Prospective Comparison of the Performance of MRI Versus CT in the Detection and Evaluation of Peritoneal Surface Malignancies
Abstract
Simple Summary
Abstract
1. Introduction
2. Methods
2.1. Study Design
2.2. Imaging Protocol
2.3. Image Analysis
2.4. Surgical Exploration
2.5. Statistical Analysis
3. Results
3.1. Baseline Characteristics of Study Cohort
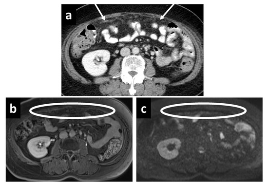
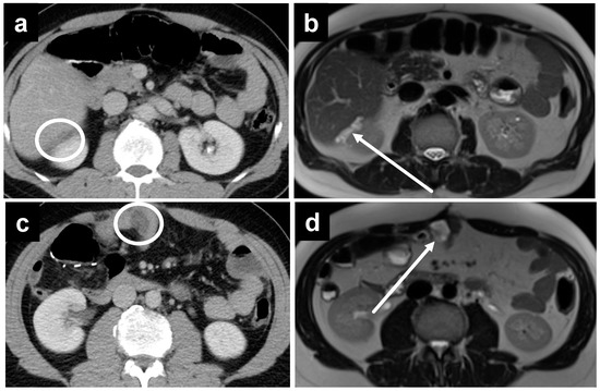
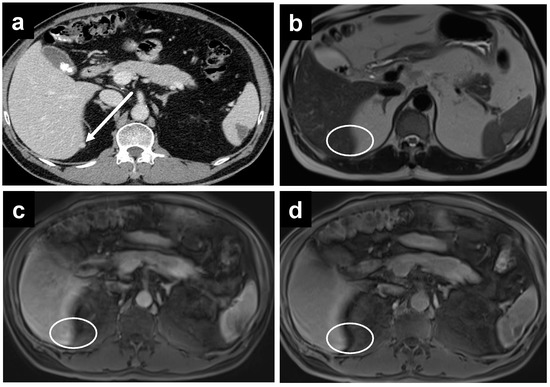
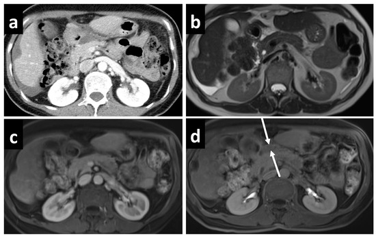
3.2. PSM Detection
3.3. Evaluation of PCI
4. Discussion
5. Conclusions
Author Contributions
Funding
Institutional Review Board Statement
Informed Consent Statement
Data Availability Statement
Conflicts of Interest
References
- Elias, D.; Goere, D.; Dumont, F.; Honore, C.; Dartigues, P.; Stoclin, A.; Malka, D.; Boige, V.; Ducreux, M. Role of hyperthermic intraoperative peritoneal chemotherapy in the management of peritoneal metastases. Eur. J. Cancer 2014, 50, 332–340. [Google Scholar] [CrossRef] [PubMed]
- Rajan, F.; Bhatt, A. Evolving Role of CRS and HIPEC: Current Indications. In Management of Peritoneal Metastases—Cytoreductive Surgery, HIPEC and Beyond; Bhatt, A., Ed.; Springer: Singapore, 2018; pp. 3–14. [Google Scholar]
- Huo, Y.R.; Richards, A.; Liauw, W.; Morris, D.L. Hyperthermic intraperitoneal chemotherapy (HIPEC) and cytoreductive surgery (CRS) in ovarian cancer: A systematic review and meta-analysis. Eur. J. Surg. Oncol. 2015, 41, 1578–1589. [Google Scholar] [CrossRef] [PubMed]
- Granieri, S.; Bonomi, A.; Frassini, S.; Chierici, A.P.; Bruno, F.; Paleino, S.; Kusamura, S.; Germini, A.; Facciorusso, A.; Deraco, M.; et al. Prognostic impact of cytoreductive surgery (CRS) with hyperthermic intraperitoneal chemotherapy (HIPEC) in gastric cancer patients: A meta-analysis of randomized controlled trials. Eur. J. Surg. Oncol. 2021, 47, 2757–2767. [Google Scholar] [CrossRef]
- Auer, R.C.; Sivajohanathan, D.; Biagi, J.; Conner, J.; Kennedy, E.; May, T. Indications for hyperthermic intraperitoneal chemotherapy with cytoreductive surgery: A systematic review. Eur. J. Cancer 2020, 127, 76–95. [Google Scholar] [CrossRef] [PubMed]
- Neuwirth, M.G.; Alexander, H.R.; Karakousis, G.C. Then and now: Cytoreductive surgery with hyperthermic intraperitoneal chemotherapy (HIPEC), a historical perspective. J. Gastrointest. Oncol. 2016, 7, 18–28. [Google Scholar] [CrossRef] [PubMed]
- Harmon, R.L.; Sugarbaker, P.H. Prognostic indicators in peritoneal carcinomatosis from gastrointestinal cancer. Int. Semin. Surg. Oncol. 2005, 2, 3. [Google Scholar] [CrossRef]
- Patel, C.M.; Sahdev, A.; Reznek, R.H. CT, MRI and PET imaging in peritoneal malignancy. Cancer Imaging 2011, 11, 123–139. [Google Scholar] [CrossRef]
- Coakley, F.V.; Choi, P.H.; Gougoutas, C.A.; Pothuri, B.; Venkatraman, E.; Chi, D.; Bergman, A.; Hricak, H. Peritoneal metastases: Detection with spiral CT in patients with ovarian cancer. Radiology 2002, 223, 495–499. [Google Scholar] [CrossRef]
- Low, R.N.; Barone, R.M.; Lacey, C.; Sigeti, J.S.; Alzate, G.D.; Sebrechts, C.P. Peritoneal tumor: MR imaging with dilute oral barium and intravenous gadolinium-containing contrast agents compared with unenhanced MR imaging and CT. Radiology 1997, 204, 513–520. [Google Scholar] [CrossRef]
- Low, R.N. MR imaging of the peritoneal spread of malignancy. Abdom. Imaging 2007, 32, 267–283. [Google Scholar] [CrossRef]
- Low, R.N.; Sigeti, J.S. MR imaging of peritoneal disease: Comparison of contrast-enhanced fast multiplanar spoiled gradient-recalled and spin-echo imaging. AJR Am. J. Roentgenol. 1994, 163, 1131–1140. [Google Scholar] [CrossRef] [PubMed][Green Version]
- Low, R.N.; Barone, R.M.; Lucero, J. Comparison of MRI and CT for predicting the Peritoneal Cancer Index (PCI) preoperatively in patients being considered for cytoreductive surgical procedures. Ann. Surg. Oncol. 2015, 22, 1708–1715. [Google Scholar] [CrossRef] [PubMed]
- De Vuysere, S.; Vandecaveye, V.; De Bruecker, Y.; Carton, S.; Vermeiren, K.; Tollens, T.; De Keyzer, F.; Dresen, R.C. Accuracy of whole-body diffusion-weighted MRI (WB-DWI/MRI) in diagnosis, staging and follow-up of gastric cancer, in comparison to CT: A pilot study. BMC Med. Imaging 2021, 21, 18. [Google Scholar] [CrossRef] [PubMed]
- Michielsen, K.; Vergote, I.; Op de Beeck, K.; Amant, F.; Leunen, K.; Moerman, P.; Deroose, C.; Souverijns, G.; Dymarkowski, S.; De Keyzer, F.; et al. Whole-body MRI with diffusion-weighted sequence for staging of patients with suspected ovarian cancer: A clinical feasibility study in comparison to CT and FDG-PET/CT. Eur. Radiol. 2014, 24, 889–901. [Google Scholar] [CrossRef]
- Schmidt, S.; Meuli, R.A.; Achtari, C.; Prior, J.O. Peritoneal carcinomatosis in primary ovarian cancer staging: Comparison between MDCT, MRI, and 18F-FDG PET/CT. Clin. Nucl. Med. 2015, 40, 371–377. [Google Scholar] [CrossRef]
- Mikkelsen, M.S.; Petersen, L.K.; Blaakaer, J.; Marinovskij, E.; Rosenkilde, M.; Andersen, G.; Bouchelouche, K.; Iversen, L.H. Assessment of peritoneal metastases with DW-MRI, CT, and FDG PET/CT before cytoreductive surgery for advanced stage epithelial ovarian cancer. Eur. J. Surg. Oncol. 2021, 47, 2134–2141. [Google Scholar] [CrossRef]
- Tempany, C.M.; Zou, K.H.; Silverman, S.G.; Brown, D.L.; Kurtz, A.B.; McNeil, B.J. Staging of advanced ovarian cancer: Comparison of imaging modalities—Report from the Radiological Diagnostic Oncology Group. Radiology 2000, 215, 761–767. [Google Scholar] [CrossRef]
- Sugarbaker, P.H. Peritonectomy procedures. Ann. Surg 1995, 221, 29–42. [Google Scholar] [CrossRef]
- Sugarbaker, P.H.; Sardi, A.; Brown, G.; Dromain, C.; Rousset, P.; Jelinek, J.S. Concerning CT features used to select patients for treatment of peritoneal metastases, a pictoral essay. Int. J. Hyperth. 2017, 33, 497–504. [Google Scholar] [CrossRef]
- Pelz, J.O.; Stojadinovic, A.; Nissan, A.; Hohenberger, W.; Esquivel, J. Evaluation of a peritoneal surface disease severity score in patients with colon cancer with peritoneal carcinomatosis. J. Surg. Oncol. 2009, 99, 9–15. [Google Scholar] [CrossRef]
- Yoon, W.; Alame, A.; Berri, R. Peritoneal Surface Disease Severity Score as a predictor of resectability in the treatment of peritoneal surface malignancies. Am. J. Surg. 2014, 207, 403–407; discussion 406–407. [Google Scholar] [CrossRef] [PubMed]
- Dresen, R.C.; De Vuysere, S.; De Keyzer, F.; Van Cutsem, E.; Prenen, H.; Vanslembrouck, R.; De Hertogh, G.; Wolthuis, A.; D’Hoore, A.; Vandecaveye, V. Whole-body diffusion-weighted MRI for operability assessment in patients with colorectal cancer and peritoneal metastases. Cancer Imaging 2019, 19, 1. [Google Scholar] [CrossRef] [PubMed]
- Dirisamer, A.; Schima, W.; Heinisch, M.; Weber, M.; Lehner, H.P.; Haller, J.; Langsteger, W. Detection of histologically proven peritoneal carcinomatosis with fused 18F-FDG-PET/MDCT. Eur. J. Radiol. 2009, 69, 536–541. [Google Scholar] [CrossRef] [PubMed]
- Turlakow, A.; Yeung, H.W.; Salmon, A.S.; Macapinlac, H.A.; Larson, S.M. Peritoneal carcinomatosis: Role of (18)F-FDG PET. J. Nucl. Med. 2003, 44, 1407–1412. [Google Scholar] [PubMed]
- Satoh, Y.; Ichikawa, T.; Motosugi, U.; Kimura, K.; Sou, H.; Sano, K.; Araki, T. Diagnosis of peritoneal dissemination: Comparison of 18F-FDG PET/CT, diffusion-weighted MRI, and contrast-enhanced MDCT. AJR Am. J. Roentgenol. 2011, 196, 447–453. [Google Scholar] [CrossRef] [PubMed]
- de Bree, E.; Koops, W.; Kroger, R.; van Ruth, S.; Witkamp, A.J.; Zoetmulder, F.A. Peritoneal carcinomatosis from colorectal or appendiceal origin: Correlation of preoperative CT with intraoperative findings and evaluation of interobserver agreement. J. Surg. Oncol. 2004, 86, 64–73. [Google Scholar] [CrossRef]
- Mazzei, M.A.; Khader, L.; Cirigliano, A.; Cioffi Squitieri, N.; Guerrini, S.; Forzoni, B.; Marrelli, D.; Roviello, F.; Mazzei, F.G.; Volterrani, L. Accuracy of MDCT in the preoperative definition of Peritoneal Cancer Index (PCI) in patients with advanced ovarian cancer who underwent peritonectomy and hyperthermic intraperitoneal chemotherapy (HIPEC). Abdom. Imaging 2013, 38, 1422–1430. [Google Scholar] [CrossRef]
- Kim, H.W.; Won, K.S.; Zeon, S.K.; Ahn, B.C.; Gayed, I.W. Peritoneal carcinomatosis in patients with ovarian cancer: Enhanced CT versus 18F-FDG PET/CT. Clin. Nucl. Med. 2013, 38, 93–97. [Google Scholar] [CrossRef]
- Fujii, S.; Matsusue, E.; Kanasaki, Y.; Kanamori, Y.; Nakanishi, J.; Sugihara, S.; Kigawa, J.; Terakawa, N.; Ogawa, T. Detection of peritoneal dissemination in gynecological malignancy: Evaluation by diffusion-weighted MR imaging. Eur. Radiol. 2008, 18, 18–23. [Google Scholar] [CrossRef]
- Soussan, M.; Des Guetz, G.; Barrau, V.; Aflalo-Hazan, V.; Pop, G.; Mehanna, Z.; Rust, E.; Aparicio, T.; Douard, R.; Benamouzig, R.; et al. Comparison of FDG-PET/CT and MR with diffusion-weighted imaging for assessing peritoneal carcinomatosis from gastrointestinal malignancy. Eur. Radiol. 2012, 22, 1479–1487. [Google Scholar] [CrossRef]
- Laghi, A.; Bellini, D.; Rengo, M.; Accarpio, F.; Caruso, D.; Biacchi, D.; Di Giorgio, A.; Sammartino, P. Diagnostic performance of computed tomography and magnetic resonance imaging for detecting peritoneal metastases: Systematic review and meta-analysis. Radiol. Med. 2017, 122, 1–15. [Google Scholar] [CrossRef] [PubMed]
- Hynninen, J.; Kemppainen, J.; Lavonius, M.; Virtanen, J.; Matomaki, J.; Oksa, S.; Carpen, O.; Grenman, S.; Seppanen, M.; Auranen, A. A prospective comparison of integrated FDG-PET/contrast-enhanced CT and contrast-enhanced CT for pretreatment imaging of advanced epithelial ovarian cancer. Gynecol. Oncol. 2013, 131, 389–394. [Google Scholar] [CrossRef] [PubMed]
- Choi, H.J.; Lim, M.C.; Bae, J.; Cho, K.S.; Jung, D.C.; Kang, S.; Yoo, C.W.; Seo, S.S.; Park, S.Y. Region-based diagnostic performance of multidetector CT for detecting peritoneal seeding in ovarian cancer patients. Arch. Gynecol. Obstet. 2011, 283, 353–360. [Google Scholar] [CrossRef]
- Marin, D.; Catalano, C.; Baski, M.; Di Martino, M.; Geiger, D.; Di Giorgio, A.; Sibio, S.; Passariello, R. 64-Section multi-detector row CT in the preoperative diagnosis of peritoneal carcinomatosis: Correlation with histopathological findings. Abdom. Imaging 2010, 35, 694–700. [Google Scholar] [CrossRef]
- Metser, U.; Jones, C.; Jacks, L.M.; Bernardini, M.Q.; Ferguson, S. Identification and quantification of peritoneal metastases in patients with ovarian cancer with multidetector computed tomography: Correlation with surgery and surgical outcome. Int. J. Gynecol. Cancer 2011, 21, 1391–1398. [Google Scholar] [CrossRef]
- Pfannenberg, C.; Konigsrainer, I.; Aschoff, P.; Oksuz, M.O.; Zieker, D.; Beckert, S.; Symons, S.; Nieselt, K.; Glatzle, J.; Weyhern, C.V.; et al. (18)F-FDG-PET/CT to select patients with peritoneal carcinomatosis for cytoreductive surgery and hyperthermic intraperitoneal chemotherapy. Ann. Surg. Oncol. 2009, 16, 1295–1303. [Google Scholar] [CrossRef]
- Low, R.N.; Barone, R.M. Combined diffusion-weighted and gadolinium-enhanced MRI can accurately predict the peritoneal cancer index preoperatively in patients being considered for cytoreductive surgical procedures. Ann. Surg. Oncol. 2012, 19, 1394–1401. [Google Scholar] [CrossRef] [PubMed]
- Klumpp, B.D.; Schwenzer, N.; Aschoff, P.; Miller, S.; Kramer, U.; Claussen, C.D.; Bruecher, B.; Koenigsrainer, A.; Pfannenberg, C. Preoperative assessment of peritoneal carcinomatosis: Intraindividual comparison of 18F-FDG PET/CT and MRI. Abdom. Imaging 2013, 38, 64–71. [Google Scholar] [CrossRef]
- van ‘t Sant, I.; Engbersen, M.P.; Bhairosing, P.A.; Lambregts, D.M.J.; Beets-Tan, R.G.H.; van Driel, W.J.; Aalbers, A.G.J.; Kok, N.F.M.; Lahaye, M.J. Diagnostic performance of imaging for the detection of peritoneal metastases: A meta-analysis. Eur. Radiol. 2020, 30, 3101–3112. [Google Scholar] [CrossRef]
- Dohan, A.; Hoeffel, C.; Soyer, P.; Jannot, A.S.; Valette, P.J.; Thivolet, A.; Passot, G.; Glehen, O.; Rousset, P. Evaluation of the peritoneal carcinomatosis index with CT and MRI. Br. J. Surg. 2017, 104, 1244–1249. [Google Scholar] [CrossRef]
- Esquivel, J.; Chua, T.C.; Stojadinovic, A.; Melero, J.T.; Levine, E.A.; Gutman, M.; Howard, R.; Piso, P.; Nissan, A.; Gomez-Portilla, A.; et al. Accuracy and clinical relevance of computed tomography scan interpretation of peritoneal cancer index in colorectal cancer peritoneal carcinomatosis: A multi-institutional study. J. Surg. Oncol. 2010, 102, 565–570. [Google Scholar] [CrossRef] [PubMed]
- Rivard, J.D.; Temple, W.J.; McConnell, Y.J.; Sultan, H.; Mack, L.A. Preoperative computed tomography does not predict resectability in peritoneal carcinomatosis. Am. J. Surg. 2014, 207, 760–764; discussion 764–765. [Google Scholar] [CrossRef] [PubMed]
- Pannu, H.K.; Horton, K.M.; Fishman, E.K. Thin section dual-phase multidetector-row computed tomography detection of peritoneal metastases in gynecologic cancers. J. Comput. Assist. Tomogr. 2003, 27, 333–340. [Google Scholar] [CrossRef] [PubMed]
- Low, R.N.; Barone, R.M.; Rousset, P. Peritoneal MRI in patients undergoing cytoreductive surgery and HIPEC: History, clinical applications, and implementation. Eur. J. Surg. Oncol. 2021, 47, 65–74. [Google Scholar] [CrossRef] [PubMed]










| TP | FN | TN | FP | %Sen | %Spec | %Acc | p ^ | |
|---|---|---|---|---|---|---|---|---|
| Total PCI regions | ||||||||
| MRI | 110 | 114 | 227 | 17 | 49.1 | 93.0 | 72.0 | 0.755 |
| CT | 107 | 117 | 232 | 12 | 47.8 | 95.1 | 72.4 | |
| PCI region 0—central | ||||||||
| MRI | 6 | 9 | 21 | 0 | 40.0 | 100.0 | 75.0 | 1.000 |
| CT | 7 | 8 | 21 | 0 | 46.7 | 100.0 | 77.8 | |
| PCI region 1—right upper | ||||||||
| MRI | 13 | 5 | 17 | 1 | 72.2 | 94.4 | 83.3 | 1.000 |
| CT | 12 | 6 | 17 | 1 | 66.7 | 94.4 | 80.6 | |
| PCI region 2—epigastrium | ||||||||
| MRI | 6 | 10 | 19 | 1 | 37.5 | 95.0 | 69.4 | 1.000 |
| CT | 7 | 9 | 19 | 1 | 43.8 | 95.0 | 72.2 | |
| PCI region 3—left upper | ||||||||
| MRI | 9 | 5 | 18 | 4 | 64.3 | 81.8 | 75.0 | 0.500 |
| CT | 11 | 3 | 21 | 1 | 78.6 | 95.5 | 88.9 | |
| PCI region 4—left flank | ||||||||
| MRI | 9 | 4 | 19 | 4 | 69.2 | 82.6 | 77.8 | 1.000 |
| CT | 10 | 3 | 21 | 2 | 76.9 | 91.3 | 86.1 | |
| PCI region 5—left lower | ||||||||
| MRI | 12 | 8 | 12 | 4 | 60.0 | 75.0 | 66.7 | 1.000 |
| CT | 12 | 8 | 13 | 3 | 60.0 | 81.3 | 69.4 | |
| PCI region 6—pelvis | ||||||||
| MRI | 19 | 8 | 9 | 0 | 70.4 | 100.0 | 77.8 | 1.000 |
| CT | 20 | 7 | 8 | 1 | 74.1 | 88.9 | 77.8 | |
| PCI region 7—right lower | ||||||||
| MRI | 11 | 8 | 14 | 3 | 57.9 | 82.4 | 69.4 | 1.000 |
| CT | 12 | 7 | 14 | 3 | 63.2 | 82.4 | 72.2 | |
| PCI region 8—right flank | ||||||||
| MRI | 12 | 8 | 16 | 0 | 60.0 | 100.0 | 77.8 | 0.625 |
| CT | 14 | 6 | 16 | 0 | 70.0 | 100.0 | 83.3 | |
| PCI region 9—upper jejunum | ||||||||
| MRI | 3 | 12 | 21 | 0 | 20.0 | 100.0 | 66.7 | 0.250 |
| CT | 0 | 15 | 21 | 0 | 0 | 100.0 | 58.3 | |
| PCI region 10—lower jejunum | ||||||||
| MRI | 2 | 13 | 21 | 0 | 13.3 | 100.0 | 63.9 | 1.000 |
| CT | 1 | 14 | 21 | 0 | 6.7 | 100.0 | 61.1 | |
| PCI region 11—upper ileum | ||||||||
| MRI | 5 | 11 | 20 | 0 | 31.3 | 100.0 | 69.4 | 0.125 |
| CT | 1 | 15 | 20 | 0 | 6.3 | 100.0 | 58.3 | |
| PCI region 12—lower ileum | ||||||||
| MRI | 3 | 13 | 20 | 0 | 18.8 | 100.0 | 63.9 | 0.250 |
| CT | 0 | 16 | 20 | 0 | 0 | 100.0 | 55.6 |
| Weighted Kappa (95% CI) | |
|---|---|
| PCI region 0—central | |
| MRI | 0.490 (0.220–0.760) |
| CT | 0.586 (0.347–0.825) |
| PCI region 1—right upper | |
| MRI | 0.612 (0.407–0.817) |
| CT | 0.642 (0.445–0.839) |
| PCI region 2—epigastrium | |
| MRI | 0.578 (0.333–0.823) |
| CT | 0.567 (0.303–0.831) |
| PCI region 3—left upper | |
| MRI | 0.622 (0.386–0.857) |
| CT | 0.747 (0.548–0.945) |
| PCI region 4—left flank | |
| MRI | 0.565 (0.319–0.811) |
| CT | 0.677 (0.448–0.905) |
| PCI region 5—left lower | |
| MRI | 0.537 (0.315–0.759) |
| CT | 0.501 (0.270–0.731) |
| PCI region 6—pelvis | |
| MRI | 0.570 (0.359–0.781) |
| CT | 0.578 (0.377–0.779) |
| PCI region 7—right lower | |
| MRI | 0.439 (0.207–0.671) |
| CT | 0.517 (0.299–0.735) |
| PCI region 8—right flank | |
| MRI | 0.594 (0.417–0.770) |
| CT | 0.598 (0.421–0.774) |
| PCI region 9—upper jejunum | |
| MRI | 0.166 (0.040–0.293) |
| CT | 0 |
| PCI region 10—lower jejunum | |
| MRI | 0.220 (−0.038–0.477) |
| CT | 0.182 (−0.115–0.479) |
| PCI region 11—upper ileum | |
| MRI | 0.277 (0.072–0.482) |
| CT | 0.138 (−0.102–0.378) |
| PCI region 12—lower ileum | |
| MRI | 0.118 (−0.010–0.246) |
| CT | 0 |
Publisher’s Note: MDPI stays neutral with regard to jurisdictional claims in published maps and institutional affiliations. |
© 2022 by the authors. Licensee MDPI, Basel, Switzerland. This article is an open access article distributed under the terms and conditions of the Creative Commons Attribution (CC BY) license (https://creativecommons.org/licenses/by/4.0/).
Share and Cite
Chia, C.S.; Wong, L.C.K.; Hennedige, T.P.; Ong, W.S.; Zhu, H.-Y.; Tan, G.H.C.; Kwek, J.W.; Seo, C.J.; Wong, J.S.M.; Ong, C.-A.J.; et al. Prospective Comparison of the Performance of MRI Versus CT in the Detection and Evaluation of Peritoneal Surface Malignancies. Cancers 2022, 14, 3179. https://doi.org/10.3390/cancers14133179
Chia CS, Wong LCK, Hennedige TP, Ong WS, Zhu H-Y, Tan GHC, Kwek JW, Seo CJ, Wong JSM, Ong C-AJ, et al. Prospective Comparison of the Performance of MRI Versus CT in the Detection and Evaluation of Peritoneal Surface Malignancies. Cancers. 2022; 14(13):3179. https://doi.org/10.3390/cancers14133179
Chicago/Turabian StyleChia, Claramae Shulyn, Louis Choon Kit Wong, Tiffany Priyanthi Hennedige, Whee Sze Ong, Hong-Yuan Zhu, Grace Hwei Ching Tan, Jin Wei Kwek, Chin Jin Seo, Jolene Si Min Wong, Chin-Ann Johnny Ong, and et al. 2022. "Prospective Comparison of the Performance of MRI Versus CT in the Detection and Evaluation of Peritoneal Surface Malignancies" Cancers 14, no. 13: 3179. https://doi.org/10.3390/cancers14133179
APA StyleChia, C. S., Wong, L. C. K., Hennedige, T. P., Ong, W. S., Zhu, H.-Y., Tan, G. H. C., Kwek, J. W., Seo, C. J., Wong, J. S. M., Ong, C.-A. J., Thng, C. H., Soo, K. C., & Teo, M. C. C. (2022). Prospective Comparison of the Performance of MRI Versus CT in the Detection and Evaluation of Peritoneal Surface Malignancies. Cancers, 14(13), 3179. https://doi.org/10.3390/cancers14133179

