Vector Field Convolution-Based B-Spline Deformation Model for 3D Segmentation of Cartilage in MRI
Abstract
1. Introduction
2. Methods
2.1. Image Preprocessing
2.2. Rough Segmentation of Cartilage
2.2.1. Cartilage Enhancement
- The eigenvalue with the largest absolute value and the corresponding eigenvector represent the intensity and direction of the largest curvature at , respectively.
- The eigenvalue with the smallest absolute value and the corresponding eigenvector represent the intensity and direction of the smallest curvature at , respectively.
2.2.2. Image Binarization
2.3. Cartilage Refinement Based on B-Spline Deformation Model
2.3.1. External Force Field of B-Spline Deformation Model
2.3.2. The Definition of B-Spline Surface Representation
2.3.3. Deformation Process of B-Spline Deformation Model
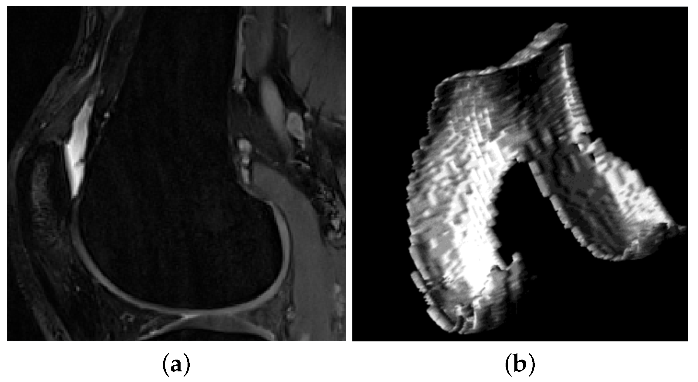
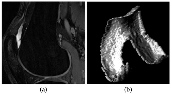
3. Experimental Results and Analysis
3.1. Image Data and Parameters
3.2. Comparison of Different Surface Models
3.3. Comparison of Different Methods
4. Discussion and Conclusions
Author Contributions
Funding
Conflicts of Interest
Abbreviations
| VFC | vector field convolution |
| OA | osteoarthritis |
| GVF | gradient vector flow |
| BCI | bone-cartilage-interface |
References
- Aprovitola, A.; Gallo, L. Knee bone segmentation from MRI: A classification and literature review. Biocybern. Biomed. Eng. 2016, 36, 437–449. [Google Scholar] [CrossRef]
- Shan, L.; Zach, C.; Charles, C.; Niethammer, M. Automatic atlas-based three-label cartilage segmentation from MR knee images. Med. Image Anal. 2014, 18, 1233–1246. [Google Scholar] [CrossRef] [PubMed]
- Pham, D.L.; Xu, C.; Prince, J.L. Current Methods in Medical Image Segmentation. Ann. Rev. Biomed. Eng. 2000, 2, 315–337. [Google Scholar] [CrossRef] [PubMed]
- Hardy, P.A.; Nammalwar, P.; Kuo, S. Measuring the thickness of articular cartilage from MR images. J. Magn. Resonan. Imaging 2001, 13, 120–126. [Google Scholar] [CrossRef]
- Pakin, S.K.; Tamez-Pena, J.G.; Totterman, S.; Parker, K.J. Segmentation, Surface Extraction, and Thickness Computation Of Articular Cartilage; Medical Imaging 2002: Image Processing; International Society for Optics and Photonics: Bellingham, WA, USA, 2002; Volume 4684, pp. 155–167. [Google Scholar]
- Mahmood, N.; Shah, A.; Waqas, A.; Abubakar, A.; Kamran, S.; Zaidi, S.B. Image segmentation methods and edge detection: An application to knee joint articular cartilage edge detection. J. Theor. Appl. Inf. Technol. 2015, 71, 87–96. [Google Scholar]
- Jaremko, J.; Cheng, R.; Lambert, R.; Habib, A.; Ronsky, J. Reliability of an efficient MRI-based method for estimation of knee cartilage volume using surface registration. Osteoarthr. Cartil. 2006, 14, 914–922. [Google Scholar] [CrossRef] [PubMed]
- Carballido-Gamio, J.; Bauer, J.S.; Stahl, R.; Lee, K.Y.; Krause, S.; Link, T.M.; Majumdar, S. Inter-subject comparison of MRI knee cartilage thickness. Med. Image Anal. 2008, 12, 120–135. [Google Scholar] [CrossRef] [PubMed]
- Ghosh, S.; Beuf, O.; Ries, M.; Lane, N.E.; Steinbach, L.S.; Link, T.M.; Majumdar, S. Watershed segmentation of high resolution magnetic resonance images of articular cartilage of the knee. In Proceedings of the 22nd Annual International Conference of the IEEE Engineering in Medicine and Biology Society (Cat. No. 00CH37143), Chicago, IL, USA, 23–28 July 2000; Volume 4, pp. 3174–3176. [Google Scholar]
- Grau, V.; Mewes, A.U.J.; Alcani, M.; Kikinis, R.; Warfield, S.K. Improved watershed transform for medical image segmentation using prior information. IEEE Trans. Med. Imaging 2004, 23, 447–458. [Google Scholar] [CrossRef] [PubMed]
- Folkesson, J.; Dam, E.B.; Olsen, O.F.; Pettersen, P.C.; Christiansen, C. Segmenting articular cartilage automatically using a voxel classification approach. IEEE Trans. Med. Imaging 2007, 26, 106–115. [Google Scholar] [CrossRef] [PubMed]
- Heimann, T.; Meinzer, H.P. Statistical shape models for 3D medical image segmentation: A review. Med. Image Anal. 2009, 13, 543–563. [Google Scholar] [CrossRef] [PubMed]
- Iglesias, J.E.; Sabuncu, M.R. Multi-atlas segmentation of biomedical images: A survey. Med. Image Anal. 2015, 24, 205–219. [Google Scholar] [CrossRef] [PubMed]
- McInerney, T.; Terzopoulos, D. Deformable models in Med. Image Anal.: A survey. Med. Image Anal. 1996, 1, 91–108. [Google Scholar] [CrossRef]
- Lee, J.G.; Gumus, S.; Moon, C.H.; Kwoh, C.K.; Bae, K.T. Fully automated segmentation of cartilage from the MR images of knee using a multi-atlas and local structural analysis method. Med. Phys. 2014, 41, 092303. [Google Scholar] [CrossRef] [PubMed]
- Glocker, B.; Komodakis, N.; Paragios, N.; Glaser, C.; Tziritas, G.; Navab, N. Primal/dual linear programming and statistical atlases for cartilage segmentation. In Proceedings of the Medical Image Computing and Computer-Assisted Interventation (MICCAI’2007), Brisbane, Australia, 29 October–2 November 2007; pp. 536–543. [Google Scholar]
- Solloway, S.; Hutchinson, C.E.; Waterton, J.C.; Taylor, C.J. The use of active shape models for making thickness measurements of articular cartilage from MR images. Magn. Reson. Med. 1997, 37, 943–952. [Google Scholar] [CrossRef] [PubMed]
- Cootes, T.F.; Taylor, C.J.; Cooper, D.H.; Graham, J. Active shape models-their training and application. Comput. Vis. Image Underst. 1995, 61, 38–59. [Google Scholar] [CrossRef]
- Ye, T.; Cui, X.; Kim, H. Fully automated segmentation of cartilage from magnetic resonance images using improved 3D shape context and active shape model. Osteoarthr. Cartil. 2015, 23, A301–A302. [Google Scholar] [CrossRef]
- Yin, Y.; Zhang, X.; Williams, R.; Wu, X.; Anderson, D.D.; Sonka, M. LOGISMOS—layered optimal graph image segmentation of multiple objects and surfaces: Cartilage segmentation in the knee joint. IEEE Trans. Med. Imaging 2010, 29, 2023–2037. [Google Scholar] [CrossRef] [PubMed]
- Lee, S.; Park, S.H.; Shim, H.; Yun, I.D.; Lee, S.U. Optimization of local shape and appearance probabilities for segmentation of knee cartilage in 3-D MR images. Comput. Vis. Image Underst. 2011, 115, 1710–1720. [Google Scholar] [CrossRef]
- Montagnat, J.; Delingette, H. A review of deformable surfaces: Topology, geometry and deformation. Image Vis. Comput. 2001, 19, 1023–1040. [Google Scholar] [CrossRef]
- Stammberger, T.; Eckstein, F.; Michaelis, M.; Englmeier, K.H.; Reiser, M. Interobserver reproducibility of quantitative cartilage measurements: Comparison of B-spline snakes and manual segmentation. Magn. Reson. Imaging 1999, 17, 1033–1042. [Google Scholar] [CrossRef]
- Lynch, J.A.; Zaim, S.; Zhao, J.; Stork, A.; Peterfy, C.G.; Genant, H.K. Cartilage Segmentation of 3D MRI Scans of the Osteoarthritic Knee Combining User Knowledge and Active Contours; Medical Imaging 2000: Image Processing; International Society for Optics and Photonics: Bellingham, WA, USA, 2000; Volume 3979, pp. 925–936. [Google Scholar]
- Kauffmann, C.; Gravel, P.; Godbout, B.; Gravel, A.; Beaudoin, G.; Raynauld, J.P.; Martel-Pelletier, J.; Pelletier, J.P.; de Guise, J.A. Computer-aided method for quantification of cartilage thickness and volume changes using MRI: Validation study using a synthetic model. IEEE Trans. Biomed. Eng. 2003, 50, 978–988. [Google Scholar] [CrossRef] [PubMed]
- Fripp, J.; Crozier, S.; Warfield, S.K.; Ourselin, S. Automatic segmentation and quantitative analysis of the articular cartilages from magnetic resonance images of the knee. IEEE Trans. Med. Imaging 2010, 29, 55–64. [Google Scholar] [CrossRef] [PubMed]
- Li, B.; Acton, S.T. Active Contour External Force Using Vector Field Convolution for Image Segmentation. IEEE Trans. Image Process. 2007, 16, 2096–2106. [Google Scholar] [CrossRef] [PubMed]
- Weickert, J. Anisotropic Diffusion in Image Processing; Teubner: Stuttgart, Germany, 1998; Volume 1. [Google Scholar]
- Maymon, S.; Oppenheim, A.V. Sinc interpolation of nonuniform samples. IEEE Trans. Signal Process. 2011, 59, 4745–4758. [Google Scholar] [CrossRef]
- Frangi, A.F.; Niessen, W.J.; Vincken, K.L.; Viergever, M.A. Multiscale vessel enhancement filtering. In Proceedings of the Medical Image Computing and Computer-Assisted Interventation (MICCAI’98), Cambridge, MA, USA, 11–13 October 1998; pp. 130–137. [Google Scholar]
- Liao, P.S.; Chen, T.S.; Chung, P.C. A fast algorithm for multilevel thresholding. J. Inf. Sci. Eng. 2001, 17, 713–727. [Google Scholar]
- Xu, C.; Prince, J.L. Snakes, Shapes and Gradient Vector Flow. IEEE Trans. Image Process. 1998, 7, 359–369. [Google Scholar] [PubMed]
- Chen, X. 3D Object Segmentation Using Deformable Models. Ph.D. Thesis, Nanyang Technological University, Singapore, 2007. [Google Scholar]
- Yushkevich, P.A.; Piven, J.; Cody Hazlett, H.; Gimpel Smith, R.; Ho, S.; Gee, J.C.; Gerig, G. User-Guided 3D Active Contour Segmentation of Anatomical Structures: Significantly Improved Efficiency and Reliability. Neuroimage 2006, 31, 1116–1128. [Google Scholar] [CrossRef] [PubMed]
- Crum, W.R.; Camara, O.; Hill, D. Generalized Overlap Measures for Evaluation and Validation in Medical Image Analysis. IEEE Trans. Med. Imaging 2006, 25, 1451–1461. [Google Scholar] [CrossRef] [PubMed]
- Li, C.; Huang, R.; Ding, Z.; Gatenby, C.; Metaxas, D.N.; Gore, J.C. A Level Set Method for Image Segmentation in the Presence of Intensity Inhomogeneities With Application to MRI. IEEE Trans. Image Process. 2011, 20, 2007–2016. [Google Scholar] [PubMed]







| Structure | Eigenvalues | Typical Case | ||
|---|---|---|---|---|
| Plate (Bright) | L | L | H− | Cartilage |
| Tubular (Bright) | L | H− | H− | Vessel |
| Spherical (Bright) | H− | H− | H− | Tumor |
| Methods | Cartilage | |
|---|---|---|
| Tibial | Femoral | |
| Traditional Model | 0.774 ± 0.036 | 0.743 ± 0.052 |
| Ours | 0.827 ± 0.041 | 0.792 ± 0.043 |
| Methods | 100 Slices | 150 Slices | 200 Slices | |||
|---|---|---|---|---|---|---|
| Iterations | Time (s) | Iterations | Time (s) | Iterations | Time (s) | |
| Traditional Model | 28 | 108 | 60 | 192 | 90 | 287 |
| Ours | 20 | 64 | 46 | 108 | 66 | 174 |
| Methods | Cartilage | |
|---|---|---|
| Tibial | Femoral | |
| Folkesson et al. [11] | 0.812 ± 0.054 | 0.756 ± 0.042 |
| Yin et al. [20] | 0.820 ± 0.043 | 0.761 ± 0.061 |
| Lee et al. [21] | 0.824 ± 0.038 | 0.776 ± 0.055 |
| Ours | 0.827 ± 0.041 | 0.792 ± 0.043 |
© 2018 by the authors. Licensee MDPI, Basel, Switzerland. This article is an open access article distributed under the terms and conditions of the Creative Commons Attribution (CC BY) license (http://creativecommons.org/licenses/by/4.0/).
Share and Cite
Wang, J.; Shi, C.; Cheng, Y.; Zhou, X.; Tamura, S. Vector Field Convolution-Based B-Spline Deformation Model for 3D Segmentation of Cartilage in MRI. Symmetry 2018, 10, 591. https://doi.org/10.3390/sym10110591
Wang J, Shi C, Cheng Y, Zhou X, Tamura S. Vector Field Convolution-Based B-Spline Deformation Model for 3D Segmentation of Cartilage in MRI. Symmetry. 2018; 10(11):591. https://doi.org/10.3390/sym10110591
Chicago/Turabian StyleWang, Jinke, Changfa Shi, Yuanzhi Cheng, Xiancheng Zhou, and Shinichi Tamura. 2018. "Vector Field Convolution-Based B-Spline Deformation Model for 3D Segmentation of Cartilage in MRI" Symmetry 10, no. 11: 591. https://doi.org/10.3390/sym10110591
APA StyleWang, J., Shi, C., Cheng, Y., Zhou, X., & Tamura, S. (2018). Vector Field Convolution-Based B-Spline Deformation Model for 3D Segmentation of Cartilage in MRI. Symmetry, 10(11), 591. https://doi.org/10.3390/sym10110591

