Imaging of Pediatric Testicular and Para-Testicular Tumors: A Pictural Review
Abstract
Simple Summary
Abstract
1. Introduction
2. Epidemiology of Pediatric Testicular Tumors
3. Management of Pediatric Testicular Tumors
4. Role of Imaging for Pediatric Intra-Testicular Tumor Characterization
4.1. Imaging Modalities
4.2. Benign GCTs
Mature Teratomas and Dermoid Cysts
4.3. Epidermoid Cysts
4.4. Malignant GCTs
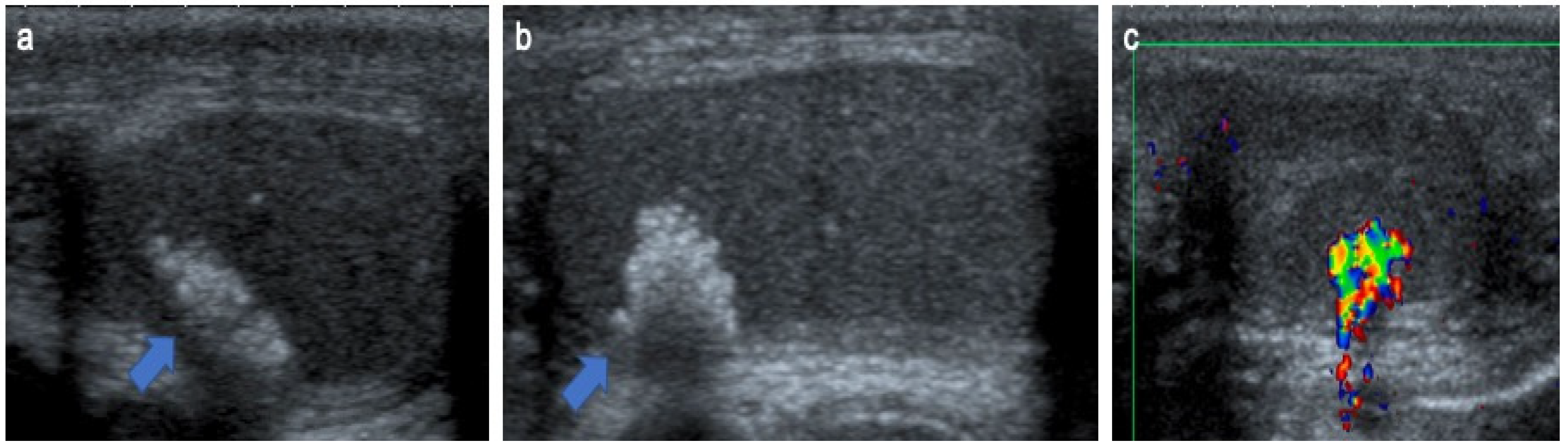
4.4.1. Yolk-Sac Tumor
4.4.2. Immature Teratomas
4.4.3. Mixed Non-Seminomatous Malignant GCTs
4.4.4. Seminomas
4.5. Non-GCTs: Sex-Cord Stromal Tumors
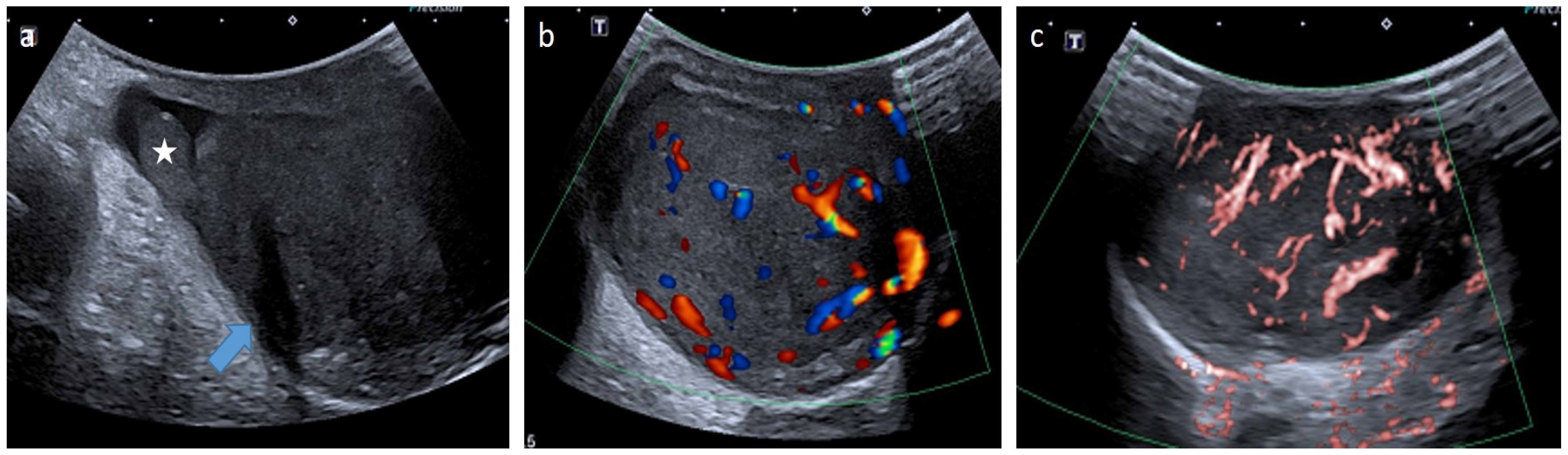
4.5.1. Leydig Cell Tumors (LCTs)
4.5.2. Sertoli-Cell Tumors
4.5.3. Juvenile Granulosa Cell Tumors
4.6. Lymphoma and Leukemia
4.7. Intra-Testicular Metastases of Primary Solid Tumor
4.8. Other Rare Diagnoses of Intra-Testicular Tumors
4.9. Testicular Adrenal Rest Tumors
5. Role of Imaging in Pediatric Extra-Testicular Tumor Characterization
6. Role of Imaging in Staging and Monitoring Pediatric Testicular Tumors
6.1. Staging of Pediatric Testicular Tumors and Para-Testicular Rhabdomyosarcoma
6.2. Monitoring Children with Testicular Tumors
6.3. Monitoring Children with Risk Factors for Testicular Tumors
7. Conclusions
Author Contributions
Funding
Conflicts of Interest
Abbreviations
References
- Ross, J.H. Prepubertal Testicular Tumors. Urology 2009, 74, 94–99. [Google Scholar] [CrossRef] [PubMed]
- Moreno, C.C.; Small, W.C.; Camacho, J.C.; Master, V.; Kokabi, N.; Lewis, M.; Hartman, M.; Mittal, P.K. Testicular Tumors: What Radiologists Need to Know—Differential Diagnosis, Staging, and Management. RadioGraphics 2015, 35, 400–415. [Google Scholar] [CrossRef] [PubMed]
- Stein, R.; Quaedackers, J.; Bhat, N.R.; Dogan, H.S.; Nijman, R.J.; Rawashdeh, Y.F.; Silay, M.S.; Hoen, L.A.; Tekgul, S.; Radmayr, C.; et al. EAU-ESPU pediatric urology guidelines on testicular tumors in prepubertal boys. J. Pediatr. Urol. 2021, 17, 529–533. [Google Scholar] [CrossRef] [PubMed]
- Ye, Y.-L.; He, Q.-M.; Zheng, F.-F.; Guo, S.-J.; Zhou, F.-J.; Qin, Z.-K. Trends of testis-sparing surgery for pediatric testicular tumors in South China. BMC Surg. 2017, 17, 31. [Google Scholar] [CrossRef] [PubMed]
- Jiménez Isabel, M.A.; Gómez Fraile, A.; Aransay Brantot, A.; López Vázquez, F.; Delgado Muños, M.D.; Encinas Goenechea, A.; Matute de Cárdenas, M.D.; Berchi García, F.J. Testicular tumors in childhood. Review of cases in the course of 13 years. Cir. Pediatr. 1996, 9, 13–16. [Google Scholar] [PubMed]
- Metcalfe, P.D.; Farivar-Mohseni, H.; Farhat, W.; McLorie, G.; Khoury, A.; Bägli, D.J. Pediatric Testicular Tumors: Contemporary Incidence and Efficacy of Testicular Preserving Surgery. J. Urol. 2003, 170, 2412–2416. [Google Scholar] [CrossRef] [PubMed]
- Wang, X.; Xu, S.; Tang, D.; Li, M.; Wu, D.; Huang, Y. Prepubertal testicular and paratesticular tumors in China: A single-center experience over a 10-year period. J. Pediatr. Surg. 2012, 47, 1576–1580. [Google Scholar] [CrossRef]
- Friend, J.; Barker, A.; Khosa, J.; Samnakay, N. Benign scrotal masses in children—Some new lessons learned. J. Pediatr. Surg. 2016, 51, 1737–1742. [Google Scholar] [CrossRef]
- Li, Z.; Zhang, W.; Song, H.; Sun, N. Testis-Preserving Tumor Enucleation Is Applicable in Children with Immature Testicular Teratoma. Urol. Int. 2021, 105, 27–30. [Google Scholar] [CrossRef]
- Bujons, A.; Sfulcini, J.C.; Pascual, M.; Feu, O.A.; Garat, J.M.; Villavicencio, H. Prepubertal testicular tumours and efficacy of testicular preserving surgery. Br. J. Urol. 2011, 107, 1812–1816. [Google Scholar] [CrossRef]
- Alanee, S.; Shukla, A. Paediatric testicular cancer: An updated review of incidence and conditional survival from the Surveillance, Epidemiology and End Results database. Br. J. Urol. 2009, 104, 1280–1283. [Google Scholar] [CrossRef]
- Kusler, K.A.; Poynter, J.N. International testicular cancer incidence rates in children, adolescents and young adults. Cancer Epidemiol. 2018, 56, 106–111. [Google Scholar] [CrossRef]
- O’Shea, K.; Tong, A.; Farrelly, P.; Craigie, R.; Cheesman, E.; Shukla, R.; Losty, P. Management and outcome of paediatric testicular tumours—A 20 year experience. J. Pediatr. Surg. 2021, 56, 2032–2036. [Google Scholar] [CrossRef]
- Williamson, S.R.; Delahunt, B.; Magi-Galluzzi, C.; Algaba, F.; Egevad, L.; Ulbright, T.M.; Tickoo, S.K.; Srigley, J.R.; Epstein, J.; Berney, D.; et al. The World Health Organization 2016 classification of testicular germ cell tumours: A review and update from the International Society of Urological Pathology Testis Consultation Panel. Histopathology 2017, 70, 335–346. [Google Scholar] [CrossRef]
- Roth, L.M.; Cheng, L. Gonadoblastoma: Origin and outcome. Hum. Pathol. 2020, 100, 47–53. [Google Scholar] [CrossRef]
- Yada, K.; Ishibashi, H.; Mori, H.; Shimada, M. Intrascrotal lipoblastoma: Report of a case and the review of literature. Surg. Case Rep. 2016, 2, 34. [Google Scholar] [CrossRef]
- Soles, B.S.; Wilson, A.; Lucas, D.R.; Heider, A. Melanotic Neuroectodermal Tumor of Infancy. Arch. Pathol. Lab. Med. 2018, 142, 1358–1363. [Google Scholar] [CrossRef]
- Schneider, D.T.; Calaminus, G.; Göbel, U. Diagnostic value of alpha1-fetoprotein and beta-human chorionic gonadotropin in infancy and childhood. Pediatr. Hematol. Oncol. 2001, 18, 11–26. [Google Scholar] [CrossRef]
- Radford, A.; Peycelon, M.; Haid, B.; Powis, M.; Lakshminarayanan, B. Testicular-sparing surgery in the pediatric population: Multicenter review of practice with review of the literature. Curr. Opin. Urol. 2019, 29, 481–486. [Google Scholar] [CrossRef]
- Kooij, C.D.; Hulsker, C.C.; Kranendonk, M.E.; Zsiros, J.; Littooij, A.S.; Looijenga, L.H.; Klijn, A.J.; Mavinkurve-Groothuis, A.M. Testis Sparing Surgery in Pediatric Testicular Tumors. Cancers 2020, 12, 2867. [Google Scholar] [CrossRef]
- Caldwell, B.T.; Saltzman, A.F.; Maccini, M.A.; Cost, N.G. Appropriateness for testis-sparing surgery based on the testicular tumor size in a pediatric and adolescent population. J. Pediatr. Urol. 2019, 15, 70.e1–70.e6. [Google Scholar] [CrossRef]
- Chang, M.-Y.; Shin, H.J.; Kim, H.G.; Kim, M.-J.; Lee, M.-J. Prepubertal Testicular Teratomas and Epidermoid Cysts: Comparison of Clinical and Sonographic Features. J. Ultrasound Med. 2015, 34, 1745–1751. [Google Scholar] [CrossRef]
- Isidori, A.M.; Pozza, C.; Gianfrilli, D.; Giannetta, E.; Lemma, A.; Pofi, R.; Barbagallo, F.; Manganaro, L.; Martino, G.; Lombardo, F.; et al. Differential Diagnosis of Nonpalpable Testicular Lesions: Qualitative and Quantitative Contrast-enhanced US of Benign and Malignant Testicular Tumors. Radiology 2014, 273, 606–618. [Google Scholar] [CrossRef] [PubMed]
- Luzurier, A.; Maxwell, F.; Correas, J.; Benoit, G.; Izard, V.; Ferlicot, S.; Teglas, J.; Bellin, M.; Rocher, L. Qualitative and quantitative contrast-enhanced ultrasonography for the characterisation of non-palpable testicular tumours. Clin. Radiol. 2018, 73, 322.e1–322.e9. [Google Scholar] [CrossRef] [PubMed]
- Huang, D.Y.; Pesapane, F.; Rafailidis, V.; Deganello, A.; Sellars, M.E.; Sidhu, P.S. The role of multiparametric ultrasound in the diagnosis of paediatric scrotal pathology. Br. J. Radiol. 2020, 93, 20200063. [Google Scholar] [CrossRef] [PubMed]
- Rocher, L.; Criton, A.; Gennisson, J.-L.; Creze, M.; Albiges, L.; Ferlicot, S.; Bellin, M.-F.; Izard, V.; Correas, J.-M. Characterization of Testicular Masses in Adults: Performance of Combined Quantitative Shear Wave Elastography and Conventional Ultrasound. Ultrasound Med. Biol. 2019, 45, 720–731. [Google Scholar] [CrossRef] [PubMed]
- Mittal, P.K.; Abdalla, A.S.; Chatterjee, A.; Baumgarten, D.A.; Harri, P.A.; Patel, J.; Moreno, C.C.; Gabriel, H.; Miller, F.H. Spectrum of Extratesticular and Testicular Pathologic Conditions at Scrotal MR Imaging. RadioGraphics 2018, 38, 806–830. [Google Scholar] [CrossRef]
- Cassidy, F.H.; Ishioka, K.M.; McMahon, C.J.; Chu, P.; Sakamoto, K.; Lee, K.; Aganovic, L. MR Imaging of Scrotal Tumors and Pseudotumors. RadioGraphics 2010, 30, 665–683. [Google Scholar] [CrossRef]
- Tsili, A.C.; Bertolotto, M.; Turgut, A.T.; Dogra, V.; Freeman, S.; Rocher, L.; Belfield, J.; Studniarek, M.; Ntorkou, A.; Derchi, L.E.; et al. MRI of the scrotum: Recommendations of the ESUR Scrotal and Penile Imaging Working Group. Eur. Radiol. 2018, 28, 31–43. [Google Scholar] [CrossRef]
- Wang, W.; Sun, Z.; Chen, Y.; Zhao, F.; Yu, H.; Guo, X.; Shi, K. Testicular tumors: Discriminative value of conventional MRI and diffusion weighted imaging. Medicine 2021, 100, e27799. [Google Scholar] [CrossRef]
- Liu, R.; Lei, Z.; Li, A.; Jiang, Y.; Ji, J. Differentiation of testicular seminoma and nonseminomatous germ cell tumor on magnetic resonance imaging. Medicine 2019, 98, e17937. [Google Scholar] [CrossRef]
- Pedersen, M.R.; Osther, P.J.S.; Nissen, H.D.; Vedsted, P.; Moller, H.; Rafaelsen, S. Elastography and diffusion-weighted MRI in patients with testicular microlithiasis, normal testicular tissue, and testicular cancer: An observational study. Acta Radiol. 2019, 60, 535–541. [Google Scholar] [CrossRef]
- Abad, P.G.; Fernández, L.H.; Gálvez, M.J.; Fonseca, C.S.; Arrontes, D.S.; Llanos, S.N.; Arjona, M.F. Teratoma quístico maduro testicular (quiste dermoide): Aportación de un caso y revisión de la literatura. Arch. Esp. Urol. Ed. Impresa 2009, 62, 747–751. [Google Scholar] [CrossRef][Green Version]
- Youssef, A.; Salsi, G.; Curti, A.; Bellussi, F.; Elbarbary, N.A.; Locatelli, F.; Lima, M.; Pilu, G.; Rizzo, N. Prenatal ultrasonographic features of mature cystic teratoma in undescended testicle: Picture of the Month. Ultrasound Obstet. Gynecol. 2016, 47, 527–529. [Google Scholar] [CrossRef][Green Version]
- Tang, A.L.; Liu, S.; Wong-You-Cheong, J.J. Testicular Yolk Sac Tumor. Ultrasound Q. 2013, 29, 237–239. [Google Scholar] [CrossRef]
- Xu, H.-X.; Yi, X.-P. Sonographic appearance of a testicular yolk sac tumor in a 2-year-old boy. J. Clin. Ultrasound 2007, 35, 55–57. [Google Scholar] [CrossRef]
- Wei, Y.; Wu, S.; Lin, T.; He, D.; Li, X.; Liu, J.; Liu, X.; Hua, Y.; Lu, P.; Wei, G. Testicular yolk sac tumors in children: A review of 61 patients over 19 years. World J. Surg. Oncol. 2014, 12, 400. [Google Scholar] [CrossRef][Green Version]
- Chen, Y.-S.; Kuo, J.-Y.; Chin, T.-W.; Wei, C.-F.; Chen, K.-K.; Lin, A.T.; Chang, L.S. Prepubertal Testicular Germ Cell Tumors: 25-year Experience in Taipei Veterans General Hospital. J. Chin. Med Assoc. 2008, 71, 357–361. [Google Scholar] [CrossRef][Green Version]
- Grantham, E.C.; Caldwell, B.T.; Cost, N.G. Current urologic care for testicular germ cell tumors in pediatric and adolescent patients. Urol. Oncol. Semin. Orig. Investig. 2016, 34, 65–75. [Google Scholar] [CrossRef]
- Ye, Y.-L.; Zheng, F.-F.; Chen, D.; Zhang, J.; Liu, Z.-W.; Qin, Z.-K.; Zhou, F.-J. Relapse in children with clinical stage I testicular yolk sac tumors after initial orchiectomy. Pediatr. Surg. Int. 2019, 35, 383–389. [Google Scholar] [CrossRef]
- Rocher, L.; Ksouri, A.; Maxwell, F.; Bresson, B.; Hindawi, G.; Balasa, C.; Bellin, M.F.; Albiges, L. Tumeurs testiculaires : Les enjeux diagnostiques de l’imagerie. Bull. Cancer 2019, 106, 875–886. [Google Scholar] [CrossRef]
- Shaikh, F.; Stark, D.; Fonseca, A.; Dang, H.; Xia, C.; Krailo, M.; Pashankar, F.; Rodriguez-Galindo, C.; Olson, T.A.; Nicholson, J.C.; et al. Outcomes of adolescent males with extracranial metastatic germ cell tumors: A report from the Malignant Germ Cell Tumor International Consortium. Cancer 2021, 127, 193–202. [Google Scholar] [CrossRef]
- Boot, A.M.; Lumbroso, S.; Verhoef-Post, M.; Richter-Unruh, A.; Looijenga, L.H.J.; Funaro, A.; Beishuizen, A.; Van Marle, A.; Drop, S.L.S.; Themmen, A.P.N. Mutation Analysis of the LH Receptor Gene in Leydig Cell Adenoma and Hyperplasia and Functional and Biochemical Studies of Activating Mutations of the LH Receptor Gene. J. Clin. Endocrinol. Metab. 2011, 96, E1197–E1205. [Google Scholar] [CrossRef]
- Xu, Z.-Q.; Zhao, D.; Tian, B.-L.; Wang, Y.-B. Ultrasound characteristics of testicular Leydig cell tumors, 1. Zhonghua Nan Ke Xue 2019, 25, 346–350. [Google Scholar]
- Grand, T.; Hermann, A.-L.; Gérard, M.; Arama, E.; Ouerd, L.; Garrouche, N.; Rocher, L. Precocious puberty related to Leydig cell testicular tumor: The diagnostic imaging keys. Eur. J. Med. Res. 2022, 27, 67. [Google Scholar] [CrossRef]
- Di, M.; Qin, J. Role of contrast-enhanced ultrasound with Sonazoid in management of small testicular Leydig cell tumours: A case report with literature review. Andrologia 2021, 53, e14078. [Google Scholar] [CrossRef]
- Manganaro, L.; Vinci, V.; Pozza, C.; Saldari, M.; Gianfrilli, D.; Pofi, R.; Bernardo, S.; Cantisani, V.; Lenzi, A.; Scialpi, M.; et al. A prospective study on contrast-enhanced magnetic resonance imaging of testicular lesions: Distinctive features of Leydig cell tumours. Eur. Radiol. 2015, 25, 3586–3595. [Google Scholar] [CrossRef]
- Drudi, F.M.; Valentino, M.; Bertolotto, M.; Malpassini, F.; Maghella, F.; Cantisani, V.; Liberatore, M.; De Felice, C.; D’Ambrosio, F. CEUS Time Intensity Curves in the Differentiation Between Leydig Cell Carcinoma and Seminoma: A Multicenter Study. Ultraschall Med. Eur. J. Ultrasound 2015, 37, 201–205. [Google Scholar] [CrossRef] [PubMed]
- Maxwell, F.; Izard, V.; Ferlicot, S.; Rachas, A.; Correas, J.-M.; Benoit, G.; Bellin, M.-F.; Rocher, L. Colour Doppler and ultrasound characteristics of testicular Leydig cell tumours. Br. J. Radiol. 2016, 89, 20160089. [Google Scholar] [CrossRef] [PubMed]
- Ahmed, H.U.; Arya, M.; Muneer, A.; Mushtaq, I.; Sebire, N.J. Testicular and paratesticular tumours in the prepubertal population. Lancet Oncol. 2010, 11, 476–483. [Google Scholar] [CrossRef]
- Pozza, C.; Pofi, R.; Tenuta, M.; Tarsitano, M.G.; Sbardella, E.; Fattorini, G.; Cantisani, V.; Lenzi, A.; Isidori, A.M.; Gianfrilli, D.; et al. Clinical presentation, management and follow-up of 83 patients with Leydig cell tumors of the testis: A prospective case-cohort study. Hum. Reprod. 2019, 34, 1389–1403. [Google Scholar] [CrossRef]
- Luckie, T.M.; Danzig, M.; Zhou, S.; Wu, H.; Cost, N.G.; Karaviti, L.; Venkatramani, R. A Multicenter Retrospective Review of Pediatric Leydig Cell Tumor of the Testis. J. Pediatr. Hematol. Oncol. 2019, 41, 74–76. [Google Scholar] [CrossRef]
- Li, G.; Lee, M.S.; Kraft, K.H.; Heider, A. Prepubertal Malignant Large Cell Calcifying Sertoli Cell Tumor of the Testis. Urology 2018, 117, 145–149. [Google Scholar] [CrossRef]
- Stratakis, C.A.; Raygada, M. Carney complex. In GeneReviews®; Adam, M.P., Mirzaa, G.M., Pagon, R.A., Wallace, S.E., Bean, L.J.H., Gripp, K.W., Amemiya, A., Eds.; University of Washington, Seattle: Seattle, WA, USA, 1993. [Google Scholar]
- Asmandar, S.; Múgica, M.R.; Boudjemaa, S. Intratubular large cell hyalinising Sertoli-cell neoplasia: A rare entity associated with Peutz–Jeghers syndrome. Pathology 2020, 52, 712–713. [Google Scholar] [CrossRef]
- Ocal, O.; Baydar, D.E.; Idilman, I.S.; Dogan, H.S.; Tekgul, S.; Ozmen, M.N. Sonographic diagnosis of large-cell calcifying Sertoli cell tumor. J. Ultrason. 2019, 19, 161–164. [Google Scholar] [CrossRef]
- Vatta, F.; Raffaele, A.; Pasqua, N.; Cesari, S.; Romano, P.; Parigi, G.B.; Avolio, L. Juvenile Granulosa Cell Tumor of the Testis: Prenatal Diagnosis and Management. Eur. J. Pediatr. Surg. Rep. 2019, 07, e93–e95. [Google Scholar] [CrossRef]
- Bulotta, A.L.; Molinaro, F.; Angotti, R.; Ferrara, F.; Di Maggio, G.; Bindi, E.; Messina, M. Juvenile granulosa cell tumor of the testis: Prenatal diagnosis and prescrotal approach. Ital. J. Pediatr. 2012, 38, 67. [Google Scholar] [CrossRef]
- Kao, C.-S.; Cornejo, K.M.; Ulbright, T.M.; Young, R.H. Juvenile Granulosa Cell Tumors of the Testis: A Clinicopathologic Study of 70 Cases with Emphasis on Its Wide Morphologic Spectrum. Am. J. Surg. Pathol. 2015, 39, 1159–1169. [Google Scholar] [CrossRef]
- Grogg, J.B.; Schneider, K.; Bode, P.-K.; Kranzbühler, B.; Eberli, D.; Sulser, T.; Beyer, J.; Lorch, A.; Hermanns, T.; Fankhauser, C.D. Risk factors and treatment outcomes of 239 patients with testicular granulosa cell tumors: A systematic review of published case series data. J. Cancer Res. Clin. Oncol. 2020, 146, 2829–2841. [Google Scholar] [CrossRef]
- Mazzu, D.; Jeffrey, R.B.; Ralls, P.W. Lymphoma and leukemia involving the testicles: Findings on gray-scale and color Doppler sonography. Am. J. Roentgenol. 1995, 164, 645–647. [Google Scholar] [CrossRef]
- Bertolotto, M.; Derchi, L.E.; Secil, M.; Dogra, V.; Sidhu, P.; Clements, R.; Freeman, S.; Grenier, N.; Mannelli, L.; Ramchandani, P.; et al. Grayscale and Color Doppler Features of Testicular Lymphoma. J. Ultrasound Med. 2015, 34, 1139–1145. [Google Scholar] [CrossRef]
- Kebudi, R.; Koc, B.S.; Akici, F.; Cakir, F.B.; Gorgun, O.; Olgun, N. Testis Involvement in Neuroblastoma: Report of 3 Cases in the Turkish Pediatric Oncology Group-Neuroblastoma Study and Review of the Literature. J. Pediatr. Hematol. Oncol. 2019, 41, 13–16. [Google Scholar] [CrossRef]
- Wu, J.; Jiang, G.; Wu, J.; Ou, L.; Zhang, C. 18F-FDG PET/CT Imaging of Testicular Myeloid Sarcoma in a Pediatric Patient. Clin. Nucl. Med. 2021, 46, 84–85. [Google Scholar] [CrossRef]
- Koh, S.S.; Kim, S.J.; Seghers, V.J.; Patel, K.R.; Koh, C.J.; Lee, D.-G. Testicular Myofibroma in Children: A Case Report and Review of the Literature. Urology 2021, 156, e150–e153. [Google Scholar] [CrossRef]
- Hugar, S.B.; Kadow, B.T.; Davis, A.; Ranganathan, S.; Reyes-Múgica, M.; Schneck, F.X.; Picarsic, J. Pediatric Testicular Hemangioma in a 10-Year-old: A Rare Entity That May Mimic Malignancy with Appraisal of the Literature. Urology 2018, 114, 175–180. [Google Scholar] [CrossRef]
- Merke, D.P.; Auchus, R.J. Congenital Adrenal Hyperplasia Due to 21-Hydroxylase Deficiency. N. Engl. J. Med. 2020, 383, 1248–1261. [Google Scholar] [CrossRef]
- Chaudhari, M.; Johnson, E.K.; DaJusta, D.; Nahata, L. Testicular adrenal rest tumor screening and fertility counseling among males with congenital adrenal hyperplasia. J. Pediatr. Urol. 2018, 14, 155.e1–155.e6. [Google Scholar] [CrossRef]
- Yılmaz, R.; Şahin, D.; Aghayev, A.; Erol, O.B.; Poyrazoğlu, Ş.; Saka, N.; Yekeler, E. Sonography and Magnetic Resonance Imaging Characteristics of Testicular Adrenal Rest Tumors. Pol. J. Radiol. 2017, 82, 583–588. [Google Scholar] [CrossRef] [PubMed]
- Deshpande, S.S.; Shetty, D.; Saifi, S. Sonographic Appearance of Testicular Adrenal Rest Tumour in a Patient with Congenital Adrenal Hyperplasia. Pol. J. Radiol. 2017, 82, 526–529. [Google Scholar] [CrossRef] [PubMed]
- Mansoor, N.M.; Huang, D.Y.; Sidhu, P.S. Multiparametric ultrasound imaging characteristics of multiple testicular adrenal rest tumours in congenital adrenal hyperplasia. Ultrasound 2022, 30, 80–84. [Google Scholar] [CrossRef] [PubMed]
- Shah, T.; Abu-Sanad, O.; Marsh, H. Role of magnetic resonance imaging in the early diagnosis of paratesticular rhabdomyosarcoma. Ann. R. Coll. Surg. Engl. 2016, 98, e74–e76. [Google Scholar] [CrossRef][Green Version]
- Murez, T.; Fléchon, A.; Savoie, P.-H.; Rocher, L.; Camparo, P.; Morel-Journel, N.; Ferretti, L.; Méjean, A. Recommandations françaises du Comité de cancérologie de l’AFU—Actualisation 2020–2022: Tumeurs germinales du testicule. Prog. En. Urol. 2020, 30, S280–S313. [Google Scholar] [CrossRef]
- van Ewijk, R.; Schoot, R.A.; Sparber-Sauer, M.; Ter Horst, S.A.J.; Jehanno, N.; Borgwardt, L.; de Keizer, B.; Merks, J.H.M.; de Luca, A.; McHugh, K.; et al. European guideline for imaging in paediatric and adolescent rhabdomyosarcoma—Joint statement by the European Paediatric Soft Tissue Sarcoma Study Group, the Cooperative Weichteilsarkom Studiengruppe and the Oncology Task Force of the European Society of Paediatric Radiology. Pediatr. Radiol. 2021, 51, 1940–1951. [Google Scholar] [CrossRef]
- Pettersson, A.; Richiardi, L.; Nordenskjold, A.; Kaijser, M.; Akre, O. Age at Surgery for Undescended Testis and Risk of Testicular Cancer. N. Engl. J. Med. 2007, 356, 1835–1841. [Google Scholar] [CrossRef]
- Dieckmann, K.P.; Pichlmeier, U. The prevalence of familial testicular cancer: An analysis of two patient populations and a review of the literature. Cancer 1997, 80, 1954–1960. [Google Scholar] [CrossRef]
- Dutra, R.A.; Perez-Bóscollo, A.C.; Melo, E.C.; Cruvinel, J.C. Clinical importance and prevalence of testicular microlithiasis in pediatric patients. Acta Cir. Bras. 2011, 26, 387–390. [Google Scholar] [CrossRef][Green Version]
- Goede, J.; Hack, W.W.M.; van der Voort-Doedens, L.; Sijstermans, K.; Pierik, F. Prevalence of Testicular Microlithiasis in Asymptomatic Males 0 to 19 Years Old. J. Urol. 2009, 182, 1516–1520. [Google Scholar] [CrossRef]
- Trout, A.T.; Chow, J.; McNamara, E.R.; Darge, K.; Grueso, R.R.; Munden, M.; Rothan, S.M.; Navarro, O.; Bueno, M.T.; Bove, K.E.; et al. Association between Testicular Microlithiasis and Testicular Neoplasia: Large Multicenter Study in a Pediatric Population. Radiology 2017, 285, 576–583. [Google Scholar] [CrossRef]
- Cooper, M.L.; Kaefer, M.; Fan, R.; Rink, R.C.; Jennings, S.G.; Karmazyn, B. Testicular Microlithiasis in Children and Associated Testicular Cancer. Radiology 2014, 270, 857–863. [Google Scholar] [CrossRef]
- Hoen, L.A.; Bhatt, N.R.; Radmayr, C.; Dogan, H.S.; Nijman, R.J.; Quaedackers, J.; Rawashdeh, Y.F.; Silay, M.S.; Tekgul, S.; Stein, R.; et al. The prognostic value of testicular microlithiasis as an incidental finding for the risk of testicular malignancy in children and the adult population: A systematic review. On behalf of the EAU pediatric urology guidelines panel. J. Pediatr. Urol. 2021, 17, 815–831. [Google Scholar] [CrossRef]
- Yu, C.-J.; Lu, J.-D.; Zhao, J.; Wei, Y.; Zhao, T.-X.; Lin, T.; He, D.-W.; Wu, S.-D.; Wei, G.-H. Incidence characteristics of testicular microlithiasis and its association with risk of primary testicular tumors in children: A systematic review and meta-analysis. World J. Pediatr. 2020, 16, 585–597. [Google Scholar] [CrossRef]
- Bayramoglu, Z.; Kandemirli, S.G.; Comert, R.G.; Akpinar, Y.E.; Caliskan, E.; Yilmaz, R.; Oktar, T.M.; Cetin, B.; Cingoz, M.; Adaletli, I. Shear wave elastography evaluation in pediatric testicular microlithiasis: A comparative study. J. Med Ultrason. 2018, 45, 281–286. [Google Scholar] [CrossRef]















| Tumoral Group | Histotypes | Prevalence (%) | 
|---|---|---|
| Benign Germ-cell tumor | Mature teratoma and dermoid cysts | 40–50% | 
| Non seminomatous malignant germ-cell tumor | Immature teratoma | rare | 
| Yolk sac tumor | 8–30% (<2 years) | |
| Choriocarcinoma | rare | |
| Embryonal carcinoma | rare | |
| Mixed non seminomatous malignant germ-cell tumor | More frequent in post-pubertal patients | |
| Seminomatous malignant germ-cell tumor | Seminoma | Exceptional in children | 
| Sex-cord stromal tumors | Leydig-cell tumor | 5% | 
| Sertoli-cell tumor | <1% | |
| Juvenile granulosa cell tumor | <5% | |
| Mixed sex-cord stromal tumor | <5% | |
| Pseudo-tumors | Epidermoid cyst | 10–15% | 
| Testicular adrenal rest tumor | 30–50% in the context of congenital adrenal hyperplasia | |
| Secondary testicular involvement of lymphoma or leukemia | 1–7% | |
| Secondary involvement of primary solid tumor | <1% | |
| Others | <1% | 
| Publisher’s Note: MDPI stays neutral with regard to jurisdictional claims in published maps and institutional affiliations. | 
© 2022 by the authors. Licensee MDPI, Basel, Switzerland. This article is an open access article distributed under the terms and conditions of the Creative Commons Attribution (CC BY) license (https://creativecommons.org/licenses/by/4.0/).
Share and Cite
Hermann, A.-L.; L’Herminé-Coulomb, A.; Irtan, S.; Audry, G.; Cardoen, L.; Brisse, H.J.; Vande Perre, S.; Pointe, H.D.L. Imaging of Pediatric Testicular and Para-Testicular Tumors: A Pictural Review. Cancers 2022, 14, 3180. https://doi.org/10.3390/cancers14133180
Hermann A-L, L’Herminé-Coulomb A, Irtan S, Audry G, Cardoen L, Brisse HJ, Vande Perre S, Pointe HDL. Imaging of Pediatric Testicular and Para-Testicular Tumors: A Pictural Review. Cancers. 2022; 14(13):3180. https://doi.org/10.3390/cancers14133180
Chicago/Turabian StyleHermann, Anne-Laure, Aurore L’Herminé-Coulomb, Sabine Irtan, Georges Audry, Liesbeth Cardoen, Hervé J. Brisse, Saskia Vande Perre, and Hubert Ducou Le Pointe. 2022. "Imaging of Pediatric Testicular and Para-Testicular Tumors: A Pictural Review" Cancers 14, no. 13: 3180. https://doi.org/10.3390/cancers14133180
APA StyleHermann, A.-L., L’Herminé-Coulomb, A., Irtan, S., Audry, G., Cardoen, L., Brisse, H. J., Vande Perre, S., & Pointe, H. D. L. (2022). Imaging of Pediatric Testicular and Para-Testicular Tumors: A Pictural Review. Cancers, 14(13), 3180. https://doi.org/10.3390/cancers14133180
 
        

 
       