A Potential Role and Contribution of Androgens in Placental Development and Pregnancy
Abstract
1. Androgens and Pregnancy
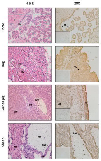
2. AR Localization in the Mammalian Placentas
3. Androgen Signaling: Genomic and Non-Genomic Signaling Pathways
4. Androgen Signaling in Placenta and during Pregnancy
5. Conclusions
Author Contributions
Funding
Institutional Review Board Statement
Informed Consent Statement
Acknowledgments
Conflicts of Interest
References
- Siiteri, P.K.; Febres, F.; Clemens, L.E.; Chang, R.J.; Gondos, B.; Stites, D. Progesterone and Maintenance of Pregnancy: Is Progesterone Nature’s Immunosuppressant? Ann. N. Y. Acad. Sci. 1977, 286, 384–397. [Google Scholar] [CrossRef]
- Albrecht, E.D.; Pepe, G.J. Estrogen regulation of placental angiogenesis and fetal ovarian development during primate pregnancy. Int. J. Dev. Biol. 2010, 54, 397–408. [Google Scholar] [CrossRef] [PubMed]
- Lebbe, M.; Woodruff, T.K. Involvement of androgens in ovarian health and disease. Mol. Hum. Reprod. 2013, 19, 828–837. [Google Scholar] [CrossRef]
- Labrie, F. DHEA, Important Source of Sex Steroids in Men and Even More in Women. Chang. Prog. Brain Res. 2010, 182, 97–148. [Google Scholar] [CrossRef] [PubMed]
- Buster, J.E.; Chang, R.J.; Preston, D.L.; Elashoff, R.M.; Cousins, L.M.; Abraham, G.E.; Hobel, C.J.; Marshall, J.R. Interrelationships of circulating maternal steroid concentrations in third trimester pregnancies. II. C18 and C19 steroids: Estradiol, estriol, dehydroepiandrosterone, dehydroepiandrosterone sulfate, delta 5-androstenediol, delta 4-androstenedione, testosterone, and dihydrotestosterone. J. Clin. Endocrinol. Metab. 1979, 48, 139–142. [Google Scholar] [CrossRef]
- Parsons Aubone, A.P.; Evans, R.; Bouma, G.J. Androgen Signaling in the Placenta. In Reproductive Hormones; Marsh, C., Ed.; InTech Open: London, UK, 2021; Chapter 4. [Google Scholar]
- Gaiani, R.; Chiesa, F.; Mattioli, M.; Nannetti, G.; Galeati, G. Androstenedione and testosterone concentrations in plasma and milk of the cow throughout pregnancy. Reproduction 1984, 70, 55–59. [Google Scholar] [CrossRef] [PubMed]
- Carnevale, E.; Ginther, O. Relationships of age to uterine function and reproductive efficiency in mares. Theriogenology 1992, 37, 1101–1115. [Google Scholar] [CrossRef]
- Hord, T.K.; Aubone, A.M.P.; Ali, A.; Templeton, H.N.; Evans, R.; Bruemmer, J.E.; Winger, Q.A.; Bouma, G.J. Placenta specific gene targeting to study histone lysine demethylase and androgen signaling in ruminant placenta. Anim. Reprod. 2020, 17. [Google Scholar] [CrossRef]
- Dawood, M.; Saxena, B.B. Testosterone and dihydrotestosterone in maternal and cord blood and in amniotic fluid. Am. J. Obstet. Gynecol. 1977, 129, 37–42. [Google Scholar] [CrossRef]
- Escobar, J.C.; Patel, S.S.; Beshay, V.E.; Suzuki, T.; Carr, B.R. The Human Placenta Expresses CYP17 and Generates Androgens De Novo. J. Clin. Endocrinol. Metab. 2011, 96, 1385–1392. [Google Scholar] [CrossRef]
- Palomba, S.; De Wilde, M.A.; Falbo, A.; Koster, M.P.; La Sala, G.B.; Fauser, B.C. Pregnancy complications in women with polycystic ovary syndrome. Hum. Reprod. Updat. 2015, 21, 575–592. [Google Scholar] [CrossRef]
- Kumar, S.; Gordon, G.H.; Abbott, D.H.; Mishra, J. Androgens in maternal vascular and placental function: Implications for preeclampsia pathogenesis. Reproduction 2018, 156, R155–R167. [Google Scholar] [CrossRef] [PubMed]
- McWhorter, E.S.; Russ, J.E.; Winger, Q.A.; Bouma, G.J. Androgen and estrogen receptors in placental physiology and dysfunction. Front. Biol. 2018, 13, 315–326. [Google Scholar] [CrossRef]
- Chavatte-Palmer, P.; Tarrade, A. Placentation in different mammalian species. Ann. d’Endocrinologie 2016, 77, 67–74. [Google Scholar] [CrossRef] [PubMed]
- McCormick, P.D.; Razel, A.J.; Spelsberg, T.C.; Coulam, C.B. Evidence for an androgen receptor in the human placenta. Am. J. Obstet. Gynecol. 1981, 140, 8–13. [Google Scholar] [CrossRef]
- Hsu, T.-Y.; Lan, K.-C.; Tsai, C.-C.; Ou, C.-Y.; Cheng, B.-H.; Tsai, M.-Y.; Kang, H.-Y.; Tung, Y.-H.; Wong, Y.-H.; Huang, K.-E. Expression of Androgen Receptor in Human Placentas from Normal and Preeclamptic Pregnancies. Taiwan. J. Obstet. Gynecol. 2009, 48, 262–267. [Google Scholar] [CrossRef]
- Meakin, A.S.; Morrison, J.L.; Bradshaw, E.L.; Holman, S.L.; Saif, Z.; Gatford, K.L.; Wallace, M.J.; Bischof, R.J.; Moss, T.J.; Clifton, V.L. Identification of placental androgen receptor isoforms in a sheep model of maternal allergic asthma. Placenta 2021, 104, 232–235. [Google Scholar] [CrossRef]
- Meakin, A.S.; Saif, Z.; Tuck, A.R.; Clifton, V.L. Human placental androgen receptor variants: Potential regulators of male fetal growth. Placenta 2019, 80, 18–26. [Google Scholar] [CrossRef]
- Meakin, A.; Clifton, V. Review: Understanding the role of androgens and placental AR variants: Insight into steroid-dependent fetal-placental growth and development. Placenta 2019, 84, 63–68. [Google Scholar] [CrossRef]
- Seo, H.; Bazer, F.W.; Burghardt, R.C.; Johnson, G.A. Immunohistochemical Examination of Trophoblast Syncytialization during Early Placentation in Sheep. Int. J. Mol. Sci. 2019, 20, 4530. [Google Scholar] [CrossRef] [PubMed]
- Cleys, E.R.; Halleran, J.L.; Enriquez, V.A.; Da Silveira, J.; West, R.C.; Winger, Q.A.; Anthony, R.V.; Bruemmer, J.E.; Clay, C.M.; Bouma, G.J. Androgen Receptor and Histone Lysine Demethylases in Ovine Placenta. PLoS ONE 2015, 10, e0117472. [Google Scholar] [CrossRef] [PubMed][Green Version]
- Khatri, P.; Hoffmann, B.; Schuler, G. Androgen receptor is widely expressed in bovine placentomes and up-regulated during differentiation of bovine trophoblast giant cells. Placenta 2013, 34, 416–423. [Google Scholar] [CrossRef] [PubMed]
- Allen, W.R.; Stewart, F. Equine placentation. Reprod. Fertil. Dev. 2001, 13, 623–634. [Google Scholar] [CrossRef] [PubMed]
- Aralla, M.; Groppetti, D.; Caldarini, L.; Cremonesi, F.; Arrighi, S. Morphological evaluation of the placenta and fetal membranes during canine pregnancy from early implantation to term. Res. Veter Sci. 2013, 95, 15–22. [Google Scholar] [CrossRef] [PubMed]
- Kaufmann, P.; Davidoff, M. The Guinea-Pig Placenta. Guin. Pig Placenta 1977, 53, 5–91. [Google Scholar] [CrossRef]
- Davey, R.A.; Grossmann, M. Androgen Receptor Structure, Function and Biology: From Bench to Bedside. Clin. Biochem. Rev. 2016, 37, 3–15. [Google Scholar]
- Lu, C.; Brown, L.C.; Antonarakis, E.S.; Armstrong, A.J.; Luo, J. Androgen receptor variant-driven prostate cancer II: Advances in laboratory investigations. Prostate Cancer Prostatic Dis. 2020, 23, 381–397. [Google Scholar] [CrossRef]
- Cutress, M.L.; Whitaker, H.C.; Mills, I.G.; Stewart, M.; Neal, D. Structural basis for the nuclear import of the human androgen receptor. J. Cell Sci. 2008, 121, 957–968. [Google Scholar] [CrossRef]
- Chan, S.C.; Li, Y.; Dehm, S.M. Androgen Receptor Splice Variants Activate Androgen Receptor Target Genes and Support Aberrant Prostate Cancer Cell Growth Independent of Canonical Androgen Receptor Nuclear Localization Signal. J. Biol. Chem. 2012, 287, 19736–19749. [Google Scholar] [CrossRef]
- Chen, H.C.; Farese, R.V. Steroid hormones: Interactions with membrane-bound receptors. Curr. Biol. 1999, 9, R478–R481. [Google Scholar] [CrossRef]
- Thomas, P.; Converse, A.; Berg, H. ZIP9, a novel membrane androgen receptor and zinc transporter protein. Gen. Comp. Endocrinol. 2018, 257, 130–136. [Google Scholar] [CrossRef]
- Thomas, P. Membrane Androgen Receptors Unrelated to Nuclear Steroid Receptors. Endocrinology 2019, 160, 772–781. [Google Scholar] [CrossRef]
- Pi, M.; Nishimoto, S.K.; Quarles, L.D. GPRC6A: Jack of all metabolism (or master of none). Mol. Metab. 2017, 6, 185–193. [Google Scholar] [CrossRef]
- Oury, F.; Sumara, G.; Sumara, O.; Ferron, M.; Chang, H.; Smith, C.E.; Hermo, L.; Suarez, S.; Roth, B.L.; Ducy, P.; et al. Endocrine Regulation of Male Fertility by the Skeleton. Cell 2011, 144, 796–809. [Google Scholar] [CrossRef] [PubMed]
- Zhu, M.-L.; Kyprianou, N. Androgen receptor and growth factor signaling cross-talk in prostate cancer cells. Endocr. Relat. Cancer 2008, 15, 841–849. [Google Scholar] [CrossRef]
- Diao, H.-L.; Su, R.-W.; Tan, H.-N.; Li, S.-J.; Lei, W.; Deng, W.-B.; Yang, Z.-M. Effects of androgen on embryo implantation in the mouse delayed-implantation model. Fertil. Steril. 2008, 90, 1376–1383. [Google Scholar] [CrossRef]
- Rutland, C.S.; Mukhopadhyay, M.; Underwood, S.; Clyde, N.; Mayhew, T.M.; Mitchell, C.A. Induction of Intrauterine Growth Restriction by Reducing Placental Vascular Growth with the Angioinhibin TNP-470. Biol. Reprod. 2005, 73, 1164–1173. [Google Scholar] [CrossRef] [PubMed][Green Version]
- Rutland, C.S.; Atkinson, S.D.; Mukhopadhyay, M.; Jiang, K.; Soff, G.A.; Mayhew, T.M.; Mitchell, C.A. Thrombophilic-Type Placental Pathologies and Skeletal Growth Delay Following Maternal Administration of Angiostatin4.5 in Mice. Biol. Reprod. 2011, 84, 505–513. [Google Scholar] [CrossRef] [PubMed][Green Version]
- Marshall, E.; Lowrey, J.; MacPherson, S.; Maybin, J.A.; Collins, F.; Critchley, H.O.D.; Saunders, P.T.K. In SilicoAnalysis Identifies a Novel Role for Androgens in the Regulation of Human Endometrial Apoptosis. J. Clin. Endocrinol. Metab. 2011, 96, E1746–E1755. [Google Scholar] [CrossRef]
- Narukawa, S.; Kanzaki, H.; Inoue, T.; Imai, K.; Higuchi, T.; Hatayama, H.; Kariya, M.; Mori, T. Androgens induce prolactin production by human endometrial stromal cells in vitro. J. Clin. Endocrinol. Metab. 1994, 78, 165–168. [Google Scholar] [CrossRef] [PubMed]



Publisher’s Note: MDPI stays neutral with regard to jurisdictional claims in published maps and institutional affiliations. |
© 2021 by the authors. Licensee MDPI, Basel, Switzerland. This article is an open access article distributed under the terms and conditions of the Creative Commons Attribution (CC BY) license (https://creativecommons.org/licenses/by/4.0/).
Share and Cite
Parsons, A.M.; Bouma, G.J. A Potential Role and Contribution of Androgens in Placental Development and Pregnancy. Life 2021, 11, 644. https://doi.org/10.3390/life11070644
Parsons AM, Bouma GJ. A Potential Role and Contribution of Androgens in Placental Development and Pregnancy. Life. 2021; 11(7):644. https://doi.org/10.3390/life11070644
Chicago/Turabian StyleParsons, Agata M., and Gerrit J. Bouma. 2021. "A Potential Role and Contribution of Androgens in Placental Development and Pregnancy" Life 11, no. 7: 644. https://doi.org/10.3390/life11070644
APA StyleParsons, A. M., & Bouma, G. J. (2021). A Potential Role and Contribution of Androgens in Placental Development and Pregnancy. Life, 11(7), 644. https://doi.org/10.3390/life11070644

