Limited Hyperoxia-Induced Proliferative Retinopathy (LHIPR) as a Model of Retinal Fibrosis, Angiogenesis, and Inflammation
Abstract
1. Introduction
2. Materials and Methods
2.1. Animals
2.2. Limited Hyperoxia-Induced Proliferative Retinopathy (LHIPR)
2.3. Histological Preparation
2.4. Retinal Morphology Analysis
2.5. Immunofluorescence
2.6. Retinal Flat-Mount Analysis
2.7. Western Blot
2.8. Optical Coherence Tomography (OCT) and Optical Coherence Tomography Angiography (OCTA)
2.9. Statistics
3. Results
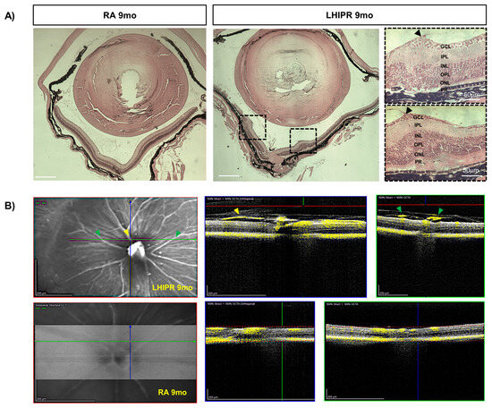
3.1. Retinal Morphology in LHIPR Model
3.2. Delayed Retinal Vascular Development in LHIPR Model
3.3. Preretinal and Retinal Fibrosis Progression in LHIPR Model
3.4. Fibrosis and Abnormal Angiogenesis Progressively Increase at the Later Time Points
3.5. Retinal Inflammation in LHIPR Model
4. Discussion
5. Conclusions
Author Contributions
Funding
Institutional Review Board Statement
Informed Consent Statement
Data Availability Statement
Conflicts of Interest
References
- Fruttiger, M. Development of the retinal vasculature. Angiogenesis 2007, 10, 77–88. [Google Scholar] [CrossRef] [PubMed]
- Hartnett, M.E. Pathophysiology and mechanisms of severe retinopathy of prematurity. Ophthalmology 2015, 122, 200–210. [Google Scholar] [CrossRef] [PubMed]
- Antonetti, D.A.; Silva, P.S.; Stitt, A.W. Current understanding of the molecular and cellular pathology of diabetic retinopathy. Nat. Rev. Endocrinol. 2021, 17, 195–206. [Google Scholar] [CrossRef] [PubMed]
- Mutlu, F.M.; Sarici, S.U. Treatment of retinopathy of prematurity: A review of conventional and promising new therapeutic options. Int. J. Ophthalmol. 2013, 6, 228–236. [Google Scholar] [CrossRef][Green Version]
- Simo, R.; Sundstrom, J.M.; Antonetti, D.A. Ocular Anti-VEGF therapy for diabetic retinopathy: The role of VEGF in the pathogenesis of diabetic retinopathy. Diabetes Care 2014, 37, 893–899. [Google Scholar] [CrossRef]
- Smith, L.E.; Wesolowski, E.; McLellan, A.; Kostyk, S.K.; D’Amato, R.; Sullivan, R.; D’Amore, P.A. Oxygen-induced retinopathy in the mouse. Investig. Ophthalmol. Vis. Sci. 1994, 35, 101–111. [Google Scholar]
- McMenamin, P.G.; Kenny, R.; Tahija, S.; Lim, J.; Naranjo Golborne, C.; Chen, X.; Bouch, S.; Sozo, F.; Bui, B. Early Postnatal Hyperoxia in Mice Leads to Severe Persistent Vitreoretinopathy. Investig. Ophthalmol. Vis. Sci. 2016, 57, 6513–6526. [Google Scholar] [CrossRef]
- Tedeschi, T.; Lee, K.; Zhu, W.; Fawzi, A.A. Limited hyperoxia-induced proliferative retinopathy: A model of persistent retinal vascular dysfunction, preretinal fibrosis and hyaloidal vascular reprogramming for retinal rescue. PLoS ONE 2022, 17, e0267576. [Google Scholar] [CrossRef]
- Fayed, A.E.; Abdelbaki, A.M.; El Zawahry, O.M.; Fawzi, A.A. Optical coherence tomography angiography reveals progressive worsening of retinal vascular geometry in diabetic retinopathy and improved geometry after panretinal photocoagulation. PLoS ONE 2019, 14, e0226629. [Google Scholar] [CrossRef]
- Jaramillo, C.; Guthery, S.L.; Lowichik, A.; Stoddard, G.; Kim, T.; Li, Y.; Jensen, M.K. Quantitative Liver Fibrosis Using Collagen Hybridizing Peptide to Predict Native Liver Survival in Biliary Atresia: A Pilot Study. J. Pediatr. Gastroenterol. Nutr. 2020, 70, 87–92. [Google Scholar] [CrossRef]
- Tao, P.; Liu, J.; Li, Y.; Zhang, T.; Wang, F.; Chang, L.; Li, C.; Ge, X.; Zuo, T.; Lu, S.; et al. Damaged collagen detected by collagen hybridizing peptide as efficient diagnosis marker for early hepatic fibrosis. Biochim. Biophys. Acta Gene Regul. Mech. 2023, 1866, 194928. [Google Scholar] [CrossRef]
- Campbell, J.P.; Kalpathy-Cramer, J.; Erdogmus, D.; Tian, P.; Kedarisetti, D.; Moleta, C.; Reynolds, J.D.; Hutcheson, K.; Shapiro, M.J.; Repka, M.X.; et al. Plus Disease in Retinopathy of Prematurity: A Continuous Spectrum of Vascular Abnormality as a Basis of Diagnostic Variability. Ophthalmology 2016, 123, 2338–2344. [Google Scholar] [CrossRef] [PubMed]
- International Committee for the Classification of Retinopathy of Prematurity. The International Classification of Retinopathy of Prematurity revisited. Arch. Ophthalmol. 2005, 123, 991–999. [Google Scholar] [CrossRef] [PubMed]
- Westenskow, P.; Bennink, L.; Foxton, R.; Kirkness, M.; Linder, M. Use of collagen-hybridizing peptides to assess active fibrosis in 2 mouse models of choroidal neovascularization. Investig. Ophthalmol. Vis. Sci. 2022, 63, 3870. [Google Scholar]
- Herrera, J.; Forster, C.; Pengo, T.; Montero, A.; Swift, J.; Schwartz, M.A.; Henke, C.A.; Bitterman, P.B. Registration of the extracellular matrix components constituting the fibroblastic focus in idiopathic pulmonary fibrosis. JCI Insight 2019, 4, e125185. [Google Scholar] [CrossRef]
- Lee, C.; Kim, M.; Lee, J.H.; Oh, J.; Shin, H.H.; Lee, S.M.; Scherer, P.E.; Kwon, H.M.; Choi, J.H.; Park, J. COL6A3-derived endotrophin links reciprocal interactions among hepatic cells in the pathology of chronic liver disease. J. Pathol. 2019, 247, 99–109. [Google Scholar] [CrossRef] [PubMed]
- Nerlich, A.G.; Schleicher, E.D.; Wiest, I.; Specks, U.; Timpl, R. Immunohistochemical localization of collagen VI in diabetic glomeruli. Kidney Int. 1994, 45, 1648–1656. [Google Scholar] [CrossRef] [PubMed]
- Juhl, P.; Bay-Jensen, A.C.; Karsdal, M.; Siebuhr, A.S.; Franchimont, N.; Chavez, J. Serum biomarkers of collagen turnover as potential diagnostic tools in diffuse systemic sclerosis: A cross-sectional study. PLoS ONE 2018, 13, e0207324. [Google Scholar] [CrossRef]
- Sand, J.M.; Larsen, L.; Hogaboam, C.; Martinez, F.; Han, M.; Rossel Larsen, M.; Nawrocki, A.; Zheng, Q.; Karsdal, M.A.; Leeming, D.J. MMP mediated degradation of type IV collagen alpha 1 and alpha 3 chains reflect basement membrane remodeling in experimental and clinical fibrosis--validation of two novel biomarker assays. PLoS ONE 2013, 8, e84934. [Google Scholar] [CrossRef]
- Williams, L.M.; McCann, F.E.; Cabrita, M.A.; Layton, T.; Cribbs, A.; Knezevic, B.; Fang, H.; Knight, J.; Zhang, M.; Fischer, R.; et al. Identifying collagen VI as a target of fibrotic diseases regulated by CREBBP/EP300. Proc. Natl. Acad. Sci. USA 2020, 117, 20753–20763. [Google Scholar] [CrossRef]
- Willumsen, N.; Bager, C.; Karsdal, M.A. Matrix Metalloprotease Generated Fragments of Type VI Collagen Have Serum Biomarker Potential in Cancer—A Proof of Concept Study. Transl. Oncol. 2019, 12, 693–698. [Google Scholar] [CrossRef] [PubMed]
- Ponsioen, T.L.; van Luyn, M.J.; van der Worp, R.J.; van Meurs, J.C.; Hooymans, J.M.; Los, L.I. Collagen distribution in the human vitreoretinal interface. Investig. Ophthalmol. Vis. Sci. 2008, 49, 4089–4095. [Google Scholar] [CrossRef] [PubMed]
- Zimmermann, D.R.; Fischer, R.W.; Winterhalter, K.H.; Witmer, R.; Vaughan, L. Comparative studies of collagens in normal and keratoconus corneas. Exp. Eye Res. 1988, 46, 431–442. [Google Scholar] [CrossRef]
- Ljubimov, A.V.; Burgeson, R.E.; Butkowski, R.J.; Couchman, J.R.; Zardi, L.; Ninomiya, Y.; Sado, Y.; Huang, Z.S.; Nesburn, A.B.; Kenney, M.C. Basement membrane abnormalities in human eyes with diabetic retinopathy. J. Histochem. Cytochem. 1996, 44, 1469–1479. [Google Scholar] [CrossRef] [PubMed]
- Schlecht, A.; Boneva, S.; Gruber, M.; Zhang, P.; Horres, R.; Bucher, F.; Auw-Haedrich, C.; Hansen, L.; Stahl, A.; Hilgendorf, I.; et al. Transcriptomic Characterization of Human Choroidal Neovascular Membranes Identifies Calprotectin as a Novel Biomarker for Patients with Age-Related Macular Degeneration. Am. J. Pathol. 2020, 190, 1632–1642. [Google Scholar] [CrossRef] [PubMed]
- Kanda, A.; Noda, K.; Hirose, I.; Ishida, S. TGF-beta-SNAIL axis induces Muller glial-mesenchymal transition in the pathogenesis of idiopathic epiretinal membrane. Sci. Rep. 2019, 9, 673. [Google Scholar] [CrossRef] [PubMed]
- Ling, X.C.; Kang, E.Y.; Huang, J.L.; Chou, H.D.; Liu, L.; Lai, C.C.; Chen, K.J.; Hwang, Y.S.; Wu, W.C. Persistent Vascular Anomalies in Retinopathy of Prematurity Children: Ultrawide-field Fluorescein Angiography Findings until School Age. Ophthalmol. Sci. 2023, 3, 100281. [Google Scholar] [CrossRef]
- Corano Scheri, K.; Lavine, J.A.; Tedeschi, T.T.; Thomson, B.R.; Fawzi, A.A. Single cell transcriptomic analysis of proliferative diabetic retinopathy fibrovascular membranes: AEBP1 as a fibrogenesis modulator. JCI Insight 2023, in press.






| Target | Source | Company | Catalog # | Dilution | Detection |
|---|---|---|---|---|---|
| COL6 | Rabbit | Abcam (Cambridge, UK) | ab182744 | 1:50 | IF |
| LY6C | Rat (avidin) | Abcam (Cambridge, UK) | ab15674 | 1:500 | IF |
| F480 | Rat | Abcam (Cambridge, UK) | ab16911 | 1:100 | IF |
| CD31 | Goat | R&D systems (Minneapolis, MN, USA) | AF3628 | 1:500 | IF |
| IBA-1 | Rabbit | Wako (Richmond, VA, CA) | 019-19741 | 1:500 | IF |
| GFAP | Rabbit | Invitrogen (Waltham, MA, USA) | PA5-90894 | 1:500 | IF |
| COL6 | Rabbit | Abcam (Cambridge, UK) | ab182744 | 1:1000 | WB |
| COL1 | Rabbit | Abcam (Cambridge, UK) | ab260043 | 1:1000 | WB |
| GAPDH | Mouse | Invitrogen (Waltham, MA, USA) | MA5-15738 | 1:5000 | WB |
| Isolectin GS-IB4-Alexa568 | - | Thermo Fisher Scientific (Waltham, MA, USA) | I21412 | 1:50 | FM |
| Secondary Ab | Source | Company | Catalog # | Dilution | Conjugate |
| Rabbit | Donkey | Jackson ImmunoResearch (West Grove, PA, USA) | 711-545-152 | 1:200 | AlexaFluor 488 |
| Goat | Donkey | Jackson ImmunoResearch (West Grove, PA, USA) | 705-605-147 | 1:200 | AlexaFluor 647 |
| Streptavidin | - | Jackson ImmunoResearch (West Grove, PA, USA) | S32356 | 1:200 | AlexaFluor 594 |
| Rat | Donkey | Jackson ImmunoResearch (West Grove, PA, USA) | 712-295-153 | 1:200 | AlexaFluor 568 |
| Rabbit | Goat | Thermo Fisher Scientific (Waltham, MA, USA) | 32460 | 1:10,000 | HRP |
| Mouse | Goat | Thermo Fisher Scientific (Waltham, MA, USA) | 31430 | 1:10,000 | HRP |
Disclaimer/Publisher’s Note: The statements, opinions and data contained in all publications are solely those of the individual author(s) and contributor(s) and not of MDPI and/or the editor(s). MDPI and/or the editor(s) disclaim responsibility for any injury to people or property resulting from any ideas, methods, instructions or products referred to in the content. |
© 2023 by the authors. Licensee MDPI, Basel, Switzerland. This article is an open access article distributed under the terms and conditions of the Creative Commons Attribution (CC BY) license (https://creativecommons.org/licenses/by/4.0/).
Share and Cite
Corano Scheri, K.; Hsieh, Y.-W.; Jeong, E.; Fawzi, A.A. Limited Hyperoxia-Induced Proliferative Retinopathy (LHIPR) as a Model of Retinal Fibrosis, Angiogenesis, and Inflammation. Cells 2023, 12, 2468. https://doi.org/10.3390/cells12202468
Corano Scheri K, Hsieh Y-W, Jeong E, Fawzi AA. Limited Hyperoxia-Induced Proliferative Retinopathy (LHIPR) as a Model of Retinal Fibrosis, Angiogenesis, and Inflammation. Cells. 2023; 12(20):2468. https://doi.org/10.3390/cells12202468
Chicago/Turabian StyleCorano Scheri, Katia, Yi-Wen Hsieh, Eunji Jeong, and Amani A. Fawzi. 2023. "Limited Hyperoxia-Induced Proliferative Retinopathy (LHIPR) as a Model of Retinal Fibrosis, Angiogenesis, and Inflammation" Cells 12, no. 20: 2468. https://doi.org/10.3390/cells12202468
APA StyleCorano Scheri, K., Hsieh, Y.-W., Jeong, E., & Fawzi, A. A. (2023). Limited Hyperoxia-Induced Proliferative Retinopathy (LHIPR) as a Model of Retinal Fibrosis, Angiogenesis, and Inflammation. Cells, 12(20), 2468. https://doi.org/10.3390/cells12202468

