Mast Cell Leukemia: An Update with a Practical Review
Abstract
Simple Summary
Abstract
1. Introduction
2. Overview on Mastocytosis, SM Diagnostic Criteria and Different Subtypes of SM
- cutaneous mastocytosis (CM) with skin-limited disease, which is more common in children and which presents good biological behavior;
- SM with involvement of one or more extra-cutaneous organs, which is more frequent in adults and has a less favorable outcome;
- The major criterion consists of multifocal, dense aggregates, each of at least 15 MCs, in BM biopsy and/or another extra-cutaneous organ.
- The following features are recognized as B-findings: >30% of BM cellularity consisting of MCs and serum total tryptase >200 ng/mL; dysplasia or myeloproliferative features in non-MC lineages that are not enough for the diagnosis of other myeloid neoplasms with normal or only slightly abnormal blood counts; hepatomegaly without impairment of liver function; splenomegaly without hypersplenism and/or abnormal size of lymph nodes.
- The following features qualify as C-findings: one or more cytopenia due to diffuse BM infiltration; hepatomegaly with damaged liver function; splenomegaly with hypersplenism; malabsorption and weight loss due to gastrointestinal (GI) MC infiltration; and osteolytic bone lesions.
3. MCL: Defining Criteria, Leukemic and Aleukemic Variants, Primary and Secondary Variants
4. MCL: Epidemiology and Clinical Manifestations
5. MCL: Acute Variant and Chronic Variant
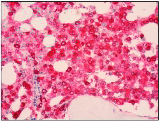
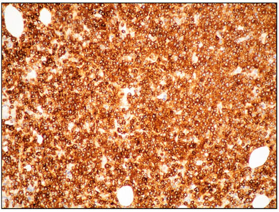
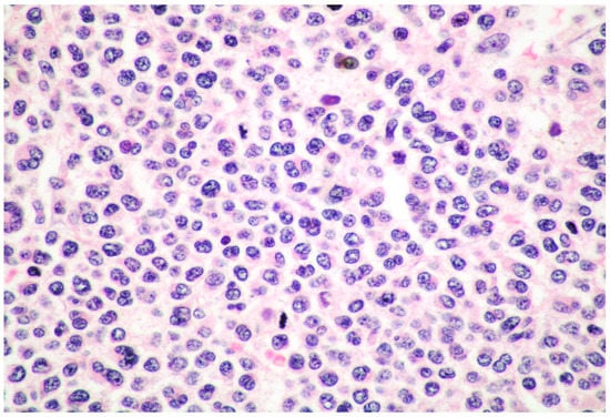
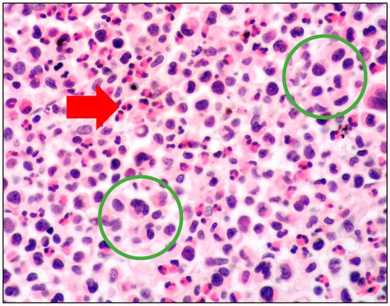
6. MCL: Morphology of MCs
- spindle-shaped MCs characterized by an oval nucleus, elongated cytoplasmic processes and hypo-granulated cytoplasm, often with focal granule accumulation (atypical MC type I);
- well-differentiated MCs characterized by a round-shaped morphology, with a round nucleus and granulated cytoplasm.
- promastocytes which have bi-lobated or multi-lobated nuclei (Figure 2);
- metachromatic, granulated blasts;
- pleomorphic, multinucleated MCs.
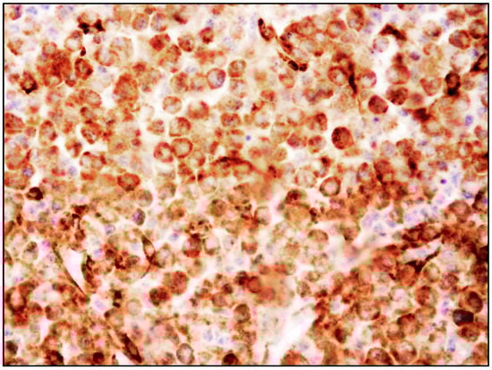
7. MCL: Immunophenotyping
8. MCL: Molecular Features
9. SM-AHN (or SM/AMN) and MCL-AHN (or MCL-AMN)
10. Differential Diagnosis between MCL and Myelomastocytic leukemia (MML) and Other Rare Entities
- at least 10% immature MCs/metachromatic blasts in BM smear in the context of an advanced myeloid neoplasm;
- >5% myeloblasts in BM smear or PB (sign of advanced myeloid neoplasm);
- at least 10% of BM cells should be MCs (positivity for tryptase and CD117);
- absence of SM diagnostic criteria (in particular, MML is CD25-negative and lacks KIT mutations).
11. MCL: Outcome and Treatment
12. Conclusions
Author Contributions
Funding
Institutional Review Board Statement
Informed Consent Statement
Data Availability Statement
Acknowledgments
Conflicts of Interest
Abbreviation
References
- Joachim, G. Uber Mastzellenleukamien. Dtsch. Arch. Fur Klin. Medizin. 1906, 87, 437. [Google Scholar]
- WHO Classification of Tumours Editorial Board (Ed.) WHO Classification of Tumours Haematopoietic and Lymphoid Tissues, 4th ed.; IARC: Lyon, France, 2017.
- Khoury, J.D.; Solary, E.; Abla, O.; Akkari, Y.; Alaggio, R.; Apperley, J.F.; Bejar, R.; Berti, E.; Busque, L.; Chan, J.K.C.; et al. The 5th edition of the World Health Organization Classification of Haematolymphoid Tumours: Myeloid and Histiocytic/Dendritic Neoplasms. Leukemia 2022, 36, 1703–1719. [Google Scholar] [CrossRef] [PubMed]
- Georgin-Lavialle, S.; Lhermitte, L.; Dubreuil, P.; Chandesris, M.O.; Hermine, O.; Damaj, G. Mast cell leukemia. Blood 2013, 121, 1285–1295. [Google Scholar] [CrossRef] [PubMed]
- Jawhar, M.; Schwaab, J.; Meggendorfer, M.; Naumann, N.; Horny, H.P.; Sotlar, K.; Haferlach, T.; Schmitt, K.; Fabarius, A.; Valent, P.; et al. The clinical and molecular diversity of mast cell leukemia with or without associated hematologic neoplasm. Haematologica 2017, 102, 1035–1043. [Google Scholar] [CrossRef]
- Jain, P.; Wang, S.; Patel, K.P.; Sarwari, N.; Cortes, J.; Kantarjian, H.; Verstovsek, S. Mast cell leukemia (MCL): Clinico-pathologic and molecular features and survival outcome. Leuk. Res. 2017, 59, 105–109. [Google Scholar] [CrossRef]
- Galura, G.M.; Cherukuri, S.V.; Hakim, N.; Gaur, S.; Orazi, A. Acute aleukemic mast cell leukemia: Report of a case and review of the literature. Leuk. Res. Rep. 2020, 14, 100230. [Google Scholar] [CrossRef]
- Leguit, R.; Hebeda, K.; Kremer, M.; van der Walt, J.; Gianelli, U.; Tzankiv, A.; Orazi, A. The spectrum of aggressive mastocytosis: A workshop report and literature review. Pathobiology 2020, 87, 2–19. [Google Scholar] [CrossRef]
- Kennedy, V.E.; Perkins, C.; Reiter, A.; Jawhar, M.; Lubke, J.; Kluin-Nelemans, H.C.; Shomali, W.; Langford, C.; Abuel, J.; Hermine, O.; et al. Mast cell leukemia: Clinical and molecular features and survival outcomes of patients in the ECNM Registry. Blood Adv. 2022. [Google Scholar] [CrossRef]
- Arber, D.A.; Orazi, A.; Hasserjian, R.P.; Borowitz, M.J.; Calvo, K.R.; Kvasnicka, H.-M.; Wang, S.A.; Bagg, A.; Tiziano Barbui, T.; Branford, S.; et al. International Consensus Classification of Myeloid Neoplasms and Acute Leukemias: Integrating morphologic, clinical, and genomic data. Blood 2022, 140, 1200–1228. [Google Scholar] [CrossRef]
- Valent, P.; Sotlar, K.; Sperr, W.R.; Escribano, L.; Yavuz, S.; Reiter, A.; George, T.I.; Kluin-Nelemans, H.C.; Hermine, O.; Butterfield, J.H.; et al. Refined diagnostic classification of mast cell leukemia (MCL) and myelomastocytic leukemia (MML): A consensus proposal. Ann. Oncol. 2014, 25, 1691–1700. [Google Scholar] [CrossRef]
- Metcalfe, D.D. Mast cells and mastocytosis. Blood 2008, 112, 946–956. [Google Scholar] [CrossRef]
- Valent, P.; Akin, C.; Arock, M.; Brockow, K.; Butterfield, J.H.; Carter, M.C.; Castelss, M.; Escribano, L.; Hartmann, K.; Lieberman, P.; et al. Definitions, criteria and global classification of mast cell disorders with special reference to mast cell activation syndromes: A consensus proposal. Int. Arch. Allergy. Immunol. 2012, 157, 215–225. [Google Scholar] [CrossRef] [PubMed]
- Valent, P. Mastocytosis: A paradigmatic example of a rare disease with complex biology and pathology. Am. J. Cancer Res. 2013, 3, 159–172. [Google Scholar]
- Valent, P.; Akin, C.; Metcalfe, D.D. Mastocytosis: 2016 updated WHO classification and novel emerging treatment concepts. Blood 2017, 129, 1420–1427. [Google Scholar] [CrossRef] [PubMed]
- Zanelli, M.; Pai, R.K.; Zorzi, M.G.; Zizzo, M.; Martino, G.; Morelli, L.; Parisi, A.; De Marco, L.; Annessi, V.; Ascani, S. Gastrointestinal mastocytosis: A potential diagnostic pitfall to be aware. Int. J. Surg. Pathol. 2019, 27, 643–646. [Google Scholar] [CrossRef] [PubMed]
- Zanelli, M.; Pizzi, M.; Sanguedolce, F.; Zizzo, M.; Palicelli, A.; Soriano, A.; Bisagni, A.; Martino, G.; Caprera, C.; Moretti, M.; et al. Gastrointestinal manifestations in systemic mastocytosis: The need of a multidisciplinary approach. Cancers 2021, 13, 3316. [Google Scholar] [CrossRef]
- Scherber, R.M.; Borate, U. How we diagnose and treat systemic mastocytosis in adults. Br. J. Haematol. 2018, 180, 11–23. [Google Scholar] [CrossRef]
- Pardani, A. Systemic mastocytosis in adults: 2021 update on diagnosis, risk stratification and management. Am. J. Hematol. 2021, 96, 508–525. [Google Scholar]
- El Hussein, S.; Chifotides, H.T.; Khoury, J.D.; Verstovsek, S.; Thakral, B. Systemic mastocytosis and other entities involving mast cells: A practical review and update. Cancers 2022, 14, 3474. [Google Scholar] [CrossRef]
- Lim, K.H.; Tefferi, A.; Lasho, T.L.; Finke, C.; Patnaik, M.; Butterfield, J.H.; McClure, R.F.; Li, C.-Y.; Pardani, A. Systemic mastocytosis in 342 consecutive adults: Survival studies and prognostic factors. Blood 2009, 113, 5727–5736. [Google Scholar] [CrossRef]
- Monnier, J.; Georgin-Lavialle, S.; Canioni, D.; Lhermitte, L.; Soussan, M.; Arock, M.; Bruneau, J.; Dubreuil, P.; Bodemer, C.; Chandesris, M.-O.; et al. Mast cell sarcoma: New cases and literature review. Oncotarget 2016, 7, 66299–66309. [Google Scholar] [CrossRef]
- Horny, H.P.; Sotlar, K.; Sperr, W.R.; Valent, P. Systemic mastocytosis with associated clonal haematological non-mast cell lineage diseases: A histopathological challenge. J. Clin. Pathol. 2004, 57, 604–608. [Google Scholar] [CrossRef] [PubMed]
- Zanelli, M.; Ricci, S.; Zizzo, M.; Sanguedolce, F.; De Giorgi, F.; Palicelli, A.; Martino, G.; Ascani, S. Systemic mastocytosis associated with “smoldering” multiple myeloma. Diagnostics 2021, 11, 88. [Google Scholar] [CrossRef] [PubMed]
- Wang, R.C.; Ward, D.; Dunn, P.; Chang, C.-C. Acute mast cell leukemia associated with t(4;5)(q21;q33). Hum. Pathol. 2017, 67, 198–204. [Google Scholar] [CrossRef] [PubMed]
- Suh, M.C.; Ham, J.Y.; Park, T.-I.; Moon, J.H.; Soo Suh, J.S. Highly Aggressive de novo Aleukemic Variant of Mast Cell Leukemia without KIT D816V Mutation. Ann. Lab. Med. 2017, 37, 547–549. [Google Scholar] [CrossRef]
- Costopoulos, M.; Uzunov, M.; Bories, D.; Charlotte, F.; Maloum, K.; Arock, M. Acute mast cell leukemia: A rare but highly aggressive hematopoietic neoplasm. Diagn. Cytopathol. 2018, 6, 639–641. [Google Scholar] [CrossRef]
- Valent, P.; Sotlar, K.; Sperr, W.R.; Reiter, A.; Arock, M.; Horny, H.-P. Chronic mast cell leukemia: A novel leukemia-variant with distinct morphological and clinical features. Leuk. Res. 2015, 39, 1–5. [Google Scholar] [CrossRef]
- Valent, P.; Berger, J.; Cerny-Reiterer, S.; Peter, B.; Eisenwort, G.; Hoermann, G.; Mullauer, L.; Mannhalter, C.; Steurer, M.; Bettelheim, P.; et al. Chronic mast cell leukemia (MCL) with KIT S476I: A rare entity defined by leukemic expansion of mature mast cells and absence of organ damage. Ann. Hematol. 2015, 94, 223–231. [Google Scholar] [CrossRef]
- Alvarez-Twose, I.; Jara-Acevedo, M.; Morgado, J.M.; Garcia-Montero, A.; Sanchez-Munoz, L.; Teodosio, C.; Matito, A.; Mayado, A.; Caldas, C.; Mollejo, M.; et al. Clinical, immunophenotypic and molecular characteristics of well-differentiated systemic mastocytosis. J. Allergy Clin. Immunol. 2016, 137, 168–178. [Google Scholar] [CrossRef]
- Sperr, W.R.; Escribano, L.; Jordan, J.H.; Schernthaner, G.H.; Kundi, M.; Horny, H.-P.; Valent, P. Morphologic properties of neoplastic mast cells: Delineation of stages of maturation and implication for cytological grading of mastocytosis. Leuk. Res. 2001, 25, 529–536. [Google Scholar] [CrossRef] [PubMed]
- Leguit, R.J.; Wang, S.A.; George, T.I.; Tzankov, A.; Orazi, A. The international consensus classification of mastocytosis sand related entities. Virchows Arch. 2022, 482, 99–112. [Google Scholar] [CrossRef] [PubMed]
- Valent, P.; Sotlar, K.; Horny, H.-P. Aberrant expression of CD30 in aggressive systemic mastocytosis and mast cell leukemia: A differential diagnosis to consider in aggressive hematopoietic CD30-positive neoplasms. Leuk. Lymphoma 2011, 52, 740–744. [Google Scholar] [CrossRef]
- Jawhar, M.; Schwaab, J.; Schnittger, S.; Meggerdorfer, M.; Pfirrmann, M.; Sotlar, K.; Horny, H.-P.; Metzgeroth, G.; Kluger, S.; Naumann, N.; et al. Additional mutations in SRSF2, ASXL1 and/or RUNX1 identify a high-risk group of patients with KIT D816V (+) advanced systemic mastocytosis. Leukemia 2016, 30, 136–143. [Google Scholar] [CrossRef]
- Sperr, W.R.; Horny, H.-P.; Valent, P. Spectrum of associated clonal hematologic non-mast cell lineage disorders occurring in patients with systemic mastocytosis. Int. Arch. Allergy Immunol. 2002, 127, 140–142. [Google Scholar] [CrossRef]
- Sperr, W.R.; Horny, H.-P.; Lechner, K.; Valent, P. Clinical and biologic diversity of leukemias occurring in patients with mastocytosis. Leuk. Lymphoma 2000, 37, 473–486. [Google Scholar] [CrossRef]
- Bernd, H.-W.; Sotlar, K.; Lorenzen, J.; Osieka, R.; Fabry, U.; Valent, P.; Horny, H.-P. Acute myeloid leukaemia (AML) with t (8;21) associated with “occult” mastocytosis (SM-AHNMD). Report of an unusual case and review of the literature. J. Clin. Pathol. 2004, 57, 324–328. [Google Scholar] [CrossRef]
- Pullarkat, V.A.; Bueso-Ramos, C.; Lai, R.; Kroft, S.; Wilson, C.S.; Pullarkat, S.T.; Bu, X.; Thein, M.; Lee, M.; Brynes, R.K. Systemic mastocytosis with associated clonal hematological non-mast-cell lineage disease: Analysis of clinicopathologic features and activating c-kit mutations. Am. J. Hematol. 2003, 73, 12–17. [Google Scholar] [CrossRef]
- Valent, P.; Samorapoompichi, P.; Sperr, W.R.; Horny, H.P.; Lechner, K. Myelomastocytic leukemia: Myeloid neoplasm characterized by partial differentiation of mast cell lineage cells. Hematol. J. 2002, 3, 90–94. [Google Scholar] [CrossRef]
- Horny, H.P.; Sotlar, K.; Reiter, A.; Valent, P. Myelomastocytic leukemia: Histopathological features, diagnostic criteria and differential diagnosis. Expert Rev. Hematol. 2014, 7, 431–437. [Google Scholar] [CrossRef] [PubMed]
- Sperr, W.R.; Hauswirth, A.W.; Valent, P. Tryptase: A novel biochemical marker of acute myeloid leukemia. Leuk Lymphoma 2002, 43, 2257–2261. [Google Scholar] [CrossRef] [PubMed]
- Ustun, C.; Reiter, A.; Scott, B.L.; Nakamura, R.; Damaj, G.; Kreil, S.; Shanley, R.; Hogan, W.J.; Perales, M.-A.; Shore, T.; et al. Hematopoietic stem-cell transplantation for advanced systemic mastocytosis. J. Clin. Oncol. 2014, 32, 3264–3274. [Google Scholar] [CrossRef] [PubMed]
- Jawhar, M.; Schwaab, J.; Hausmann, D.; Clemens, J.; Naumann, N.; Henzler, T.; Horny, H.-P.; Sotlar, K.; Schoenberg, S.O.; Cross, N.C.P.; et al. Splenomegaly, elevated alkaline phosphatase and mutations in the SRSF2/ASXL1/RUNX1 gene panel are strong adverse prognostic markers in patients with systemic mastocytosis. Leukemia. 2016, 30, 2342–2350. [Google Scholar] [CrossRef] [PubMed]
- Gotlib, J.; Reiter, A.; Radia, D.H. Efficacy and safety of avapritinib in advanced systemic mastocytosis: Interim analysis of the phase 2 PATHFINDER trial. Nat Med. 2021, 27, 2192–2199. [Google Scholar] [CrossRef] [PubMed]
- DeAngelo, D.J.; Radia, D.H.; George, T.I.; Robinson, W.A.; Quiery, A.T.; Drummond, M.W.; Bose, P.; Hexner, E.O.; Winton, E.F.; Horny, H.-P.; et al. Safety and efficacy of avapritinib in advanced systemic mastocytosis: The phase 1 EXPLORER trial. Nat Med. 2021, 27, 2183–2191. [Google Scholar] [CrossRef]





|
|
|
|
|
| 2022 WHO: The diagnosis of SM can be performed when the major criterion plus one minor criterion or at least 3 minor criteria are fulfilled. 2022 ICC: The diagnosis of SM can be performed when the major criterion or, in its absence, at least 3 minor criteria are fulfilled. |
| Major criterion |
|
| Minor criteria |
|
| 2022 WHO: SM-AHN AHN includes neoplasms of myeloid, plasma-cell and lymphoid-cell origin |
| 2022 ICC: SM-AMN AMN includes only neoplasms of myeloid origin |
| Myelomastocytic Leukemia | Mast Cell Leukemia |
|---|---|
| At least 10% immature mast cells or metachromatic blasts in BM | =/>20% immature mast cells or metachromatic blasts in BM |
| >5% myeloblasts in BM or PB | Immature mast cells may be present or not in PB |
| CD25-negative | CD25-positive |
| Wild-type KIT | KIT mutations in most cases |
Disclaimer/Publisher’s Note: The statements, opinions and data contained in all publications are solely those of the individual author(s) and contributor(s) and not of MDPI and/or the editor(s). MDPI and/or the editor(s) disclaim responsibility for any injury to people or property resulting from any ideas, methods, instructions or products referred to in the content. |
© 2023 by the authors. Licensee MDPI, Basel, Switzerland. This article is an open access article distributed under the terms and conditions of the Creative Commons Attribution (CC BY) license (https://creativecommons.org/licenses/by/4.0/).
Share and Cite
Zanelli, M.; Quintini, M.; Magnasco, S.; Aprile, L.; Palicelli, A.; Zizzo, M.; Sanguedolce, F.; Ricci, S.; Pancetti, S.; Zuccalà, V.; et al. Mast Cell Leukemia: An Update with a Practical Review. Cancers 2023, 15, 1664. https://doi.org/10.3390/cancers15061664
Zanelli M, Quintini M, Magnasco S, Aprile L, Palicelli A, Zizzo M, Sanguedolce F, Ricci S, Pancetti S, Zuccalà V, et al. Mast Cell Leukemia: An Update with a Practical Review. Cancers. 2023; 15(6):1664. https://doi.org/10.3390/cancers15061664
Chicago/Turabian StyleZanelli, Magda, Martina Quintini, Salvatore Magnasco, Lara Aprile, Andrea Palicelli, Maurizio Zizzo, Francesca Sanguedolce, Stefano Ricci, Saverio Pancetti, Valeria Zuccalà, and et al. 2023. "Mast Cell Leukemia: An Update with a Practical Review" Cancers 15, no. 6: 1664. https://doi.org/10.3390/cancers15061664
APA StyleZanelli, M., Quintini, M., Magnasco, S., Aprile, L., Palicelli, A., Zizzo, M., Sanguedolce, F., Ricci, S., Pancetti, S., Zuccalà, V., Martino, V., Broggi, G., Caltabiano, R., Cavazza, A., Parente, P., Mecucci, C., Martino, G., & Ascani, S. (2023). Mast Cell Leukemia: An Update with a Practical Review. Cancers, 15(6), 1664. https://doi.org/10.3390/cancers15061664

