Something Old and Something New—A Pilot Study of Shrinkage and Modern Imaging Devices
Abstract
1. Introduction
2. Materials and Methods
2.1. Patients
2.2. Data Acquisition
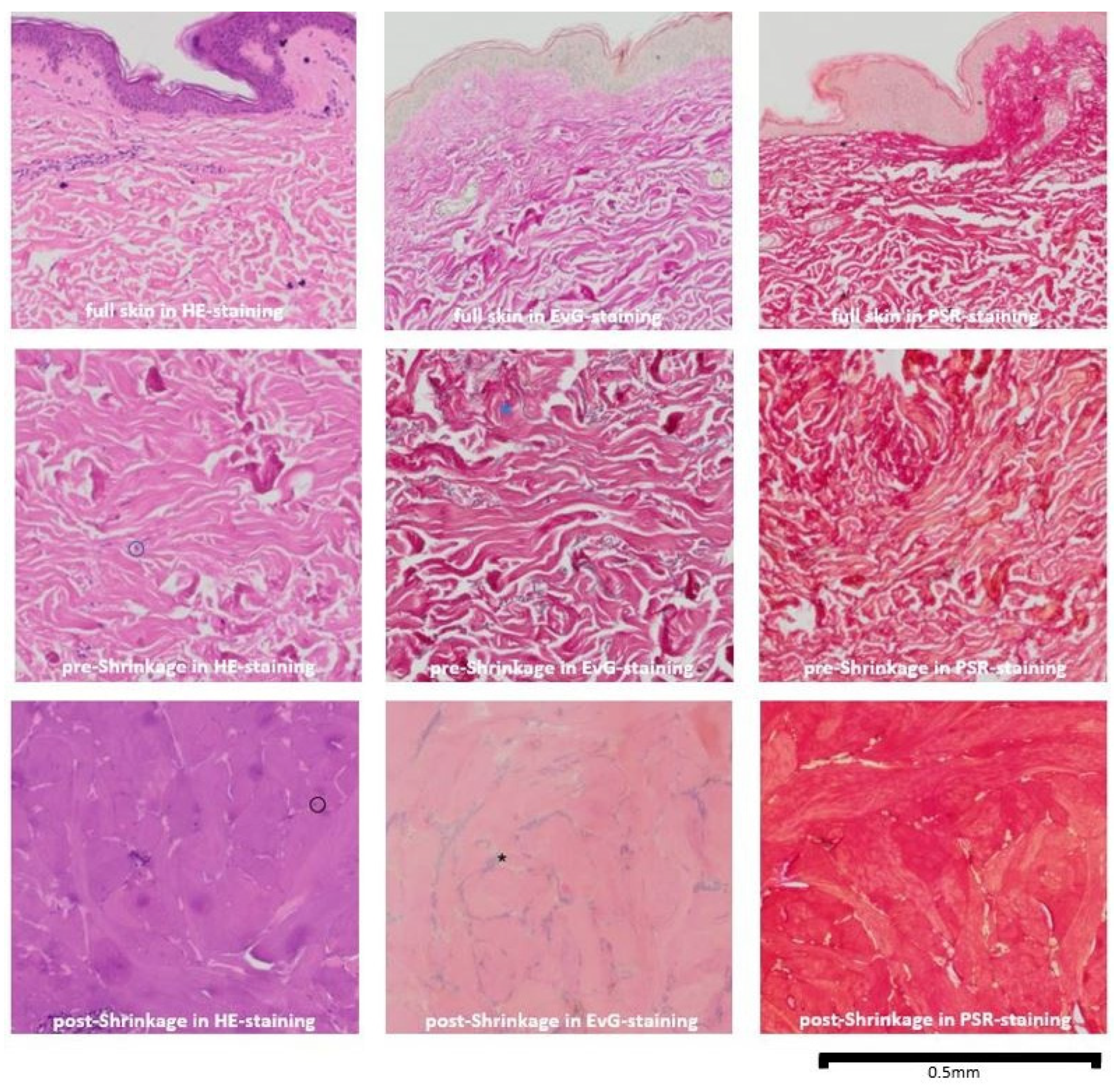
2.3. Preparation and Digitalization of Histological Sections
2.4. EvG-Staining Was Performed as Follows
2.5. Modern Imaging
2.5.1. Snapshot NIR®
2.5.2. FLIR Thermographic Camera
2.6. Statistical Analysis
3. Results
3.1. Patient Demographics
3.2. Clinical Wound Sizes
3.3. Histological Analysis
3.4. Modern Imaging Devices
3.4.1. Oxygen Saturation
3.4.2. Temperature
4. Discussion
5. Conclusions
Author Contributions
Funding
Institutional Review Board Statement
Informed Consent Statement
Data Availability Statement
Acknowledgments
Conflicts of Interest
References
- Rossmann, C.; Garrett-Mayer, E.; Rattay, F.; Haemmerich, D. Dynamics of Tissue Shrinkage During Ablative Temperature Exposures. Physiol. Meas. 2014, 35, 55–67. [Google Scholar] [CrossRef] [PubMed]
- Vaskoska, R.; Ha, M.; Ong, L.; Kearney, G.; White, J.D.; Gras, S.; Warner, R.D. Ageing and Cathepsin Inhibition Affect the Shrinkage of Fibre Fragments of Bovine Semitendinosus, Biceps Femoris and Psoas Major During Heating. Meat Sci. 2021, 172, 108339. [Google Scholar] [CrossRef] [PubMed]
- Boen, M.; Vanaman Wilson, M.J.; Fabi, S. Skin Tightening-Does It Really Exist? Semin. Cutan. Med. Surg. 2017, 36, 202–206. [Google Scholar] [CrossRef]
- Flory, P.J.; Weaver, E.S. Helix [unk] Coil Transitions in Dilute Aqueous Collagen Solutions1. J. Am. Chem. Soc. 1960, 82, 4518–4525. [Google Scholar] [CrossRef]
- Flory, P.; Spurr, O., Jr. Melting Equilibrium for Collagen Fibers under Stress. Elasticity in the Amorphous State1. J. Am. Chem. Soc. 1961, 83, 1308–1316. [Google Scholar] [CrossRef]
- Flory, P.J.; Garrett, R.R. Phase Transitions in Collagen and Gelatin Systems1. J. Am. Chem. Soc. 1958, 80, 4836–4845. [Google Scholar] [CrossRef]
- Markel, M.D.; Hayashi, K.; Thabit, G. Basic Properties of Collagen Shrinkage and Laser-Collagen Interactions. In Lasers in the Musculoskeletal System; Gerber, B.E., Knight, M.T.N., Siebert, W.E., Eds.; Springer: Berlin/Heidelberg, Germany, 2001; pp. 162–169. [Google Scholar] [CrossRef]
- Allain, J.; Lous, M.L.; Cohen-Solal, L.; Bazin, S.; Maroteaux, P. Isometric Tensions Developed During the Hydrothermal Swelling of Rat Skin. Connect. Tissue Res. 1980, 7, 127–133. [Google Scholar] [CrossRef]
- Muller-Seubert, W.; Roth, S.; Hauck, T.; Arkudas, A.; Horch, R.E.; Ludolph, I. Novel Imaging Methods Reveal Positive Impact of Topical Negative Pressure Application on Tissue Perfusion in an In Vivo Skin Model. Int. Wound J. 2021, 18, 932–939. [Google Scholar] [CrossRef] [PubMed]
- Muller-Seubert, W.; Herold, H.; Graf, S.; Ludolph, I.; Horch, R.E. Evaluation of the Influence of Short Tourniquet Ischemia on Tissue Oxygen Saturation and Skin Temperature Using Two Portable Imaging Modalities. J. Clin. Med. 2022, 11, 5240. [Google Scholar] [CrossRef] [PubMed]
- Gauglitz, G.G.; Korting, H.C.; Pavicic, T.; Ruzicka, T.; Jeschke, M.G. Hypertrophic Scarring and Keloids: Pathomechanisms and Current and Emerging Treatment Strategies. Mol. Med. 2011, 17, 113–125. [Google Scholar] [CrossRef] [PubMed]
- Ortiz, A.E.; Goldman, M.P.; Fitzpatrick, R.E. Ablative CO2 Lasers for Skin Tightening: Traditional Versus Fractional. Dermatol. Surg. 2014, 40 (Suppl. S12), S147–S151. [Google Scholar] [CrossRef] [PubMed]
- Manstein, D.; Herron, G.S.; Sink, R.K.; Tanner, H.; Anderson, R.R. Fractional Photothermolysis: A New Concept for Cutaneous Remodeling Using Microscopic Patterns of Thermal Injury. Lasers Surg. Med. 2004, 34, 426–438. [Google Scholar] [CrossRef] [PubMed]
- Collawn, S.S.; Boissy, R.E.; Vasconez, L.O. Skin Ultrastructure After CO2 Laser Resurfacing. Plast. Reconstr. Surg. 1998, 102, 509–515. [Google Scholar] [CrossRef] [PubMed]
- Chan, Q.E.; Barzi, F.; Harvey, J.G.; Holland, A.J. Functional and cosmetic OUTCOME of Full- Versus Split-Thickness Skin Grafts in Pediatric Palmar Surface Burns: A Prospective, Independent Evaluation. J. Burn. Care Res. 2013, 34, 232–236. [Google Scholar] [CrossRef] [PubMed]
- Potzl, W.; Heusner, T.; Kumpers, P.; Marquardt, B.; Steinbeck, J. Does Immobilization After Radiofrequency-Induced Shrinkage Influence the Biomechanical Properties of Collagenous Tissue? An In Vivo Rabbit Study. Am. J. Sports Med. 2004, 32, 681–687. [Google Scholar] [CrossRef]
- Moran, K.; Anderson, P.; Hutcheson, J.; Flock, S. Thermally Induced Shrinkage of Joint Capsule. Clin. Orthop. Relat. Res. 2000, 381, 248–255. [Google Scholar] [CrossRef] [PubMed]
- Custer, P.L.; Harvey, H. The Arm as a Skin Graft Donor Site in Eyelid Reconstruction. Ophthalmic Plast. Reconstr. Surg. 2001, 17, 427–430. [Google Scholar] [CrossRef] [PubMed]
- Mulica, M.; Yasmin, M.; Cai, A.; Arkudas, A.; Muller-Seubert, W.; Horch, R.E. Long-Term Outcome of Digital Defect Reconstruction Using Cross-Finger Flaps. Handchir. Mikrochir. Plast. Chir. 2024, 56, 448–453. [Google Scholar] [CrossRef] [PubMed]
- Sorgel, C.A.; Cai, A.; Schmid, R.; Horch, R.E. Perspectives on the Current State of Bioprinted Skin Substitutes for Wound Healing. Biomedicines 2023, 11, 2678. [Google Scholar] [CrossRef] [PubMed]
- Morandi, E.M.; Schwabegger, E.; Tasch, C.; Pierer, G.; Djedovic, G.; Baur, E.M. Skin Grafting After Paediatric Palmar Burns: An Analysis of 82 Patients. J. Hand Surg. Eur. Vol. 2019, 44, 1031–1035. [Google Scholar] [CrossRef]
- Chandrasegaram, M.D.; Harvey, J. Full-Thickness vs. Split-Skin Grafting in Pediatric Hand Burns—A 10-Year Review of 174 Cases. J. Burn. Care Res. 2009, 30, 867–871. [Google Scholar] [CrossRef] [PubMed]
- Jang, Y.C.; Kwon, O.K.; Lee, J.W.; Oh, S.J. The Optimal Management of Pediatric Steam Burn from Electric Rice-Cooker: STSG or FTSG? J. Burn. Care Rehabil. 2001, 22, 15–20. [Google Scholar] [CrossRef] [PubMed]
- Roh, T.S.; Kim, Y.S.; Burm, J.S.; Chung, C.H.; Kim, J.B.; Oh, S.J. Rice Cooker Steam Hand Burn in the Pediatric Patient. Plast. Reconstr. Surg. 2000, 106, 76–80. [Google Scholar] [CrossRef]
- Alsaif, A.; Karam, M.; Hayre, A.; Abul, A.; Aldubaikhi, A.; Kahlar, N. Full Thickness Skin Graft Versus Split Thickness Skin Graft in Paediatric Patients with Hand Burns: Systematic Review and Meta-Analysis. Burns 2023, 49, 1017–1027. [Google Scholar] [CrossRef]
- Schwanholt, C.; Greenhalgh, D.G.; Warden, G.D. A Comparison of Full-Thickness Versus Split-Thickness Autografts for the Coverage of Deep Palm Burns in the Very Young Pediatric Patient. J. Burn. Care Rehabil. 1993, 14, 29–33. [Google Scholar] [CrossRef] [PubMed]
- Merrell, S.W.; Saffle, J.R.; Schnebly, A.; Kravitz, M.; Warden, G.D. Full-Thickness Skin Grafting for Contact Burns of the Palm in Children. J. Burn. Care Rehabil. 1986, 7, 501–507. [Google Scholar] [CrossRef]
- Stekelenburg, C.M.; Simons, J.M.; Tuinebreijer, W.E.; van Zuijlen, P.P. Analyzing Contraction of Full Thickness Skin Grafts in time: Choosing the Donor Site Does Matter. Burns 2016, 42, 1471–1476. [Google Scholar] [CrossRef] [PubMed]











Disclaimer/Publisher’s Note: The statements, opinions and data contained in all publications are solely those of the individual author(s) and contributor(s) and not of MDPI and/or the editor(s). MDPI and/or the editor(s) disclaim responsibility for any injury to people or property resulting from any ideas, methods, instructions or products referred to in the content. |
© 2024 by the authors. Licensee MDPI, Basel, Switzerland. This article is an open access article distributed under the terms and conditions of the Creative Commons Attribution (CC BY) license (https://creativecommons.org/licenses/by/4.0/).
Share and Cite
Hearing, J.V.W.; Horch, R.E.; Schmid, R.; Geppert, C.I.; Stumpfe, M.C. Something Old and Something New—A Pilot Study of Shrinkage and Modern Imaging Devices. Life 2025, 15, 30. https://doi.org/10.3390/life15010030
Hearing JVW, Horch RE, Schmid R, Geppert CI, Stumpfe MC. Something Old and Something New—A Pilot Study of Shrinkage and Modern Imaging Devices. Life. 2025; 15(1):30. https://doi.org/10.3390/life15010030
Chicago/Turabian StyleHearing, Josephine V. W., Raymund E. Horch, Rafael Schmid, Carol I. Geppert, and Maximilian C. Stumpfe. 2025. "Something Old and Something New—A Pilot Study of Shrinkage and Modern Imaging Devices" Life 15, no. 1: 30. https://doi.org/10.3390/life15010030
APA StyleHearing, J. V. W., Horch, R. E., Schmid, R., Geppert, C. I., & Stumpfe, M. C. (2025). Something Old and Something New—A Pilot Study of Shrinkage and Modern Imaging Devices. Life, 15(1), 30. https://doi.org/10.3390/life15010030

