1. Introduction
Kiwifruit (
Actinidia spp.) is a perennial fruit tree, and the fruit of kiwifruit is rich in vitamin C, dietary fiber and many other nutrients [
1]. Kiwifruit is also an important economic fruit tree widely cultivated around the world, including in China, Italy, New Zealand, Greece, South Korea and other countries. Among them, China’s kiwifruit cultivation area is the largest, and China is also the country with the most kiwifruit production. Shaanxi Province has about 70,000 hectares of kiwifruit cultivation area, which is the largest kiwifruit contiguous cultivation area in the world. With the continuous expansion of the kiwifruit planting area and frequent seedling trade, kiwifruit diseases occur frequently. For example, the incidence of canker disease and viral disease is high in the field, which has become an important disease restricting the healthy and sustainable development of the kiwifruit industry. In particular, kiwifruit is mainly propagated by grafting and cutting and other asexual propagation methods, the virus elimination technology for seedlings is immature, and the virus-carrying rate of seedlings is high [
2]. To date, approximately 23 species of kiwifruit viruses have been reported worldwide [
3,
4,
5,
6,
7]. Among them, citrus leaf blotch virus (CLBV),
Actinidia virus A (AcVA),
Actinidia virus 1 (AcV-1),
Actinidia chlorotic ringspot-associated virus (AcCRaV) and
Actinidia virus B (AcVB) have been reported to have high infection rates in China [
8,
9,
10]. AcVA, AcV-1, AcCRaV, and AcVB are all new viruses found in kiwifruit in recent years, while CLBV is a virus previously found in citrus and has a high detection rate in kiwifruit in recent years. As for the detection methods for these five viruses, previous reports mainly used single PCR or single RT-PCR [
1,
4].
Studies have shown that a new virus,
Actinidia yellowing ringspot virus (AYRSpV), infected kiwifruit and caused serious effects on the yield and quality of kiwifruit [
11]. There are few reports about the harm of other kiwifruit viruses to the yield and quality of kiwifruit. It is necessary to control the transmission of kiwifruit viruses in different countries and regions for the prevention and control of kiwifruit viral disease. Therefore, it is necessary to establish a stable and rapid detection method for kiwifruit viruses. Previous studies have been reported using herbaceous indicators, electron microscopy, loop-mediated isothermal amplification (LAMP), recombinase polymerase amplification (RPA) with clustered regularly interspaced short palindromic repeats (CRISPR)/Cas9 [
12], high-throughput sequencing and reverse-transcription polymerase chain reaction (RT-PCR) to detect
Actinidia viruses [
3,
4,
6,
13,
14,
15]. However, every virus detection method has its own disadvantages. The use of herbaceous indicators is time consuming, and the results may be difficult to interpret; the use of electron microscopy and high-throughput sequencing is time consuming and expensive and not suitable for routine diagnosis. Although the LAMP method does not require expensive equipment, it is prone to contamination and false positive results, and only one sample can be detected for each reaction. RPA-CRISPR/Cas9 has been widely used in recent years, but it is mainly used in human and animal virus detection because it has a relatively high cost and is not the optimal choice for plant virus detection. Only one virus can be detected at a time, and more reagents, consumables and time are needed when multiple viruses are to be detected using single RT-PCR.
For routine diagnosis, reliable, fast and inexpensive procedures are essential, and multiplex RT-PCR techniques would provide a possible alternative. Compared to single RT-PCR, multiplex RT-PCR saves time and decreases the risk of contamination. However, multiple RT-PCR detection systems for kiwifruit viruses have not been established before. In this study, a multiplex RT-PCR assay was established and optimized for the simultaneous detection of CLBV, AcVA, AcVB, AcCRaV and AcV-1 that infect Actinidia using published or redesigned primer sets. It demonstrates the feasibility of this multiplex RT-PCR approach for the examination of field Actinidia.
2. Experimental Procedures
2.1. Plant Material
A. chinensis varieties and
A. deliciosa varieties of kiwifruit leaves infected with known
Actinidia viruses (CLBV, AcVA, AcVB, AcCRaV and AcV-1) were stored in our lab [
7]. These samples were confirmed by RT-PCR and sequencing. Samples infected with a single virus were selected for subsequent experiment. Healthy samples and samples infected with one virus or infected with a combination of different viruses were collected from commercial kiwifruit orchards in Shaanxi Province, China, in April and May 2020–2021. All the samples were stored at −80 °C for future use.
2.2. RNA Extraction
TRIzol reagent was used to extract total RNA from leaf samples according to manufacturer’s recommendations (Invitrogen, Carlsbad, CA, USA). The concentration and quality of RNA were detected with a spectrophotometer (DU Series 500UV–Vis; Beckman Coulter Inc., Fullerton, CA, USA). After RNA extraction, samples were used immediately or stored at −80 °C for future use.
2.3. RT-PCR
One µg of total RNA was used to synthesize cDNA, using M-MLV reverse transcriptase and random primers (TaKaRa Bio, Dalian Inc., Dalian, China). The previously published primers were used for the detection of CLBV, AcVA, AcVB and AcCRaV. For the detection of AcV-1, the sequences registered in GenBank (MH557852-MH557856; KX857665) were compared, and highly conserved regions were selected to design primers. All the primers used in this study are listed in
Table 1. The cDNAs were then used as templates in RT-PCR with the following program: 94 °C, predenaturation for 3 min, 94 °C for 30 s, 52 °C for 30 s, 72 °C for 1 min for 35 cycles, and 72 °C for 1 min. The PCR products were analyzed by gel electrophoresis to confirm whether there were target bands. If there were target bands, the target bands were purified by DNA gel extraction kit (Bio Tech Corporation, Beijing, China) and cloned into the pMD19-T (TaKaRa Bio, Dalian Inc., Dalian, China) vector and confirmed by sequencing.
2.4. Multiplex RT-PCR
The reaction conditions of the multiplex RT-PCR assay were optimized according to the method reported by Kumar et al. [
17] and carried out in a PTC-100 Peltier Thermal Cycler (Bio-Rad, Hercules, CA, USA). The 25 μL PCR reaction mixture contained 2.5 μL of 10× polymerase buffer (Promega, Madison, WI, USA), 2.5 μL of 25 mM Mg
2+ (Promega, Madison, WI, USA), 2.5 μL of a dNTP mixture with each dNTP at 5 mM, 1.5 μL of 5 U/μL hot-start HS-Taq (Promega, Madison, WI, USA), 1 μL of template and 0.4 μL to 10 μmol/L of each primer. The parameters involved in the multiplex RT-PCR, including annealing temperature and concentrations of Mg
2+ and HS-Taq were optimized. To obtain the optimal amplification temperature, the multiplex PCR mixture was amplified using an annealing temperature of 48–58 °C (with 2 °C intervals). To obtain the optimal concentration of Mg
2+ and HS-Taq, the multiplex PCR mixture was amplified using different concentrations of Mg
2+ and HS-Taq.
2.5. Sensitivity Tests of Multiplex PCR
Each fragment amplified by multiplex RT-PCR was cloned into the pMD19-T vector. All plasmids were diluted to 1 ng/μL, and then ten times (100 to 106) the same initial concentration of plasmids was continuously diluted with deionized water as a template for optimizing multiplex PCR. PCR amplification was repeated 5 times using the same template and their amplification efficiency was compared.
2.6. Evaluation of Multiplex RT-PCR Using Field Samples
Single RT-PCR and optimized multiple RT-PCR were used to detect 47 leaf samples from different fields with suspected virus infection, which showed signs of mosaic, vein yellowing, ringspots, chlorotic spots and mottles. The virus-free samples were used as negative controls.
3. Results
3.1. Amplification Efficiency and Specificity of Each Primer Set
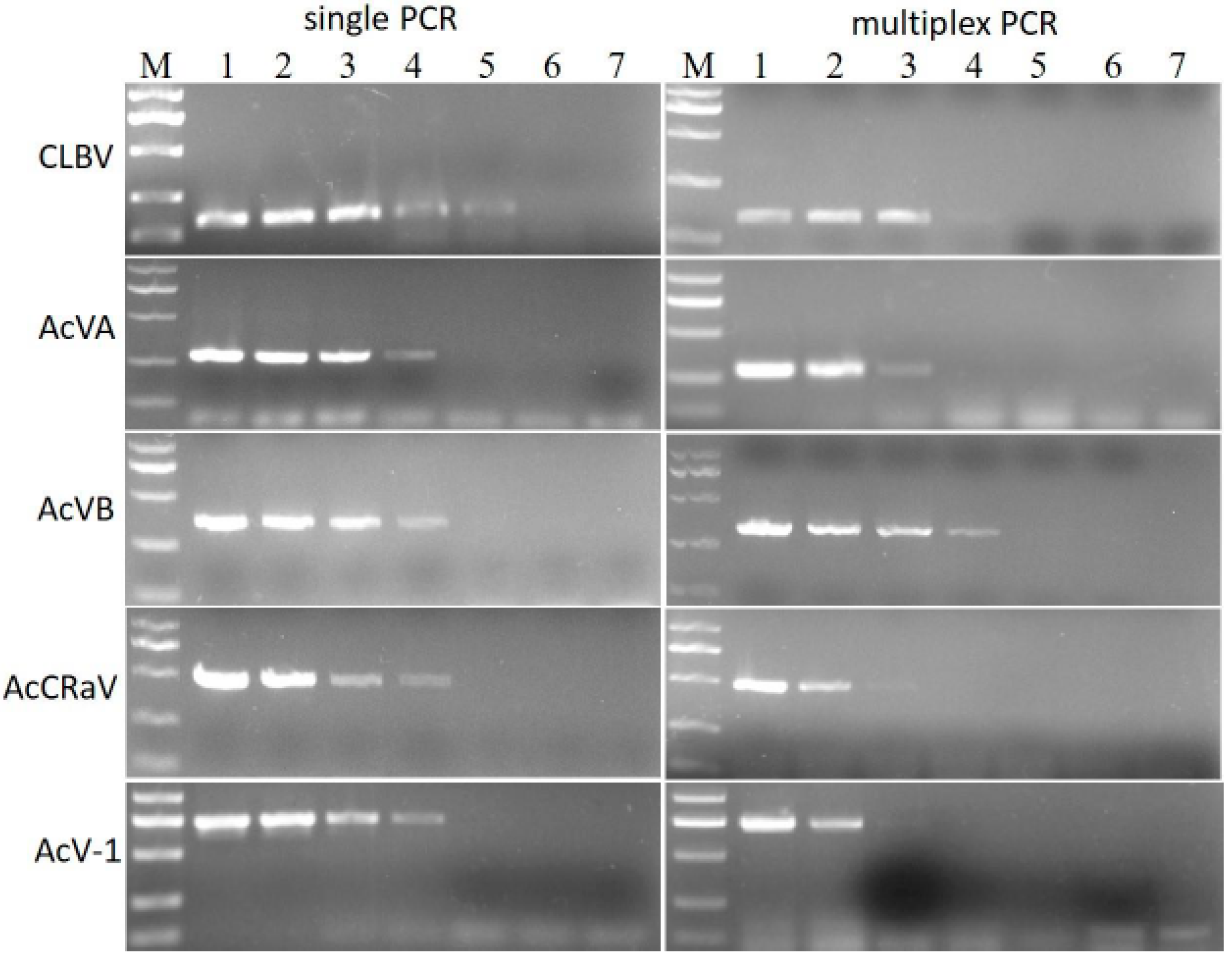
All five primer sets were used for both single RT-PCR and multiplex RT-PCR assays. Five bands of different sizes were obtained by amplification of all five pairs of primers in single RT-PCR (
Figure 1). This indicated that all five primer sets were suitable for detection of the five viruses. When the five primer sets were added together in the multiplex RT-PCR reaction mixture, weaker bands were obtained for some of the viruses (
Figure 1). The results indicated that the amplification conditions of the multiplex RT-PCR should be optimized.
3.2. Sequence Analysis of PCR Products
Each of the amplified products was cloned into the pMD19-T vector and sequenced. The results indicated that all the amplified products for CLBV, AcVA, AcVB, AcCRaV and AcV-1 were 144, 283, 342, 477 and 731 bp in length, respectively, which indicates the reliability of the multiplex PCR results.
3.3. Optimization of Multiplex PCR Amplification
Generally, annealing temperature, Mg2+ concentration and HS-Taq concentration have great influence on multiplex PCR reaction systems. Next, we optimized the annealing temperature, Mg2+ concentration and HS-Taq concentration of the multiplex PCR system.
First, we optimized the temperature. When Mg2+ concentration was 2.5 mM and HS-Taq concentration was 0.8 U/μL, the bands were brightest at 56 °C. Therefore, in this assay, 56 °C was chosen as the optimal reaction temperature. Then, the annealing temperature of 56 °C was used to optimize the subsequent experimental conditions. The test results of different concentrations of Mg2+ showed that when the concentration of Mg2+ was 2 mM, the band is brighter, so the optimal concentration of added Mg2+ was 2 mM. The concentration of HS-Taq was also optimized, and the results indicated that the optimal concentration of HS-Taq was 1.0 U/μL.
3.4. Sensitivity Tests of Multiplex PCR
To assess the sensitivity of the multiplex PCR assay, the same template was used to perform a single PCR assay and a multiplex PCR assay, and the assay results were compared. The results showed that the detection limit of the multiplex PCR assay for AcVB was 1 pg/μL, for AcVA it was 10 pg/μL, and for CLBV, AcCRaV and AcV-1 it was 100 pg/μL. The detection limit of the single PCR assay for AcVA was 10 times higher than that of the multiplex PCR assay (
Figure 2). For CLBV, AcCRaV and AcV-1, the detection limit of the single PCR assay was 100 times higher than that of the multiplex PCR assay (
Figure 2). For AcVB, single PCR and multiple PCR have the same sensitivity (
Figure 2).
3.5. Evaluation of Multiplex RT-PCR Using Field Samples
The samples collected from the field were amplified using both single RT-PCR and optimized multiplex RT-PCR assays. The results showed that most of these field samples were infected by different combinations of these five viruses. For single-virus infection, the numbers of samples infected were approximately 15 for CLBV, 14 for AcVA, 15 for AcVB, 9 for AcCRaV and 12 for AcV-1 (out of 47 samples) (
Figure 3;
Supplementary Table S1). The results obtained by single RT-PCR and multiplex RT-PCR were consistent. These results indicate that the multiple RT-PCR assay is reliable for the detection of these five viruses. In addition, the detection of a large number of samples in the field can better reflect the high efficiency of the multiple RT-PCR detection system.
4. Discussion
The research on kiwifruit viruses started late, and the first virus was found in Kiwifruit in 2003 [
18]. At present, there is a lack of a mature kiwifruit virus elimination system and a stable, efficient and rapid kiwifruit virus detection system. Early diagnosis of kiwifruit viral diseases is of great significance for disease control. At the same time, establishing a rapid, efficient and stable kiwifruit virus detection system is also the premise of establishing a stable and mature kiwifruit virus elimination system. In this study, a fast, efficient, reliable and inexpensive multiplex RT-PCR method for the detection of five kiwifruit viruses was established. The concentrations of Mg
2+ and HS-Taq and the annealing temperature in the multiplex PCR system were optimized. The sensitivity of the multiplex PCR system was also compared with that of the single PCR system, and the detection limit was determined. The stability of the multiplex RT-PCR system was verified by field sample testing, and the results showed that the multiplex RT-PCR system was stable, efficient and reliable. When testing field samples, different
A. chinensis varieties and
A. deliciosa varieties were suitable for the multiplex RT-PCR system established in this study.
A. chinensis varieties and
A. deliciosa varieties are the main kiwifruit varieties at present, and the multiplex RT-PCR detection system was applicable to both of them, which further demonstrated the practicability of the method.
In the process of RT-PCR detection of plant viruses, it is very important to design specific detection primers. In this study, four pairs of primers with better specificity were reported and verified with experiments. In the design of the AcV-1 detection primers, the CP genes of all AcV-1 viruses reported in GenBank were analyzed, and primers with good specificity and conservatism were selected. In addition to the primers, the annealing temperature and the concentrations of Mg
2+ and HS-Taq also had a significant effect on the multiplex PCR system, so these parameters were optimized in this study. In the multiplex RT-PCR detection system, multiple viruses are simultaneously amplified in the same system, which will inevitably lead to competition among primers, Mg
2+ and HS-Taq, resulting in a decrease in the amplification efficiency of some viruses and a decrease in the detection sensitivity of multiplex RT-PCR. Several previous studies have confirmed this finding [
19]. Although the detection sensitivity of PCR is 10 to 100 times lower than that of single PCR, it is completely within the acceptable range.
In recent years, with the continuous expansion of kiwifruit cultivation areas, an increasing number of viruses have been found [
2,
3]. Many kiwifruit viruses, such as CLBV, AcVA, AcVB and AcCRaV, have been reported to have a high incidence in kiwifruit-producing areas [
20]. In this study, when field samples were tested, it was found that CLBV and AcVB had a very high virulence rate in Shaanxi Province, the main producing area of kiwifruit in China. The government and kiwifruit growers should take this seriously.
In conclusion, this study established a reliable, efficient and stable multiplex RT-PCR system for the detection of five kiwifruit viruses. The concentrations of Mg
2+ and HS-Taq and the annealing temperature in the multiplex RT-PCR system were optimized. The stability of the multiplex RT-PCR system was verified by field sample testing, and the results showed that the multiplex RT-PCR system was stable, efficient and reliable. This will provide much convenience for the detection of kiwifruit viruses in the future [
16]. The single and multiplex PCR systems provide detection technology for the epidemic dynamics of orchard viruses. This detection technology is used to detect virus-free seedlings, providing a basis for the construction of virus-free seedling orchards and high-quality and high-quantity production.