Immune Checkpoint Inhibitor-Induced Myocarditis vs. COVID-19 Vaccine-Induced Myocarditis—Same or Different?
Abstract
1. Introduction
2. Materials and Methods
2.1. Study Design and Population
2.2. Definition of Myocarditis
2.3. Study Protocol
2.4. Assessment of Echocardiographic Characteristics
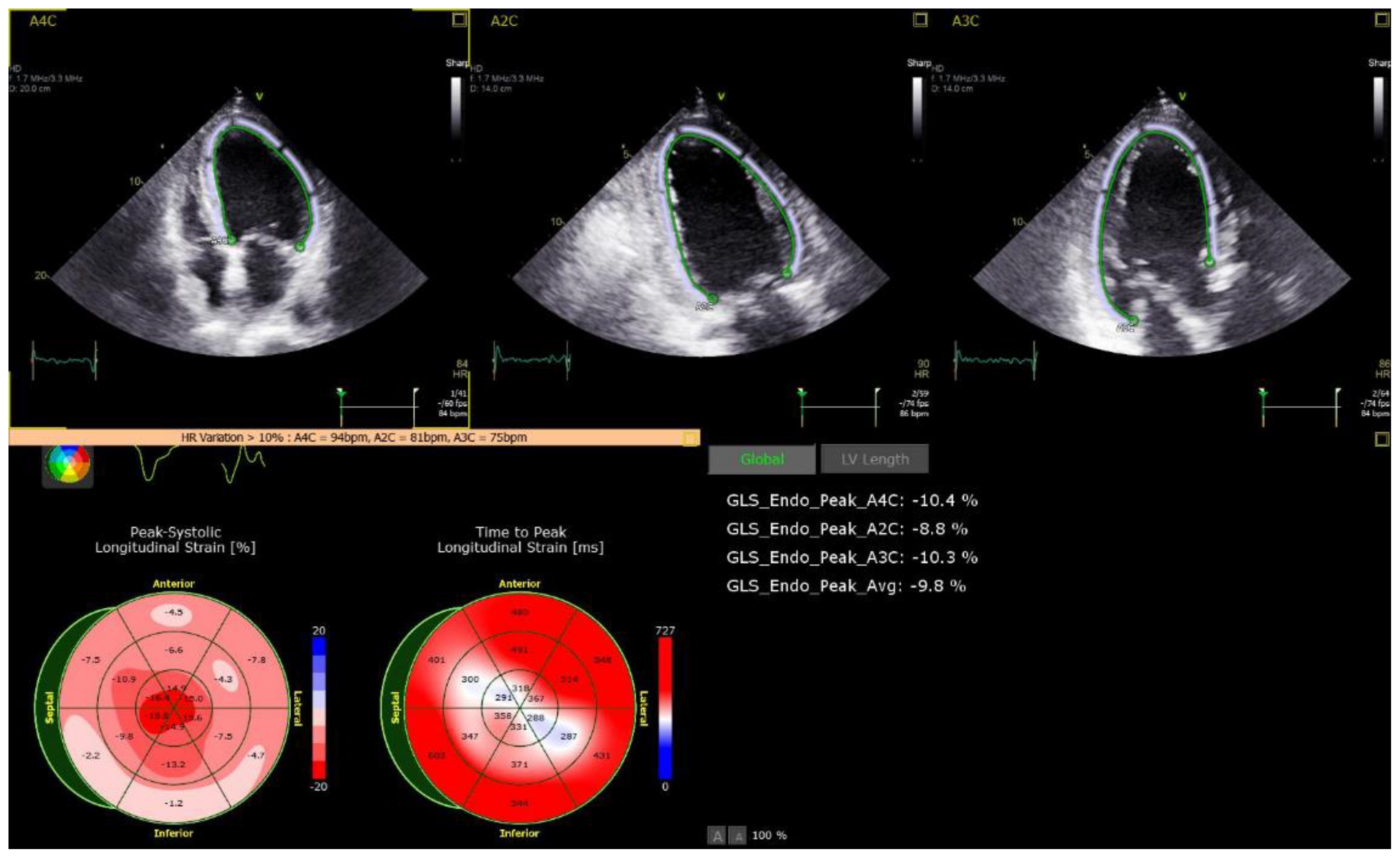
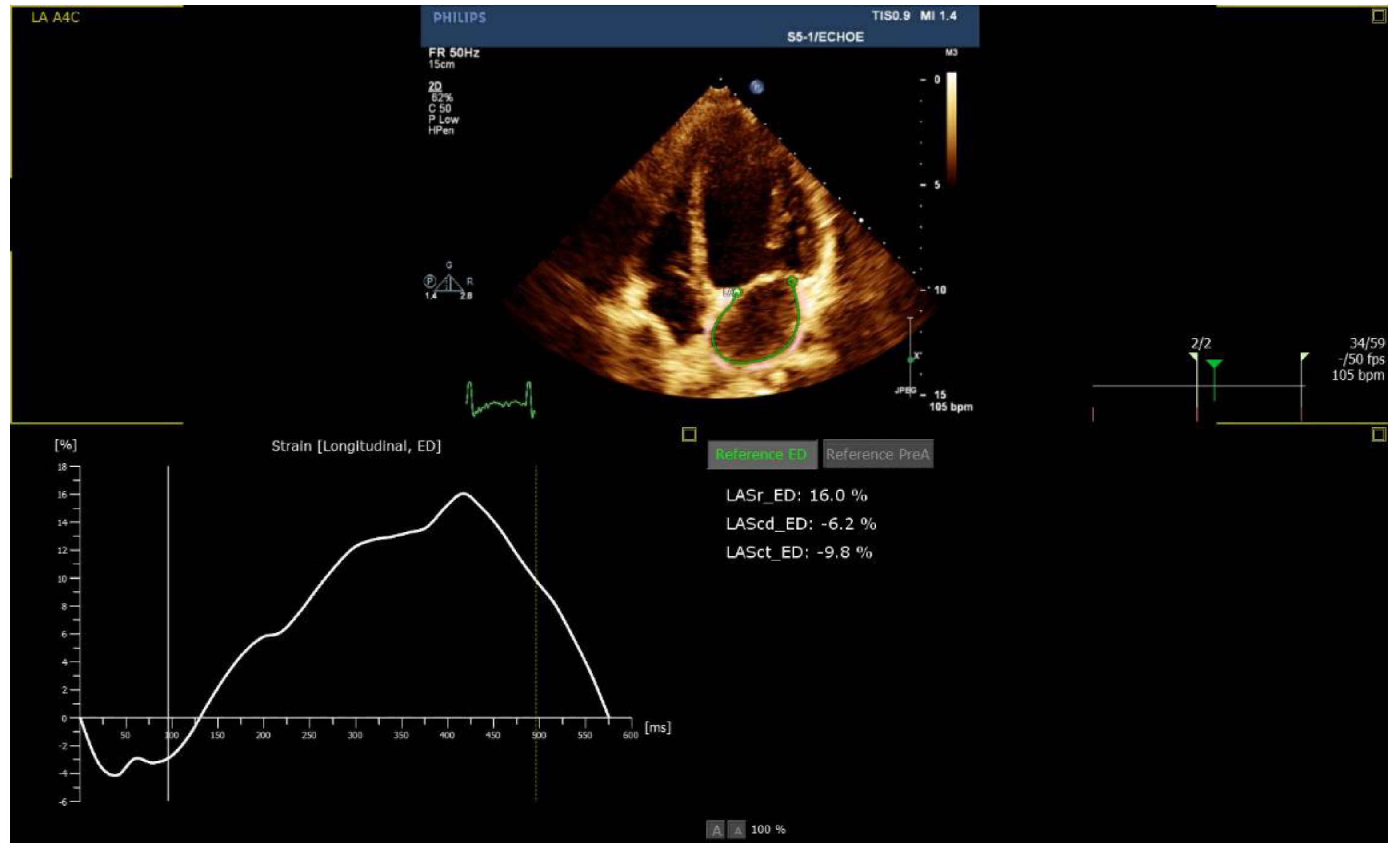
2.5. 2D-STE
2.6. Statistical Analysis
3. Results
3.1. Baseline Parameters
3.2. Clinical Presentation
3.3. Laboratory Tests
3.4. ECG and Imaging Tests
3.5. Therapy
4. Discussion
5. Conclusions
Author Contributions
Funding
Institutional Review Board Statement
Data Availability Statement
Conflicts of Interest
References
- Palaskas, N.; Lopez-Mattei, J.; Durand, J.B.; Iliescu, C.; Deswal, A. Immune Checkpoint Inhibitor Myocarditis: Pathophysiological Characteristics, Diagnosis, and Treatment. J. Am. Hear. Assoc. 2020, 9, e013757. [Google Scholar] [CrossRef]
- Witberg, G.; Barda, N.; Hoss, S.; Richter, I.; Wiessman, M.; Aviv, Y.; Grinberg, T.; Auster, O.; Dagan, N.; Balicer, R.D.; et al. Myocarditis after Covid-19 Vaccination in a Large Health Care Organization. N. Engl. J. Med. 2021, 385, 2132–2139. [Google Scholar] [CrossRef] [PubMed]
- Johnson, D.B.; Balko, J.M.; Compton, M.L.; Chalkias, S.; Gorham, J.; Xu, Y.; Hicks, M.; Puzanov, I.; Alexander, M.R.; Bloomer, T.L.; et al. Fulminant Myocarditis with Combination Immune Checkpoint Blockade. N. Engl. J. Med. 2016, 375, 1749–1755. [Google Scholar] [CrossRef] [PubMed]
- Bonaca, M.P.; Olenchock, B.A.; Salem, J.; Wiviott, S.D.; Ederhy, S.; Cohen, A.; Stewart, G.C.; Choueiri, T.K.; di Carli, M.; Allenbach, Y.; et al. Myocarditis in the Setting of Cancer Therapeutics: Proposed Case Definitions for Emerging Clinical Syndromes in Cardio-Oncology. Circulation 2019, 140, 80–91. [Google Scholar] [CrossRef]
- Ederhy, S.; Salem, J.-E.; Dercle, L.; Hasan, A.S.; Chauvet-Droit, M.; Nhan, P.; Ammari, S.; Pinna, B.; Redheuil, A.; Boussouar, S.; et al. Role of Cardiac Imaging in the Diagnosis of Immune Checkpoints Inhibitors Related Myocarditis. Front. Oncol. 2021, 11, 640985. [Google Scholar] [CrossRef] [PubMed]
- Armenian, S.H.; Lacchetti, C.; Barac, A.; Carver, J.; Constine, L.S.; Denduluri, N.; Dent, S.; Douglas, P.S.; Durand, J.-B.; Ewer, M.; et al. Prevention and Monitoring of Cardiac Dysfunction in Survivors of Adult Cancers: American Society of Clinical Oncology Clinical Practice Guideline. J. Clin. Oncol. 2017, 35, 893–911. [Google Scholar] [CrossRef] [PubMed]
- Bozkurt, B.; Kamat, I.; Hotez, P.J. Myocarditis With COVID-19 mRNA Vaccines. Circulation 2021, 144, 471–484. [Google Scholar] [CrossRef]
- Woo, W.; Kim, A.Y.; Yon, D.K.; Lee, S.W.; Hwang, J.; Jacob, L.; Koyanagi, A.; Kim, M.S.; Moon, D.H.; Jung, J.W.; et al. Clinical characteristics and prognostic factors of myocarditis associated with the mRNA COVID-19 vaccine. J. Med. Virol. 2021, 94, 1566–1580. [Google Scholar] [CrossRef]
- Kim, H.W.; Jenista, E.R.; Wendell, D.C.; Azevedo, C.F.; Campbell, M.J.; Darty, S.N.; Parker, M.A.; Kim, R.J. Patients with Acute Myocarditis Following mRNA COVID-19 Vaccination. JAMA Cardiol. 2021, 6, 1196. [Google Scholar] [CrossRef]
- Viskin, D.; Topilsky, Y.; Aviram, G.; Mann, T.; Sadon, S.; Hadad, Y.; Flint, N.; Shmilovich, H.; Banai, S.; Havakuk, O. Myocarditis Associated With COVID-19 Vaccination. Circ. Cardiovasc. Imaging 2021, 14. [Google Scholar] [CrossRef]
- Caforio, A.L.P.; Pankuweit, S.; Arbustini, E.; Basso, C.; Gimeno-Blanes, J.; Felix, S.B.; Fu, M.; Heliö, T.; Heymans, S.; Jahns, R.; et al. Current state of knowledge on aetiology, diagnosis, management, and therapy of myocarditis: A position statement of the European Society of Cardiology Working Group on Myocardial and Pericardial Diseases. Eur. Heart J. 2013, 34, 2636–2648. [Google Scholar] [CrossRef] [PubMed]
- Lang, R.M.; Badano, L.P.; Mor-Avi, V.; Afilalo, J.; Armstrong, A.; Ernande, L.; Flachskampf, F.A.; Foster, E.; Goldstein, S.A.; Kuznetsova, T.; et al. Recommendations for Cardiac Chamber Quantification by Echocardiography in Adults: An Update from the American Society of Echocardiography and the European Association of Cardiovascular Imaging. J. Am. Soc. Echocardiogr. 2015, 28, 1–39. [Google Scholar] [CrossRef] [PubMed]
- Teo, S.G.; Yang, H.; Chai, P.; Yeo, T.C. Impact of left ventricular diastolic dysfunction on left atrial volume and function: A volumetric analysis. Eur. J. Echocardiogr. 2009, 11, 38–43. [Google Scholar] [CrossRef] [PubMed][Green Version]
- Nagueh, S.F.; Smiseth, O.A.; Appleton, C.P.; Byrd, B.F., 3rd; Dokainish, H.; Edvardsen, T.; Flachskampf, F.A.; Gillebert, T.C.; Klein, A.L.; Lancellotti, P.; et al. Recommendations for the Evaluation of Left Ventricular Diastolic Function by Echocardiography: An Update from the American Society of Echocardiography and the European Association of Cardiovascular Imaging. J. Am. Soc. Echocardiogr. 2016, 29, 277–314. [Google Scholar] [CrossRef] [PubMed]
- Rudski, L.G.; Lai, W.W.; Afilalo, J.; Hua, L.; Handschumacher, M.D.; Chandrasekaran, K.; Solomon, S.D.; Louie, E.K.; Schiller, N.B. Guidelines for the echocardiographic assessment of the right heart in adults: A report from the American Society of Echocardiography endorsed by the European Association of Echocardiography, a registered branch of the European Society of Cardiology, and the Canadian Society of Echocardiography. J Am. Soc. Echocardiogr 2010, 23, 685–713, quiz 786-8. [Google Scholar]
- Topilsky, Y.; Khanna, A.D.; Oh, J.K.; Nishimura, R.A.; Enriquez-Sarano, M.; Jeon, Y.B.; Sundt, T.M.; Schaff, H.; Park, S.J. Preoperative Factors Associated With Adverse Outcome After Tricuspid Valve Replacement. Circulation 2011, 123, 1929–1939. [Google Scholar] [CrossRef]
- Badano, L.P.; Kolias, T.J.; Muraru, D.; Abraham, T.P.; Aurigemma, G.; Edvardsen, T.; D’Hooge, J.; Donal, E.; Fraser, A.G.; Marwick, T.; et al. Standardization of left atrial, right ventricular, and right atrial deformation imaging using two-dimensional speckle tracking echocardiography: A consensus document of the EACVI/ASE/Industry Task Force to standardize deformation imaging. Eur. Heart J. Cardiovasc. Imaging 2018, 19, 591–600. [Google Scholar] [CrossRef]
- Delombaerde, D.; Vervloet, D.; Franssen, C.; Croes, L.; Gremonprez, F.; Prenen, H.; Peeters, M.; Vulsteke, C. Clinical implications of isolated troponinemia following immune checkpoint inhibitor therapy. ESMO Open 2021, 6, 100216. [Google Scholar] [CrossRef]
- Mahmood, S.S.; Fradley, M.G.; Cohen, J.V.; Nohria, A.; Reynolds, K.L.; Heinzerling, L.M.; Sullivan, R.J.; Damrongwatanasuk, R.; Chen, C.L.; Gupta, D.; et al. Myocarditis in Patients Treated With Immune Checkpoint Inhibitors. J. Am. Coll. Cardiol. 2018, 71, 1755–1764. [Google Scholar] [CrossRef]
- Salem, J.-E.; Manouchehri, A.; Moey, M.; Lebrun-Vignes, B.; Bastarache, L.; Pariente, A.; Gobert, A.; Spano, J.-P.; Balko, J.M.; Bonaca, M.P.; et al. Cardiovascular toxicities associated with immune checkpoint inhibitors: An observational, retrospective, pharmacovigilance study. Lancet Oncol. 2018, 19, 1579–1589. [Google Scholar] [CrossRef]
- Caso, F.; Costa, L.; Ruscitti, P.; Navarini, L.; Del Puente, A.; Giacomelli, R.; Scarpa, R. Could Sars-coronavirus-2 trigger autoimmune and/or autoinflammatory mechanisms in genetically predisposed subjects? Autoimmun. Rev. 2020, 19, 102524. [Google Scholar] [CrossRef] [PubMed]
- Laufer-Perl, M.; Havakuk, O.; Shacham, Y.; Steinvil, A.; Letourneau-Shesaf, S.; Chorin, E.; Keren, G.; Arbel, Y. Sex-based differences in prevalence and clinical presentation among pericarditis and myopericarditis patients. Am. J. Emerg. Med. 2016, 35, 201–205. [Google Scholar] [CrossRef] [PubMed]
- Zhang, L.; Jones-O’Connor, M.; Awadalla, M.; Zlotoff, D.A.; Thavendiranathan, P.; Groarke, J.D.; Villani, A.-C.; Lyon, A.R.; Neilan, T.G. Cardiotoxicity of Immune Checkpoint Inhibitors. Curr. Treat. Options Cardiovasc. Med. 2019, 21, 32. [Google Scholar] [CrossRef]
- Awadalla, M.; Mahmood, S.S.; Groarke, J.D.; Hassan, M.Z.; Nohria, A.; Rokicki, A.; Murphy, S.P.; Mercaldo, N.D.; Zhang, L.; Zlotoff, D.A.; et al. Global Longitudinal Strain and Cardiac Events in Patients With Immune Checkpoint Inhibitor-Related Myocarditis. J. Am. Coll. Cardiol. 2020, 75, 467–478. [Google Scholar] [CrossRef]
- Laufer-Perl, M.; Arias, O.; Dorfman, S.S.; Baruch, G.; Rothschild, E.; Beer, G.; Hasson, S.P.; Arbel, Y.; Rozenbaum, Z.; Topilsky, Y.; et al. Left Atrial Strain changes in patients with breast cancer during anthracycline therapy. Int. J. Cardiol. 2021, 330, 238–244. [Google Scholar] [CrossRef]
- Pathan, F.; D’Elia, N.; Nolan, M.T.; Marwick, T.H.; Negishi, K. Normal Ranges of Left Atrial Strain by Speckle-Tracking Echocardiography: A Systematic Review and Meta-Analysis. J. Am. Soc. Echocardiogr. 2017, 30, 59–70. [Google Scholar] [CrossRef] [PubMed]




| ICI Group n = 9 | COVID-19 Vaccinee Group n = 9 | Viral Group n = 20 | p-Value All | |
|---|---|---|---|---|
| Age (years), median (IQR) | 74 (64–79) | 20(19–29) | 24(22–26) | <0.001 |
| Female gender, % (n) | 22% (2) | 11% (1) | 10% (2) | 0.815 |
| Prior myocarditis, % (n) | 0 (0) | 11% (1) | 10% (2) | >0.999 |
| Hypothyroidism, % (n) | 11% (1) | 0 (0) | 0 (0) | 0.473 |
| Ischemic Heart Disease, % (n) | 11% (1) | 0 (0) | 0 (0) | 0.473 |
| Atrial Fibrillation, % (n) | 22% (2) | 0 (0) | 0 (0) | 0.096 |
| Stroke, % (n) | 0 (0) | 0 (0) | 0 (0) | n/a |
| Smoker, % (n) | 33% (3) | 11% (1) | 33% (3) | 0.613 |
| Hyperlipidemia, % (n) | 44% (4) | 0 (0) | 0 (0) | 0.004 |
| Hypertension, % (n) | 33% (3) | 0 (0) | 0 (0) | 0.011 |
| Diabetes Mellitus, % (n) | 11% (1) | 0 (0) | 0 (0) | 0.244 |
| Baseline medications | ||||
| ACEi/ARB, % (n) | 33% (3) | 0 (0) | 0 (0) | 0.011 |
| Beta-blockers, % (n) | 44% (4) | 0 (0) | 0 (0) | 0.003 |
| Statin, % (n) | 22% (2) | 0 (0) | 0 (0) | 0.096 |
| Anticoagulation, % (n) | 33% (3) | 0 (0) | 0 (0) | 0.021 |
| Anti-aggregation, % (n) | 33% (3) | 0 (0) | 0 (0) | 0.021 |
| ICI Group n = 9 | COVID-19 Vaccinee Group n = 9 | Viral Group n = 20 | p-Value All | |
|---|---|---|---|---|
| Symptoms | ||||
| Chest pain, % (n) | 44% (4) | 100% (9) | 90% (18) | 0.010 |
| Fever, % (n) | 0 (0) | 78% (7) | 40% (8) | 0.002 |
| Dyspnea, % (n) | 67% (6) | 11% 1) | 5% (1) | 0.001 |
| Pericardial rub, % (n) | 0 (0) | 0 (0) | 10% (2) | >0.999 |
| Vital Signs | ||||
| Heart Rate (beats per minutes), mean (SD) | 90 (15) | 80(13) | 75(13) | 0.054 |
| Systolic Blood Pressure (mmHg), mean (SD) | 127 (22) | 121(21) | 119(14) | 0.551 |
| Diastolic Blood Pressure (mmHg), mean (SD) | 70 (15) | 78(12) | 73(12) | 0.446 |
| Blood Tests | ||||
| Troponin peak (ng/L), median (IQR) | 619 (204–1542) | 15,527 (5024–22,766) | 7388 (1821–27,323) | 0.004 |
| CPK peak (U/L), median (IQR) | 726 (37–7957) | 698(458–2734) | 189 (126–349) | 0.054 |
| CRP peak (mg/L), median (IQR) | 61 (9–124) | 44 (13–81) | 39 (25–114) | 0.899 |
| Hemoglobin (g/dL), median (IQR) | 10.6 (9.8–13.7) | 15.2 (13.9–15.7) | 13.8 (13.3–14.9) | 0.001 |
| WBC median (10^3/µL), median (IQR) | 5.9 (4.5–9.8) | 9.8 (7.4–11.9) | 8.6 (6.9–11.6) | 0.064 |
| NLR, median (IQR) | 5.8 (3–11.1) | 3.8 (3.1–5.8) | 2.6 (1.6–4.5) | 0.266 |
| PLT (10^3/µL), median (IQR) | 190 (144–263) | 189 (179–227) | 221 (197–248) | 0.282 |
| Creatinine (mg/dL), median (IQR) | 0.7 (0.6–1.3) | 0.9 (0.8–1.0) | 0.9 (0.7–1.1) | 0.612 |
| Triglycerides (mg/dL), median (IQR) | 112 (76–169) | 79 (57–89) | 88 (73–112) | 0.243 |
| Cholesterol (mg/dL), median (IQR) | 165 (138–221) | 144 (130–179) | 144 (115–161) | 0.123 |
| TSH (mu/L), median (IQR) | 5.8 (1.4–29) | 1.1 (1–1.4) | 1.4 (0.8–2.2) | 0.056 |
| Initiation of medical therapy | ||||
| NSAIDS, % (n) | 0 (0) | 0 (0) | 45% (9) | 0.007 |
| Aspirin, % (n) | 22% (2) | 56% (5) | 45% (9) | 0.386 |
| Corticosteroids, % (n) | 78% (7) | 0 (0) | 0 (0) | <0.001 |
| Colchicine, % (n) | 0 (0) | 56% (5) | 85% (17) | <0.001 |
| ACEi/ARB, % (n) | 33% (3) | 89% (8) | 60% (12) | 0.054 |
| Beta-blockers, % (n) | 67% (6) | 89% (8) | 55% (11) | 0.209 |
| ICI Group n = 9 | COVID-19 Vaccine Group n = 9 | Viral Group n = 20 | p-Value All | |
|---|---|---|---|---|
| Electrocardiography | ||||
| PR depression, % (n) | 11% (1) | 11% (1) | 10% (2) | >0.999 |
| ST elevation, % (n) | 0 (0) | 67% (6) | 60% (12) | 0.004 |
| Inverted T wave, % (n) | 33% (3) | 22% (2) | 30% (6) | >0.999 |
| Echocardiography parameters | ||||
| Pericardial effusion, % (n) | 0 (0) | 0 (0) | 20% (4) | 0.151 |
| Ejection Fraction (%), median (IQR) | 60 (40–60) | 60 (50–60) | 60 (56–60) | 0.385 |
| LVEDd (mm), mean (SD) | 48 (±10) | 48 (±2) | 50 (±3) | 0.427 |
| LVESd (mm), mean (SD) | 32 (±10) | 31 (±5) | 34 (±3) | 0.364 |
| IVSd (mm), mean (SD) | 11 (8–12) | 8 (7–10) | 8 (8–9) | 0.021 |
| E/A, mean (SD) | 0.8 (±0.3) | 1.8 (±0.7) | 1.7 (±0.5) | 0.002 |
| Deceleration Time (milliseconds), mean (SD) | 178 (±26) | 182 (±40) | 171 (±46) | 0.766 |
| e’ septal, mean (SD) | 7 (±2) | 10 (±2) | 12 (±2) | <0.001 |
| e’ lateral, mean (SD) | 9 (±1) | 14 (±4) | 15 (±3) | <0.001 |
| E/e’ septal, mean (SD) | 10 (±3) | 8 (±2) | 7 (±2) | 0.010 |
| E/e’ lateral, mean (SD) | 8 (±3) | 6 (±2) | 5 (±1) | 0.007 |
| E/e’ average, mean (SD) | 10 (±4) | 7 (±2) | 6 (±1) | 0.002 |
| LAVI (mL/m2), mean (SD) | 31 (±10) | 26 (±5) | 30 (±7) | 0.389 |
| TAPSE (mm), mean (SD) | 22 (±4) | 23 (±5) | 23 (±3) | 0.926 |
| SPAP (mmHg), mean (SD) | 30 (±12) | 25 (±7) | 24 (±4) | 0.367 |
| Speckle Strain | ||||
| LV GLS (%), mean (SD) | 13 (±5) | 17 (±2) | 18 (±4) | 0.016 |
| RVFWS (%), mean (SD) | 24 (±1) | 21 (±4) | 24 (±4) | 0.243 |
| RV4CSL (%), mean (SD) | 17 (±4) | 18 (±3) | 20 (±4) | 0.252 |
| LA reservoir (%), mean (SD) | 32 (±12) | 33 (±12) | 44 (±14) | 0.066 |
| LA conduit (%), mean (SD) | 17 (±11) | 30 (±7) | 37 (±11) | 0.001 |
| LA pump (%), mean (SD) | 19 (±8) | 7 (±3) | 10 (±4) | 0.001 |
Publisher’s Note: MDPI stays neutral with regard to jurisdictional claims in published maps and institutional affiliations. |
© 2022 by the authors. Licensee MDPI, Basel, Switzerland. This article is an open access article distributed under the terms and conditions of the Creative Commons Attribution (CC BY) license (https://creativecommons.org/licenses/by/4.0/).
Share and Cite
Zornitzki, L.; Havakuk, O.; Rozenbaum, Z.; Viskin, D.; Arbel, Y.; Flint, N.; Arnold, J.; Waissengein, B.; Wolf, I.; Banai, S.; et al. Immune Checkpoint Inhibitor-Induced Myocarditis vs. COVID-19 Vaccine-Induced Myocarditis—Same or Different? Life 2022, 12, 1366. https://doi.org/10.3390/life12091366
Zornitzki L, Havakuk O, Rozenbaum Z, Viskin D, Arbel Y, Flint N, Arnold J, Waissengein B, Wolf I, Banai S, et al. Immune Checkpoint Inhibitor-Induced Myocarditis vs. COVID-19 Vaccine-Induced Myocarditis—Same or Different? Life. 2022; 12(9):1366. https://doi.org/10.3390/life12091366
Chicago/Turabian StyleZornitzki, Lior, Ofer Havakuk, Zach Rozenbaum, Dana Viskin, Yaron Arbel, Nir Flint, Joshua Arnold, Barliz Waissengein, Ido Wolf, Shmuel Banai, and et al. 2022. "Immune Checkpoint Inhibitor-Induced Myocarditis vs. COVID-19 Vaccine-Induced Myocarditis—Same or Different?" Life 12, no. 9: 1366. https://doi.org/10.3390/life12091366
APA StyleZornitzki, L., Havakuk, O., Rozenbaum, Z., Viskin, D., Arbel, Y., Flint, N., Arnold, J., Waissengein, B., Wolf, I., Banai, S., Topilsky, Y., & Laufer-Perl, M. (2022). Immune Checkpoint Inhibitor-Induced Myocarditis vs. COVID-19 Vaccine-Induced Myocarditis—Same or Different? Life, 12(9), 1366. https://doi.org/10.3390/life12091366

