Challenges in the Differential Diagnosis of COVID-19 Pneumonia: A Pictorial Review
Abstract
1. Introduction
2. Pathophysiology
3. Incubation Period (IP)
4. Demographic Features and General Symptoms of COVID-19
5. Clinical Evolution
6. Underlying Comorbidities Related to the Evolution of COVID-19
7. Laboratory Findings
8. Prognostic Factors in COVID-19
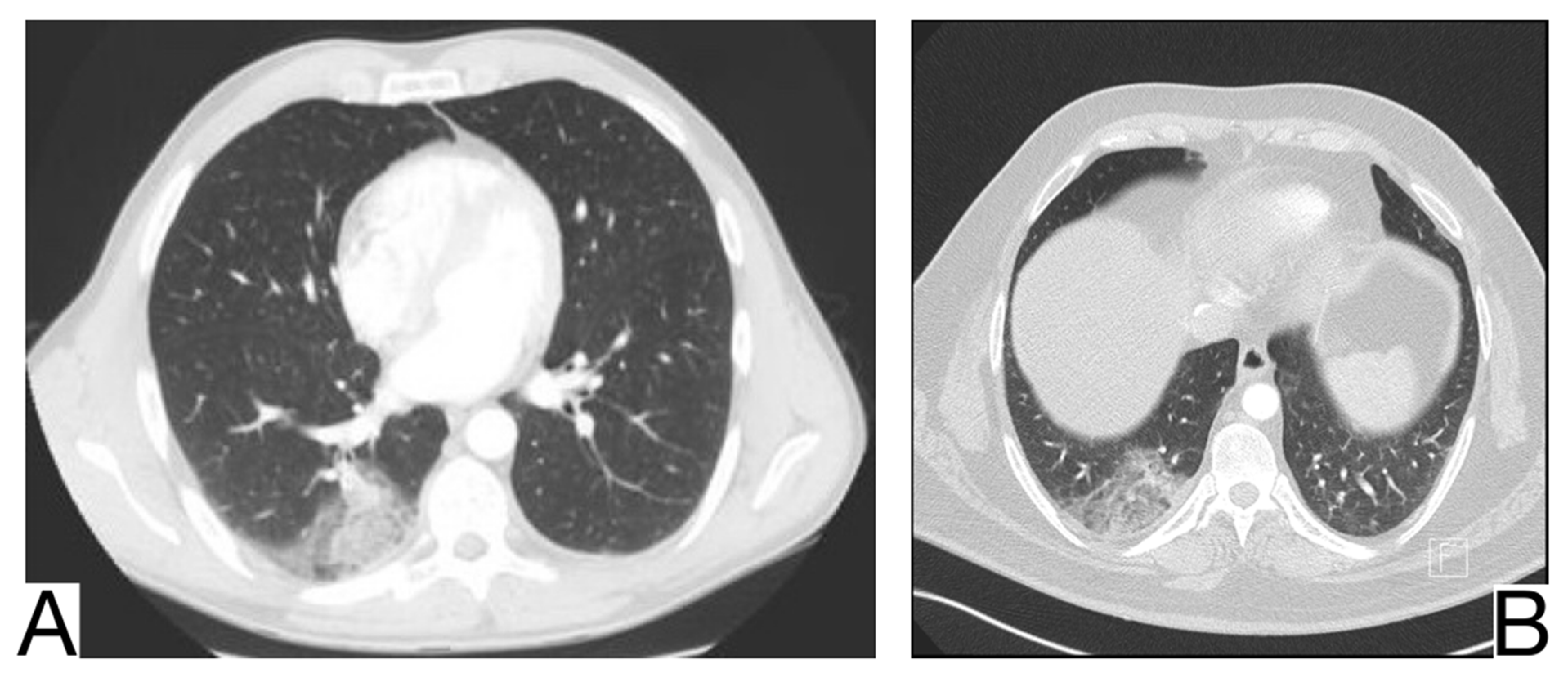
9. Diagnostic Imaging
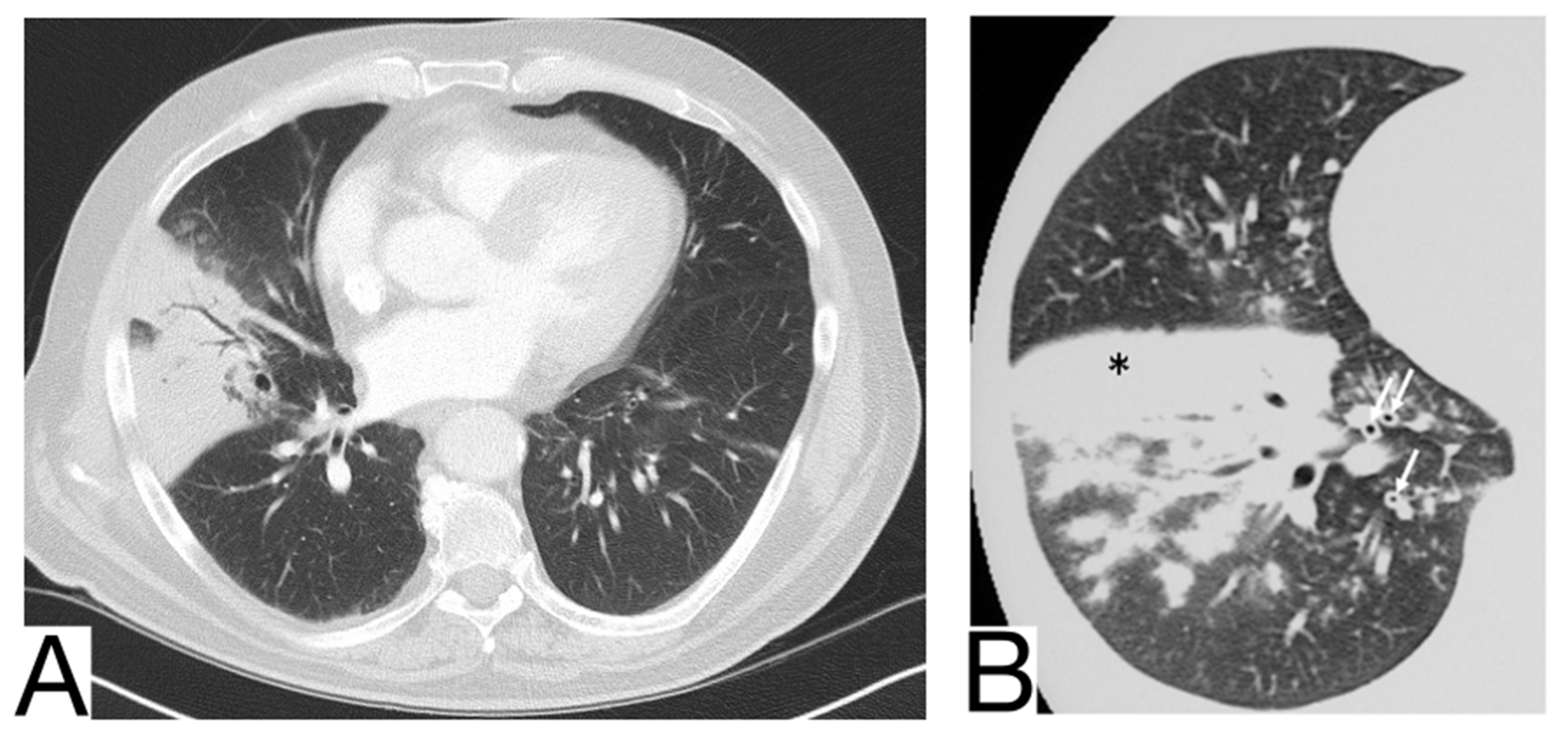
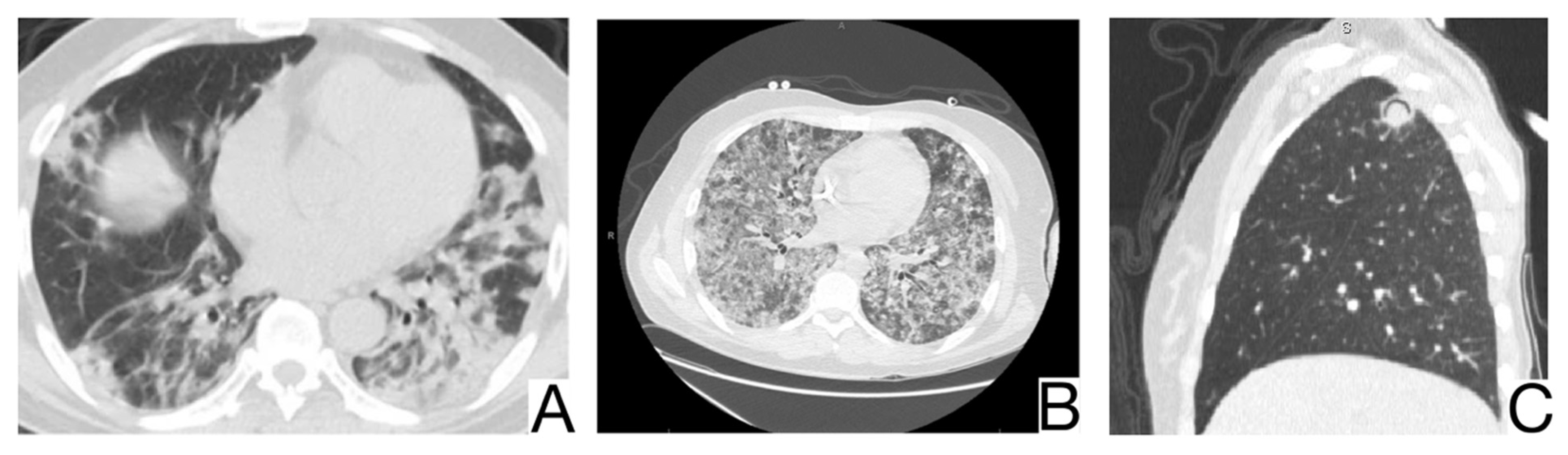
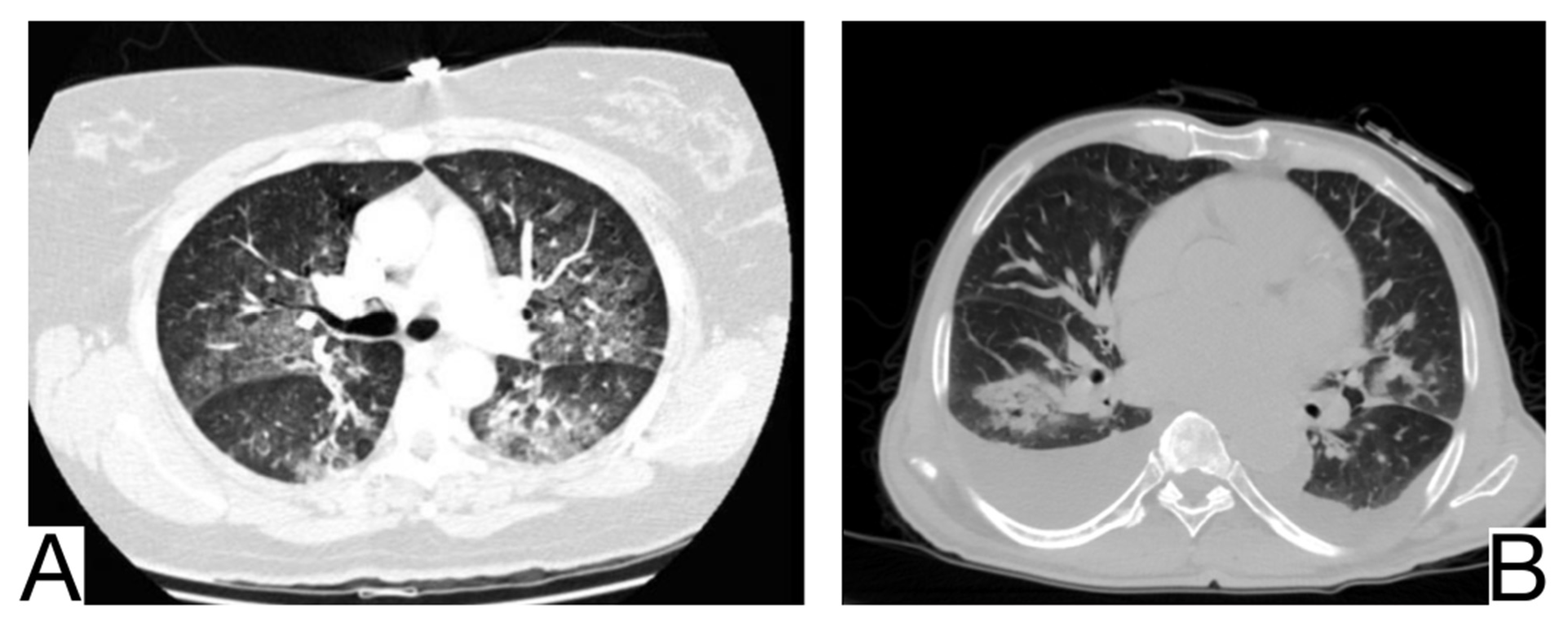
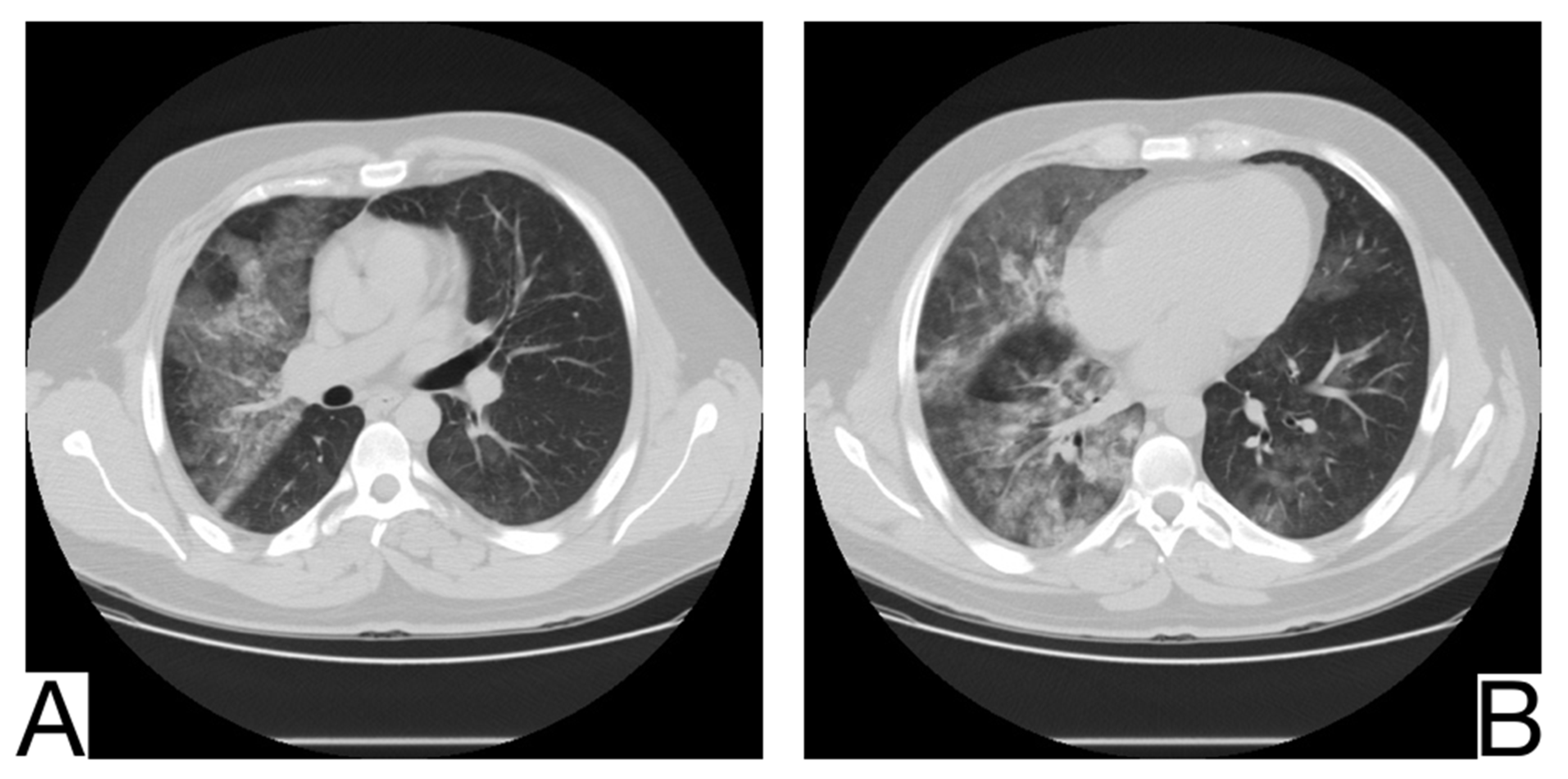
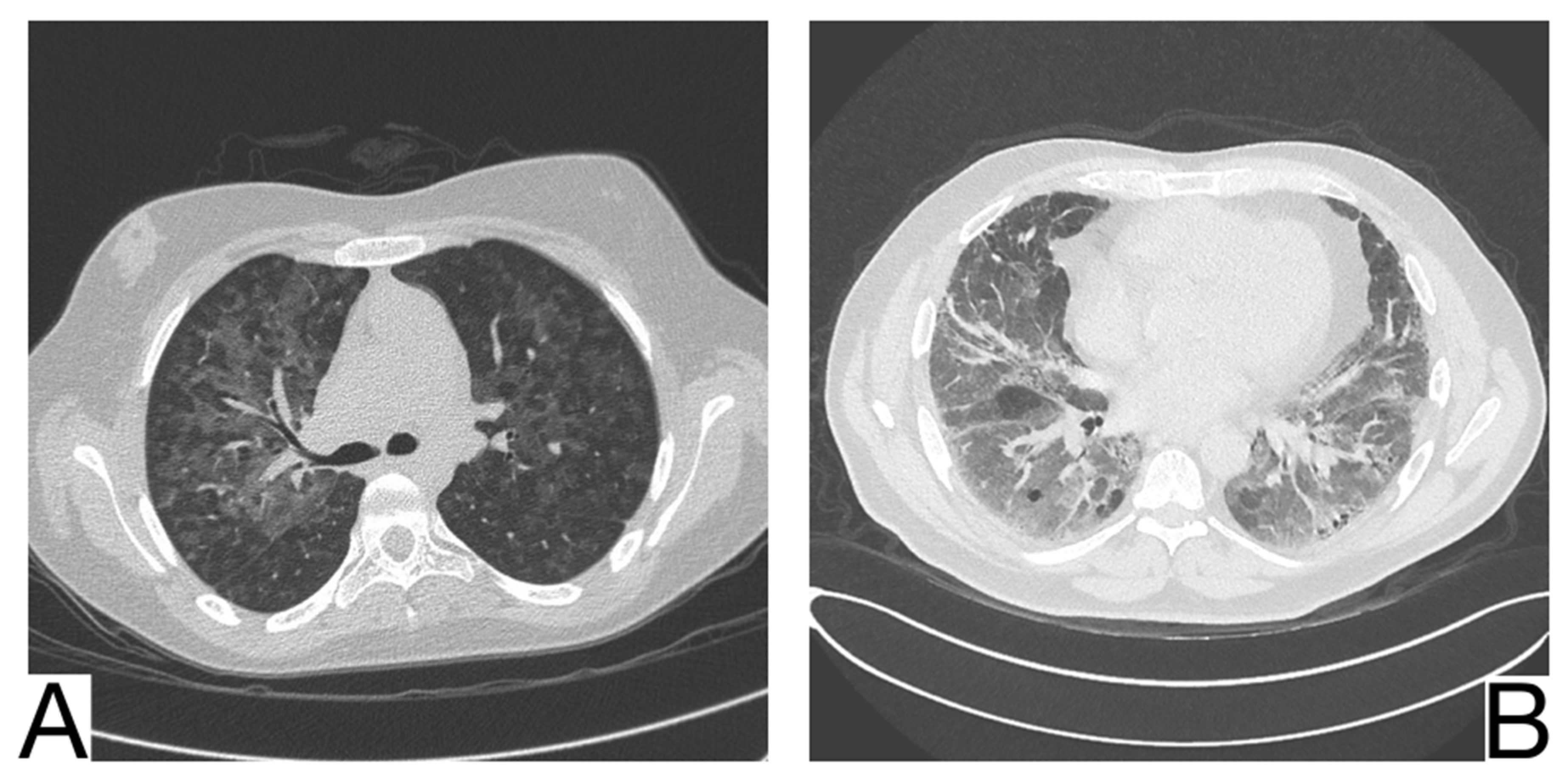
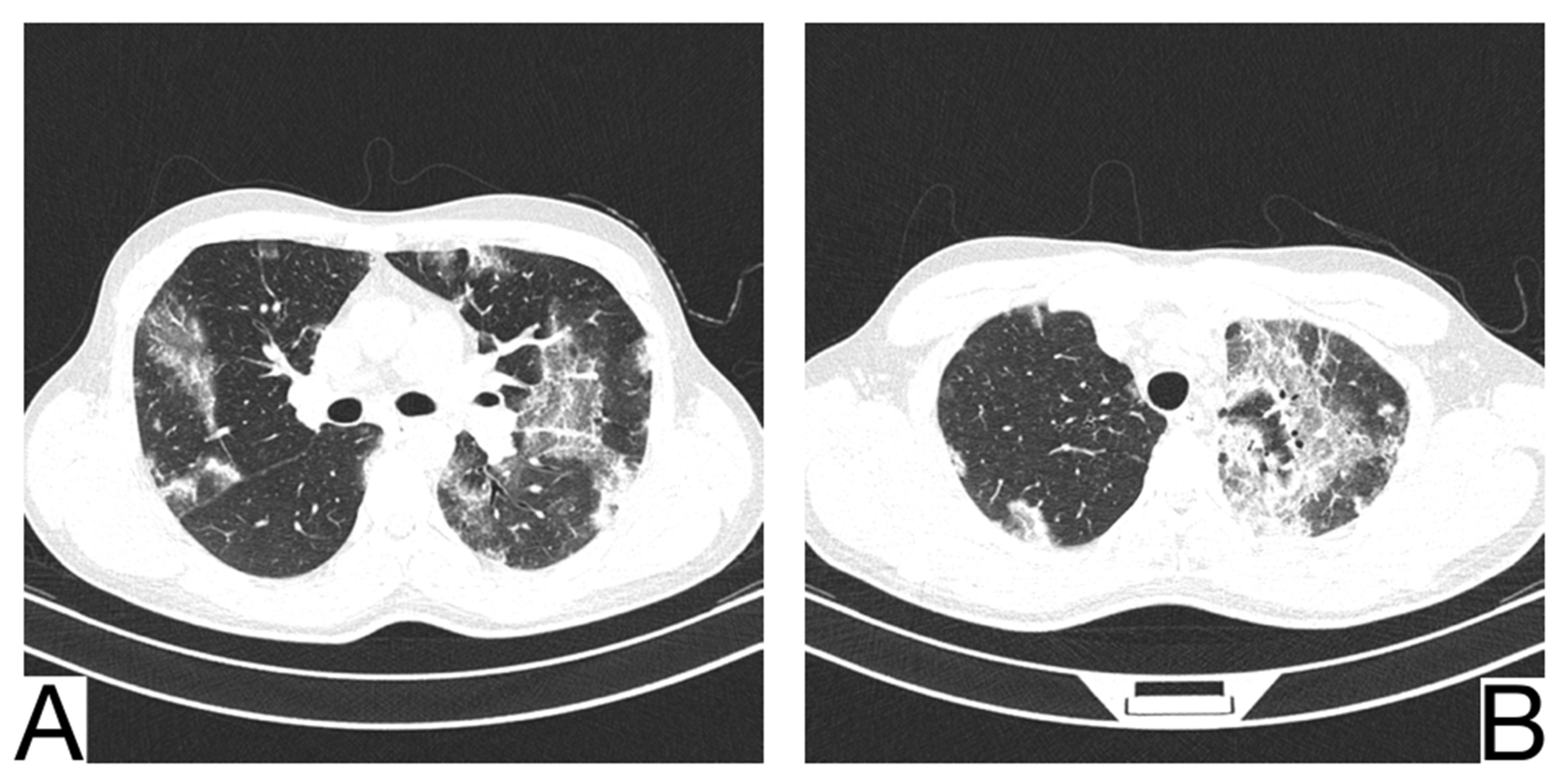
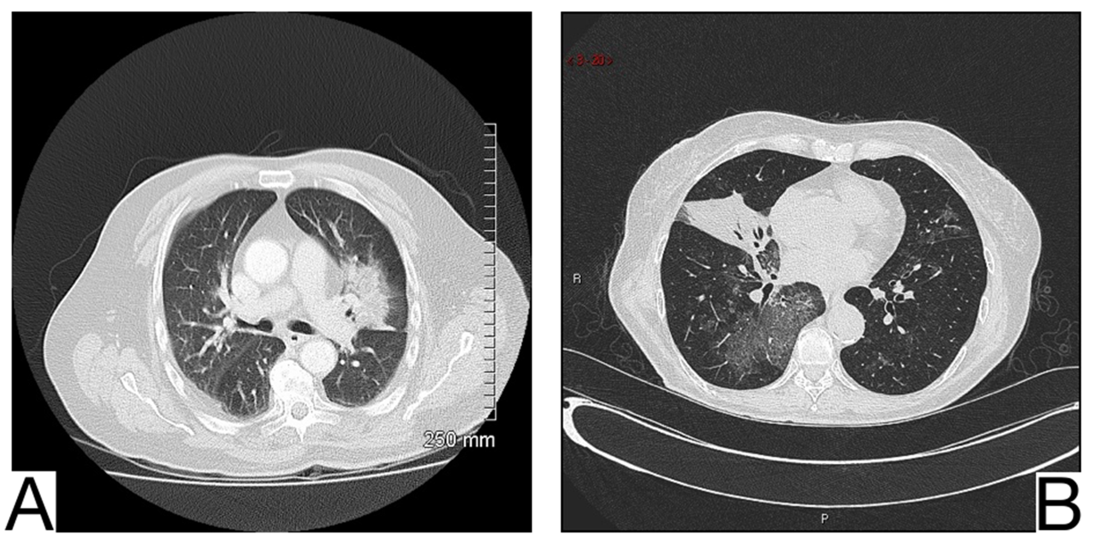
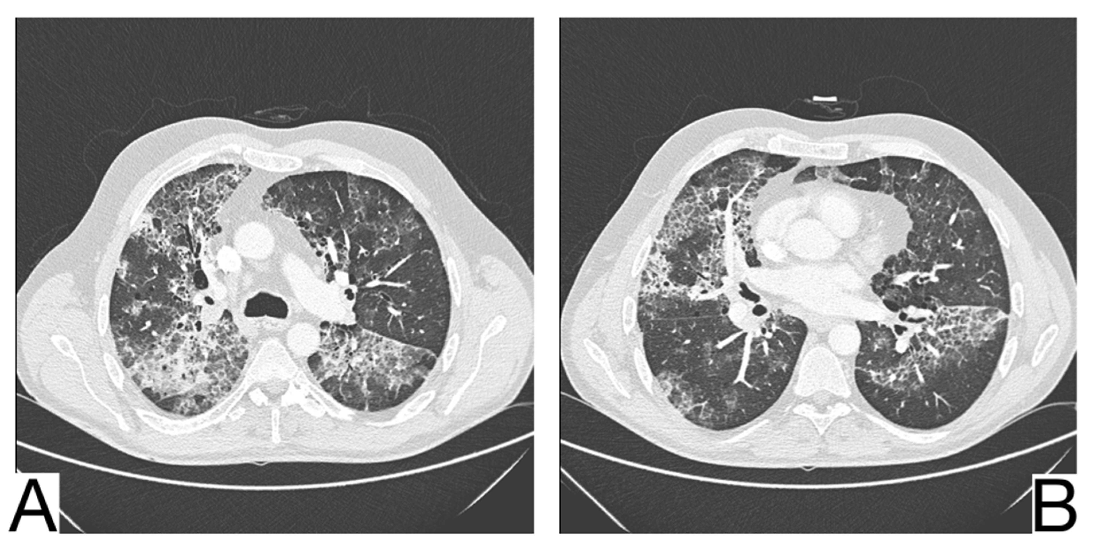
COVID-19 Pneumonia
10. Differential Diagnosis of COVID-19 Pneumonia
10.1. Bacterial Pneumonia
10.2. Viral Pneumonia
10.3. Pneumocystis Pneumonia
10.4. Aspergillosis
10.5. Cardiovascular Pathologies
10.5.1. Acute Pulmonary Edema
10.5.2. Differential Diagnosis of COVID-19 Pneumonia with Acute Heart Failure
10.6. Vasculitis
10.7. Hypersensitivity Pneumonia
10.8. Eosinophilic Pneumonia
10.9. Aspiration Pneumonia
10.9.1. Pneumonia with Fluid Aspiration
10.9.2. Lipoid Pneumonia
10.10. Pulmonary Alveolar Proteinosis
10.11. Drug-Induced Pulmonary Pathology
10.12. Differential Diagnosis between COVID-19 Pneumonia and Idiopathic Interstitial Pneumonia (IIP)
10.13. Acute Pulmonary Embolism (APE)
11. Conclusions
Author Contributions
Funding
Institutional Review Board Statement
Informed Consent Statement
Data Availability Statement
Conflicts of Interest
References
- Cottin, V.; Cordier, J.-F. Eosinophilic pneumonias. Allergy 2005, 60, 841–857. [Google Scholar] [CrossRef] [PubMed]
- Pollard, C.A.; Morran, M.P.; Nestor-Kalinoski, A.L. The COVID-19 pandemic: A global health crisis. Physiol. Genom. 2020, 52, 549–557. [Google Scholar] [CrossRef] [PubMed]
- Eastin, C.; Eastin, T. Clinical Characteristics of Coronavirus Disease 2019 in China. J. Emerg. Med. 2020, 58, 711–712. [Google Scholar] [CrossRef]
- Sharma, R.; Agarwal, M.; Gupta, M.; Somendra, S.; Saxena, S.K. Clinical Characteristics and Differential Clinical Diagnosis of Novel Coronavirus Disease 2019 (COVID-19). In Coronavirus Disease 2019 (COVID-19); Springer: Singapore, 2020; pp. 55–70. [Google Scholar]
- Wu, Z.; McGoogan, J.M. Characteristics of and Important Lessons from the Coronavirus Disease 2019 (COVID-19) Outbreak in China: Summary of a Report of 72,314 Cases from the Chinese Center for Disease Control and Prevention. JAMA 2020, 323, 1239–1242. [Google Scholar] [CrossRef] [PubMed]
- Umakanthan, S.; Sahu, P.; Ranade, A.V.; Bukelo, M.M.; Rao, J.S.; Lf, A.-M.; Dahal, S.; Kumar, H.; Kv, D. Origin, transmission, diagnosis and management of coronavirus disease 2019 (COVID-19). Postgrad. Med. J. 2020, 96, 753–758. [Google Scholar] [PubMed]
- Chen, N.; Zhou, M.; Dong, X.; Qu, J.; Gong, F.; Han, Y.; Qiu, Y.; Wang, J.; Liu, Y.; Wei, Y.; et al. Epidemiological and clinical characteristics of 99 cases of 2019 novel coronavirus pneumonia in Wuhan, China: A descriptive study. Lancet 2020, 395, 507–513. [Google Scholar] [CrossRef]
- Baud, D.; Qi, X.; Nielsen-Saines, K.; Musso, D.; Pomar, L.; Favre, G. Real estimates of mortality following COVID-19 infection. Lancet Infect. Dis. 2020, 20, 773. [Google Scholar] [CrossRef]
- Karakike, E.; Giamarellos-Bourboulis, E.J. Macrophage Activation-Like Syndrome: A Distinct Entity Leading to Early Death in Sepsis. Front. Immunol. 2019, 10, 55. [Google Scholar] [CrossRef]
- McAloon, C.; Collins, Á.; Hunt, K.; Barber, A.; Byrne, A.W.; Butler, F.; Casey, M.; Griffin, J.; Lane, E.; McEvoy, D.; et al. Incubation period of COVID-19: A rapid systematic review and meta-analysis of observational research. BMJ Open 2020, 10, e039652. [Google Scholar] [CrossRef]
- Zhou, F.; Yu, T.; Du, R.; Fan, G.; Liu, Y.; Liu, Z.; Xiang, J.; Wang, Y.; Song, B.; Gu, X.; et al. Clinical course and risk factors for mortality of adult inpatients with COVID-19 in Wuhan, China: A retrospective cohort study. Lancet 2020, 395, 1054–1062. [Google Scholar] [CrossRef]
- Shi, H.; Han, X.; Jiang, N.; Cao, Y.; Alwalid, O.; Gu, J.; Fan, Y.; Zheng, C. Radiological findings from 81 patients with COVID-19 pneumonia in Wuhan, China: A descriptive study. Lancet Infect. Dis. 2020, 20, 425–434. [Google Scholar] [CrossRef]
- Guan, W.J.; Ni, Z.Y.; Hu, Y.; Liang, W.H.; Qu, C.Q.; He, J.X.; Liu, L.; Shan, H.; Lei, C.L.; Hui, D.S.C.; et al. Clinical Characteristics of Coronavirus Disease 2019 in China. N. Engl. J. Med. 2020, 382, 1708–1720. [Google Scholar] [CrossRef] [PubMed]
- Henry, B.M.; de Oliveira, M.H.S.; Benoit, S.; Plebani, M.; Lippi, G. Hematologic, biochemical and immune biomarker abnormalities associated with severe illness and mortality in coronavirus disease 2019 (COVID-19): A meta-analysis. Clin. Chem. Lab. Med. 2020, 58, 1021–1028. [Google Scholar] [CrossRef] [PubMed]
- Grasselli, G.; Greco, M.; Zanella, A.; Albano, G.; Antonelli, M.; Bellani, G.; Bonanomi, E.; Cabrini, L.; Carlesso, E.; Castelli, G.; et al. Risk Factors Associated with Mortality Among Patients with COVID-19 in Intensive Care Units in Lombardy, Italy. JAMA Intern. Med. 2020, 180, 1345–1355. [Google Scholar] [CrossRef] [PubMed]
- Venturini, S.; Orso, D.; Cugini, F.; Crapis, M.; Fossati, S.; Callegari, A.; Pellis, T.; Tonizzo, M.; Grembiale, A.; Rosso, A.; et al. Classification and analysis of outcome predictors in non-critically ill COVID-19 patients. Intern. Med. J. 2021, 51, 506–514. [Google Scholar] [CrossRef]
- Fatima, S.; Ratnani, I.; Husain, M.; Surani, S. Radiological Findings in Patients with COVID-19. Cureus 2020, 12, e7651. [Google Scholar] [CrossRef]
- Li, B.; Li, X.; Wang, Y.; Han, Y.; Wang, Y.; Wang, C.; Zhang, G.; Jin, J.; Jia, H.; Fan, F.; et al. Diagnostic value and key features of computed tomography in Coronavirus Disease 2019. Emerg. Microbes Infect. 2020, 9, 787–793. [Google Scholar] [CrossRef]
- Hani, C.; Trieu, N.; Saab, I.; Dangeard, S.; Bennani, S.; Chassagnon, G.; Revel, M.-P. COVID-19 pneumonia: A review of typical CT findings and differential diagnosis. Diagn. Interv. Imaging 2020, 101, 263–268. [Google Scholar] [CrossRef]
- Vetrugno, L.; Baciarello, M.; Bignami, E.; Bonetti, A.; Saturno, F.; Orso, D.; Girometti, R.; Cereser, L.; Bove, T. The “pandemic” increase in lung ultrasound use in response to COVID-19: Can we complement computed tomography findings? A narrative review. Ultrasound J. 2020, 12, 39. [Google Scholar] [CrossRef]
- Filatov, A.; Sharma, P.; Hindi, F.; Espinosa, P.S. Neurological Complications of Coronavirus Disease (COVID-19): Encephalopathy. Cureus 2020, 12, e7352. [Google Scholar] [CrossRef]
- Hefeda, M.M. CT chest findings in patients infected with COVID-19: Review of literature. Egypt. J. Radiol. Nucl. Med. 2020, 51, 239. [Google Scholar] [CrossRef]
- Pan, F.; Ye, T.; Sun, P.; Gui, S.; Liang, B.; Li, L.; Zheng, D.; Wang, J.; Hesketh, R.L.; Yang, L.; et al. Time Course of Lung Changes at Chest CT during Recovery from Coronavirus Disease 2019 (COVID-19). Radiology 2020, 295, 715–721. [Google Scholar] [CrossRef] [PubMed]
- Zhang, K.; Liu, X.; Shen, J.; Li, Z.; Sang, Y.; Wu, X.; Zha, Y.; Liang, W.; Wang, C.; Wang, K.; et al. Clinically Applicable AI System for Accurate Diagnosis, Quantitative Measurements, and Prognosis of COVID-19 Pneumonia Using Computed Tomography. Cell 2020, 181, 1423–1433.e11. [Google Scholar] [CrossRef] [PubMed]
- Parekh, M.; Donuru, A.; Balasubramanya, R.; Kapur, S. Review of the Chest CT Differential Diagnosis of Ground-Glass Opacities in the COVID Era. Radiology 2020, 297, E289–E302. [Google Scholar] [CrossRef]
- Zhao, D.; Yao, F.; Wang, L.; Zheng, L.; Gao, Y.; Ye, J.; Guo, F.; Zhao, H.; Gao, R. A Comparative Study on the Clinical Features of Coronavirus 2019 (COVID-19) Pneumonia with Other Pneumonias. Clin. Infect. Dis. 2020, 71, 756–761. [Google Scholar] [CrossRef]
- Fang, Y.; Zhang, H.; Xie, J.; Lin, M.; Ying, L.; Pang, P.; Ji, W. Sensitivity of Chest CT for COVID-19: Comparison to RT-PCR. Radiology 2020, 296, E115–E117. [Google Scholar] [CrossRef]
- Wikramaratna, P.S.; Paton, R.S.; Ghafari, M.; Lourenço, J. Estimating the false-negative test probability of SARS-CoV-2 by RT-PCR. EuroSurveillance 2020, 25, 2000568. [Google Scholar] [CrossRef]
- Dai, W.-C.; Zhang, H.-W.; Yu, J.; Xu, H.-J.; Chen, H.; Luo, S.-P.; Zhang, H.; Liang, L.-H.; Wu, X.-L.; Lei, Y.; et al. CT Imaging and Differential Diagnosis of COVID-19. Can. Assoc. Radiol. J. 2020, 71, 195–200. [Google Scholar] [CrossRef]
- Zhu, Z.; Tang, J.; Chai, X.; Fang, Z.; Liu, Q.; Hu, X.; Xu, D.; He, J.; Tang, L.; Tai, S.; et al. How to differentiate COVID-19 pneumonia from heart failure with computed tomography at initial medical contact during epidemic period. medRxiv 2020. [Google Scholar] [CrossRef]
- Mebazaa, A.; Yilmaz, M.B.; Levy, P.; Ponikowski, P.; Peacock, W.F.; Laribi, S.; Ristic, A.D.; Lambrinou, E.; Masip, J.; Riley, J.P.; et al. Recommendations on pre-hospital and early hospital management of acute heart failure: A consensus paper from the Heart Failure Association of the European Society of Cardiology, the European Society of Emergency Medicine and the Society of Academic Emergency Medicine—Short version. Eur. Heart J. 2015, 36, 1958–1966. [Google Scholar]
- Li, Y.; Xia, L. Coronavirus Disease 2019 (COVID-19): Role of Chest CT in Diagnosis and Management. AJR Am. J. Roentgenol. 2020, 214, 1280–1286. [Google Scholar] [CrossRef] [PubMed]
- Bernheim, A.; Mei, X.; Huang, M.; Yang, Y.; Fayad, Z.A.; Zhang, N.; Diao, K.; Lin, B.; Zhu, X.; Li, K.; et al. Chest CT Findings in Coronavirus Disease-19 (COVID-19): Relationship to Duration of Infection. Radiology 2020, 295, 200463. [Google Scholar] [CrossRef] [PubMed]
- Chung, M.; Bernheim, A.; Mei, X.; Zhang, N.; Huang, M.; Zeng, X.; Cui, J.; Xu, W.; Yang, Y.; Fayad, Z.A.; et al. CT Imaging Features of 2019 Novel Coronavirus (2019-nCoV). Radiology 2020, 295, 202–207. [Google Scholar] [CrossRef]
- Kanne, J.P.; Little, B.P.; Chung, J.H.; Elicker, B.M.; Ketai, L.H. Essentials for Radiologists on COVID-19: An Update-Radiology Scientific Expert Panel. Radiology 2020, 296, E113–E114. [Google Scholar] [CrossRef] [PubMed]
- Tanaka, H. Correlation between Radiological and Pathological Findings in Patients with Mycoplasma pneumoniae Pneumonia. Front. Microbiol. 2016, 7, 695. [Google Scholar] [CrossRef] [PubMed]
- Rubin, G.D.; Ryerson, C.J.; Haramati, L.B.; Sverzellati, N.; Kanne, J.; Raoof, S.; Schluger, N.W.; Volpi, A.; Yim, J.-J.; Martin, I.B.K.; et al. The Role of Chest Imaging in Patient Management during the COVID-19 Pandemic: A Multinational Consensus Statement from the Fleischner Society. Radiology 2020, 296, 172–180. [Google Scholar] [CrossRef] [PubMed]
- Luo, L.; Luo, Z.; Jia, Y.; Zhou, C.; He, J.; Lyu, J.; Shen, X. CT differential diagnosis of COVID-19 and non-COVID-19 in symptomatic suspects: A practical scoring method. BMC Pulm. Med. 2020, 20, 129. [Google Scholar] [CrossRef]
- Guarnera, A.; Podda, P.; Santini, E.; Paolantonio, P.; Laghi, A. Differential diagnoses of COVID-19 pneumonia: The current challenge for the radiologist—A pictorial essay. Insights Imaging 2021, 12, 34. [Google Scholar] [CrossRef]
- Elmokadem, A.H.; Bayoumi, D.; Abo-Hedibah, S.A.; El-Morsy, A. Diagnostic performance of chest CT in differentiating COVID-19 from other causes of ground-glass opacities. Egypt. J. Radiol. Nucl. Med. 2021, 52, 12. [Google Scholar] [CrossRef]
- Sullivan, A.; Lanham, T.; Krol, R.; Zachariah, S. Pneumocystis jirovecii Pneumonia in a HIV-Infected Patient with a CD4 Count Greater Than 400 Cells/μL and Atovaquone Prophylaxis. Case Rep. Infect. Dis. 2020, 2020, e8532780. [Google Scholar] [CrossRef]
- Ruuskanen, O.; Lahti, E.; Jennings, L.C.; Murdoch, D.R. Viral pneumonia. Lancet 2011, 377, 1264–1275. [Google Scholar] [CrossRef]
- Koo, H.J.; Lim, S.; Choe, J.; Choi, S.-H.; Sung, H.; Do, K.-H. Radiographic and CT Features of Viral Pneumonia. Radiographics 2018, 38, 719–739. [Google Scholar] [CrossRef] [PubMed]
- American Thoracic Society; Infectious Diseases Society of America. Guidelines for the management of adults with hospital-acquired, ventilator-associated, and healthcare-associated pneumonia. Am. J. Respir. Crit. Care Med. 2005, 171, 388–416. [Google Scholar] [CrossRef] [PubMed]
- Prasad, A.; Agarwal, K.; Deepak, D.; Atwal, S.S. Pulmonary Aspergillosis: What CT can Offer Before it is too Late! J. Clin. Diagn. Res. 2016, 10, TE01–TE05. [Google Scholar] [CrossRef]
- Ponikowski, P.; Voors, A.A.; Anker, S.D.; Bueno, H.; Cleland, J.; Coats, A.; Falk, V.; González-Juanatey, J.R.; Harjola, V.; Jankowska, E.; et al. 2016 ESC Guidelines for the diagnosis and treatment of acute and chronic heart failure: The Task Force for the diagnosis and treatment of acute and chronic heart failure of the European Society of Cardiology (ESC) Developed with the special contribution of the Heart Failure Association (HFA) of the ESC. Eur. Heart J. 2016, 37, 2129–2200. [Google Scholar]
- World Health Organization. Clinical Management of COVID-19: Interim Guidance; WHO/2019-nCoV/clinical/2020.5; World Health Organization: Geneva, Switzerland, 2020; Available online: https://apps.who.int/iris/handle/10665/332196 (accessed on 15 October 2022).
- El-Haddad, E.; Chalhoub, N.P.; Rida, M.; Abi-Khalil, S.; Younan, T.; Slaba, S.; Haddad-Zebouni, S. Vascular abnormalities in patients with COVID-19 pneumonia. Imaging Med. 2021, 13, 1–9. [Google Scholar]
- Perrone, F.; Balbi, M.; Casartelli, C.; Buti, S.; Milanese, G.; Sverzellati, N.; Bersanelli, M. Differential diagnosis of COVID-19 at the chest computed tomography scan: A review with special focus on cancer patients. World J. Radiol. 2021, 13, 243–257. [Google Scholar] [CrossRef]
- Jeong, Y.J.; Kim, K.-I.; Seo, I.J.; Lee, C.H.; Lee, K.N.; Kim, J.S.; Kwon, W.J. Eosinophilic lung diseases: A clinical, radiologic, and pathologic overview. Radiographics 2007, 27, 617–637. [Google Scholar] [CrossRef]
- King, M.A.; Pope-Harman, A.L.; Allen, J.N.; Christoforidis, G.A.; Christoforidis, A.J. Acute eosinophilic pneumonia: Radiologic and clinical features. Radiology 1997, 203, 715–719. [Google Scholar] [CrossRef]
- Daimon, T.; Johkoh, T.; Sumikawa, H.; Honda, O.; Fujimoto, K.; Koga, T.; Arakawa, H.; Yanagawa, M.; Inoue, A.; Mihara, N.; et al. Acute eosinophilic pneumonia: Thin-section CT findings in 29 patients. Eur. J. Radiol. 2008, 65, 462–467. [Google Scholar] [CrossRef]
- Komiya, K.; Ishii, H.; Umeki, K.; Kawamura, T.; Okada, F.; Okabe, E.; Murakami, J.; Kato, Y.; Matsumoto, B.; Teramoto, S.; et al. Computed tomography findings of aspiration pneumonia in 53 patients. Geriatr. Gerontol. Int. 2013, 13, 580–585. [Google Scholar] [CrossRef] [PubMed]
- Scheeren, B.; Marchiori, E.; Pereira, J.; Meirelles, G.; Alves, G.; Hochhegger, B. Pulmonary computed tomography findings in patients with chronic aspiration detected by videofluoroscopic swallowing study. Br. J. Radiol. 2016, 89, 20160004. [Google Scholar] [CrossRef] [PubMed]
- Lee, J.S.; Im, J.-G.; Song, K.S.; Seo, J.B.; Lim, T.-H. Exogenous lipoid pneumonia: High-resolution CT findings. Eur. Radiol. 1999, 9, 287–291. [Google Scholar] [CrossRef] [PubMed]
- Laurent, F.; Philippe, J.C.; Vergier, B.; Granger-Veron, B.; Darpeix, B.; Vergeret, J.; Blanc, P.; Velly, J.F. Exogenous lipoid pneumonia: HRCT, MR, and pathologic findings. Eur. Radiol. 1999, 9, 1190–1196. [Google Scholar] [CrossRef] [PubMed]
- Marchiori, E.; Zanetti, G.; Mano, C.M.; Hochhegger, B. Exogenous lipoid pneumonia. Clinical and radiological manifestations. Respir. Med. 2011, 105, 659–666. [Google Scholar] [CrossRef]
- Betancourt, S.L.; Martinez-Jimenez, S.; Rossi, S.E.; Truong, M.T.; Carrillo, J.; Erasmus, J.J. Lipoid pneumonia: Spectrum of clinical and radiologic manifestations. AJR Am. J. Roentgenol. 2010, 194, 103–109. [Google Scholar] [CrossRef]
- Da Nam, B.; Kim, T.J.; Chung, M.P.; Chung, M.J.; Kim, T.S.; Lee, K.S. CT findings in pulmonary alveolar proteinosis: Serial changes and prognostic implications. J. Thorac. Dis. 2018, 10, 5774–5783. [Google Scholar] [CrossRef]
- Johkoh, T.; Itoh, H.; Müller, N.L.; Ichikado, K.; Nakamura, H.; Ikezoe, J.; Akira, M.; Nagareda, T. Crazy-paving appearance at thin-section CT: Spectrum of disease and pathologic findings. Radiology 1999, 211, 155–160. [Google Scholar] [CrossRef]
- Newell, J.D.; Underwood, G.H.; Russo, D.J.; Bruno, P.P.; Wilkerson, G.R.; Black, M.L. Computed tomographic appearance of pulmonary alveolar proteinosis in adults. J. Comput. Tomogr. 1984, 8, 21–29. [Google Scholar] [CrossRef]
- Akira, M.; Inoue, Y.; Arai, T.; Sugimoto, C.; Tokura, S.; Nakata, K.; Kitaichi, M.; Osaka Respiratory Diseases Symposia Group. Pulmonary Fibrosis on High-Resolution CT of Patients with Pulmonary Alveolar Proteinosis. AJR Am. J. Roentgenol. 2016, 207, 544–551. [Google Scholar] [CrossRef]
- Johkoh, T.; Lee, K.S.; Nishino, M.; Travis, W.D.; Ryu, J.H.; Lee, H.Y.; Ryerson, C.J.; Franquet, T.; Bankier, A.A.; Brown, K.K.; et al. Chest CT Diagnosis and Clinical Management of Drug-Related Pneumonitis in Patients Receiving Molecular Targeting Agents and Immune Checkpoint Inhibitors: A Position Paper from the Fleischner Society. Chest 2021, 159, 1107–1125. [Google Scholar] [CrossRef]
- Travis, W.D.; Costabel, U.; Hansell, D.M.; King, T.E., Jr.; Lynch, D.A.; Nicholson, A.G.; Ryerson, C.J.; Ryu, J.H.; Selman, M.; Wells, A.U.; et al. An official American Thoracic Society/European Respiratory Society statement: Update of the international multidisciplinary classification of the idiopathic interstitial pneumonias. Am. J. Respir. Crit. Care Med. 2013, 188, 733–748. [Google Scholar] [CrossRef]
- Mayo, J.R. CT evaluation of diffuse infiltrative lung disease: Dose considerations and optimal technique. J. Thorac. Imaging 2009, 24, 252–259. [Google Scholar] [CrossRef]
- Kim, M.; Lee, S.M.; Song, J.-W.; Do, K.H.; Lee, H.J.; Lim, S.; Choe, J.; Park, K.J.; Park, H.J.; Kim, H.J.; et al. Added value of prone CT in the assessment of honeycombing and classification of usual interstitial pneumonia pattern. Eur. J. Radiol. 2017, 91, 66–70. [Google Scholar] [CrossRef]
- Hunninghake, G.W.; Lynch, D.A.; Galvin, J.R.; Gross, B.H.; Müller, N.; Schwartz, D.A.; King, T.E.; Lynch, J.P.; Hegele, R.; Waldron, J.; et al. Radiologic findings are strongly associated with a pathologic diagnosis of usual interstitial pneumonia. Chest 2003, 124, 1215–1223. [Google Scholar] [CrossRef]
- Akira, M.; Inoue, Y.; Kitaichi, M.; Yamamoto, S.; Arai, T.; Toyokawa, K. Usual interstitial pneumonia and nonspecific interstitial pneumonia with and without concurrent emphysema: Thin-section CT findings. Radiology 2009, 251, 271–279. [Google Scholar] [CrossRef]
- Johkoh, T.; Müller, N.L.; Colby, T.V.; Ichikado, K.; Taniguchi, H.; Kondoh, Y.; Fujimoto, K.; Kinoshita, M.; Arakawa, H.; Yamada, H.; et al. Nonspecific interstitial pneumonia: Correlation between thin-section CT findings and pathologic subgroups in 55 patients. Radiology 2002, 225, 199–204. [Google Scholar] [CrossRef]
- Guarnera, A.; Santini, E.; Podda, P. Idiopathic Interstitial Pneumonias and COVID-19 Pneumonia: Review of the Main Radiological Features and Differential Diagnosis. Tomography 2021, 7, 397–411. [Google Scholar] [CrossRef]
- Hamed, M.A. An overview on COVID-19: Reality and expectation. Bull. Natl. Res. Cent. 2020, 44, 86. [Google Scholar] [CrossRef]
- Henzler, T.; Barraza, J.M.; Nance, J.W.; Costello, P.; Krissak, R.; Fink, C.; Schoepf, U.J. CT imaging of acute pulmonary embolism. J. Cardiovasc. Comput. Tomogr. 2011, 5, 3–11. [Google Scholar] [CrossRef]
- Schoepf, U.J.; Costello, P. CT angiography for diagnosis of pulmonary embolism: State of the art. Radiology 2004, 230, 329–337. [Google Scholar] [CrossRef]
- Moore, A.J.E.; Wachsmann, J.; Chamarthy, M.R.; Panjikaran, L.; Tanabe, Y.; Rajiah, P. Imaging of acute pulmonary embolism: An update. Cardiovasc. Diagn. Ther. 2018, 8, 225–243. [Google Scholar] [CrossRef] [PubMed]
- Hunsaker, A.R.; Lu, M.T.; Goldhaber, S.Z.; Rybicki, F.J. Imaging in acute pulmonary embolism with particular clinical scenarios. Circ. Cardiovasc. Imaging 2010, 3, 491–500. [Google Scholar] [CrossRef][Green Version]














Publisher’s Note: MDPI stays neutral with regard to jurisdictional claims in published maps and institutional affiliations. |
© 2022 by the authors. Licensee MDPI, Basel, Switzerland. This article is an open access article distributed under the terms and conditions of the Creative Commons Attribution (CC BY) license (https://creativecommons.org/licenses/by/4.0/).
Share and Cite
Marginean, C.M.; Popescu, M.; Vasile, C.M.; Cioboata, R.; Mitrut, P.; Popescu, I.A.S.; Biciusca, V.; Docea, A.O.; Mitrut, R.; Marginean, I.C.; et al. Challenges in the Differential Diagnosis of COVID-19 Pneumonia: A Pictorial Review. Diagnostics 2022, 12, 2823. https://doi.org/10.3390/diagnostics12112823
Marginean CM, Popescu M, Vasile CM, Cioboata R, Mitrut P, Popescu IAS, Biciusca V, Docea AO, Mitrut R, Marginean IC, et al. Challenges in the Differential Diagnosis of COVID-19 Pneumonia: A Pictorial Review. Diagnostics. 2022; 12(11):2823. https://doi.org/10.3390/diagnostics12112823
Chicago/Turabian StyleMarginean, Cristina Maria, Mihaela Popescu, Corina Maria Vasile, Ramona Cioboata, Paul Mitrut, Iulian Alin Silviu Popescu, Viorel Biciusca, Anca Oana Docea, Radu Mitrut, Iulia Cristina Marginean, and et al. 2022. "Challenges in the Differential Diagnosis of COVID-19 Pneumonia: A Pictorial Review" Diagnostics 12, no. 11: 2823. https://doi.org/10.3390/diagnostics12112823
APA StyleMarginean, C. M., Popescu, M., Vasile, C. M., Cioboata, R., Mitrut, P., Popescu, I. A. S., Biciusca, V., Docea, A. O., Mitrut, R., Marginean, I. C., Iacob, G. A., & Neagoe, D. (2022). Challenges in the Differential Diagnosis of COVID-19 Pneumonia: A Pictorial Review. Diagnostics, 12(11), 2823. https://doi.org/10.3390/diagnostics12112823

