Effect of White Tea on Leptin and Asprosin Levels in Rats Feeding a High-Fat Diet
Abstract
1. Introduction
2. Materials and Methods
2.1. Animals Studies, Preparation of White Tea, Experimental Design
2.2. White Tea Composition
2.3. Biochemical Analysis
2.4. Histopathological Analysis
2.4.1. Histology Tissue-Tracking Processing
2.4.2. Hematoxylin and Eosin (H&E) Staining Method
2.4.3. Cryostat Sectioning Method
2.4.4. Semi-Quantitative Analysis
2.4.5. Quantitative Analysis
2.4.6. Stereological Analysis
2.5. Statistical Analysis
3. Results
3.1. Biochemical Results of the Study to Evaluate the Protective Effect of White Tea
3.2. Biochemical Results of the Study to Evaluate the Therapeutic Effect of White Tea
3.3. Histopathological Results of the Study to Evaluate the Protective Effect of White Tea
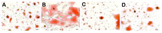
3.3.1. Semi-Quantitative Findings
3.3.2. Quantitative Findings
3.3.3. Stereological Analysis
3.4. Histopathological Results of the Study to Evaluate the Therapeutic Effect of White Tea
3.4.1. Semi-Quantitative Findings
3.4.2. Quantitative Findings
3.4.3. Stereological Analysis
4. Discussion
5. Conclusions
Author Contributions
Funding
Institutional Review Board Statement
Informed Consent Statement
Data Availability Statement
Conflicts of Interest
References
- Piché, M.E.; Tchernof, A.; Després, J.P. Obesity Phenotypes, Diabetes, and Cardiovascular Diseases. Circ. Res. 2020, 126, 1477–1500. [Google Scholar] [CrossRef]
- Wharton, S.; Lau, D.C.; Vallis, M.; Sharma, A.M.; Biertho, L.; Campbell-Scherer, D.; Adamo, K.; Alberga, A.; Bell, R.; Boulé, N.; et al. Obesity in adults: A clinical practice guideline. Can. Med. Assoc. J. 2020, 192, E875–E891. [Google Scholar] [CrossRef]
- Panuganti, K.K.; Nguyen, M.; Kshirsagar, R.K. Obesity; StatPearls Publishing LLC: Treasure Island, FL, USA, 2023. [Google Scholar]
- Zorena, K.; Jachimowicz-Duda, O.; Ślęzak, D.; Robakowska, M.; Mrugacz, M. Adipokines and Obesity. Potential Link to Metabolic Disorders and Chronic Complications. Int. J. Mol. Sci. 2020, 21, 3570. [Google Scholar] [CrossRef]
- Borah, A.K.; Sharma, P.; Singh, A.; Kalita, K.J.; Saha, S.; Chandra Borah, J. Adipose and non-adipose perspectives of plant derived natural compounds for mitigation of obesity. J. Ethnopharmacol. 2021, 280, 114410. [Google Scholar] [CrossRef]
- Seth, M.; Biswas, R.; Ganguly, S.; Chakrabarti, N.; Chaudhuri, A.G. Leptin and obesity. Imaging 2021, 107, 455–468. [Google Scholar] [CrossRef]
- Blüher, M. Obesity: Global epidemiology and pathogenesis. Nat. Rev. Endocrinol. 2019, 15, 288–298. [Google Scholar] [CrossRef]
- Zhang, Z.; Liu, C.; Fang, W.; Tang, Q.; Zhan, L.; Shi, Y.; Tang, M.; Liu, Z.; Zhang, S.; Liu, A. Research progress on the lipid-lowering and weight loss effects of tea and the mechanism of its functional components. J. Nutr. Biochem. 2023, 112, 109210. [Google Scholar] [CrossRef]
- Nimptsch, K.; Konigorski, S.; Pischon, T. Diagnosis of obesity and use of obesity biomarkers in science and clinical medicine. Metabolism 2019, 92, 61–70. [Google Scholar] [CrossRef]
- Luo, L.; Liu, M. Adipose tissue in control of metabolism. J. Endocrinol. 2016, 231, R77–R99. [Google Scholar] [CrossRef] [PubMed]
- Büyükuslu, N. İştah-Doygunluk Metabolizmasını Etkileyen Faktörler. Klinik Tıp Pediatri Dergisi 2019, 11, 22–28. [Google Scholar]
- Jain, S.; Singh, S.N. Regulation of Food Intake: A Complex Process. Def. Life Sci. J. 2018, 3, 182–189. [Google Scholar] [CrossRef]
- Haghighatdoost, F.; Nobakht, M.; Gh, B.F.; Hariri, M. Effect of green tea on plasma leptin and ghrelin levels: A systematic review and meta-analysis of randomized controlled clinical trials. Nutrition 2018, 45, 17–23. [Google Scholar] [CrossRef]
- Seoane-Collazo, P.; Martínez-Sánchez, N.; Milbank, E.; Contreras, C. Incendiary Leptin. Nutrients 2020, 12, 472. [Google Scholar] [CrossRef]
- Lecube, A.; López-Cano, C. Regulation of Food Intake. In Encyclopedia of Endocrine Diseases, 2nd ed.; Academic Press: Cambridge, MA, USA, 2019; pp. 363–369. [Google Scholar] [CrossRef]
- Choi, J.R.; Kim, J.Y.; Huh, J.H.; Kim, S.H.; Koh, S.B. Contribution of obesity as an effect regulator to an association between serum leptin and incident metabolic syndrome. Clin. Chim. Acta 2018, 487, 275–280. [Google Scholar] [CrossRef]
- Romere, C.; Duerrschmid, C.; Bournat, J.; Constable, P.; Jain, M.; Xia, F.; Saha, P.K.; Del Solar, M.; Zhu, B.; York, B.; et al. Asprosin, a Fasting-Induced Glucogenic Protein Hormone. Cell 2016, 165, 566–579. [Google Scholar] [CrossRef] [PubMed]
- Duerrschmid, C.; He, Y.; Wang, C.; Li, C.; Bournat, J.C.; Romere, C.; Saha, P.K.; Lee, M.E.; Phillips, K.J.; Jain, M.; et al. Asprosin is a centrally acting orexigenic hormone. Nat. Med. 2017, 23, 1444–1453. [Google Scholar] [CrossRef] [PubMed]
- Buyukuslu, N.; Yigitbasi, T. Reactive Oxygen Species and Oxidative Stress in Obesity. J. Marmara Univ. Inst. Health Sci. 2015, 5, 197–203. [Google Scholar] [CrossRef]
- Vincent, H.K.; Taylor, A.G. Biomarkers and potential mechanisms of obesity-induced oxidant stress in humans. Int. J. Obes. 2006, 30, 400–418. [Google Scholar] [CrossRef]
- Ozata, M.; Mergen, M.; Oktenli, C.; Aydin, A.; Sanisoglu, S.Y.; Bolu, E.; Yilmaz, M.I.; Sayal, A.; Isimer, A.; Ozdemir, I.C. Increased oxidative stress and hypozincemia in male obesity. Clin. Biochem. 2002, 35, 627–631. [Google Scholar] [CrossRef]
- Zhou, F.; Zhu, M.-Z.; Tang, J.-Y.; Ou-Yang, J.; Shang, B.-H.; Liu, C.-W.; Wang, J.; Liu, Q.; Huang, J.-A.; Liu, Z.-H. Six types of tea extracts attenuated high-fat diet-induced metabolic syndrome via modulating gut microbiota in rats. Food Res. Int. 2022, 161, 111788. [Google Scholar] [CrossRef]
- Yilmaz, H.K.; Türker, M.; Kutlu, E.Y.; Mercantepe, T.; Pınarbaş, E.; Tümkaya, L.; Atak, M. Investigation of the Effects of White Tea on Liver Fibrosis: An Experi-mental Animal Model. Food Sci. Nutr. 2024, 12, 2998–3006. [Google Scholar] [CrossRef] [PubMed]
- Soares, M.B.; Ramalho, J.B.; Izaguirry, A.P.; Pavin, N.F.; Spiazzi, C.C.; Schimidt, H.L.; Mello-Carpes, P.B.; Santos, F.W. Comparative effect of Camellia sinensis teas on object recognition test deficit and metabolic changes induced by cafeteria diet. Nutr. Neurosci. 2019, 22, 531–540. [Google Scholar] [CrossRef] [PubMed]
- Dias, T.R.; Tomás, G.; Teixeira, N.F.; Alves, M.G.; Oliveira, P.F.; Silva, B.M.; Maria Silva, B.; Fontes Oliveira, P. White Tea (Camellia sinensis (L.)): Antioxidant Properties and Beneficial Health Effects. Int. J. Food Sci. Nutr. Diet. 2013, 2, 19–26. [Google Scholar] [CrossRef]
- Tan, J.; Engelhardt, U.H.; Lin, Z.; Kaiser, N.; Maiwald, B. Flavonoids, phenolic acids, alkaloids and theanine in different types of authentic Chinese white tea samples. J. Food Compos. Anal. 2017, 57, 8–15. [Google Scholar] [CrossRef]
- Mao, J.T. White Tea: The Plants, Processing, Manufacturing, and Potential Health Benefits. In Tea in Health and Disease Prevention; Academic Press: Cambridge, MA, USA, 2013; pp. 33–40. [Google Scholar]
- Dias, T.R.; Carrageta, D.F.; Alves, M.G.; Oliveira, P.F.; Silva, B.M. White Tea. In Nonvitamin and Nonmineral Nutritional Supplements; Academic Press: Cambridge, MA, USA, 2019; pp. 437–445. [Google Scholar] [CrossRef]
- Dias, M.C.; Pinto, D.C.G.A.; Silva, A.M.S. Plant Flavonoids: Chemical Characteristics and Biological Activity. Molecules 2021, 26, 5377. [Google Scholar] [CrossRef]
- Sanlier, N.; Atik, I.; Atik, A. A minireview of effects of white tea consumption on diseases. Trends Food Sci. Technol. 2018, 82, 82–88. [Google Scholar] [CrossRef]
- Silveira, A.C.; Oliveira, P.F.; Alves, M.G.; Rato, L.; Silva, B.M. Daily white tea intake reprograms hepatic metabolism and improves the enzymatic antioxidant defence system of rats with prediabetes. PharmaNutrition 2024, 28, 100393. [Google Scholar] [CrossRef]
- Misra, S.; Ikbal, A.M.A.; Bhattacharjee, D.; Hore, M.; Mishra, S.; Karmakar, S.; Ghosh, A.; Srinivas, R.; Das, A.; Agarwal, S.; et al. Validation of antioxidant, antiproliferative, and in vitro anti-rheumatoid arthritis activities of epigallo-catechin-rich bioactive fraction from Camellia sinensis var. assamica, Assam variety white tea, and its comparative evaluation with green tea fraction. J. Food Biochem. 2022, 46, e14487. [Google Scholar] [CrossRef]
- Hajiaghaalipour, F.; Kanthimathi, M.; Sanusi, J.; Rajarajeswaran, J. White tea (Camellia sinensis) inhibits proliferation of the colon cancer cell line, HT-29, activates caspases and protects DNA of normal cells against oxidative damage. Food Chem. 2015, 169, 401–410. [Google Scholar] [CrossRef]
- Almajano, M.P.; Vila, I.; Gines, S. Neuroprotective Effects of White Tea Against Oxidative Stress-Induced Toxicity in Striatal Cells. Neurotox. Res. 2011, 20, 372–378. [Google Scholar] [CrossRef]
- Zheng, G.; Sayama, K.; Okubo, T.; Juneja, L.R.; Oguni, I. Anti-obesity effects of three major components of green tea, catechins, caffeine and theanine, in mice. In Vivo 2004, 18, 55–62. [Google Scholar]
- Adeyemi, W.J.; Olayaki, L.A.; Abdussalam, T.A.; Ige, S.F.; Okesina, B.K.; Abolarin, P.O.; Usman, H.; Tiamiyu, A.O.; Seidu, M.O.; Opabode, A.O. Comparative evaluation of the pharmacological value of virgin coconut oil, omega 3 fatty acids, and orlistat in experimental study on obesity with normo/hyper-lipidaemic diet. PharmaNutrition 2020, 13, 100192. [Google Scholar] [CrossRef]
- Pérez-Burillo, S.; Giménez, R.; Rufián-Henares, J.A.; Pastoriza, S. Effect of brewing time and temperature on antioxidant capacity and phenols of white tea: Relationship with sensory properties. Food Chem. 2018, 248, 111–118. [Google Scholar] [CrossRef]
- Hariri, N.; Thibault, L. High-fat diet-induced obesity in animal models. Nutr. Res. Rev. 2010, 23, 270–299. [Google Scholar] [CrossRef]
- Buettner, R.; Schölmerich, J.; Bollheimer, L.C. High-fat Diets: Modeling the Metabolic Disorders of Human Obesity in Rodents. Obesity 2007, 15, 798–808. [Google Scholar] [CrossRef]
- Draper, H.H.; Hadley, M. Malondialdehyde Determination as Index of Lipid Peroxidation. Methods Enzymol. 1990, 186, 421–431. [Google Scholar] [CrossRef]
- Ellman, G.L. Tissue sulfhydryl groups. Arch. Biochem. Biophys. 1959, 82, 70–77. [Google Scholar] [CrossRef]
- Matthews, D.R.; Hosker, J.P.; Rudenski, A.S.; Naylor, B.A.; Treacher, D.F.; Turner, R.C. Homeostasis model assessment: Insulin resistance and β-cell function from fasting plasma glucose and insulin concentrations in man. Diabetologia 1985, 28, 412–419. [Google Scholar] [CrossRef]
- Zhao, W.; Xu, Q.; Yang, J.; Xie, X.; Li, C.; Zhang, W.; Chen, E.; Guo, Y.; Gao, M.; Shi, J.; et al. Murine double minute 2 aggravates adipose tissue dysfunction through ubiquitin-mediated six-transmembrane epithelial antigen of prostate 4 degradation. iScience 2022, 25, 104544. [Google Scholar] [CrossRef] [PubMed]
- Pandeya, P.R.; Lamichhane, G.; Lamichhane, R.; Luo, J.; Li, X.-J.; Rhee, S.-J.; Xiangqian, L.; Jung, H.-J. Antiobesity Activity of Two Polyherbal Formulations in High-Fat Diet-Induced Obese C57BL/6J Mice. BioMed Res. Int. 2022, 2022, 9120259. [Google Scholar] [CrossRef]
- Lopez-Vicchi, F.; De Winne, C.; Ornstein, A.M.; Sorianello, E.; Toneatto, J.; Becu-Villalobos, D. Severe Hyperprolactinemia Promotes Brown Adipose Tissue Whitening and Aggravates High Fat Diet Induced Metabolic Imbalance. Front. Endocrinol. 2022, 13, 883092. [Google Scholar] [CrossRef]
- Zhang, S.; Sun, S.; Wei, X.; Zhang, M.; Chen, Y.; Mao, X.; Chen, G.; Liu, C. Short-term moderate caloric restriction in a high-fat diet alleviates obesity via AMPK/SIRT1 signaling in white adipocytes and liver. Food Nutr. Res. 2022, 66. [Google Scholar] [CrossRef]
- Mercantepe, T.; Topcu, A.; Rakici, S.; Tumkaya, L.; Yilmaz, A.; Mercantepe, F. The radioprotective effect of N-acetylcysteine against x-radiation-induced renal injury in rats. Environ. Sci. Pollut. Res. 2019, 26, 29085–29094. [Google Scholar] [CrossRef]
- Mercantepe, T.; Unal, D.; Selli, J.; Mercantepe, F.; Unal, B.; Karabiyik, T.N. Protective effects of estrogen and bortezomib in kidney tissue of post-menopausal rats: An ultrastructural study. Ren. Fail. 2016, 38, 1129–1135. [Google Scholar] [CrossRef]
- Hilal, Y.; Engelhardt, U. Characterisation of white tea—Comparison to green and black tea. J. Verbraucherschutz Leb. 2007, 2, 414–421. [Google Scholar] [CrossRef]
- Damiani, E.; Bacchetti, T.; Padella, L.; Tiano, L.; Carloni, P. Antioxidant activity of different white teas: Comparison of hot and cold tea infusions. J. Food Compos. Anal. 2014, 33, 59–66. [Google Scholar] [CrossRef]
- Montserrat-de la Paz, S.; Pérez-Pérez, A.; Vilariño-García, T.; Jiménez-Cortegana, C.; Muriana, F.J.G.; Millán-Linares, M.C.; Sánchez-Margalet, V. Nutritional modulation of leptin expression and leptin action in obesity and obesity-associated complications. J. Nutr. Biochem. 2021, 89, 108561. [Google Scholar] [CrossRef]
- Dinh, T.C.; Thi Phuong, T.N.; Minh, L.B.; Minh Thuc, V.T.; Bac, N.D.; Van Tien, N.; Pham, V.H.; Show, P.L.; Tao, Y.; Nhu Ngoc, V.T.; et al. The effects of green tea on lipid metabolism and its potential applications for obesity and related metabolic disorders—An existing update. Diabetes Metab. Syndr. Clin. Res. Rev. 2019, 13, 1667–1673. [Google Scholar] [CrossRef]
- Lee, L.S.; Choi, J.H.; Sung, M.J.; Hur, J.Y.; Hur, H.J.; Park, J.D.; Kim, Y.C.; Gu, E.J.; Min, B.; Kim, H.J. Green tea changes serum and liver metabolomic profiles in mice with high-fat diet-induced obesity. Mol. Nutr. Food Res. 2015, 59, 784–794. [Google Scholar] [CrossRef]
- Ma, H.; Zhang, B.; Hu, Y.; Li, X.; Wang, J.; Yang, F.; Ji, X.; Wang, S. The novel intervention effect of cold green tea beverage on high-fat diet induced obesity in mice. J. Funct. Foods 2020, 75, 104279. [Google Scholar] [CrossRef]
- Thring, T.S.A.; Hili, P.; Naughton, D.P. Anti-collagenase, anti-elastase and anti-oxidant activities of extracts from 21 plants. BMC Complement. Altern. Med. 2009, 9, 27. [Google Scholar] [CrossRef]
- Shen, C.-L.; Cao, J.J.; Dagda, R.Y.; Chanjaplammootil, S.; Lu, C.; Chyu, M.-C.; Gao, W.; Wang, J.-S.; Yeh, J.K. Green tea polyphenols benefits body composition and improves bone quality in long-term high-fat diet–induced obese rats. Nutr. Res. 2012, 32, 448–457. [Google Scholar] [CrossRef]
- Cunha, C.A.; Lira, F.S.; Rosa Neto, J.C.; Pimentel, G.D.; Souza, G.I.H.; da Silva, C.M.G.; de Souza, C.T.; Ribeiro, E.B.; Sawaya, A.C.H.F.; Oller Do Nascimento, C.M.; et al. Green Tea Extract Supplementation Induces the Lipolytic Pathway, Attenuates Obesity, and Reduces Low-Grade Inflammation in Mice Fed a High-Fat Diet. Mediat. Inflamm. 2013, 2013, 635470. [Google Scholar] [CrossRef]
- Munkong, N.; Lonan, P.; Mueangchang, W.; Yadyookai, N.; Kanjoo, V.; Yoysungnoen, B. Red Rice Bran Extract Attenuates Adipogenesis and Inflammation on White Adipose Tissues in High-Fat Diet-Induced Obese Mice. Foods 2022, 11, 1865. [Google Scholar] [CrossRef]
- Wang, Y.; Qu, H.; Xiong, X.; Qiu, Y.; Liao, Y.; Chen, Y.; Zheng, Y.; Zheng, H. Plasma Asprosin Concentrations Are Increased in Individuals with Glucose Dysregulation and Correlated with Insulin Resistance and First-Phase Insulin Secretion. Mediat. Inflamm. 2018, 2018, 9471583. [Google Scholar] [CrossRef]
- Ugur, K.; Aydin, S. Saliva and Blood Asprosin Hormone Concentration Associated with Obesity. Int. J. Endocrinol. 2019, 2019, 2521096. [Google Scholar] [CrossRef]
- Zhang, L.; Chen, C.; Zhou, N.; Fu, Y.; Cheng, X. Circulating asprosin concentrations are increased in type 2 diabetes mellitus and independently associated with fasting glucose and triglyceride. Clin. Chim. Acta 2019, 489, 183–188. [Google Scholar] [CrossRef]
- Hong, T.; Li, J.-Y.; Wang, Y.-D.; Qi, X.-Y.; Liao, Z.-Z.; Bhadel, P.; Ran, L.; Yang, J.; Yan, B.; Liu, J.-H.; et al. High Serum Asprosin Levels Are Associated with Presence of Metabolic Syndrome. Int. J. Endocrinol. 2021, 2021, 6622129. [Google Scholar] [CrossRef]
- Shemirani, F.; Djafarian, K.; Fotouhi, A.; Azadbakht, L.; Rezaei, N.; Chamari, M.; Shabani, S.; Mahmoudi, M. Effect of Paleolithic-based low-carbohydrate vs. moderate-carbohydrate diets with portion-control and calorie-counting on CTRP6, asprosin and metabolic markers in adults with metabolic syndrome: A randomized clinical trial. Clin. Nutr. ESPEN 2022, 48, 87–98. [Google Scholar] [CrossRef]
- Fernández-Sánchez, A.; Madrigal-Santillán, E.; Bautista, M.; Esquivel-Soto, J.; Morales-González, Á.; Esquivel-Chirino, C.; Durante-Montiel, I.; Sánchez-Rivera, G.; Valadez-Vega, C.; Morales-González, J.A. Inflammation, Oxidative Stress, and Obesity. Int. J. Mol. Sci. 2011, 12, 3117–3132. [Google Scholar] [CrossRef]
- Manna, P.; Jain, S.K. Obesity, Oxidative Stress, Adipose Tissue Dysfunction, and the Associated Health Risks: Causes and Therapeutic Strategies. Metab. Syndr. Relat. Disord. 2015, 13, 423–444. [Google Scholar] [CrossRef]
- Teixeira, L.G.; Lages, P.C.; Jascolka, T.L.; Aguilar, E.C.; Soares, F.L.P.; Pereira, S.S.; Beltrão, N.R.M.; de Oliveira Matoso, R.; Nascimento, A.M.D.; De Castilho, R.O.; et al. White tea (Camellia sinensis) extract reduces oxidative stress and triacylglycerols in obese mice. Food Sci. Technol. 2012, 32, 733–741. [Google Scholar] [CrossRef]
- Söhle, J.; Knott, A.; Holtzmann, U.; Siegner, R.; Grönniger, E.; Schepky, A.; Gallinat, S.; Wenck, H.; Stäb, F.; Winnefeld, M. White Tea extract induces lipolytic activity and inhibits adipogenesis in human subcutaneous (pre)-adipocytes. Nutr. Metab. 2009, 6, 20. [Google Scholar] [CrossRef]
- Tenore, G.C.; Stiuso, P.; Campiglia, P.; Novellino, E. In vitro hypoglycaemic and hypolipidemic potential of white tea polyphenols. Food Chem. 2013, 141, 2379–2384. [Google Scholar] [CrossRef]
- Sun, L.; Xu, H.; Ye, J.; Gaikwad, N.W. Comparative effect of black, green, oolong, and white tea intake on weight gain and bile acid metabolism. Nutrition 2019, 65, 208–215. [Google Scholar] [CrossRef]
- Li, N.; Zhou, X.; Wang, J.; Chen, J.; Lu, Y.; Sun, Y.; Song, Y.; Tan, X.; Xie, G.; Chen, Y.; et al. White tea alleviates non-alcoholic fatty liver disease by regulating energy expenditure and lipid metabolism. Gene 2022, 833, 146553. [Google Scholar] [CrossRef]
- Liu, C.; Guo, Y.; Sun, L.; Lai, X.; Li, Q.; Zhang, W.; Xiang, L.; Sun, S.; Cao, F. Six types of tea reduce high-fat-diet-induced fat accumulation in mice by increasing lipid metabolism and suppressing inflammation. Food Funct. 2019, 10, 2061–2074. [Google Scholar] [CrossRef]
- Othman, Z.A.; Zakaria, Z.; Suleiman, J.B.; Ghazali, W.S.W.; Mohamed, M. Anti-Atherogenic Effects of Orlistat on Obesity-Induced Vascular Oxidative Stress Rat Model. Antioxidants 2021, 10, 251. [Google Scholar] [CrossRef]
- Xia, X.; Wang, X.; Wang, H.; Lin, Z.; Shao, K.; Xu, J.; Zhao, Y. Ameliorative effect of white tea from 50-year-old tree of Camellia sinensis L. (Theaceae) on kidney damage in diabetic mice via SIRT1/AMPK pathway. J. Ethnopharmacol. 2021, 272, 113919. [Google Scholar] [CrossRef]
- El-Tantawy, W.H.; Temraz, A. Natural products for controlling hyperlipidemia: Review. Arch. Physiol. Biochem. 2019, 125, 128–135. [Google Scholar] [CrossRef]
- Dardashti pour, E.; Yaghobian, F.; Dehghan, F.; Azarbayjani, M.A. Forecast of ameliorating effect of dietary flavonol consumption in white tea with or without aerobic training on type 2 diabetes (T2D) in females. Clin. Nutr. ESPEN 2021, 45, 134–140. [Google Scholar] [CrossRef]








| White Tea Analysis (HPLC) Results | |||
|---|---|---|---|
| % Dry Matter | ** | % Dry Matter | |
| Gallic acid | 0.11 | Gallic acid | 0.18 |
| Caffeine | 5.01 | Caffeine | 4.83 |
| EGC | 0.38 | EGC | 0.00 |
| C | 0.00 | C | 0.06 |
| EC | 0.87 | EC | 0.33 |
| EGCG | 9.20 | EGCG | 4.75 |
| ECG | 2.28 | ECG | 1.07 |
| Total Catechin (EGC+EC+EGCG+ECG) | 12.74 | Total Catechin (EGC+EC+EGCG+ECG) | 6.21 |
| Score | Result |
|---|---|
| Hypertrophic Adipocytes | |
| 0 | Less than 5% |
| 1 | 6% to 25% |
| 2 | 26% to 50% |
| 3 | More than 50% |
| Infiltrative Areas | |
| 0 | Less than 5% |
| 1 | 6% to 25% |
| 2 | 26% to 50% |
| 3 | More than 50% |
| Oedematous Areas | |
| 0 | Less than 5% |
| 1 | 6% to 25% |
| 2 | 26% to 50% |
| 3 | More than 50% |
| Vascular Congestion | |
| 0 | Less than 5% |
| 1 | 6% to 25% |
| 2 | 26% to 50% |
| 3 | More than 50% |
| Parameters | Control (n = 7) | HFD (n = 8) | HFD+ORL (n = 7) | HFD+WT (n = 8) |
|---|---|---|---|---|
| 1 Glu (mg/dL) | 130 ± 19.3 | 220 ± 22.6 a*** | 159 ± 6.86 b** | 159 ± 37.46 b*** |
| 2 Insulin (mIU/L) | 4.03 (1.49) | 4.93 (0.68) a* | 5.24 (0.86) a* | 4.84 (0.75) c* |
| 1 HOMA-IR | 1.5 ± 0.34 | 2.63 ± 0.33 a*** | 2.26 ± 0.29 a** | 1.97 ± 0.59 b* |
| 1 TC (mg/dL) | 49 ± 3.61 | 71 ± 11.72 a*** | 57 ± 6.71 b** | 52 ± 6.08 b*** |
| 1 HDL-C (mg/dL) | 33 ± 1.75 | 40 ± 1.75 a** | 38 ± 5.65 | 38 ± 5.05 |
| 1 LDL-C (mg/dL) | 9.67 ± 2.73 | 18.85 ± 6.59 a** | 14.57 ± 3.08 | 13.0 ± 2.37 b* |
| 1 TG (mg/dL) | 30 ± 5.41 | 36 ± 12.88 | 32 ± 7.08 | 26 ± 4.8 |
| 1 AST/ALT | 3.3 ± 0.72 | 4.07 ± 0.26 a* | 4.53 ± 0.77 a** | 3.97 ± 0.47 |
| 1 Leptin (ng/mL) | 2.88 ± 0.226 | 3.24 ± 0.80 | 3.04 ± 0.422 | 2.31 ± 0.44 b**c* |
| 1 Asprosin (ng/mL) | 2.48 ± 0.423 | 2.81 ± 0.742 | 1.96 ± 0.344 b** | 1.94 + 4 ± 0.092 b** |
| 2 TT (mmol/mL) | 387 (94) | 279 (60) a* | 348 (32) | 423 (26) b**c** |
| 1 TBARS (mmol/L) | 6.92 ± 0.29 | 7.83 ± 0.59 a** | 6.03 ± 0.78 a**b*** | 5.85 ± 0.33 a**b*** |
| Parameters | Control (n = 7) | OB (n = 7) | OB+ORL (n = 6) | OB+WT50 (n = 6) | OB+WT150 (n = 6) |
|---|---|---|---|---|---|
| 1 Glu (mg/dL) | 158 ± 36 | 179 ± 13 | 158 ± 46 | 160 ± 33 | 198 ± 32 |
| 1 Insulin (mIU/L) | 4.67 ± 0.29 | 5.34 ± 0.14 a** | 5.53 ± 0.25 a** | 5.61 ± 0.61 a*** | 5.56 ± 0.39 a*** |
| 1 HOMA-IR | 2.1 ± 0.58 | 2.16 ± 0.37 | 2.2 ± 0.59 | 2.51 ± 0.75 | 2.73 ± 0.61 |
| 1 TC (mg/dL) | 67 ± 13.9 | 90 ± 3.6 a** | 79 ± 6.8 | 79 ± 8.24 | 70 ± 14.4 b** |
| 1 HDL-C (mg/dL) | 38 ± 7 | 43 ± 9.4 | 47 ± 6.6 | 46 ± 5.5 | 40.7 ± 6.7 |
| 1 LDL-C (mg/dL) | 22 ± 6.7 | 24 ± 6.6 | 27 ± 4.9 | 28 ± 3.9 | 25 ± 7.9 |
| 2 TG (mg/dL) | 39 (12) | 44 (19) | 42 (24) | 31 (14) | 36 (18) |
| 1 AST/ALT | 4.7 ± 0.28 | 5.35 ± 0.26 a* | 4.75 ± 0.7 | 4.5 ± 0.32 b* | 4.22 ± 0.53 b** |
| 1 Leptin (ng/mL) | 1.98 ± 0.69 | 2.61 ± 0.29 a* | 3.27 ± 0.84 a***b* | 3.04 ± 0.19 a** | 3.14 ± 0.35 a** |
| 1 Asprosin (ng/mL) | 1.96 ± 0.25 | 2.24 ± 0.36 | 2.33 ± 0.20 | 2.27 ± 0.27 | 2.32 ± 0.32 |
| 2 TT (mmol/mL) | 310 (170) | 305 (59) | 339 (75) | 361 (43) | 333 (137) |
| 1 TBARS (mmol/L) | 10.1 ± 1.6 | 11.9 ± 1.39 a* | 7.78 ± 0.82 a**b*** | 5.31 ± 0.49 a***b***c** | 6.19 ± 0.98 a***b***c* |
| Group | Hypertrophic Adipocytes | Infiltrative Areas | Oedematous Areas | Vascular Congestion | HPS |
|---|---|---|---|---|---|
| Control | 0 (0–0) | 0 (0–0) | 0 (0–0) | 0 (0–0) | 0 (0–0) |
| HFD | 2 (2–2) a | 1 (1–2) a | 2 (1–2) a | 2 (1.5–2) a | 2 (1.5–2) a |
| HFD+ORL | 1 (1–1.5) a,b | 1 (0–1) b | 1 (0–1) b,c | 0 (0–1) b | 0 (0–1) b |
| HFD+WT | 1 (1–1) a,b | 0 (0–1) b | 1 (1–1) a,d | 0 (0–1) b | 0 (0–1) b |
| Group | Adipocyte Superficial Area (µm2) |
|---|---|
| Control | 384.91 ± 22.61 |
| HFD | 479.62 ± 19.12 a |
| HFD+ORL | 393.91 ± 18.81 b,c |
| HFD+WT | 401.43 ± 50.71 b,c |
| Group | Numerical Density (mm3) |
|---|---|
| Control | 12.65 ± 2.93 |
| HFD | 32.25 ± 4.59 a |
| HFD+ORL | 24.00 ± 4.65 a,c |
| HFD+WT | 17.55 ± 2.74 b,c,d |
| Group | Hypertrophic Adipocytes | Infiltrative Areas | Oedematous Areas | Vascular Congestion | HPS |
|---|---|---|---|---|---|
| Control | 0 (0–0) | 0 (0–0) | 0 (0–0) | 0 (0–0) | 0 (0–0) |
| OB | 2 (2–3) a | 1 (1–2) a | 2 (1–2) a | 2 (1.5–2) a | 2 (1.5–2) a |
| OB+ORL | 1 (0.5–1) a,b | 1 (0–1) b | 1 (0–1) b,c | 0 (0–1) b | 0 (0–1) b |
| OB+WT50 | 1 (0–1) a,b | 0 (0–0.5) b | 1 (0.5–1) a,d | 0 (0–1) b | 0 (0–1) b |
| OB+WT150 | 1 (1–1) a,b | 0 (0–1) b | 1 (1–1) a,d | 0 (0–1) b | 0 (0–1) b |
| Group | Adipocyte Superficial Area (µm2) |
|---|---|
| Control | 383.81 ± 21.62 |
| OB | 477.41 ± 17.10 a |
| OB+ORL | 395.77 ± 16.54 a,b |
| OB+WT50 | 402.85 ± 49.36 a,b |
| OB+WT150 | 399.74 ± 49.01 a,b |
| Group | Adipocyte Numerical Density (×106 µm3) |
|---|---|
| Control | 1.74 ± 0.61 |
| OB | 4.17 ± 0.82 a |
| OB+ORL | 2.06 ± 0.91 a,b |
| OB+WT50 | 1.76 ± 0.62 a,b |
| OB+WT150 | 1.35 ± 0.54 a,b |
Disclaimer/Publisher’s Note: The statements, opinions and data contained in all publications are solely those of the individual author(s) and contributor(s) and not of MDPI and/or the editor(s). MDPI and/or the editor(s) disclaim responsibility for any injury to people or property resulting from any ideas, methods, instructions or products referred to in the content. |
© 2024 by the authors. Licensee MDPI, Basel, Switzerland. This article is an open access article distributed under the terms and conditions of the Creative Commons Attribution (CC BY) license (https://creativecommons.org/licenses/by/4.0/).
Share and Cite
Yilmaz, A.; Toraman, M.N.; Mataraci Karakas, S.; Ozden, Z.; Pinarbas, E.; Mercantepe, T. Effect of White Tea on Leptin and Asprosin Levels in Rats Feeding a High-Fat Diet. Life 2024, 14, 1548. https://doi.org/10.3390/life14121548
Yilmaz A, Toraman MN, Mataraci Karakas S, Ozden Z, Pinarbas E, Mercantepe T. Effect of White Tea on Leptin and Asprosin Levels in Rats Feeding a High-Fat Diet. Life. 2024; 14(12):1548. https://doi.org/10.3390/life14121548
Chicago/Turabian StyleYilmaz, Adnan, Merve Nur Toraman, Sibel Mataraci Karakas, Zulkar Ozden, Esra Pinarbas, and Tolga Mercantepe. 2024. "Effect of White Tea on Leptin and Asprosin Levels in Rats Feeding a High-Fat Diet" Life 14, no. 12: 1548. https://doi.org/10.3390/life14121548
APA StyleYilmaz, A., Toraman, M. N., Mataraci Karakas, S., Ozden, Z., Pinarbas, E., & Mercantepe, T. (2024). Effect of White Tea on Leptin and Asprosin Levels in Rats Feeding a High-Fat Diet. Life, 14(12), 1548. https://doi.org/10.3390/life14121548

