Abstract
Forestry and agricultural industries constitute highly relevant economic activities globally. They generate large amounts of residues rich in lignocellulose that have the potential to be valorized and used in different industrial processes. Producing renewable fuels and high-value-added compounds from lignocellulosic biomass is a key aspect of sustainable strategies and is central to the biorefinery concept. In this study, the use of biomass-derived monosaccharides for the enzymatic synthesis of sugar fatty acid esters (SFAEs) with antimicrobial activity was investigated to valorize these agro-industrial residues. With the aim to evaluate if lignocellulosic monosaccharides could be substrates for the synthesis of SFAEs, d-xylose, l-arabinose, and d-glucose, lauroyl and stearoyl monoesters were synthetized by transesterification reactions catalyzed by Lipozyme RM IM as biocatalyst. The reactions were performed using commercial d-xylose, l-arabinose, and d-glucose separately as substrates, and a 74:13:13 mixture of these sugars. The proportion of monosaccharides in the latter mixture corresponds to the composition found in hemicellulose from sugarcane bagasse and switchgrass, as previously described in the literature. Products were characterized using nuclear magnetic resonance (NMR) spectroscopy and showed that only the primary hydroxyl group of these monosaccharides is involved in the esterification reaction. Antimicrobial activity assay using several microorganisms showed that 5-O-lauroyl-d-xylofuranose and 5-O-lauroyl-l-arabinofuranose have the ability to inhibit the growth of Gram-positive bacteria separately and in the products mix. Furthermore, 5-O-lauroyl-l-arabinofuranose was the only product that exhibited activity against Candida albicans yeast, and the four tested filamentous fungi. These results suggest that sugar fatty acid esters obtained from sustainable and renewable resources and produced by green methods are promising antimicrobial agents.
1. Introduction
Lignocellulosic biomass is the main sustainable source of organic carbon on Earth and the perfect equivalent to oil to produce fuels and new products with zero net carbon emissions. It is an abundant and available renewable raw material throughout the world [1]. It generally consists of 11–40% cellulose, 10–36% hemicellulose and 15–30% lignin [2,3].
Biomass generated from agro-industrial waste is an attractive raw material to produce marketable biobased products and bioenergy [4,5,6,7]. Despite the possible benefits of the use of lignocellulosics, the conversion of biomass is a great challenge. Lignocellulosic material has evolved to resist enzymatic and chemical degradation. Therefore, pretreatment of this material is required to change the physical and chemical properties of its matrix. Several pretreatment processes have been studied and developed to efficiently separate the hemicellulose and lignin fractions from the cellulose without promoting the degradation of sugars [8,9,10,11,12]. After pretreatment, the released cellulose and hemicelluloses are hydrolyzed to monomeric sugars (hexoses and pentoses) using chemical or enzymatic methods [8,13,14,15]. These carbohydrates from renewable resources are useful to produce sugar fatty acid esters (SFAEs) [16,17,18]. The latter are amphiphilic, biodegradable, odorless, tasteless, non-irritating and non-toxic surfactants with broad applications in the food, cosmetic, and pharmaceutical industries [18,19]. Their surface-active properties and applications are mainly influenced by the nature of the sugar headgroup, the carbon chain length and the degree of substitution [20].
SFAEs can be produced by microbial fermentation, by chemical or enzymatic synthesis using renewable resources [21]. The enzymatic synthesis of SFAEs has some advantages over the conventional chemical synthesis. In the chemical synthesis, the reaction is generally performed at high temperatures with an alkaline or metallic catalyst, which is accompanied by high energy consumption and low selectivity toward the various hydroxyl groups in sugars. In addition, the purification of the esters formed is complex, due to the toxic by-products produced [22,23]. On the contrary, the production of these compounds through a biocatalytic synthesis can be performed by a one-step process without the protection and deprotection of the hydroxyl groups [24], using less toxic or non-toxic solvents and achieving high yields. Furthermore, biocatalytic synthesis usually presents high specificity and selectivity that allows pure products to be obtained, requires milder operating conditions that minimize side reactions and facilitates the separation of products [16,17,25,26]. In addition, the enzymatically synthesized product can gain the label of a natural product [25].
In recent years, there is growing interest in the application of biocatalysis for SFAEs synthesis, especially on the use of lipases (triacylglycerol hydrolases, E.C. 3.1.1.3) that are able to catalyze the synthesis of SFAEs by esterification reaction or by transesterification reaction [21,27,28,29]. Vinyl esters are widely used acyl donors due to the irreversible nature of the reaction and the absence of low-volatile side-products, which would hamper the work-up procedure [30].
Candida antarctica immobilized lipase B is the most employed biocatalyst in sugar esters synthesis [28,31,32,33]. Other lipases have been used in the synthesis of SFAEs to a lesser extent including the lipase produced by Rhizomucor miehei [21,34,35]. Numerous studies from the literature deal with esterification and transesterification reactions catalyzed by lipases for hexoses acylation, in particular d-glucose [21,36,37,38]. However, the use of d-xylose and l-arabinose in the synthesis of SFAEs has been lightly reported in the literature [17,39] despite being attractive as substrates under a biorefinery concept, since the hemicellulose fraction obtained after the depolymerization of lignocellulosic biomass is generally underused [22,40].
SFAEs have attracted much attention as a result of their biological activities, including insecticidal, antitumor [41] and antimicrobial properties [20,21,42,43,44,45,46] The rapid bacterial resistance development against many antibiotics and the existence of many pathogenic fungi resistant to single or multiple antifungal families, together with the limited arsenal of available antifungal compounds [47], new antibacterial and antifungal therapies are required. In this way, there is considerable interest to design and develop fatty acid based antimicrobial agents [48,49].
Although the antibacterial activities of sugar fatty acid esters have been studied, this information is still limited [42]. Of the carbohydrate fatty acid esters investigated, sucrose esters have been the most thoroughly studied [27,50], whereas other derivatives, such as xylose and arabinose esters have received less attention [17,22,33].
In this sense, in the present study we synthesized SFAEs by transesterification reactions catalyzed by Lipozyme RM IM, using biomass-derived monosaccharides as substrates. Reactions were performed using commercial sugars: d-xylose, l-arabinose, and d-glucose separately. A mix of these sugars consisting of 74% d-xylose, 13% l-arabinose and 13% d-glucose was also employed as substrate. This proportion of monosaccharides corresponds to the composition found in hemicellulose from sugarcane bagasse and switchgrass, as previously described in the literature [15,51,52,53]. In addition, the antimicrobial activity of lauroyl and stearoyl monoesters against bacteria and fungi was evaluated.
2. Results and Discussion
2.1. Synthesis of Sugars Laurate and Stearate Esters
Transesterification reactions of d-glucose, l-arabinose, or/and d-xylose with vinyl laurate or vinyl stearate were performed with immobilized Rhizomucor miehei lipase (Lipozyme RM IM) under two conditions: (a) monosaccharides individually in each reaction to analyze the performance and selectivity of the biocatalyst in the acylation on each sugar and; (b) employing a mixture of the three sugars. In the latter experiment, the proportion of d-xylose, l-arabinose and d-glucose was 74%, 13% and 13%, respectively, which is the monosaccharide composition found in hemicellulose from sugarcane bagasse and switchgrass according to previous reports [15,51,52,53].
The synthesis of sugar laurate and stearate esters was achieved as described in Scheme 1. After carrying out the transesterification reactions, purification steps of the reaction mixture obtained were carried out to achieve the pure sugar fatty acid esters.
Scheme 1.
Lipase-catalyzed synthesis of sugar fatty acid esters (1–6), using d-glucose, l-arabinose, d-xylose and fatty acid vinyl esters as substrates.
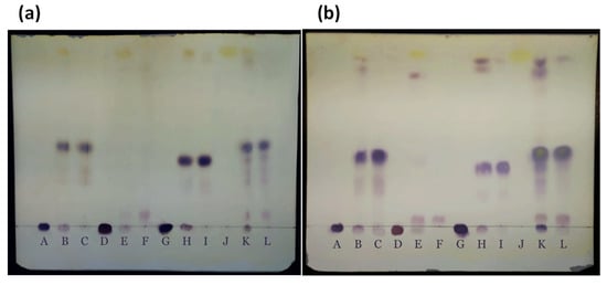
Firstly, transesterification products were visualized by TLC (Figure 1), which indicated the formation of a single ester derivative in each reaction. The 1H NMR spectra of products 1–6 (Figures S1 and S2) revealed that very good to high quality materials were obtained after the purification steps were performed. The 1H and 13C NMR chemical shifts assignments of the reaction products 4, 5 and 6 were carried out by analysis of the corresponding 1H (Table 1, Figures S1 and S2) and multiplicity-edited 1H,13C-HSQC spectra (Figure 2), and employing simulations carried out with the CASPER program [54]. The low field shift of the C5 resonances of compounds 4 and 6, and the C6 resonance of compound 5 (see red colored cross-peaks in Figure 2a,c,e), when compared to those of the corresponding free monosaccharides, revealed that only the primary hydroxyl group of the respective monosaccharides is involved in the esterification reaction. Thus, compounds 4 and 6 are α/β-anomeric mixtures of 5-O-lauroyl-d-xylofuranose and 5-O-lauroyl-l-arabinofuranose, respectively. Interestingly, only the α-anomer of the d-glucopyranose derivative (5) is obtained, indicating that the enzyme may have selectivity for that anomeric acceptor (Figure 2c). The 1H NMR spectra of compounds 1, 2 and 3 are remarkably similar to those of compounds 4, 5 and 6, respectively (Figures S1 and S2), differing only in the signals from the fatty acid moiety. Thus, compounds 1 and 3 are α/β-anomeric mixtures of 5-O-stearoyl-d-xylofuranose and 5-O-stearoyl-l-arabinofuranose, respectively, and compound 5 is mainly 6-O-stearoyl-α-d-glucopyranose (Figure 3). Carbohydrates represent a particularly challenging target for regioselective modifications due to their multiple hydroxyl groups. The results obtained in this work contribute to the evidence that biocatalytic regioselective acylation of sugars offers an alternative to the poor selectivity of chemical synthesis [55]. Furthermore, the reaction of the mixture of sugars (Xyl/Glc/Ara 74/13/13) with vinyl stearate yields the three stearoyl derivatives 1:2:3 in a 73/9/3 ratio. However, when vinyl laurate is used instead of vinyl stearate, only derivatives 4 and 5 are produced in an 85:15 ratio.
Figure 1.
Thin Layer Chromatogram (TLC) of reaction mixtures of stearoyl esters synthesis (a), lauroyl esters synthesis (b) and pure products obtained after purification steps. Sugars standars used A: d-xylose, D: d-glucose, G: l-arabinose. (a) B: Reaction mixture of 5-O-stearoyl-d-xylofuranose (1) synthesis. C: 5-O-stearoyl-d-xylofuranose (1) pure. E: Reaction mixture of 6-O-stearoyl-d-glucopyranose (2) synthesis. F: 6-O-stearoyl-d-glucopyranose (2) pure. H: Reaction mixture of 5-O-stearoyl-l-arabinofuranose (3) synthesis. I: 5-O-stearoyl-l-arabinofuranose (3) pure. J: Vinyl stearate standard. K: Reaction mixture of stearoyl esters synthesis. L: Stearoyl esters mixture (1/2/3) after workup. (b) B: Reaction mixture of 5-O-lauroyl-d-xylofuranose (4) synthesis. C: 5-O-lauroyl-d-xylofuranose (4) pure. E: Reaction mixture of 6-O-lauroyl-d-glucopyranose (5) synthesis. F: 6-O-lauroyl-d-glucopyranose (5) pure. H: Reaction mixture of 5-O-lauroyl-l-arabinofuranose (6) synthesis. I: 5-O-lauroyl-l-arabinofuranose (6) pure. J: Vinyl laurate standard. K: Reaction mixture of lauroyl esters synthesis. L: Lauroyl esters mixture (4/5) after workup.
Table 1.
1H and 13C NMR chemical shifts (ppm) of the monosaccharide moiety of the lauroyl derivatives (compounds 4, 5 and 6).
Figure 2.
Selected regions of the of the multiplicity-edited 1H,13C-HSQC spectra (500 MHz, 298 K, MeOD-d4) of (a,b) 5-O-lauroyl-d-xylofuranose (4), (c,d) 6-O-lauroyl-d-glucopyranose (5) and (e,f) 5-O-lauroyl-d-arabinofuranose (6) showing one-bond proton-carbon correlations from the sugar (left panels (a), (c) and (e), respectively) and lauroyl moieties (right panels (b), (d) and (f), respectively).
Figure 3.
Selected region of the 1H NMR spectra of (a) 5-O-stearoyl-l-arabinofuranose (6), (b) 6-O-stearoyl-d-glucopyranose (2), (c) 5-O-stearoyl-d-xylofuranose (1), (d) stearoyl esters mixture (1/2/3) and (e) lauroyl ester mixture (4/5), showing the anomeric resonances of the major components. The spectra of panels (a–d) were recorded on a Bruker Avance 500 MHz spectrometer whereas the spectrum of panel e was recorded on a Bruker Avance III 400 MHz spectrometer. At the conditions that the experiments were recorded, the β-pyranose form of the d-glucopyranose derivatives is observed as a very minor component (cf. Figure 2c).
Bioconversion percentage of d-glucose, l-arabinose, or d-xylose at (a) and (b) conditions are shown in Figure 4. The synthesis of d-glucose laurate and stearate esters led to low yields, which is similar to that reported by previous studies using Rhizomucor miehei lipase (Figure 4) [37,55,56,57].
Figure 4.
Conversion of d-glucose, l-arabinose, d-xylose and vinyl laurate or vinyl stearate for 24 h by Lipozyme RM IM. Data are shown as the averages of duplicate experiments.
On the other hand, it was observed in all the reactions performed that the catalytic activity of the Rhizomucor miehei lipase increased with the acyl donor chain length, except for the reaction that used glucose as acyl acceptor (Figure 4). These results are in agreement with the results reported previously by Degn et al. [37].
Although the selective acylation of the primary hydroxyl group of hexoses by lipases is well known (in particular d-glucose) [21,36,37,38], there is little information about the enzymatic acylation of pentoses, especially d-xylose and l-arabinose [17,39]. As mentioned above, these monosaccharides could be interesting choices to be used as acyl acceptors, considering that after hydrolysis of lignocellulosic biomasses, the hemicellulose fraction is generally underused [22,58]. The enzymatic synthesis of these compounds has been reported using the lipase B from Candida antarctica (CALB) [16,17,39,57,58,59], porcine pancreatic lipase (PPL) [40,60], Candida rugosa lipases [57] and Candida cylindracea lipase [61] as biocatalyst. In most of these reports the structural identification of the reaction products showed that a mixture of compounds is obtained (different mono- and diesters from d-xylose and l-arabinose) when these biocatalysts are used [16,17,39]. Conversely, in the reaction conditions employed in our work, using immobilized Rhizomucor miehei lipase, the acylation of the monosaccharides occurred regioselectively onto the primary hydroxyl groups
2.2. Antibacterial and Antifungal Activity of Sugars Laurate and Stearate Esters
Fatty acid esters exhibit antimicrobial activity due to their ability to interact with biological membranes [62]. Even low concentration of fatty acid esters lead to a change in the permeability of cell membranes, resulting in metabolic inhibition, growth arrest, or cell lysis [63]. In that sense, AlFindee et al. determined that the compound 6-O-tetradecanoyl--d-mannopyranose was capable of forming membrane pores, and attributed this mechanism to be the mode of growth inhibitory action of this SFAE against bacteria and fungi [64]. Furthermore, Shao et al. revealed that the antimicrobial activity of sucrose monolaurate is initiated through disruption of the integrity of the bacterial cell membrane [65]. The antimicrobial activity of carbohydrate fatty acid derivatives depends on the carbohydrate moiety, the type of fatty acids esterified, and the degree of esterification [66]. A summary of the mode of antimicrobial action of SFAEs is depicted in Figure S3.
Synthetized sugar fatty acid esters (single derivates 1–6; and mixtures 1/2/3 and 1/5) were tested for antibacterial activity against relevant strains studied in industrial applications for the prevention of food spoilage: Bacillus cereus, Bacillus subtilis, Staphylococcus aureus, Escherichia coli, Salmonella typhimurium and Pseudomonas aeruginosa. The results of antimicrobial activity testing using agar diffusion method, and the inhibition zones observed, are shown in Table 2 and Figure 5.
Table 2.
Antimicrobial activity of esters at concentration of 0.50 mg/disc, 0.25 mg/disc, 0.12 mg/disc and 0.025 mg/disc.
Figure 5.
Antimicrobial tests results. (A) Inhibition zones obtained with 5-O-lauroyl- d-xylofuranose (4) at 0.25 mg/disc (quadrant 1), 0.12 mg/disc (quadrant 2), 0.025 mg/disc (quadrant 3), Gentamicin (positive control) (quadrant 4) against Staphylococcus aureus. (B) Inhibition zones obtained with 5-O-lauroyl- l-arabinofuranose (6) at 0.50 mg/disc (quadrants 3, 4), DMSO (quadrant 1) against Candida albicans. (C) Inhibition zones obtained with 5-O-lauroyl- l-arabinofuranose (6) at 0.50 mg/disc (quadrants 1 and 2), DMSO (quadrants 3, 4) against Trichoderma koningiopsis.
The 5-O-lauroyl-d-xylofuranose, 5-O-lauroyl-l-arabinofuranose and the lauroyl esters mixture exhibited activity against Gram-positive bacteria and their inhibition zones diameters were similar to that of the antibiotic gentamicin (positive control). Both 5-O-lauroyl-d-xylofuranose and the lauroyl esters mixture showed antimicrobial activity at all the evaluated concentrations, whereas no action was observed in the case of 5-O-lauroyl-l-arabinofuranose at the minimum concentration (0.025 mg/disc) tested (Table 2). To the best of our knowledge, there is no data in the scientific literature concerning the antimicrobial activity of d-xylose monolaurate and l-arabinose monolaurate.
None of the synthetized esters were able to inhibit the growth of the tested Gram-negative bacteria. These results are in agreement with those reported in previously studies, which indicated that mono-substituted carbohydrate fatty acid esters generally are more active against Gram-positive than Gram-negative bacteria [45,67,68]. In particular, Park et al. [69] showed that laurate esters have selective antibacterial activity against Gram-positive, but not Gram-negative bacteria, attributing these observations to the structural differences in these bacterial membranes. Cell membranes are the primary target of fatty acids and their derivatives, they can be incorporated into cell membranes, leading to a disrupted electron transport chain and oxidative phosphorylation. Furthermore, the authors describe that the balance between the hydrophilic and hydrophobic parts of the molecule of long chain fatty acid and their derivatives is related to the mechanism underlying the bactericidal action [69]. Moreover, Jumina et al. reported that monosaccharide monomyristates exhibit antibacterial activity to the Gram-positive bacteria due to the presence of hydroxyl groups on the glycosyl part of the esters that allows them to interact with the Gram-positive bacterial cell wall and destabilized this structure, triggering bacterial lysis [70].
In the present study the antifungal activities of the SFAEs were tested against Candida albicans yeast and four filamentous fungi Aspergillus terreus, Trichoderma koningiopsis, Fusarium sp. and Penicillium sp. The results indicated that only 5-O-lauroyl-l-arabinofuranose was able to inhibit the growth of Candida albicans (Table 2) and the filamentous fungi evaluated (Table 3, Figure 5). The lauroyl esters mixture showed no antifungal activity, which is in accordance with the composition of the mix, where 5-O-lauroyl-l-arabinofuranose was not detected as a transesterification product (Figure 2).
Table 3.
Antifungal activity of 5-O-lauroyl-l-arabinofuranose at 0.5 mg/disc.
While many studies have focused on the antibacterial activity of sugar fatty acid esters, there is little research on the antifungal activity of these compounds. Inhibition of filamentous fungi growth was described by using 6-O-acylsucrose esters [68], 6-O-lauroysucrose esters [71], mannopyranoside esters [64,72], and fatty acid (capric, lauric, myristic, and palmitic) fructose esters [73]. To the best of our knowledge, the antifungal activity of 5-O-lauroyl-L-arabinofuranose has not been previously described (Tables S1 and S2).
On the other hand, we observed only microbial growth inhibition with monosaccharides esterified with vinyl laurate. No antibacterial and antifungal activity was observed in the case of synthetized stearate esters. These results are in accordance with those indicated by other authors regarding the significant impact of the length of the fatty acid chain on antibacterial activity [19,73,74,75]. These reports indicated that microbial growth inhibition caused by sugar-based esters decreases as the length of aliphatic side chain increased.
There was no observed activity in the case of d-glucose laurate and stearate esters against the bacteria and fungi tested. Similar results were reported in previous studies, which discussed that the configuration of the hydroxyl groups is an essential factor for antibacterial activity [19,76].
Overall, our results provide evidence that 5-O-lauroyl-d-xylofuranose and 5-O-lauroyl-l-arabinofuranose, both separately and in the products mix, which were synthetized from biomass-derived monosaccharides (d-glucose, d-xylose and l-arabinose) can be potentially used as antimicrobial preservatives in the pharmaceutical, cosmetic, and food industry.
3. Materials and Methods
3.1. Chemicals and Materials
Molecular sieves (3 Å, beads, X-X mesh), 2-butanone (≥99.0%), d-xylose (≥99%), l-arabinose (≥98%), d-glucose (≥98%), vinyl laureate (>99.0%), vinyl stearate (>98%) were purchased from Sigma-Aldrich Corp. (St. Louis, MO, USA).
Lipozyme® RM IM (≥300 U/g) (Novozymes Inc., Franklinton, NC, USA), lipase (EC 3.1.1.3) from Rhizomucor miehei immobilized onto macroporous anionic beads were purchased from Sigma-Aldrich (St. Louis, MO, USA).
Dimethylsulfoxide (≥99%), n-hexane (≥95%), ethyl acetate (≥95%) were purchased from CARLO ERBA Reagents S.A.S. (Chaussée du Vexin Parc d’Affaires des Portes, France).
Media used were obtained from Difco™ (Detroit, MI, USA). Thin layer chromatography (TLC) plates (Polygram® SIL G/UV 254 nm) were obtained from Macherey–Nagel™ (Düren, Germany). All other chemicals were from commercial sources and analytical grade.
3.2. Enzymatic Synthesis of Sugar Fatty Acid Esters
Sugar esters were synthesized by transesterification using lipase from Rhizomucor miehei (Lipozyme RM IM) as biocatalyst. 2-Butanone was stored over 3 Å molecular sieves (10% v/v) at least 24 h prior to use. Reactions were carried out in 20 mL vials in an oil bath at 50 °C with magnetic stirrer at 400 rpm. A mixture of d-xylose (74%), l-arabinose (13%) and d-glucose (13%) was used to simulate the monosaccharides composition of hemicellulose. Sugars d-xylose, l-arabinose, d-glucose or the mix (50 mM) was first dissolved in 10 mL of 2-butanone for 60 min. Acyl donor vinyl laureate or vinyl stearate (150 mM) was added and stirred for 60 min. Then, the biocatalyst (0.1% w/v) was incorporated.
3.3. Purification of Sugar Fatty Acid Products
After 24 h of reaction, the reaction mixture was centrifuged at 8000 rpm for 5 min to remove the enzyme. Solvent was evaporated using a rotary evaporator at 40 °C. The reaction mixture obtained was washed three times with hexane (7 mL) to remove acyl donor residue. Then, the crude solid was dissolved in ethyl acetate (15 mL) and extracted with distillated water (15 mL) to remove the sugar residue. The organic phase was dried over anhydrous MgSO4, filtrated and evaporated using a rotary evaporator, which yielded the highly pure esters 5-O-stearoyl-d-xylofuranose (1) (160 mg), 6-O-stearoyl-d-glucopyranose (2) (20 mg), 5-O-stearoyl-l-arabinofuranose (3) (180 mg), 5-O-lauroyl-d-xylofuranose (4) (97 mg), 6-O-lauroyl-d-glucopyranose (5) (25 mg), 5-O-lauroyl-l-arabinofuranose (6) (71 mg), stearoyl esters mixture (1,2,3) (140 mg) and lauroyl esters mixture (4,5) (70 mg). All experiments were performed in duplicate. The conversion yield was obtained by calculating molar yield of product as:
where X0 are the theoretical moles of sugar fatty acid ester that can be obtained if the sugar is fully converted and X1 are the moles of sugar fatty acid ester obtained.
Conversion = (X0/X1) × 100%
3.4. Analysis of Sugar Fatty Acid Products
3.4.1. TLC Analysis
TLC analyses were performed using ethyl acetate/hexane 3:1 as mobile phase. The compounds were visualized with 0.5% orcinol solution (w/v) in 5% H2SO4 in ethanol (v/v), followed by heating.
3.4.2. NMR Spectroscopy
The NMR experiments were acquired on a Bruker Avance III 500 MHz spectrometer equipped with a 5 mm Z-gradient TXI (1H/13C/15N) or TXI (1H/13C/31P) probe or Bruker Avance III 400 MHz spectrometer equipped with a 5 mm Z-gradient BBO probe. All experiments were performed in deuterated methanol (CD3OD; 99.8% atom Merck) solution at 298 K. The 1H and 13C chemical shifts are reported in ppm using the residual solvent peak as reference (δH 3.31 and δC 49.0 ppm, respectively). The reported 1H and 13C resonances were obtained from 1D 1H and 2D multiplicity-edited 1H, 13C-HSQC spectra. The NMR data processing was carried out using the vendor software Topspin 4.0.7 of Bruker Corporation (Billerica, MA, USA).
The ratio of the different compounds and/or tautomers in the reaction mixtures were obtained by integration of the corresponding anomeric resonances in the NMR spectrum.
3.5. Agar Diffusion Assay
Antimicrobial activity was determined according to Clinical and Laboratory Standards Institute (CLSI) [77]. Synthetized sugar fatty acid esters (1–6; and mixtures of 1/2/3 and 1/5) were tested for antimicrobial activity against microorganisms from the American Type Culture Collection (ATCC), three strains of Gram-positive bacteria: Staphylococcus aureus ATCC 6538, Bacillus subtilis ATCC 6633, Bacillus cereus ATCC 11700; three strains of Gram-negative bacteria: Pseudomonas aeruginosa ATCC 15442, Escherichia coli 25922, Salmonella thyphimurium ATCC 14028; and one yeast Candida albicans ATCC 101231.
Bacteria were grown in tryptic soy broth (TSB) at 37 °C for 24 h. Yeast was grown in potato dextrose broth (PDB) at 28 °C for 24 h. Cultures were adjusted with saline solution (NaCl 0.9%) to 0.5 McFarland scale (1.5 × 108 CFU/mL) and 100 µL were used to inoculate Mueller–Hinton agar plates. Sterile paper discs (9 mm of diameter) were placed on plates. Concentration of 0.50 mg/disc, 0.25 mg/disc, 0.12 mg/disc and 0.025 mg/disc of sugar fatty acid esters dissolved in DMSO were evaluated. 6-O-stearoyl-d-glucopyranose (2) was evaluated only at 0.12 mg/disc due to the low solubility in DMSO. Gentamicin (1.25 µg/disc) and Ketoconazole (15 µg/disc) were used as positive control, and DMSO was used as negative control. 10 μL of samples were dropped onto a disc. Plates were incubated at 37 °C (bacteria) or 28 °C (yeast) for 24 h. Inhibition zones were determined by measurement of the inhibition zone diameters including the diameter of the disc (in millimeters). All experiments were performed in triplicate.
Antifungal Activity
Antifungal tests were carried out by the agar diffusion method with four fungal species: Aspergillus terreus, Fusarium sp. (H6), Trichoderma koningiopsis (H3) and Penicillium sp. (H5) (from own collection of Laboratorio de Biocatálisis y Biotransformaciones, Facultad de Química, Universidad de la República) [78,79].
Fungi were grown in potato dextrose agar (PDA) slants at 28 °C until sporulation. A spore suspension in sterile physiological serum was prepared and spore concentration was estimated using a Neubauer chamber, leading to a final concentration of 1 × 105 spores/mL. 100 µL suspensions were used to inoculate PDA plates. Sterile paper discs (9 mm in diameter) were placed on plates and impregnated with 20 μL of sugar fatty acid esters dissolved in DMSO, resulting in a final concentration of 0.25 mg/disc. Ketoconazole (15 µg/disc) were used as positive control, and DMSO was used as negative control. Plates were incubated at 28 °C for 24 h. Inhibition zones were determined by measurement of the inhibition zone diameters, including the diameter of the disc (in millimeters). All experiments were performed in triplicate.
4. Conclusions
In this study, esters of biomass related monosaccharides were produced efficiently using Lipozyme RM IM as biocatalyst, both single monosaccharides and a mixture of them were employed as substrates. Through the full structural characterization proven by NMR spectroscopy, it was revealed that only the primary alcoholic group of the monosaccharides were involved in the esterification reaction, thus confirming a regioselective acylation.
We have successfully established a downstream process to isolate the carbohydrate esters from the reaction mixture, and their antimicrobial activities were further evaluated. Thus, 5-O-lauroyl-d-xylofuranose, 5-O-lauroyl-l-arabinofuranose, as well as a mixture containing the former derivative, exhibited activity against Gram-positive bacteria in a low concentration. Furthermore, 5-O-lauroyl-l-arabinofuranose was able to inhibit the growth of all filamentous fungi tested. These features make 5-O-lauroyl-d-xylofuranose, 5-O-lauroyl-l-arabinofuranose and the lauroyl esters mixture prominent antibacterial and antifungal natural compounds that could be used for applications in the medicine and food industry. Therefore, the results obtained in the present study demonstrate the potential use of sustainable lignocellulosic biomass as substrate to produce highly valuable fatty acid sugar esters by environment-friendly methodology.
Supplementary Materials
The following supporting information can be downloaded at: https://www.mdpi.com/article/10.3390/catal12060610/s1, Figure S1. 1H-NMR spectra (500 MHz, 298 K, MeOD-d4) of compounds 1–6; Figure S2. Selected region of the 1H-NMR spectra (500 MHz, 298 K, MeOD-d4) of compounds 1–6 showing the major anomeric resonances; Figure S3. Modes of action of antimicrobial activity of sugar fatty acid esters [27,42,64,65,69,70,75,80,81,82,83,84]; Table S1. Zones of inhibition of lauroyl and stearoyl monoesters of sugars reported in the literature since 2018. Results of antimicrobial activity against the microorganisms tested in our study [75,85,86]; Table S2. Minimum inhibitory concentration of lauroyl and esteroyl monoesters of sugars reported in the literature since 2018. Results of antimicrobial activity against the microorganisms tested in our study [64,68,81].
Author Contributions
Conceptualization, P.M. and P.R.; Methodology, P.R., C.F., E.B. and V.G.; Validation, E.B., L.D.M. and V.G.; Formal Analysis, P.M., P.R., C.F., E.B. and V.G.; Investigation, E.B., L.D.M., C.F. and V.G.; Data Curation, C.F.; Writing—Original Draft Preparation, C.F., V.G., P.M. and P.R.; Writing—Review and Editing E.B., C.F., V.G., P.M. and P.R.; Visualization, P.M., V.G., C.F., E.B. and P.R.; Supervision, P.R. and P.M.; Project Administration, P.M., S.V.J. and P.R.; Funding Acquisition, S.V.J., P.R. and P.M. All authors have read and agreed to the published version of the manuscript.
Funding
This research and the APC were funded by ERANet (ERANet17/BRF-0005), Agencia Nacional de Investigación e Innovación (ANII) (ERANET-Ryl-2018_1_1008462).
Data Availability Statement
Not applicable.
Acknowledgments
The authors are grateful to Programa de Desarrollo de las Ciencias Básicas (PEDECIBA) for their support in this project.
Conflicts of Interest
The authors declare no conflict of interest.
References
- Faraco, V. Lignocellulose Conversion: Enzymatic and Microbial Tools for Bioethanol Production; Springer: Berlin/Heidelberg, Germany, 2013; ISBN 9783642378614. [Google Scholar]
- Mussatto, S.I. Biomass Fractionation Technologies for a Lignocellulosic Feedstock Based Biorefinery; Elsevier: Amsterdam, The Netherlands, 2016. [Google Scholar]
- Makhuvele, R.; Ncube, I.; Jansen van Rensburg, E.L.; La Grange, D.C. Isolation of Fungi from Dung of Wild Herbivores for Application in Bioethanol Production. Braz. J. Microbiol. 2017, 48, 648–655. [Google Scholar] [CrossRef]
- Ni, J.; Li, Q.; Gong, L.; Liao, X.-L.; Zhang, Z.-J.; Ma, C.; He, Y. Highly Efficient Chemoenzymatic Cascade Catalysis of Biomass into Furfurylamine by a Heterogeneous Shrimp Shell-Based Chemocatalyst and an ω-Transaminase Biocatalyst in Deep Eutectic Solvent–Water. ACS Sustain. Chem. Eng. 2021, 9, 13084–13095. [Google Scholar] [CrossRef]
- Li, Q.; Ren, J.Q.; Li, Q.; Di, J.H.; Ma, C.; He, Y. Sustainable Conversion of Biomass-Derived D-xylose to Furfuryl Alcohol in a Deep Eutectic Solvent-Water System. ACS Sustain. Chem. Eng. 2021, 9, 10299–10308. [Google Scholar] [CrossRef]
- Li, Q.; Di, J.; Liao, X.; Ni, J.; Li, Q.; He, Y.-C.; Ma, C. Exploration of Benign Deep Eutectic Solvent–Water Systems for the Highly Efficient Production of Furfurylamine from Sugarcane Bagasse via Chemoenzymatic Cascade Catalysis. Green Chem. 2021, 23, 8154–8168. [Google Scholar] [CrossRef]
- Freitas, L.C.; Barbosa, J.R.; da Costa, A.L.C.; Bezerra, F.W.F.; Pinto, R.H.H.; de Carvalho Junior, R.N. From Waste to Sustainable Industry: How Can Agro-Industrial Wastes Help in the Development of New Products? Resour. Conserv. Recycl. 2021, 169, 105466. [Google Scholar] [CrossRef]
- Wu, M.; Gong, L.; Ma, C.; He, Y.C. Enhanced Enzymatic Saccharification of Sorghum Straw by Effective Delignification via Combined Pretreatment with Alkali Extraction and Deep Eutectic Solvent Soaking. Bioresour. Technol. 2021, 340, 125695. [Google Scholar] [CrossRef] [PubMed]
- Haldar, D.; Purkait, M.K. A Review on the Environment-Friendly Emerging Techniques for Pretreatment of Lignocellulosic Biomass: Mechanistic Insight and Advancements. Chemosphere 2021, 264, 128523. [Google Scholar] [CrossRef]
- Alokika; Anu; Kumar, A.; Kumar, V.; Singh, B. Cellulosic and Hemicellulosic Fractions of Sugarcane Bagasse: Potential, Challenges and Future Perspective. Int. J. Biol. Macromol. 2021, 169, 564–582. [Google Scholar] [CrossRef]
- Botto, E.; Reina, L.; Moyna, G.; Menéndez, P.; Rodríguez, P. Insights into the Hydrolysis of Eucalyptus Dunnii Bark by Xylanolytic Extracts of Pseudozyma sp. Biomass Convers. Biorefinery 2020, 1–8. [Google Scholar] [CrossRef]
- Schoofs, L.; Weidener, D.; Schurr, U.; Klose, H.; Grande, P.M. Fractionation of Lignocellulosic Biomass Using the Organocat Process. J. Vis. Exp. 2021, 2021, e61933. [Google Scholar] [CrossRef]
- Song, B.; Lin, R.; Lam, C.H.; Wu, H.; Tsui, T.H.; Yu, Y. Recent Advances and Challenges of Inter-Disciplinary Biomass Valorization by Integrating Hydrothermal and Biological Techniques. Renew. Sustain. Energy Rev. 2021, 135, 110370. [Google Scholar] [CrossRef]
- Botto, E.; Gioia, L.; del Pilar Menéndez, M.; Rodríguez, P. Pseudozyma sp. Isolation from Eucalyptus Leaves and Its Hydrolytic Activity over Xylan. Biocatal. Agric. Biotechnol. 2019, 21, 101282. [Google Scholar] [CrossRef]
- Bonfiglio, F.; Cagno, M.; Yamakawa, C.K.; Mussatto, S.I. Production of Xylitol and Carotenoids from Switchgrass and Eucalyptus Globulus Hydrolysates Obtained by Intensified Steam Explosion Pretreatment. Ind. Crop. Prod. 2021, 170, 113800. [Google Scholar] [CrossRef]
- Abdulmalek, E.; Hamidon, N.F.; Abdul Rahman, M.B. Optimization and Characterization of Lipase Catalysed Synthesis of Xylose Caproate Ester in Organic Solvents. J. Mol. Catal. B Enzym. 2016, 132, 1–4. [Google Scholar] [CrossRef]
- Méline, T.; Muzard, M.; Deleu, M.; Rakotoarivonina, H.; Plantier-Royon, R.; Rémond, C. D-Xylose and L-Arabinose Laurate Esters: Enzymatic Synthesis, Characterization and Physico-Chemical Properties. Enzym. Microb. Technol. 2018, 112, 14–21. [Google Scholar] [CrossRef]
- El-Baz, H.A.; Elazzazy, A.M.; Saleh, T.S.; Dourou, M.; Mahyoub, J.A.; Baeshen, M.N.; Madian, H.R.; Aggelis, G. Enzymatic Synthesis of Glucose Fatty Acid Esters Using Scos as Acyl Group-Donors and Their Biological Activities. Appl. Sci. 2021, 11, 2700. [Google Scholar] [CrossRef]
- Campana, R.; Merli, A.; Verboni, M.; Biondo, F.; Favi, G.; Duranti, A.; Lucarini, S. Synthesis and Evaluation of Saccharide-Based Aliphatic and Aromatic Esters as Antimicrobial and Antibiofilm Agents. Pharmaceuticals 2019, 12, 186. [Google Scholar] [CrossRef]
- Lucarini, S.; Fagioli, L.; Campana, R.; Cole, H.; Duranti, A.; Baffone, W.; Vllasaliu, D.; Casettari, L. Unsaturated Fatty Acids Lactose Esters: Cytotoxicity, Permeability Enhancement and Antimicrobial Activity. Eur. J. Pharm. Biopharm. 2016, 107, 88–96. [Google Scholar] [CrossRef]
- Zago, E.; Joly, N.; Chaveriat, L.; Lequart, V.; Martin, P. Enzymatic Synthesis of Amphiphilic Carbohydrate Esters: Influence of Physicochemical and Biochemical Parameters. Biotechnol. Rep. 2021, 30, e00631. [Google Scholar] [CrossRef]
- Gonçalves, M.C.P.; Amaral, J.C.; Fernandez-Lafuente, R.; de Sousa Junior, R.; Tardioli, P.W. Lipozyme 435-Mediated Synthesis of Xylose Oleate in Methyl Ethyl Ketone. Molecules 2021, 26, 3317. [Google Scholar] [CrossRef]
- Šabeder, S.; Habulin, M.; Knez, Ž. Lipase-Catalyzed Synthesis of Fatty Acid Fructose Esters. J. Food Eng. 2006, 77, 880–886. [Google Scholar] [CrossRef]
- Arcos, J.A.; Hill, C.G.; Otero, C. Kinetics of the Lipase-Catalyzed Synthesis of Glucose Esters in Acetone. Biotechnol. Bioeng. 2001, 73, 104–110. [Google Scholar] [CrossRef] [PubMed]
- Bezbradica, D.; Crovic, M.; Tanaskovic, J.S.; Lukovic, N.; Carevic, M.; Milivojevic, A.; Knezevic-Jugovic, Z. Enzymatic Syntheses of Esters—Green Chemistry for Valuable Food, Fuel and Fine Chemicals. Curr. Org. Chem. 2017, 21, 104–138. [Google Scholar] [CrossRef]
- Kapoor, M.; Gupta, M.N. Lipase Promiscuity and Its Biochemical Applications. Process Biochem. 2012, 47, 555–569. [Google Scholar] [CrossRef]
- Teng, Y.; Stewart, S.G.; Hai, Y.W.; Li, X.; Banwell, M.G.; Lan, P. Sucrose Fatty Acid Esters: Synthesis, Emulsifying Capacities, Biological Activities and Structure-Property Profiles. Crit. Rev. Food Sci. Nutr. 2021, 61, 3297–3317. [Google Scholar] [CrossRef] [PubMed]
- Grüninger, J.; Delavault, A.; Ochsenreither, K. Enzymatic Glycolipid Surfactant Synthesis from Renewables. Process Biochem. 2019, 87, 45–54. [Google Scholar] [CrossRef]
- Neta, N.S.; Teixeira, J.A.; Rodrigues, L.R. Sugar Ester Surfactants: Enzymatic Synthesis and Applications in Food Industry. Crit. Rev. Food Sci. Nutr. 2015, 55, 595–610. [Google Scholar] [CrossRef] [PubMed]
- Weber, H.K.; Stecher, H.; Faber, K. Sensitivity of Microbial Lipases to Acetaldehyde Formed by Acyl-Transfer Reactions from Vinyl Esters. Biotechnol. Lett. 1995, 17, 803–808. [Google Scholar] [CrossRef]
- Arcens, D.; Grau, E.; Grelier, S.; Cramail, H.; Peruch, F. 6-O-Glucose Palmitate Synthesis with Lipase: Investigation of Some Key Parameters. Mol. Catal. 2018, 460, 63–68. [Google Scholar] [CrossRef]
- An, D.; Zhang, X.; Liang, F.; Xian, M.; Feng, D.; Ye, Z. Synthesis, Surface Properties of Glucosyl Esters from Renewable Materials for Use as Biosurfactants. Colloids Surfaces A Physicochem. Eng. Asp. 2019, 577, 257–264. [Google Scholar] [CrossRef]
- Pappalardo, V.M.; Boeriu, C.G.; Zaccheria, F.; Ravasio, N. Synthesis and Characterization of Arabinose-Palmitic Acid Esters by Enzymatic Esterification. Mol. Catal. 2017, 433, 383–390. [Google Scholar] [CrossRef]
- Chang, S.W.; Shaw, J.F. Biocatalysis for the Production of Carbohydrate Esters. New Biotechnol. 2009, 26, 109–116. [Google Scholar] [CrossRef] [PubMed]
- de Carvalho Lima Torres, A.; de Lima, L.N.; Tardioli, P.W.; de Sousa Júnior, R. Mathematical Modeling of Enzymatic Syntheses of Biosurfactants Catalyzed by Immobilized Lipases. React. Kinet. Mech. Catal. 2020, 130, 699–712. [Google Scholar] [CrossRef]
- Gumel, A.M.; Annuar, M.S.M.; Heidelberg, T.; Chisti, Y. Lipase Mediated Synthesis of Sugar Fatty Acid Esters. Process Biochem. 2011, 46, 2079–2090. [Google Scholar] [CrossRef]
- Degn, P.; Pedersen, L.H.; Duus, J.Ø.; Zimmermann, W. Lipase-Catalysed Synthesis of Glucose Fatty Acid Esters in Tert-Butanol. Biotechnol. Lett. 1999, 21, 275–280. [Google Scholar] [CrossRef]
- Kennedy, J.F.; Kumar, H.; Panesar, P.; Marwaha, S.S.; Goyal, R.; Parmar, A.; Kaur, S. Enzyme-Catalyzed Regioselective Synthesis of Sugar Esters and Related Compounds. J. Chem. Technol. Biotechnol. 2007, 81, 866–876. [Google Scholar] [CrossRef]
- Martinez-Garcia, M.; Dejonghe, W.; Cauwenberghs, L.; Maesen, M.; Vanbroekhoven, K.; Satyawali, Y. Enzymatic Synthesis of Glucose- and Xylose Laurate Esters Using Different Acyl Donors, Higher Substrate Concentrations, and Membrane Assisted Solvent Recovery. Eur. J. Lipid Sci. Technol. 2021, 123, 2000225. [Google Scholar] [CrossRef]
- Vescovi, V.; dos Santos, J.B.C.; Tardioli, P.W. Porcine Pancreatic Lipase Hydrophobically Adsorbed on Octyl-Silica: A Robust Biocatalyst for Syntheses of Xylose Fatty Acid Esters. Biocatal. Biotransform. 2017, 35, 298–305. [Google Scholar] [CrossRef]
- Ferrer, M.; Perez, G.; Plou, F.J.; Castell, J.V.; Ballesteros, A. Antitumour Activity of Fatty Acid Maltotriose Esters Obtained by Enzymatic Synthesis. Biotechnol. Appl. Biochem. 2005, 42, 35. [Google Scholar] [CrossRef]
- Zhao, L.; Zhang, H.; Hao, T.; Li, S. In Vitro Antibacterial Activities and Mechanism of Sugar Fatty Acid Esters against Five Food-Related Bacteria. Food Chem. 2015, 187, 370–377. [Google Scholar] [CrossRef]
- Ferrer, M.; Soliveri, J.; Plou, F.J.; López-Cortés, N.; Reyes-Duarte, D.; Christensen, M.; Copa-Patiño, J.L.; Ballesteros, A. Synthesis of Sugar Esters in Solvent Mixtures by Lipases from Thermomyces Lanuginosus and Candida Antarctica B, and Their Antimicrobial Properties. Enzym. Microb. Technol. 2005, 36, 391–398. [Google Scholar] [CrossRef]
- Furukawa, S.; Akiyoshi, Y.; O’Toole, G.A.; Ogihara, H.; Morinaga, Y. Sugar Fatty Acid Esters Inhibit Biofilm Formation by Food-Borne Pathogenic Bacteria. Int. J. Food Microbiol. 2010, 138, 176–180. [Google Scholar] [CrossRef] [PubMed]
- Habulin, M.; Šabeder, S.; Knez, Ž. Enzymatic Synthesis of Sugar Fatty Acid Esters in Organic Solvent and in Supercritical Carbon Dioxide and Their Antimicrobial Activity. J. Supercrit. Fluids 2008, 45, 338–345. [Google Scholar] [CrossRef]
- Zhang, X.; Song, F.; Taxipalati, M.; Wei, W.; Feng, F. Comparative Study of Surface-Active Properties and Antimicrobial Activities of Disaccharide Monoesters. PLoS ONE 2014, 9, e114845. [Google Scholar] [CrossRef] [PubMed]
- Cortés, J.C.G.; Curto, M.Á.; Carvalho, V.S.D.; Pérez, P.; Ribas, J.C. The Fungal Cell Wall as a Target for the Development of New Antifungal Therapies. Biotechnol. Adv. 2019, 37, 107352. [Google Scholar] [CrossRef] [PubMed]
- Yosief, H.O.; Sarker, M.I. Naturally Derived Fatty Acid Based Antibacterial Agents. In Conversion of Renewable Biomass into Bioproducts; ACS Symposium Series; American Chemical Society: Washington, DC, USA, 2021; Volume 1392, pp. 6–91. ISBN 9780841298149. [Google Scholar]
- Malá, L.; Laloučková, K.; Hovorková, P.; Skřivanová, E. Susceptibility of Aeromonas Hydrophila to Medium-Chain Fatty Acids and Their Monoesters. Sci. Agric. Bohem. 2020, 51, 58–64. [Google Scholar] [CrossRef]
- Lee, S.M.; Sandhu, G.; Walsh, M.K. Growth Inhibitory Properties of Lactose Fatty Acid Esters. Saudi J. Biol. Sci. 2017, 24, 1483–1488. [Google Scholar] [CrossRef][Green Version]
- Xie, Y.; Guo, X.; Ma, Z.; Gong, J.; Wang, H.; Lv, Y. Efficient Extraction and Structural Characterization of Hemicellulose from Sugarcane Bagasse Pith. Polymers 2020, 12, 608. [Google Scholar] [CrossRef]
- Du Toit, P.J.; Olivier, S.P.; van Biljon, P.L. Sugar Cane Bagasse as a Possible Source of Fermentable Carbohydrates. I. Characterization of Bagasse with Regard to Monosaccharide, Hemicellulose, and Amino Acid Composition. Biotechnol. Bioeng. 1984, 26, 1071–1078. [Google Scholar] [CrossRef]
- Bian, J.; Peng, F.; Peng, X.P.; Xu, F.; Sun, R.C.; Kennedy, J.F. Isolation of Hemicelluloses from Sugarcane Bagasse at Different Temperatures: Structure and Properties. Carbohydr. Polym. 2012, 88, 638–645. [Google Scholar] [CrossRef]
- Lundborg, M.; Widmalm, G. Structural Analysis of Glycans by NMR Chemical Shift Prediction. Anal. Chem. 2011, 83, 1514–1517. [Google Scholar] [CrossRef] [PubMed]
- Oguntimein, G.B.; Erdmann, H.; Schmid, R.D. Lipase Catalysed Synthesis of Sugar Ester in Organic Solvents. Biotechnol. Lett. 1993, 15, 175–180. [Google Scholar] [CrossRef]
- Scheckermann, C.; Schlotterbeck, A.; Schmidt, M.; Wray, V.; Lang, S. Enzymatic Monoacylation of Fructose by Two Procedures. Enzym. Microb. Technol. 1995, 17, 157–162. [Google Scholar] [CrossRef]
- Tsitsimpikou, C.; Daflos, H.; Kolisis, F.N. Comparative Studies on the Sugar Esters Synthesis Catalysed by Candida Antarctica and Candida Rugosa Lipases in Hexane. J. Mol. Catal. B Enzym. 1997, 3, 189–192. [Google Scholar] [CrossRef]
- de Lima, L.N.; Vieira, G.N.A.; Kopp, W.; Tardioli, P.W.; Giordano, R.L.C. Mono- and Heterofunctionalized Silica Magnetic Microparticles (SMMPs) as New Carriers for Immobilization of Lipases. J. Mol. Catal. B Enzym. 2016, 133, S491–S499. [Google Scholar] [CrossRef]
- Danieli, B.; Luisetti, M.; Steurer, S.; Michelitsch, A.; Likussar, W.; Riva, S.; Reiner, J.; Schubert-Zsilavecz, M. Application of Lipase-Catalyzed Regioselective Esterification in the Preparation of Digitonin Derivatives. J. Nat. Prod. 1999, 62, 670–673. [Google Scholar] [CrossRef] [PubMed]
- Bidjou-Haiour, C.; Klai, N. Lipase Catalyzed Synthesis of Fatty Acid Xylose Esters and Their Surfactant Properties. Asian J. Chem. 2013, 25, 4347–4350. [Google Scholar] [CrossRef]
- Bouzaouit, N.; Bidjou-Haiour, C. Optimization of Lipase Catalyzed Synthesis of Fatty Acid Xylose Ester Using Statistical Experimental Designs. Sch. Res. Libr. Der Pharma Chem. 2015, 7, 261–269. [Google Scholar]
- Davidson, P.M.; Kabara, J.J.; Marshall, D.L. Medium-Chain Fatty Acids (>C8) and Monoesters. In Antimicrobials in Food; CRC Press: Boca Raton, FL, USA, 2020; pp. 373–404. [Google Scholar]
- Ye, R.; Hayes, G.D. Bioactive Properties of Sugar Fatty Acid Esters. In Frontiers in Bioactive Compounds at the Crossroads between Nutrition and Pharmacology; Bentham Science Publishers: Sharjah, United Arab Emirates, 2017. [Google Scholar]
- AlFindee, M.N.; Zhang, Q.; Subedi, Y.P.; Shrestha, J.P.; Kawasaki, Y.; Grilley, M.; Takemoto, J.Y.; Chang, C.W.T. One-Step Synthesis of Carbohydrate Esters as Antibacterial and Antifungal Agents. Bioorganic Med. Chem. 2018, 26, 765–774. [Google Scholar] [CrossRef]
- Shao, S.Y.; Shi, Y.G.; Wu, Y.; Bian, L.Q.; Zhu, Y.J.; Huang, X.Y.; Pan, Y.; Zeng, L.Y.; Zhang, R.R. Lipase-Catalyzed Synthesis of Sucrose Monolaurate and Its Antibacterial Property and Mode of Action against Four Pathogenic Bacteria. Molecules 2018, 23, 1118. [Google Scholar] [CrossRef]
- Wagh, A.; Shen, S.; Shen, F.A.; Miller, C.D.; Walsha, M.K. Effect of Lactose Monolaurate on Pathogenic and Nonpathogenic Bacteria. Appl. Environ. Microbiol. 2012, 78, 3465–3468. [Google Scholar] [CrossRef] [PubMed]
- Nobmann, P.; Smith, A.; Dunne, J.; Henehan, G.; Bourke, P. The Antimicrobial Efficacy and Structure Activity Relationship of Novel Carbohydrate Fatty Acid Derivatives against Listeria Spp. and Food Spoilage Microorganisms. Int. J. Food Microbiol. 2009, 128, 440–445. [Google Scholar] [CrossRef] [PubMed]
- Zhu, J.P.; Liang, M.Y.; Ma, Y.R.; White, L.V.; Banwell, M.G.; Teng, Y.; Lan, P. Enzymatic Synthesis of an Homologous Series of Long- and Very Long-Chain Sucrose Esters and Evaluation of Their Emulsifying and Biological Properties. Food Hydrocoll. 2022, 124, 107149. [Google Scholar] [CrossRef]
- Park, K.M.; Lee, S.J.; Yu, H.; Park, J.Y.; Jung, H.S.; Kim, K.; Lee, C.J.; Chang, P.S. Hydrophilic and Lipophilic Characteristics of Non-Fatty Acid Moieties: Significant Factors Affecting Antibacterial Activity of Lauric Acid Esters. Food Sci. Biotechnol. 2018, 27, 401–409. [Google Scholar] [CrossRef]
- Jumina, J.; Mutmainah, M.; Purwono, B.; Kurniawan, Y.S.; Syah, Y.M. Antibacterial and Antifungal Activity of Three Monosaccharide Monomyristate Derivatives. Molecules 2019, 24, 3692. [Google Scholar] [CrossRef]
- Řiháková, Z.; Plocková, M.; Filip, V.; Šmidrkal, J. Antifungal Activity of Lauric Acid Derivatives against Aspergillus Niger. Eur. Food Res. Technol. 2001, 213, 488–490. [Google Scholar] [CrossRef]
- Matin, M.M.; Hasan, M.S.; Uzzaman, M.; Bhuiyan, M.M.H.; Kibria, S.M.; Hossain, M.E.; Roshid, M.H.O. Synthesis, Spectroscopic Characterization, Molecular Docking, and ADMET Studies of Mannopyranoside Esters as Antimicrobial Agents. J. Mol. Struct. 2020, 1222, 128821. [Google Scholar] [CrossRef]
- Karlova, T.; Poláková, L.; Šmidrkal, J.; Filip, V. Antimicrobial Effects of Fatty Acid Fructose Esters. Czech J. Food Sci. 2010, 28, 146–149. [Google Scholar] [CrossRef]
- Zhang, X.; Wei, W.; Cao, X.; Feng, F. Characterization of Enzymatically Prepared Sugar Medium-Chain Fatty Acid Monoesters. J. Sci. Food Agric. 2015, 95, 1631–1637. [Google Scholar] [CrossRef]
- Tabisz, Ł.; Piotrowicz, Z.; Dąbrowska, M.; Dobrowolska, A.; Czaczyk, K.; Nowak, I.; Łęska, B. Sweet Surfactants I: Fatty Acid Esters of Sucralose. Food Chem. 2021, 358, 129827. [Google Scholar] [CrossRef]
- Watanabe, T.; Katayama, S.; Matsubara, M.; Honda, Y.; Kuwahara, M. Antibacterial Carbohydrate Monoesters Suppressing Cell Growth of Streptococcus Mutans in the Presence of Sucrose. Curr. Microbiol. 2000, 41, 210–213. [Google Scholar] [CrossRef] [PubMed]
- Clinical and Laboratory Standards Institute. Performance Standards for Antimicrobial Disk Susceptibility Tests: Approved Standard—Eleventh Edition; National Committee for Clinical Laboratory Standards/Clinical Laboratory Standards Institute, NCCLS/CLSI: Wayne, PA, USA, 2012; Volume 32, ISBN 1562384856. [Google Scholar]
- Giorgi, V.; Chaves, M.; Menéndez, P.; García Carnelli, C. Bioprospecting of Whole-Cell Biocatalysts for Cholesterol Biotransformation. World J. Microbiol. Biotechnol. 2019, 35, 12. [Google Scholar] [CrossRef] [PubMed]
- García, C.; Rodríguez, P.; Días, E.; Heinzen, H.; Menéndez, P. Biooxidation of 1,8-Cineole by Aspergillus Terreus. J. Mol. Catal. B Enzym. 2009, 59, 173–176. [Google Scholar] [CrossRef]
- Verboni, M.; Lucarini, S.; Duranti, A. 6’ -O-Lactose Ester Surfactants as an Innovative Opportunity in the Pharmaceutical Field: From Synthetic Methods to Biological Applications. Pharmaceuticals 2021, 14, 1306. [Google Scholar] [CrossRef] [PubMed]
- Chandrika, M.K.V.S.; Sharma, S. Promising Antifungal Agents: A Minireview. Bioorganic Med. Chem. 2020, 28, 115398. [Google Scholar] [CrossRef]
- Verboni, M.; Benedetti, S.; Campana, R.; Sisti, M.; Duranti, A.; Lucarini, S.; Palma, F.; Potenza, L. Synthesis and Biological Characterization of the New Glycolipid Lactose Undecylenate (URB1418). Pharmaceuticals 2022, 15, 456. [Google Scholar] [CrossRef]
- Yu, Q.; Zhang, B.; Ma, F.; Jia, C.; Xiao, C.; Zhang, B.; Xing, L.; Li, M. Novel Mechanisms of Surfactants against Candida Albicans Growth and Morphogenesis. Chem. Biol. Interact. 2015, 227, 1–6. [Google Scholar] [CrossRef]
- Marathe, S.J.; Shah, N.N.; Singhal, R.S. Enzymatic Synthesis of Fatty Acid Esters of Trehalose: Process Optimization, Characterization of the Esters and Evaluation of Their Bioactivities. Bioorg. Chem. 2019, 94, 103460. [Google Scholar] [CrossRef]
- Matin, M.M.; Bhuiyan, M.M.H.; Kabir, E.; Sanaullah, A.F.M.; Rahman, M.A.; Hossain, M.E.; Uzzaman, M. Synthesis, Characterization, ADMET, PASS Predication, and Antimicrobial Study of 6-O-Lauroyl Mannopyranosides. J. Mol. Struct. 2019, 1195, 189–197. [Google Scholar] [CrossRef]
- Mutmainah; Jumina; Bambang, P. Chemical Synthesis of Monosaccharide Lauric Acid Esters as Antibacterial and Antifungal Agents. Mater. Sci. Forum 2019, 948, 63–68. [Google Scholar] [CrossRef]
Publisher’s Note: MDPI stays neutral with regard to jurisdictional claims in published maps and institutional affiliations. |
© 2022 by the authors. Licensee MDPI, Basel, Switzerland. This article is an open access article distributed under the terms and conditions of the Creative Commons Attribution (CC BY) license (https://creativecommons.org/licenses/by/4.0/).





