Multipotent Mesenchymal Stromal Cells from Porcine Bone Marrow, Implanted under the Kidney Capsule, form an Ectopic Focus Containing Bone, Hematopoietic Stromal Microenvironment, and Muscles
Abstract
1. Introduction
2. Materials and Methods
2.1. Animals
2.2. MSC Isolation and Culture
2.3. Flow Cytometry Activated Cell Sorting (FACS) Analysis of MSC
2.4. Osteogenic and Adipogenic Differentiation
2.5. Determination of the Number of MSC Doublings
2.6. MSC Labeling with a Lentiviral Vector Containing the Green Fluorescent Protein (eGFP) Gene
2.7. Gene Expression Analysis
2.8. Analysis of the Concentration of Colony Forming Unit Fibroblasts (CFU-F) in the Bone Marrow of Mini Pigs
2.9. MSC Implantation under Renal Capsule
2.10. Histological Analysis
2.11. Statistics
3. Results
3.1. BM-MSCs Characteristics
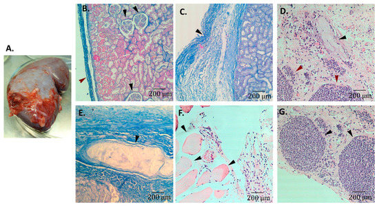
3.2. BM-MSCs Implantation under the Kidney Capsule
3.3. Comparison of BM-MSC and IM-MSC Clones
4. Discussion
5. Conclusions
Author Contributions
Funding
Institutional Review Board Statement
Informed Consent Statement
Data Availability Statement
Acknowledgments
Conflicts of Interest
References
- Levy, O.; Kuai, R.; Siren, E.M.J.; Bhere, D.; Milton, Y.; Nissar, N.; De Biasio, M.; Heinelt, M.; Reeve, B.; Abdi, R.; et al. Shattering barriers toward clinically meaningful MSC therapies. Sci. Adv. 2020, 6, eaba6884. [Google Scholar] [CrossRef]
- Mabuchi, Y.; Okawara, C.; Méndez-Ferrer, S.; Akazawa, C. Cellular Heterogeneity of Mesenchymal Stem/Stromal Cells in the Bone Marrow. Front. Cell Dev. Biol. 2021, 9, 689366. [Google Scholar] [CrossRef]
- Costa, L.A.; Eiro, N.; Fraile, M.; Gonzalez, L.O.; Saá, J.; Garcia-Portabella, P.; Vega, B.; Schneider, J.; Vizoso, F.J. Functional heterogeneity of mesenchymal stem cells from natural niches to culture conditions: Implications for further clinical uses. Cell. Mol. Life Sci. 2021, 78, 447–467. [Google Scholar] [CrossRef]
- Sun, K.; Zhou, Z.; Ju, X.; Zhou, Y.; Lan, J.; Chen, D.; Chen, H.; Liu, M.; Pang, L. Combined transplantation of mesenchymal stem cells and endothelial progenitor cells for tissue engineering: A systematic review and meta-analysis. Stem Cell Res. Ther. 2016, 7, 151. [Google Scholar] [CrossRef] [PubMed]
- Shanbhag, S.; Pandis, N.; Mustafa, K.; Nyengaard, J.R.; Stavropoulos, A. Cell Cotransplantation Strategies for Vascularized Craniofacial Bone Tissue Engineering: A Systematic Review and Meta-Analysis of Preclinical In Vivo Studies. Tissue Eng. Part B Rev. 2017, 23, 101–117. [Google Scholar] [CrossRef] [PubMed]
- Lv, B.; Zhang, X.; Yuan, J.; Chen, Y.; Ding, H.; Cao, X.; Huang, A. Biomaterial-supported MSC transplantation enhances cell-cell communication for spinal cord injury. Stem Cell Res. Ther. 2021, 12, 36. [Google Scholar] [CrossRef]
- Zhang, R.; Xu, K.; Shao, Y.; Sun, Y.; Saredy, J.; Cutler, E.; Yao, T.; Liu, M.; Liu, L.; Drummer IV, C.; et al. Tissue Treg Secretomes and Transcription Factors Shared With Stem Cells Contribute to a Treg Niche to Maintain Treg-Ness With 80% Innate Immune Pathways, and Functions of Immunosuppression and Tissue Repair. Front. Immunol. 2021, 11, 632239. [Google Scholar] [CrossRef] [PubMed]
- Mardones, R.; Jofré, C.M.; Minguell, J.J. Cell Therapy and Tissue Engineering Approaches for Cartilage Repair and/or Regeneration. Int. J. Stem Cells 2015, 8, 48–53. [Google Scholar] [CrossRef]
- Chen, J.; Lu, Z.; Cheng, D.; Peng, S.; Wang, H. Isolation and characterization of porcine amniotic fluid-derived multipotent stem cells. PLoS ONE 2011, 6, e19964. [Google Scholar] [CrossRef]
- Lee, A.Y.; Lee, J.; Kim, C.L.; Lee, K.S.; Lee, S.H.; Gu, N.Y.; Kim, J.M.; Lee, B.C.; Koo, O.J.; Song, J.Y.; et al. Comparative studies on proliferation, molecular markers and differentiation potential of mesenchymal stem cells from various tissues (adipose, bone marrow, ear skin, abdominal skin, and lung) and maintenance of multipotency during serial passages in miniature pig. Res. Vet. Sci. 2015, 100, 115–124. [Google Scholar] [CrossRef]
- Branco, É.; Cabral, R.; Gomes, B.D.; Kfoury, J.R.; Miglino, M.A. Bone marrow cells of swine: Collection and separation. Microsc. Res. Tech. 2012, 75, 917–920. [Google Scholar] [CrossRef]
- Kumar, G.; Hara, H.; Long, C.; Shaikh, H.; Ayares, D.; Cooper, D.K.C.; Ezzelarab, M. Adipose-derived mesenchymal stromal cells from genetically modified pigs: Immunogenicity and immune modulatory properties. Cytotherapy 2012, 14, 494–504. [Google Scholar] [CrossRef] [PubMed]
- Sachs, D.H.; Galli, C. Genetic manipulation in pigs. Curr. Opin. Organ Transplant. 2009, 14, 148–153. [Google Scholar] [CrossRef]
- Theruvath, A.J.; Mahmoud, E.E.; Wu, W.; Nejadnik, H.; Kiru, L.; Liang, T.; Felt, S.; Daldrup-Link, H.E. Ascorbic Acid and Iron Supplement Treatment Improves Stem Cell-Mediated Cartilage Regeneration in a Minipig Model. Am. J. Sports Med. 2021, 49, 1861–1870. [Google Scholar] [CrossRef] [PubMed]
- Theruvath, A.J.; Nejadnik, H.; Lenkov, O.; Yerneni, K.; Li, K.; Kuntz, L.; Wolterman, C.; Tuebel, J.; Burgkart, R.; Liang, T.; et al. Tracking Stem Cell Implants in Cartilage Defects of Minipigs by Using Ferumoxytol-enhanced MRI. Radiology 2019, 292, 129–137. [Google Scholar] [CrossRef]
- Esteban, M.A.; Xu, J.; Yang, J.; Peng, M.; Qin, D.; Li, W.; Jiang, Z.; Chen, J.; Deng, K.; Zhong, M.; et al. Generation of induced pluripotent stem cell lines from Tibetan miniature pig. J. Biol. Chem. 2009, 284, 17634–17640. [Google Scholar] [CrossRef]
- Ringe, J.; Kaps, C.; Schmitt, B.; Büscher, K.; Bartel, J.; Smolian, H.; Schultz, O.; Burmester, G.R.; Häupl, T.; Sittinger, M. Porcine mesenchymal stem cells. Induction of distinct mesenchymal cell lineages. Cell Tissue Res. 2002, 307, 321–327. [Google Scholar] [CrossRef] [PubMed]
- Chertkov, J.L.; Gurevitch, O.A. Hematopoietic Stem Cell and Its Microenvironment; Medicina: Moscow, Russia, 1984. [Google Scholar]
- Pereira, R.F.; O’Hara, M.D.; Laptev, A.V.; Halford, K.W.; Pollard, M.D.; Class, R.; Simon, D.; Livezey, K.; Prockop, D.J. Marrow stromal cells as a source of progenitor cells for nonhematopoietic tissues in transgenic mice with a phenotype of osteogenesis imperfecta. Proc. Natl. Acad. Sci. USA 1998, 95, 1142–1147. [Google Scholar] [CrossRef]
- Bigildeev, A.E.; Zhironkina, O.A.; Shipounova, I.N.; Sats, N.V.; Kotyashova, S.Y.; Drize, N.J. Clonal composition of human multipotent mesenchymal stromal cells. Exp. Hematol. 2012, 40, 847–856. [Google Scholar] [CrossRef] [PubMed]
- Re, F.; Srinivasan, R.; Igarashi, T.; Marincola, F.; Childs, R. Green fluorescent protein expression in dendritic cells enhances their immunogenicity and elicits specific cytotoxic T-cell responses in humans. Exp. Hematol. 2004, 32, 210–217. [Google Scholar] [CrossRef] [PubMed]
- Stripecke, R.; Del Carmen Villacres, M.; Skelton, D.C.; Satake, N.; Halene, S.; Kohn, D.B. Immune response to green fluorescent protein: Implications for gene therapy. Gene Ther. 1999, 6, 1305–1312. [Google Scholar] [CrossRef]
- Chomczynski, P.; Sacchi, N. Single-step method of RNA isolation by acid guanidinium thiocyanate-phenol-chloroform extraction. Anal. Biochem. 1987, 162, 156–159. [Google Scholar] [CrossRef] [PubMed]
- Schmittgen, T.D.; Livak, K.J. Analyzing real-time PCR data by the comparative CT method. Nat. Protoc. 2008, 3, 1101–1108. [Google Scholar] [CrossRef] [PubMed]
- Chertkov, J.L.; Drize, N.J.; Gurevitch, O.A. Hemopoietic stromal precursors in long-term culture of bone marrow: II. Significance of initial packing for creating a hemopoietic microenvironment and maintaining stromal precursors in the culture. Exp. Hematol. 1983, 11, 243–248. [Google Scholar] [PubMed]
- Dominici, M.; Le Blanc, K.; Mueller, I.; Slaper-Cortenbach, I.; Marini, F.; Krause, D.; Deans, R.; Keating, A.; Prockop, D.; Horwitz, E. Minimal criteria for defining multipotent mesenchymal stromal cells. The International Society for Cellular Therapy position statement. Cytotherapy 2006, 8, 315–317. [Google Scholar] [CrossRef] [PubMed]
- Bharti, D.; Shivakumar, S.B.; Subbarao, R.B.; Rho, G.-J. Research Advancements in Porcine Derived Mesenchymal Stem Cells. Curr. Stem Cell Res. Ther. 2016, 11, 78–93. [Google Scholar] [CrossRef]
- Tavassoli, M.; Maniatis, A.; Crosby, W.H. Studies on marrow histogenesis. I. The site of choice for extramedullary marrow implants. Proc. Soc. Exp. Biol. Med. 1970, 133, 878–881. [Google Scholar] [CrossRef]
- Robertson, N.J.; Fairchild, P.J.; Waldmann, H. Ectopic transplantation of tissues under the kidney capsule. Methods Mol. Biol. 2007, 380, 347–353. [Google Scholar] [CrossRef]
- Chertkov, J.L.; Gurevitch, O.A. Radiosensitivity of progenitor cells of the hematopoietic microenvironment. Radiat. Res. 1979, 79, 177–186. [Google Scholar] [CrossRef]
- Lutton, J.D.; Chertkov, J.L.; Jiang, S.; Kappas, A.; Levere, R.D.; Abraham, N.G. Synergistic effect of heme and IL-1 on hematopoietic stromal regeneration after radiation. Am. J. Hematol. 1993, 44, 172–178. [Google Scholar] [CrossRef]
- Chertkov, J.L.; Gurevitch, O.A. Age-related changes in hemopoietic microenvironment. Enhanced growth of hemopoietic stroma and weakened genetic resistance of hemopoietic cells in old mice. Exp. Gerontol. 1981, 16, 195–198. [Google Scholar] [CrossRef]
- Chertkov, J.L.; Gurevitch, O.A.; Udalov, G.A. Role of bone marrow stroma in hemopoietic stem cell regulation. Exp. Hematol. 1980, 8, 770–778. [Google Scholar]
- Chertkov, I.L.; Drize, N.I.; Gurevich, O.A.; Samoǐlova, R.S. Proiskhozhdenie kletok krovetvornoǐ stromy u khimer. Gematol. Transfuziol. 1986, 31, 36–41. [Google Scholar]
- Chertkov, J.L.; Drize, N.J.; Gurevitch, O.A.; Udalov, G.A. Hemopoietic stromal precursors in long-term culture of bone marrow: I. Precursor characteristics, kinetics in culture, and dependence on quality of donor hemopoietic cells in chimeras. Exp. Hematol. 1983, 11, 231–242. [Google Scholar]
- Lapidot, T.; Dar, A.; Kollet, O. How do stem cells find their way home? Blood 2005, 106, 1901–1910. [Google Scholar] [CrossRef] [PubMed]
- Chavakis, E.; Urbich, C.; Dimmeler, S. Homing and engraftment of progenitor cells: A prerequisite for cell therapy. J. Mol. Cell. Cardiol. 2008, 45, 514–522. [Google Scholar] [CrossRef] [PubMed]
- Yang, J.-X.; Zhang, N.; Wang, H.-W.; Gao, P.; Yang, Q.-P.; Wen, Q.-P. CXCR4 receptor overexpression in mesenchymal stem cells facilitates treatment of acute lung injury in rats. J. Biol. Chem. 2015, 290, 1994–2006. [Google Scholar] [CrossRef] [PubMed]
- Oliveira, A.G.; Gonçalves, M.; Ferreira, H.; Neves, N. Growing evidence supporting the use of mesenchymal stem cell therapies in multiple sclerosis: A systematic review. Mult. Scler. Relat. Disord. 2020, 38, 101860. [Google Scholar] [CrossRef]
- Jiang, Y.; Zhang, P.; Zhang, X.; Lv, L.; Zhou, Y. Advances in mesenchymal stem cell transplantation for the treatment of osteoporosis. Cell Prolif. 2021, 54, e12956. [Google Scholar] [CrossRef] [PubMed]
- Nakamura, K. CellSaic, A Cell Aggregate-Like Technology Using Recombinant Peptide Pieces for MSC Transplantation. Curr. Stem Cell Res. Ther. 2019, 14, 52–56. [Google Scholar] [CrossRef]
- Cheng, F.; Huang, Z.; Li, Z. Mesenchymal stem-cell therapy for perianal fistulas in Crohn’s disease: A systematic review and meta-analysis. Tech. Coloproctol. 2019, 23, 613–623. [Google Scholar] [CrossRef]
- Zhironkina, O.A.; Shipounova, I.N.; Bigildeev, A.E.; Sats, N.V.; Petinati, N.A.; Drize, N.I. Proliferative potential of multipotent mesenchymal stromal cells from human bone marrow. Bull. Exp. Biol. Med. 2012, 152, 543–547. [Google Scholar] [CrossRef] [PubMed]
- Pinho, S.; Frenette, P.S. Haematopoietic stem cell activity and interactions with the niche. Nat. Rev. Mol. Cell Biol. 2019, 20, 303–320. [Google Scholar] [CrossRef] [PubMed]
- Ono, N.; Ono, W.; Mizoguchi, T.; Nagasawa, T.; Frenette, P.S.; Kronenberg, H.M. Vasculature-associated cells expressing nestin in developing bones encompass early cells in the osteoblast and endothelial lineage. Dev. Cell 2014, 29, 330–339. [Google Scholar] [CrossRef] [PubMed]
- Takahashi, K.; Yamanaka, S. A decade of transcription factor-mediated reprogramming to pluripotency. Nat. Rev. Mol. Cell Biol. 2016, 17, 183–193. [Google Scholar] [CrossRef]
- Wasik, A.M.; Grabarek, J.; Pantovic, A.; Cieślar-Pobuda, A.; Asgari, H.R.; Bundgaard-Nielsen, C.; Rafat, M.; Dixon, I.M.C.; Ghavami, S.; Łos, M.J. Reprogramming and carcinogenesis--parallels and distinctions. Int. Rev. Cell Mol. Biol. 2014, 308, 167–203. [Google Scholar] [CrossRef] [PubMed]
- Zeng, L.; Rahrmann, E.; Hu, Q.; Lund, T.; Sandquist, L.; Felten, M.; O’Brien, T.D.; Zhang, J.; Verfaillie, C. Multipotent adult progenitor cells from swine bone marrow. Stem Cells 2006, 24, 2355–2366. [Google Scholar] [CrossRef]




| Animal Number | Age (Months)/ Weight (Kg)/ Gender | CFU-F Concentration in the Bone Marrow per 106 Cells | Time to P0, Days | Cumulative MSC Production for 15 Passages, ×106 | Immunophenotype MSCs | Number of Implanted under Renal Capsule MSCs, ×106 | ||||
|---|---|---|---|---|---|---|---|---|---|---|
| CD90 | CD 105 | |||||||||
| MFI | Iso-Type Control | MFI | Isot-Ype Control | MSC | MSC-GFP | |||||
| 106 | 8/25.2/female | 175 | 7 | 979,928 | 133,603 | 2962 | 5757 | 3391 | 186 | 38.5 |
| 103 | 7.5/30/male | 96.5 | 11 | 722,869 | 122,662 | 2402 | 5830 | 2633 | 161 | 67 |
| 99 | 7.5/31.6/female | 250 | 12 | 1,337,155 | 124,551 | 2319 | 6055 | 2760 | 338 | 169 |
| 107 | 8.5/32.1/female | 73 | 12 | 386,961 | 119,444 | 2882 | 5020 | 3420 | 374 | 108 |
Disclaimer/Publisher’s Note: The statements, opinions and data contained in all publications are solely those of the individual author(s) and contributor(s) and not of MDPI and/or the editor(s). MDPI and/or the editor(s) disclaim responsibility for any injury to people or property resulting from any ideas, methods, instructions or products referred to in the content. |
© 2023 by the authors. Licensee MDPI, Basel, Switzerland. This article is an open access article distributed under the terms and conditions of the Creative Commons Attribution (CC BY) license (https://creativecommons.org/licenses/by/4.0/).
Share and Cite
Petinati, N.; Shipounova, I.; Sats, N.; Dorofeeva, A.; Sadovskaya, A.; Kapranov, N.; Tkachuk, Y.; Bondarenko, A.; Muravskaya, M.; Kotsky, M.; et al. Multipotent Mesenchymal Stromal Cells from Porcine Bone Marrow, Implanted under the Kidney Capsule, form an Ectopic Focus Containing Bone, Hematopoietic Stromal Microenvironment, and Muscles. Cells 2023, 12, 268. https://doi.org/10.3390/cells12020268
Petinati N, Shipounova I, Sats N, Dorofeeva A, Sadovskaya A, Kapranov N, Tkachuk Y, Bondarenko A, Muravskaya M, Kotsky M, et al. Multipotent Mesenchymal Stromal Cells from Porcine Bone Marrow, Implanted under the Kidney Capsule, form an Ectopic Focus Containing Bone, Hematopoietic Stromal Microenvironment, and Muscles. Cells. 2023; 12(2):268. https://doi.org/10.3390/cells12020268
Chicago/Turabian StylePetinati, Nataliya, Irina Shipounova, Natalia Sats, Alena Dorofeeva, Alexandra Sadovskaya, Nikolay Kapranov, Yulia Tkachuk, Anatoliy Bondarenko, Margarita Muravskaya, Michail Kotsky, and et al. 2023. "Multipotent Mesenchymal Stromal Cells from Porcine Bone Marrow, Implanted under the Kidney Capsule, form an Ectopic Focus Containing Bone, Hematopoietic Stromal Microenvironment, and Muscles" Cells 12, no. 2: 268. https://doi.org/10.3390/cells12020268
APA StylePetinati, N., Shipounova, I., Sats, N., Dorofeeva, A., Sadovskaya, A., Kapranov, N., Tkachuk, Y., Bondarenko, A., Muravskaya, M., Kotsky, M., Kaplanskaya, I., Vasilieva, T., & Drize, N. (2023). Multipotent Mesenchymal Stromal Cells from Porcine Bone Marrow, Implanted under the Kidney Capsule, form an Ectopic Focus Containing Bone, Hematopoietic Stromal Microenvironment, and Muscles. Cells, 12(2), 268. https://doi.org/10.3390/cells12020268

