Severe Hepatic Insulin Resistance Induces Vascular Dysfunction: Improvement by Liver-Specific Insulin Receptor Isoform A Gene Therapy in a Murine Diabetic Model
Abstract
1. Introduction
2. Materials and Methods
2.1. Mice
2.2. In Vivo Insulin Signaling Studies
2.3. Western Blot
2.4. Vascular Reactivity
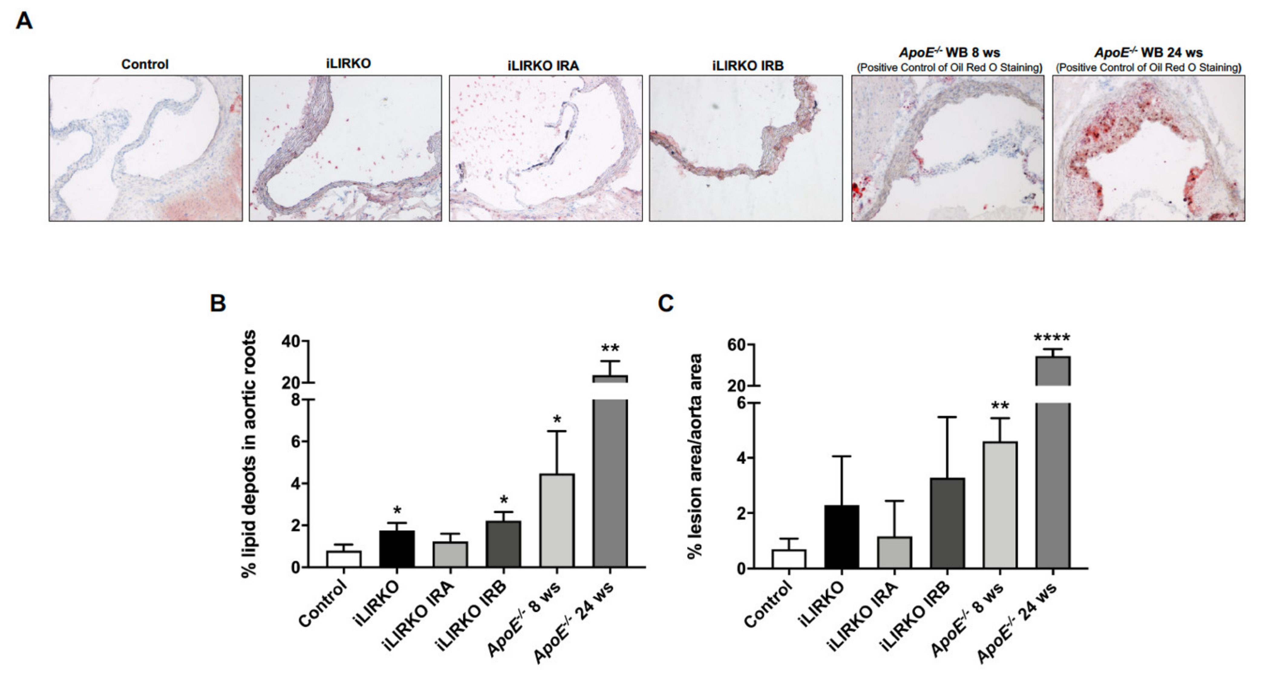
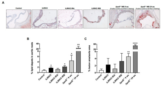
2.5. Histological Analysis
2.6. Extraction of mRNA and qRT-PCR
2.7. Statistical Analysis
3. Results
3.1. Hepatic Insulin Resistance Extends to Cardiovascular System
3.2. Hepatic Insulin Resistance Provokes Vascular Dysfunction
3.3. Long-Term Hepatic Expression of IRA Improves Vascular Dysfunction in iLIRKO Mice
4. Discussion
5. Conclusions
Supplementary Materials
Author Contributions
Funding
Institutional Review Board Statement
Informed Consent Statement
Data Availability Statement
Conflicts of Interest
References
- Isomaa, B.; Almgren, P.; Tuomi, T.; Forsen, B.; Lahti, K.; Nissen, M.; Taskinen, M.-R.; Groop, L. Cardiovascular Morbidity and Mortality Associated With the Metabolic Syndrome. Diabetes Care 2001, 24, 683–689. [Google Scholar] [CrossRef] [PubMed]
- González-Muniesa, P.; Mártinez-González, M.A.; Hu, F.B.; Després, J.P.; Matsuzawa, Y.; Loos, R.J.F.F.; Moreno, L.A.; Bray, G.A.; Martinez, J.A. Obesity. Nat. Rev. Dis. Prim. 2017, 3, 17034. [Google Scholar] [CrossRef] [PubMed]
- Blüher, M. Obesity: Global epidemiology and pathogenesis. Nat. Rev. Endocrinol. 2019, 15, 288–298. [Google Scholar] [CrossRef] [PubMed]
- Marseglia, L.; Manti, S.; D’Angelo, G.; Nicotera, A.; Parisi, E.; Di Rosa, G.; Gitto, E.; Arrigo, T. Oxidative Stress in Obesity: A Critical Component in Human Diseases. Int. J. Mol. Sci. 2014, 16, 378–400. [Google Scholar] [CrossRef]
- Reaven, G.M. Role of Insulin Resistance in Human Disease. Diabetes 1988, 37, 1595–1607. [Google Scholar] [CrossRef]
- Biddinger, S.B.; Kahn, C.R. From mice to men: Insights into the Insulin Resistance Syndromes. Annu. Rev. Physiol. 2006, 68, 123–158. [Google Scholar] [CrossRef]
- Muoio, D.M.; Newgard, C.B. Mechanisms of disease: Molecular and metabolic mechanisms of insulin resistance and β-cell failure in type 2 diabetes. Nat. Rev. Mol. Cell Biol. 2008, 9, 193–205. [Google Scholar] [CrossRef] [PubMed]
- Benyoucef, S.; Surinya, K.H.; Hadaschik, D.; Siddle, K. Characterization of insulin/IGF hybrid receptors: Contributions of the insulin receptor L2 and Fn1 domains and the alternatively spliced exon 11 sequence to ligand binding and receptor activation. Biochem. J. 2007, 403, 603–613. [Google Scholar] [CrossRef] [PubMed]
- Zhao, M.; Wan, Z.; Whittaker, L.; Xu, B.; Phillips, N.B.; Katsoyannis, P.G.; Ismail-Beigi, F.; Whittaker, J.; Weiss, M.A. Design of an Insulin Analog with Enhanced Receptor Binding Selectivity. J. Biol. Chem. 2009, 284, 32178–32187. [Google Scholar] [CrossRef]
- Menting, J.G.; Whittaker, J.; Margetts, M.B.; Whittaker, L.J.; Kong, G.K.-W.; Smith, B.J.; Watson, C.J.; Žáková, L.; Kletvíková, E.; Jiráček, J.; et al. How insulin engages its primary binding site on the insulin receptor. Nature 2013, 493, 241–245. [Google Scholar] [CrossRef]
- Malaguarnera, R.; Frasca, F.; Garozzo, A.; Gianì, F.; Pandini, G.; Vella, V.; Vigneri, R.; Belfiore, A. Insulin Receptor Isoforms and Insulin-Like Growth Factor Receptor in Human Follicular Cell Precursors from Papillary Thyroid Cancer and Normal Thyroid. J. Clin. Endocrinol. Metab. 2011, 96, 766–774. [Google Scholar] [CrossRef]
- Frasca, F.; Pandini, G.; Scalia, P.; Sciacca, L.; Mineo, R.; Costantino, A.; Goldfine, I.D.; Belfiore, A.; Vigneri, R. Insulin Receptor Isoform A, a Newly Recognized, High-Affinity Insulin-Like Growth Factor II Receptor in Fetal and Cancer Cells. Mol. Cell. Biol. 1999, 19, 3278–3288. [Google Scholar] [CrossRef] [PubMed]
- Escribano, O.; Guillén, C.; Nevado, C.; Gomez-Hernández, A.; Kahn, C.R.; Benito, M. β-cell hyperplasia induced by hepatic insulin resistance: Role of a liver-pancreas endocrine axis through insulin receptor A isoform. Diabetes 2009, 58, 820–828. [Google Scholar] [CrossRef]
- Nevado, C.; Valverde, A.M.; Benito, M. Role of Insulin Receptor in the Regulation of Glucose Uptake in Neonatal Hepatocytes. Endocrinology 2006, 147, 3709–3718. [Google Scholar] [CrossRef]
- Alexander, I.E.; Cunningham, S.C.; Logan, G.J.; Christodoulou, J. Potential of AAV vectors in the treatment of metabolic disease. Gene Ther. 2008, 15, 831–839. [Google Scholar] [CrossRef]
- Diaz-Castroverde, S.; Gómez-Hernández, A.; Fernández, S.; García-Gómez, G.; Di Scala, M.; González-Aseguinolaza, G.; Fernández-Millán, E.; González-Rodríguez, Á.; García-Bravo, M.; Chambon, P.; et al. Insulin receptor isoform A ameliorates long-term glucose intolerance in diabetic mice. DMM Dis. Model. Mech. 2016, 9, 1271–1281. [Google Scholar] [CrossRef]
- Lopez-Pastor, A.R.; Gomez-Hernandez, A.; Diaz-Castroverde, S.; Gonzalez-Aseguinolaza, G.; Gonzalez-Rodriguez, A.; Garcia, G.; Fernandez, S.; Escribano, O.; Benito, M. Liver-specific insulin receptor isoform A expression enhances hepatic glucose uptake and ameliorates liver steatosis in a mouse model of diet-induced obesity. Dis. Model. Mech. 2019, 12, dmm036186. [Google Scholar] [CrossRef] [PubMed]
- Brüning, J.C.; Michael, M.D.; Winnay, J.N.; Hayashi, T.; Hörsch, D.; Accili, D.; Goodyear, L.J.; Kahn, C.R. A Muscle-Specific Insulin Receptor Knockout Exhibits Features of the Metabolic Syndrome of NIDDM without Altering Glucose Tolerance. Mol. Cell 1998, 2, 559–569. [Google Scholar] [CrossRef]
- Gil-Fariña, I.; Di Scala, M.; Vanrell, L.; Olagüe, C.; Vales, A.; High, K.A.; Prieto, J.; Mingozzi, F.; Gonzalez-Aseguinolaza, G. IL12-Mediated Liver Inflammation Reduces the Formation of AAV Transcriptionally Active Forms but Has No Effect over Preexisting AAV Transgene Expression. PLoS ONE 2013, 8, e67748. [Google Scholar] [CrossRef]
- Muris, D.M.J.; Houben, A.J.H.M.; Schram, M.T.; Stehouwer, C.D.A. Microvascular dysfunction is associated with a higher incidence of type 2 diabetes mellitus: A systematic review and meta-analysis. Arterioscler. Thromb. Vasc. Biol. 2012, 32, 3082–3094. [Google Scholar] [CrossRef] [PubMed]
- Kitamura, T.; Kahn, C.R.; Accili, D. Insulin Receptor Knockout Mice. Annu. Rev. Physiol. 2003, 65, 313–332. [Google Scholar] [CrossRef]
- Bruning, J.C. Role of Brain Insulin Receptor in Control of Body Weight and Reproduction. Science 2000, 289, 2122–2125. [Google Scholar] [CrossRef]
- Kulkarni, R.N.; Brüning, J.C.; Winnay, J.N.; Postic, C.; Magnuson, M.A.; Kahn, C.R. Tissue-Specific Knockout of the Insulin Receptor in Pancreatic β Cells Creates an Insulin Secretory Defect Similar to that in Type 2 Diabetes. Cell 1999, 96, 329–339. [Google Scholar] [CrossRef]
- Guerra, C.; Navarro, P.; Valverde, A.M.; Arribas, M.; Brüning, J.; Kozak, L.P.; Kahn, C.R.; Benito, M. Brown adipose tissue–specific insulin receptor knockout shows diabetic phenotype without insulin resistance. J. Clin. Investig. 2001, 108, 1205–1213. [Google Scholar] [CrossRef] [PubMed]
- Michael, M.D.; Kulkarni, R.N.; Postic, C.; Previs, S.F.; Shulman, G.I.; Magnuson, M.A.; Kahn, C.R. Loss of insulin signaling in hepatocytes leads to severe insulin resistance and progressive hepatic dysfunction. Mol. Cell 2000, 6, 87–97. [Google Scholar] [CrossRef]
- Biddinger, S.B.; Hernandez-Ono, A.; Rask-Madsen, C.; Haas, J.T.; Alemán, J.O.; Suzuki, R.; Scapa, E.F.; Agarwal, C.; Carey, M.C.; Stephanopoulos, G.; et al. Hepatic Insulin Resistance Is Sufficient to Produce Dyslipidemia and Susceptibility to Atherosclerosis. Cell Metab. 2008, 7, 125–134. [Google Scholar] [CrossRef]
- Fisher, E.A.; Pan, M.; Chen, X.; Wu, X.; Wang, H.; Jamil, H.; Sparks, J.D.; Williams, K.J. The Triple Threat to Nascent Apolipoprotein B. J. Biol. Chem. 2001, 276, 27855–27863. [Google Scholar] [CrossRef]
- Shimomura, I.; Bashmakov, Y.; Ikemoto, S.; Horton, J.D.; Brown, M.S.; Goldstein, J.L. Insulin selectively increases SREBP-1c mRNA in the livers of rats with streptozotocin-induced diabetes. Proc. Natl. Acad. Sci. USA 1999, 96, 13656–13661. [Google Scholar] [CrossRef] [PubMed]
- Ouguerram, K.; Magot, T.; Zäir, Y.; Marchini, J.S.; Charbonnel, B.; Laouenan, H.; Krempf, M. Effect of Atorvastatin on Apolipoprotein B100 Containing Lipoprotein Metabolism in Type-2 Diabetes. J. Pharmacol. Exp. Ther. 2003, 306, 332–337. [Google Scholar] [CrossRef] [PubMed]
- Sniderman, A.D.; Wolfson, C.; Teng, B.; Franklin, F.A.; Bachorik, P.S.; Kwiterovich, P.O. Association of hyperapobetalipoproteinemia with endogenous hypertriglyceridemia and atherosclerosis. Ann. Intern. Med. 1982, 97, 833–839. [Google Scholar] [CrossRef]
- Austin, M.A.; King, M.C.; Vranizan, K.M.; Krauss, R.M. Atherogenic lipoprotein phenotype. A proposed genetic marker for coronary heart disease risk. Circulation 1990, 82, 495–506. [Google Scholar] [CrossRef] [PubMed]
- Muniyappa, R.; Montagnani, M.; Koh, K.K.; Quon, M.J. Cardiovascular Actions of Insulin. Endocr. Rev. 2007, 28, 463–491. [Google Scholar] [CrossRef] [PubMed]
- Barac, A.; Campia, U.; Panza, J.A. Methods for Evaluating Endothelial Function in Humans. Hypertension 2007, 49, 748–760. [Google Scholar] [CrossRef]
- Vicent, D.; Ilany, J.; Kondo, T.; Naruse, K.; Fisher, S.J.; Kisanuki, Y.Y.; Bursell, S.; Yanagisawa, M.; King, G.L.; Kahn, C.R. The role of endothelial insulin signaling in the regulation of vascular tone and insulin resistance. J. Clin. Investig. 2003, 111, 1373–1380. [Google Scholar] [CrossRef]
- Kubota, T.; Kubota, N.; Moroi, M.; Terauchi, Y.; Kobayashi, T.; Kamata, K.; Suzuki, R.; Tobe, K.; Namiki, A.; Aizawa, S.; et al. Lack of Insulin Receptor Substrate-2 Causes Progressive Neointima Formation in Response to Vessel Injury. Circulation 2003, 107, 3073–3080. [Google Scholar] [CrossRef]
- Fernández-Hernando, C.; Ackah, E.; Yu, J.; Suárez, Y.; Murata, T.; Iwakiri, Y.; Prendergast, J.; Miao, R.Q.; Birnbaum, M.J.; Sessa, W.C. Loss of Akt1 Leads to Severe Atherosclerosis and Occlusive Coronary Artery Disease. Cell Metab. 2007, 6, 446–457. [Google Scholar] [CrossRef]
- Jiang, Z.Y.; Lin, Y.-W.; Clemont, A.; Feener, E.P.; Hein, K.D.; Igarashi, M.; Yamauchi, T.; White, M.F.; King, G.L. Characterization of selective resistance to insulin signaling in the vasculature of obese Zucker (fa/fa) rats. J. Clin. Investig. 1999, 104, 447–457. [Google Scholar] [CrossRef]
- Perticone, F.; Sciacqua, A.; Scozzafava, A.; Ventura, G.; Laratta, E.; Pujia, A.; Federici, M.; Lauro, R.; Sesti, G. Impaired Endothelial Function in Never-Treated Hypertensive Subjects Carrying the Arg 972 Polymorphism in the Insulin Receptor Substrate-1 Gene. J. Clin. Endocrinol. Metab. 2004, 89, 3606–3609. [Google Scholar] [CrossRef]
- Federici, M.; Pandolfi, A.; De Filippis, E.A.; Pellegrini, G.; Menghini, R.; Lauro, D.; Cardellini, M.; Romano, M.; Sesti, G.; Lauro, R.; et al. G972R IRS-1 Variant Impairs Insulin Regulation of Endothelial Nitric Oxide Synthase in Cultured Human Endothelial Cells. Circulation 2004, 109, 399–405. [Google Scholar] [CrossRef] [PubMed]
- Okon, E.B.; Chung, A.W.Y.; Rauniyar, P.; Padilla, E.; Tejerina, T.; McManus, B.M.; Luo, H.; van Breemen, C. Compromised Arterial Function in Human Type 2 Diabetic Patients. Diabetes 2005, 54, 2415–2423. [Google Scholar] [CrossRef]
- Kawashima, S.; Yokoyama, M. Dysfunction of Endothelial Nitric Oxide Synthase and Atherosclerosis. Arterioscler. Thromb. Vasc. Biol. 2004, 24, 998–1005. [Google Scholar] [CrossRef] [PubMed]
- Naseem, K.M. The role of nitric oxide in cardiovascular diseases. Mol. Aspects Med. 2005, 26, 33–65. [Google Scholar] [CrossRef]
- Gliozzi, M.; Scicchitano, M.; Bosco, F.; Musolino, V.; Carresi, C.; Scarano, F.; Maiuolo, J.; Nucera, S.; Maretta, A.; Paone, S.; et al. Modulation of Nitric Oxide Synthases by Oxidized LDLs: Role in Vascular Inflammation and Atherosclerosis Development. Int. J. Mol. Sci. 2019, 20, 3294. [Google Scholar] [CrossRef]
- Ponnuswamy, P.; Schröttle, A.; Ostermeier, E.; Grüner, S.; Huang, P.L.; Ertl, G.; Hoffmann, U.; Nieswandt, B.; Kuhlencordt, P.J. eNOS Protects from Atherosclerosis Despite Relevant Superoxide Production by the Enzyme in apoE−/− Mice. PLoS ONE 2012, 7, e30193. [Google Scholar] [CrossRef] [PubMed]
- Knowles, J.W.; Reddick, R.L.; Jennette, J.C.; Shesely, E.G.; Smithies, O.; Maeda, N. Enhanced atherosclerosis and kidney dysfunction in eNOS−/−Apoe−/− mice are ameliorated by enalapril treatment. J. Clin. Investig. 2000, 105, 451–458. [Google Scholar] [CrossRef]
- Depre, C. Expression of inducible nitric oxide synthase in human coronary atherosclerotic plaque. Cardiovasc. Res. 1999, 41, 465–472. [Google Scholar] [CrossRef]
- Lembo, G.; De Luca, N.; Battagli, C.; Iovino, G.; Aretini, A.; Musicco, M.; Frati, G.; Pompeo, F.; Vecchione, C.; Trimarco, B. A Common Variant of Endothelial Nitric Oxide Synthase (Glu298Asp) Is an Independent Risk Factor for Carotid Atherosclerosis. Stroke 2001, 32, 735–740. [Google Scholar] [CrossRef]
- Ouchi, Y.; Han, S.-Z.; Kim, S.; Akishita, M.; Kozaki, K.; Toba, K.; Orimo, H. Augmented Contractile Function and Abnormal Ca2+ Handling in the Aorta of Zucker Obese Rats With Insulin Resistance. Diabetes 1996, 45, S55–S58. [Google Scholar] [CrossRef] [PubMed]
- Nishimatsu, H.; Suzuki, E.; Satonaka, H.; Takeda, R.; Omata, M.; Fujita, T.; Nagai, R.; Kitamura, T.; Hirata, Y. Endothelial dysfunction and hypercontractility of vascular myocytes are ameliorated by fluvastatin in obese Zucker rats. Am. J. Physiol. Heart Circ. Physiol. 2005, 288, 1770–1776. [Google Scholar] [CrossRef]
- Sawada, N.; Itoh, H.; Ueyama, K.; Yamashita, J.; Doi, K.; Chun, T.-H.; Inoue, M.; Masatsugu, K.; Saito, T.; Fukunaga, Y.; et al. Inhibition of Rho-Associated Kinase Results in Suppression of Neointimal Formation of Balloon-Injured Arteries. Circulation 2000, 101, 2030–2033. [Google Scholar] [CrossRef]
- Seasholtz, T.M.; Zhang, T.; Morissette, M.R.; Howes, A.L.; Yang, A.H.; Brown, J.H. Increased Expression and Activity of RhoA Are Associated With Increased DNA Synthesis and Reduced p27 Kip1 Expression in the Vasculature of Hypertensive Rats. Circ. Res. 2001, 89, 488–495. [Google Scholar] [CrossRef] [PubMed]
- Laufs, U.; Liao, J.K. Post-transcriptional Regulation of Endothelial Nitric Oxide Synthase mRNA Stability by Rho GTPase. J. Biol. Chem. 1998, 273, 24266–24271. [Google Scholar] [CrossRef]
- Gong, M.C.; Iizuka, K.; Nixon, G.; Browne, J.P.; Hall, A.; Eccleston, J.F.; Sugai, M.; Kobayashi, S.; Somlyo, A.V.; Somlyo, A.P. Role of guanine nucleotide-binding proteins—ras-family or trimeric proteins or both—in Ca2+ sensitization of smooth muscle. Proc. Natl. Acad. Sci. USA 1996, 93, 1340–1345. [Google Scholar] [CrossRef] [PubMed]
- Tesfamariam, B.; Jakubowski, J.A.; Cohen, R.A. Contraction of diabetic rabbit aorta caused by endothelium-derived PGH2-TxA2. Am. J. Physiol. Circ. Physiol. 1989, 257, H1327–H1333. [Google Scholar] [CrossRef]
- Wong, M.S.-K.; Vanhoutte, P.M. COX-mediated endothelium-dependent contractions: From the past to recent discoveries. Acta Pharmacol. Sin. 2010, 31, 1095–1102. [Google Scholar] [CrossRef]
- Hamsten, A.; Wiman, B.; de Faire, U.; Blombäck, M. Increased Plasma Levels of a Rapid Inhibitor of Tissue Plasminogen Activator in Young Survivors of Myocardial Infarction. N. Engl. J. Med. 1985, 313, 1557–1563. [Google Scholar] [CrossRef]
- Eriksson, P.; Nilsson, L.; Karpe, F.; Hamsten, A. Very-Low-Density Lipoprotein Response Element in the Promoter Region of the Human Plasminogen Activator Inhibitor-1 Gene Implicated in the Impaired Fibrinolysis of Hypertriglyceridemia. Arterioscler. Thromb. Vasc. Biol. 1998, 18, 20–26. [Google Scholar] [CrossRef] [PubMed][Green Version]
- Li, X.-N.; Grenett, H.E.; Benza, R.L.; Demissie, S.; Brown, S.L.; Tabengwa, E.M.; Gianturco, S.H.; Bradley, W.A.; Fless, G.M.; Booyse, F.M. Genotype-Specific Transcriptional Regulation of PAI-1 Expression by Hypertriglyceridemic VLDL and Lp(a) in Cultured Human Endothelial Cells. Arterioscler. Thromb. Vasc. Biol. 1997, 17, 3215–3223. [Google Scholar] [CrossRef] [PubMed]
- Calles-Escandon, J.; Mirza, S.A.; Sobel, B.E.; Schneider, D.J. Induction of Hyperinsulinemia Combined With Hyperglycemia and Hypertriglyceridemia Increases Plasminogen Activator Inhibitor 1 in Blood in Normal Human Subjects. Diabetes 1998, 47, 290–293. [Google Scholar] [CrossRef] [PubMed][Green Version]
- López-Pastor, A.R.; Infante-Menéndez, J.; Escribano, Ó.; Gómez-Hernández, A. miRNA Dysregulation in the Development of Non-Alcoholic Fatty Liver Disease and the Related Disorders Type 2 Diabetes Mellitus and Cardiovascular Disease. Front. Med. 2020, 7, 527059. [Google Scholar] [CrossRef] [PubMed]
- Esau, C.; Davis, S.; Murray, S.F.; Yu, X.X.; Pandey, S.K.; Pear, M.; Watts, L.; Booten, S.L.; Graham, M.; McKay, R.; et al. miR-122 regulation of lipid metabolism revealed by in vivo antisense targeting. Cell Metab. 2006, 3, 87–98. [Google Scholar] [CrossRef]
- Gao, W.; He, H.-W.; Wang, Z.-M.; Zhao, H.; Lian, X.-Q.; Wang, Y.-S.; Zhu, J.; Yan, J.-J.; Zhang, D.-G.; Yang, Z.-J.; et al. Plasma levels of lipometabolism-related miR-122 and miR-370 are increased in patients with hyperlipidemia and associated with coronary artery disease. Lipids Health Dis. 2012, 11, 55. [Google Scholar] [CrossRef]
- Braza-Boïls, A.; Marí-Alexandre, J.; Molina, P.; Arnau, M.A.; Barceló-Molina, M.; Domingo, D.; Girbes, J.; Giner, J.; Martínez-Dolz, L.; Zorio, E. Deregulated hepatic microRNAs underlie the association between non-alcoholic fatty liver disease and coronary artery disease. Liver Int. 2016, 36, 1221–1229. [Google Scholar] [CrossRef]
- Li, X.; Yang, Y.; Wang, L.; Qiao, S.; Lu, X.; Wu, Y.; Xu, B.; Li, H.; Gu, D. Plasma miR-122 and miR-3149 Potentially Novel Biomarkers for Acute Coronary Syndrome. PLoS ONE 2015, 10, e0125430. [Google Scholar] [CrossRef]
- Mehta, R.; Otgonsuren, M.; Younoszai, Z.; Allawi, H.; Raybuck, B.; Younossi, Z. Circulating miRNA in patients with non-alcoholic fatty liver disease and coronary artery disease. BMJ Open Gastroenterol. 2016, 3, e000096. [Google Scholar] [CrossRef] [PubMed]
- Hamdy, O.; Ledbury, S.; Mullooly, C.; Jarema, C.; Porter, S.; Ovalle, K.; Moussa, A.; Caselli, A.; Caballero, A.E.; Economides, P.A.; et al. Lifestyle Modification Improves Endothelial Function in Obese Subjects With the Insulin Resistance Syndrome. Diabetes Care 2003, 26, 2119–2125. [Google Scholar] [CrossRef]
- Maeda, S.; Jesmin, S.; Iemitsu, M.; Otsuki, T.; Matsuo, T.; Ohkawara, K.; Nakata, Y.; Tanaka, K.; Goto, K.; Miyauchi, T. Weight loss reduces plasma endothelin-1 concentration in obese men. Exp. Biol. Med. 2006, 231, 1044–1047. [Google Scholar]
- Hambrecht, R.; Adams, V.; Erbs, S.; Linke, A.; Kränkel, N.; Shu, Y.; Baither, Y.; Gielen, S.; Thiele, H.; Gummert, J.F.; et al. Regular Physical Activity Improves Endothelial Function in Patients With Coronary Artery Disease by Increasing Phosphorylation of Endothelial Nitric Oxide Synthase. Circulation 2003, 107, 3152–3158. [Google Scholar] [CrossRef]
- Diamanti-Kandarakis, E.; Alexandraki, K.; Protogerou, A.; Piperi, C.; Papamichael, C.; Aessopos, A.; Lekakis, J.; Mavrikakis, M. Metformin administration improves endothelial function in women with polycystic ovary syndrome. Eur. J. Endocrinol. 2005, 152, 749–756. [Google Scholar] [CrossRef]
- Natali, A.; Baldeweg, S.; Toschi, E.; Capaldo, B.; Barbaro, D.; Gastaldelli, A.; Yudkin, J.S.; Ferrannini, E. Vascular Effects of Improving Metabolic Control with Metformin or Rosiglitazone in Type 2 Diabetes. Diabetes Care 2004, 27, 1349–1357. [Google Scholar] [CrossRef]
- Turner, R. Effect of intensive blood-glucose control with metformin on complications in overweight patients with type 2 diabetes (UKPDS 34). Lancet 1998, 352, 854–865. [Google Scholar] [CrossRef]





Publisher’s Note: MDPI stays neutral with regard to jurisdictional claims in published maps and institutional affiliations. |
© 2021 by the authors. Licensee MDPI, Basel, Switzerland. This article is an open access article distributed under the terms and conditions of the Creative Commons Attribution (CC BY) license (https://creativecommons.org/licenses/by/4.0/).
Share and Cite
Gómez-Hernández, A.; de las Heras, N.; López-Pastor, A.R.; García-Gómez, G.; Infante-Menéndez, J.; González-López, P.; González-Illanes, T.; Lahera, V.; Benito, M.; Escribano, Ó. Severe Hepatic Insulin Resistance Induces Vascular Dysfunction: Improvement by Liver-Specific Insulin Receptor Isoform A Gene Therapy in a Murine Diabetic Model. Cells 2021, 10, 2035. https://doi.org/10.3390/cells10082035
Gómez-Hernández A, de las Heras N, López-Pastor AR, García-Gómez G, Infante-Menéndez J, González-López P, González-Illanes T, Lahera V, Benito M, Escribano Ó. Severe Hepatic Insulin Resistance Induces Vascular Dysfunction: Improvement by Liver-Specific Insulin Receptor Isoform A Gene Therapy in a Murine Diabetic Model. Cells. 2021; 10(8):2035. https://doi.org/10.3390/cells10082035
Chicago/Turabian StyleGómez-Hernández, Almudena, Natalia de las Heras, Andrea R. López-Pastor, Gema García-Gómez, Jorge Infante-Menéndez, Paula González-López, Tamara González-Illanes, Vicente Lahera, Manuel Benito, and Óscar Escribano. 2021. "Severe Hepatic Insulin Resistance Induces Vascular Dysfunction: Improvement by Liver-Specific Insulin Receptor Isoform A Gene Therapy in a Murine Diabetic Model" Cells 10, no. 8: 2035. https://doi.org/10.3390/cells10082035
APA StyleGómez-Hernández, A., de las Heras, N., López-Pastor, A. R., García-Gómez, G., Infante-Menéndez, J., González-López, P., González-Illanes, T., Lahera, V., Benito, M., & Escribano, Ó. (2021). Severe Hepatic Insulin Resistance Induces Vascular Dysfunction: Improvement by Liver-Specific Insulin Receptor Isoform A Gene Therapy in a Murine Diabetic Model. Cells, 10(8), 2035. https://doi.org/10.3390/cells10082035

