Anatomical Adaptations of Halophyte Leaves (Nitraria retusa [Forsskal] Asch. and Atriplex halimus L.) in Response to Cement Dust Pollution in Arid Environments
Abstract
1. Introduction
2. Material and Methods
2.1. Study Sites and Sampling
2.2. Heavy Metal Content
2.3. Relative Water Content
2.4. Anatomical Studies
2.4.1. Histology
2.4.2. Anatomical Analysis
2.5. Statistical Analysis
3. Results and Discussion
3.1. HMC
3.2. Leaf RWC
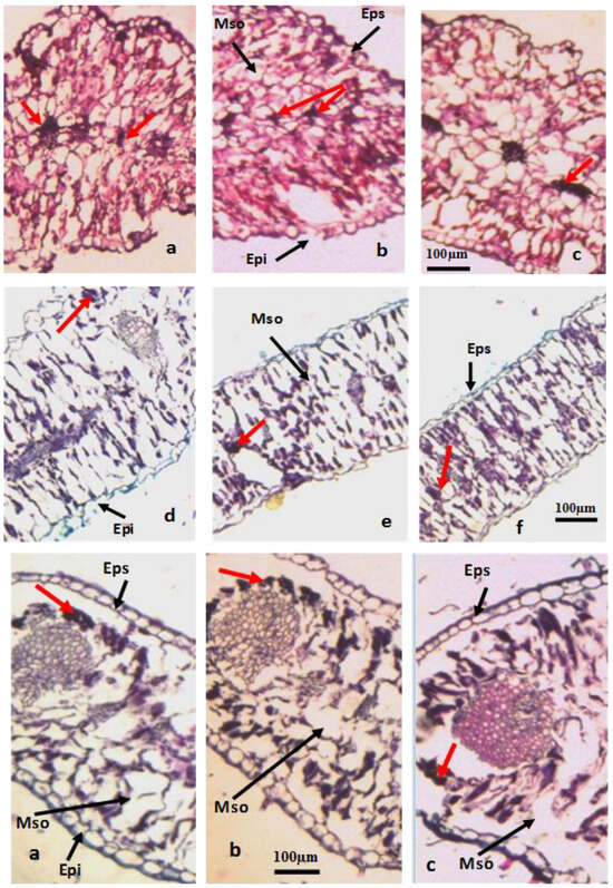
3.3. Leaf Anatomical Features
3.3.1. Foliar Epidermal Thickness
3.3.2. Mesophyll Cells Size
3.3.3. Cribro-Vascular Bundle Diameter
3.3.4. Stomatal Density and Size
3.4. Correlation Between Anatomical Characteristics and Metal Contents
4. Conclusions
Author Contributions
Funding
Institutional Review Board Statement
Informed Consent Statement
Data Availability Statement
Acknowledgments
Conflicts of Interest
References
- Maryland Department of Transportation. AADT’s of Stations for the Years 2014–2020; Maryland State Highway Administration: Baltimore, MD, USA, 2020. Available online: https://www.roads.maryland.gov/oppen/stati (accessed on 30 November 2024).
- Nawab, J.; Khan, S.; Shah, M.T.; Khan, K.; Huang, Q.; Ali, R. Quantification of heavy metals in mining-affected soil and their bioaccumulation in native plant species. Int. J. Phytoremediat. 2015, 17, 801–813. [Google Scholar] [CrossRef] [PubMed]
- Sawidis, T.; Breuste, J.; Mitrovic, M.; Pavlovic, P.; Tsigaridas, K. Trees as bioindicators of heavy metal pollution in three European cities. Environ. Pollut. 2011, 159, 3560–3570. [Google Scholar] [CrossRef] [PubMed]
- Zhao, F.J.; Lombi, E.; Breedon, T.; McGrath, S.P. Zinc hyperaccumulation and cellular distribution in Arabidopsis halleri. Plant Cell Environ. 2000, 23, 507–514. [Google Scholar] [CrossRef]
- Bowman, C.M.; Landee, F.A.; Reslock, M.A. Chemically oriented storage and retrieval system. 1. Storage and verification of structural information. J. Chem. Doc. 1967, 7, 43–47. [Google Scholar] [CrossRef]
- Galal, T.M.; Shehata, H.S. Bioaccumulation and translocation of heavy metals by Plantago major L. grown in contaminated soils under the effect of traffic pollution. Ecol. Indic. 2015, 48, 244–251. [Google Scholar] [CrossRef]
- Ismael, C.R.; Alves, C.A. Road dust resuspension: A review. Atmos. Res. 2021, 261, 105740. [Google Scholar] [CrossRef]
- Haworth, M.; Scutt, C.P.; Douthe, C.; Marino, G.; Gomes, M.T.G.; Loreto, F.; Flexas, J.; Centritto, M. Allocation of the epidermis to stomata relates to stomatal physiological control: Stomatal factors involved in the evolutionary diversification of the angiosperms and development of amphistomaty. Environ. Exp. Bot. 2018, 151, 55–63. [Google Scholar] [CrossRef]
- Nanos, G.D.; Ilias, I. Effects of inert dust on olive (Olea europaea L.) leaf physiological parameters. Environ. Sci. Pollut. Res. 2007, 14, 212–214. [Google Scholar] [CrossRef] [PubMed]
- Abatan, A.; Jacks, B.; Ugwuanyi, E.; Nwokediegwu, Z.; Obaigbena, A.; Daraojimba, A.; Lottu, O. The role of environmental health and safety practices in the automotive manufacturing industry. Eng. Sci. Technol. J. 2024, 5, 531–542. [Google Scholar] [CrossRef]
- Bargagli, R.; Monaci, F.; Borghini, F.; Bravi, F.; Agnorelli, C. Mosses and lichens as biomonitors of trace metals: A comparison study on Hypnum cupressiforme and Parmelia caperata in a former mining district in Italy. Environ. Pollut. 2002, 116, 279–287. [Google Scholar] [CrossRef]
- Maresca, V.; Bellini, E.; Landi, S.; Capasso, G.; Cianciullo, P.; Carraturo, F.; Pirintsos, S.; Sorbo, S.; Sanità di Toppi, L.; Esposito, S.; et al. Biological responses to heavy metal stress in the moss Leptodictyum riparium (Hedw.) Warns. Ecotoxicol. Environ. Saf. 2022, 229, 113078. [Google Scholar] [CrossRef]
- Rai, P.K. Impacts of Particulate Matter Pollution on Plants: Implications for Environmental Biomonitoring. Ecotoxicol. Environ. Saf. 2016, 129, 120–136. [Google Scholar] [CrossRef]
- Ben Amor, R.; Abidi, M.; Gueddar, M. Trace metal contamination by phosphogypsum discharge in surface and core sediments of the Gabes coast area (SE Tunisia). Arab. J. Geosci. 2018, 11, 207. [Google Scholar] [CrossRef]
- Krir, N.; Guedri, M.M.; Hamrouni, L.; Ismail, S.; Romdhane, M.; Guetat, A. Physiological and biochemical responses in Mediterranean saltbush (Atriplex halimus L., Amaranthaceae Juss.) to heavy metal pollution in arid environments. Pak. J. Bot. 2024, 56, 1717–1726. [Google Scholar] [CrossRef]
- Ma, D.; He, Z.; Bai, X.; Wang, W.; Zhao, P.; Lin, P.; Zhou, H. Atriplex canescens, a valuable plant in soil rehabilitation and forage production: A review. Sci. Total Environ. 2022, 804, 150287. [Google Scholar] [CrossRef] [PubMed]
- Elloumi, N.; Zouari, M.; Mezghani, I.; Abdallah, F.B.; Woodward, S.; Kallel, M. Adaptive biochemical and physiological responses of Eriobotrya japonica to fluoride air pollution. Ecotoxicology 2017, 26, 991–1001. [Google Scholar] [CrossRef]
- Guedri, M.M.; Krir, N.; Dagsni, O.; Neffeti, M.; Romdhane, M. Variability in the chemical composition and phenolic compounds of wild Tunisian populations of Nitraria retusa (Forssk.) Asch. and study of their antioxidant properties. Afr. J. Biotechnol. 2023, 22, 71–79. [Google Scholar] [CrossRef]
- Guedri, M.M.; Krir, N.; Terol, C.C.; Romdhane, M.; Boulila, A.; Guetat, A. Phytochemical analysis, acetylcholinesterase inhibition, antidiabetic and antioxidant activities of Atriplex halimus L. (Amaranthaceae Juss.). Chem. Biodivers. 2024, 21, e202301941. [Google Scholar] [CrossRef]
- Zou, Q.; Feng, J.; Li, T.; Cheng, G.; Wang, W.; Rao, G.; He, H.; Li, Y. Antioxidation and anti-inflammatory actions of the extract of Nitraria tangutorum Bobr. fruits reduce the severity of ulcerative colitis in a dextran sulphate sodium-induced mice model. J. Funct. Foods 2022, 91, 105005. [Google Scholar] [CrossRef]
- Alahabadi, A.; Ehrampoush, M.H.; Miri, M.; Aval, H.E.; Yousefzadeh, S.; Ghaffari, H.R.; Nikoonahad, A. A comparative study on the capability of different tree species in accumulating heavy metals from soil and ambient air. Chemosphere 2017, 172, 459–467. [Google Scholar] [CrossRef] [PubMed]
- Farahat, E.; Linderholm, H.W. The effect of long-term wastewater irrigation on accumulation and transfer of heavy metals in Cupressus sempervirens leaves and adjacent soils. Sci. Total Environ. 2015, 512–513, 1–7. [Google Scholar] [CrossRef] [PubMed]
- Johansen, D.A. Plant Microtechnique; McGraw-Hill: New York, NY, USA, 1940. [Google Scholar]
- Weyers, J.; Meider, H. Methods in Stomata Research; Longman: Essex, UK, 1990. [Google Scholar]
- The Statistical Program SPSS Inc. SPSS Statistics for Windows; Version 17.0 (Released 2008); SPSS Inc.: Chicago, IL, USA, 2023. [Google Scholar]
- Khan, Z.I.; Kaffil, A.; Akram, N.A.; Mehmood, N.; Yasmeeni, S. Heavy metal contamination in water, soil and a potential vegetable (Allium sativum L.) in Punjab. Pak. J. Bot. 2017, 49, 547–552. [Google Scholar]
- Shahid, M.; Pinelli, E.; Dumat, C. Tracing Trends in Plant Physiology and Biochemistry: Need of Databases from Genetic to Kingdom Level. Plant Physiol. Biochem. 2018, 127, 630–635. [Google Scholar] [CrossRef]
- Al-Khashman, O.A.; Al-Muhtaseb, A.H.; Ibrahim, K.A. Date palm (Phoenix dactylifera L.) leaves as biomonitors of atmospheric metal pollution in arid and semi-arid environments. Environ. Pollut. 2011, 159, 1635–1640. [Google Scholar] [CrossRef]
- Guo, C.; Chen, Y.; Xia, W.; Qu, X.; Yuan, H.; Xie, S.; Lin, L.S. Eutrophication and heavy metal pollution patterns in the water supplying lakes of China’s South-to-North Water Diversion Project. Sci. Total Environ. 2020, 711, 134543. [Google Scholar] [CrossRef] [PubMed]
- Kabata-Pendias, A. Trace Elements in Soils and Plants, 4th ed.; CRC Press: Boca Raton, FL, USA, 2010. [Google Scholar]
- Kabata-Pendias, A.; Pendias, H. Trace Elements in Soils and Plants; CRC Press: Boca Raton, FL, USA, 2001. [Google Scholar]
- Dikwa, M.K.; Akan, J.C.; Adamu, A. Determination of some heavy metals in roadside soils from some major roads in Maiduguri, Borno State, Nigeria. Nucl. Sci. 2019, 4, 27–33. [Google Scholar] [CrossRef]
- Kumar, S.; Dwivedi, S.; Basu, G.; Kumar, J.; Koley, T.K.; Kumar, J. Anatomical, agro-morphological and physiological changes in rice under cumulative and stage-specific drought conditions in Eastern India. Field Crops Res. 2020, 245, 107658. [Google Scholar] [CrossRef]
- Rucinska-Sobkowiak, R. Water relations in plants subjected to heavy metal stresses. Acta Physiol. Plant. 2016, 38, 257. [Google Scholar] [CrossRef]
- De Silva, N.D.G.; Cholewa, E.; Ryser, P. Effects of combined drought and heavy metal stress on seedling growth and water relations in Red Maple (Acer rubrum L.). J. Exp. Bot. 2012, 63, 5957–5966. [Google Scholar] [CrossRef]
- Tran, T.A.; Vassileva, V.; Petrov, P.; Popova, L.P. Cadmium-induced structural disturbances in Pisum sativum leaves are alleviated by nitric oxide. Turk. J. Bot. 2013, 37, 698–707. [Google Scholar]
- Ahmad, S.H.; Reshi, Z.; Ahmad, J.; Iqbal, M.Z. Morpho-anatomical responses of Trigonella foenum-graecum Linn. to induced cadmium and lead stress. J. Plant Biol. 2005, 48, 64–84. [Google Scholar] [CrossRef]
- Stevovic, S.; Mikovilovic, V.S.; Dragosavac, D.C. Environmental impact on morphological and anatomical structure of Tansy. Afr. J. Biotechnol. 2010, 9, 2413–2421. [Google Scholar]
- Gomes, M.P.; Tclldm, M.; Nogueira MD, G.; Castro, E.M.; Soares, A.M. Ecophysiological and anatomical changes due to uptake and accumulation of heavy metal in Brachiaria decumbens. Sci. Agric. 2011, 68, 566–573. [Google Scholar] [CrossRef]
- Neverova, O.A.; Legoshchina, O.M.; Bykov, A.A. Anatomy of Leaves of Betula pendula (Roth.) Affected by Air Emissions in Industrial Area of Kemerovo City. Middle East J. Sci. Res. 2013, 17, 354–358. [Google Scholar]
- Elkiey, T.; Ormrod, D.P. Physiological and morphological mechanisms of ozone and sulfur dioxide sensitivity in Petunia. Plant Physiol. Suppl. 1979, 63, 150–161. [Google Scholar]
- Ogunkunle, C.O.; Abdulrahaman, A.A.; Fatoba, P.O. Influence of cement dust pollution on leaf epidermal features of Pennisetum purpureum and Sida acuta. Environ. Exp. Biol. 2013, 11, 73–79. [Google Scholar]
- Eveling, D.W. Physical Effects of Particulate Sprays on Leaf Physiology. Ph.D. Thesis, University of London, London, UK, 1967. [Google Scholar]
- Eveling, D.W. Similar effects of suspensions of copper oxychloride and kaolin on sprayed leaves. Ann. Appl. Biol. 1972, 70, 245–249. [Google Scholar] [CrossRef]
- Li, J.; Cui, D.; Yang, Z.; Ma, J.; Liu, J.; Yu, Y.; Huang, X.; Xiang, P. Health risk assessment of heavy metal(loid)s in road dust via dermal exposure pathway from a low latitude plateau provincial capital city: The importance of toxicological verification. Environ. Res. 2024, 252 Pt 2, 118890. [Google Scholar] [CrossRef] [PubMed]
- Radoglou, K.M.; Jarvis, P.G. The effects of CO2 enrichment and nutrient supply on growth, morphology, and anatomy of Phaseolus vulgaris L. seedlings. Ann. Bot. 1992, 70, 245–256. [Google Scholar] [CrossRef]
- Aničić Urošević, M.; Jovanović, G.; Stević, N.; Deljanin, I.; Nikolić, M.; Tomašević, M.; Samson, R. Leaves of common urban tree species (Aesculus hippocastanum, Acer platanoides, Betula pendula, and Tilia cordata) as a measure of particle and particle-bound pollution: A 4-year study. Air Qual. Atmos. Health 2019, 12, 1081–1090. [Google Scholar] [CrossRef]
- Hameed, M.; Ashraf, M.; Naz, N. Anatomical adaptations to salinity in cogon grass (Imperata cylindrica (L.) Raeuschel) from the Salt Range, Pakistan. Plant Soil 2009, 322, 229–238. [Google Scholar] [CrossRef]
- Ilkun, G.M. Zagriazniteli Atmosferyi Rrastenia; Naukovaia Dumka: Kiev, Ukraine, 1978. [Google Scholar]
- Nikolaevski, V.S. Opokazateliakh Gazousto Chivosti Drevesnykh Rasteni; INTA Biologii UFAN: Yekaterinburg, Russia, 1963. [Google Scholar]
- Meerabai, G.; Venkata Ramana, C.; Rasheed, M. Effect of air pollutants on leaves of pigeon pea, a pulse crop of Fabaceae growing in the vicinity of a silicon industry. World Rural Obs. 2012, 4, 19–21. [Google Scholar]
- Mukhtar, S.; Aghoghovwia, P.; Thwala, M.; Ololad, O.O. Potential of sunflower (Helianthus annuus L.) for phytoremediation of nickel (Ni) and lead (Pb) contaminated water. Pak. J. Bot. 2010, 42, 4017–4026. [Google Scholar]
- Noman, A.; Hameed, M.; Ali, Q.; Aqeel, M. Foliar tissue architectural diversity among three species of genus Hibiscus for better adaptability under industrial environment. Int. J. Environ. Sci. 2012, 2, 2212–2222. [Google Scholar]
- Ali, I.; Abbas, S.Q.; Hameed, M.; Naz, N.; Zafar, S.; Kanwal, S. Leaf anatomical adaptations in some exotic species of Eucalyptus L’Hér. (Myrtaceae). Pak. J. Bot. 2009, 41, 2717–2727. [Google Scholar]
- Nawazish, S.; Hameed, M.; Noreen, S. Leaf anatomical adaptations of Cenchrus ciliaris L. from the salt range, Pakistan against drought stress. Pak. J. Bot. 2006, 38, 1723–1730. [Google Scholar]
- Stuedle, E. Water uptake by roots: Effects of water deficit. J. Exp. Bot. 2000, 51, 1531–1542. [Google Scholar] [CrossRef]
- Masood, M.A.; Raza, I.; Abid, S. Forecasting wheat production using time series models in Pakistan. Asian J. Agric. Rural Dev. 2018, 8, 172–177. [Google Scholar] [CrossRef]
- Verma, R.; Mahmooduzzafar, B.; Siddiqi, T.O.; Iqbal, M. Foliar response of Ipomea pes-tigridis L. to coal-smoke pollution. Turk. J. Bot. 2006, 30, 413–417. [Google Scholar]
- Hetherington, A.M.; Woodward, F.I. The role of stomata in sensing and driving environmental change. Nature 2003, 424, 901–909. [Google Scholar] [CrossRef] [PubMed]
- Melo, H.C.; Castro, E.M.; Soares, A.M.; Melo, L.A.; Alves, J.D. Anatomical and physiological alterations in Setaria anceps and Paspalum paniculatum under water deficit conditions. Hoehnea 2007, 34, 145–153. [Google Scholar] [CrossRef]
- Gostin, V. Air pollution effects on the leaf structure of some Fabaceae species. Not. Bot. Horti Agrobot. Cluj-Napoca 2009, 37, 57–63. [Google Scholar]
- Kapitonova, O.A. Specific anatomical features of vegetative organs in some macrophyte species under conditions of industrial pollution. Russ. J. Ecol. 2002, 33, 59–61. [Google Scholar] [CrossRef]
- Gupta, M.C.; Iqbal, M. Anatomical responses of Mangifera indica to coal-smoke pollution. Environ. Exp. Bot. 2005, 54, 248–255. [Google Scholar] [CrossRef]
- Gupta, U.; Shukla, S.; Bhardwaj, L.K.; Rath, P.; Upadhyay, D.; Sharma, B.; Rupam; Asthana, H.; Jindal, T.; Singh, H. Unraveling Urban Plant Strategies for Heavy Metal Uptake and Detoxification. In Urban Forests, Climate Change and Environmental Pollution; Springer: Cham, Switzerland, 2024; p. 93. [Google Scholar] [CrossRef]
- Mourato, M.; Pinto, F.; Moreira, I.; Sales, J.; Leitão, I.; Martins, L.L. The effect of Cd stress on mineral nutrient uptake in plants. In Cadmium Toxicity and Tolerance in Plants; Academic Press: Cambridge, MA, USA, 2019; pp. 327–348. [Google Scholar]
- Wild, A.; Schmitt, V. Diagnosis of damage to Norway spruce (Picea abies) through biochemical criteria. Physiol. Plant. 1995, 93, 375–382. [Google Scholar] [CrossRef]
- Gupta, A.; Gupta, S.; Vishnuprasad, V. Druses in the secondary xylem of Mangifera indica collected from coal mines. Indian J. Pharm. Sci. 2017, 29, 179–184. [Google Scholar]
- Maruthi SB, B.; Diehl, S.V.; Han, F.X.; Monts, D.L.; Su, Y. Anatomical changes due to uptake and accumulation of Zn and Cd in Indian mustard (Brassica juncea). Environ. Exp. Bot. 2005, 54, 131–141. [Google Scholar]
- Al-Saadi, S.A.A.M.; Al-Asaadi, W.M.; Al-Waheeb, A.N.H. The effect of some heavy metal accumulation on physiological and anatomical characteristics of Potamogeton L. plants. J. Ecol. Environ. Sci. 2013, 4, 100–108. [Google Scholar]
- Farzadfar, S.; Zarinka, F. Anatomical responses of Matricaria chamomilla plants to cadmium and calcium. Adv. Environ. Biol. 2012, 6, 1603–1609. [Google Scholar]
- Gupta, S.; Chakrabarti, S.K. Effect of Heavy Metals on Different Anatomical Structures of Bruguiera sexangula. Int. J. Bio-Resour. Stress Manag. 2023, 4, 605–609. Available online: https://ojs.pphouse.org/index.php/IJBSM/article/view/447 (accessed on 5 May 2023).



| Populations | Code | Bioclimatic Zone | Variant | Rainfall (mm/year) | Altitude (m) | Longitude | Latitude |
|---|---|---|---|---|---|---|---|
| El-hamma | S1 | Higher semi-arid | Mild winter | 182 | 25 | 35°83′ | 10°64′ |
| Tebelbou | S2 | Higher semi-arid | Mild winter | 234 | 29 | 33°84′ | 10°31′ |
| Mareth | S3 | Higher semi-arid | Cool winter | 234 | 26 | 33°4′ | 10°24′ |
| Matmata | S4 | Inferior-arid | Mild winter | 125 | 600 | 10°40′ | 33°28′ |
| Paramtres | Species | S4 | S1 |
|---|---|---|---|
| Leaf thickness (μm) | Nitraria Atriplex | 397.5 a (±13.43) 355.83 b (±9.17) | 281.25 b (±3.69) 471.66 a (±8.81) |
| Upper epidermal thickness (μm) | Nitraria Atriplex | 12 a (±0.60) 14.25 b (±2.02) | 9.66 b (±0.60) 20 a (±1.90) |
| Lower epidermal thickness (μm) | Nitraria Atriplex | 12.70 b (±0.28) 9.06 a (±0.69) | 16.7 a (±0.80) 8.79 a (±0.36) |
| Mesophyll (μm) | Nitraria Atriplex | 374.16 a (±11.01) 448.33 a (±13.47) | 252.5 b ± 3.19 265.41 b (±4.16) |
| Cribro-vascular Bundles diameter(μm) | Nitraria Atriplex | 90 a (±7.20) 94.16 a (±11.01) | 92.5 a (±12.87) 100 a (±13.05) |
| Stomatal density (/cm2) | Nitraria Atriplex | 41.87 b (±0.85) 59.7 b (±3.57) | 52.75 a (±1.70) 75.475 a (±1.92) |
| Stomatal size (μm) | Nitraria Atriplex | 39 a (±2.16) 53.75 a (±1.7) | 33.67 a (±1.04) 41.8 b (±3.22) |
| Zn (mg kg−1) | Cu (mg kg−1) | Pb (mg kg−1) | Cd (mg kg−1) | |||||
|---|---|---|---|---|---|---|---|---|
| Sites | Atriplex | Nitraria | Atriplex | Nitraria | Atriplex | Nitraria | Atriplex | Nitraria |
| S1 | 183.33 a (±3.51) | 112.16 a (±3.29) | 54.93 ab (±5.1) | 45.93 a (±4) | 36.66 a (±10.5) | 42.33 a (±3) | 2.16 a (±0.08) | 4.026 a (±0.06) |
| S2 | 174.5 a (±30.09) | 110.16 a (±13.95) | 56 a (±3.6) | 50.33 a (±5.03) | 21.33 b (±3.21) | 35.33 ab (±4.72) | 2.11 a (±0.1) | 3.97 a (±0.26) |
| S3 | 164.66 a (±7.23) | 97.66 a (±15) | 56.26 a (±3.95) | 50.9 a (±3.65) | 16.66 b (±3.21) | 25 bc (±5.56) | 2.17 a (±0.18) | 2.84 b (±0.09) |
| S4 | 96.36 b (±17.41) | 84.83 a (±17) | 47.66 b (±2.51) | 26 b (±6.24) | 10.66 b (±1.52) | 20.93 c (±1.9) | 1.9 a (±0.1) | 2.43 c (±0.2) |
| Variable | Zn | Cu | Pb | Cd | Lth | Uth | Low | Mes | Cvas | StoD | Stos |
|---|---|---|---|---|---|---|---|---|---|---|---|
| Zn | - | ||||||||||
| Cu | 0.663 * | - | |||||||||
| Pb | 0.679 * | 0.151 | - | ||||||||
| Cd | 0.423 | 0.251 | 0.361 | - | |||||||
| Lth | 0.860 ** | 0.479 | 0.778 * | 0.283 | - | ||||||
| Uth | 0.682 * | 0.215 | 0.688 * | 0.182 | 0.859 ** | - | |||||
| Low | −0.217 | −0.362 | −0.056 | 0.149 | −0.392 | −0.570 | - | ||||
| Mes | −0.737 * | −0.358 | −0.825 ** | −0.297 | −0.947 ** | −0.850 ** | 0.448 | - | |||
| Cvas | 0.221 | 0.011 | 0.250 | 0.334 | 0.126 | 0.202 | 0.179 | −0.221 | - | ||
| StoD | 0.702 * | 0.472 | 0.716 * | 0.590 * | 0.733 * | 0.728 * | −0.357 | −0.795 * | 0.417 | - | |
| Stos | −0.725 * | −0.091 | −0.744 * | −0.163 | −0.849 ** | −0.832 ** | 0.318 | −0.842 ** | −0.129 | −0.547 | - |
| Variable | Zn | Cu | Pb | Cd | Lth | Uth | Low | Mes | Cvas | Stod | Stos |
|---|---|---|---|---|---|---|---|---|---|---|---|
| Zn | - | ||||||||||
| Cu | 0.399 | - | |||||||||
| Pb | 0.513 | 0.385 | - | ||||||||
| Cd | 0.683 * | 0.605 * | 0.766 ** | - | |||||||
| Lth | −0.322 | −0.624 * | −0.79 ** | −0.696 * | - | ||||||
| Uth | −0.461 | −0.625 * | −0.501 | −0.767 ** | 0.654 * | - | |||||
| Low | 0.659 * | 0.651 * | 0.677 * | 0.742 ** | −1.538 | −0.656 * | - | ||||
| Mes | −0.653 * | −0.742 ** | −0.854 ** | −0.888 ** | 0.873 ** | 0.745 ** | −0.783 ** | - | |||
| Cvas | 0.071 | 0.091 | 0.214 | 0.185 | −1.039 | 0.059 | 0.067 | −0.115 | - | ||
| StoD | 0.628 * | 0.358 | 0.877 ** | 0.723 ** | −0.838 ** | −0.56 | 0.575 | −0.833 ** | −0.086 | - | |
| Stos | −0.214 | −0.162 | −0.676 * | −0.542 | 0.792 ** | 0.488 | −0.135 | 0.589 * | −0.028 | −0.808 ** | - |
Disclaimer/Publisher’s Note: The statements, opinions and data contained in all publications are solely those of the individual author(s) and contributor(s) and not of MDPI and/or the editor(s). MDPI and/or the editor(s) disclaim responsibility for any injury to people or property resulting from any ideas, methods, instructions or products referred to in the content. |
© 2025 by the authors. Licensee MDPI, Basel, Switzerland. This article is an open access article distributed under the terms and conditions of the Creative Commons Attribution (CC BY) license (https://creativecommons.org/licenses/by/4.0/).
Share and Cite
Krir, N.; Guedri, M.M.; Romdhane, M.; Alshaqha, M.A. Anatomical Adaptations of Halophyte Leaves (Nitraria retusa [Forsskal] Asch. and Atriplex halimus L.) in Response to Cement Dust Pollution in Arid Environments. Life 2025, 15, 61. https://doi.org/10.3390/life15010061
Krir N, Guedri MM, Romdhane M, Alshaqha MA. Anatomical Adaptations of Halophyte Leaves (Nitraria retusa [Forsskal] Asch. and Atriplex halimus L.) in Response to Cement Dust Pollution in Arid Environments. Life. 2025; 15(1):61. https://doi.org/10.3390/life15010061
Chicago/Turabian StyleKrir, Nouha, Mounira Mkaddem Guedri, Mehrez Romdhane, and Manel Abdullah Alshaqha. 2025. "Anatomical Adaptations of Halophyte Leaves (Nitraria retusa [Forsskal] Asch. and Atriplex halimus L.) in Response to Cement Dust Pollution in Arid Environments" Life 15, no. 1: 61. https://doi.org/10.3390/life15010061
APA StyleKrir, N., Guedri, M. M., Romdhane, M., & Alshaqha, M. A. (2025). Anatomical Adaptations of Halophyte Leaves (Nitraria retusa [Forsskal] Asch. and Atriplex halimus L.) in Response to Cement Dust Pollution in Arid Environments. Life, 15(1), 61. https://doi.org/10.3390/life15010061

