Laparoscopic Microwave Ablation: Which Technologies Improve the Results
Abstract
Simple Summary
Abstract
1. Introduction
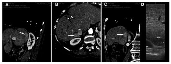
2. Use of 3D Reconstruction
- Choosing the patient’s position on the operating table according to the correct location of the nodule;
- Once the patient is positioned, the choice of the trocar entry point to be used for the laparoscopic probe can be chosen based on the location of the nodule as visualized by virtual reality [25];
- The technique of lesion centering using the laparoscopic ultrasound probe is totally free-hand. Comparison of images obtained with intraoperative ultrasound and augmented reality allow the surgeon greater accuracy in locating the antenna insertion point in the liver, so that the nodule can be reached with greater precision [14];
- Finally, in case the intra-hepatic vascular occlusion (IHVO) technique is to be used, 3D reconstruction together with virtual and augmented reality techniques allow the exact individualization of the vessel feeding the nodule, by obtaining a coagulative ablation of the vessel [26].
3. ICG Fluorescence Imaging
- In this setting, ICG fluorescence imaging can be also used to obtain information on nodule characteristics and to help in targeting the lesion;
- LUS is a fundamental tool for laparoscopic ablation procedures, but it has some drawbacks and difficulties in interpreting images. ICG fluorescence imaging is a promising method for navigation surgery, which allows the limitations of ultrasound examination to be overcome, above all for the subglissonean nodules. In a minimally invasive setting, ICG fluorescence can substitute the tactile feedback of the hand in the presence of soft parenchyma and in some cases, permits the identification of small superficial nodules not identified by the preoperative imaging modalities, completing the LUS staging. In the presence of macronodular cirrhosis and irregular liver surface, it can overcome the LUS difficulties due to the inadequate contact with the liver parenchyma, in the detection of superficial nodules [31,32,33];
- ICG imaging is very fast and perfectly integrated into the surgical equipment because fluorescent images of hepatic nodules are visualized by simply fixing on the liver surface with the camera and switching the camera system to the near-infrared function;
- ICG fluorescence imaging could identify different patterns of fluorescence for HCC nodules according to their grade of differentiation [34]: intense and homogenous fluorescence is indicative of well-differentiated HCC, while moderate or poorly differentiated tumor generates partial or rim-type fluorescence;
- In some procedures used during the laparoscopic thermoablation (IHVO) [26], it is possible to evaluate the ischemic effect of the occlusion of the vessel feeding the lesion. In this case, the ICG injection is performed immediately after the ablation of the vascular pedicle, and it is possible to visualize the area of the liver surface without IGC fluorescence (Figure 5).
4. LUS Evaluation
5. Conclusions
Supplementary Materials
Author Contributions
Funding
Acknowledgments
Conflicts of Interest
References
- Goh, B.K.P.; Prieto, M.; Syn, N.; Koh, Y.-X.; Teo, J.-Y.; Lee, S.-Y.; Chung, A.Y.; Chan, C.Y. Validation and comparison of the Iwate, IMM, Southampton and Hasegawa difficulty scoring systems for primary laparoscopic hepatectomies. HPB 2021, 23, 770–776. [Google Scholar] [CrossRef] [PubMed]
- Santambrogio, R.; Barabino, M.; De Nicola, E.; Galfrascoli, E.; Giovenzana, M.; Zappa, M.A. Laparoscopic ablation therapies for hepatocellular carcinoma: Could specific indications for the laparoscopic approach influence the effectiveness? Updates Surg. 2020, 72, 435–443. [Google Scholar] [CrossRef] [PubMed]
- Schneider, C.; Allam, M.; Stoyanov, D.; Hawkes, D.J.; Gurusamy, K.; Davidson, B.R. Performance of image guided navigation in laparoscopic liver surgery—A systematic review. Surg. Oncol. 2021, 38, 101637. [Google Scholar] [CrossRef] [PubMed]
- Berardi, G.; Colasanti, R.L.; Meniconi, R.L.; Ferretti, S.; Guglielmo, N.; Mariano, G.; Burocchi, M.; Campanelli, A.; Scotti, A.; Pecoraro, A.; et al. The applications of 3D imaging and indocyanine green dye fluorescence in laparoscopic liver surgery. Diagnostics 2021, 11, 2169. [Google Scholar] [CrossRef] [PubMed]
- Dupré, A.; De Crignis, L. Liver anatomy is king, three-dimensional reconstruction is queen, liver resections are princesses and princes. Ann. Transl. Med. 2022, 10, 1296. [Google Scholar] [CrossRef] [PubMed]
- Jiang, J.; Pei, L.; Jiang, R. Clinical efficacy and safety of 3D vascular reconstruction combined with 3D navigation in laparoscopic hepatectomy: Systematic review and meta-analysis. J. Gastrointest. Oncol. 2022, 13, 1215–1223. [Google Scholar] [CrossRef]
- Yeo, C.T.; MacDonald, A.; Ungi, T.; Lasso, A.; Jalink, D.; Zevin, B.; Fichtinger, G.; Nanji, S. Utility of 3D Reconstruction of 2D Liver Computed Tomography/Magnetic Resonance Images as a Surgical Planning Tool for Residents in Liver Resection Surgery. J. Surg. Educ. 2017, 75, 792–797. [Google Scholar] [CrossRef]
- Gavriilidis, P.; Edwin, B.; Pelanis, E.; Hidalgo, E.; De’Angelis, N.; Memeo, R.; Aldrighetti, L.; Sutcliffe, R.P. Navigated liver surgery: State of the art and future perspectives. Hepatobiliary Pancreat Dis. Int. 2021, 21, 226–233. [Google Scholar] [CrossRef]
- Nagino, M.; DeMatteo, R.; Lang, H.; Cherqui, D.; Malago, M.; Kawakatsu, S.; DeOliveira, M.L.; Adam, R.; Aldrighetti, L.; Boudjema, K.; et al. Proposal of a new comprehensive notation for hepatectomy. The “New World” terminology. Ann. Surg. 2021, 274, 1–3. [Google Scholar] [CrossRef]
- Ichida, H.; Imamura, H.; Yoshioka, R.; Mizuno, T.; Mise, Y.; Kuwatsuru, R.; Kawasaki, S.; Saiura, A. Re-evaluation of the Couinaud classification for segmental anatomy of the right liver, with particular attention to the relevance of cranio-caudal boundaries. Surgery 2021, 169, 333–340. [Google Scholar] [CrossRef]
- Hagopian, E.J. Liver ultrasound: A key procedure in the surgeon’s toolbox. J. Surg. Oncol. 2020, 122, 61–69. [Google Scholar] [CrossRef] [PubMed]
- Torzilli, G.; McCormack, L.; Pawlik, T. Parenchyma-sparing liver resections. Int. J. Surg. 2020, 82, 192–197. [Google Scholar] [CrossRef] [PubMed]
- Boedecker, C.; Huettl, F.; Saalfeld, P.; Paschold, M.; Kneist, W.; Baumgart, J.; Preim, B.; Hansen, C.; Lang, H.; Huber, T. Using virtual 3D-models in surgical planning: Workflow of an immersive virtual reality application in liver surgery. Langenbeck’s Arch. Surg. 2021, 406, 911–915. [Google Scholar] [CrossRef]
- An, C.; Zhang, M.; Yang, J.; Cheng, Z.; Yu, X.; Han, Z.; Liu, F.; Dong, L.; Yu, J.; Liang, P. 3D visualization ablation planning system assisted microwave ablation for hepatocellular carcinoma (diameter >3): A precise clinical application. BMC Cancer 2020, 20, 44–58. [Google Scholar] [CrossRef] [PubMed]
- Shin, J.; Lee, S.; Yoon, J.K.; Chung, Y.E.; Choi, J.Y.; Park, M.S. LI-RADS major features on MRI for diagnosing hepatocellular carcinoma: A systematic review and meta-analysis. J. Magn. Reson. Imaging 2021, 54, 518–525. [Google Scholar] [CrossRef]
- Soon, D.S.C.; Chae, M.P.; Pilgrim, C.H.C.; Rozen, W.M.; Spychal, R.T.; Hunter-Smith, D.J. 3D haptic modelling for preoperative planning of hepatic resection: A systematic review. Ann. Med. Surg. 2016, 10, 1–7. [Google Scholar] [CrossRef]
- Lodewick, T.M.; Arnoldussen, C.W.; Lahaye, M.J.; van Mierlo, K.M.; Neumann, U.P.; Beets-Tan, R.G.; Dejong, C.H.; van Dam, R.M. Fast and accurate liver volumetry prior to hepatectomy. HPB 2016, 18, 764–772. [Google Scholar] [CrossRef]
- Heimann, T.; van Ginneken, B.; Styner, M.A.; Arzhaeva, Y.; Aurich, V.; Bauer, C.; Beck, A.; Becker, C.; Beichel, R.; Bekes, G.; et al. Comparison and evaluation of methods for liver segmentation from CT datasets. IEEE Trans. Med. Imaging 2009, 28, 1251–1265. [Google Scholar] [CrossRef]
- Willatt, J.; Ruma, J.A.; Azar, S.F.; Dasika, N.L.; Syed, F. Imaging of hepatocellular carcinoma and image guided therapies—How we do it. Cancer Imaging 2017, 17, 9. [Google Scholar] [CrossRef]
- Fedorov, A.; Beichel, R.; Kalpathy-Cramer, J.; Finet, J.; Fillion-Robin, J.-C.; Pujol, S.; Bauer, C.; Jennings, D.; Fennessy, F.; Sonka, M.; et al. 3D Slicer as an Image Computing Platform for the Quantitative Imaging Network. Magn. Reson. Imaging 2012, 30, 1323–1341. [Google Scholar] [CrossRef]
- Vertemati, M.; Cassin, S.; Rizzetto, F.; Vanzulli, A.; Elli, M.; Sampogna, G.; Gallieni, M. Virtual Reality Environment to Visualize Three-Dimensional Patient-Specific Models by a Mobile Head-Mounted Display. Surg. Innov. 2019, 26, 359–370. [Google Scholar] [CrossRef] [PubMed]
- Al Janabi, H.F.; Aydin, A.; Palaneer, S.; Macchione, N.; Al-Jabir, A.; Shamim Khan, M.; Dasgupta, P.; Ahmed, A. Effectiveness of the HoloLens mixed-reality headset in minimally invasive surgery: A simulation-based feasibility study. Surg. Endosc. 2020, 34, 1143–1149. [Google Scholar] [CrossRef] [PubMed]
- Van Nguyen, S.; Thanh Le, S.; Tran, M.K.; Tran, H.M. Reconstruction of 3D digital heritage objects for VR and AR applications. J. Inf. Telecommun. 2022, 6, 254–269. [Google Scholar] [CrossRef]
- Giannone, F.; Felli, E.; Cherkaoui, Z.; Mascagni, P.; Pessaux, P. Augmented Reality and Image-Guided Robotic Liver Surgery. Cancers 2021, 13, 6268. [Google Scholar] [CrossRef]
- Santambrogio, R.; Barabino, M.; Opocher, E. Non-resection: Radiofrequency Ablation, Cryo, Microwave. In Surgical Principles of Minimally Invasive Procedures: Manual of the European Association of Endoscopic Surgery (EAES); Bonjer, H.J., Ed.; Springer International Publishing: Cham, Switzerland, 2017; pp. 131–137. [Google Scholar]
- Santambrogio, R.; Costa, M.; Barabino, M.; Opocher, E. Laparoscopic radiofrequency of hepatocellular carcinoma using ultrasound-guided selective intra-hepatic vascular occlusion. Surg. Endosc. 2008, 22, 2051–2055. [Google Scholar] [CrossRef]
- Yang, T.; Lin, S.; Xie, Q.; Ouyang, W.; Tan, T.; Li, J.; Chen, Z.; Yang, J.; Wu, H.; Pan, J.; et al. Impact of 3D printing technology on the comprehension of surgical liver anatomy. Surg. Endosc. 2019, 33, 411–417. [Google Scholar] [CrossRef]
- Kose, E.; Kahramangil, B.; Aydin, H.; Donmez, M.; Takahashi, H.; Acevedo-Moreno, L.-A.; Sasaki, K.; Aucejo, F.; Berber, E. A comparison of indocyanine green fluorescence and laparoscopic ultrasound for detection of liver tumors. HPB 2020, 22, 764–769. [Google Scholar] [CrossRef]
- Hu, Y.; Guo, W.; Ma, J.; Yu, J.; Liu, W.; Zhang, C.; Jia, W.; Ge, Y. Application of indocyanine green fluorescence imaging combined with laparoscopic ultrasound in laparoscopic microwave ablation of liver cancer. Med. Sci. Monit. 2022, 28, e937832. [Google Scholar] [CrossRef]
- Zhang, W.; Hu, Z.; Tian, J.; Fang, C. A narrative review of near-infrared fluorescence imaging in hepatectomy for hepatocellular carcinoma. Ann. Transl. Med. 2021, 9, 171–186. [Google Scholar] [CrossRef]
- Boogerd, L.S.F.; Handgraaf, H.J.M.; Lam, H.D.; Huurman, V.A.L.; Farina-Sarasqueta, A.; Frangioni, J.V.; van de Velde, C.J.; Braat, A.E.; Vahrmeijer, A.L. Laparoscopic detection and resection of occult liver tumors of multiple cancer types using realtime near-infrared fluorescence guidance. Surg. Endosc. 2017, 31, 952–961. [Google Scholar] [CrossRef]
- Kudo, H.; Ishizawa, T.; Tani, K.; Harada, N.; Ichida, A.; Shimizu, A.; Kaneko, J.; Aoki, T.; Sakamoto, Y.; Sugawara, Y.; et al. Visualization of subcapsular hepatic malignancy by indocyanine-green fluorescence imaging during laparoscopic hepatectomy. Surg. Endosc. 2014, 28, 2504–2508. [Google Scholar] [CrossRef] [PubMed]
- Takahashi, H.; Zaidi, N.; Berber, E. An initial report on the intraoperative use of indocyanine green fluorescence imaging in the surgical management of liver tumors. J. Surg. Oncol. 2016, 114, 625–629. [Google Scholar] [CrossRef] [PubMed]
- Ishizawa, T.; Fukushima, N.; Shibahara, J.; Masuda, K.; Tamura, S.; Aoki, T.; Hasegawa, K.; Beck, Y.; Fukayama, M.; Kokudo, N. Real-time identification of liver cancers by using indocyanine green fluorescent imaging. Cancer 2009, 115, 2491–2504. [Google Scholar] [CrossRef] [PubMed]
- Piccolo, G.; Barabino, M.; Diana, M.; Lo Menzo, E.; Epifani, A.G.; Lecchi, F.; Santambrogio, R.; Opocher, E. Application of indocyanine green fluorescence as an adjuvant to laparoscopic ultrasound in minimally invasive liver resection. J. Laparoendosc. Adv. Surg. Tech. 2021, 31, 517–523. [Google Scholar] [CrossRef] [PubMed]
- Thompson, D.M.; Arregui, M.E. Role of laparoscopic ultrasound in cancer management. Semin. Surg. Oncol. 1998, 15, 166–175. [Google Scholar] [CrossRef]
- Santambrogio, R.; Barabino, M.; Opocher, E. Ultrasound-guided intraoperative ablation therapies. In Ultrasound-guided liver surgery. An atlas; Torzilli, G., Ed.; Springer: Milan, Italy, 2014; pp. 231–247. [Google Scholar]
- Viganó, L.; Ferrero, A.; Amisano, M.; Russolillo, N.; Capussotti, L. Comparison of laparoscopic and open intraoperative ultrasonography for staging liver tumours. Br. J. Surg. 2013, 100, 535–542. [Google Scholar] [CrossRef]
- Santambrogio, R.; Opocher, E.; Pisani Ceretti, A.; Barabino, M.; Costa, M.; Leone, S.; Montorsi, M. Impact of intraoperative ultrasonography in laparoscopic liver surgery. Surg. Endosc. 2007, 21, 181–188. [Google Scholar] [CrossRef]
- Giglio, M.C.; Garofalo, E.; Montalti, R.; Vanlander, A.; Troisi, R.I. The learning curve of laparoscopic ablation of liver tumors: A technically demanding procedure requiring dedicated training. Eur. J. Surg. Oncol. 2021, 47, 2579–2585. [Google Scholar] [CrossRef]
- Eisele, R.M.; Gabelein, G.; Glanemann, M. Needle insertion in laparoscopic thermoablation of the liver. Adv. Res. Gastroenterol. Hepatol. 2017, 6, 59–61. [Google Scholar] [CrossRef]
- Santambrogio, R.; Bianchi, P.; Pasta, A.; Palmisano, A.; Montorsi, M. Ultrasound-guided interventional procedures of the liver during laparoscopy: Technical considerations. Surg. Endosc. 2002, 16, 349–354. [Google Scholar] [CrossRef]
- Santambrogio, R.; Opocher, E.; Zuin, M. Surgical resection versus laparoscopic radiofrequency ablation in patients with hepatocellular carcinoma and Child-Pugh class A liver cirrhosis. Ann. Surg. Oncol. 2009, 16, 3289–3298. [Google Scholar] [CrossRef] [PubMed]
- Chen, Z.H.; Zhang, X.P.; Wang, H.; Chai, Z.T.; Sun, J.X.; Guo, W.X.; Shi, J.; Cheng, S.Q. Effect of microvascular invasion on the postoperative long-term prognosis of solitary small HCC: A systematic review and meta-analysis. HPB 2019, 21, 935–944. [Google Scholar] [CrossRef]
- Erstad, D.J.; Tanabe, K.K. Prognostic and therapeutic implications of microvascular invasion in hepatocellular carcinoma. Ann. Surg. Oncol. 2019, 26, 1474–1493. [Google Scholar] [CrossRef]
- Ferrer-Fabrega, J.; Forner, A.; Liccioni, A.; Miquel, R.; Molina, V.; Navasa, M.; Fondevila, C.; Garcia-Valdecasas, J.C.; Bruix, J.; Fuster, J. Prospective validation of ab initio liver transplantation in hepatocellular carcinoma upon detection of risk factors for recurrence after resection. Hepatology 2016, 63, 839–849. [Google Scholar] [CrossRef] [PubMed]
- Cillo, U.; Giuliani, T.; Polacco, M.; Herrero Manley, L.M.; Crivellari, G.; Vitale, A. Prediction of hepatocellular carcinoma biological behavior in patient selection for liver transplantation. World J. Gastroenterol. 2016, 22, 232–252. [Google Scholar] [CrossRef] [PubMed]
- Yamashita, Y.; Tsuijita, E.; Takeishi, K.; Fujiwara, M.; Kira, S.; Mori, M.; Aishima, S.; Taketomi, A.; Shirabe, K.; Ishida, T.; et al. Predictors for microinvasion of small hepatocellular carcinoma ≤ 2 cm. Ann. Surg. Oncol. 2012, 19, 2027–2034. [Google Scholar] [PubMed]
- Santambrogio, R.; Cigala, C.; Barabino MMaggioni, M.; Scifo, G.; Bruno, S.; Bertolini, E.; Opocher, E.; Bulfamante, G. Intraoperative ultrasound for prediction of hepatocellular carcinoma biological behavior: Prospective comparison with pathology. Liver Int. 2018, 38, 312–320. [Google Scholar] [CrossRef]
- Santambrogio, R.; Barabino, M.; D’Alessandro, V.; Iacob, G.; Opocher, E.; Gemma, M.; Zappa, M.A. Micronvasive behaviour of single small hepatocellular carcinoma: Which treatment? Updates Surg. 2021, 73, 1359–1369. [Google Scholar] [CrossRef]






Disclaimer/Publisher’s Note: The statements, opinions and data contained in all publications are solely those of the individual author(s) and contributor(s) and not of MDPI and/or the editor(s). MDPI and/or the editor(s) disclaim responsibility for any injury to people or property resulting from any ideas, methods, instructions or products referred to in the content. |
© 2023 by the authors. Licensee MDPI, Basel, Switzerland. This article is an open access article distributed under the terms and conditions of the Creative Commons Attribution (CC BY) license (https://creativecommons.org/licenses/by/4.0/).
Share and Cite
Santambrogio, R.; Vertemati, M.; Barabino, M.; Zappa, M.A. Laparoscopic Microwave Ablation: Which Technologies Improve the Results. Cancers 2023, 15, 1814. https://doi.org/10.3390/cancers15061814
Santambrogio R, Vertemati M, Barabino M, Zappa MA. Laparoscopic Microwave Ablation: Which Technologies Improve the Results. Cancers. 2023; 15(6):1814. https://doi.org/10.3390/cancers15061814
Chicago/Turabian StyleSantambrogio, Roberto, Maurizio Vertemati, Matteo Barabino, and Marco Antonio Zappa. 2023. "Laparoscopic Microwave Ablation: Which Technologies Improve the Results" Cancers 15, no. 6: 1814. https://doi.org/10.3390/cancers15061814
APA StyleSantambrogio, R., Vertemati, M., Barabino, M., & Zappa, M. A. (2023). Laparoscopic Microwave Ablation: Which Technologies Improve the Results. Cancers, 15(6), 1814. https://doi.org/10.3390/cancers15061814

