Utility of 3T MRI in Women with IB1 Cervical Cancer in Determining the Necessity of Less Invasive Surgery
Abstract
:Simple Summary
Abstract
1. Introduction
2. Materials and Methods
2.1. Patients
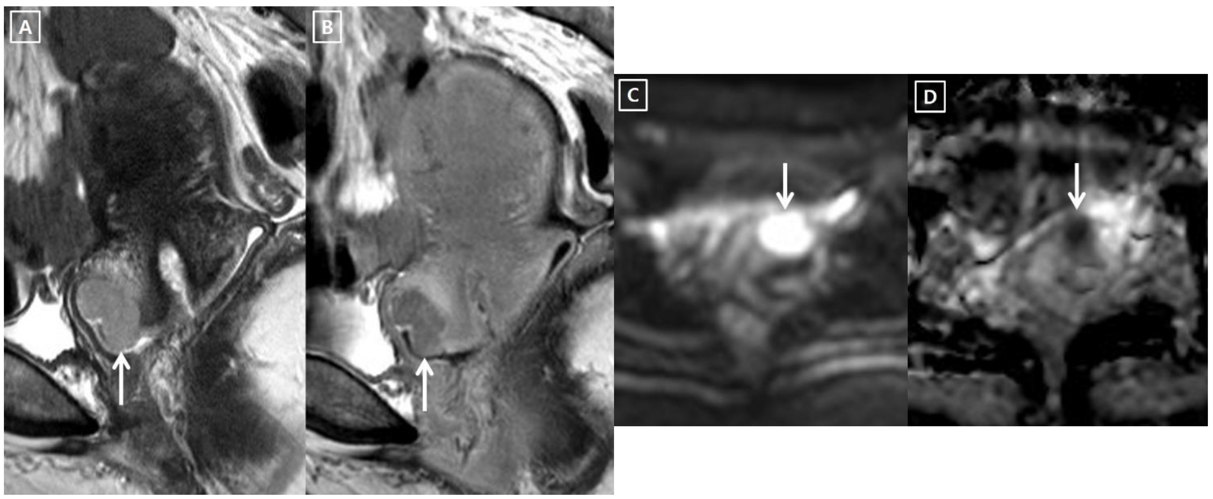
2.2. MR Imaging
2.3. Data Analysis
2.4. Statistical Analysis
3. Results
4. Discussion
5. Conclusions
Author Contributions
Funding
Institutional Review Board Statement
Informed Consent Statement
Data Availability Statement
Conflicts of Interest
References
- Pecorelli, S. Revised FIGO staging for carcinoma of the vulva, cervix, and endometrium. Int. J. Gynaecol. Obstet. 2009, 105, 103–104. [Google Scholar] [CrossRef] [PubMed]
- Park, J.Y.; Lee, J.W.; Park, B.K.; Lee, Y.Y.; Choi, C.H.; Kim, T.J.; Bae, D.S.; Kim, B.G.; Park, J.J.; Park, S.Y.; et al. Postoperative outcomes of MR-invisible stage IB1 cervical cancer. Am. J. Obstet. Gynecol. 2014, 211, 168.e161–168.e167. [Google Scholar] [CrossRef] [PubMed]
- Park, B.K.; Kim, T.J. Useful MRI Findings for Minimally Invasive Surgery for Early Cervical Cancer. Cancers 2021, 13, 4078. [Google Scholar] [CrossRef] [PubMed]
- Piver, M.S.; Rutledge, F.; Smith, J.P. Five classes of extended hysterectomy for women with cervical cancer. Obstet. Gynecol. 1974, 44, 265–272. [Google Scholar] [CrossRef]
- Artman, L.E.; Hoskins, W.J.; Bibro, M.C.; Heller, P.B.; Weiser, E.B.; Barnhill, D.R.; Park, R.C. Radical hysterectomy and pelvic lymphadenectomy for stage IB carcinoma of the cervix: 21 years experience. Gynecol. Oncol. 1987, 28, 8–13. [Google Scholar] [CrossRef]
- Panici, P.B.; Angioli, R.; Palaia, I.; Muzii, L.; Zullo, M.A.; Manci, N.; Rabitti, C. Tailoring the parametrectomy in stages IA2-IB1 cervical carcinoma: Is it feasible and safe? Gynecol. Oncol. 2005, 96, 792–798. [Google Scholar] [CrossRef]
- Landoni, F.; Maneo, A.; Cormio, G.; Perego, P.; Milani, R.; Caruso, O.; Mangioni, C. Class II versus class III radical hysterectomy in stage IB-IIA cervical cancer: A prospective randomized study. Gynecol. Oncol. 2001, 80, 3–12. [Google Scholar] [CrossRef]
- Wright, J.D.; Grigsby, P.W.; Brooks, R.; Powell, M.A.; Gibb, R.K.; Gao, F.; Rader, J.S.; Mutch, D.G. Utility of parametrectomy for early stage cervical cancer treated with radical hysterectomy. Cancer 2007, 110, 1281–1286. [Google Scholar] [CrossRef]
- Covens, A.; Rosen, B.; Murphy, J.; Laframboise, S.; DePetrillo, A.D.; Lickrish, G.; Colgan, T.; Chapman, W.; Shaw, P. How important is removal of the parametrium at surgery for carcinoma of the cervix? Gynecol. Oncol. 2002, 84, 145–149. [Google Scholar] [CrossRef]
- Kodama, J.; Fukushima, C.; Kusumoto, T.; Nakamura, K.; Seki, N.; Hongo, A.; Hiramatsu, Y. Stage IB1 cervical cancer patients with an MRI-measured tumor size <or = 2 cm might be candidates for less-radical surgery. Eur. J. Gynaecol. Oncol. 2013, 34, 39–41. [Google Scholar]
- Steed, H.; Capstick, V.; Schepansky, A.; Honore, L.; Hiltz, M.; Faught, W. Early cervical cancer and parametrial involvement: Is it significant? Gynecol. Oncol. 2006, 103, 53–57. [Google Scholar] [CrossRef]
- Yamazaki, H.; Todo, Y.; Okamoto, K.; Yamashiro, K.; Kato, H. Pretreatment risk factors for parametrial involvement in FIGO stage IB1 cervical cancer. J. Gynecol. Oncol. 2015, 26, 255–261. [Google Scholar] [CrossRef] [PubMed]
- Kamimori, T.; Sakamoto, K.; Fujiwara, K.; Umayahara, K.; Sugiyama, Y.; Utsugi, K.; Takeshima, N.; Tanaka, H.; Gomi, N.; Takizawa, K. Parametrial involvement in FIGO stage IB1 cervical carcinoma diagnostic impact of tumor diameter in preoperative magnetic resonance imaging. Int. J. Gynecol. Cancer 2011, 21, 349–354. [Google Scholar] [CrossRef] [PubMed]
- Choi, H.J.; Roh, J.W.; Seo, S.-S.; Lee, S.; Kim, J.-Y.; Kim, S.-K.; Kang, K.W.; Lee, J.S.; Jeong, J.Y.; Park, S.-Y. Comparison of the accuracy of magnetic resonance imaging and positron emission tomography/computed tomography in the presurgical detection of lymph node metastases in patients with uterine cervical carcinoma. Cancer 2006, 106, 914–922. [Google Scholar] [CrossRef] [PubMed]
- Bipat, S.; Glas, A.S.; Velden, J.v.d.; Zwinderman, A.H.; Bossuyt, P.M.M.; Stoker, J. Computed tomography and magnetic resonance imaging in staging of uterine cervical carcinoma: A systematic review. Gynecol. Oncol. 2003, 91, 59–66. [Google Scholar] [CrossRef]
- Kim, S.H.; Kim, S.C.; Choi, B.I.; Han, M.C. Uterine cervical carcinoma: Evaluation of pelvic lymph node metastasis with MR imaging. Radiology 1994, 190, 807–811. [Google Scholar] [CrossRef]
- Reinhardt, M.J.; Ehritt-Braun, C.; Vogelgesang, D.; Ihling, C.; Högerle, S.; Mix, M.; Moser, E.; Krause, T.M. Metastatic lymph nodes in patients with cervical cancer: Detection with MR imaging and FDG PET. Radiology 2001, 218, 776–782. [Google Scholar] [CrossRef]
- Shen, G.; Zhou, H.; Jia, Z.; Deng, H. Diagnostic performance of diffusion-weighted MRI for detection of pelvic metastatic lymph nodes in patients with cervical cancer: A systematic review and meta-analysis. Br. J. Radiol. 2015, 88, 20150063. [Google Scholar] [CrossRef] [Green Version]
- Bae, K.T.; Park, S.H.; Moon, C.H.; Kim, J.H.; Kaya, D.; Zhao, T. Dual-echo arteriovenography imaging with 7T MRI. J. Magn. Reson. Imaging 2010, 31, 255–261. [Google Scholar] [CrossRef] [Green Version]
- Bangerter, N.K.; Taylor, M.D.; Tarbox, G.J.; Palmer, A.J.; Park, D.J. Quantitative techniques for musculoskeletal MRI at 7 Tesla. Quant. Imaging Med. Surg. 2016, 6, 715–730. [Google Scholar] [CrossRef] [Green Version]
- Jacob, G.P.; Vilos, G.A.; Al Turki, F.; Bhangav, G.; Abu-Rafea, B.; Vilos, A.G.; Ternamian, A. Ureteric Injury During Gynaecological Surgery—Lessons from 20 Cases in Canada. Facts Views Vis. Obgyn 2020, 12, 31–42. [Google Scholar]
- Rob, L.; Halaska, M.; Robova, H. Nerve-sparing and individually tailored surgery for cervical cancer. Lancet Oncol. 2010, 11, 292–301. [Google Scholar] [CrossRef]
- De Kroon, C.D.; Gaarenstroom, K.N.; van Poelgeest, M.I.; Peters, A.A.; Trimbos, J.B. Nerve sparing in radical surgery for early-stage cervical cancer: Yes we should! Int. J. Gynecol. Cancer 2010, 20, S39–S41. [Google Scholar] [CrossRef] [PubMed]
- Balaya, V.; Ngo, C.; Rossi, L.; Cornou, C.; Bensaid, C.; Douard, R.; Bats, A.S.; Lecuru, F. Anatomical consideration for the technique of nerve-sparing during radical hysterectomy for cervical cancer. Gynecol. Obstet. Fertil. 2016, 44, 517–525. [Google Scholar] [CrossRef]
- Khairinisa, M.A.; Takatsuru, Y.; Amano, I.; Erdene, K.; Nakajima, T.; Kameo, S.; Koyama, H.; Tsushima, Y.; Koibuchi, N. The Effect of Perinatal Gadolinium-Based Contrast Agents on Adult Mice Behavior. Investig. Radiol. 2018, 53, 110–118. [Google Scholar] [CrossRef] [PubMed]
- Boussios, S.; Moschetta, M.; Tatsi, K.; Tsiouris, A.K.; Pavlidis, N. A review on pregnancy complicated by ovarian epithelial and non-epithelial malignant tumors: Diagnostic and therapeutic perspectives. J. Adv. Res. 2018, 12, 1–9. [Google Scholar] [CrossRef] [PubMed]
- Hsiao, Y.H.; Yang, S.F.; Chen, Y.H.; Chen, T.H.; Tsai, H.D.; Chou, M.C.; Chou, P.H. Updated applications of Ultrasound in Uterine Cervical Cancer. J. Cancer 2021, 12, 2181–2189. [Google Scholar] [CrossRef] [PubMed]




| Demographics | Patients (n = 342) with FIGO Stage IB1 Cervical Cancer: Cancer Visibility on 3T MRI | p Value | |
|---|---|---|---|
| Cancer-Invisible Group (n = 105) | Cancer-Visible Group (n = 237) | ||
| Age (years) | 48.1 ± 11.4 (27–81) | 50.1 ± 11.0 (25–81) | 0.073 |
| Conization | 62 (59.0%) | 38 (16.0%) | <0.001 |
| Colposcopic biopsy | 43 (41.0%) | 199 (84.0%) | <0.001 |
| SCC | 58 (55.2%) | 159 (67.1%) | 0.039 |
| Adenocarcinoma | 40 (38.1%) | 59 (24.9%) | 0.015 |
| Other cancers | 7 (6.7%) | 19 (8.0%) | 0.326 |
| SCC antigen (ng/mL) | 1.4 ± 3.0 (0.2–21.4) | 4.6 ± 12.2 (0.1–91.7) | <0.001 |
| Histologic Findings | Patients (n = 342) with FIGO Stage IB1 Cervical Cancer: Cancer Visibility on 3T MRI | p Value | |
|---|---|---|---|
| Cancer-Invisible Group (n = 105) | Cancer-Visible Group (n = 237) | ||
| Tumor size (mm) | 11.5 ± 12.2 (0–55.0) | 30.1 ± 16.2 (0–95.0) | <0.001 |
| Invasion depth (%) | 20.5 ± 23.6 (0–100) | 63.5 ± 31.2 (0–100) | <0.001 |
| Residual tumor | 71 (67.6%) | 230 (97.0%) | <0.001 |
| LVS invasion | 12 (11.7%) | 95 (40.1%) | <0.001 |
| Parametrial invasion | 0 (0.0%) | 51 (21.5%) | <0.001 |
| Vaginal invasion | 2 (1.9%) | 13 (5.5%) | 0.163 |
| LN metastasis | 6 (5.9%) | 63 (26.6%) | <0.001 |
| Histologic and Imaging Findings | Cancer-Visible Group versus Cancer-Invisible Group | p Value | |
|---|---|---|---|
| Odds Ratio | 95% Confidence Interval | ||
| Parametrial invasion | 58.3 | 3.6–956.5 | <0.001 |
| Recurrent tumor | 31.4 | 4.3–230.5 | <0.001 |
| Residual tumor | 15.7 | 6.7–37.0 | <0.001 |
| LN metastasis | 5.8 | 2.4–13.9 | <0.001 |
| LVS invasion | 5.1 | 2.6–9.8 | <0.001 |
| Vaginal invasion | 0.3 | 0.07–1.51 | 0.163 |
Publisher’s Note: MDPI stays neutral with regard to jurisdictional claims in published maps and institutional affiliations. |
© 2022 by the authors. Licensee MDPI, Basel, Switzerland. This article is an open access article distributed under the terms and conditions of the Creative Commons Attribution (CC BY) license (https://creativecommons.org/licenses/by/4.0/).
Share and Cite
Jeong, S.Y.; Park, B.K.; Choi, C.H.; Lee, Y.-Y.; Kim, T.-J.; Lee, J.-W.; Kim, B.-G. Utility of 3T MRI in Women with IB1 Cervical Cancer in Determining the Necessity of Less Invasive Surgery. Cancers 2022, 14, 224. https://doi.org/10.3390/cancers14010224
Jeong SY, Park BK, Choi CH, Lee Y-Y, Kim T-J, Lee J-W, Kim B-G. Utility of 3T MRI in Women with IB1 Cervical Cancer in Determining the Necessity of Less Invasive Surgery. Cancers. 2022; 14(1):224. https://doi.org/10.3390/cancers14010224
Chicago/Turabian StyleJeong, Soo Young, Byung Kwan Park, Chel Hun Choi, Yoo-Young Lee, Tae-Joong Kim, Jeong-Won Lee, and Byoungi-Gie Kim. 2022. "Utility of 3T MRI in Women with IB1 Cervical Cancer in Determining the Necessity of Less Invasive Surgery" Cancers 14, no. 1: 224. https://doi.org/10.3390/cancers14010224
APA StyleJeong, S. Y., Park, B. K., Choi, C. H., Lee, Y.-Y., Kim, T.-J., Lee, J.-W., & Kim, B.-G. (2022). Utility of 3T MRI in Women with IB1 Cervical Cancer in Determining the Necessity of Less Invasive Surgery. Cancers, 14(1), 224. https://doi.org/10.3390/cancers14010224

