Cribriform Patterned Lesions in the Prostate Gland with Emphasis on Differential Diagnosis and Clinical Significance
Abstract
Simple Summary
Abstract
1. Introduction
2. Benign Cribriform Formations
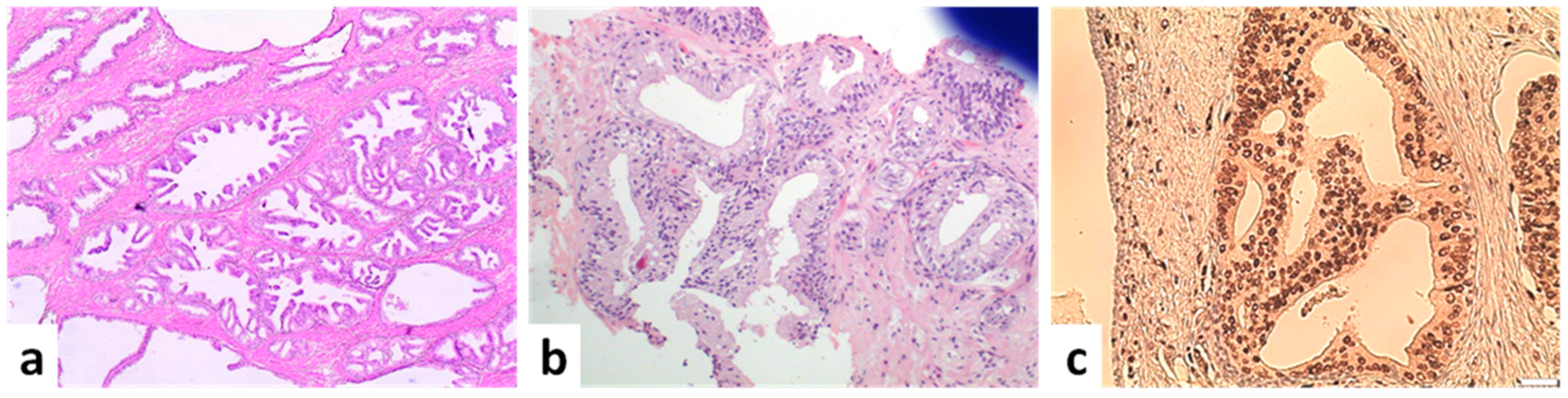
2.1. Normal Cribriform Glands
2.2. Basal Cell Hyperplasia
2.3. Clear Cell Cribriform Hyperplasia
3. Premalignant Cribriform Lesions
High-Grade Prostatic Intraepithelial Neoplasia (HGPIN)
4. Cribriform Lesions with Borderline Clinical Significance
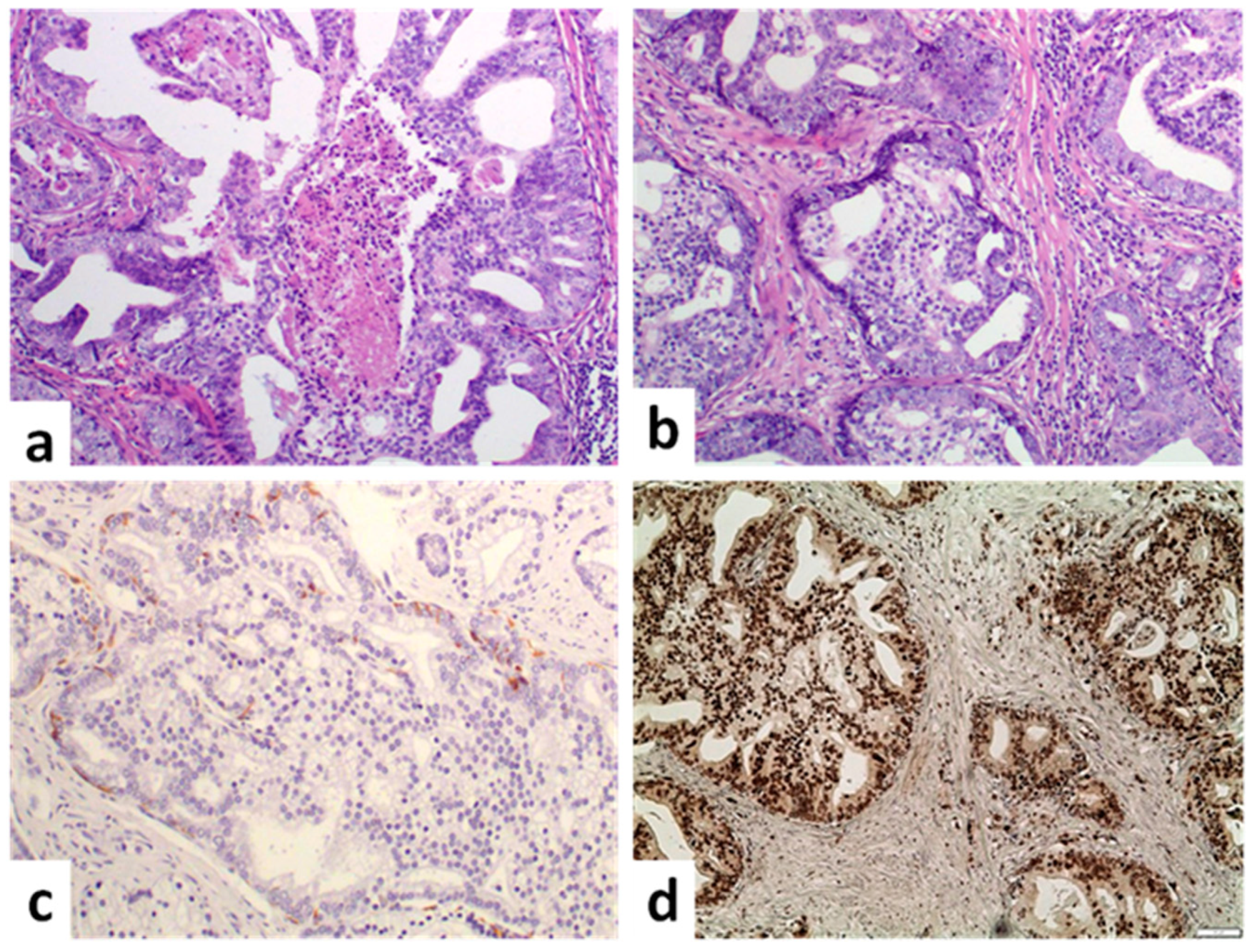
Atypical Intraductal Cribriform Proliferation (AIDCP)
5. Malignant Cribriform Formations
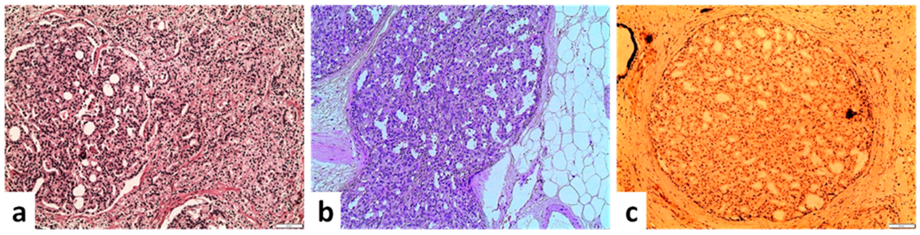
5.1. Intraductal Carcinoma (IDC)
5.2. Invasive Acinar Carcinoma with Cribriform Pattern
5.3. Ductal Carcinoma
5.4. Basal Cell Carcinoma
6. Conclusions
Author Contributions
Funding
Conflicts of Interest
References
- Srodon, M.; Epstein, J.I. Central zone histology of the prostate: A mimicker of high-grade prostatic intraepithelial neoplasia. Hum. Pathol. 2002, 33, 518–523. [Google Scholar] [CrossRef] [PubMed]
- McNeal, J.E. Prostate. In Histology for Histopathologists; Mills, S.E., Ed.; Lippincott Williams & Wilkins: Philadelphia, PA, USA, 2007. [Google Scholar]
- Hosler, G.A.; Epstein, J.I. Basal cell hyperplasia: An unusual diagnostic dilemma on prostate needle biopsies. Hum. Pathol. 2005, 36, 480–485. [Google Scholar] [CrossRef]
- Rioux-Leclercq, N.C.; Epstein, J.I. Unusual Morphologic Patterns of Basal Cell Hyperplasia of the Prostate. Am. J. Surg. Pathol. 2002, 26, 237–243. [Google Scholar] [CrossRef]
- Bostwick, D.; Montironi, R.; Sesterhenn, I.A. Diagnosis of Prostatic Intraepithelial Neoplasia: Prostate Working Group 1 Consensus Report. Scand. J. Urol. Nephrol. 2000, 34, 3–10. [Google Scholar] [CrossRef] [PubMed]
- Montironi, R.; Mazzucchelli, R.; Lopez-Beltran, A.; Scarpelli, M.; Cheng, L. Prostatic intraepithelial neoplasia: Its morphological and molecular diagnosis and clinical significance. BJU Int. 2011, 108, 1394–1401. [Google Scholar] [CrossRef] [PubMed]
- Hickman, R.A.; Yu, H.; Li, J.; Kong, M.; Shah, R.B.; Zhou, M.; Melamed, J.; Deng, F.M. Atypical intraductal cribriform proliferations of the prostate exhibit similar molecular and clinicopathologic characteristics as intraductal carcinoma of the prostate. Am. J. Surg. Pathol. 2017, 41, 550–556. [Google Scholar] [CrossRef] [PubMed]
- Magers, M.; Kunju, L.P.; Wu, A. Intraductal carcinoma of the prostate morphologic features, differential diagnoses, significance, and reporting practices. Arch. Pathol. Lab. Med. 2015, 139, 1234–1241. [Google Scholar] [CrossRef] [PubMed]
- Cohen, R.J.; Wheeler, T.M.; Bonkhoff, H.; Rubin, M.A. A proposal on the identification, histologic reporting, and implications of intraductal prostatic carcinoma. Arch. Pathol. Lab. Med. 2007, 131, 1103–1109. [Google Scholar] [CrossRef]
- Morais, C.L.; Han, J.S.; Gordetsky, J.; Nagar, M.S.; Anderson, A.E.; Lee, S.; Hicks, J.L.; Zhou, M.; Magi-Galluzzi, C.; Shah, R.B.; et al. Utility of PTEN and ERG Immunostaining for Distinguishing High-grade PIN From Intraductal Carcinoma of the Prostate on Needle Biopsy. Am. J. Surg. Pathol. 2015, 39, 169–178. [Google Scholar] [CrossRef] [PubMed]
- Lotan, T.L.; Gumuskaya, B.; Rahimi, H.; Hicks, J.L.; Iwata, T.; Robinson, B.D.; Epstein, J.I.; De Marzo, A.M. Cytoplasmic PTEN protein loss distinguishes intraductal carcinoma of the prostate from high-grade prostatic intraepithelial neoplasia. Mod. Pathol. 2013, 26, 587–603. [Google Scholar] [CrossRef] [PubMed]
- Shah, R.B.; Yoon, J.; Liu, G.; Tian, W. Atypical intraductal proliferation and intraductal carcinoma of the prostate on core needle biopsy: A comparative clinicopathological and molecular study with a proposal to expand the morphological spectrum of intraductal carcinoma. Histopathology 2017, 71, 693–702. [Google Scholar] [CrossRef]
- Jiang, H.; Zhou, Z.; Jin, S.; Xu, K.; Zhang, H.; Xu, J.; Sun, Q.; Wang, J.; Xu, J. PRMT9 promotes hepatocellular carcinoma invasion and metastasis via activating PI3K/Akt/GSK-3β/Snail signaling. Cancer Sci. 2018, 109, 1414–1427. [Google Scholar] [CrossRef] [PubMed]
- Divatia, M.K.; Ro, J.Y. Ymj-57-1054. Yonsei Med. J. 2016, 57, 1054–1062. [Google Scholar] [CrossRef] [PubMed]
- Humphrey, P.A.; Moch, H.; Cubilla, A.L.; Ulbright, T.M.; Reuter, V.E. The 2016 WHO Classification of Tumours of the Urinary System and Male Genital Organs-Part B: Prostate and Bladder Tumours. Eur. Urol. 2016, 70, 106–119. [Google Scholar] [CrossRef] [PubMed]
- Guo, C.C.; Epstein, J.I. Intraductal carcinoma of the prostate on needle biopsy: Histologic features and clinical significance. Mod. Pathol. 2006, 19, 1528–1535. [Google Scholar] [CrossRef] [PubMed]
- Varma, M.; Delahunt, B.; Egevad, L.; Samaratunga, H.; Kristiansen, G. Intraductal carcinoma of the prostate: A critical re-appraisal. Virchows Arch. 2019, 474, 525–534. [Google Scholar] [CrossRef] [PubMed]
- Samaratunga, H.; Delahunt, B.; Yaxley, J.W.; Johannsen, S.; Egevad, L. Intraductal Carcinoma of the Prostate: Extreme Nuclear Size Is Not a Diagnostic Parameter. Am. J. Surg. Pathol. 2021, 45, 1527–1533. [Google Scholar] [CrossRef]
- Epstein, J.I.; Amin, M.B.; Fine, S.W.; Algaba, F.; Aron, M.; Baydar, D.E.; Beltran, A.L.; Brimo, F.; Cheville, J.C.; Colecchia, M.; et al. The 2019 Genitourinary Pathology Society (GUPS) White Paper on Contemporary Grading of Prostate Cancer. Arch. Pathol. Lab. Med. 2021, 145, 461–493. [Google Scholar] [CrossRef]
- Cohen, R.J.; McNeal, J.E.; Baillie, T. Patterns of differentiation and proliferation in intraductal carcinoma of the prostate: Significance for cancer progression. Prostate 2000, 43, 11–19. [Google Scholar] [CrossRef]
- Watts, K.; Li, J.; Magi-Galluzzi, C.; Zhou, M. Incidence and clinicopathological characteristics of intraductal carcinoma detected in prostate biopsies: A prospective cohort study. Histopathology 2013, 63, 574–579. [Google Scholar] [CrossRef]
- Humphrey, P.A. Histopathology of prostate cancer. Cold Spring Harb. Perspect. Med. 2017, 7, a030411. [Google Scholar] [CrossRef]
- Khani, F.; Epstein, J.I. Prostate Biopsy Specimens With Gleason 3 + 3 = 6 and Intraductal Carcinoma. Am. J. Surg. Pathol. 2015, 39, 1383–1389. [Google Scholar] [CrossRef] [PubMed]
- Khani, F.; Wobker, S.E.; Hicks, J.L.; Robinson, B.D.; Barbieri, C.E.; De Marzo, A.M.; Epstein, J.I.; Pritchard, C.C.; Lotan, T.L. Intraductal carcinoma of the prostate in the absence of high-grade invasive carcinoma represents a molecularly distinct type of in situ carcinoma enriched with oncogenic driver mutations. J. Pathol. 2019, 249, 79–89. [Google Scholar] [CrossRef] [PubMed]
- Montironi, R.; Zhou, M.; Magi-Galluzzi, C.; Epstein, J.I. Features and Prognostic Significance of Intraductal Carcinoma of the Prostate. Eur. Urol. Oncol. 2018, 1, 21–28. [Google Scholar] [CrossRef] [PubMed]
- Miyai, K.; Divatia, M.K.; Shen, S.S.; Miles, B.J.; Ayala, A.G.; Ro, J.Y. Clinicopathological analysis of intraductal proliferative lesions of prostate: Intraductal carcinoma of prostate, high-grade prostatic intraepithelial neoplasia, and atypical cribriform lesion. Hum. Pathol. 2014, 45, 1572–1581. [Google Scholar] [CrossRef]
- McNeal, J.E.; Yemoto, C.E. Spread of adenocarcinoma within prostatic ducts and acini. Morphologic and clinical correlations. Am. J. Surg. Pathol. 1996, 20, 802–814. [Google Scholar] [CrossRef]
- Kryvenko, O.N.; Gupta, N.S.; Virani, N.; Schultz, D.; Gomez, J.; Amin, A.; Lane, Z.; Epstein, J.I. Gleason score 7 adenocarcinoma of the prostate with lymph node metastases: Analysis of 184 radical prostatectomy specimens. Arch. Pathol. Lab. Med. 2013, 137, 610–617. [Google Scholar] [CrossRef]
- Van Der Kwast, T.; Al Daoud, N.; Collette, L.; Sykes, J.; Thoms, J.; Milosevic, M.; Bristow, R.G.; Van Tienhoven, G.; Warde, P.; Mirimanoff, R.-O.O.; et al. Biopsy diagnosis of intraductal carcinoma is prognostic in intermediate and high risk prostate cancer patients treated by radiotherapy. Eur. J. Cancer 2012, 48, 1318–1325. [Google Scholar] [CrossRef]
- Kimura, K.; Tsuzuki, T.; Kato, M.; Saito, A.M.; Sassa, N.; Ishida, R.; Hirabayashi, H.; Yoshino, Y.; Hattori, R.; Gotoh, M. Prognostic value of intraductal carcinoma of the prostate in radical prostatectomy specimens. Prostate 2014, 74, 680–687. [Google Scholar] [CrossRef]
- Efstathiou, E.; Abrahams, N.A.; Tibbs, R.F.; Wang, X.; Pettaway, C.A.; Pisters, L.; Mathew, P.F.; Do, K.; Logothetis, C.J.; Troncoso, P. Morphologic Characterization of Preoperatively Treated Prostate Cancer: Toward a Post-Therapy Histologic Classification. Eur. Urol. 2010, 57, 1030–1038. [Google Scholar] [CrossRef]
- Miyai, K.; Divatia, M.K.; Shen, S.S.; Miles, B.J.; Ayala, A.G.; Ro, J.Y. Heterogeneous clinicopathological features of intraductal carcinoma of the prostate: A comparison between “precursor-like” and “regular type” lesions. Int. J. Clin. Exp. Pathol. 2014, 7, 2518–2526. [Google Scholar] [PubMed]
- Van Leenders, G.J.L.H.; van der Kwast, T.H.; Grignon, D.J.; Evans, A.J.; Kristiansen, G.; Kweldam, C.F.; Litjens, G.; McKenney, J.K.; Melamed, J.; Mottet, N.; et al. The 2019 International Society of Urological Pathology (ISUP) Consensus Conference on Grading of Prostatic Carcinoma. Am. J. Surg. Pathol. 2020, 44, e87–e99. [Google Scholar] [CrossRef] [PubMed]
- Gandhi, J.S.; Smith, S.C.; Paner, G.P.; McKenney, J.K.; Sekhri, R.; Osunkoya, A.O.; Baras, A.S.; DeMarzo, A.M.; Cheville, J.C.; Jimenez, R.E.; et al. Reporting Practices and Resource Utilization in the Era of Intraductal Carcinoma of the Prostate. Am. J. Surg. Pathol. 2020, 44, 673–680. [Google Scholar] [CrossRef] [PubMed]
- Robinson, B.D.; Epstein, J.I. Intraductal carcinoma of the prostate without invasive carcinoma on needle biopsy: Emphasis on radical prostatectomy findings. J. Urol. 2010, 184, 1328–1333. [Google Scholar] [CrossRef]
- Grypari, I.M.; Logotheti, S.; Lazaris, A.C.; Kallidonis, P.; Fokaefs, E.; Melachrinou, M.; Zolota, V.; Tzelepi, V. Isolated Intraductal Carcinoma of the Prostate in Prostatectomy Specimens: Report of 2 Cases and Review of the Literature. Int. J. Surg. Pathol. 2020, 28, 918–924. [Google Scholar] [CrossRef]
- WHO Classification of Tumours of the Urinary System and Male Genital Organs, 4th ed.; Holger Moch Peter, A., Humphrey Thomas, M., Ulbright, V.E.R., Eds.; International Agency for Research on Cancer: Lyon, France, 2016.
- Robinson, B.; Magi-Galluzzi, C.; Zhou, M. Intraductal carcinoma of the prostate. Arch. Pathol. Lab. Med. 2012, 136, 418–425. [Google Scholar] [CrossRef]
- Kweldam, C.F.; van der Kwast, T.; van Leenders, G.J. On cribriform prostate cancer. Transl. Androl. Urol. 2018, 7, 145–154. [Google Scholar] [CrossRef]
- Risbridger, G.P.; Taylor, R.A.; Clouston, D.; Sliwinski, A.; Thorne, H.; Hunter, S.; Li, J.; Mitchell, G.; Murphy, D.; Frydenberg, M.; et al. Patient-derived Xenografts Reveal that Intraductal Carcinoma of the Prostate Is a Prominent Pathology in BRCA2 Mutation Carriers with Prostate Cancer and Correlates with Poor Prognosis. Eur. Urol. 2015, 67, 496–503. [Google Scholar] [CrossRef]
- Lozano, R.; Salles, D.C.; Sandhu, S.; Aragón, I.M.; Thorne, H.; López-Campos, F.; Rubio-Briones, J.; Gutierrez-Pecharroman, A.M.; Maldonado, L.; di Domenico, T.; et al. Association between BRCA2 alterations and intraductal and cribriform histologies in prostate cancer. Eur. J. Cancer 2021, 147, 74–83. [Google Scholar] [CrossRef]
- Giri, V.N.; Knudsen, K.E.; Kelly, W.K.; Cheng, H.H.; Cooney, K.A.; Cookson, M.S.; Dahut, W.; Weissman, S.; Soule, H.R.; Petrylak, D.P.; et al. Implementation of Germline Testing for Prostate Cancer: Philadelphia Prostate Cancer Consensus Conference 2019. J. Clin. Oncol. 2020, 38, 2798–2811. [Google Scholar] [CrossRef]
- Iczkowski, K.A.; Egevad, L.; Ma, J.; Harding-Jackson, N.; Algaba, F.; Billis, A.; Camparo, P.; Cheng, L.; Clouston, D.; Comperat, E.M.; et al. Intraductal carcinoma of the prostate: Interobserver reproducibility survey of 39 urologic pathologists. Ann. Diagn. Pathol. 2014, 18, 333–342. [Google Scholar] [CrossRef] [PubMed]
- Schneider, T.M.; Osunkoya, A.O. ERG expression in intraductal carcinoma of the prostate: Comparison with adjacent invasive prostatic adenocarcinoma. Mod. Pathol. 2014, 27, 1174–1178. [Google Scholar] [CrossRef] [PubMed]
- Zhou, M. High-grade prostatic intraepithelial neoplasia, PIN-like carcinoma, ductal carcinoma, and intraductal carcinoma of the prostate. Mod. Pathol. 2018, 31, S71–S79. [Google Scholar] [CrossRef] [PubMed]
- Haffner, M.C.; Weier, C.; Xu, M.M.; Vaghasia, A.; Gürel, B.; Gümüşkaya, B.; Esopi, D.M.; Fedor, H.; Tan, H.L.; Kulac, I.; et al. Molecular evidence that invasive adenocarcinoma can mimic prostatic intraepithelial neoplasia (PIN) and intraductal carcinoma through retrograde glandular colonization. J. Pathol. 2016, 238, 31–41. [Google Scholar] [CrossRef] [PubMed]
- Wilkinson, S.; Ye, H.; Karzai, F.; Harmon, S.A.; Terrigino, N.T.; VanderWeele, D.J.; Bright, J.R.; Atway, R.; Trostel, S.Y.; Carrabba, N.V.; et al. Nascent Prostate Cancer Heterogeneity Drives Evolution and Resistance to Intense Hormonal Therapy. Eur. Urol. 2021, 80, 746–757. [Google Scholar] [CrossRef]
- McKay, R.R.; Xie, W.; Ye, H.; Fennessy, F.M.; Zhang, Z.; Lis, R.; Calagua, C.; Rathkopf, D.; Laudone, V.P.; Bubley, G.J.; et al. Results of a Randomized Phase II Trial of Intense Androgen Deprivation Therapy prior to Radical Prostatectomy in Men with High-Risk Localized Prostate Cancer. J. Urol. 2021, 206, 80–87. [Google Scholar] [CrossRef]
- McKay, R.R.; Berchuck, J.; Kwak, L.; Xie, W.; Silver, R.; Bubley, G.J.; Chang, P.K.; Wagner, A.; Zhang, Z.; Kibel, A.S.; et al. Outcomes of Post-Neoadjuvant Intense Hormone Therapy and Surgery for High Risk Localized Prostate Cancer: Results of a Pooled Analysis of Contemporary Clinical Trials. J. Urol. 2021, 205, 1689–1697. [Google Scholar] [CrossRef]
- Porter, L.H.; Hashimoto, K.; Lawrence, M.G.; Pezaro, C.; Clouston, D.; Wang, H.; Papargiris, M.; Thorne, H.; Li, J.; Ryan, A.; et al. Intraductal carcinoma of the prostate can evade androgen deprivation, with emergence of castrate-tolerant cells. BJU Int. 2018, 121, 971–978. [Google Scholar] [CrossRef]
- Chua, M.L.K.; van der Kwast, T.H.; Bristow, R.G. Intraductal Carcinoma of the Prostate: Anonymous to Ominous. Eur. Urol. 2017, 72, 496–498. [Google Scholar] [CrossRef]
- Egevad, L.; Delahunt, B.; Kristiansen, G.; Samaratunga, H.; Varma, M. Contemporary prognostic indicators for prostate cancer incorporating International Society of Urological Pathology recommendations. Pathology 2018, 50, 60–73. [Google Scholar] [CrossRef]
- Rijstenberg, L.L.; Hansum, T.; Hollemans, E.; Kweldam, C.F.; Kümmerlin, I.P.; Bangma, C.H.; Kwast, T.H.; Roobol, M.J.; Leenders, G.J.L.H. Intraductal carcinoma has a minimal impact on Grade Group assignment in prostate cancer biopsy and radical prostatectomy specimens. Histopathology 2020, 77, 742–748. [Google Scholar] [CrossRef] [PubMed]
- Tzelepi, V.; Grypari, I.M.; Logotheti, S.; Stavros Kontogiannis, P.K.; Melachrinou, M.; Zolota, V. Contemporary Grading of Prostate Cancer: The Impact of Grading Criteria and the Significance of the Amount of Intraductal Carcinoma. Cancers 2021, 13, 5454. [Google Scholar] [CrossRef] [PubMed]
- Varma, M.; Epstein, J.I. Head to head: Should the intraductal component of invasive prostate cancer be graded? Histopathology 2021, 78, 231–239. [Google Scholar] [CrossRef]
- Amin, M.B. Histological variants of urothelial carcinoma: Diagnostic, therapeutic and prognostic implications. Mod. Pathol. 2009, 22, S96–S118. [Google Scholar] [CrossRef] [PubMed]
- Epstein, J.I.; Egevad, L.; Amin, M.B.; Delahunt, B.; Srigley, J.R.; Humphrey, P.A. The 2014 International Society of Urological Pathology (ISUP) Consensus Conference on Gleason Grading of Prostatic Carcinoma: Definition of Grading Patterns and Proposal for a New Grading System. Am. J. Surg. Pathol. 2016, 40, 244–252. [Google Scholar] [CrossRef]
- Epstein, J.I.; Allsbrook, W.C.J.; Amin, M.B.; Egevad, L.L. The 2005 International Society of Urological Pathology (ISUP) Consensus Conference on Gleason Grading of Prostatic Carcinoma. Am. J. Surg. Pathol. 2005, 29, 1228–1242. [Google Scholar] [CrossRef] [PubMed]
- Paulk, A.; Giannico, G.; Epstein, J.I. PIN-like (Ductal) Adenocarcinoma of the Prostate. Am. J. Surg. Pathol. 2018, 42, 1693–1700. [Google Scholar] [CrossRef]
- Epstein, J.I. Prostatic Ductal Adenocarcinoma: A Mini Review. Med. Princ. Pract. 2010, 19, 82–85. [Google Scholar] [CrossRef]
- Van Leenders, G.J.L.H.; Kweldam, C.F.; Hollemans, E.; Kümmerlin, I.P.; Nieboer, D.; Verhoef, E.I.; Remmers, S.; Incrocci, L.; Bangma, C.H.; van der Kwast, T.H.; et al. Improved Prostate Cancer Biopsy Grading by Incorporation of Invasive Cribriform and Intraductal Carcinoma in the 2014 Grade Groups. Eur. Urol. 2020, 77, 191–198. [Google Scholar] [CrossRef]
- Kato, M.; Hirakawa, A.; Kobayashi, Y.; Yamamoto, A.; Ishida, R.; Sano, T.; Kimura, T.; Majima, T.; Ishida, S.; Funahashi, Y.; et al. The influence of the presence of intraductal carcinoma of the prostate on the grade group system’s prognostic performance. Prostate 2019, 79, 1065–1070. [Google Scholar] [CrossRef]
- Chen-Maxwell, D.; Prendeville, S. Grading of prostate cancer: The impact of including intraductal carcinoma on the overall Grade Group assigned in diagnostic biopsies. Histopathology 2020, 77, 503–507. [Google Scholar] [CrossRef] [PubMed]
- Gleason, D.F.; Mellinger, G.T. Prediction of Prognosis for Prostatic Adenocarcinoma by Combined Histological Grading and Clinical Staging. J. Urol. 1974, 111, 58–64. [Google Scholar] [CrossRef]
- Matoso, A.; Epstein, J.I. Grading of Prostate Cancer: Past, Present, and Future. Curr. Urol. Rep. 2016, 17, 25. [Google Scholar] [CrossRef] [PubMed]
- Dong, F.; Yang, P.; Wang, C.; Wu, S.; Xiao, Y.; McDougal, W.S.; Young, R.H.; Wu, C.-L. Architectural heterogeneity and cribriform pattern predict adverse clinical outcome for Gleason grade 4 prostatic adenocarcinoma. Am. J. Surg. Pathol. 2013, 37, 1855–1861. [Google Scholar] [CrossRef] [PubMed]
- Rubin, M.A.; de La Taille, A.; Bagiella, E.; Olsson, C.A.; O’Toole, K.M. Cribriform carcinoma of the prostate and cribriform prostatic intraepithelial neoplasia: Incidence and clinical implications. Am. J. Surg. Pathol. 1998, 22, 840–848. [Google Scholar] [CrossRef]
- Keefe, D.T.; Schieda, N.; El Hallani, S.; Breau, R.H.; Morash, C.; Robertson, S.J.; Mai, K.T.; Belanger, E.C.; Flood, T.A. Cribriform morphology predicts upstaging after radical prostatectomy in patients with Gleason score 3 + 4 = 7 prostate cancer at transrectal ultrasound (TRUS)-guided needle biopsy. Virchows Arch. 2015, 467, 437–442. [Google Scholar] [CrossRef]
- O’Brien, C.; True, L.D.; Higano, C.S.; Rademacher, B.L.S.; Garzotto, M.; Beer, T.M. Histologic changes associated with neoadjuvant chemotherapy are predictive of nodal metastases in patients with high-risk prostate cancer. Am. J. Clin. Pathol. 2010, 133, 654–661. [Google Scholar] [CrossRef]
- Iczkowski, K.A.; Torkko, K.C.; Kotnis, G.R.; Wilson, R.S.; Huang, W.; Wheeler, T.M.; Abeyta, A.M.; La Rosa, F.G.; Cook, S.; Werahera, P.N.; et al. Digital quantification of five high-grade prostate cancer patterns, including the cribriform pattern, and their association with adverse outcome. Am. J. Clin. Pathol. 2011, 136, 98–107. [Google Scholar] [CrossRef]
- McKenney, J.K.; Wei, W.; Hawley, S.; Auman, H.; Newcomb, L.F.; Boyer, H.D.; Fazli, L.; Simko, J.; Hurtado-Coll, A.; Troyer, D.A.; et al. Histologic Grading of Prostatic Adenocarcinoma Can Be Further Optimized: Analysis of the Relative Prognostic Strength of Individual Architectural Patterns in 1275 Patients From the Canary Retrospective Cohort. Am. J. Surg. Pathol. 2016, 40, 1439–1456. [Google Scholar] [CrossRef]
- Hollemans, E.; Verhoef, E.I.; Bangma, C.H.; Rietbergen, J.; Osanto, S.; Pelger, R.C.M.; van Wezel, T.; van der Poel, H.; Bekers, E.; Helleman, J.; et al. Cribriform architecture in radical prostatectomies predicts oncological outcome in Gleason score 8 prostate cancer patients. Mod. Pathol. 2021, 34, 184–193. [Google Scholar] [CrossRef]
- Kweldam, C.F.; Wildhagen, M.F.; Steyerberg, E.W.; Bangma, C.H.; van der Kwast, T.H.; van Leenders, G.J.L.H. Cribriform growth is highly predictive for postoperative metastasis and disease-specific death in Gleason score 7 prostate cancer. Mod. Pathol. 2015, 28, 457–464. [Google Scholar] [CrossRef]
- Böttcher, R.; Kweldam, C.F.; Livingstone, J.; Lalonde, E.; Yamaguchi, T.N.; Huang, V.; Yousif, F.; Fraser, M.; Bristow, R.G.; van der Kwast, T.; et al. Cribriform and intraductal prostate cancer are associated with increased genomic instability and distinct genomic alterations. BMC Cancer 2018, 18, 8. [Google Scholar] [CrossRef] [PubMed]
- Chua, M.L.K.; Lo, W.; Pintilie, M.; Murgic, J.; Lalonde, E.; Bhandari, V.; Mahamud, O.; Gopalan, A.; Kweldam, C.F.; van Leenders, G.J.L.H.; et al. A Prostate Cancer “Nimbosus”: Genomic Instability and SChLAP1 Dysregulation Underpin Aggression of Intraductal and Cribriform Subpathologies. Eur. Urol. 2017, 72, 665–674. [Google Scholar] [CrossRef]
- Kweldam, C.F.; van Leenders, G.J.; van der Kwast, T. Grading of prostate cancer: A work in progress. Histopathology 2019, 74, 146–160. [Google Scholar] [CrossRef] [PubMed]
- Montironi, R.; Cimadamore, A.; Cheng, L.; Lopez-Beltran, A.; Scarpelli, M. Prostate cancer grading in 2018: Limitations, implementations, cribriform morphology, and biological markers. Int. J. Biol. Markers 2018, 33, 331–334. [Google Scholar] [CrossRef] [PubMed]
- Kweldam, C.F.; Nieboer, D.; Algaba, F.; Amin, M.B.; Berney, D.M.; Billis, A.; Bostwick, D.G.; Bubendorf, L.; Cheng, L.; Compérat, E.; et al. Gleason grade 4 prostate adenocarcinoma patterns: An interobserver agreement study among genitourinary pathologists. Histopathology 2016, 69, 441–449. [Google Scholar] [CrossRef] [PubMed]
- Hesterberg, A.B.; Gordetsky, J.B.; Hurley, P.J. Cribriform Prostate Cancer: Clinical Pathologic and Molecular Considerations. Urology 2021, 155, 47–54. [Google Scholar] [CrossRef] [PubMed]
- Shah, R.B.; Cai, Q.; Aron, M.; Berney, D.M.; Cheville, J.C.; Deng, F.-M.; Epstein, J.; Fine, S.W.; Genega, E.M.; Hirsch, M.S.; et al. Diagnosis of “cribriform” prostatic adenocarcinoma: An interobserver reproducibility study among urologic pathologists with recommendations. Am. J. Cancer Res. 2021, 11, 3990–4001. [Google Scholar] [PubMed]
- Verhoef, E.I.; van Cappellen, W.A.; Slotman, J.A.; Kremers, G.-J.; Ewing-Graham, P.C.; Houtsmuller, A.B.; van Royen, M.E.; van Leenders, G.J.L.H. Three-dimensional analysis reveals two major architectural subgroups of prostate cancer growth patterns. Mod. Pathol. 2019, 32, 1032–1041. [Google Scholar] [CrossRef] [PubMed]
- Hesterberg, A.B.; Rios, B.L.; Wolf, E.M.; Tubbs, C.; Wong, H.Y.; Schaffer, K.R.; Lotan, T.L.; Giannico, G.A.; Gordetsky, J.B.; Hurley, P.J. A distinct repertoire of cancer-associated fibroblasts is enriched in cribriform prostate cancer. J. Pathol. Clin. Res. 2021, 7, 271–286. [Google Scholar] [CrossRef] [PubMed]
- Olkhov-Mitsel, E.; Siadat, F.; Kron, K.; Liu, L.; Savio, A.J.; Trachtenberg, J.; Fleshner, N.; van der Kwast, T.; Bapat, B. Distinct DNA methylation alterations are associated with cribriform architecture and intraductal carcinoma in Gleason pattern 4 prostate tumors. Oncol. Lett. 2017, 14, 390–396. [Google Scholar] [CrossRef] [PubMed][Green Version]
- Xiao, G.-Q.; Nguyen, E.; Unger, P.D.; Sherrod, A.E. Comparative expression of immunohistochemical biomarkers in cribriform and pattern 4 non-cribriform prostatic adenocarcinoma. Exp. Mol. Pathol. 2020, 114, 104400. [Google Scholar] [CrossRef] [PubMed]
- Fu, L.; Hwang, M.; Adeniran, A.J.; Humphrey, P.A. Proliferation index of different Gleason pattern 4 histomorphologies and associated pattern 3 adenocarcinoma of the prostate. Hum. Pathol. 2017, 70, 1–5. [Google Scholar] [CrossRef] [PubMed]
- Ronen, S.; Abbott, D.W.; Kravtsov, O.; Abdelkader, A.; Xu, Y.; Banerjee, A.; Iczkowski, K.A. PTEN loss and p27 loss differ among morphologic patterns of prostate cancer, including cribriform. Hum. Pathol. 2017, 65, 85–91. [Google Scholar] [CrossRef] [PubMed]
- Connell, B.; Kopach, P.; Ren, W.; Joshi, R.; Naber, S.; Zhou, M.; Mathew, P. Aberrant integrin αv and α5 expression in prostate adenocarcinomas and bone-metastases is consistent with a bone-colonizing phenotype. Transl. Androl. Urol. 2020, 9, 1630–1638. [Google Scholar] [CrossRef] [PubMed]
- Goel, H.L.; Li, J.; Kogan, S.; Languino, L.R. Integrins in prostate cancer progression. Endocr. Relat. Cancer 2008, 15, 657–664. [Google Scholar] [CrossRef]
- Ranasinha, N.; Omer, A.; Philippou, Y.; Harriss, E.; Davies, L.; Chow, K.; Chetta, P.M.; Erickson, A.; Rajakumar, T.; Mills, I.G.; et al. Ductal adenocarcinoma of the prostate: A systematic review and meta-analysis of incidence, presentation, prognosis, and management. BJUI Compass 2021, 2, 13–23. [Google Scholar] [CrossRef] [PubMed]
- Seipel, A.H.; Wiklund, F.; Wiklund, N.P.; Egevad, L. Histopathological features of ductal adenocarcinoma of the prostate in 1,051 radical prostatectomy specimens. Virchows Arch. 2013, 462, 429–436. [Google Scholar] [CrossRef] [PubMed]
- Tan, Y.G.; Khalid, F.; Huang, H.H.; Chen, K.; Tay, K.J.; Lau, W.K.O.; Cheng, C.W.S.; Ngo, N.T.; Yuen, J.S.P. Prostatic ductal adenocarcinoma variant predicts worse pathological and oncological outcomes: Insight from over 1000 consecutive patients from a large prospective uro-oncology registry. Prostate 2021, 81, 242–251. [Google Scholar] [CrossRef] [PubMed]
- Chow, K.; Bedő, J.; Ryan, A.; Agarwal, D.; Bolton, D.; Chan, Y.; Dundee, P.; Frydenberg, M.; Furrer, M.A.; Goad, J.; et al. Ductal variant prostate carcinoma is associated with a significantly shorter metastasis-free survival. Eur. J. Cancer 2021, 148, 440–450. [Google Scholar] [CrossRef]
- Ranasinghe, W.; Shapiro, D.D.; Hwang, H.; Wang, X.; Reichard, C.A.; Elsheshtawi, M.; Achim, M.F.; Bathala, T.; Tang, C.; Aparicio, A.; et al. Ductal Prostate Cancers Demonstrate Poor Outcomes with Conventional Therapies. Eur. Urol. 2021, 79, 298–306. [Google Scholar] [CrossRef] [PubMed]
- Seipel, A.H.; Delahunt, B.; Samaratunga, H.; Amin, M.; Barton, J.; Berney, D.M.; Billis, A.; Cheng, L.; Comperat, E.; Evans, A.; et al. Diagnostic criteria for ductal adenocarcinoma of the prostate: Interobserver variability among 20 expert uropathologists. Histopathology 2014, 65, 216–227. [Google Scholar] [CrossRef] [PubMed]
- Melicow, M.M.; Pachter, M.R. Endometrial carcinoma of prostatic utricle (uterus masculinus). Cancer 1967, 20, 1715–1722. [Google Scholar] [CrossRef]
- Herawi, M.; Epstein, J.I. Immunohistochemical Antibody Cocktail Staining (p63/HMWCK/AMACR) of Ductal Adenocarcinoma and Gleason Pattern 4 Cribriform and Noncribriform Acinar Adenocarcinomas of the Prostate. Am. J. Surg. Pathol. 2007, 31, 889–894. [Google Scholar] [CrossRef] [PubMed]
- Sanati, S.; Watson, M.A.; Salavaggione, A.L.; Humphrey, P.A. Gene expression profiles of ductal versus acinar adenocarcinoma of the prostate. Mod. Pathol. 2009, 22, 1273–1279. [Google Scholar] [CrossRef]
- Seipel, A.H.; Whitington, T.; Delahunt, B.; Samaratunga, H.; Mayrhofer, M.; Wiklund, P.; Grönberg, H.; Lindberg, J.; Egevad, L. Genetic profile of ductal adenocarcinoma of the prostate. Hum. Pathol. 2017, 69, 1–7. [Google Scholar] [CrossRef] [PubMed]
- Schweizer, M.T.; Antonarakis, E.S.; Bismar, T.A.; Guedes, L.B.; Cheng, H.H.; Tretiakova, M.S.; Vakar-Lopez, F.; Klemfuss, N.; Konnick, E.Q.; Mostaghel, E.A.; et al. Genomic Characterization of Prostatic Ductal Adenocarcinoma Identifies a High Prevalence of DNA Repair Gene Mutations. JCO Precis. Oncol. 2019, 3, 1–9. [Google Scholar] [CrossRef] [PubMed]
- Isaacsson Velho, P.; Silberstein, J.L.; Markowski, M.C.; Luo, J.; Lotan, T.L.; Isaacs, W.B.; Antonarakis, E.S. Intraductal/ductal histology and lymphovascular invasion are associated with germline DNA-repair gene mutations in prostate cancer. Prostate 2018, 78, 401–407. [Google Scholar] [CrossRef] [PubMed]
- Seipel, A.H.; Delahunt, B.; Samaratunga, H.; Egevad, L. Ductal adenocarcinoma of the prostate: Histogenesis, biology and clinicopathological features. Pathology 2016, 48, 398–405. [Google Scholar] [CrossRef]
- Morais, C.L.; Herawi, M.; Toubaji, A.; Albadine, R.; Hicks, J.; Netto, G.J.; De Marzo, A.M.; Epstein, J.I.; Lotan, T.L. PTEN loss and ERG protein expression are infrequent in prostatic ductal adenocarcinomas and concurrent acinar carcinomas. Prostate 2015, 75, 1610–1619. [Google Scholar] [CrossRef] [PubMed][Green Version]
- Simper, N.B.; Jones, C.L.; MacLennan, G.T.; Montironi, R.; Williamson, S.R.; Osunkoya, A.O.; Wang, M.; Zhang, S.; Grignon, D.J.; Eble, J.N.; et al. Basal cell carcinoma of the prostate is an aggressive tumor with frequent loss of PTEN expression and overexpression of EGFR. Hum. Pathol. 2015, 46, 805–812. [Google Scholar] [CrossRef] [PubMed]
- Hennes, D.; Dragovic, A.; Sewell, J.; Hoh, M.Y.; Grills, R. Primary basal cell carcinoma of the prostate with concurrent adenocarcinoma. IJU Case Reports 2020, 3, 57–60. [Google Scholar] [CrossRef] [PubMed]
- Su, X.; Long, Q.; Bo, J.; Shi, Y.; Zhao, L.; Lin, Y.; Luo, Q.; Ghazanfar, S.; Zhang, C.; Liu, Q.; et al. Mutational and transcriptomic landscapes of a rare human prostate basal cell carcinoma. Prostate 2020, 80, 508–517. [Google Scholar] [CrossRef]
- Yang, X.J.; McEntee, M.; Epstein, J.I. Distinction of basaloid carcinoma of the prostate from benign basal cell lesions by using immunohistochemistry for bcl-2 and Ki-67. Hum. Pathol. 1998, 29, 1447–1450. [Google Scholar] [CrossRef]






| Entity | Architecture | Cytologic Features | Basal Cell Layer | ERG Expression | PTEN Loss |
|---|---|---|---|---|---|
| Benign cribriform glands | Complex epithelium with cribriform pattern and epithelial bridges located in the central zone | High columnar stratified epithelium, granular cytoplasm, small round nuclei without cytologic atypia or prominent nucleoli | Intact | − | − |
| Basal cell hyperplasia | Nodular lesion, within the transitional zone | Scant cytoplasm, hyperchromatic nuclei without cytologic atypia | The lesion involves basal cells | − | − |
| Clear cell cribriform hyperplasia | Variant of BPH, medium and large sized acini with cribriform morphology | Pale to clear cytoplasm, nuclei lack cytologic atypia or prominent nucleoli | Intact | − | − |
| HGPIN | Normal-sized acini with tufting, micropapillary, or flat growth pattern and without expansion of glands | Cytologic atypia, nuclear enlargement and hyperchromasia with prominent nucleoli, no necrosis | Preserved (can be fragmented) | −/+ | − |
| AIDCP | Loose cribriform lumen-spanning architecture | Moderate nuclear atypia, absence of necrosis, insufficient to meet the criteria for IDC | Preserved (can be fragmented) | +/− | Identified |
| Intraductal carcinoma | Greatly expanded glands with cribriform/solid growth | Nuclear atypia (nuclear enlargement, hyperchromatic nuclei) may be present | Preserved (can be fragmented) | +/− | Identified |
| Invasive cribriform acinar carcinoma | Continuous proliferation of cells with intermingled lumina | Nuclear atypia (prominent nucleoli, hyperchromasia) | Absent | +/− | Identified |
| Ductal carcinoma | Papillary, solid and cribriform growth pattern | Tall columnar cells, nuclear atypia, mitotic figures | Usually absent, may be present | −/+ | Identified |
| Basal cell carcinoma | Irregular cribriform formations containing mucin or basement membrane-like material within the lumina, desmoplastic reaction | Hyperchromatic large nuclei with scant cytoplasm | The entire process involves basal cells | − | Identified |
| Cribriform Lesion | Clinical Implication |
|---|---|
| Atypical intraductal cribriform proliferation (isolated in biopsy) | Increased probability of invasive carcinoma in subsequent biopsy Recommendation for close surveillance and re-biopsy |
| IDC | Higher prevalence of homologous DNA repair recombination repair defects Germline testing may be considered |
| IDC with invasive carcinoma PGG1/2 in biopsy | High probability of upgrading and/or upstaging in subsequent prostatectomy Recommendation for definite treatment (active surveillance not recommended) |
| IDC without invasive carcinoma in biopsy | High probability of invasive carcinoma of high-grade/-stage in subsequent prostatectomy Recommendation for immediate re-biopsy or definite treatment |
| Cribriform pattern | Higher prevalence of DNA repair mechanisms defects Germline testing may be considered |
| Cribriform pattern in carcinoma PGG 2 in biopsy | Poor prognostic factor Recommendation for definite treatment (active surveillance not recommended) |
| Ductal carcinoma | Higher prevalence of DNA repair mechanisms defects Germline testing may be considered |
| GUPS [19] | ISUP [33] | |
|---|---|---|
| Isolated IDC | No grade assigned | No grade assigned |
| IDC with invasive carcinoma | IDC not included in grading | IDC graded as pattern 4 (or 5 when comedonecrosis is present) |
| Comment on IDC clinical significance in pathology report | Recommended | Recommended |
| Cribrifrom | Grade as patern 4 (based on the ISUP 2014 reccomendations) [57] | |
| Report the presence of cribriform pattern carcinoma | Yes (biopsies and radical prostatectomies) Comment on the clinical significance | Yes (biopsies and radical prostatectomies) |
| Ductal carcinoma | Grade as pattern 4 (based on the ISUP 2005 reccomendations) [58] Grade as pattern 3 if PIN-like ductal [59] and pattern 5 if comedonecrosis present [60] | |
Publisher’s Note: MDPI stays neutral with regard to jurisdictional claims in published maps and institutional affiliations. |
© 2022 by the authors. Licensee MDPI, Basel, Switzerland. This article is an open access article distributed under the terms and conditions of the Creative Commons Attribution (CC BY) license (https://creativecommons.org/licenses/by/4.0/).
Share and Cite
Destouni, M.; Lazaris, A.C.; Tzelepi, V. Cribriform Patterned Lesions in the Prostate Gland with Emphasis on Differential Diagnosis and Clinical Significance. Cancers 2022, 14, 3041. https://doi.org/10.3390/cancers14133041
Destouni M, Lazaris AC, Tzelepi V. Cribriform Patterned Lesions in the Prostate Gland with Emphasis on Differential Diagnosis and Clinical Significance. Cancers. 2022; 14(13):3041. https://doi.org/10.3390/cancers14133041
Chicago/Turabian StyleDestouni, Maria, Andreas C. Lazaris, and Vasiliki Tzelepi. 2022. "Cribriform Patterned Lesions in the Prostate Gland with Emphasis on Differential Diagnosis and Clinical Significance" Cancers 14, no. 13: 3041. https://doi.org/10.3390/cancers14133041
APA StyleDestouni, M., Lazaris, A. C., & Tzelepi, V. (2022). Cribriform Patterned Lesions in the Prostate Gland with Emphasis on Differential Diagnosis and Clinical Significance. Cancers, 14(13), 3041. https://doi.org/10.3390/cancers14133041

