Serotonin Signaling and Macrophage Subsets in Goldfish Gills: Unraveling the Neuroimmune Network for Gill Homeostasis
Abstract
1. Introduction
2. Materials and Methods
2.1. Sample Collection
2.2. Confocal Immunofluorescence
2.3. Semithin Sections and TEM Preparations
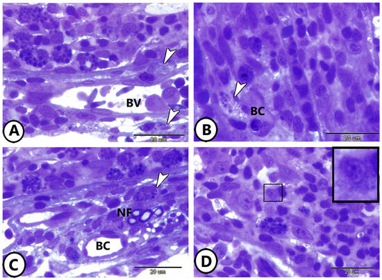
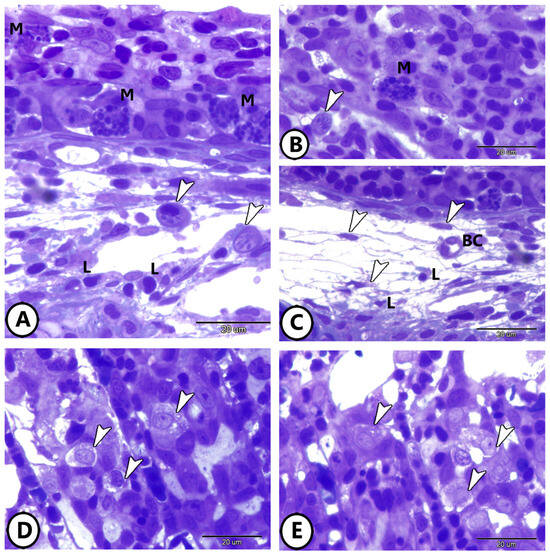
3. Results
3.1. Light Microscopy
3.2. Confocal Immunohistochemistry
- 1.
- Macrophage Distribution and Labeling (CD68 and MHC II)
- 2.
- iNOS Expression
- 3.
- 5-HT Expression in NECs and Macrophages
- 4.
- Double Immunolabeling for iNOS and 5-HT
- iNOS-positive macrophages: Distinct, bright fluorescence clustered in the basal epithelium, forming compact groups.
- 5-HT-positive macrophages: Scattered, weaker fluorescence was observed exclusively in the subepithelium.
3.3. Electron Microscopy
4. Discussion
5. Conclusions
Author Contributions
Funding
Institutional Review Board Statement
Informed Consent Statement
Data Availability Statement
Conflicts of Interest
References
- Evans, D.H.; Piermarini, P.M.; Choe, K.P. The multifunctional fish gill: Dominant site of gas exchange, osmoregulation, acid-base regulation, and excretion of nitrogenous waste. Physiol. Rev. 2005, 85, 97–177. [Google Scholar] [CrossRef]
- Pearse, A. The cytochemistry and ultrastructure of polypeptide hormone-producing cells of the APUD series and the embryologic, physiologic and pathologic implications of the concept. J. Histochem. Cytochem. 1969, 17, 303–313. [Google Scholar] [CrossRef]
- Cutz, E. Neuroendocrine cells of the lung an overview of morphologic characteristics and development. Exp. Lung Res. 1982, 3, 185–208. [Google Scholar] [CrossRef]
- Kotsyuba, E.; Dyachuk, V. Role of the neuroendocrine system of marine bivalves in their response to hypoxia. Int. J. Mol. Sci. 2023, 24, 1202. [Google Scholar] [CrossRef]
- Porteus, C.S.; Pollack, J.; Tzaneva, V.; Kwong, R.W.; Kumai, Y.; Abdallah, S.J.; Zaccone, G.; Lauriano, E.R.; Milsom, W.K.; Perry, S.F. A role for nitric oxide in the control of breathing in zebrafish (Danio rerio). J. Exp. Biol. 2015, 218, 3746–3753. [Google Scholar] [CrossRef]
- Zachar, P.C.; Jonz, M.G. Neuroepithelial cells of the gill and their role in oxygen sensing. Respir. Physiol. Neurobiol. 2012, 184, 301–308. [Google Scholar] [CrossRef]
- Bailly, Y.; Dunel-Erb, S.; Laurent, P. The neuroepithelial cells of the fish gill filament: Indolamine-immunocytochemistry and innervation. Anat. Rec. 1992, 233, 143–161. [Google Scholar] [CrossRef] [PubMed]
- Zaccone, G.; Mauceri, A.; Fasulo, S.; Ainis, L.; Lo Cascio, P.; Ricca, M.B. Localization of immunoreactive endothelin in the neuroendocrine cells of fish gill. Neuropeptides 1996, 30, 53–57. [Google Scholar] [CrossRef]
- Goss, G.G.; Perry, S.F.; Fryer, J.N.; Laurent, P. Gill morphology and acid-base regulation in freshwater fishes. Comp. Biochem. Physiol. A Mol. Integr. Physiol. 1998, 119, 107–115. [Google Scholar] [CrossRef]
- Zhou, T.; Fang, Z.; Duarte, D.F.C.; Fernandes, S.A.; Lu, Y.; Guo, J.; Gui, L.; Chen, L. Transcriptome Analysis of Immune Response against Streptococcus agalactiae Infection in the Nile Tilapia GIFT Strain. Fishes 2022, 7, 246. [Google Scholar] [CrossRef]
- Simmons, D.; McCallum, E.; Balshine, S.; Chandramouli, B.; Cosgrove, J.; Sherry, J.P. Reduced anxiety is associated with the accumulation of six serotonin reuptake inhibitors in wastewater treatment effluent exposed goldfish Carassius auratus. Sci. Rep. 2017, 7, 17001. [Google Scholar] [CrossRef]
- Noga, E.J. Fish Disease: Diagnosis and Treatment, 2nd ed.; Wiley-Blackwell: Ames, IA, USA, 2010. [Google Scholar]
- Austin, B.; Austin, D.A. Bacterial Fish Pathogens: Disease of Farmed and Wild Fish, 6th ed.; Springer International Publishing: Dordrecht, The Netherlands, 2016. [Google Scholar]
- Posner, L.P.; Scott, G.N.; Law, J.M. Repeated exposure of goldfish (Carassius auratus) to tricaine methanesulfonate (MS-222). J. Zoo Wildl. Med. 2013, 44, 340–347. [Google Scholar] [CrossRef]
- Zaccone, G.; Mauceri, A.; Fasulo, S. Neuropeptides and nitric oxide synthase in the gill and the air-breathing organs of fishes. J. Exp. Zool. A Comp. Exp. Biol. 2006, 305, 428–439. [Google Scholar] [CrossRef]
- Maina, J.N.; Icardo, J.M.; Zaccone, G.; Aragona, M.; Lauriano, E.R.; Alesci, A.; Albano, M.; Guerrera, M.C.; Germana, A.; Fernandes, J.M.O.; et al. Immunohistochemical and ultrastructural study of the immune cell system and epithelial surfaces of the respiratory organs in the bimodally breathing African sharptooth catfish (Clarias gariepinus Burchell, 1822). Anat. Rec. 2022, 305, 3212–3229. [Google Scholar] [CrossRef]
- Karnovsky, M. A Formaldehyde-Glutaraldehyde Fixative of High Osmolality for Use in Electron Microscopy. J. Cell Biol. 1965, 27, 137A–138A. [Google Scholar]
- Reynolds, E.S. The use of lead citrate at high pH as an electron-opaque stain in electron microscopy. Cell Biol. 1963, 17, 208. [Google Scholar] [CrossRef]
- Chiu, H.; Lagunoff, D. Histochemical comparison of vertebrate mast cells. Histochem. J. 1972, 4, 135–144. [Google Scholar] [CrossRef]
- Temkin, R.J.; McMillan, D.B. Gut-associated lymphoid tissue (GALT) of the goldfish, Carassius auratus. J. Morphol. 1986, 190, 9–26. [Google Scholar] [CrossRef]
- Chiarini-Garcia, H.; Ferreira, R. Histochemical evidence of heparin in granular cells of Hoplias malabaricus Bloch. Fish Biol. 1992, 41, 155–157. [Google Scholar] [CrossRef]
- Reite, O.B.; Evensen, Ø. Inflammatory cells of teleostean fish: A review focusing on mast cells/eosinophilic granule cells and rodlet cells. Fish Shellfish Immunol. 2006, 20, 192–208. [Google Scholar] [CrossRef]
- Vannucchi, M.G. The Telocytes: Ten Years after Their Introduction in the Scientific Literature. An Update on Their Morphology, Distribution, and Potential Roles in the Gut. Int. J. Mol. Sci. 2020, 21, 4478. [Google Scholar] [CrossRef]
- Zhao, J.; Birjandi, A.A.; Ahmed, M.; Redhead, Y.; Olea, J.V.; Sharpe, P. Telocytes regulate macrophages in periodontal disease. eLife 2022, 11, e72128. [Google Scholar] [CrossRef]
- Verdile, N.; Pasquariello, R.; Cardinaletti, G.; Tibaldi, E.; Brevini, T.A.L.; Gandolfi, F. Telocytes: Active Players in the Rainbow Trout (Oncorhynchus mykiss) Intestinal Stem-Cell Niche. Animals 2022, 12, 74. [Google Scholar] [CrossRef]
- Aleksandrovych, V.; Gil, A.; Poniatowski, A. Notes about telocytes and immunity. Folia Med. Cracov. 2022, 15, 101–109. [Google Scholar]
- Mokhtar, D.M.; Hussein, M.M.; Sayed, R.K. Novel identification and microscopy of the intestinal bulb of molly fish (Poecilia sphenops) with a focus on its role in immunity. Microsc. Microanal. 2022, 28, 1827–1839. [Google Scholar] [CrossRef]
- Zaccone, G.; Lauriano, E.R.; Capillo, G.; Kuciel, M. Air-breathing in fish: Air-breathing organs and control of respiration: Nerves and neurotransmitters in the air-breathing organs and the skin. Acta Histochem. 2018, 120, 630–641. [Google Scholar] [CrossRef]
- Mauceri, A.; Fasulo, S.; Ainis, L.; Licata, A.; Lauriano, E.R.; Martínez, A.; Mayer, B.; Zaccone, G. Neuronal nitric oxide synthase (nNOS) expression in the epithelial neuroendocrine cell system and nerve fibers in the gill of the catfish, Heteropneustes fossilis. Acta Histochem. 1999, 101, 437–448. [Google Scholar] [CrossRef]
- Jonz, M.G.; Fearon, I.M.; Nurse, C.A. Neuroepithelial oxygen chemoreceptors of the zebrafish gill. J. Physiol. 2004, 560, 737–752. [Google Scholar] [CrossRef]
- Qin, Z.; Lewis, J.E.; Perry, S.F. Zebrafish (Danio rerio) gill neuroepithelial cells are sensitive chemoreceptors for environmental CO2. J. Physiol. 2010, 588, 861–872. [Google Scholar] [CrossRef]
- Jonz, M.G.; Nurse, C.A. Neuroepithelial cells and associated innervation of the zebrafish gill: A confocal immunofluorescence study. J. Comp. Neurol. 2003, 461, 1–17. [Google Scholar] [CrossRef]
- Porteus, C.S.; Brink, D.L.; Coolidge, E.H.; Fong, A.Y.; Milsom, W.K. Distribution of acetylcholine and catecholamines in fish gills and their potential roles in the hypoxic ventilatory response. Acta Histochem. 2013, 115, 158–169. [Google Scholar] [CrossRef]
- Randall, D. The control of respiration and circulation in fish during exercise and hypoxia. Exp. Biol. 1982, 100, 275–288. [Google Scholar] [CrossRef]
- Dunel-Erb, S.; Bailly, Y.; Laurent, P. Neuroepithelial cells in fish gill primary lamellae. J. Appl. Physiol. 1982, 53, 1342–1353. [Google Scholar] [CrossRef]
- Sundin, L.; Nilsson, G.E.; Block, M.; Löfman, C.O. Control of gill filament blood flow by serotonin in the rainbow trout, Oncorhynchus mykiss. Am. J. Physiol. Regul. Integr. Comp. Physiol. 1995, 268, R1224–R1229. [Google Scholar] [CrossRef]
- Wilson, J.M.; Laurent, P. Fish gill morphology: Inside out. Exp. Zool. 2002, 293, 192–213. [Google Scholar] [CrossRef]
- Nardocci, G.; Navarro, C.; Cortés, P.P.; Imarai, M.; Montoya, M.; Valenzuela, B.; Jara, P.; Acuña-Castillo, C.; Fernández, R. Neuroendocrine mechanisms for immune system regulation during stress in fish. Fish Shellfish Immunol. 2014, 40, 531–538. [Google Scholar] [CrossRef] [PubMed]
- Alesci, A.; Capillo, G.; Mokhtar, D.M.; Fumia, A.; D’Angelo, R.; Lo Cascio, P.; Albano, M.; Guerrera, M.C.; Sayed, R.K.A.; Spanò, N.; et al. Expression of Antimicrobic Peptide Piscidin1 in Gills Mast Cells of Giant Mudskipper Periophthalmodon schlosseri (Pallas, 1770). Int. J. Mol. Sci. 2022, 23, 13707. [Google Scholar] [CrossRef]
- Lauriano, E.R.; Capillo, G.; Icardo, J.M.; Fernandes, J.M.O.; Kiron, V.; Kuciel, M.; Zuwala, K.; Guerrera, M.C.; Aragona, M.; Germana’, A.; et al. Neuroepithelial cells (NECs) and mucous cells express a variety of neurotransmitters and neurotransmitter receptors in the gill and respiratory air-sac of the catfish Heteropneustes fossilis (Siluriformes, Heteropneustidae): A possible role in local immune defence. J. Zool. 2021, 148, 125958. [Google Scholar]
- Beck, S.; Kelly, A.; Radley, E.; Khurshid, F.; Alderton, R.P.; Trowsdale, J. DNA sequence analysis of 66 kb of the human MHC class II region encoding a cluster of genes for antigen processing. J. Mol. Biol. 1992, 228, 433–441. [Google Scholar] [CrossRef] [PubMed]
- Glimcher, L.H.; Kara, C.J. Sequences and factors: A guide to MHC class-II transcription. Annu. Rev. Immunol. 1992, 10, 13–49. [Google Scholar] [CrossRef]
- Haugarvoll, E.; Bjerkås, I.; Nowak, B.F.; Hordvik, I.; Koppang, E.O. Identification and characterization of a novel intraepithelial lymphoid tissue in the gills of Atlantic salmon. J. Anat. 2008, 213, 202–209. [Google Scholar] [CrossRef] [PubMed]
- Koppang, E.O.; Fischer, U.; Moore, L.; Tranulis, M.A.; Dijkstra, J.M.; Köllner, B.; Aune, L.; Jirillo, E.; Hordvik, I. Salmonid T cells assemble in the thymus, spleen and in novel interbranchial lymphoid tissue. J. Anat. 2010, 217, 728–739. [Google Scholar] [CrossRef]
- van Erp, S.H.; Egberts, E.; Stet, R.J. Characterization of class II A and B genes in a gynogenetic carp clone. Immunogenetics 1996, 44, 192–202. [Google Scholar] [CrossRef]
- Ono, H.; O’hUigin, C.; Vincek, V.; Klein, J. Exon-intron organization of fish major histocompatibility complex class II B genes. Immunogenetics 1993, 38, 223–234. [Google Scholar] [CrossRef] [PubMed]
- Godwin, U.B.; Flores, M.; Quiniou, S.; Wilson, M.R.; Miller, N.W.; Clem, L.W.; McConnell, T.J. MHC class II B genes in the channel catfish (Ictalurus punctatus). Dev. Comp. Immunol. 1997, 21, 13–23. [Google Scholar] [CrossRef]
- Hardee, J.J.; Godwin, U.; Benedetto, R.; McConnell, T.J. Major histocompatibility complex class II A gene polymorphism in the striped bass. Immunogenetics 1995, 41, 229–238. [Google Scholar] [CrossRef] [PubMed]
- Chen, S.-L.; Zhang, Y.X.; Xu, M.Y.; Ji, X.S.; Yu, G.C.; Dong, C.F. Molecular polymorphism and expression analysis of MHC class II B gene from red sea bream (Chrysophrys major). Develop. Comp. Immunol. 2006, 30, 407–418. [Google Scholar] [CrossRef]
- Holness, C.L.; da Silva, R.P.; Fawcett, J.; Gordon, S.; Simmons, D.L. Macrosialin, a mouse macrophage-restricted glycoprotein, is a member of the lamp/lgp family. Biol. Chem. 1993, 268, 9661–9666. [Google Scholar] [CrossRef]
- Fukuda, M. Lysosomal membrane glycoproteins. Structure, biosynthesis, and intracellular trafficking. Biol. Chem. 1991, 266, 21327–21330. [Google Scholar] [CrossRef]
- Cui, H.; Li, H.; Zhang, M.; Li, H.; Wang, X.; Wang, Z.; Zhai, W.; Chen, X.; Cheng, H.; Xu, J.; et al. Molecular characterization, expression, evolutionary selection, and biological activity analysis of CD68 gene from Megalobrama amblycephala. Int. J. Mol. Sci. 2022, 23, 13133. [Google Scholar] [CrossRef]
- Kumar, R.; Joy, K.; Singh, S. Morpho-histology of head kidney of female catfish Heteropneustes fossilis: Seasonal variations in melano-macrophage centers, melanin contents and effects of lipopolysaccharide and dexamethasone on melanins. Fish Physiol. Biochem. 2016, 42, 1287–1306. [Google Scholar] [CrossRef] [PubMed]
- Press, C.M.; Dannevig, B.; Landsverk, T. Immune and enzyme histochemical phenotypes of lymphoid and nonlymphoid cells within the spleen and head kidney of Atlantic salmon (Salmo salar L.). Fish Shellfish Immunol. 1994, 4, 79–93. [Google Scholar] [CrossRef]
- Khan, N.A.; Deschaux, P. Role of serotonin in fish immunomodulation. Exp. Biol. 1997, 200, 1833–1838. [Google Scholar] [CrossRef]
- McNeill, E.; Crabtree, M.J.; Sahgal, N.; Patel, J.; Chuaiphichai, S.; Iqbal, A.J.; Hale, A.B.; Greaves, D.R. Channon KM. Regulation of iNOS function and cellular redox state by macrophage Gch1 reveals specific requirements for tetrahydrobiopterin in NRF2 activation. Free Radic. Biol. Med. 2015, 79, 206–216. [Google Scholar] [CrossRef]
- Nathan, C.F.; Hibbs, J.B., Jr. Role of nitric oxide synthesis in macrophage antimicrobial activity. Curr. Opin. Immunol. 1991, 3, 65–70. [Google Scholar] [CrossRef] [PubMed]
- Wink, D.; Hines, H.B.; Cheng, R.Y.; Switzer, C.H.; Flores-Santana, W.; Vitek, M.P.; Ridnour, L.A.; Colton, C.A. Nitric oxide and redox mechanisms in the immune response. J. Leukoc. Biol. 2011, 89, 873–891. [Google Scholar] [CrossRef]
- Martínez, A. Nitric oxide synthase in invertebrates. Histochem. J. 1995, 27, 770–776. [Google Scholar] [CrossRef]
- Xue, Q.; Yan, Y.; Zhang, R.; Xiong, H. Regulation of iNOS on immune cells and its role in diseases. Int. J. Mol. Sci. 2018, 19, 3805. [Google Scholar] [CrossRef]
- Hou, S.-M.; Yang, C.-M.; Huang, W.-C.; Cheng, S.-W.; Yen, T.-L.; Hsia, C.-W.; Hsieh, C.-Y.; Hsia, C.-H. Glabridin Suppresses Macrophage Activation by Lipoteichoic Acid In Vitro: The Crucial Role of MAPKs-IL-1β-iNOS Axis Signals in Peritoneal and Alveolar Macrophages. Biomolecules 2025, 15, 174. [Google Scholar] [CrossRef]
- Li, Q.; Jiang, B.; Zhang, Z.; Huang, Y.; Xu, Z.; Chen, X.; Hou, X.; Cai, J.; Huang, Y.; Jian, J. Serotonin system is partially involved in immunomodulation of Nile tilapia (Oreochromis niloticus) immune cells. Front. Immunol. 2022, 13, 944388. [Google Scholar] [CrossRef]
- Quintero-Villegas, A.; Valdés-Ferrer, S.I. Role of 5-HT7 receptors in the immune system in health and disease. Mol. Med. 2020, 26, 2. [Google Scholar] [CrossRef] [PubMed]










| Antibody | Supplier | Dilution | Animal Source |
|---|---|---|---|
| 5-HT | Sigma-Aldrich, Saint Louis, MO, USA (S5545) | 1:2000 | Rabbit |
| Inos | Santa Cruz Biotechnology, Inc., Dallas, TX, USA | 1:200 | Mouse |
| CD68 | Thermo Fisher Scientific, Waltham, MA, USA | 1:200 | Rabbit |
| MHC II | Santa Cruz Biotechnology, Inc., Dallas, TX, USA | 1:200 | Mouse |
| Alexa Fluor 488 Donkey anti-MouseIgG FITC conjugated | Molecular Probes, Invitrogen, Eugene, OR, USA | 1:300 | Donkey |
| Alexa Fluor 594 Donkey anti-RabbitIgG TRITC conjugated | Molecular Probes, Invitrogen, Eugene, OR, USA | 1:300 | Donkey |
Disclaimer/Publisher’s Note: The statements, opinions and data contained in all publications are solely those of the individual author(s) and contributor(s) and not of MDPI and/or the editor(s). MDPI and/or the editor(s) disclaim responsibility for any injury to people or property resulting from any ideas, methods, instructions or products referred to in the content. |
© 2025 by the authors. Licensee MDPI, Basel, Switzerland. This article is an open access article distributed under the terms and conditions of the Creative Commons Attribution (CC BY) license (https://creativecommons.org/licenses/by/4.0/).
Share and Cite
Hussein, M.T.; Zaccone, G.; Albano, M.; Alesci, A.; Marino, S.; Alonaizan, R.; Mokhtar, D.M. Serotonin Signaling and Macrophage Subsets in Goldfish Gills: Unraveling the Neuroimmune Network for Gill Homeostasis. Life 2025, 15, 751. https://doi.org/10.3390/life15050751
Hussein MT, Zaccone G, Albano M, Alesci A, Marino S, Alonaizan R, Mokhtar DM. Serotonin Signaling and Macrophage Subsets in Goldfish Gills: Unraveling the Neuroimmune Network for Gill Homeostasis. Life. 2025; 15(5):751. https://doi.org/10.3390/life15050751
Chicago/Turabian StyleHussein, Manal T., Giacomo Zaccone, Marco Albano, Alessio Alesci, Sebastian Marino, Rasha Alonaizan, and Doaa M. Mokhtar. 2025. "Serotonin Signaling and Macrophage Subsets in Goldfish Gills: Unraveling the Neuroimmune Network for Gill Homeostasis" Life 15, no. 5: 751. https://doi.org/10.3390/life15050751
APA StyleHussein, M. T., Zaccone, G., Albano, M., Alesci, A., Marino, S., Alonaizan, R., & Mokhtar, D. M. (2025). Serotonin Signaling and Macrophage Subsets in Goldfish Gills: Unraveling the Neuroimmune Network for Gill Homeostasis. Life, 15(5), 751. https://doi.org/10.3390/life15050751

