Zn-Containing Membranes for Guided Bone Regeneration in Dentistry
Abstract
1. Introduction
2. Materials and Methods
2.1. Question Addressed by This Review
2.2. Literature Search
2.3. Eligibility: Inclusion and Exclusion Criteria for Studies
- Insufficient information on type or zinc content.
- Duplicate studies, commentaries and letters to the editor.
2.4. Preparation of Zn-Doped Membranes for Guided Bone Regeneration
2.4.1. Zn Phosphate Mineralized Collagen Membrane
2.4.2. Composite Membrane of Zn Bioactive Glass and Polylactic Acid
2.4.3. Composite Membrane of Poly(ε-caprolactone), Gelatine Type B from Bovine Skin and ZnO Nanoparticles
2.4.4. Polymeric Membranes with Zinc Ions Complexation
2.4.5. Membranes Composed by Zn-Li-Mg, Zn-Li and Zn-Li-Ag Alloys
3. Results
3.1. Antibacterial Effects of Zn-Loaded Membranes
3.2. Physicochemical and Biological-Related Properties of Zn-Loaded Membranes
3.3. The Effect of Zn-Loaded Membranes on Bioactivity and Bone Formation
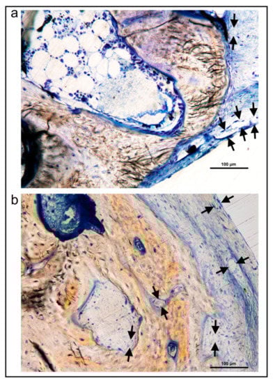
3.4. Analysis of the Microstructure through Microscopic Characterization
3.5. In Vitro Mechanical Behavior of Zn-Doped Membranes
3.6. Cells Cytotoxicity and Proliferation
4. Discussion
4.1. Antibacterial Effects of Zn-Loaded Membranes
4.2. Physicochemical and Biological-Related Properties of Zn-Loaded Membranes
4.3. The Effect of Zn-Loaded Membranes on Bioactivity and Bone Formation
4.4. Analysis of the Microstructure through Microscopic Characterization
4.5. In Vitro Mechanical Behavior of Zn-Doped Membranes
4.6. Cells Cytotoxicity and Proliferation
5. Conclusions
Author Contributions
Funding
Institutional Review Board Statement
Informed Consent Statement
Data Availability Statement
Acknowledgments
Conflicts of Interest
Abbreviations
| AFM | Atomic Force Microscopy |
| BMP-2 | Bone morphogenetic protein-2 |
| BPm | Bone perimeter |
| BS | Bone surface |
| BTh | Bone thickness |
| Ca/P | Calcium phosphate |
| Cq | Quantification cycle |
| ECM | Extracellular matrix |
| EDX | Energy-dispersive X-ray spectroscopy |
| FESEM | Field emission scanning electron microscopy |
| FGF | Fibroblast growth factor |
| Fn | Fibronectin |
| Fg | Fibrinogen |
| FTIR | Fourier transform infrared spectroscopy |
| GBR | Guided bone regeneration |
| HEA | Hydroxyethyl acrylate |
| HEMA | Hydroxyethyl methacrylate |
| LDH | Lactate dehydrogenase |
| MA | Methyl acrylate |
| MMA | Methyl methacrylate |
| Micro-CT | Microcomputed tomography |
| NM | Nano-structured membrane |
| OPG | Osteoprotegerin |
| OS | Osteoid surface |
| OS/TS | Percentage of osteoid surface |
| PLDLA | Poly-L-D, L-lactic acid |
| PLA | Polylactic acid |
| PMMA | Polymethylmethacrylates |
| PGA/TMC | Polyglycolic acid/trimethylene carbonate |
| PTFE | Polytetrafluoroethylene |
| PP | Plasma Proteins |
| SBFS | Simulated body fluid solution |
| SEM | Scanning electron microscopy |
| SiO2-NP | SiO2 nanoparticle |
| SRa | Surface nanoroughness |
| RANKL | Receptor activators of nuclear factor kappa-β ligand |
| rBMSCs | Rat bone marrow mesenchymal stem cells |
| TB | Toluidine blue |
| TEM | Transmission electron microscopy |
| TGF-β | Transforming growth factor-beta |
| THF | Tetrahydrofuran |
| TS | Total surface |
| XRD | X-ray diffraction |
| ZnBG | Zinc-containing bioactive glass |
| Zn-HAp | Zinc hydroxyapatite |
| Zn-NM | Zinc doped nano-structured membranes |
References
- Resende, M.; Martinez, E.F. Topographic Characterization and in Vitro Biofilm Adhesion to Titanium and Polypropylene Membranes Used for Alveolar Preservation. J. Indian Soc. Periodontol. 2020, 24, 316–321. [Google Scholar] [CrossRef] [PubMed]
- Schropp, L.; Wenzel, A.; Kostopoulos, L.; Karring, T. Bone Healing and Soft Tissue Contour Changes Following Single-Tooth Extraction: A Clinical and Radiographic 12-Month Prospective Study. Int. J. Periodontics Restor. Dent. 2003, 23, 313–323. [Google Scholar]
- Sheikh, Z.; Sima, C.; Glogauer, M. Bone Replacement Materials and Techniques Used for Achieving Vertical Alveolar Bone Augmentation. Materials 2015, 8, 2953–2993. [Google Scholar] [CrossRef]
- Münchow, E.A.; Albuquerque, M.T.P.; Zero, B.; Kamocki, K.; Piva, E.; Gregory, R.L.; Bottino, M.C. Development and Characterization of Novel ZnO-Loaded Electrospun Membranes for Periodontal Regeneration. Dent. Mater. 2015, 31, 1038–1051. [Google Scholar] [CrossRef] [PubMed]
- Zafar, M.S.; Khurshid, Z.; Almas, K. Oral Tissue Engineering Progress and Challenges. Tissue Eng. Regen. Med. 2015, 12, 387–397. [Google Scholar] [CrossRef]
- Toledano, M.; Toledano-Osorio, M.; Osorio, R.; Carrasco-Carmona, Á.; Gutiérrez-Pérez, J.-L.; Gutiérrez-Corrales, A.; Serrera-Figallo, M.-A.; Lynch, C.D.; Torres-Lagares, D. Doxycycline and Zinc Loaded Silica-Nanofibrous Polymers as Biomaterials for Bone Regeneration. Polymers 2020, 12, 1201. [Google Scholar] [CrossRef]
- Shaikh, M.S.; Zafar, M.S.; Pisani, F.; Lone, M.A.; Malik, Y.R. Critical Features of Periodontal Flaps with Regard to Blood Clot Stability: A Review. J. Oral Biosci. 2021. [Google Scholar] [CrossRef] [PubMed]
- Toledano-Osorio, M.; Manzano-Moreno, F.J.; Toledano, M.; Medina-Castillo, A.L.; Costela-Ruiz, V.J.; Ruiz, C.; Osorio, R. Doxycycline-Doped Polymeric Membranes Induced Growth, Differentiation and Expression of Antigenic Phenotype Markers of Osteoblasts. Polymers 2021, 13, 1063. [Google Scholar] [CrossRef] [PubMed]
- Raj Preeth, D.; Saravanan, S.; Shairam, M.; Selvakumar, N.; Selestin Raja, I.; Dhanasekaran, A.; Vimalraj, S.; Rajalakshmi, S. Bioactive Zinc(II) Complex Incorporated PCL/Gelatin Electrospun Nanofiber Enhanced Bone Tissue Regeneration. Eur. J. Pharm. Sci. 2021, 160, 105768. [Google Scholar] [CrossRef]
- Shaikh, M.S.; Husain, S.; Lone, M.A.; Lone, M.A.; Akhlaq, H.; Zafar, M.S. Clinical Effectiveness of Anorganic Bovine-Derived Hydroxyapatite Matrix/Cell-Binding Peptide Grafts for Regeneration of Periodontal Defects: A Systematic Review and Meta-Analysis. Regen. Med. 2020, 15, 2379–2395. [Google Scholar] [CrossRef]
- Zhang, Y.; Zhang, X.; Shi, B.; Miron, R. Membranes for Guided Tissue and Bone Regeneration. Ann. Oral Maxillofac. Surg. 2013, 1, 1–10. [Google Scholar] [CrossRef]
- Zhang, F.; Zhang, W.B.; Shi, Z.; Wang, D.; Jin, J.; Jiang, L. Nanowire-Haired Inorganic Membranes with Superhydrophilicity and Underwater Ultralow Adhesive Superoleophobicity for High-Efficiency Oil/Water Separation. Adv. Mater. 2013, 25, 4192–4198. [Google Scholar] [CrossRef] [PubMed]
- Toledano-Osorio, M.; Toledano, M.; Manzano-Moreno, F.J.; Vallecillo, C.; Vallecillo-Rivas, M.; Rodriguez-Archilla, A.; Osorio, R. Alveolar Bone Ridge Augmentation Using Polymeric Membranes: A Systematic Review and Meta-Analysis. Polymers 2021, 13, 1172. [Google Scholar] [CrossRef]
- Zhang, Y.; Yan, Y.; Xu, X.; Lu, Y.; Chen, L.; Li, D.; Dai, Y.; Kang, Y.; Yu, K. Investigation on the Microstructure, Mechanical Properties, in Vitro Degradation Behavior and Biocompatibility of Newly Developed Zn-0.8%Li-(Mg, Ag) Alloys for Guided Bone Regeneration. Mater. Sci. Eng. C. Mater. Biol. Appl. 2019, 99, 1021–1034. [Google Scholar] [CrossRef]
- Hürzeler, M.B.; Quiñones, C.R.; Schüpbach, P. Guided Bone Regeneration around Dental Implants in the Atrophic Alveolar Ridge Using a Bioresorbable Barrier. An Experimental Study in the Monkey. Clin. Oral Implants Res. 1997, 8, 323–331. [Google Scholar] [CrossRef]
- Sauro, S.; Mannocci, F.; Toledano, M.; Osorio, R.; Thompson, I.; Watson, T.F. Influence of the Hydrostatic Pulpal Pressure on Droplets Formation in Current Etch-and-Rinse and Self-Etch Adhesives: A Video Rate/TSM Microscopy and Fluid Filtration Study. Dent. Mater. 2009, 25, 1392–1402. [Google Scholar] [CrossRef]
- Punet, X.; Mauchauffé, R.; Rodríguez-Cabello, J.C.; Alonso, M.; Engel, E.; Mateos-Timoneda, M.A. Biomolecular Functionalization for Enhanced Cell-Material Interactions of Poly(Methyl Methacrylate) Surfaces. Regen. Biomater. 2015, 2, 167–175. [Google Scholar] [CrossRef]
- Osorio, R.; Alfonso-Rodríguez, C.A.; Osorio, E.; Medina-Castillo, A.L.; Alaminos, M.; Toledano-Osorio, M.; Toledano, M. Novel Potential Scaffold for Periodontal Tissue Engineering. Clin. Oral Investig. 2017, 21, 2695–2707. [Google Scholar] [CrossRef]
- Kim, S.; Hwang, Y.; Kashif, M.; Jeong, D.; Kim, G. Evaluation of Bone Regeneration on Polyhydroxyethyl-Polymethyl Methacrylate Membrane in a Rabbit Calvarial Defect Model. In Vivo 2016, 30, 587–591. [Google Scholar]
- Toledano, M.; Carrasco-Carmona, Á.; Medina-Castillo, A.L.; Toledano-Osorio, M.; Osorio, R. Protein Adsorption and Bioactivity of Functionalized Electrospun Membranes for Bone Regeneration. J. Dent. 2020, 102, 103473. [Google Scholar] [CrossRef]
- Esfahani, H.; Prabhakaran, M.P.; Salahi, E.; Tayebifard, A.; Keyanpour-Rad, M.; Rahimipour, M.R.; Ramakrishna, S. Protein Adsorption on Electrospun Zinc Doped Hydroxyapatite Containing Nylon 6 Membrane: Kinetics and Isotherm. J. Colloid Interface Sci 2015, 443, 143–152. [Google Scholar] [CrossRef] [PubMed]
- Lu, A.; Wu, Z.; Luo, X.; Li, S. Protein Adsorption and Macrophage Uptake of Zwitterionic Sulfobetaine Containing Micelles. Coll. Surf. B Biointerfaces 2018, 167, 252–259. [Google Scholar] [CrossRef]
- Griffin, M.F.; Ibrahim, A.; Seifalian, A.M.; Butler, P.E.M.; Kalaskar, D.M.; Ferretti, P. Chemical Group-Dependent Plasma Polymerisation Preferentially Directs Adipose Stem Cell Differentiation towards Osteogenic or Chondrogenic Lineages. Acta Biomater. 2017, 50, 450–461. [Google Scholar] [CrossRef]
- Hirata, I.; Akamatsu, M.; Fujii, E.; Poolthong, S.; Okazaki, M. Chemical Analyses of Hydroxyapatite Formation on SAM Surfaces Modified with COOH, NH(2), CH(3), and OH Functions. Dent. Mater. J. 2010, 29, 438–445. [Google Scholar] [CrossRef]
- Toledano-Osorio, M.; Manzano-Moreno, F.J.; Ruiz, C.; Toledano, M.; Osorio, R. Testing Active Membranes for Bone Regeneration: A Review. J. Dent. 2021, 105, 103580. [Google Scholar] [CrossRef]
- Chou, J.; Komuro, M.; Hao, J.; Kuroda, S.; Hattori, Y.; Ben-Nissan, B.; Milthorpe, B.; Otsuka, M. Bioresorbable Zinc Hydroxyapatite Guided Bone Regeneration Membrane for Bone Regeneration. Clin. Oral Implants Res. 2016, 27, 354–360. [Google Scholar] [CrossRef]
- Fraga, C.G.; Oteiza, P.I.; Keen, C.L. Trace Elements and Human Health. Mol. Aspects Med. 2005, 26, 233–234. [Google Scholar] [CrossRef]
- Bueno, J.; Sánchez, M.C.; Toledano-Osorio, M.; Figuero, E.; Toledano, M.; Medina-Castillo, A.L.; Osorio, R.; Herrera, D.; Sanz, M. Antimicrobial Effect of Nanostructured Membranes for Guided Tissue Regeneration: An in Vitro Study. Dent. Mater. 2020, 36, 1566–1577. [Google Scholar] [CrossRef]
- Osorio, R.; Carrasco-Carmona, Á.; Toledano, M.; Osorio, E.; Medina-Castillo, A.L.; Iskandar, L.; Marques, A.; Deb, S.; Toledano-Osorio, M. Ex Vivo Investigations on Bioinspired Electrospun Membranes as Potential Biomaterials for Bone Regeneration. J. Dent. 2020, 98, 103359. [Google Scholar] [CrossRef]
- Toledano, M.; Gutierrez-Pérez, J.L.; Gutierrez-Corrales, A.; Serrera-Figallo, M.A.; Toledano-Osorio, M.; Rosales-Leal, J.I.; Aguilar, M.; Osorio, R.; Torres-Lagares, D. Novel Non-Resorbable Polymeric-Nanostructured Scaffolds for Guided Bone Regeneration. Clin. Oral Investig. 2020, 24, 2037–2049. [Google Scholar] [CrossRef] [PubMed]
- Ferrari, R. Writing Narrative Style Literature Reviews. Med. Writ. 2015, 24, 230–235. [Google Scholar] [CrossRef]
- Chou, A.H.K.; LeGeros, R.Z.; Chen, Z.; Li, Y. Antibacterial Effect of Zinc Phosphate Mineralized Guided Bone Regeneration Membranes. Implant. Dent. 2007, 16, 89–100. [Google Scholar] [CrossRef] [PubMed]
- LeGeros, R.Z.; Lin, S.; Rohanizadeh, R.; Mijares, D.; LeGeros, J.P. Biphasic Calcium Phosphate Bioceramics: Preparation, Properties and Applications. J. Mater. Sci. Mater. Med. 2003, 14, 201–209. [Google Scholar] [CrossRef] [PubMed]
- Oh, S.-A.; Won, J.-E.; Kim, H.-W. Composite Membranes of Poly(Lactic Acid) with Zinc-Added Bioactive Glass as a Guiding Matrix for Osteogenic Differentiation of Bone Marrow Mesenchymal Stem Cells. J. Biomater. Appl. 2012, 27, 413–422. [Google Scholar] [CrossRef]
- Will, J.; Detsch, R.; Boccaccini, A.R. Chapter 7.1-Structural and Biological Characterization of Scaffolds. In Characterization of Biomaterials; Bandyopadhyay, A., Bose, S., Eds.; Academic Press: Oxford, UK, 2013; pp. 299–310. ISBN 978-0-12-415800-9. [Google Scholar]
- Vallee, B.L.; Falchuk, K.H. The Biochemical Basis of Zinc Physiology. Physiol. Rev. 1993, 73, 79–118. [Google Scholar] [CrossRef]
- Park, Y.J.; Ku, Y.; Chung, C.P.; Lee, S.J. Controlled Release of Platelet-Derived Growth Factor from Porous Poly(L-Lactide) Membranes for Guided Tissue Regeneration. J. Control. Release 1998, 51, 201–211. [Google Scholar] [CrossRef]
- Owen, G.R.; Jackson, J.; Chehroudi, B.; Burt, H.; Brunette, D.M. A PLGA Membrane Controlling Cell Behaviour for Promoting Tissue Regeneration. Biomaterials 2005, 26, 7447–7456. [Google Scholar] [CrossRef]
- Ku, Y.; Shim, I.K.; Lee, J.Y.; Park, Y.J.; Rhee, S.-H.; Nam, S.H.; Park, J.B.; Chung, C.P.; Lee, S.J. Chitosan/Poly(L-Lactic Acid) Multilayered Membrane for Guided Tissue Regeneration. J. Biomed. Mater. Res. A 2009, 90, 766–772. [Google Scholar] [CrossRef]
- Iijima, K.; Iizuka, A.; Suzuki, R.; Ueno-Yokohata, H.; Kiyokawa, N.; Hashizume, M. Effect of Protein Adsorption Layers and Solution Treatments on Hydroxyapatite Deposition on Polystyrene Plate Surfaces in Simulated Body Fluids. J. Mater. Sci. Mater. Med. 2017, 28, 193. [Google Scholar] [CrossRef]
- Liu, D.P.; Majewski, P.; O’Neill, B.K.; Ngothai, Y.; Colby, C.B. The Optimal SAM Surface Functional Group for Producing a Biomimetic HA Coating on Ti. J. Biomed. Mater. Res. A 2006, 77, 763–772. [Google Scholar] [CrossRef]
- Osorio, R.; Aguilera, F.S.; Otero, P.R.; Romero, M.; Osorio, E.; García-Godoy, F.; Toledano, M. Primary Dentin Etching Time, Bond Strength and Ultra-Structure Characterization of Dentin Surfaces. J. Dent. 2010, 38, 222–231. [Google Scholar] [CrossRef]
- ISO 23317:2012. Implants for Surgery—In Vitro Evaluation for Apatite-Forming Ability of Implant Materials, 2nd ed.; ISO: Geneva, Switzerland, 2012. [Google Scholar]
- Yiu, C.K.Y.; Tay, F.R.; King, N.M.; Pashley, D.H.; Sidhu, S.K.; Neo, J.C.L.; Toledano, M.; Wong, S.L. Interaction of Glass-Ionomer Cements with Moist Dentin. J. Dent. Res. 2004, 83, 283–289. [Google Scholar] [CrossRef]
- Pietak, A.M.; Reid, J.W.; Stott, M.J.; Sayer, M. Silicon Substitution in the Calcium Phosphate Bioceramics. Biomaterials 2007, 28, 4023–4032. [Google Scholar] [CrossRef] [PubMed]
- Chai, Y.C.; Carlier, A.; Bolander, J.; Roberts, S.J.; Geris, L.; Schrooten, J.; Van Oosterwyck, H.; Luyten, F.P. Current Views on Calcium Phosphate Osteogenicity and the Translation into Effective Bone Regeneration Strategies. Acta Biomater. 2012, 8, 3876–3887. [Google Scholar] [CrossRef]
- Tada, H.; Nemoto, E.; Kanaya, S.; Hamaji, N.; Sato, H.; Shimauchi, H. Elevated Extracellular Calcium Increases Expression of Bone Morphogenetic Protein-2 Gene via a Calcium Channel and ERK Pathway in Human Dental Pulp Cells. Biochem. Biophys. Res. Commun. 2010, 394, 1093–1097. [Google Scholar] [CrossRef]
- Shimauchi, H.; Nemoto, E.; Ishihata, H.; Shimomura, M. Possible Functional Scaffolds for Periodontal Regeneration. Jpn. Dent. Sci. Rev. 2013, 49, 118–130. [Google Scholar] [CrossRef]
- Kanaya, S.; Nemoto, E.; Sakisaka, Y.; Shimauchi, H. Calcium-Mediated Increased Expression of Fibroblast Growth Factor-2 Acts through NF-ΚB and PGE2/EP4 Receptor Signaling Pathways in Cementoblasts. Bone 2013, 56, 398–405. [Google Scholar] [CrossRef] [PubMed]
- Rubin, M.R.; Zhou, H.; Cusano, N.E.; Majeed, R.; Omeragic, B.; Gomez, M.; Nickolas, T.L.; Dempster, D.W.; Bilezikian, J.P. The Effects of Long-Term Administration of RhPTH(1-84) in Hypoparathyroidism by Bone Histomorphometry. J. Bone Miner. Res. 2018, 33, 1931–1939. [Google Scholar] [CrossRef] [PubMed]
- Parfitt, A.M.; Drezner, M.K.; Glorieux, F.H.; Kanis, J.A.; Malluche, H.; Meunier, P.J.; Ott, S.M.; Recker, R.R. Bone Histomorphometry: Standardization of Nomenclature, Symbols, and Units. Report of the ASBMR Histomorphometry Nomenclature Committee. J. Bone Miner. Res. 1987, 2, 595–610. [Google Scholar] [CrossRef]
- La Monaca, G.; Iezzi, G.; Cristalli, M.P.; Pranno, N.; Sfasciotti, G.L.; Vozza, I. Comparative Histological and Histomorphometric Results of Six Biomaterials Used in Two-Stage Maxillary Sinus Augmentation Model after 6-Month Healing. Biomed. Res. Int. 2018, 2018, 9430989. [Google Scholar] [CrossRef] [PubMed]
- Fujioka-Kobayashi, M.; Kobayashi, E.; Schaller, B.; Mottini, M.; Miron, R.J.; Saulacic, N. Effect of Recombinant Human Bone Morphogenic Protein 9 (RhBMP9) Loaded onto Bone Grafts versus Barrier Membranes on New Bone Formation in a Rabbit Calvarial Defect Model. J. Biomed. Mater. Res. A 2017, 105, 2655–2661. [Google Scholar] [CrossRef] [PubMed]
- Maggiano, I.S.; Maggiano, C.M.; Clement, J.G.; Thomas, C.D.L.; Carter, Y.; Cooper, D.M.L. Three-Dimensional Reconstruction of Haversian Systems in Human Cortical Bone Using Synchrotron Radiation-Based Micro-CT: Morphology and Quantification of Branching and Transverse Connections across Age. J. Anat. 2016, 228, 719–732. [Google Scholar] [CrossRef]
- Udagawa, A.; Sato, S.; Hasuike, A.; Kishida, M.; Arai, Y.; Ito, K. Micro-CT Observation of Angiogenesis in Bone Regeneration. Clin. Oral Implants Res. 2013, 24, 787–792. [Google Scholar] [CrossRef]
- Liu, W.; Li, J.; Cheng, M.; Wang, Q.; Yeung, K.W.K.; Chu, P.K.; Zhang, X. Zinc-Modified Sulfonated Polyetheretherketone Surface with Immunomodulatory Function for Guiding Cell Fate and Bone Regeneration. Adv. Sci. 2018, 5, 1800749. [Google Scholar] [CrossRef]
- Dey, A.; Bomans, P.H.H.; Müller, F.A.; Will, J.; Frederik, P.M.; de With, G.; Sommerdijk, N.A.J.M. The Role of Prenucleation Clusters in Surface-Induced Calcium Phosphate Crystallization. Nat. Mater. 2010, 9, 1010–1014. [Google Scholar] [CrossRef] [PubMed]
- Guarnieri, R.; Belleggia, F.; DeVillier, P.; Testarelli, L. Histologic and Histomorphometric Analysis of Bone Regeneration with Bovine Grafting Material after 24 Months of Healing. A Case Report. J. Funct. Biomater. 2018, 9, 48. [Google Scholar] [CrossRef] [PubMed]
- Toledano, M.; Yamauti, M.; Ruiz-Requena, M.E.; Osorio, R. A ZnO-Doped Adhesive Reduced Collagen Degradation Favouring Dentine Remineralization. J. Dent. 2012, 40, 756–765. [Google Scholar] [CrossRef]
- Woo, K.M.; Chen, V.J.; Ma, P.X. Nano-Fibrous Scaffolding Architecture Selectively Enhances Protein Adsorption Contributing to Cell Attachment. J. Biomed. Mater. Res. A 2003, 67, 531–537. [Google Scholar] [CrossRef]
- Bružauskaitė, I.; Bironaitė, D.; Bagdonas, E.; Bernotienė, E. Scaffolds and Cells for Tissue Regeneration: Different Scaffold Pore Sizes-Different Cell Effects. Cytotechnology 2016, 68, 355–369. [Google Scholar] [CrossRef]
- Polly, B.J.; Yuya, P.A.; Akhter, M.P.; Recker, R.R.; Turner, J.A. Intrinsic Material Properties of Trabecular Bone by Nanoindentation Testing of Biopsies Taken from Healthy Women before and after Menopause. Calcif. Tissue Int. 2012, 90, 286–293. [Google Scholar] [CrossRef]
- Xu, B.; Chow, M.-J.; Zhang, Y. Experimental and Modeling Study of Collagen Scaffolds with the Effects of Crosslinking and Fiber Alignment. Int. J. Biomater. 2011, 2011, 172389. [Google Scholar] [CrossRef]
- Baker, B.M.; Trappmann, B.; Wang, W.Y.; Sakar, M.S.; Kim, I.L.; Shenoy, V.B.; Burdick, J.A.; Chen, C.S. Cell-Mediated Fibre Recruitment Drives Extracellular Matrix Mechanosensing in Engineered Fibrillar Microenvironments. Nat. Mater. 2015, 14, 1262–1268. [Google Scholar] [CrossRef] [PubMed]
- Agrawal, R.; Nieto, A.; Chen, H.; Mora, M.; Agarwal, A. Nanoscale Damping Characteristics of Boron Nitride Nanotubes and Carbon Nanotubes Reinforced Polymer Composites. ACS Appl. Mater. Interfaces 2013, 5, 12052–12057. [Google Scholar] [CrossRef] [PubMed]
- Toledano, M.; Aguilera, F.S.; Osorio, E.; Cabello, I.; Toledano-Osorio, M.; Osorio, R. Self-Etching Zinc-Doped Adhesives Improve the Potential of Caries-Affected Dentin to Be Functionally Remineralized. Biointerphases 2015, 10, 031002. [Google Scholar] [CrossRef] [PubMed]
- Vijver, M.G.; van Gestel, C.A.M.; van Straalen, N.M.; Lanno, R.P.; Peijnenburg, W.J.G.M. Biological Significance of Metals Partitioned to Subcellular Fractions within Earthworms (Aporrectodea Caliginosa). Environ. Toxicol. Chem. 2006, 25, 807–814. [Google Scholar] [CrossRef] [PubMed]
- Guo, H.; Xia, D.; Zheng, Y.; Zhu, Y.; Liu, Y.; Zhou, Y. A Pure Zinc Membrane with Degradability and Osteogenesis Promotion for Guided Bone Regeneration: In Vitro and in Vivo Studies. Acta Biomater. 2020, 106, 396–409. [Google Scholar] [CrossRef]
- Augustine, R.; Dominic, E.A.; Reju, I.; Kaimal, B.; Kalarikkal, N.; Thomas, S. Electrospun Polycaprolactone Membranes Incorporated with ZnO Nanoparticles as Skin Substitutes with Enhanced Fibroblast Proliferation and Wound Healing. RSC Adv. 2014, 4, 24777–24785. [Google Scholar] [CrossRef]
- Bottino, M.C.; Thomas, V.; Schmidt, G.; Vohra, Y.K.; Chu, T.-M.G.; Kowolik, M.J.; Janowski, G.M. Recent Advances in the Development of GTR/GBR Membranes for Periodontal Regeneration—A Materials Perspective. Dent. Mater. 2012, 28, 703–721. [Google Scholar] [CrossRef]











Publisher’s Note: MDPI stays neutral with regard to jurisdictional claims in published maps and institutional affiliations. |
© 2021 by the authors. Licensee MDPI, Basel, Switzerland. This article is an open access article distributed under the terms and conditions of the Creative Commons Attribution (CC BY) license (https://creativecommons.org/licenses/by/4.0/).
Share and Cite
Toledano, M.; Vallecillo-Rivas, M.; Osorio, M.T.; Muñoz-Soto, E.; Toledano-Osorio, M.; Vallecillo, C.; Toledano, R.; Lynch, C.D.; Serrera-Figallo, M.-A.; Osorio, R. Zn-Containing Membranes for Guided Bone Regeneration in Dentistry. Polymers 2021, 13, 1797. https://doi.org/10.3390/polym13111797
Toledano M, Vallecillo-Rivas M, Osorio MT, Muñoz-Soto E, Toledano-Osorio M, Vallecillo C, Toledano R, Lynch CD, Serrera-Figallo M-A, Osorio R. Zn-Containing Membranes for Guided Bone Regeneration in Dentistry. Polymers. 2021; 13(11):1797. https://doi.org/10.3390/polym13111797
Chicago/Turabian StyleToledano, Manuel, Marta Vallecillo-Rivas, María T. Osorio, Esther Muñoz-Soto, Manuel Toledano-Osorio, Cristina Vallecillo, Raquel Toledano, Christopher D. Lynch, María-Angeles Serrera-Figallo, and Raquel Osorio. 2021. "Zn-Containing Membranes for Guided Bone Regeneration in Dentistry" Polymers 13, no. 11: 1797. https://doi.org/10.3390/polym13111797
APA StyleToledano, M., Vallecillo-Rivas, M., Osorio, M. T., Muñoz-Soto, E., Toledano-Osorio, M., Vallecillo, C., Toledano, R., Lynch, C. D., Serrera-Figallo, M.-A., & Osorio, R. (2021). Zn-Containing Membranes for Guided Bone Regeneration in Dentistry. Polymers, 13(11), 1797. https://doi.org/10.3390/polym13111797

