“Noninfective Endocarditis”: A Case Report of Hereditary Coagulation Disorders in a 28-Year-Old Male
Abstract
1. Introduction
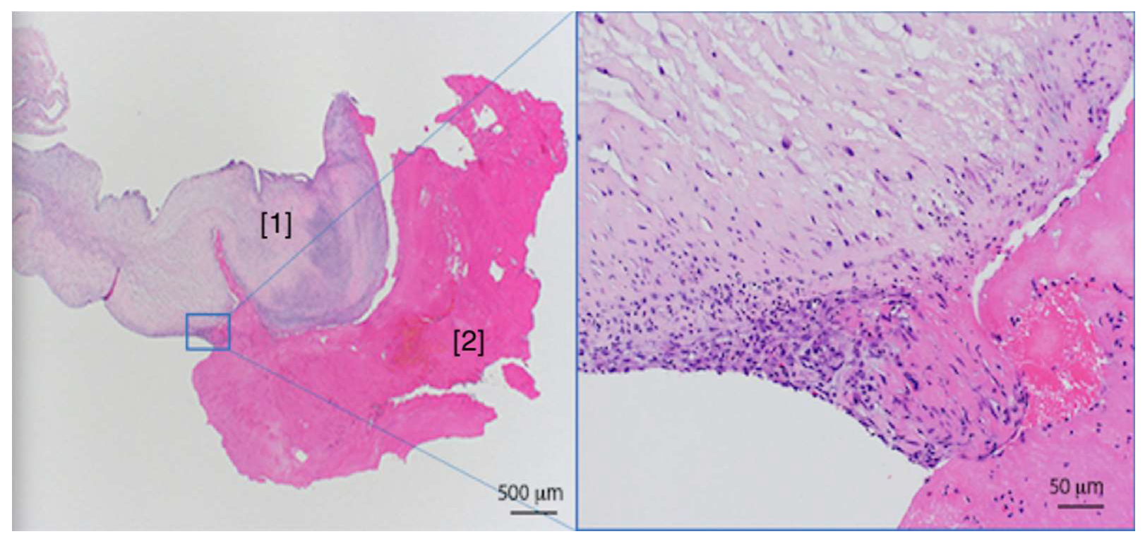
2. Case Presentation
3. Discussion
4. Conclusions
Supplementary Materials
Author Contributions
Funding
Conflicts of Interest
References
- Dag, O.; Kaygin, M.A.; Erkut, B. Analysis of risk factors for amputation in 822 cases with acute arterial emboli. Sci. World J. 2012, 2012, 673483. [Google Scholar] [CrossRef] [PubMed][Green Version]
- Mazokopakis, E.; Syros, P.; Starakis, I. Nonbacterial Thrombotic Endocarditis (Marantic Endocarditis) in Cancer Patients. Cardiovasc. Haematol. Disord. Drug Targ. 2010, 10, 84–86. [Google Scholar] [CrossRef] [PubMed]
- Saric, M.; Armour, A.C.; Arnaout, M.S.; Chaudhry, F.A.; Grimm, R.A.; Kronzon, I.; Landeck, B.F.; Maganti, K.; Michelena, H.I.; Tolstrup, K. Guidelines for the Use of Echocardiography in the Evaluation of a Cardiac Source of Embolism. J. Am. Soc. Echocardiogr. 2016, 29, 1–42. [Google Scholar] [CrossRef] [PubMed]
- Sevenet, P.O.; Kaczor, D.A.; Depasse, F. Factor VII Deficiency: From Basics to Clinical Laboratory Diagnosis and Patient Management. Clin. Appl. Thromb. Hemost. 2017, 23, 703–710. [Google Scholar] [CrossRef] [PubMed]
- Meeks, S.L.; Abshire, T.C. Abnormalities of prothrombin: A review of the pathophysiology, diagnosis, and treatment. Haemophilia 2008, 14, 1159–1163. [Google Scholar] [CrossRef] [PubMed]
- Rosendaal, F.R.; Doggen, C.J.; Zivelin, A.; Arruda, V.R.; Aiach, M.; Siscovick, D.S.; Hillarp, A.; Watzke, H.H.; Bernardi, F.; Cumming, A.M.; et al. Geographic distribution of the 20210 G to A prothrombin variant. Thromb. Haemost. 1998, 79, 706–708. [Google Scholar] [PubMed]
- Leroyer, C.; Mercier, B.; Oger, E.; Chenu, E.; Abgrall, J.F.; Férec, C.; Mottier, D. Prevalence of 20210 A allele of the prothrombin gene in venous thromboembolism patients. Thromb. Haemost. 1998, 80, 49–51. [Google Scholar] [PubMed]
- Ye, Z.; Liu, E.H.C.; Higgins, J.P.T.; Keavney, B.D.; Lowe, G.D.O.; Collins, R.; Danesh, J. Seven haemostatic gene polymorphisms in coronary disease: Meta-analysis of 66 155 cases and 91 307 controls. The Lancet 2006, 367, 651–658. [Google Scholar] [CrossRef]
- Berg, A.O.; Botkin, J.; Calonge, N.; Campos-Outcalt, D.; Haddow, J.E.; Hayes, M.; Kaye, C.; Klein, R.D.; Offit, K.; Pauker, S.G.; et al. Recommendations from the EGAPP Working Group: Routine testing for Factor V Leiden (R506Q) and prothrombin (20210G>A) mutations in adults with a history of idiopathic venous thromboembolism and their adult family members. Genet. Med. 2011, 13, 67–76. [Google Scholar] [CrossRef]
- Varga, E.A.; Kujovich, J.L. Management of inherited thrombophilia: Guide for genetics professionals. Clin. Genet. 2012, 81, 7–17. [Google Scholar] [CrossRef] [PubMed]
- Arletti, L.; Coluccio, V.; Romagnoli, E.; Luppi, M.; Marietta, M. Direct oral anticoagulants for atrial fibrillation in patients with congenital factor VII deficiency. Eur. J. Haematol. 2019, 103, 67–69. [Google Scholar] [CrossRef] [PubMed]
- Bertoletti, L.; Benhamou, Y.; Bejot, Y.; Marechaux, S.; Cheggour, S.; Aleil, B.; Lellouche, N.; Dillinger, J.G.; Delluc, A. Direct oral anticoagulant use in patients with thrombophilia, antiphospholipid syndrome or venous thrombosis of unusual sites: A narrative review. Blood Rev. 2018, 32, 272–279. [Google Scholar] [CrossRef] [PubMed]
- Whitlock, R.P.; Sun, J.C.; Fremes, S.E.; Rubens, F.D.; Teoh, K.H. Antithrombotic and thrombolytic therapy for valvular disease: Antithrombotic Therapy and Prevention of Thrombosis, 9th ed: American College of Chest Physicians Evidence-Based Clinical Practice Guidelines. Chest 2012, 141, e576S–e600S. [Google Scholar] [CrossRef]
- Nishimura, R.A.; Otto, C.M.; Bonow, R.O.; Carabello, B.A.; Erwin, J.P., 3rd; Fleisher, L.A.; Jneid, H.; Mack, M.J.; McLeod, C.J.; O’Gara, P.T.; et al. 2017 AHA/ACC Focused Update of the 2014 AHA/ACC Guideline for the Management of Patients With Valvular Heart Disease: A Report of the American College of Cardiology/American Heart Association Task Force on Clinical Practice Guidelines. Circulation 2017, 135, e1159–e1195. [Google Scholar] [CrossRef] [PubMed]




© 2020 by the authors. Licensee MDPI, Basel, Switzerland. This article is an open access article distributed under the terms and conditions of the Creative Commons Attribution (CC BY) license (http://creativecommons.org/licenses/by/4.0/).
Share and Cite
Reid, G.; Koechlin, L.; Reuthebuch, O.; Rüter, F.; Hopfer, H.; Eckstein, F.; Santer, D. “Noninfective Endocarditis”: A Case Report of Hereditary Coagulation Disorders in a 28-Year-Old Male. Diagnostics 2020, 10, 384. https://doi.org/10.3390/diagnostics10060384
Reid G, Koechlin L, Reuthebuch O, Rüter F, Hopfer H, Eckstein F, Santer D. “Noninfective Endocarditis”: A Case Report of Hereditary Coagulation Disorders in a 28-Year-Old Male. Diagnostics. 2020; 10(6):384. https://doi.org/10.3390/diagnostics10060384
Chicago/Turabian StyleReid, Gregory, Luca Koechlin, Oliver Reuthebuch, Florian Rüter, Helmut Hopfer, Friedrich Eckstein, and David Santer. 2020. "“Noninfective Endocarditis”: A Case Report of Hereditary Coagulation Disorders in a 28-Year-Old Male" Diagnostics 10, no. 6: 384. https://doi.org/10.3390/diagnostics10060384
APA StyleReid, G., Koechlin, L., Reuthebuch, O., Rüter, F., Hopfer, H., Eckstein, F., & Santer, D. (2020). “Noninfective Endocarditis”: A Case Report of Hereditary Coagulation Disorders in a 28-Year-Old Male. Diagnostics, 10(6), 384. https://doi.org/10.3390/diagnostics10060384

