Screening Stripe Rust Resistance Wheat Germplasm Using Molecular Markers and Phenotypic Evaluation
Abstract
1. Introduction
2. Materials and Methods
2.1. Plant Materials
2.2. Population Construction and Field Planting
2.3. Molecular Marker Detection
2.4. Disease Resistance Identification
2.5. Evaluation of Agronomic Traits
2.6. Statistical Analysis
3. Results and Analysis
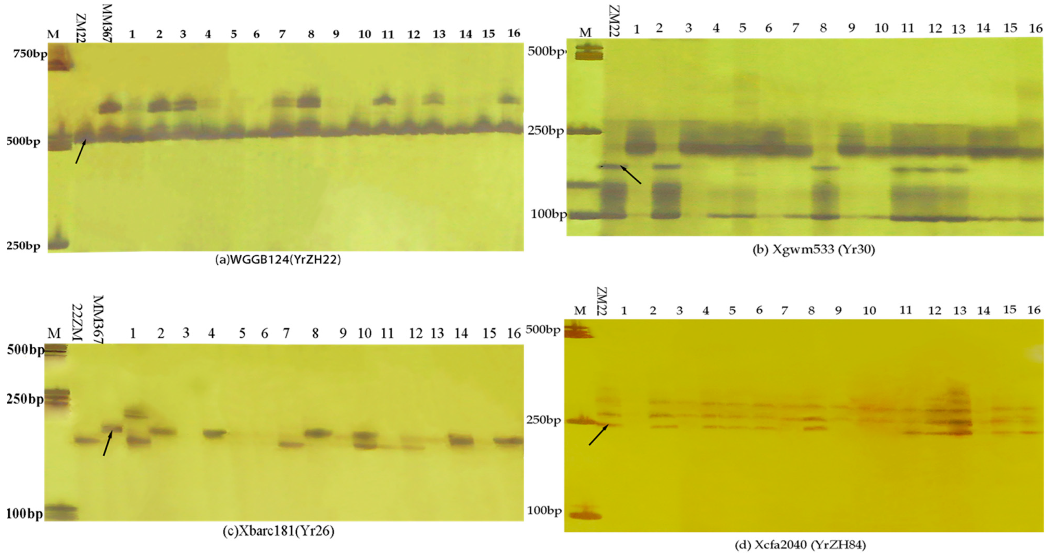
3.1. Molecular Marker Detection
3.2. Identification of Stripe Rust Disease
3.3. Agronomic Traits Performance
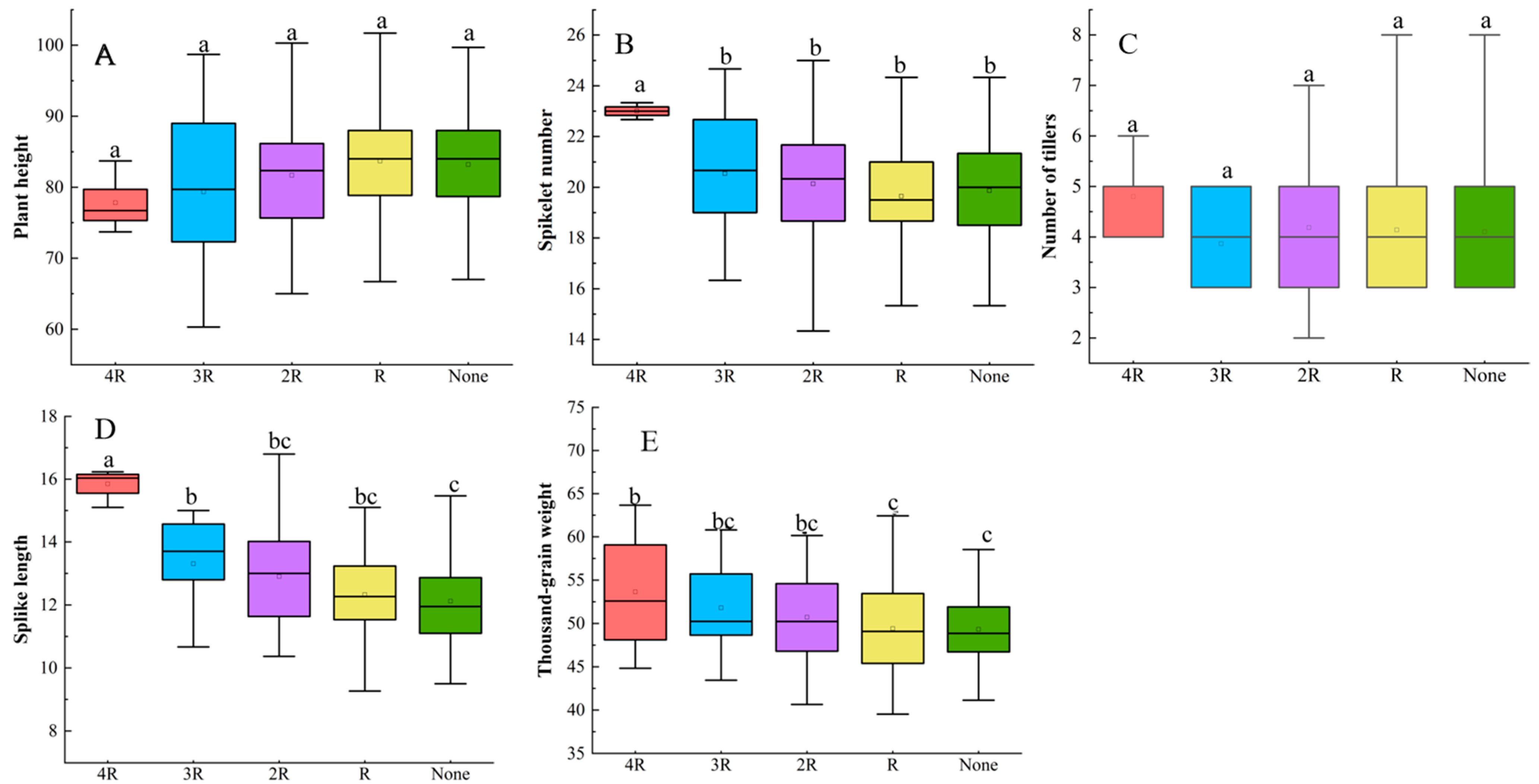
3.4. Effect of Genome Combination Types on Agronomic Traits
3.5. Comprehensive Selection of Breeding Materials
4. Discussion
4.1. Wheat Stripe Rust Resistance
4.2. Breeding Materials Used in This Study
4.3. Molecular Markers and Marker-Assisted Breeding
4.4. Gene Aggregation Breeding
5. Conclusions
Supplementary Materials
Author Contributions
Funding
Data Availability Statement
Acknowledgments
Conflicts of Interest
References
- Han, D.J.; Wang, Q.L.; Zhang, L.; Wei, G.R.; Zeng, Q.D.; Zhao, J.; Wang, X.J.; Huang, L.L.; Kang, Z.S. Evaluation of resistance of current wheat cultivars to stripe rust in northwest china, north china and the middle and lower reaches of changjiang river epidemic area. Sci. Agric. Sin. 2010, 43, 2889–2896. [Google Scholar] [CrossRef]
- Liu, W.C.; Wang, B.T.; Zhao, Z.H.; Li, Y.; Kang, Z.H. Historical review and countermeasures of wheat stripe rust epidemics in China. China Plant Prot. 2022, 42, 21–41. [Google Scholar] [CrossRef]
- Wellings, C.R. Global status of stripe rust: A review of historical and current threats. Euphytica 2011, 179, 129–141. [Google Scholar] [CrossRef]
- Chen, X.M. Pathogens which threaten food security: Puccinia striiformis, the wheat stripe rust pathogen. Food Secur. 2020, 12, 239–251. [Google Scholar] [CrossRef]
- Lin, R.M.; Qie, Y.M.; Feng, J.; Xu, S.C. Identification of the yellow rust resistance gene carrying wheat landraces in China. J. Shenyang Agric. Univ. 2010, 21, 535–539. [Google Scholar] [CrossRef]
- Liu, B.; Liu, T.G.; Zhang, Z.Y.; Jia, Q.Z.; Wang, B.T.; Gao, L.; Peng, Y.L.; Jin, S.L.; Chen, W.Q. Discovery and pathogenicity of CYR34, a new race of Puccinia striiformis f. sp. tritici in China. Acta Phytopathol. Sin. 2017, 47, 681–687. [Google Scholar] [CrossRef]
- McIntosha, R.; Mu, J.M.; Han, D.J.; Kang, Z.S. Wheat stripe rust resistance gene Yr24/Yr2: A retrospective review. Crop J. 2018, 6, 321–329. [Google Scholar] [CrossRef]
- Huang, L.T.G.; Liu, B.; Gao, L.; Luo, P.G.; Chen, W.Q. Resistance evaluation of 197 Chinese wheat core germplasms to a new stripe rust race, CYR34. Plant Prot. 2019, 45, 148–149. [Google Scholar]
- Sharma, D.; Avni, R.; Gutierrez-Gonzalez, J.; Kumar, R.; Sela, H.; Prusty, M.R.; Shatil-Cohen, A.; Molnár, I.; Holušová, K.; Said, M.; et al. A single NLR gene confers resistance to leaf and stripe rust in wheat. Nat. Commun. 2024, 15, 9925. [Google Scholar] [CrossRef] [PubMed]
- Li, J.B.; Dundas, I.; Dong, C.M.; Li, G.R.; Trethowan, R.; Yang, Z.; Hoxha, S.; Zhang, P. Identification and characterization of a new stripe rust resistance gene Yr83 on rye chromosome 6R in wheat. Theor. Appl. Genet. 2020, 133, 1095–1107. [Google Scholar] [CrossRef] [PubMed]
- Han, D.J.; Kang, Z.S. Current status and future stategy in breeding wheat for resistance to stripe rust in China. Plant Prot. 2018, 44, 1–12. [Google Scholar] [CrossRef]
- Zhou, J.W.; Ye, B.W.; Zhang, P.F.; Zhang, Y.Q.; Hao, M.; Yin, Y.O.; Yuan, C.; Li, Z.K.; Li, S.D.; Xia, X.C.; et al. Identification and evaluation of stripe rust resistance in 153 wheatcollections. Sci. Agric. Sin. 2024, 57, 18–33. [Google Scholar] [CrossRef]
- Alma, K.A.R.; Angelina, M.; Makpal, A.; Madina, K.; Zhenis, K. Identification of Stripe Rust Resistance Genes in Common Wheat Cultivars and Breeding Lines from Kazakhstan. Plants 2021, 10, 2303. [Google Scholar] [CrossRef] [PubMed]
- Wang, W.R.; He, H.G.; Gao, H.M.; Xu, H.G.; Song, W.Y.; Zhang, X.; Zhang, L.P.; Song, J.C.; Liu, C.; Liu, K.C.; et al. Characterization of the powdery mildew resistance gene in wheat breeding line KN0816 and its evaluation in marker-assisted selection. Plant Dis. 2021, 105, 4042–4050. [Google Scholar] [CrossRef]
- Yang, R.F.; Piao, Z.Z.; Wan, C.Z.; Lee, G.S.; Ruan, X.M.; Bai, J.J. Breeding for three-line japonica hybrid rice combinations with high resistant starch content using molecular marker-assisted selection. Breed. sci 2020, 70, 409–414. [Google Scholar] [CrossRef] [PubMed]
- Huang, X.; Ye, C.H.; Yan, C.Q. Molecular Marker-Assisted selection of Wxmp Gene for Improving Rice Quality of Late Japonica Rice Ning84. Crop Res. 2024, 38, 308–313. [Google Scholar]
- Zhang, H.; Zhang, L.; Wang, C.Y.; Wang, Y.J.; Zhou, X.L.; Lv, S.H.; Liu, X.L.; Kang, Z.S.; Ji, W.Q. Molecular mapping and marker development for the Triticum dicoccoides-derived stripe rust resistance gene YrSM139-1B in bread wheat cv. Shaanmai 139. Theor. Appl. Genet. 2016, 129, 369–376. [Google Scholar] [CrossRef]
- Fang, T.H.; Zhang, M.; Ma, C.H.; Zheng, X.C.; Tan, W.J.; Tian, R.; Yan, Q.; Zhou, X.L.; Li, X.; Yang, S.Z.; et al. Application of Yr52 Gene in wheat improvement for stripe rust resistance. Sci. Agric. Sin. 2022, 55, 2077–2091. [Google Scholar] [CrossRef]
- Liu, Z.Y.; Zhang, Z.H.; Bai, B.; Li, J.; Huan, L.; Xu, Z.B.; Chen, Y.X.; Liu, X.; Cao, T.J.; Li, M.M.; et al. Current status and strategies for utilization of stripe rust resistance genes in wheat breeding program of china. Sci. Agric. Sin. 2024, 57, 34–51. [Google Scholar] [CrossRef]
- Yin, G.H.; Wang, J.W.; Wen, W.; He, Z.H.; Li, Z.F.; Wang, H.; Xia, X.C. Mapping of wheat stripe rust resistance gene YrZH84 with RGAP markers and its application. Acta Agron. Sin. 2009, 35, 1274–1281. [Google Scholar] [CrossRef]
- Li, Z.F.; Zheng, T.C.; He, Z.H.; Li, G.Q.; Xu, S.C.; Li, X.P.; Yang, G.Y.; Singh, R.P.; Xia, X.C. Molecular tagging of stripe rust resistance gene YrZH84 in Chinese wheat line Zhou 8425B. Theor. Appl. Genet. 2006, 112, 1098–1103. [Google Scholar] [CrossRef] [PubMed]
- Zhao, X.L.; Zheng, T.C.; Xia, X.C.; He, Z.H.; Liu, D.Q.; Yang, W.X.; Yin, G.H.; Li, Z.F. Molecular mapping of leaf rust resistance gene LrZH84 in Chinese wheat line Zhou 8425B. Appl. Genet. 2008, 117, 1069–1075. [Google Scholar] [CrossRef]
- Li, G.C.; Li, Q.Z.; Zhang, B.L.; Yu, H.F.; Yang, Y.Z. Characteristics and promotion effects of wheat variety Zhoumai 22. Agric. Sci. Technol. 2013, 22, 148–243. [Google Scholar]
- Wang, Y.; Xie, J.; Zhang, H.; Guo, B.; Ning, S.; Chen, Y.; Lu, P.; Wu, Q.; Li, M.; Zhang, D.; et al. Mapping stripe rust resistance gene YrZH22 in Chinese wheat cultivar Zhoumai 22 by bulked segregant RNA-Seq (BSR-Seq) and comparative genomics analyses. Theor. Appl. Genet. 2017, 130, 2191–2201. [Google Scholar] [CrossRef] [PubMed]
- Hayden, M.J.; Kuchel, H.; Chalmers, K.J. Sequence tagged microsatellites for the Xgwm533 locus provide new diagnostic markers to select for the presence of stem rust resistance gene Sr2 in bread wheat (Triticum aestivum L.). Appl. Genet. 2004, 109, 1641–1647. [Google Scholar] [CrossRef] [PubMed]
- Wang, C.M.; Zhang, Y.P.; Han, D.J.; Kang, Z.S.; Li, G.P.; Cao, A.Z.; Chen, P.D. SSR and STS markers for wheat stripe rust resistance gene Yr26. Euphytica 2008, 159, 359–366. [Google Scholar] [CrossRef]
- Li, W.J.; Xu, H.; Yu, S.; Tang, J.W.; Li, Q.Y.; Gao, Y.; Zheng, J.Z.; Dong, C.H.; Yuan, Y.H.; Zheng, T.C.; et al. Genetic analysis of elite stripe rust resistance genes of founder parent Zhou8425B in its derived varieties. Acta Agron. Sin. 2024, 50, 16–31. [Google Scholar] [CrossRef]
- Zou, S.K.; Yin, G.H.; Tang, J.W.; Han, Y.L.; Li, S.C.; Lin, A.N.; Huang, F.; Wang, L.N.; Zhang, Q.; Gao, Y. Molecular and genetic basis of wheat variety zhoumai22 and specific primers screening. J. Triticeae Crops 2017, 37, 472–482. [Google Scholar] [CrossRef]
- Yang, X.; Jian, J.T.; Zhu, C.J.; Zhang, Z.P.; Sun, D.J.; Zhang, L. Genetic characteristic of wheat rust resistance genes Lr68 and Sr2/Yr3. J. Triticeae Crops 2014, 34, 151–156. [Google Scholar] [CrossRef]
- Li, R.S.; Du, X.Y.; Ren, Y.; Zhou, Q.; Lei, J.R.; He, Y.J. Characteristics and cultivation points of large-spike wheat new varieties Mianmai 367 and Mianmai 51. Sichuan Agric. Sci. Technol. 2015, 3, 11–12. [Google Scholar]
- Mace, E.S.; Buhariwalla, K.K.; Buhariwalla, H.K.; Crouch, J.H. A High-Throughput DNA Extraction Protocol for Tropical Molecular Breeding Programs. Plant Mol. Biol. Reporter 2003, 21, 459–460. [Google Scholar] [CrossRef]
- Liu, W.; Frick, M.; Huel, R.; Nykiforuk, C.L.; Wang, X.M.; Gaudet, D.A.; Eudes, F.; Conner, R.L.; Kuzyk, A.; Chen, Q.; et al. The stripe rust resistance gene Yr10 encodes an evolutionary-conserved and unique CC–NBS–LRR sequence in wheat. Mol. Plant 2014, 7, 1740–1755. [Google Scholar] [CrossRef]
- Akin, B.H.; Chen, X.M.; Morgunov, A.; Zencirci, N.; Wan, A.M.; Wang, M.N. High-temperature adult-plant resistance to stripe rust in facultative winter wheat. Crop Pasture Sci. 2016, 67, 1064–1074. [Google Scholar] [CrossRef]
- Peterson, R.F.; Campbell, A.B.; Hannah, A.E. A diagrammatis scale for estimating rust inensity on leaves and stems of cereals. Can. J. Res. 1948, 26, 496–500. [Google Scholar] [CrossRef]
- Niu, J.Q.; Li, C.G.; Xin, H.B.; Zhang, S.F.; Xu, H.Q.; Yu, X.G.; Xu, J.J.; Liu, Y.G.; Liu, L.J.; Zhang, F.; et al. Analysis of the current registration status and production applicability of pesticides for wheat rust prevention and control. Agric. Sci. Technol. 2021, 9, 10–12. [Google Scholar]
- Cao, S.Q.; Jia, Q.Z.; Song, J.R.; Zhang, Y.H.; Wang, W.J.; Yue, W.Y.; Sun, Z.Y.; Huang, J.; Zhang, B.; Wang, X.M. Strategies on breeding for winter wheat resistance to Puccinia striiformis f. sp tritici CYR34 in Gansu province. J. Plant Genet. Resour. 2019, 20, 1129–1133. [Google Scholar] [CrossRef]
- Li, B.; Xu, Q.; Yang, Y.H.; Wang, Q.L.; Zeng, Q.D.; Wu, J.H.; Mu, J.M.; Huang, L.L.; Kang, Z.S.; Han, D.J. Stripe Rust Resistance and Genes in Chongqing Wheat Cultivars and Lines. Sci. Agric. Sin. 2017, 50, 413–425. [Google Scholar] [CrossRef]
- Yao, Q.; Wang, J.; Meng, Y.; Zhan, G.M.; Huang, L.L.; Kang, Z.S. Virulence and genotypic diversity of wheat stripe rust races CYR32 and CYR33 in China. J. Plant Prot. 2018, 45, 46–52. [Google Scholar] [CrossRef]
- Li, M.K. Application of Yr10, Yr18 and Yr36 Genes in Wheat Improvement for Stripe Rust Resistance. Master’s Thesis, Shandong Agricultural University, Taian, China, 2017. [Google Scholar]
- Liu, L.J.; Wang, Z.L.; Xi, Y.J.; Liu, S.D. Detection of Stripe Rust Resistant Gene Yr26 with SSR Markers in Wheat Cultivars of Huanghuai Region. Acta Agron. Sin. 2008, 20, 1308–1312. [Google Scholar]
- Tang, J.W.; Yin, G.H.; Gao, Y.; Wang, L.; Han, Y.L.; Huang, F.; Yu, H.F.; Yang, G.Y.; Li, X.P.; Xiao, Y.G.; et al. Comprehensive analysis on agronomic traits and processing quality of core parent zhou8425B and its derivative. J. Triticeae Crops 2015, 35, 777–784. [Google Scholar]
- Gao, Y.; Tang, J.W.; Zou, S.K.; Hu, R.Y.; Zhang, G.Y.; Sun, Y.X.; Wang, L.; Yin, G.H. Genetic diversity assessment on derivatives from wheat cultivar Zhoumai 22. Plant Genet. Resour. 2021, 22, 38–49. [Google Scholar] [CrossRef]
- Zou, F.L.; He, Y.J.; Zhang, S.H.; Zhu, Z.H.; Li, C.; Zhon, H.; Wu, G.; Zhang, H.; Ren, Y. Research Progress on Wheat for Chinese Baijiu. J. Triticeae Crops 2023, 43, 1351–1360. [Google Scholar]
- Hospital, F. Challenges for effective marker-assisted selection in plants. Genes 2009, 136, 303–310. [Google Scholar] [CrossRef]
- Li, G.; Ren, Y.; Yang, Y.; Chen, S.L.; Zheng, J.Z.; Zhang, X.Q.; Li, J.L.; Chen, M.E.; Sun, X.N.; Lv, C.L.; et al. Genomic analysis of Zhou8425B, a key founder parent, reveals its genetic contributions to elite agronomic traits in wheat breeding. Plant Commun. 2024, 6, 101222. [Google Scholar] [CrossRef]
- Hu, C.Y.; Wang, F.T.; Lang, X.W.; Feng, J.; Li, J.K.; Liu, R.M.; Yao, X.B. Resistance Analyses on Wheat Stripe Rust Resistance Genes to the Predominant Races of Puccinia striiformis f. sp. tritici in China. Sci. Agric. Sin. 2022, 55, 491–502. [Google Scholar] [CrossRef]
- Wang, X.; Xiang, M.; Li, H.; Li, X.; Mu, K.; Huang, S.; Zhang, Y.; Cheng, X.; Yang, S.; Yuan, X.; et al. High density mapping of durable and broadspectrum stripe rust resistance gene Yr30 in wheat. Crop J. 2024, 12, 1463–1473. [Google Scholar] [CrossRef]
- Singh, R.P.; Nelson, J.C.; Sorrells, M.E. Mapping Yr28 and Other Genes for Resistance to Stripe Rust in Wheat. Crop Sci. 2014, 40, 1148–1155. [Google Scholar] [CrossRef]
- Zhang, M.; Fang, T.H.; Zhou, X.L.; Chen, X.M.; Li, X.; Feng, J.Y.; Yang, S.H.; Kang, Z.S. Combination of marker-assisted backcross selection of Yr59 and phenotypic selection to improve stripe rust resistance and agronomic performance in four elite wheat cultivars. Agronomy 2022, 12, 497. [Google Scholar] [CrossRef]
- Bai, B.; Zhang, H.Z.; Du, J.Y.; Zhang, X.Y.; He, R.; Wu, L.; Zhang, Z.; Zhang, Y.H.; Cao, S.Q.; Liu, Z.Y. Current situation and strategy of stripe rust resistance genes untilization in winter wheat cultivars of northwestern oversummering region for puccinia striiformis f. sp. tritici in China. Sci. Agric. Sin. 2024, 57, 4–17. [Google Scholar] [CrossRef]
- Ma, R.; He, R.; Guo, Y.; Zhan, Z.B.; Zhang, W.T.; Du, J.Y.; Bai, B. Pyramiding of stripe rust-resistant genes and development of resistant wheat (Triticum aestivum) cultivars for stripe rust. J. Agric. Bio 2025, 33, 1417–1426. [Google Scholar] [CrossRef]






| Gene | Type | Marker | Primer Sequence | (Tm °C) | References |
|---|---|---|---|---|---|
| YrZH84 | SSR SSR | Xcfa2040 Xbarc32 | F: TCAAATGATTTCAGGTAACCACTA R: TTCCTGATCCCACCAAACAT F: GCGTGAATCCGGAAACCCAATCTGTG R: TGGAGAACCTTCGCATTGTGTCATTA | 52.2 60.5 | [22] |
| YrZH22 | STS STS | WGGB119 WGGB124 | F: CGGCCAAATATGAGACTGCC R: AATGCGGTGAATGGAAGACG F: TGGCACCACTTCATCCATCT R: ATGTTCAGTTTACGCCGCTG | 52 | [24] |
| Yr30 | SSR | Xgwm533 | F: GTTGCTTTAGGGGAAAAGCC R: AAGGCGAATCAAACGGAATA | 60 | [29] |
| Yr26 | STS SSR | We173 Xbarc181 | F: GGGACAAGGGGAGTTGAAGC R: GAGAGTTCCAAGCAGAACAC F: CGCTGGAGGGGGTAAGTCATCAC R: CGCAAATCAAGAACACGGGAGAAAGAA | 56 60.5 | [26] |
| Yr10 | SCAR | Yr10 | Yr10-F: TCAAAGACATCAAGAGCCGC Yr10-R: TGGCCTACATGAACTCTGGAT | 60 | [32] |
| Reaction Components | Volume |
|---|---|
| 2 × M5 PAGE Taq PCR Mix | 5 µL |
| forward primers | 0.25 μL |
| reverse primers | 0.25 μL |
| DNA template | 0.5 µL |
| ddH2O | 4 µL |
| Resistance Evaluation | MM367/ZM22 | 40059/Z8425B | 40047/Z8425B | Total | |||
|---|---|---|---|---|---|---|---|
| Quantity | Proportion% | Quantity | Proportion% | Quantity | Proportion% | ||
| Immune | 6 | 5.08 | 18 | 24.32 | 14 | 17.72 | 38 |
| Resistant | 106 | 89.83 | 56 | 75.68 | 64 | 81.01 | 226 |
| Intermediate | 6 | 5.08 | 0 | 0.00 | 1 | 1.27 | 7 |
| Susceptible | 0 | 0.00 | 0 | 0.00 | 0 | 0.00 | 0 |
Disclaimer/Publisher’s Note: The statements, opinions and data contained in all publications are solely those of the individual author(s) and contributor(s) and not of MDPI and/or the editor(s). MDPI and/or the editor(s) disclaim responsibility for any injury to people or property resulting from any ideas, methods, instructions or products referred to in the content. |
© 2026 by the authors. Licensee MDPI, Basel, Switzerland. This article is an open access article distributed under the terms and conditions of the Creative Commons Attribution (CC BY) license.
Share and Cite
Chen, C.; Gong, H.; Yang, X.; Yu, B.; Huang, P.; Zhang, Y.; Huang, K.; Yang, S. Screening Stripe Rust Resistance Wheat Germplasm Using Molecular Markers and Phenotypic Evaluation. Agronomy 2026, 16, 457. https://doi.org/10.3390/agronomy16040457
Chen C, Gong H, Yang X, Yu B, Huang P, Zhang Y, Huang K, Yang S. Screening Stripe Rust Resistance Wheat Germplasm Using Molecular Markers and Phenotypic Evaluation. Agronomy. 2026; 16(4):457. https://doi.org/10.3390/agronomy16040457
Chicago/Turabian StyleChen, Caihong, Hongju Gong, Xue Yang, Boxun Yu, Peiyao Huang, Yiduo Zhang, Kebing Huang, and Suizhuang Yang. 2026. "Screening Stripe Rust Resistance Wheat Germplasm Using Molecular Markers and Phenotypic Evaluation" Agronomy 16, no. 4: 457. https://doi.org/10.3390/agronomy16040457
APA StyleChen, C., Gong, H., Yang, X., Yu, B., Huang, P., Zhang, Y., Huang, K., & Yang, S. (2026). Screening Stripe Rust Resistance Wheat Germplasm Using Molecular Markers and Phenotypic Evaluation. Agronomy, 16(4), 457. https://doi.org/10.3390/agronomy16040457
