Criteria for Verification and Replanning Based on the Adaptive Radiotherapy Protocol “Best for Adaptive Radiotherapy” in Head and Neck Cancer
Abstract
:1. Introduction
2. Materials and Methods
2.1. Patient Demographic and Clinical Characteristics
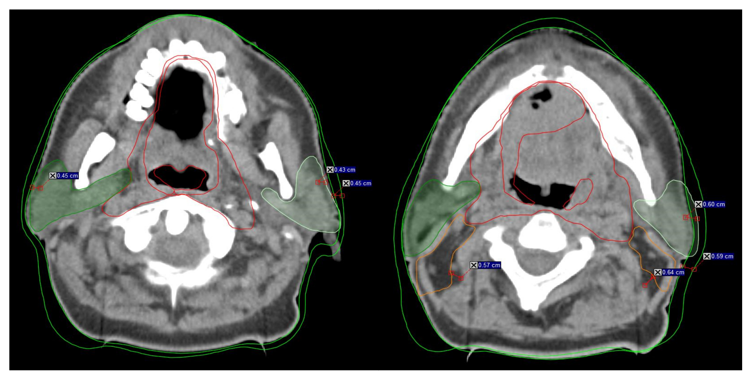
2.2. Treatment Planning and Replanning
2.3. The B-ART Protocol
2.4. Statistical Analysis
3. Results
Replanning Decision
4. Discussion
5. Conclusions
Supplementary Materials
Author Contributions
Funding
Institutional Review Board Statement
Informed Consent Statement
Data Availability Statement
Acknowledgments
Conflicts of Interest
References
- Brown, E.; Owen, R.; Harden, F.; Mengersen, K.; Oestreich, K.; Houghton, W.; Poulsen, M.; Harris, S.; Lin, C.; Porceddu, S. Head and neck adaptive radiotherapy: Predicting the time to replan. Asia-Pacific J. Clin. Oncol. 2016, 4, 460–467. [Google Scholar] [CrossRef] [PubMed]
- Duma, M.N.; Kampfer, S.; Schuster, T.; Winkler, C.; Geinitz, H. Adaptive radiotherapy for soft tissue changes during helical tomotherapy for head and neck cancer. Strahlenther. Onkol. 2012, 188, 243–247. [Google Scholar] [CrossRef] [PubMed]
- Yao, W.-R.; Xu, S.-P.; Liu, B.; Cao, X.-T.; Ren, G.; Du, L.; Zhou, F.-G.; Feng, L.-C.; Qu, B.-L.; Xie, C.-B.; et al. Replanning Criteria and Timing Definition for Parotid Protection-Based Adaptive Radiation Therapy in Nasopharyngeal Carcinoma. BioMed Res. Int. 2015, 2015, 476383. [Google Scholar] [CrossRef] [PubMed]
- Bhandari, V.; Patel, P.; Gurjar, O.P.; Gupta, K.L. Impact of repeat computerized tomography replans in the radiation therapy of head and neck cancers. J. Med. Phys. 2014, 39, 164–168. [Google Scholar] [CrossRef] [PubMed]
- Thomson, D.J.; Beasley, W.J.; Garcez, K.; Lee, L.W.; Sykes, A.J.; Rowbottom, C.G.; Slevin, N.J. Relative plan robustness of step-and-shoot vs. rotational intensity-modulated radiotherapy on repeat computed tomographic simulation for weight loss in head and neck cancer. Med. Dosim. 2016, 41, 154–158. [Google Scholar] [CrossRef]
- Capelle, L.; Mackenzie, M.; Field, C.; Parliament, M.; Ghosh, S.; Scrimger, R. Adaptive radiotherapy using helical tomotherapy for head and neck cancer in definitive and post-operative settings: Initial results. Clin. Oncol. 2012, 24, 208–215. [Google Scholar] [CrossRef] [PubMed]
- Burela, N.; Soni, T.P.; Patni, N.; Natarajan, T. Adaptive intensity-modulated radiotherapy in head-and-neck cancer: A volumetric and dosimetric study. J. Cancer Res. Ther. 2019, 15, 533–538. [Google Scholar] [CrossRef]
- Dewan, A.; Sharma, S.; Dewan, A.; Srivastava, H.; Rawat, S.; Kakria, A.; Mishra, M.; Suresh, T.; Mehrotra, K. Impact of Adaptive Radiotherapy on Locally Advanced Head and Neck Cancer—A Dosimetric and Volumetric Study. Asian Pac. J. Cancer Prev. 2016, 17, 985–992. [Google Scholar] [CrossRef] [Green Version]
- Hansen, E.K.; Bucci, M.K.; Quivey, J.M.; Weinberg, V.; Xia, P. Repeat CT imaging and replanning during the course of IMRT for head-and-neck cancer. Int. J. Radiat. Oncol. 2006, 64, 355–362. [Google Scholar] [CrossRef]
- Chen, A.; Daly, M.E.; Cui, J.; Mathai, M.; Benedict, S.; Purdy, J.A. Clinical outcomes among patients with head and neck cancer treated by intensity-modulated radiotherapy with and without adaptive replanning. Head Neck 2014, 36, 1541–1546. [Google Scholar] [CrossRef]
- Yang, H.; Hu, W.; Wang, W.; Chen, P.; Ding, W.; Luo, W. Replanning during intensity modulated radiation therapy improved quality of life in patients with nasopharyngeal carcinoma. Int. J. Radiat. Oncol. 2013, 85, 47–54. [Google Scholar] [CrossRef]
- Lee, H.; Ahn, Y.C.; Oh, D.; Nam, H.; Kim, Y.I.; Park, S.Y. Tumor volume reduction rate measured during adaptive definitive radiation therapy as a potential prognosticator of locoregional control in patients with oropharyngeal cancer. Head Neck 2014, 36, 499–504. [Google Scholar] [CrossRef]
- Kataria, T.; Gupta, D.; Goyal, S.; Bisht, S.S.; Basu, T.; Abhishek, A.; Narang, K.; Banerjee, S.; Nasreen, S.; Sambasivam, S.; et al. Clinical outcomes of adaptive radiotherapy in head and neck cancers. Br. J. Radiol. 2016, 89, 20160085. [Google Scholar] [CrossRef] [Green Version]
- Schwartz, D.L.; Garden, A.S.; Thomas, J.; Chen, Y.; Zhang, Y.; Lewin, J.; Chambers, M.S.; Dong, L. Adaptive radiotherapy for head-and-neck cancer: Initial clinical outcomes from a prospective trial. Int. J. Radiat. Oncol. 2012, 83, 986–993. [Google Scholar] [CrossRef] [Green Version]
- Bertholet, J.; Anastasi, G.; Noble, D.; Bel, A.; van Leeuwen, R.; Roggen, T.; Duchateau, M.; Pilskog, S.; Garibaldi, C.; Tilly, N.; et al. Patterns of practice for adaptive and real-time radiation therapy (POP-ART RT) part II: Offline and online plan adaption for interfractional changes. Radiother. Oncol. 2020, 153, 88–96. [Google Scholar] [CrossRef]
- Lee, V.S.-C.; Schettino, G.; Nisbet, A. UK adaptive radiotherapy practices for head and neck cancer patients. Br. J. Radiol. Open 2020, 2, 20200051. [Google Scholar] [CrossRef]
- Bak, B.; Skrobala, A.; Adamska, A.; Malicki, J. What information can we gain from performing adaptive radiotherapy of head and neck cancer patients from the past 10 years? Cancer Radiothér. 2021, 9, 1278–3218. [Google Scholar] [CrossRef]
- Hunter, K.U.; Fernandes, L.L.; Vineberg, K.A.; McShan, D.; Antonuk, A.E.; Cornwall, C.; Feng, M.; Schipper, M.J.; Balter, J.M.; Eisbruch, A. Parotid glands dose-effect relationships based on their actually delivered doses: Implications for adaptive replanning in radiation therapy of head-and-neck cancer. Int. J. Radiat. Oncol. 2013, 87, 676–682. [Google Scholar] [CrossRef] [Green Version]
- Wu, Q.; Chi, Y.; Chen, P.Y.; Krauss, D.J.; Yan, D.; Martinez, A. Adaptive replanning strategies accounting for shrinkage in head and neck IMRT. Int. J. Radiat. Oncol. 2009, 3, 924–932. [Google Scholar] [CrossRef]
- Brouwer, C.L.; Steenbakkers, R.J.; Bourhis, J.; Budach, W.; Grau, C.; Grégoire, V.; van Herk, M.; Lee, A.; Maingon, P.; Nutting, C.; et al. CT-based delineation of organs at risk in the head and neck region: DAHANCA, EORTC, GORTEC, HKNPCSG, NCIC CTG, NCRI, NRG Oncology and TROG consensus guidelines. Radiother. Oncol. 2015, 117, 83–90. [Google Scholar] [CrossRef] [Green Version]
- Piotrowski, T.; Czajka, E.; Bak, B.; Kazmierska, J.; Skorska, M.; Ryczkowski, A.; Adamczyk, M.; Jodda, A. Tomotherapy: Implications on Daily Workload and Scheduling Patients Based on Three Years’ Institutional Experience. Technol. Cancer Res. Treat. 2014, 13, 233–242. [Google Scholar] [CrossRef] [PubMed] [Green Version]
- Bak, B.; Adamska, A.; Piotrowski, T. Nowoczesne metody radioterapii. Inżynier I Fiz. Med. 2014, 3, 319–324. [Google Scholar]
- Ho, K.F.; Marchant, T.; Moore, C.; Webster, G.; Rowbottom, C.; Penington, H.; Lee, L.; Yap, B.; Sykes, A.; Slevin, N. Monitoring dosimetric impact of weight loss with kilovoltage (kV) cone beam CT (CBCT) during parotid-sparing IMRT and concurrent chemotherapy. Int. J. Radiat. Oncol. 2012, 82, e375–e382. [Google Scholar] [CrossRef] [PubMed]
- Ren, G.; Xu, S.P.; Du, L.; Feng, L.C.; Qu, B.L.; Liu, H.X.; Xie, C.B.; Ma, L. Actual anatomical and dosimetric changes of parotid glands in nasopharyngeal carcinoma patients during intensity modulated radiation therapy. BioMed Res. Int. 2015, 2015, 670327. [Google Scholar] [CrossRef]
- Castelli, J.; Simon, A.; Rigaud, B.; Lafond, C.; Chajon, E.; Ospina, J.D.; Haigron, P.; Laguerre, B.; Loubière, A.R.; Benezery, K.; et al. Nomogram to predict parotid gland overdose in head and neck IMRT. Radiat. Oncol. 2016, 8, 11–79. [Google Scholar] [CrossRef] [Green Version]
- Yan, D.; Yan, S.; Wang, Q.; Liao, X.; Lu, Z.; Wang, Y. Predictors for replanning in loco-regionally advanced nasopharyngeal carcinoma patients undergoing intensity-modulated radiation therapy: A prospective observational study. BMC Cancer 2013, 13, 548. [Google Scholar] [CrossRef] [Green Version]
- Height, R.; Khoo, V.; Lawford, C.; Cox, J.; Joon, D.L.; Rolfo, A.; Wada, M. The dosimetric consequences of anatomic changes in head and neck radiotherapy patients. J. Med. Imaging Radiat. Oncol. 2010, 54, 497–504. [Google Scholar] [CrossRef]
- Wang, W.; Yang, H.; Hu, W.; Shan, G.; Ding, W.; Yu, C.; Wang, B.; Wang, X.; Xu, Q. Clinical study of the necessity of replanning before the 25th fraction during the course of intensity-modulated radiotherapy for patients with nasopharyngeal carcinoma. Int. J. Radiat. Oncol. 2010, 77, 617–621. [Google Scholar] [CrossRef]
- Chen, S.; Le, Q.; Mutaf, Y.; Lu, W.; Nichols, E.M.; Yi, B.Y.; Leven, T.; Prado, K.L.; D’Souza, W.D. Feasibility of CBCT-based dose with a patient-specific stepwise HU-to-density curve to determine time of replanning. J. Appl. Clin. Med. Phys. 2017, 18, 64–69. [Google Scholar] [CrossRef] [Green Version]
- Zhang, P.; Simon, A.; Rigaud, B.; Castelli, J.; Arango, J.D.O.; Nassef, M.; Henry, O.; Zhu, J.; Haigron, P.; Li, B.; et al. Optimal adaptive IMRT strategy to spare the parotid glands in oropharyngeal cancer. Radiother. Oncol. 2016, 120, 41–47. [Google Scholar] [CrossRef] [Green Version]
- Van Kranen, S.; Hamming-Vrieze, O.; Wolf, A.; Damen, E.; van Herk, M.; Sonke, J.J. Head and Neck Margin Reduction with Adaptive Radiation Therapy: Robustness of Treatment Plans Against Anatomy Changes. Int. J. Radiat. Oncol. 2016, 96, 653–660. [Google Scholar] [CrossRef]
- Chen, C.; Fei, Z.; Chen, L.; Bai, P.; Lin, X.; Pan, J. Will weight loss cause significant dosimetric changes of target volumes and organs at risk in nasopharyngeal carcinoma treated with intensity-modulated radiation therapy? Med. Dosim. 2014, 39, 34–37. [Google Scholar] [CrossRef]
- Salama, J.K.; Haddad, R.I.; Kies, M.S.; Busse, P.M.; Dong, L.; Brizel, D.; Eisbruch, A.; Tishler, R.B.; Trotti, A.M.; Garden, A.S. Clinical practice guidance for radiotherapy planning after induction chemotherapy in locoregionally advanced head-and-neck cancer. Int. J. Radiat. Oncol. 2009, 75, 725–733. [Google Scholar] [CrossRef]
- Figen, M.; Çolpan Öksüz, D.; Duman, E.; Prestwich, R.; Dyker, K.; Cardale, K.; Ramasamy, S.; Murray, P.; Şen, M. Radiotherapy for Head and Neck Cancer: Evaluation of Triggered Adaptive Replanning in Routine Practice. Front. Oncol. 2020, 10, 579917. [Google Scholar] [CrossRef]
- Salama, J.K.; Haddad, R.I.; Kies, M.S.; Busse, P.M.; Dong, L.; Brizel, D.; Eisbruch, A.; Tishler, R.B.; Trotti, A.M.; Garden, A.S. A modified VMAT adaptive radiotherapy for nasopharyngeal cancer patients based on CT-CT image fusion. Radiat. Oncol. 2013, 8, 277. [Google Scholar] [CrossRef] [Green Version]
- Zhao, L.; Wan, Q.; Zhou, Y.; Deng, X.; Xie, C.; Wu, S. The role of replanning in fractionated intensity modulated radiotherapy for nasopharyngeal carcinoma. Radiother Oncol. 2011, 98, 23–27. [Google Scholar] [CrossRef]
- Osorio, E.M.V.; Hoogeman, M.S.; Al-Mamgani, A.; Teguh, D.N.; Levendag, P.C.; Heijmen, B.J. Local anatomical changes in parotid and submandibular glands during radiotherapy for oropharynx cancer and correction with dose, studied in detail with non-rigid registration. Int. J. Radiat. Oncol. 2008, 70, 875–882. [Google Scholar] [CrossRef]
- Han, C.; Chen, Y.-J.; Liu, A.; Schultheiss, T.E.; Wong, J.Y.C. Actual dose variation of parotid glands and spinal cord for nasopharyngeal cancer patients during radiotherapy. Int. J. Radiat. Oncol. 2008, 70, 1256–1262. [Google Scholar] [CrossRef]
- Fung, W.W.; Wu, V.W.; Teo, P.M. Developing an adaptive radiation therapy strategy for nasopharyngeal carcinoma. J. Radiat. Res. 2014, 55, 293–304. [Google Scholar] [CrossRef]
- Belshaw, L.; Agnew, C.E.; Irvine, D.M.; Rooney, K.P.; McGarry, C.K. Adaptive radiotherapy for head and neck cancer reduces the requirement for rescans during treatment due to spinal cord dose. Radiat. Oncol. 2019, 14, 189. [Google Scholar] [CrossRef]
- McCulloch, M.M.; Lee, C.; Rosen, B.S.; Kamp, J.D.; Lockhart, C.M.; Lee, J.Y.; Polan, D.F.; Hawkins, P.G.; Anderson, C.J.; Heukelom, J.; et al. Predictive Models to Determine Clinically Relevant Deviations in Delivered Dose for Head and Neck Cancer. Pract. Radiat. Oncol. 2019, 9, e422–e431. [Google Scholar] [CrossRef] [PubMed]
- Grau, C.; Defourny, N.; Malicki, J.; Dunscombe, P.; Borras, J.M.; Coffey, M.; Slotman, B.; Bogusz, M.; Gasparotto, C.; Lievens, Y.; et al. Radiotherapy departments and equipment in the European countries: Final results from the ESTRO-HERO survey. Radiother. Oncol. 2014, 112, 155–164. [Google Scholar] [CrossRef] [PubMed] [Green Version]

| Patient Characteristics and Treatment Details | |||
|---|---|---|---|
| Characteristic | Value (Range) | (%) | |
| Age | 59 years (23–83) | ||
| Sex | |||
| F | 17 | 21% | |
| M | 65 | 79% | |
| Diagnosis | |||
| OPC | 37 | 45% | |
| OCC | 16 | 20% | |
| L | 12 | 15% | |
| MS | 7 | 9% | |
| HPC | 4 | 5% | |
| NPC | 3 | 4% | |
| CUP | 2 | 2% | |
| NCC | 1 | 1% | |
| Stage (TNM) | |||
| T1 | 8 | 10% | |
| T2 | 7 | 9% | |
| T3 | 16 | 20% | |
| T4 | 51 | 62% | |
| N0 | 11 | 13% | |
| N1 | 17 | 21% | |
| N2 | 50 | 61% | |
| N3 | 4 | 5% | |
| Radiotherapy (RT) scheme | |||
| RT (alone) | 19 | 23% | |
| PORT | 26 | 32% | |
| CRT | 63 | 77% | |
| Structure | Alert | Assessment | Criteria |
|---|---|---|---|
| Parotid Glands | The difference between the iCT and the CBCT/MVCT at any point of the external contour | Superficial part of PG (the area near masseter muscle) | >3 mm on 3–4 consecutive scans |
| PG shrinkage | Deep part of the PG lobe | ||
| PG shift medially in the high-risk region | Medial pterygoid muscle | ||
| CTV 1 (Tumor) | The difference between the iCT and the CBCT/MVCT in any direction | CTV1 contour and position changes | >3 mm on 3–4 consecutive scans |
| CTV1 overlaps OARs (muscles, PG, bones, air cavities) | |||
| CTV 2 (Nodal region) | The difference between the iCT and the CBCT/MVCT, especially in the nodal levels II–IV | CTV2 contour and position changes | >3 mm on 3–4 consecutive scans |
| CTV2 overlaps OARs (muscles, PG, bones, air cavities) | |||
| PTV | The difference between the iCT and the CBCT/MVCT at any point of the external contour (PTV outside the body) | PTV contour and position changes | >3 mm on 3–4 consecutive scans |
| Body contour/weight changes |
| PTV | Parotid Glands | Weight Loss | Setup Deviations | ||||||
|---|---|---|---|---|---|---|---|---|---|
| (Outside the Body) | |||||||||
| N/% of Total | |||||||||
| No | 12 | 14.6 % | 13 | 15.9 % | 13 | 15.9 % | 42 | 51.2 % | |
| Yes | 70 | 85.4 % | 69 | 84.1 % | 69 | 84.1 % | 40 | 48.8 % | |
| PTV | Parotid Glands | Weight Loss | Setup deviation | ||||||
| Diagnosis | N (%) | Yes | No | Yes | No | Yes | No | Yes | No |
| CUP | 2 (2%) | 2 (100%) | _ | 2 (100%) | _ | 2 (100%) | _ | 1 (50%) | 1 (50%) |
| HPC | 4 (5%) | 4 (100%) | _ | 3 (75%) | 1 (25%) | 4 (100%) | _ | 2 (50%) | 2 (50%) |
| L | 12 (15%) | 9 (75%) | 3 (25%) | 9 (75%) | 3 (25%) | 10 (83%) | 2 (17%) | 5 (42%) | 7 (58%) |
| MS | 7 (9%) | 6 (86%) | 1 (14%) | 6 (86%) | 1 (14%) | 5 (71%) | 2 (29%) | 6 (86%) | 1 (14%) |
| NCC | 1 (2%) | _ | 1 (100%) | 1 (100%) | _ | _ | 1 (100%) | 1 (100%) | _ |
| NPC | 3 (5%) | 3 (100%) | _ | 2 (67%) | 1 (33%) | 3 (100%) | _ | 2 (67%) | 1 (33%) |
| OCC | 16 (20%) | 13 (81%) | 3 (19%) | 13 (81%) | 3 (19%) | 15 (94%) | 1 (6%) | 6 (38%) | 10 (63%) |
| OPC | 37 (45%) | 33 (89%) | 4 (11%) | 33 (89%) | 4 (11%) | 30 (81%) | 7 (19%) | 17 (46%) | 20 (54%) |
| T-Stage | |||||||||
| T1 | 8 (10%) | 7 (88%) | 1 (13%) | 6 (75%) | 2 (25%) | 7 (88%) | 1 (13%) | 5 (63%) | 3 (38%) |
| T2 | 7 (9%) | 6 (86%) | 1 (14%) | 6 (86%) | 1 (14%) | 5 (71%) | 2 (29%) | 2 (29%) | 5 (71%) |
| T3 | 16 (20%) | 14 (88%) | 2 (13%) | 14 (88%) | 2 (13%) | 15 (94%) | 1 (6%) | 6 (38%) | 10 (63%) |
| T4 | 51 (62%) | 43 (84%) | 8 (16%) | 43 (84%) | 8 (16%) | 42 (82%) | 9 (18%) | 27 (53%) | 24 (47%) |
| N-Stage | |||||||||
| N0 | 11 (13%) | 8 (73%) | 3 (27%) | 10 (91%) | 1 (9%) | 9 (82%) | 2 (18%) | 5 (45%) | 6 (55%) |
| N1 | 17 (21%) | 12 (71%) | 5 (29%) | 16 (94%) | 1 (6%) | 12 (71%) | 5 (29%) | 6 (35%) | 11 (65%) |
| N2 | 50 (61%) | 47 (94%) | 3 (6%) | 39 (78%) | 11 (22%) | 45 (90%) | 5 (10%) | 26 (52%) | 24 (29%) |
| N3 | 4 (5%) | 3 (75%) | 1 (25%) | 4 (100%) | _ | 3 (75%) | 1 (25%) | 3 (75%) | 1 (25%) |
| PTV | Parotid glands | Weight Loss | Setup deviation | ||||||
| Radiotherapy | Yes | No | Yes | No | Yes | No | Yes | No | |
| No | 63 (77%) | 54 (86%) | 9 (14%) | 52 (83%) | 11 (17%) | 52 (83%) | 11 (17%) | 32 (51%) | 31 (49%) |
| Yes | 19 (23%) | 16 (84%) | 3 (16%) | 17 (89%) | 2 (11%) | 17 (89%) | 2 (11%) | 8 (42%) | 11 (58%) |
| Radiochemotherapy | |||||||||
| No | 19 (23%) | 16 (84%) | 3 (16%) | 17 (89%) | 2 (11%) | 17 (89%) | 2 (11%) | 8 (42%) | 11 (58%) |
| Yes | 63 (77%) | 54 (86%) | 9 (14%) | 52 (83%) | 11 (17%) | 52 (83%) | 11 (17%) | 32 (51%) | 31 (49%) |
| Postoperative radiotherapy | |||||||||
| No | 53 (65%) | 49 (92%) | 4 (8%) | 48 (91%) | 8 (15%) | 47 (89%) | 9 (17%) | 26 (49%) | 30 (57%) |
| Yes | 26 (32%) | 21 (81%) | 5 (19%) | 21 (81%) | 5 (19%) | 22 (85%) | 4 (15%) | 14 (54%) | 12 (46%) |
| Anatomy Structure | iCT Only (Range) | SD | rCT Replan (Range) | SD | p-Value * | |
|---|---|---|---|---|---|---|
| CTV1 | iCTV1 | rCTV1 | <0.001 | |||
| Mean | 150.5 cc | 90.9 | 138.8 cc | 82.6 | ||
| Median (range) | 136.9 (6.8–494.8) cc | 124.9 (6.7–449) cc | ||||
| Mean CTV1 volume regression ΔV | −11.67 cc (5.3%) | 18.6 | ||||
| CTV2 | iCTV2 | rCTV2 | <0.001 | |||
| Mean | 88.1 cc | 12.9 | 80.4 cc | 15.5 | ||
| Median (range) | 59.25 (10.8–403.9) cc | 54.20 (9–379.9) cc | ||||
| Mean CTV2 volume regression ΔV | −7.73 cc (8.4%) | 12.9 | ||||
| GTV | iGTV | rGTV | <0.001 | |||
| Mean | 55.1 cc | 45.4 | 49.6 cc | 42.7 | ||
| Median (range) | 39.20 (2.6–192.2) cc | 36.50 (1.2–177.2) cc | ||||
| Mean percentage GTV volume regression | −5.26 cc (9.5%) | 7.05 | ||||
| Parotid gland [Right] | iPG [R] | rPG [R] | <0.001 | |||
| Mean | 24.7 cc | 8.7 | 18.4 cc | 6.1 | ||
| Median (range) | 24.6 (5.3–50.4) cc | 17.8 (3.4–35.6) cc | ||||
| Mean percentage PG[R] volume regression | −6.31 cc (20.9%) | 6.3 | ||||
| Parotid gland [Left] | iPG [L] | rPG [L] | <0.001 | |||
| Mean | 23.9 cc | 8.9 | 17.9 cc | 4.1 | ||
| Median (range) | 22.6 (7.2–42.5) cc | 16.8 (4.1–34.5) cc | ||||
| Mean percentage PG[L] volume regression | −5.98 cc (20.5%) | 6.3 | ||||
| Diagnosis | N | Mean | Median | SD | Range | ||
|---|---|---|---|---|---|---|---|
| Parotid gland—iPG [Right] | OPC | 37 | 24.9 cc | 25.6 cc | 8.3 | 5.3 | 39.6 |
| OCC | 16 | 25.8 cc | 24.5 cc | 9.2 | 9.8 | 50.4 | |
| Other | 29 | 23.8 cc | 22.5 cc | 9.3 | 9.4 | 48.9 | |
| Parotid gland—rPG [Right] | OPC | 37 | 17 cc | 16.9 cc | 5.3 | 3.4 | 31.2 |
| OCC | 16 | 19.2 cc | 17.6 cc | 7.1 | 9.5 | 35.6 | |
| Other | 29 | 19.6 cc | 19.5 cc | 6.4 | 9.9 | 33.5 | |
| Parotid gland [Right] Mean difference | OPC | 37 | −7.2 cc | −7.4 cc | 7.2 | −23.7 | 14.8 |
| OCC | 16 | −5.2 cc | −6.7 cc | 6.1 | −15 | 6.9 | |
| Other | 29 | −4.2 cc | −3.3 cc | 5.1 | −18.1 | 5.7 | |
| Parotid gland [Right] Percentage difference | OPC | 37 | −27% | −31% | 22.1 | −77% | 45% |
| OCC | 16 | −19% | −24% | 20.9 | −48% | 28% | |
| Other | 29 | −14% | −18% | 20.1 | −48% | 45% | |
| Parotid gland [Left]—iPG | OPC | 37 | 23.7 cc | 22.8 cc | 8.4 | 7.2 | 42.5 |
| OCC | 16 | 24.0 cc | 21.8 cc | 8.3 | 13.1 | 39.8 | |
| Other | 29 | 24.2 cc | 22.2 cc | 10.1 | 8.5 | 42.2 | |
| Parotid gland [Left]—rPG | OPC | 37 | 16.6 cc | 15.7 cc | 6.0 | 4.1 | 31.2 |
| OCC | 16 | 19.6 cc | 18.8 cc | 6.5 | 10.4 | 32.4 | |
| Other | 29 | 18.8 cc | 17.3 cc | 7.3 | 6.3 | 34.5 | |
| Parotid gland [Left] Mean difference | OPC | 37 | −6.0 cc | −6.0 cc | 7.0 | −27.7 | 17.2 |
| OCC | 16 | −4.1 cc | −3.4 cc | 5.0 | −13.1 | 3.6 | |
| Other | 29 | −5.4 cc | −5.1 cc | 6.1 | −16.3 | 3.9 | |
| Parotid gland [Left] Percentage difference | OPC | 37 | −25% | −25% | 21.7 | −72% | 48% |
| OCC | 16 | −15% | −16% | 18.5 | −44% | 17% | |
| Other | 29 | −18% | −19% | 24.8 | −55% | 31% | |
| PG [Right] | PG [Left] | PG [Right] | PG [Left] | |||||||||||||
|---|---|---|---|---|---|---|---|---|---|---|---|---|---|---|---|---|
| Diagnosis | All Group of Patient | OPC | OCC | Other | OPC | OCC | Other | |||||||||
| N | % | N | % | N | % | N | % | N | % | N | % | N | % | N | % | |
| Increase volume | 9 | 11% | 13 | 15.9% | 3 | 8% | 2 | 13% | 4 | 14% | 6 | 21% | 3 | 19% | 4 | 11% |
| Volume reduction ≤5% | 5 | 6.1% | 6 | 7.3% | 1 | 3% | 2 | 13% | 2 | 7% | 2 | 7% | 2 | 13% | 2 | 5% |
| Volume reduction [5–10%] | 8 | 9.8% | 3 | 3.7% | 3 | 8% | _ | _ | 5 | 17% | 2 | 7% | _ | _ | 1 | 3% |
| Volume reduction [10–20%] | 14 | 17.1% | 15 | 18.3% | 4 | 11% | 3 | 19% | 7 | 24% | 6 | 21% | 4 | 25% | 5 | 14% |
| Volume reduction [20–30%] | 16 | 19.5% | 17 | 20.7% | 7 | 19% | 3 | 19% | 6 | 21% | 3 | 10% | 4 | 25% | 10 | 27% |
| Volume reduction ≥30% | 30 | 36.6% | 28 | 34.1% | 19 | 51% | 6 | 38% | 5 | 17% | 10 | 35% | 3 | 19% | 15 | 41% |
Publisher’s Note: MDPI stays neutral with regard to jurisdictional claims in published maps and institutional affiliations. |
© 2022 by the authors. Licensee MDPI, Basel, Switzerland. This article is an open access article distributed under the terms and conditions of the Creative Commons Attribution (CC BY) license (https://creativecommons.org/licenses/by/4.0/).
Share and Cite
Bak, B.; Skrobala, A.; Adamska, A.; Kazmierska, J.; Jozefacka, N.; Piotrowski, T.; Malicki, J. Criteria for Verification and Replanning Based on the Adaptive Radiotherapy Protocol “Best for Adaptive Radiotherapy” in Head and Neck Cancer. Life 2022, 12, 722. https://doi.org/10.3390/life12050722
Bak B, Skrobala A, Adamska A, Kazmierska J, Jozefacka N, Piotrowski T, Malicki J. Criteria for Verification and Replanning Based on the Adaptive Radiotherapy Protocol “Best for Adaptive Radiotherapy” in Head and Neck Cancer. Life. 2022; 12(5):722. https://doi.org/10.3390/life12050722
Chicago/Turabian StyleBak, Bartosz, Agnieszka Skrobala, Anna Adamska, Joanna Kazmierska, Natalia Jozefacka, Tomasz Piotrowski, and Julian Malicki. 2022. "Criteria for Verification and Replanning Based on the Adaptive Radiotherapy Protocol “Best for Adaptive Radiotherapy” in Head and Neck Cancer" Life 12, no. 5: 722. https://doi.org/10.3390/life12050722
APA StyleBak, B., Skrobala, A., Adamska, A., Kazmierska, J., Jozefacka, N., Piotrowski, T., & Malicki, J. (2022). Criteria for Verification and Replanning Based on the Adaptive Radiotherapy Protocol “Best for Adaptive Radiotherapy” in Head and Neck Cancer. Life, 12(5), 722. https://doi.org/10.3390/life12050722

