Upregulation of VSIG4 in Type 2 Diabetic Kidney Disease
Abstract
:1. Introduction
2. Methods
2.1. Animal Studies
2.2. Podocyte Culture
2.3. Semiquantitative Reverse Transcriptase–Polymerase Chain Reactions
2.4. Immunohistochemical Staining for VSIG4, TGβ1, PAI-1, and Type IV Collagen
2.5. Protein Extraction and Western Blot Analysis
2.6. Statistical Analysis
3. Results
3.1. Biochemical Parameters in Experimental Animals
3.2. Renal Function and Albuminuria
3.3. Urinary Excretion of VSIG4
3.4. Serum Levels of VSIG4 in Diabetic Mice
3.5. Expression of Intrarenal VSIG4 in Diabetic Mice
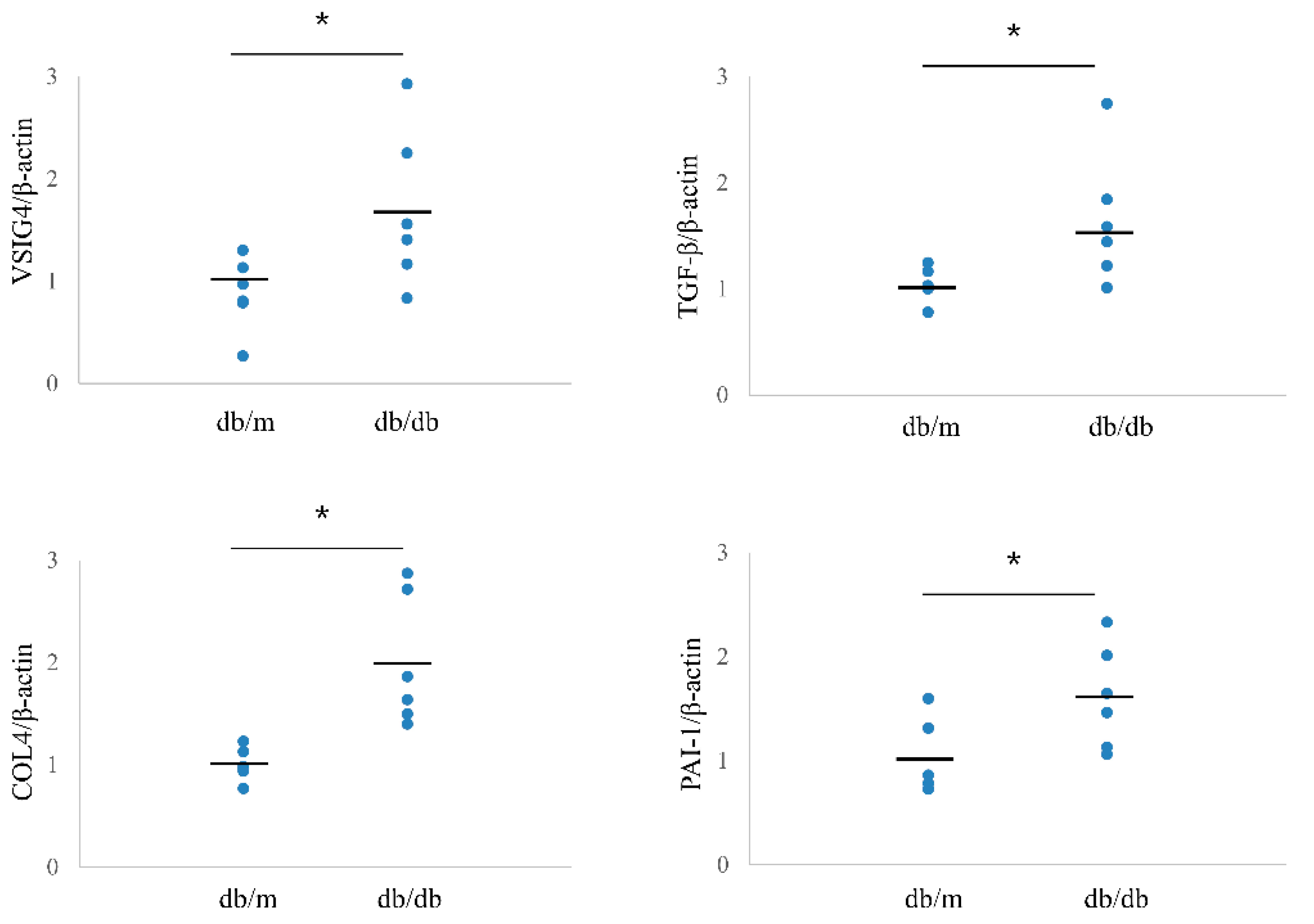
3.6. Profibrotic Markers
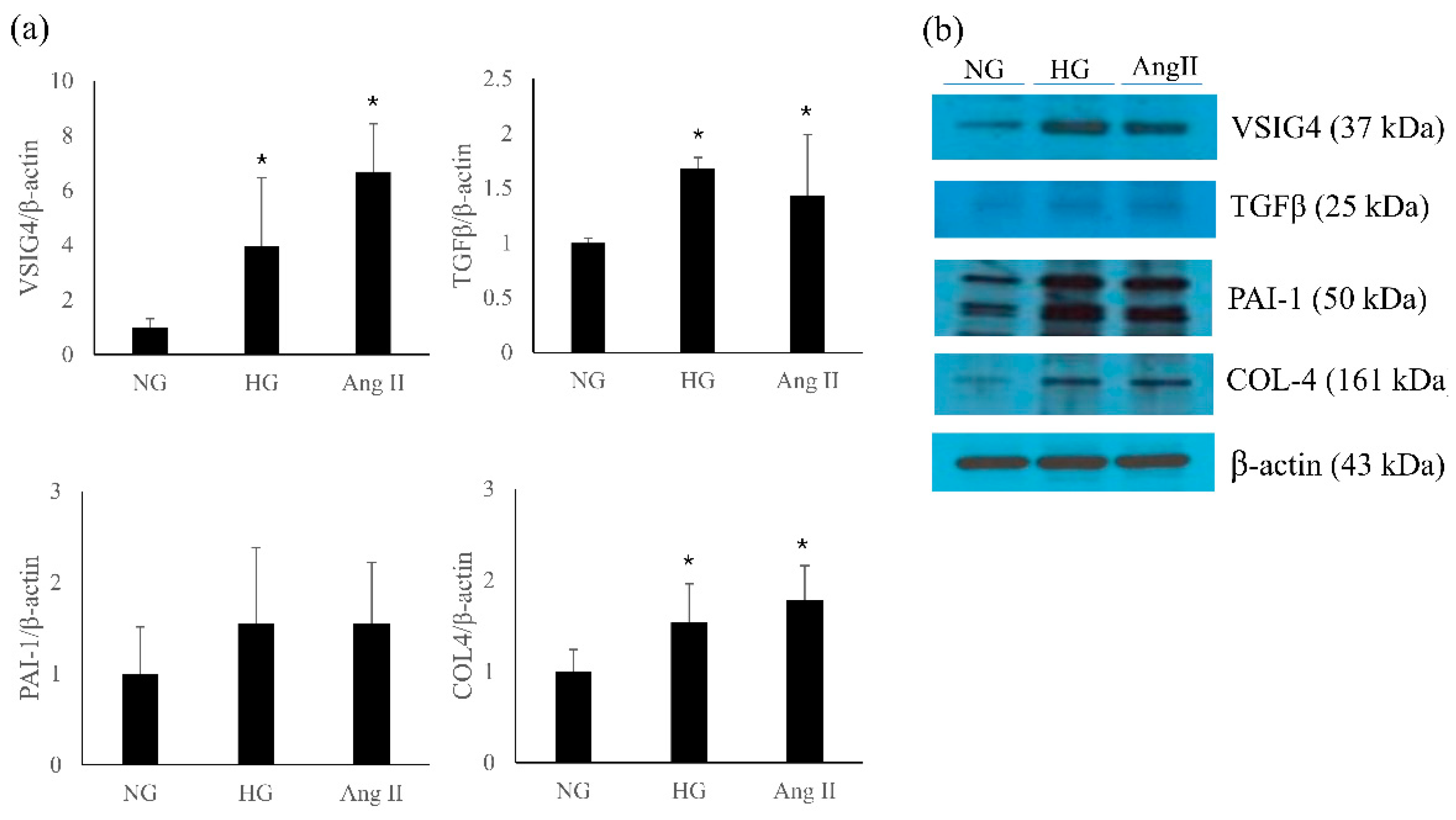
3.7. VSIG4 Expression in Cultured Podocytes
4. Discussion
Supplementary Materials
Author Contributions
Funding
Institutional Review Board Statement
Informed Consent Statement
Conflicts of Interest
Abbreviations
| VSIG4 | V-set Ig domain containing 4 |
| DKD | diabetic kidney disease |
| EMT | epithelial-mesenchymal transition |
| TGF-β | transforming growth factor-β |
| PAI-1 | plasminogen activator inhibitor-1 |
References
- Maruno, S.; Tanaka, T.; Nangaku, M. Exploring molecular targets in diabetic kidney disease. Kidney Res. Clin. Pract. 2022; ahead of print. [Google Scholar] [CrossRef]
- Alicic, R.Z.; Rooney, M.T.; Tuttle, K.R. Diabetic kidney disease: Challenges, progress, and possibilities. Clin. J. Am. Soc. Nephrol. 2017, 12, 2032–2045. [Google Scholar] [CrossRef] [PubMed]
- Simonson, M.S. Phenotypic transitions and fibrosis in diabetic nephropathy. Kidney Int. 2007, 71, 846–854. [Google Scholar] [CrossRef] [PubMed] [Green Version]
- Vogt, L.; Schmitz, N.; Kurrer, M.O.; Bauer, M.; Hinton, H.I.; Behnke, S.; Gatto, D.; Sebbel, P.; Beerli, R.R.; Sonderegger, I.; et al. VSIG4, a B7 family-related protein, is a negative regulator of T cell activation. J. Clin. Investig. 2006, 116, 2817–2826. [Google Scholar] [CrossRef] [PubMed]
- Jung, K.; Seo, S.-K.; Choi, I. Endogenous VSIG4 negatively regulates the helper T cell-mediated antibody response. Immunol. Lett. 2015, 165, 78–83. [Google Scholar] [CrossRef] [PubMed]
- Liao, Y.; Guo, S.; Chen, Y.; Cao, D.; Xu, H.; Yang, C.; Fei, L.; Ni, B.; Ruan, Z. VSIG4 expression on macrophages facilitates lung cancer development. Lab. Investig. 2014, 94, 706–715. [Google Scholar] [CrossRef] [PubMed] [Green Version]
- Zhang, X.-H.; Qian, Y.; Li, Z.; Zhang, N.-N.; Xie, Y.-J. Let-7g-5p inhibits epithelial-mesenchymal transition consistent with reduction of glioma stem cell phenotypes by targeting VSIG4 in glioblastoma. Oncol. Rep. 2016, 36, 2967–2975. [Google Scholar] [CrossRef] [PubMed] [Green Version]
- Wang, Y.; Yan, K.; Lin, J.; Li, J.; Bi, J. Macrophage M2 Co-expression Factors Correlate With the Immune Microenvironment and Predict Outcome of Renal Clear Cell Carcinoma. Front. Genet. 2021, 12, 615655. [Google Scholar] [CrossRef] [PubMed]
- Hall, B.M.; Gleiberman, A.S.; Strom, E.; Krasnov, P.A.; Frescas, D.; Vujcic, S.; Leontieva, O.V.; Antoch, M.P.; Kogan, V.; Koman, I.E.; et al. Immune checkpoint protein VSIG4 as a biomarker of aging in murine adipose tissue. Aging Cell 2020, 19, e13219. [Google Scholar] [CrossRef] [PubMed]
- Li, Y.; Wang, Y.-Q.; Wang, D.-H.; Hou, W.-P.; Zhang, Y.; Li, M.; Li, F.-R.; Mu, J.; Du, X.; Pang, F.; et al. Costimulatory molecule VSIG4 exclusively expressed on macrophages alleviates renal tubulointerstitial injury in VSIG4 KO mice. J. Nephrol. 2014, 27, 29–36. [Google Scholar] [CrossRef] [PubMed]
- Kim, S.M.; Oh, S.W.; Park, S.H.; Hur, D.Y.; Hong, S.W.; Han, S.Y. Epstein-Barr virus-encoded latent membrane protein 1 induces epithelial to mesenchymal transition by inducing V-set Ig domain containing 4 (VSIG4) expression via NF-kB in renal tubular epithelial HK-2 cells. Biochem. Biophys. Res. Commun. 2017, 492, 316–322. [Google Scholar] [CrossRef] [PubMed]
- Gong, E.-Y.; Jo, H.A.; Park, S.H.; Cha, D.R.; Hur, D.Y.; Han, S.Y. VSIG4 Induces Epithelial-Mesenchymal Transition of Renal Tubular Cells under High-Glucose Conditions. Life 2020, 10, 354. [Google Scholar] [CrossRef] [PubMed]
- Sharma, K.; McCue, P.; Dunn, S.R. Diabetic kidney disease in the db/db mouse. Am. J. Physiol. Renal Physiol. 2003, 284, F1138–F1144. [Google Scholar] [CrossRef] [PubMed] [Green Version]
- Cha, J.J.; Kang, Y.S.; Hyun, Y.Y.; Han, S.Y.; Jee, Y.H.; Han, K.H.; Han, J.Y.; Cha, D.R. Sulodexide improves renal function through reduction of vascular endothelial growth factor in type 2 diabetic rats. Life Sci. 2013, 92, 1118–1124. [Google Scholar] [CrossRef] [PubMed]
- Nam, D.H.; Lee, M.H.; Kim, J.E.; Song, H.K.; Kang, Y.S.; Lee, J.E.; Kim, H.W.; Cha, J.J.; Hyun, Y.Y.; Kim, S.H.; et al. Blockade of Cannabinoid Receptor 1 Improves Insulin Resistance, Lipid Metabolism, and Diabetic Nephropathy in db/db Mice. Endocrinology 2012, 153, 1387–1396. [Google Scholar] [CrossRef] [PubMed] [Green Version]
- Zeng, M.; Liu, J.; Yang, W.; Zhang, S.; Liu, F.; Dong, Z.; Peng, Y.; Sun, L.; Xiao, L. Identification of key biomarkers in diabetic nephropathy via bioinformatic analysis. J. Cell. Biochem. 2019, 120, 8676–8688. [Google Scholar] [CrossRef] [PubMed]
- Xu, B.; Wang, L.; Zhan, H.; Zhao, L.; Wang, Y.; Shen, M.; Xu, K.; Li, L.; Luo, X.; Zhou, S.; et al. Investigation of the Mechanism of Complement System in Diabetic Nephropathy via Bioinformatics Analysis. J. Diabetes Res. 2021, 2021, 5546199. [Google Scholar] [CrossRef] [PubMed]
- Byun, J.M.; Jeong, D.H.; Choi, I.H.; Lee, D.S.; Kang, M.S.; Jung, K.O.; Jeon, Y.K.; Kim, Y.N.; Jung, E.J.; Lee, K.B.; et al. The Significance of VSIG4 Expression in Ovarian Cancer. Int. J. Gynecol. Cancer 2017, 27, 872–878. [Google Scholar] [CrossRef] [PubMed]
- Nagata, M. Podocyte injury and its consequences. Kidney Int. 2016, 89, 1221–1230. [Google Scholar] [CrossRef] [PubMed]
- Tung, C.-W.; Hsu, Y.-C.; Shih, Y.-H.; Chang, P.-J.; Lin, C.-L. Glomerular mesangial cell and podocyte injuries in diabetic nephropathy. Nephrology 2018, 23 (Suppl. S4), 32–37. [Google Scholar] [CrossRef] [PubMed] [Green Version]





| BW (g) | BS (mg/dL) | HbA1c (%) | Albumin (ug/6 h) | |||||||||
|---|---|---|---|---|---|---|---|---|---|---|---|---|
| 8 | 12 | 20 | 8 | 12 | 20 | 8 | 12 | 20 | 8 | 12 | 20 | |
| db/m | 24.9 ± 0.4 | 27.9 ± 2.7 | 31.2 ± 2.3 | 131.5 ± 16.5 | 149.5 ± 37.6 | 175.3 ± 13.6 | NA | 5.23 ± 1.06 | 4.28 ± 0.18 | 2.45 ± 1.63 | 4.93 ± 3.81 | 3.55 ± 1.47 |
| db/db | 34.9 ± 2.0 * | 46.1 ± 5.6 * | 56.4 ± 5.8 * | 480.0 ± 159.6 * | 627.7 ± 110.2 * | 806.7 ± 286.1 * | NA | 10.8 ± 0.84 * | 11.0 ± 0.75 * | 4.0 ± 4.23 | 11.36 ± 4.44 * | 14.32 ± 2.88 * |
Publisher’s Note: MDPI stays neutral with regard to jurisdictional claims in published maps and institutional affiliations. |
© 2022 by the authors. Licensee MDPI, Basel, Switzerland. This article is an open access article distributed under the terms and conditions of the Creative Commons Attribution (CC BY) license (https://creativecommons.org/licenses/by/4.0/).
Share and Cite
Han, S.Y.; Ghee, J.Y.; Cha, J.J.; Kang, Y.S.; Hur, D.Y.; Kim, H.S.; Cha, D.R. Upregulation of VSIG4 in Type 2 Diabetic Kidney Disease. Life 2022, 12, 1031. https://doi.org/10.3390/life12071031
Han SY, Ghee JY, Cha JJ, Kang YS, Hur DY, Kim HS, Cha DR. Upregulation of VSIG4 in Type 2 Diabetic Kidney Disease. Life. 2022; 12(7):1031. https://doi.org/10.3390/life12071031
Chicago/Turabian StyleHan, Sang Youb, Jung Yeon Ghee, Jin Joo Cha, Young Sun Kang, Dae Young Hur, Han Seong Kim, and Dae Ryong Cha. 2022. "Upregulation of VSIG4 in Type 2 Diabetic Kidney Disease" Life 12, no. 7: 1031. https://doi.org/10.3390/life12071031
APA StyleHan, S. Y., Ghee, J. Y., Cha, J. J., Kang, Y. S., Hur, D. Y., Kim, H. S., & Cha, D. R. (2022). Upregulation of VSIG4 in Type 2 Diabetic Kidney Disease. Life, 12(7), 1031. https://doi.org/10.3390/life12071031

