Therapy of Locally Advanced and Oligometastatic Pancreatic Adenocarcinoma
Abstract
:Simple Summary
Abstract
1. Introduction
2. Neoadjuvant Therapy Can Lead to Better Survival by Improving Resectability and Systemic Therapy Efficacy in Locally Advanced, but Not in Upfront Resectable Pancreatic Cancer
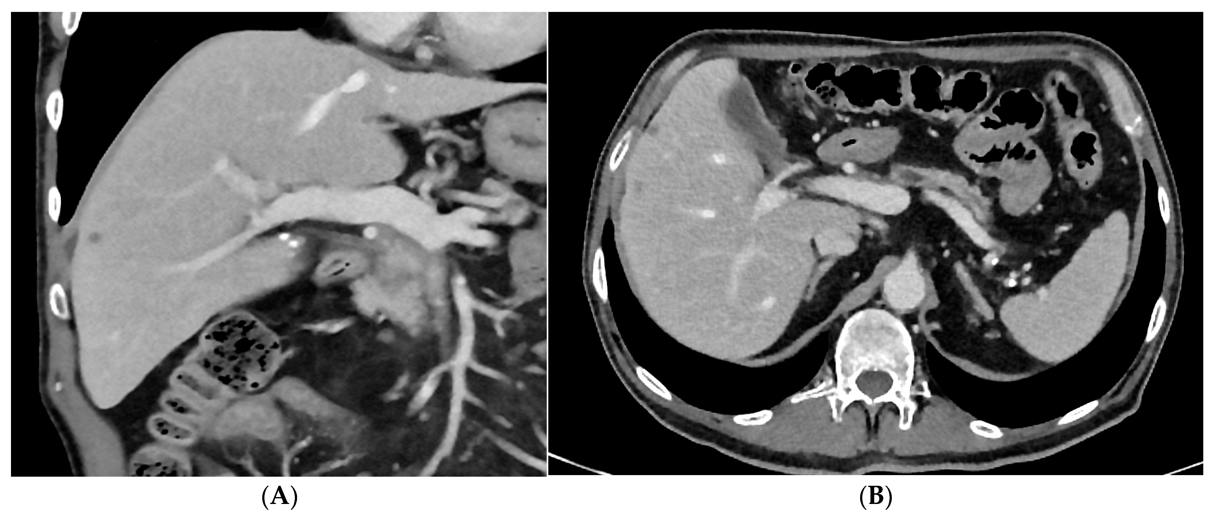
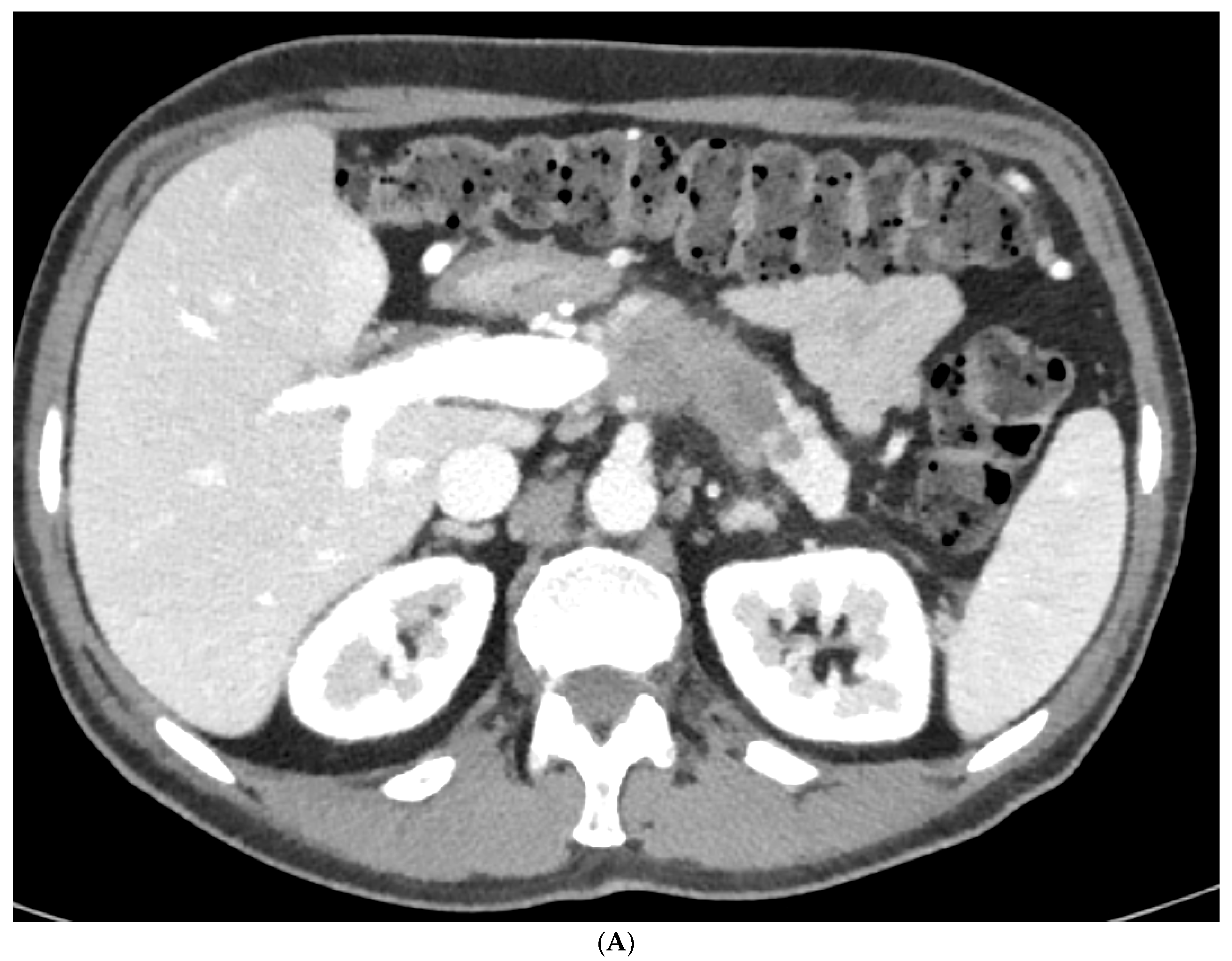
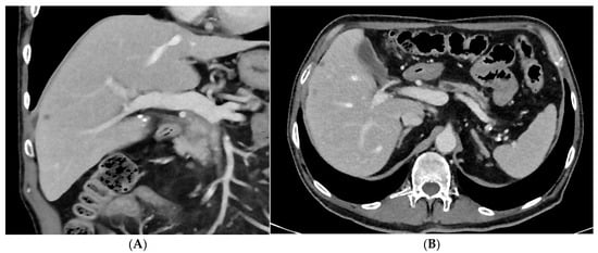
3. Locally Advanced Pancreatic Cancer
| Reference | Type of Study | Included | Treatment Regimen | Resection Rate | Median OS (Months) |
|---|---|---|---|---|---|
| Kunzmann et al. PMID: 33338442 [35] | Open-label, randomized phase II clinical trial | LAPC | 2 cycles of nab-paclitaxel–randomization–4x FOLFIRINOX or 2 cycles nab-paclitaxel | 35.9% | 18.5 nab-paclitaxel 20.7 FOLFIRINOX |
| Hewitt et al. PMID: 33630475 [46] | Phase III randomized clinical trial | LAPC + BRPC | FOLFIRINOX or gemcitabine/nab-paclitaxel followed by RCT or immunotherapy | NR | 14.9 months SOC 12.4 months with immunotherapy |
| Murphy et al. PMID: 31145418 [47] | Single-arm phase II clinical trial | LAPC | FOLFIRINOX + losartan + RT | 69% (R0) | 31.4 |
| Blazer et al. PMID: 25358667 [48] | Retrospective | LAPC + BRPC | mFOLFIRINOX + radiotherapy | 51.1% ALL 44% for LAPC | 21.2 |
| Marthey et al. PMID: 25037971 [49] | Prospective, observational | LAPC | FOLFIRINOX + RCT | 36.4% | 22.0 |
| Wo et al. PMID: 28134673 [50] | Retrospective | LAPC + BRPC | FOLFIRINOX + gemcitabine + RT | 39.2% | 18.1 |
| Hackert et al. PMID: 27355262 [37] | Retrospective | LAPC | FORLFIRINOX or gemcitabine + RT or others | 61% FOLFIRNOX 46% gemcitabine 52% others | 15 with resection 8.5 only exploration |
| Sadot et al. PMID: 26065868 [51] | Retrospective | LAPC | FOLFIRINOX + gemcitabine + RT | 30% | 26 with resection 11 no resection |
| Gemenetzis et al. PMID: 29596120 [36] | Retrospective | LAPC | FOLFIRINOX or gemcitabine or a combination | 20% | 35.3 with resection 16.3 without |
| Maggino et al. PMID: 31339530 [41] | Prospective | LAPC + BRPC | FOLFIRINOX or gemcitabine nab-paclitaxel | 15% total 9% LAPC | 41.8 with resection (LAPC) |
4. Oligometastatic Disease in Pancreatic Cancer
5. Conclusions and Outlook
Author Contributions
Funding
Conflicts of Interest
References
- Sung, H.; Ferlay, J.; Siegel, R.L.; Laversanne, M.; Soerjomataram, I.; Jemal, A.; Bray, F. Global Cancer Statistics 2020: GLOBOCAN Estimates of Incidence and Mortality Worldwide for 36 Cancers in 185 Countries. CA Cancer J. Clin. 2021, 71, 209–249. [Google Scholar] [CrossRef] [PubMed]
- Rahib, L.; Smith, B.D.; Aizenberg, R.; Rosenzweig, A.B.; Fleshman, J.M.; Matrisian, L.M. Projecting cancer incidence and deaths to 2030: The unexpected burden of thyroid, liver, and pancreas cancers in the United States. Cancer Res. 2014, 74, 2913–2921. [Google Scholar] [CrossRef] [PubMed]
- Sarantis, P.; Koustas, E.; Papadimitropoulou, A.; Papavassiliou, A.G.; Karamouzis, M.V. Pancreatic ductal adenocarcinoma: Treatment hurdles, tumor microenvironment and immunotherapy. World J. Gastrointest. Oncol. 2020, 12, 173–181. [Google Scholar] [CrossRef] [PubMed]
- Altekruse, S.F.; Kosary, C.L.; Krapcho, M.; Neyman, N.; Aminou, R.; Waldron, W.; Ruhl, J.; Howlader, N.; Tatalovich, Z.; Cho, H.; et al. SEER Cancer Statistics Review 1975–2007 National Cancer Institute, Based on November 2009 SEER Data Submission, Posted to the SEER Website 2010, 1975–2007. Available online: https://seer.cancer.gov/archive/csr/1975_2007/index.html#citation (accessed on 17 December 2023).
- Doi, R.; Imamura, M.; Hosotani, R.; Imaizumi, T.; Hatori, T.; Takasaki, K.; Funakoshi, A.; Wakasugi, H.; Asano, T.; Hishinuma, S.; et al. Surgery versus radiochemotherapy for resectable locally invasive pancreatic cancer: Final results of a randomized multi-institutional trial. Surg. Today 2008, 38, 1021–1028. [Google Scholar] [CrossRef] [PubMed]
- van Roessel, S.; Kasumova, G.G.; Verheij, J.; Najarian, R.M.; Maggino, L.; de Pastena, M.; Malleo, G.; Marchegiani, G.; Salvia, R.; Chau Ng, S.; et al. International Validation of the Eighth Edition of the American Joint Committee on Cancer (AJCC) TNM Staging System in Patients with Resected Pancreatic Cancer. JAMA Surg 2018, 153, e183617. [Google Scholar] [CrossRef] [PubMed]
- Schima, W.; Ba-Ssalamah, A.; Kölblinger, C.; Kulinna-Cosentini, C.; Puespoek, A.; Götzinger, P. Pancreatic adenocarcinoma. Eur. Radiol. 2007, 17, 638–649. [Google Scholar] [CrossRef] [PubMed]
- Wong, J.C.; Lu, D.S.K. Staging of pancreatic adenocarcinoma by imaging studies. Clin. Gastroenterol. Hepatol. Off. Clin. Pract. J. Am. Gastroenterol. Assoc. 2008, 6, 1301–1308. [Google Scholar] [CrossRef] [PubMed]
- Tempero, M.A.; Malafa, M.P.; Al-Hawary, M.; Behrman, S.W.; Benson, A.B.; Cardin, D.B.; Chiorean, G.; Chung, V.; Czito, B.; Del Chiaro, M.; et al. Pancreatic Adenocarcinoma, Version 2.2021, NCCN Clinical Practice Guidelines in Oncology. J. Natl. Compr. Canc. Netw. 2021, 19, 439–457. [Google Scholar] [CrossRef]
- Gebauer, F.; Damanakis, A.I.; Popp, F.; Quaas, A.; Kütting, F.; Lutz, K.; Held, S.; Deuß, B.; Göser, T.; Waldschmidt, D.; et al. Study protocol of an open-label, single arm phase II trial investigating the efficacy, safety and quality of life of neoadjuvant chemotherapy with liposomal irinotecan combined with Oxaliplatin and 5-fluorouracil/Folinic acid followed by curative surgica. BMC Cancer 2021, 21, 1239. [Google Scholar] [CrossRef]
- Wei, M.; Shi, S.; Hua, J.; Xu, J.; Yu, X. Simultaneous resection of the primary tumour and liver metastases after conversion chemotherapy versus standard therapy in pancreatic cancer with liver oligometastasis: Protocol of a multicentre, prospective, randomised phase III control trial (CSPAC-1). BMJ Open 2019, 9, e033452. [Google Scholar] [CrossRef]
- Damanakis, A.I.; Ostertag, L.; Waldschmidt, D.; Kütting, F.; Quaas, A.; Plum, P.; Bruns, C.J.; Gebauer, F.; Popp, F. Proposal for a definition of “Oligometastatic disease in pancreatic cancer”. BMC Cancer 2019, 19, 1261. [Google Scholar] [CrossRef] [PubMed]
- Deutsche Krebsgesellschaft Deutsche Krebshilfe. Leitlinienprogramm Onkologie: S3-Leitlinie Exokrines Pankreaskarzinom. 2021. 2.0(032/010OL). pp. 1–222. Available online: https://www.leitlinienprogramm-onkologie.de/fileadmin/user_upload/Downloads/Leitlinien/Pankreaskarzinom/Version_2/LL_Pankreaskarzinom_Langversion_2.0.pdf%0Ahttps://www.leitlinienprogramm-onkologie.de/leitlinien/pankreaskarzinom/ (accessed on 17 December 2023).
- Younan, G.; Tsai, S.; Evans, D.B.; Christians, K.K. Techniques of Vascular Resection and Reconstruction in Pancreatic Cancer. Surg. Clin. N. Am. 2016, 96, 1351–1370. [Google Scholar] [CrossRef] [PubMed]
- Conroy, T.; Desseigne, F.; Ychou, M.; Bouché, O.; Guimbaud, R.; Bécouarn, Y.; Adenis, A.; Raoul, J.-L.; Gourgou-Bourgade, S.; De la Fouchardière, C.; et al. FOLFIRINOX versus gemcitabine for metastatic pancreatic cancer. N. Engl. J. Med. 2011, 364, 1817–1825. [Google Scholar] [CrossRef] [PubMed]
- Von Hoff, D.D.; Ervin, T.; Arena, F.P.; Chiorean, E.G.; Infante, J.; Moore, M.; Seay, T.; Tjulandin, S.A.; Wee Ma, W.; Saleh, M.N.; et al. Increased survival in pancreatic cancer with nab-paclitaxel plus gemcitabine. N. Engl. J. Med. 2013, 369, 1691–1703. [Google Scholar] [CrossRef] [PubMed]
- Wainberg, Z.A.; Melisi, D.; Macarulla, T.; Pazo Cid, R.; Chandana, S.R.; De La Fouchardière, C.; Dean, A.; Kiss, I.; Lee, W.; Goetze, T.; et al. NALIRIFOX versus nab-paclitaxel and gemcitabine in treatment-naive patients with metastatic pancreatic ductal adenocarcinoma (NAPOLI 3): A randomised, open-label, phase 3 trial. Lancet 2023, 402, 1272–1281. [Google Scholar] [CrossRef]
- Ducreux, M.; Cuhna, A.S.; Caramella, C.; Hollebecque, A.; Burtin, P.; Goéré, D.; Seufferlein, T.; Haustermans, K.; Van Laethem, J.L.; Conroy, T.; et al. Cancer of the pancreas: ESMO Clinical Practice Guidelines for diagnosis, treatment and follow-up. Ann. Oncol. Off. J. Eur. Soc. Med. Oncol. 2015, 26 (Suppl. 5), v56–v68. [Google Scholar] [CrossRef]
- Conroy, T.; Hammel, P.; Hebbar, M.; Ben Abdelghani, M.; Wei, A.C.; Raoul, J.-L.; Choné, L.; Francois, E.; Artru, P.; Biagi, J.J.; et al. FOLFIRINOX or Gemcitabine as Adjuvant Therapy for Pancreatic Cancer. N. Engl. J. Med. 2018, 379, 2395–2406. [Google Scholar] [CrossRef]
- Conroy, T.; Castan, F.; Lopez, A.; Turpin, A.; Ben Abdelghani, M.; Wei, A.C.; Mitry, E.; Biago, J.J.; Evesque, L.; Artru, P.; et al. Five-Year Outcomes of FOLFIRINOX vs Gemcitabine as Adjuvant Therapy for Pancreatic Cancer: A Randomized Clinical Trial. JAMA Oncol. 2022, 8, 1571–1578. [Google Scholar] [CrossRef]
- Neoptolemos, J.P.; Palmer, D.H.; Ghaneh, P.; Psarelli, E.E.; Valle, J.W.; Halloran, C.M.; Faluyi, O.; O’Reilly, D.; Cunningham, D.; Wadsley, J.; et al. Comparison of adjuvant gemcitabine and capecitabine with gemcitabine monotherapy in patients with resected pancreatic cancer (ESPAC-4): A multicentre, open-label, randomised, phase 3 trial. Lancet 2017, 389, 1011–1024. [Google Scholar] [CrossRef]
- Al-Batran, S.-E.; Homann, N.; Pauligk, C.; Goetze, T.O.; Meiler, J.; Kasper, S.; Kopp, H.-G.; Mayer, F.; Haag, G.M.; Luley, K.; et al. Perioperative chemotherapy with fluorouracil plus leucovorin, oxaliplatin, and docetaxel versus fluorouracil or capecitabine plus cisplatin and epirubicin for locally advanced, resectable gastric or gastro-oesophageal junction adenocarcinoma (FLOT4): A r. Lancet 2019, 393, 1948–1957. [Google Scholar] [CrossRef]
- Eyck, B.M.; van Lanschot, J.J.B.; Hulshof, M.C.C.M.; van der Wilk, B.J.; Shapiro, J.; van Hagen, P.; Van Berge Henegouwen, M.; Wijnhovem, B.P.L.; Van Laarhoven, H.W.M.; Nieuwenhuijzen, G.A.P.; et al. Ten-Year Outcome of Neoadjuvant Chemoradiotherapy Plus Surgery for Esophageal Cancer: The Randomized Controlled CROSS Trial. J. Clin. Oncol. Off. J. Am. Soc. Clin. Oncol. 2021, 39, 1995–2004. [Google Scholar] [CrossRef] [PubMed]
- Johnson, G.G.R.J.; Park, J.; Helewa, R.M.; Goldenberg, B.A.; Nashed, M.; Hyun, E. Total neoadjuvant therapy for rectal cancer: A guide for surgeons. Can. J. Surg. 2023, 66, E196–E201. [Google Scholar] [CrossRef] [PubMed]
- DePeralta, D.K.; Ogami, T.; Zhou, J.-M.; Schell, M.J.; Powers, B.D.; Hodul, P.J.; Malafa, M.P.; Fleming, J.B. Completion of adjuvant therapy in patients with resected pancreatic cancer. HPB Off. J. Int. Hepato Pancreato Biliary Assoc. 2020, 22, 241–248. [Google Scholar] [CrossRef] [PubMed]
- Springfeld, C.; Ferrone, C.R.; Katz, M.H.G.; Philip, P.A.; Hong, T.S.; Hackert, T.; Büchler, M.W. Neoadjuvant therapy for pancreatic cancer. Nat. Rev. Clin. Oncol. 2023, 20, 318–337. [Google Scholar] [CrossRef] [PubMed]
- Sohal, D.P.S.; Duong, M.; Ahmad, S.A.; Gandhi, N.S.; Beg, M.S.; Wang-Gillam, A.; Wade, J.L., 3rd; Chiorean, G.; Guthrie, K.; Lowy, A.M.; et al. Efficacy of Perioperative Chemotherapy for Resectable Pancreatic Adenocarcinoma: A Phase 2 Randomized Clinical Trial. JAMA Oncol. 2021, 7, 421–427. [Google Scholar] [CrossRef] [PubMed]
- Labori, K.J.; Lassen, K.; Hoem, D.; Grønbech, J.E.; Søreide, J.A.; Mortensen, K.; Smaaland, R.; Sorbye, H.; Verbeke, C.; Dueland, S. Neoadjuvant chemotherapy versus surgery first for resectable pancreatic cancer (Norwegian Pancreatic Cancer Trial—1 (NorPACT-1))—Study protocol for a national multicentre randomized controlled trial. BMC Surg. 2017, 17, 94. [Google Scholar] [CrossRef] [PubMed]
- Labori, K.J.; Bratlie, S.O.; Biörserud, C.; Björnsson, B.; Bringeland, E.; Elander, N.; Gronbech, J.E.; Haux, J.; Hemmingsson, O.; Nymo, L.; et al. Short-course neoadjuvant FOLFIRINOX versus upfront surgery for resectable pancreatic head cancer: A multicenter randomized phase-II trial (NORPACT-1). J. Clin. Oncol. 2023, 41 (Suppl. 17), LBA4005. [Google Scholar] [CrossRef]
- Okusaka, T.; Nakamura, M.; Yoshida, M.; Kitano, M.; Ito, Y.; Mizuno, N.; Hanada, K.; Ozaka, M.; Morizane, C.; Takeyama, Y. Clinical Practice Guidelines for Pancreatic Cancer 2022 from the Japan Pancreas Society: A synopsis. Int. J. Clin. Oncol. 2023, 28, 493–511. [Google Scholar] [CrossRef]
- Diener, M.K.; Mihaljevic, A.L.; Strobel, O.; Loos, M.; Schmidt, T.; Schneider, M.; Berchtold, C.; Mehrabi, A.; Müller-Stich, B.P.; Jiang, K.; et al. Periarterial divestment in pancreatic cancer surgery. Surgery 2021, 169, 1019–1025. [Google Scholar] [CrossRef]
- Loos, M.; Kester, T.; Klaiber, U.; Mihaljevic, A.L.; Mehrabi, A.; Müller-Stich, B.M.; Diener, M.K.; Schneider, M.A.; Berchtold, C.; Hinz, U.; et al. Arterial Resection in Pancreatic Cancer Surgery: Effective After a Learning Curve. Ann. Surg. 2022, 275, 759–768. [Google Scholar] [CrossRef]
- Schmidt, T.; Strobel, O.; Schneider, M.; Diener, M.K.; Berchtold, C.; Mihaljevic, A.L.; Mehrabi, A.; Müller-Stich, B.M.; Diener, M.K.; Schneider, M.A.; et al. Cavernous transformation of the portal vein in pancreatic cancer surgery-venous bypass graft first. Langenbeck’s Arch. Surg. 2020, 405, 1045–1050. [Google Scholar] [CrossRef] [PubMed]
- Westphalen, B.; Gaska, T.; Reichert, M.; Quante, M.; Oettle, H.; Waldschmidt, D.T.; Schlenska-Lange, A.; Angermeier, S.; Fischer von Weikersthal, L.; Bohle, W.; et al. FOOTPATH: A randomized, open-label phase-2 study of liposomal irinotecan + 5-FU and folinic acid (NAPOLI) versus sequential NAPOLI and mFOLFOX6 versus gemcitabine/nab-paclitaxel in treatment-naïve metastatic pancreatic cancer (mPDAC). J. Clin. Oncol. 2023, 41 (Suppl. S16), 4021. [Google Scholar] [CrossRef]
- Kunzmann, V.; Siveke, J.T.; Algül, H.; Goekkurt, E.; Siegler, G.; Martens, U.; Waldschmidt, D.; Pelzer, U.; Fuchs, M.; Kullmann, F.; et al. Nab-paclitaxel plus gemcitabine versus nab-paclitaxel plus gemcitabine followed by FOLFIRINOX induction chemotherapy in locally advanced pancreatic cancer (NEOLAP-AIO-PAK-0113): A multicentre, randomised, phase 2 trial. Lancet Gastroenterol. Hepatol. 2021, 6, 128–138. [Google Scholar] [CrossRef]
- Gemenetzis, G.; Groot, V.P.; Blair, A.B.; Laheru, D.A.; Zheng, L.; Narang, A.K.; Fishman, E.K.; Hruban, R.H.; Yu, J.; Burkhart, R.A.; et al. Survival in Locally Advanced Pancreatic Cancer After Neoadjuvant Therapy and Surgical Resection. Ann. Surg. 2019, 270, 340–347. [Google Scholar] [CrossRef] [PubMed]
- Hackert, T.; Sachsenmaier, M.; Hinz, U.; Schneider, L.; Michalski, C.W.; Springfeld, C.; Strobel, O.; Jäger, D.; Ulrich, A.; Büchler, M.-W. Locally Advanced Pancreatic Cancer: Neoadjuvant Therapy with Folfirinox Results in Resectability in 60% of the Patients. Ann. Surg. 2016, 264, 457–463. [Google Scholar] [CrossRef] [PubMed]
- Truty, M.J.; Kendrick, M.L.; Nagorney, D.M.; Smoot, R.L.; Cleary, S.P.; Graham, R.P.; Goenka, A.H.; Hallemeier, C.L.; Haddock, M.G.; Harmsen, W.S.; et al. Factors Predicting Response, Perioperative Outcomes, and Survival Following Total Neoadjuvant Therapy for Borderline/Locally Advanced Pancreatic Cancer. Ann. Surg. 2021, 273, 341–349. [Google Scholar] [CrossRef] [PubMed]
- Chiorean, E.G.; Von Hoff, D.D.; Reni, M.; Arena, F.P.; Infante, J.R.; Bathini, V.G.; Wood, T.E.; Mainwaring, P.N.; Muldoon, R.T.; Clingan, P.R.; et al. CA19-9 decrease at 8 weeks as a predictor of overall survival in a randomized phase III trial (MPACT) of weekly nab-paclitaxel plus gemcitabine versus gemcitabine alone in patients with metastatic pancreatic cancer. Ann. Oncol. Off. J. Eur. Soc. Med. Oncol. 2016, 27, 654–660. [Google Scholar] [CrossRef] [PubMed]
- Alva-Ruiz, R.; Yohanathan, L.; Yonkus, J.A.; Abdelrahman, A.M.; Gregory, L.A.; Halfdanarson, T.R.; Mahipal, A.; McWilliams, R.R.; Wee Ma, W.; Hallemeier, C.L.; et al. Neoadjuvant Chemotherapy Switch in Borderline Resectable/Locally Advanced Pancreatic Cancer. Ann. Surg. Oncol. 2022, 29, 1579–1591. [Google Scholar] [CrossRef]
- Maggino, L.; Malleo, G.; Marchegiani, G.; Viviani, E.; Nessi, C.; Ciprani, D.; Esposito, A.; Landoni, L.; Casetti, L.; Tuveri, M.; et al. Outcomes of Primary Chemotherapy for Borderline Resectable and Locally Advanced Pancreatic Ductal Adenocarcinoma. JAMA Surg. 2019, 154, 932–942. [Google Scholar] [CrossRef]
- Girelli, R.; Frigerio, I.; Salvia, R.; Barbi, E.; Tinazzi Martini, P.; Bassi, C. Feasibility and safety of radiofrequency ablation for locally advanced pancreatic cancer. Br. J. Surg. 2010, 97, 220–225. [Google Scholar] [CrossRef]
- Yousaf, M.N.; Ehsan, H.; Muneeb, A.; Wahab, A.; Sana, M.K.; Neupane, K.; Chaudhary, F.S. Role of Radiofrequency Ablation in the Management of Unresectable Pancreatic Cancer. Front. Med. 2020, 7, 624997. [Google Scholar] [CrossRef] [PubMed]
- Gollapudi, L.A.; Tyberg, A. EUS-RFA of the pancreas: Where are we and future directions. Transl. Gastroenterol. Hepatol. 2022, 7, 18. [Google Scholar] [CrossRef] [PubMed]
- Facciorusso, A.; Bajwa, H.S.; Menon, K.; Buccino, V.R.; Muscatiello, N. Comparison between 22G aspiration and 22G biopsy needles for EUS-guided sampling of pancreatic lesions: A meta-analysis. Endosc. Ultrasound 2020, 9, 167–174. [Google Scholar] [CrossRef] [PubMed]
- Hewitt, D.B.; Nissen, N.; Hatoum, H.; Musher, B.; Seng, J.; Coveler, A.L.; Al-Rajabi, R.; Yeo, C.J.; Leiby, B.; Banks, J.; et al. A Phase 3 Randomized Clinical Trial of Chemotherapy with or without Algenpantucel-L (HyperAcute-Pancreas) Immunotherapy in Subjects With Borderline Resectable or Locally Advanced Unresectable Pancreatic Cancer. Ann. Surg. 2022, 275, 45–53. [Google Scholar] [CrossRef]
- Murphy, J.E.; Wo, J.Y.; Ryan, D.P.; Clark, J.W.; Jiang, W.; Yeap, B.Y.; Drapek, L.C.; Ly, L.; Baglini, C.V.; Blaszkowsky, L.S.; et al. Total Neoadjuvant Therapy with FOLFIRINOX in Combination with Losartan Followed by Chemoradiotherapy for Locally Advanced Pancreatic Cancer: A Phase 2 Clinical Trial. JAMA Oncol. 2019, 5, 1020–1027. [Google Scholar] [CrossRef]
- Blazer, M.; Wu, C.; Goldberg, R.M.; Phillips, G.; Schmidt, C.; Muscarella, P.; Wuthrick, E.; Williams, T.M.; Reardon, J.; Ellison, E.C.; et al. Neoadjuvant modified (m) FOLFIRINOX for locally advanced unresectable (LAPC) and borderline resectable (BRPC) adenocarcinoma of the pancreas. Ann. Surg. Oncol. 2015, 22, 1153–1159. [Google Scholar] [CrossRef]
- Marthey, L.; Sa-Cunha, A.; Blanc, J.F.; Gauthier, M.; Cueff, A.; Francois, E.; Trouilloud, I.; Malka, D.; Bachet, J.B.; Coriat, R.; et al. FOLFIRINOX for locally advanced pancreatic adenocarcinoma: Results of an AGEO multicenter prospective observational cohort. Ann. Surg. Oncol. 2015, 22, 295–301. [Google Scholar] [CrossRef]
- Wo, J.Y.; Niemierko, A.; Ryan, D.P.; Blaszkowsky, L.S.; Clark, J.W.; Kwak, E.L.; Lillemoe, K.D.; Drapek, L.N.; Zhu, A.X.; Allen, J.N.; et al. Tolerability and Long-term Outcomes of Dose-Painted Neoadjuvant Chemoradiation to Regions of Vessel Involvement in Borderline or Locally Advanced Pancreatic Cancer. Am. J. Clin. Oncol. 2018, 41, 656–661. [Google Scholar] [CrossRef]
- Sadot, E.; Doussot, A.; O’Reilly, E.M.; Lowery, M.A.; Goodman, K.A.; Do, R.K.G.; Tang, L.H.; Gönen, M.; D’Angelica, M.L.; DeMatteo, R.P.; et al. FOLFIRINOX Induction Therapy for Stage 3 Pancreatic Adenocarcinoma. Ann. Surg. Oncol. 2015, 22, 3512–3521. [Google Scholar] [CrossRef]
- Kim, K.H.; Ahn, Y.C. Oligometastasis: More Lessons to Be Learned. Cancer Res. Treat. Off. J. Korean Cancer Assoc. 2023, 55, 1–4. [Google Scholar] [CrossRef]
- Burgaleta, A.M.; Burguete, A.B.; Gutiérrez, L.R.; Nuín, E.B.; Felipe, G.A.; de la Vega, F.A. Local treatment in oligometastasis from breast cancer: An overview. Clin. Transl. Oncol. Off. Publ. Fed. Span. Oncol. Soc. Natl. Cancer Inst. Mex. 2023, 25, 2861–2867. [Google Scholar] [CrossRef] [PubMed]
- Jadvar, H.; Abreu, A.L.; Ballas, L.K.; Quinn, D.I. Oligometastatic Prostate Cancer: Current Status and Future Challenges. J. Nucl. Med. 2022, 63, 1628–1635. [Google Scholar] [CrossRef] [PubMed]
- Kroese, T.E.; van Laarhoven, H.W.M.; Nilsson, M.; Lordick, F.; Guckenberger, M.; Ruurda, J.P.; D’Ugo, D.; Haustermans, K.; Van Cutsem, E.; Hillegersberg, R.; et al. Definition of oligometastatic esophagogastric cancer and impact of local oligometastasis-directed treatment: A systematic review and meta-analysis. Eur. J. Cancer 2022, 166, 254–269. [Google Scholar] [CrossRef] [PubMed]
- Jung, J.-O.; Nienhüser, H.; Schleussner, N.; Schmidt, T. Oligometastatic Gastroesophageal Adenocarcinoma: Molecular Pathophysiology and Current Therapeutic Approach. Int. J. Mol. Sci. 2020, 21, 951. [Google Scholar] [CrossRef] [PubMed]
- Aoki, S.; Yamashita, H.; Abe, O.; Nakagawa, K. Stereotactic body radiotherapy (SBRT) for oligo-metastatic liver metastases from breast cancer, as an effective and safe alternative to surgery: A review. Transl. Cancer Res. 2020, 9, 5087–5095. [Google Scholar] [CrossRef] [PubMed]
- Kandel, P.; Wallace, M.B.; Stauffer, J.; Bolan, C.; Raimondo, M.; Woodward, T.A.; Gomez, V.; Ritter, A.W.; Asbun, H.; Mody, K. Survival of Patients with Oligometastatic Pancreatic Ductal Adenocarcinoma Treated with Combined Modality Treatment Including Surgical Resection: A Pilot Study. J. Pancreat. Cancer 2018, 4, 88–94. [Google Scholar] [CrossRef] [PubMed]
- Tachezy, M.; Gebauer, F.; Janot, M.; Uhl, W.; Zerbi, A.; Montorsi, M.; Perinel, J.; Adham, M.; Dervenis, C.; Agalianos, C.; et al. Synchronous resections of hepatic oligometastatic pancreatic cancer: Disputing a principle in a time of safe pancreatic operations in a retrospective multicenter analysis. Surgery 2016, 160, 136–144. [Google Scholar] [CrossRef] [PubMed]
- Hackert, T.; Niesen, W.; Hinz, U.; Tjaden, C.; Strobel, O.; Ulrich, A.; Michalski, C.W.; Büchler, M.W. Radical surgery of oligometastatic pancreatic cancer. Eur. J. Surg. Oncol. J. Eur. Soc. Surg. Oncol. Br. Assoc. Surg. Oncol. 2017, 43, 358–363. [Google Scholar] [CrossRef]
- Yang, J.; Zhang, J.; Lui, W.; Huo, Y.; Fu, X.; Yang, M.; Hua, R.; Wang, L.; Sun, Y. Patients with hepatic oligometastatic pancreatic body/tail ductal adenocarcinoma may benefit from synchronous resection. HPB Off. J. Int. Hepato Pancreato Biliary Assoc. 2020, 22, 91–101. [Google Scholar] [CrossRef]
- Ilmer, M.; Schiergens, T.S.; Renz, B.W.; Schneider, C.; Sargut, M.; Waligora, R.; Weniger, M.; Hartwig, W.; Ceyhan, G.O.; Friess, H.; et al. Oligometastatic pulmonary metastasis in pancreatic cancer patients: Safety and outcome of resection. Surg. Oncol. 2019, 31, 16–21. Available online: https://www.sciencedirect.com/science/article/pii/S096074041930074X (accessed on 17 December 2023). [CrossRef]
- Lovecek, M.; Skalicky, P.; Chudacek, J.; Szkorupa, M.; Svebisova, H.; Lemstrova, R.; Erhmann, J.; Melichar, B.; Yogeswara, T.; Klos, D.; et al. Different clinical presentations of metachronous pulmonary metastases after resection of pancreatic ductal adenocarcinoma: Retrospective study and review of the literature. World J. Gastroenterol. 2017, 23, 6420–6428. [Google Scholar] [CrossRef] [PubMed]
- Sakaguchi, T.; Valente, R.; Tanaka, K.; Satoi, S.; Del Chiaro, M. Surgical treatment of metastatic pancreatic ductal adenocarcinoma: A review of current literature. Pancreatol. Off. J. Int. Assoc. Pancreatol. 2019, 19, 672–680. [Google Scholar] [CrossRef] [PubMed]
- Ghadmimi, M.; Pelzer, U. SJT. AIO Studie. AIO-PAK-0219xx: Intensified Treatment in Patients with Local Operable but Oligometastatic Pancreatic Cancer—Multimodal Surgical Treatment Versus Systemic Chemotherapy Alone: A Randomized Controlled Phase 3 trial [METAPANC]. 2021, pp. 3–5. Available online: https://www.aio-portal.de/files/content/studien/studiendatenbank/AIO-PAK-0219_s.pdf (accessed on 17 December 2023).
- NCT05271110. Available online: https://clinicaltrials.gov/study/NCT05271110#study-plan (accessed on 17 December 2023).




| Arterial Involvement | Venous Involvement | |||
|---|---|---|---|---|
| Resectability | Common Hepatic Artery | Superior Mesenteric Artery | Celiac Artery | Portal/Superior Mesenteric Vein |
| Resectable | No tumor contact | No tumor contact | No tumor contact | No tumor contact or ≤180° contact without irregularity of the vein |
| Borderline resectable | Solid tumor contact without the involvement of the celiac trunk or hepatic artery bifurcation | ≤180° | ≤180° ≥180° without the involvement of the aorta or gastroduodenal A involvement (body/tail) | ≥180° or ≤180° with contour irregularity or thrombosis with reconstructable PV/SMV Solid tumor contact with IVC |
| Locally advanced | >180° | >180° (head/uncinate) Solid tumor contacts with CA and aorta | Unreconstructable portal vein or superior mesenteric vein due to tumor involvement or thrombosis/occlusion | |
| TRIAL | REFERENCE | DESIGN | TYPE OF STUDY | INCLUSION CRITERIA | PRIMARY ENDPOINT/Objective | ARMS | KEY FINDINGS |
|---|---|---|---|---|---|---|---|
| HOLIPANC | PMID: 34794396 | PROSPECTIVE, MULTICENTER, NON- RANDOMIZED | PHASE II | OLIGOMET. PDAC (1–5 HEPATIC MET.) | OS AFTER R0/R1 RESECTION | SINGLE ARM | ONGOING |
| CSPAC-1 | PMID: 31818843 | PROSPECTIVE, MULTICENTER, RANDOMIZED | PHASE III | OLIGOMET. PDAC (≤3 HEPATIC MET.) | ROS IN RESECTED GROUP AFTER CHEMOTHERAPY VS. CHEMOTHERAPY GROUP | DOUBLE ARM | ONGOING |
| SCANPAN 1 | NCT05271110 | PROSPECTIVE, MULTICENTER | PROSPECTIVE COHORT STUDY WITH A SINGLE GROUP ASIGNMENT | COHORT 1: SYN- OR METACHAROUNOUS HEP. METASTASIS COHORT 2: SYN- OR METACHRONOUS HEPATIC MET. + AT LEAST ONE EXTRHEPATIC MANIFESTATION | SAFETY, FEASIBILITY, TOLERABILITY, AND CLINICAL OUTCOMES | SINGLE ARM | ONGOING |
Disclaimer/Publisher’s Note: The statements, opinions and data contained in all publications are solely those of the individual author(s) and contributor(s) and not of MDPI and/or the editor(s). MDPI and/or the editor(s) disclaim responsibility for any injury to people or property resulting from any ideas, methods, instructions or products referred to in the content. |
© 2023 by the authors. Licensee MDPI, Basel, Switzerland. This article is an open access article distributed under the terms and conditions of the Creative Commons Attribution (CC BY) license (https://creativecommons.org/licenses/by/4.0/).
Share and Cite
Wahler, I.L.; Damanakis, A.; Große Hokamp, N.; Bruns, C.; Schmidt, T. Therapy of Locally Advanced and Oligometastatic Pancreatic Adenocarcinoma. Cancers 2023, 15, 5881. https://doi.org/10.3390/cancers15245881
Wahler IL, Damanakis A, Große Hokamp N, Bruns C, Schmidt T. Therapy of Locally Advanced and Oligometastatic Pancreatic Adenocarcinoma. Cancers. 2023; 15(24):5881. https://doi.org/10.3390/cancers15245881
Chicago/Turabian StyleWahler, Isabell Luisa, Alexander Damanakis, Nils Große Hokamp, Christiane Bruns, and Thomas Schmidt. 2023. "Therapy of Locally Advanced and Oligometastatic Pancreatic Adenocarcinoma" Cancers 15, no. 24: 5881. https://doi.org/10.3390/cancers15245881
APA StyleWahler, I. L., Damanakis, A., Große Hokamp, N., Bruns, C., & Schmidt, T. (2023). Therapy of Locally Advanced and Oligometastatic Pancreatic Adenocarcinoma. Cancers, 15(24), 5881. https://doi.org/10.3390/cancers15245881

