Design and Development of Enhanced Antimicrobial Breathable Biodegradable Polymeric Films for Food Packaging Applications
Abstract
:1. Introduction
2. Materials and Methods
2.1. Materials
2.2. Preparation Methods
2.2.1. Sodium Chloride Recrystallization
2.2.2. Poly (Lactic Acid) (PLA) and Polycaprolactone (PCL)/PLA Films Preparation Method
2.3. Characterization Methods
2.3.1. Scanning Electron Microscopy (SEM)
2.3.2. Air Permeability
2.3.3. Mechanical Properties Measurement
2.3.4. Differential Scanning Calorimetry (DSC)
2.3.5. Oxygen Transmission Rate (O2TR)
2.3.6. Water Vapor Transmission Rate (WVTR)
2.3.7. Water Absorption Test
2.3.8. Brunauer–Emmett–Teller (BET) Surface Area
2.3.9. Fourier-Transform Infrared Spectroscopy (FTIR)
2.3.10. Antibacterial Agent Coating
2.3.11. Antibacterial Activity Measurement
2.3.12. Statistical Analysis
3. Results and Discussion
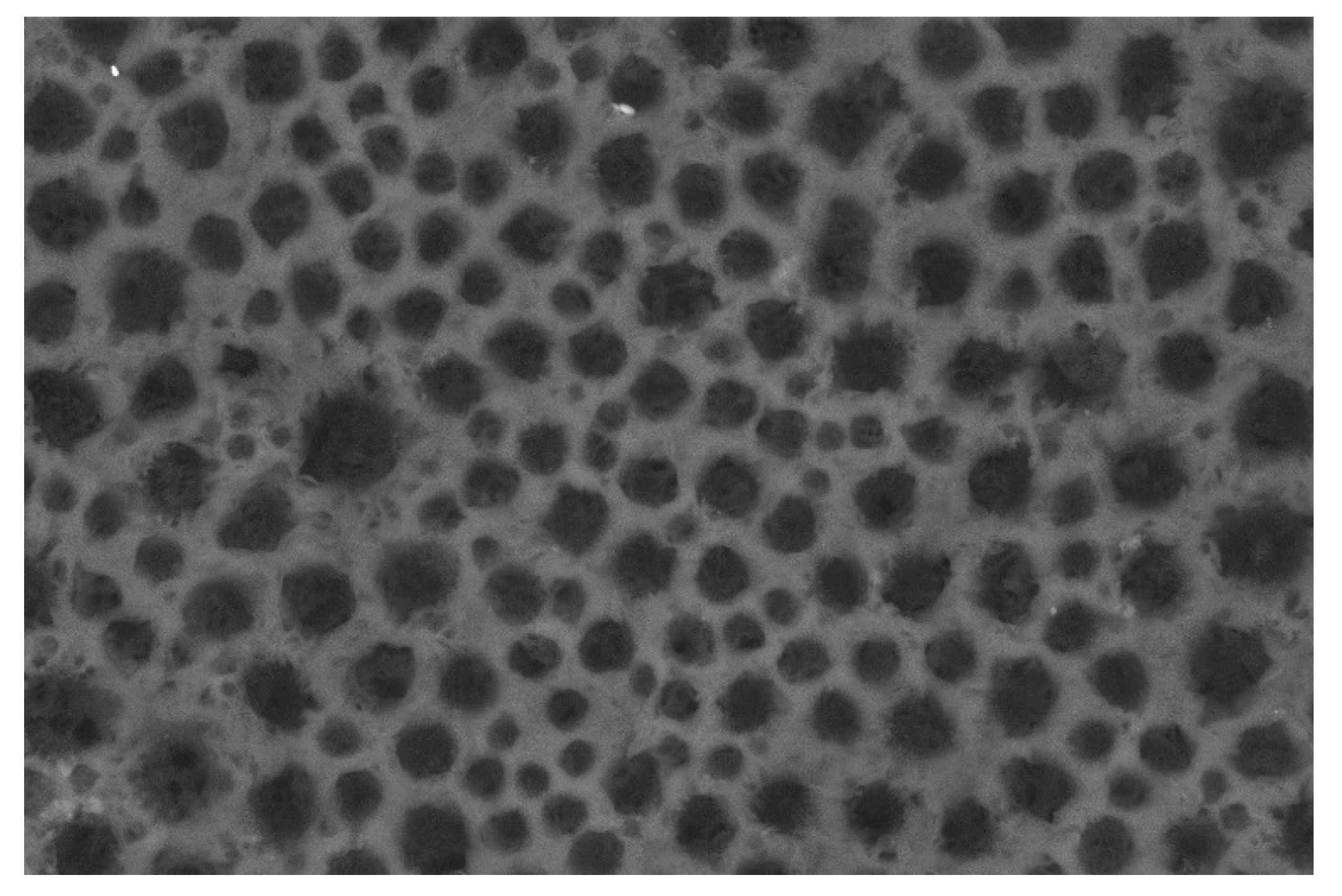
3.1. Membranes Morphologies and Porosity
3.2. Air Permeability
3.3. Mechanical Properties
3.4. Differential Scanning Calorimetry Analysis (DSC)
3.5. Oxygen Transmission Rates (O2TR)
3.6. Water Vapor Transmission Rate (WVTR)
3.7. Water Absorption Test
3.8. Fourier-Transform Infrared Spectroscopy (FTIR) Analysis
3.9. Brunauer–Emmett–Teller (BET) Analysis
3.10. Antimicrobial Activity
4. Conclusions and Future Work
Author Contributions
Funding
Institutional Review Board Statement
Informed Consent Statement
Data Availability Statement
Acknowledgments
Conflicts of Interest
References
- Becker, B.R.; Fricke, B.A. Transpiration and respiration of fruits and vegetables. Sci. Tech. Froid 1996. Available online: https://agris.fao.org/agris-search/search.do?recordID=FR1998000627 (accessed on 20 August 2020).
- Alfei, S.; Barbara, M.; Guendalina, Z. Nanotechnology application in food packaging: A plethora of opportunities versus pending risks assessment and public concerns. Food Res. Int. 2020, 137, 109664. [Google Scholar] [CrossRef] [PubMed]
- Sandhya. Modified atmosphere packaging of fresh produce: Current status and future needs. LWT-Food Sci. Technol. 2010, 43, 381–392. [Google Scholar] [CrossRef]
- Elmehalmey, W.A.; Azzam, R.A.; Hassan, Y.S.; Alkordi, M.H.; Madkour, T.M. Imide-based polymers of intrinsic microporosity: Probing the microstructure in relation to CO2 sorption characteristics. ACS Omega 2018, 3, 2757–2764. [Google Scholar] [CrossRef] [Green Version]
- Lucera, A.; Conte, A.; Del Nobile, M.A. Shelf Life of Ready-to-Cook Cauliflower Mixtures as Affected by Packaging Film Mass Transport Properties: Ready-to-Cook Cauliflower Mixture. Int. J. Food Sci. Technol. 2012, 47, 1598–1604. [Google Scholar] [CrossRef]
- Berry, T.M.; Fadiji, T.S.; Defraeye, T.; Opara, U.L. The role of horticultural carton vent hole design on cooling efficiency and compression strength: A multi-parameter approach. Postharvest Biol. Technol. 2017, 124, 62–74. [Google Scholar] [CrossRef]
- El-Sayed, M.M.; Elsayed, R.E.; Attia, A.; Farghal, H.H.; Azzam, R.A.; Madkour, T.M. Novel nanoporous membranes of bio-based cellulose acetate, poly (lactic acid) and biodegradable polyurethane in-situ impregnated with catalytic cobalt nanoparticles for the removal of Methylene Blue and Congo Red dyes from wastewater. Carbohydr. Polym. Technol. Appl. 2021, 2, 100123. [Google Scholar]
- Mane, S. Effect of Porogens (Type and Amount) on Polymer Porosity: A Review. Can. Chem. Trans. 2016, 4, 16. [Google Scholar]
- Dorati, R.; Colonna, C.; Genta, I.; Modena, T.; Conti, B. Effect of porogen on the physico-chemical properties and degradation performance of PLGA scaffolds. Polym. Degrad. Stab. 2010, 95, 694–701. [Google Scholar] [CrossRef]
- Tran, R.T.; Naseri, E.; Kolasnikov, A.; Bai, X.; Yang, J. A New Generation of Sodium Chloride Porogen for Tissue Engineering. Biotechnol. Appl. Biochem. 2011, 58, 335–344. [Google Scholar] [CrossRef]
- Lee, J.; Ashokkumar, M.; Kentish, S.E. Influence of mixing and ultrasound frequency on antisolvent crystallisation of sodium chloride. Ultrason. Sonochem. 2014, 21, 60–68. [Google Scholar] [CrossRef]
- Gielen, B.; Jordens, J.; Thomassen, L.; Braeken, L.; Van Gerven, T. Agglomeration control during ultrasonic crystallization of an active pharmaceutical ingredient. Crystals 2017, 7, 40. [Google Scholar] [CrossRef] [Green Version]
- Takiyama, H.; Otsuhata, T.; Matsuoka, M. Morphology of NaCl crystals in drowning-Out precipitation operation. Chem. Eng. Res. Des. 1998, 76, 809–814. [Google Scholar] [CrossRef]
- Abbas, A.; Srour, M.; Tang, P.; Chiou, H.; Chan, H.-K.; Romagnoli, J.A. Sonocrystallisation of sodium chloride particles for inhalation. Chem. Eng. Sci. 2007, 62, 2445–2453. [Google Scholar] [CrossRef]
- Mi, H.-Y.; Jing, X.; Turng, L.-S. Fabrication of porous synthetic polymer scaffolds for tissue engineering. J. Cell. Plast. 2015, 51, 165–196. [Google Scholar] [CrossRef]
- Bailey, F.E. Poly (Ethylene Oxide), 1st ed.; Academic Press: Cambridge, MA, USA, 2012; pp. 1–184. [Google Scholar]
- Madkour, T.M.; Hamdi, M.S. Elastomers with two crosslinking systems of different lengths viewed as bimodal networks. J. Appl. Polym. Sci. 1996, 61, 1239–1244. [Google Scholar] [CrossRef]
- Reignier, J.; Huneault, M.A. Preparation of interconnected Poly(ε-Caprolactone) porous scaffolds by a combination of polymer and salt particulate leaching. Polymer 2006, 47, 4703–4717. [Google Scholar] [CrossRef] [Green Version]
- Yuniarto, K.; Welt, B.A.; Purwanto, A.; Purwadaria, H.K.; Abdellatief, A.; Sunarti, T.C.; Purwanto, S. Effect of plasticizer on oxygen permeability of cast polylactic acid (PLA) films determined using dynamic accumulation method. J. Appl. Packag. Res. 2014, 6, 51–57. [Google Scholar]
- Mistriotis, A.; Briassoulis, D.; Giannoulis, A.; D’Aquino, S. Design of Biodegradable Bio-Based Equilibrium Modified Atmosphere Packaging (EMAP) for Fresh Fruits and Vegetables by Using Micro-Perforated Poly-Lactic Acid (PLA) Films. Postharvest Biol. Technol. 2016, 111, 380–389. [Google Scholar] [CrossRef]
- Dasari, A.; Njuguna, J. Functional and Physical Properties of Polymer Nanocomposites; John Wiley & Sons: Hoboken, NJ, USA, 2016. [Google Scholar]
- Labet, M.; Thielemans, W. Synthesis of Polycaprolactone: A Review. Chem. Soc. Rev. 2009, 38, 3484–3504. [Google Scholar] [CrossRef]
- Guarino, V.; Gentile, G.; Sorrentino, L.; Ambrosio, L. Polycaprolactone: Synthesis, Properties, and Applications; John Wiley & Sons, Inc.: Hoboken, NJ, USA, 2017; pp. 1–36. [Google Scholar]
- Rao, R.U.; Suman, K.; Rao, V.K.; Bhanukiran, K. Study of Rheological and Mechanical Properties of Biodegradable Polylactide and Polycaprolactone Blend. Int. J. Eng. Sci. Technol. 2011, 3, 7. [Google Scholar]
- Scaffaro, R.; Lopresti, F.; Botta, L.; Maio, A. Mechanical Behavior of Polylactic Acid/Polycaprolactone Porous Layered Functional Composites. Compos. Part B Eng. 2016, 98, 70–77. [Google Scholar] [CrossRef] [Green Version]
- Atarés, L.; Chiralt, A. Essential Oils as Additives in Biodegradable Films and Coatings for Active Food Packaging. Trends Food Sci. Technol. 2016, 48, 51–62. [Google Scholar] [CrossRef]
- Simona, J.; Dani, D.; Petr, S.; Marcela, N.; Jakub, T.; Bohuslava, T. Edible films from carrageenan/orange essential oil/trehalose—structure, optical properties, and antimicrobial activity. Polymers 2021, 13, 332–351. [Google Scholar] [CrossRef] [PubMed]
- Mohamed, M. Design and Development of Biodegradable Microporous Polymeric Systems with Enhanced Characteristics for Food Packaging Applications. Master’s Thesis, The American University in Cairo, Cairo, Egypt, 15 September 2019. [Google Scholar]
- ASTM International. ASTM D737-18 Standard Test Method for Air Permeability of Textile Fabrics. Available online: https://www.astm.org/Standards/D737.htm (accessed on 3 January 2019).
- ASTM International. ASTM D882-18 Standard Test Method for Tensile Properties of Thin Plastic Sheeting. Available online: https://www.astm.org/Standards/D882 (accessed on 10 January 2019).
- ASTM International. ASTM D3985-17 Standard Test Method for Oxygen Gas Transmission Rate Through Plastic Film and Sheeting Using a Coulometric Sensor. Available online: https://www.astm.org/Standards/D3985.htm (accessed on 15 January 2019).
- ASTM International. ASTM E96 / E96M-12 Standard Test Methods for Water Vapor Transmission of Materials. Available online: https://www.astm.org/DATABASE.CART/HISTORICAL/E96E96M-12.htm (accessed on 20 January 2019).
- ASTM International. ASTM D570–98 (2018) Standard Test Method for Water Absorption of Plastics. Available online: https://www.astm.org/Standards/D570 (accessed on 4 February 2019).
- Bierhalz, A.C.K.; da Silva, M.A.; de Sousa, H.C.; Braga, M.E.M.; Kieckbusch, T.G. Influence of Natamycin Loading Methods on the Physical Characteristics of Alginate Active Films. J. Supercrit. Fluids 2013, 76, 74–82. [Google Scholar] [CrossRef] [Green Version]
- Ahmad, S.; Azad, A.K.; Loughlin, K.F. A study of permeability and tortuosity of concrete. In Proceedings of the 30th Conference on Our World in Concrete and Structures, Singapore, 23–24 August 2005; CI-Premier Pte. Ltd.: Singapore, 2005; Volume 45, pp. 23–30. [Google Scholar]
- Madkour, T.M.; Azzam, R.A.; Mark, J.E. Recent advances in the modeling and simulation of metallocene catalysis, sequence distribution, chain conformations, and crystallization of polymers. J. Polym. Sci. B Polym. Phys. 2006, 44, 2524–2541. [Google Scholar] [CrossRef]
- Ibrahim, A.H.; Zikry, A.A.; Madkour, T.M. Enhanced thermal stability of “environmentally friendly” biodegradable poly (Lactic acid) blends with cellulose acetate. an experimental and molecular modeling study. Biointerface Res. Appl. Chem. 2017, 7, 2230. [Google Scholar]
- Buzimov, A.Y.; Kulkov, S.N.; Eckl, W.; Pappert, S.; Gömze, L.A.; Kurovics, E.; Kocserha, I.; Géber, R. Effect of Mechanical Treatment on Properties of Zeolites with Chabazite Structure. J. Phys. Conf. Ser. 2017, 790, 012004. [Google Scholar] [CrossRef]
- Gupta, B.; Patra, S.; Ray, A.R. Preparation of Porous Polycaprolactone Tubular Matrix by Salt Leaching Process. J. Appl. Polym. Sci. 2012, 126, 1505–1510. [Google Scholar] [CrossRef]
- Huang, R.; Zhu, X.; Tu, H.; Wan, A. The Crystallization Behavior of Porous Poly(Lactic Acid) Prepared by Modified Solvent Casting/Particulate Leaching Technique for Potential Use of Tissue Engineering Scaffold. Mater. Lett. 2014, 136, 126–129. [Google Scholar] [CrossRef] [Green Version]
- Madkour, T.M.; Mark, J.E. Mesoscopic modeling of the polymerization, morphology, and crystallization of stereoblock and stereoregular polypropylenes. J. Polym. Sci. B Polym. Phys. 2002, 40, 840–853. [Google Scholar] [CrossRef]
- Madkour, T.M.; Abdelazeem, E.A.; Tayel, A.; Mustafa, G.; Siam, R. In situ polymerization of polyurethane-silver nanocomposite foams with intact thermal stability, improved mechanical performance, and induced antimicrobial properties. J. Appl. Polym. Sci. 2016, 133, 43125–43133. [Google Scholar] [CrossRef]
- Madkour, T.M.; Azzam, R.A. Use of blowing catalysts for integral skin polyurethane applications in a controlled molecular architectural environment: Synthesis and impact on ultimate physical properties. J. Polym. Sci. A Polym. Chem. 2002, 40, 2526–2536. [Google Scholar] [CrossRef]
- Huang, A.; Jiang, Y.; Napiwocki, B.; Mi, H.; Peng, X.; Turng, L.S. Fabrication of poly (ε-caprolactone) tissue engineering scaffolds with fibrillated and interconnected pores utilizing microcellular injection molding and polymer leaching. RSC Adv. 2017, 7, 43432–43444. [Google Scholar] [CrossRef] [Green Version]
- Yin, G.; Zhang, L.; Zhou, Z.; Li, Q. Preparation and Characterization of Cross-Linked PCL Porous Membranes. J. Polym. Res. 2016, 23, 1–11. [Google Scholar] [CrossRef]
- Qiu, Z.; Ikehara, T.; Nishi, T. Miscibility and Crystallization of Poly (Ethylene Oxide) and Poly(ε-Caprolactone) Blends. Polymer 2003, 44, 3101–3106. [Google Scholar] [CrossRef]
- Courgneau, C.; Domenek, S.; Lebossé, R.; Guinault, A.; Avérous, L.; Ducruet, V. Effect of crystallization on barrier properties of formulated polylactide. Polym. Int. 2012, 61, 180–189. [Google Scholar] [CrossRef] [Green Version]
- Sabaa, M.W.; Madkour, T.M.; Yassin, A.A. Polymerization products of p-benzoquinone as bound antioxidants for SBR. Part II—The antioxidizing efficiency. Polym. Degrad. Stab. 1988, 22, 205–222. [Google Scholar] [CrossRef]
- Pan, X.C.; Sasanatayart, R. Effect of plastic films with different oxygen transmission rate on shelf-life of fresh-cut bok choy (Brassica rapa var. chinensis). Int. Food Res. J. 2016, 23, 1865–1871. [Google Scholar]
- Duan, Z.; Thomas, N.L. Water Vapour Permeability of Poly(Lactic Acid): Crystallinity and the Tortuous Path Model. J. Appl. Phys. 2014, 115, 064903. [Google Scholar] [CrossRef] [Green Version]
- Ikada, Y.; Tsuji, H. Biodegradable polyesters for medical and ecological applications. Macromol. Rapid Commun. 2000, 21, 117–132. [Google Scholar] [CrossRef]
- Bouakaz, B.S.; Habi, A.; Grohens, Y.; Pillin, I. Organomontmorillonite/Graphene-PLA/PCL Nanofilled Blends: New Strategy to Enhance the Functional Properties of PLA/PCL Blend. Appl. Clay Sci. 2017, 139, 81–91. [Google Scholar] [CrossRef]
- Nasri-Nasrabadi, B.; Mehrasa, M.; Rafienia, M.; Bonakdar, S.; Behzad, T.; Gavanji, S. Porous starch/cellulose nanofibers composite prepared by salt leaching technique for tissue engineering. Carbohydr. Polym. 2014, 108, 232–238. [Google Scholar] [CrossRef] [PubMed]
- Sibambo, S.R.; Pillay, V.; Choonara, Y.E.; Penny, C. A Novel Salted-out and Subsequently Crosslinked Poly(Lactic-Co-Glycolic Acid) Polymeric Scaffold Applied to Monolithic Drug Delivery. J. Bioact. Compat. Polym. 2008, 23, 132–153. [Google Scholar] [CrossRef]
- Elsayed, R.E.; Madkour, T.M.; Azzam, R.A. Tailored-design of electrospun nanofiber cellulose acetate/poly (lactic acid) dressing mats loaded with a newly synthesized sulfonamide analog exhibiting superior wound healing. Int. J. Biol. Macromol. 2020, 164, 1984–1999. [Google Scholar] [CrossRef]
- Sánchez-González, S.; Diban, N.; Urtiaga, A. Hydrolytic degradation and mechanical stability of poly (ε-Caprolactone)/reduced graphene oxide membranes as scaffolds for in vitro neural tissue regeneration. Membranes 2018, 8, 12. [Google Scholar] [CrossRef] [Green Version]
- Mkhabela, V.J.; Ray, S.S. Fabrication of polylactide nanocomposite scaffolds for bone tissue engineering applications. In AIP Conference Proceedings; AIP Publishing LLC: Melville, NY, USA, 2015; Volume 1664, p. 070009. [Google Scholar]
- Lasprilla, A.R.; Martinez, G.R.; Hoss, B. Synthesis and characterization of poly (lactic acid) for use in biomedical field. Chem. Eng. 2011, 24, 985–990. [Google Scholar]
- Madkour, T.M.; Azzam, R.A. Non-Gaussian behavior of self-assembled thermoplastic polyurethane elastomers synthesized using two-step polymerization and investigated using constant-strain stress relaxation and molecular modeling techniques. Eur. Polym. J. 2013, 49, 439–451. [Google Scholar] [CrossRef]
- Fadl, S.M. Development and Characterization of Biodegradable Biorenewable Polymeric Nanocomposites for Food Packaging Applications. Master’s Thesis, The American University in Cairo, Cairo, Egypt, 1 June 2015. [Google Scholar]
- Mekewi, M.A.; Madkour, T.M.; Darwish, A.S.; Hashish, Y.M. Does poly (acrylic acid-co-acrylamide) hydrogel be the pluperfect choiceness in treatment of dyeing wastewater? “From simple copolymer to gigantic aqua-waste remover”. J. Ind. Eng. Chem. 2015, 30, 359–371. [Google Scholar] [CrossRef]
- Wang, H.; Min, S.; Ma, C.; Liu, Z.; Zhang, W.; Wang, Q.; Li, D.; Li, Y.; Turner, S.; Han, Y.; et al. Synthesis of single-crystal-like nanoporous carbon membranes and their application in overall water splitting. Nat. Commun. 2017, 8, 1–9. [Google Scholar] [CrossRef]
- Azzam, R.A.; Madkour, T.M. Synthesis of Novel Bio-based Urea-Urethane Aerogels In-Situ Impregnated with Catalytic Metallic Nanoparticles for the Removal of Methylene Blue and Congo Red from Wastewater. J. Polym. Environ. 2021, 29, 1444–1459. [Google Scholar] [CrossRef]
- Livshin, S.; Silverstein, M.S. Crystallinity and cross-linking in porous polymers synthesized from long side chain monomers through emulsion templating. Macromolecules 2008, 41, 3930–3938. [Google Scholar] [CrossRef]
- Nuhnen, A.; Dietrich, D.; Millan, S.; Janiak, C. Role of filler porosity and filler/polymer interface volume in metal–organic framework/polymer mixed-matrix membranes for gas separation. ACS Appl. Mater. Interfaces 2018, 10, 33589–33600. [Google Scholar] [CrossRef] [PubMed]
- Patel, S.K.; Lavasanifar, A.; Choi, P. Roles of nonpolar and polar intermolecular interactions in the improvement of the drug loading capacity of PEO-b-PCL with increasing PCL content for two hydrophobic cucurbitacin drugs. Biomacromolecules 2009, 10, 2584–2591. [Google Scholar] [CrossRef] [PubMed]
- Ma, L.; Deng, L.; Chen, J. Applications of Poly(Ethylene Oxide) in Controlled Release Tablet Systems: A Review. Drug Dev. Ind. Pharm. 2014, 40, 845–851. [Google Scholar] [CrossRef] [PubMed]
- Raeisi, M.; Tajik, H.; Yarahmadi, A.; Sanginabadi, S. Antimicrobial Effect of Cinnamon Essential Oil Against Escherichia Coli and Staphylococcus Aureus. Health Scope 2015, 4, e21808. [Google Scholar] [CrossRef] [Green Version]







| Perforated Modified Atmospheric Packaging (MAP) | Ventilated Food Packaging | |
|---|---|---|
| Main principle | Modifying the compositions of air gases within the packaging headspace to an optimum ratio as to increase the shelf life of the packaged food [1,2]. | Providing channels for air flow within the packaging material to facilitate air exchange between the cooling medium and the product inside the packaging [6,7]. |
| Advantages | MAP is considered an important technique for increasing the shelf life of perishable products without using high amount of chemical preservatives [1]. | Orovides for an appropriate flow rate that reduces water vapor deficit to prevent fruits decay and consumed cooling energy [8]. |
| Disadvantages | Macro-perforated food packages contain large holes unable to modify the atmospheric gases. Microporous films can regulate the gas exchange and reduce moisture loss, which may lead to an increase in water vapor concentration that encourages microbial growth [3]. | Inefficient ventilated packaging leads to heterogeneous airflow during cooling and creating cooling gradients, which leads to fast cooling of perimeter foods followed by slower cooling of foods placed in the middle and to the back of the cooling source, respectively [8]. |
| Applications | MAP is used to preserve crops characterized with high respiration rates to increase fresh food preservation [4,5]. | Ventilated packaging is used to improve the cooling process efficiency during storage of food packaging applications [7,9]. |
| PLA Sample | Porogenic Agents Compositions | PLA/PCL Sample | Polymer Base Compositions | Porogenic Agents Compositions | |||
|---|---|---|---|---|---|---|---|
| PEO % | NaCl % | PLA % | PCL % | PEO % | NaCl % | ||
| Neat PLA | 0 | 0 | Neat PL-PLA | 80 | 20 | 0 | 0 |
| PL-PO | 10 | 0 | PL-PO2-N50 | 100 | 0 | 20 | 50 |
| PL-N | 0 | 50 | PL-PC1-N50 | 80 | 20 | 10 | 50 |
| PL-N10 | 10 | 10 | PL-PC2-N50 | 60 | 40 | 10 | 50 |
| PL-N30 | 10 | 10 | PL-PC3-N50 | 40 | 60 | 10 | 50 |
| PL-N50 | 10 | 50 | PL-PC4-N50 | 20 | 80 | 10 | 50 |
| PL-N70 | 10 | 70 | PL-PC4-N70 | 20 | 80 | 10 | 70 |
| PL-100 | 10 | 100 | PL-PC4-N100 | 20 | 80 | 10 | 100 |
| PL-PO1-N50 | 15 | 50 | |||||
| Sample Name | αm | fm* (Nmm−2) | Em (J mm−1) | Sample Name | αm | fm* (Nmm−2) | Em (J mm−1) |
|---|---|---|---|---|---|---|---|
| Neat PLA | 1.13 ± 0.08 | 27.54 ± 1.35 | 3.1 ± 0.19 | PL-PC2-N50 | 1.03 ± 0.05 | 8.45 ± 0.37 | 0.24 ± 0.02 |
| PL-N50 | 1.08 ± 0.15 | 4.1 ± 0.28 | 1.08 ± 0.07 | PL-PC3-N50 | 1.09 ± 0.07 | 6.89 ± 0.42 | 0.33 ± 0.02 |
| PL-N70 | 1.09 ± 0.07 | 5.35 ± 0.39 | 1.1 ± 0.06 | PL-PC4-N50 | 1.22 ± 0.06 | 6.78 ± 042 | 1.31 ± 0.08 |
| PL-N100 | 1.15 ± 0.06 | 7.18 ± 0.45 | 1.15 ± 0.08 | PL-PC4-N70 | 1.17 ± 0.07 | 3.36 ± 0.22 | 0.61 ± 0.04 |
| PL-PC1-N50 | 1.03 ± 0.05 | 7.67 ± 0.42 | 0.13 ± 0.01 | PL-PC4-N100 | 1.14 ± 0.05 | 2.35 ± 0.10 | 0.33 ± 0.02 |
| Sample Name | Tg °C | Tcc °C | Tm °C | ∆Hm PLA (J/g) | Xc (%) PLA | Xc (%) PCL |
|---|---|---|---|---|---|---|
| Neat PLA | 67.45 | NA | 151.55 | 17.73 | 19.06 | NA |
| PL-N50 | 68.83 | 96.55 | 152.91 | 9.83 | 10.57 | NA |
| PL-N70 | 68 | 94.48 | 152.41 | 14.44 | 15.53 | NA |
| PL-N100 | 67.55 | 96.43 | 152.7 | 18.21 | 19.58 | NA |
| Neat PCL/PLA | NA | NA | 61.78 | 68.85 | NA | 61.69 |
| PL-PC4-N50 | NA | NA | 61.67 | 41.36 | NA | 37.06 |
| PL-PC4-N70 | NA | NA | 64.02 | 73.68 | NA | 66.02 |
| PL-PC4-N100 | NA | NA | 65.1 | 52.49 | NA | 47.03 |
| Sample Name | O2TR (c.c/m2.d.atm) | Increasing in O2TR (%) | Sample Name | O2TR (c.c/m2.d.atm) | Increasing in O2TR (%) |
|---|---|---|---|---|---|
| Neat PLA | 950 | _ | PL-PC4-N50 | 3210 | 237.89 |
| PL-N50 | 4540 | 377.89 | PL-PC4-N70 | 4040 | 325.26 |
| PL-N70 | 3920 | 312.63 | PL-PC4-N100 | 4540 | 377.89 |
| PL-N100 | 3040 | 220.00 |
| Sample Name | WVTR (g/d.m2) | Sample Name | WVTR (g/d.m2) |
|---|---|---|---|
| Neat PLA | 78.93 ± 1.63 | Neat PCL-PAL | 73.73 ± 0.95 |
| PL-N50 | 327.73 ± 0.53 | PL-PC4 N50 | 304.53 ± 7.31 |
| PL-N70 | 324.13 ± 7.6 | PL-PC4 N70 | 318.52 ± 5.29 |
| PL-N100 | 315.73 ± 4.08 | PL-PC4 N100 | 334.93 ± 7.35 |
| Sample Name | Weight Loss (%) | Water Absorption (%) | Sample Name | Weight Loss (%) | Water Absorption (%) |
|---|---|---|---|---|---|
| Neat PLA | 0.5 ± 0.01 | 0.6 ± 0.02 | Neat PCL/PLA | 0.8 ± 0.02 | 0.9 ± 0.04 |
| PL-N50 | 14.8 ± 0.57 | 31.1 ± 0.37 | PL-PC4-N50 | 9.0 ± 0.25 | 17.8 ± 0.33 |
| PL-N70 | 16.2 ± 0.32 | 35.3 ± 0.33 | PL-PC4-N70 | 12.8 ± 0.41 | 26.2 ± 0.29 |
| PL-N100 | 19.2 ± 0.49 | 42.5 ± 0.45 | PL-PC4-N100 | 22.1 ± 0.49 | 50.7 ± 0.53 |
| Cinnamaldahyde (%) | Inhibition Zone with S. aureus (mm) | Inhibition Zone with E. coli (mm) | ||||||||||
|---|---|---|---|---|---|---|---|---|---|---|---|---|
| PL-N50 | PL-N70 | PL-N100 | PL-PC4-N50 | PL-N70 | PL-PC4-N100 | PL-N50 | PL-N70 | PL-N100 | PL-PC4-N50 | PL-PC4-N70 | PL-PC4-N100 | |
| 6 | NA | NA | NA | 15 ± 0.2 | 40 ± 0.3 | 34 ± 0.2 | NA | NA | NA | NA | 22 ± 0.1 | NA |
| 7 | 14.3 ± 1 | 45 ± 0.5 | 47 ± 0.5 | 38 ± 0.5 | 40 ± 0.4 | 27 ± 0.2 | NA | 24 ± 0.1 | 23 ± 0.2 | 22 ± 0.1 | 37 ± 0.4 | 19 ± 0.3 |
| 8 | 35 ± 0.3 | 29 ± 0.2 | 35 ± 0.4 | 33 ± 0.4 | 40 ± 0.3 | NA | 25 ± 0.5 | 28 ± 0.5 | 24 ± 0.5 | 22 ± 0.4 | 22 ± 0.5 | NA |
Publisher’s Note: MDPI stays neutral with regard to jurisdictional claims in published maps and institutional affiliations. |
© 2021 by the authors. Licensee MDPI, Basel, Switzerland. This article is an open access article distributed under the terms and conditions of the Creative Commons Attribution (CC BY) license (https://creativecommons.org/licenses/by/4.0/).
Share and Cite
Abd Al-Ghani, M.M.; Azzam, R.A.; Madkour, T.M. Design and Development of Enhanced Antimicrobial Breathable Biodegradable Polymeric Films for Food Packaging Applications. Polymers 2021, 13, 3527. https://doi.org/10.3390/polym13203527
Abd Al-Ghani MM, Azzam RA, Madkour TM. Design and Development of Enhanced Antimicrobial Breathable Biodegradable Polymeric Films for Food Packaging Applications. Polymers. 2021; 13(20):3527. https://doi.org/10.3390/polym13203527
Chicago/Turabian StyleAbd Al-Ghani, Mona M., Rasha A. Azzam, and Tarek M. Madkour. 2021. "Design and Development of Enhanced Antimicrobial Breathable Biodegradable Polymeric Films for Food Packaging Applications" Polymers 13, no. 20: 3527. https://doi.org/10.3390/polym13203527
APA StyleAbd Al-Ghani, M. M., Azzam, R. A., & Madkour, T. M. (2021). Design and Development of Enhanced Antimicrobial Breathable Biodegradable Polymeric Films for Food Packaging Applications. Polymers, 13(20), 3527. https://doi.org/10.3390/polym13203527

