] [CrossRef]
- Arya, S.; Nagarkatti, D.G.; Dudhat, S.B.; Nadkarni, K.S.; Joshi, M.S.; Shinde, S.R. Soft Tissue Sarcomas: Ultrasonographic Evaluation of Local Recurrences. Clin. Radiol. 2000, 55, 193–197. [Google Scholar] [CrossRef]
- Gómez, M.P.A.; Errani, C.; Lalam, R.; Nikodinovska, V.V.; Fanti, S.; Tagliafico, A.S.; Sconfienza, L.M.; Bazzocchi, A. The Role of Ultrasound in the Diagnosis of Soft Tissue Tumors. Semin. Musculoskelet. Radiol. 2020, 24, 135–155. [Google Scholar] [CrossRef]
- Singer, A.D.; Wong, P.; Umpierrez, M.; Reimer, N.; Gonzalez, F.; Reiter, D.; Cardona, K. The accuracy of a novel sonographic scanning and reporting protocol to survey for soft tissue sarcoma local recurrence. Skelet. Radiol. 2020, 49, 2039–2049. [Google Scholar] [CrossRef]
- Sconfienza, L.M.; Albano, D.; Allen, G.; Bazzocchi, A.; Bignotti, B.; Chianca, V.; De Castro, F.F.; Drakonaki, E.E.; Gallardo, E.; Gielen, J.; et al. Clinical indications for musculoskeletal ultrasound updated in 2017 by European Society of Musculoskeletal Radiology (ESSR) consensus. Eur. Radiol. 2018, 28, 5338–5351. [Google Scholar] [CrossRef] [PubMed]
- Tagliafico, A.S.; Wilson, D.; Sconfienza, L.M. Encouraging MSK imaging research towards clinical impact is a necessity: Opinion paper of the European Society of Musculoskeletal Radiology (ESSR). Eur. Radiol. 2019, 29, 3410–3413. [Google Scholar] [CrossRef]
- Barnett, S.B.; ter Haar, G.R.; Ziskin, M.C.; Rott, H.-D.; Duck, F.A.; Maeda, K. International recommendations and guidelines for the safe use of diagnostic ultrasound in medicine. Ultrasound Med. Biol. 2000, 26, 355–366. [Google Scholar] [CrossRef]
- Dietrich, C.F.; Abramowicz, J.S.; Chammas, M.C.; Chou, Y.-H.; Condous, G.; Kim, S.H.; Nolsøe, C.P.; Vinayak, S.; Jenssen, C. World Federation for Ultrasound in Medicine and Biology (WFUMB) Policy Document Development Strategy—Clinical Practice Guidelines, Position Statements and Technological Reviews (on behalf of the WFUMB publication committee and Executive Bureau). Ultrasound Med. Biol. 2021, 47, 2779–2781. [Google Scholar] [CrossRef] [PubMed]
- Labarre, D.; Aziza, R.; Filleron, T.; Delannes, M.; Delaunay, F.; Marques, B.; Ferron, G.; Chevreau, C. Detection of local recurrences of limb soft tissue sarcomas: Is magnetic resonance imaging (MRI) relevant? Eur. J. Radiol. 2009, 72, 50–53. [Google Scholar] [CrossRef] [PubMed]








| All Patients (n = 37) | |
|---|---|
| Age at diagnosis, years (median (range)) | 55 (18–86) |
| Sex | |
| Female | 19 |
| Male | 18 |
| Primary tumor size, mm (median (range)) | 55 (7–200) |
| Positive/negative resection margins (R1/R0) | 17/20 |
| Recurrence tumor size mm (median (range)) | 23 (7–53) |
| Number of patients with recurrences within 5 years | 10 |
| Number of patients with multiple recurrences | 6 |
| Primary tumor location | |
| Upper limb | 27 |
| Lower limb | 10 |
| Superficial location to superficial fascia of the recurrence | 3 |
| Deep location to superficial fascia of the recurrence | 7 |
| Histologic subtypes | |
| Synovial sarcoma | 8 |
| Nerve sheath tumors ° | 3 |
| Myxofibrosarcoma | 6 |
| Leiomyosarcoma | 4 |
| Myxoid liposarcoma | 6 |
| Pleomorphic sarcoma | 4 |
| Other * | 6 |
| (a) | ||
| US | ||
| Statistic | Value | 95% CI |
| Sensitivity | 91.30% | 71.96% to 98.93% |
| Specificity | 91.18% | 85.86% to 94.98% |
| Positive Likelihood Ratio | 10.35 | 6.28 to 17.05 |
| Negative Likelihood Ratio | 0.10 | 0.03 to 0.36 |
| Negative Predictive Value (*) | 98.73% | 95.37% to 99.66% |
| Positive Predictive Value (*) | 58.33% | 45.94% to 69.76% |
| MRI | ||
| Statistic | Value | 95% CI |
| Sensitivity | 100.00% | 85.75% to 100.00% |
| Specificity | 94.48% | 89.78% to 97.44% |
| Positive Likelihood Ratio | 18.11 | 9.60 to 34.18 |
| Negative Likelihood Ratio | 0.00 | |
| Negative Predictive Value (*) | 100.00% | |
| Positive Predictive Value (*) | 72.73% | 58.56% to 83.42% |
| (b) 2 × 2 cross-tabulation of US vs. MRI. X2 p-value: 0.0766. | ||
| US + | US − | |
| MR + | 31 | 3 |
| MR − | 0 | 198 |
| NB: No true positive and false positive included. | ||
| US | MRI | |
| 21 | 24 | TP |
| 194 | 199 | TN |
| 2 | 0 | FN |
| 15 | 9 | FP |
Publisher’s Note: MDPI stays neutral with regard to jurisdictional claims in published maps and institutional affiliations. |
© 2022 by the authors. Licensee MDPI, Basel, Switzerland. This article is an open access article distributed under the terms and conditions of the Creative Commons Attribution (CC BY) license (https://creativecommons.org/licenses/by/4.0/).
Share and Cite
Bignotti, B.; Rossi, F.; Signori, A.; Solari, N.; Spina, B.; Martinoli, C.; Tagliafico, A.S. Magnetic Resonance Imaging or Ultrasound in Localized Intermediate- or High-Risk Soft Tissue Tumors of the Extremities (MUSTT): Final Results of a Prospective Comparative Trial. Diagnostics 2022, 12, 411. https://doi.org/10.3390/diagnostics12020411
Bignotti B, Rossi F, Signori A, Solari N, Spina B, Martinoli C, Tagliafico AS. Magnetic Resonance Imaging or Ultrasound in Localized Intermediate- or High-Risk Soft Tissue Tumors of the Extremities (MUSTT): Final Results of a Prospective Comparative Trial. Diagnostics. 2022; 12(2):411. https://doi.org/10.3390/diagnostics12020411
Chicago/Turabian StyleBignotti, Bianca, Federica Rossi, Alessio Signori, Nicola Solari, Bruno Spina, Carlo Martinoli, and Alberto Stefano Tagliafico. 2022. "Magnetic Resonance Imaging or Ultrasound in Localized Intermediate- or High-Risk Soft Tissue Tumors of the Extremities (MUSTT): Final Results of a Prospective Comparative Trial" Diagnostics 12, no. 2: 411. https://doi.org/10.3390/diagnostics12020411
APA StyleBignotti, B., Rossi, F., Signori, A., Solari, N., Spina, B., Martinoli, C., & Tagliafico, A. S. (2022). Magnetic Resonance Imaging or Ultrasound in Localized Intermediate- or High-Risk Soft Tissue Tumors of the Extremities (MUSTT): Final Results of a Prospective Comparative Trial. Diagnostics, 12(2), 411. https://doi.org/10.3390/diagnostics12020411
