A Phase II, Multicenter, Single-Arm Study of Mipsagargin (G-202) as a Second-Line Therapy Following Sorafenib for Adult Patients with Progressive Advanced Hepatocellular Carcinoma
Abstract
1. Introduction
2. Patients and Methods
2.1. Study Design and Patient Selection
2.2. Ethics Approval and Consent to Participate
2.3. Treatment
2.4. Assessments
2.4.1. Antitumor Activity
2.4.2. Pharmacodynamics (PD)
2.4.3. Pharmacokinetics (PK)
2.4.4. Safety
2.5. Sample Size and Statistical Analysis
3. Results
3.1. Patients
3.2. Treatment Exposure
3.3. Efficacy
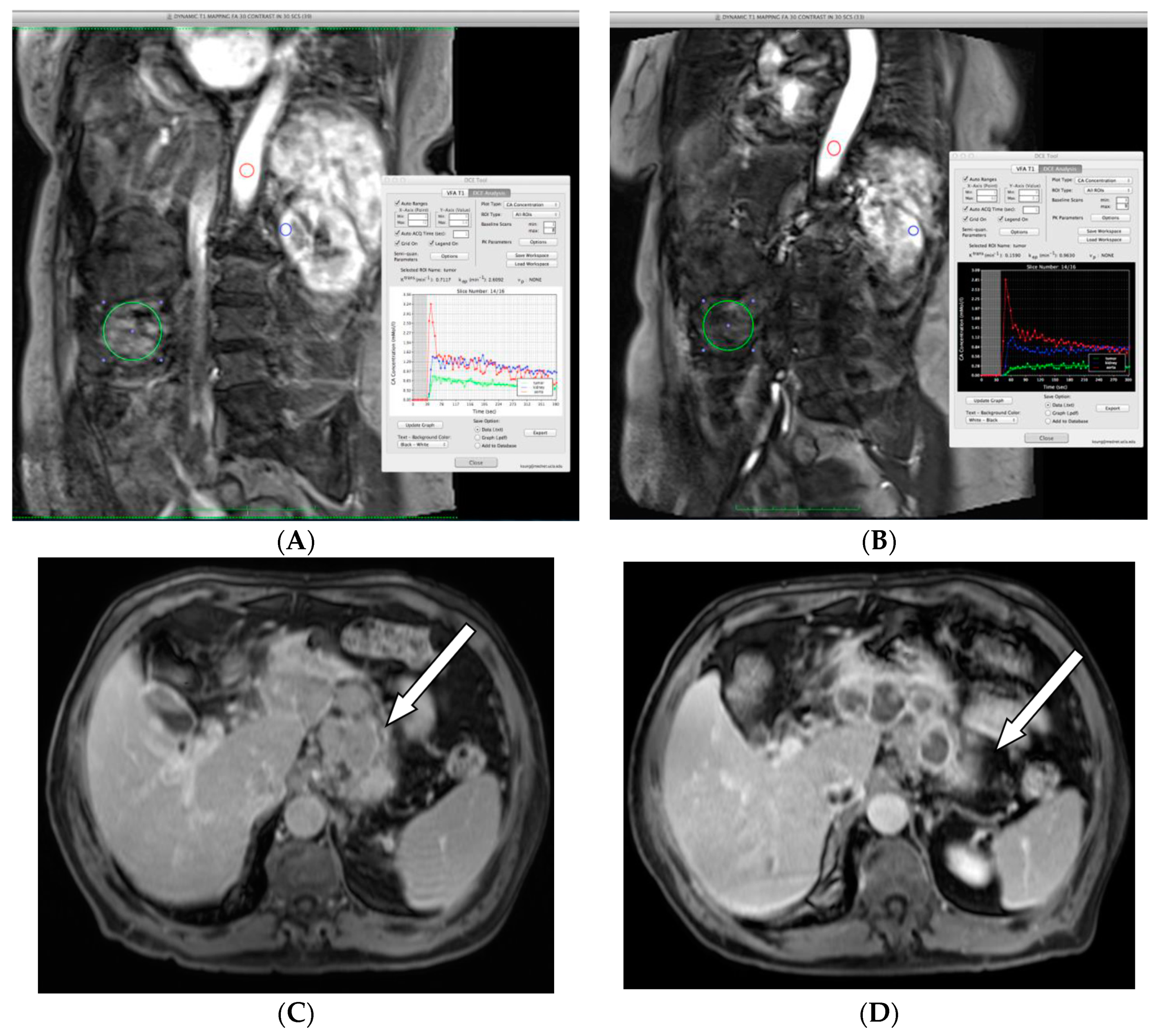
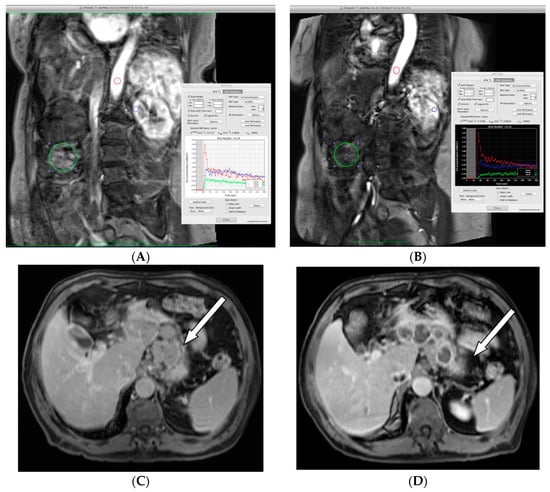
3.4. Pharmacodynamic Assessments
3.5. Pharmacokinetics
3.6. Safety
4. Discussion
5. Conclusions
Author Contributions
Funding
Acknowledgments
Conflicts of Interest
References
- Kulik, L.; El-Serag, H.B. Epidemiology and Management of Hepatocellular Carcinoma. Gastroenterology 2018, 56, 477–491. [Google Scholar] [CrossRef] [PubMed]
- Llovet, J.M.; Bruix, J. Novel advancements in the management of hepatocellular carcinoma in 2008. J. Hepatol. 2008, 48 (Suppl. 1), S20–S37. [Google Scholar] [CrossRef]
- Llovet, J.M.; Ricci, S.; Mazzaferro, V.; Hilgard, P.; Gane, E.; Blanc, J.F.; de Oliveira, A.C.; Santoro, A.; Raoul, J.L.; Forner, A.; et al. Sorafenib in advanced hepatocellular carcinoma. N. Engl. J. Med. 2008, 359, 378–390. [Google Scholar] [CrossRef]
- Cheng, A.L.; Kang, Y.K.; Chen, Z.; Tsao, C.J.; Qin, S.; Kim, J.S.; Luo, R.; Feng, J.; Ye, S.; Yang, T.S.; et al. Efficacy and safety of sorafenib in patients in the Asia-Pacific region with advanced hepatocellular carcinoma: A phase III randomised, double-blind, placebo-controlled trial. Lancet Oncol. 2009, 10, 25–34. [Google Scholar] [CrossRef]
- Kudo, M. Systemic Therapy for Hepatocellular Carcinoma: 2017 Update. Oncology 2017, 93 (Suppl. 1), 135–146. [Google Scholar] [CrossRef]
- Sergio, A.; Cristofori, C.; Cardin, R.; Pivetta, G.; Ragazzi, R.; Baldan, A.; Girardi, L.; Cillo, U.; Burra, P.; Giacomin, A.; et al. Transcatheter arterial chemoembolization (TACE) in hepatocellular carcinoma (HCC): The role of angiogenesis and invasiveness. Am. J. Gastroenterol. 2008, 103, 914–921. [Google Scholar] [CrossRef] [PubMed]
- Yamaguchi, R.; Yano, H.; Iemura, A.; Ogasawara, S.; Haramaki, M.; Kojiro, M. Expression of vascular endothelial growth factor in human hepatocellular carcinoma. Hepatology 1998, 28, 68–77. [Google Scholar] [CrossRef]
- Chao, Y.; Li, C.P.; Chau, G.Y.; Chen, C.P.; King, K.L.; Lui, W.Y.; Yen, S.H.; Chang, F.Y.; Chan, W.K.; Lee, S.D. Prognostic significance of vascular endothelial growth factor, basic fibroblast growth factor, and angiogenin in patients with resectable hepatocellular carcinoma after surgery. Ann. Surg. Oncol. 2003, 10, 355–362. [Google Scholar] [CrossRef]
- Miura, H.; Miyazaki, T.; Kuroda, M.; Oka, T.; Machinami, R.; Kodama, T.; Shibuya, M.; Makuuchi, M.; Yazaki, Y.; Ohnishi, S. Increased expression of vascular endothelial growth factor in human hepatocellular carcinoma. J. Hepatol. 1997, 27, 854–861. [Google Scholar] [CrossRef]
- Poon, R.T.; Ng, I.O.; Lau, C.; Zhu, L.X.; Yu, W.C.; Lo, C.M.; Fan, S.T.; Wong, J. Serum vascular endothelial growth factor predicts venous invasion in hepatocellular carcinoma: A prospective study. Ann. Surg. 2001, 233, 227–235. [Google Scholar] [CrossRef]
- Torimura, T.; Sata, M.; Ueno, T.; Kin, M.; Tsuji, R.; Suzaku, K.; Hashimoto, O.; Sugawara, H.; Tanikawa, K. Increased expression of vascular endothelial growth factor is associated with tumor progression in hepatocellular carcinoma. Hum. Pathol. 1998, 29, 986–991. [Google Scholar] [CrossRef]
- Carter, R.E.; Feldman, A.R.; Coyle, J.T. Prostate-specific membrane antigen is a hydrolase with substrate and pharmacologic characteristics of a neuropeptidase. Proc. Natl. Acad. Sci. USA 1996, 93, 749–753. [Google Scholar] [CrossRef] [PubMed]
- Mhaka, A.; Gady, A.M.; Rosen, D.M.; Lo, K.M.; Gillies, S.D.; Denmeade, S.R. Use of methotrexate-based peptide substrates to characterize the substrate specificity of prostate-specific membrane antigen (PSMA). Cancer Biol. Ther. 2004, 3, 551–558. [Google Scholar] [CrossRef] [PubMed]
- Jakobsen, C.M.; Denmeade, S.R.; Isaacs, J.T.; Gady, A.; Olsen, C.E.; Christensen, S.B. Design, synthesis, and pharmacological evaluation of thapsigargin analogues for targeting apoptosis to prostatic cancer cells. J. Med. Chem. 2001, 44, 4696–4703. [Google Scholar] [CrossRef]
- Silver, D.A.; Pellicer, I.; Fair, W.R.; Heston, W.D.; Cordon-Cardo, C. Prostate-specific membrane antigen expression in normal and malignant human tissues. Clin. Cancer Res. 1997, 3, 81–85. [Google Scholar]
- Liu, H.; Moy, P.; Kim, S.; Xia, Y.; Rajasekaran, A.; Navarro, V.; Knudsen, B.; Bander, N.H. Monoclonal antibodies to the extracellular domain of prostate-specific membrane antigen also react with tumor vascular endothelium. Cancer Res. 1997, 57, 3629–3634. [Google Scholar]
- Chang, S.S.; O’Keefe, D.S.; Bacich, D.J.; Reuter, V.E.; Heston, W.D.; Gaudin, P.B. Prostate-specific membrane antigen is produced in tumor-associated neovasculature. Clin. Cancer Res. 1999, 5, 2674–2681. [Google Scholar]
- Chang, S.S.; Reuter, V.E.; Heston, W.D.; Bander, N.H.; Grauer, L.S.; Gaudin, P.B. Five different anti-prostate-specific membrane antigen (PSMA) antibodies confirm PSMA expression in tumor-associated neovasculature. Cancer Res. 1999, 59, 3192–3198. [Google Scholar]
- Haffner, M.C.; Kronberger, I.E.; Ross, J.S.; Sheehan, C.E.; Zitt, M.; Muhlmann, G.; Ofner, D.; Zelger, B.; Ensinger, C.; Yang, X.J.; et al. Prostate-specific membrane antigen expression in the neovasculature of gastric and colorectal cancers. Hum. Pathol. 2009, 40, 1754–1761. [Google Scholar] [CrossRef]
- Denmeade, S.R.; Jakobsen, C.M.; Janssen, S.; Khan, S.R.; Garrett, E.S.; Lilja, H.; Christensen, S.B.; Isaacs, J.T. Prostate-specific antigen-activated thapsigargin prodrug as targeted therapy for prostate cancer. J. Natl. Cancer Inst. 2003, 95, 990–1000. [Google Scholar] [CrossRef]
- Denmeade, S.R.; Mhaka, A.M.; Rosen, D.M.; Brennen, W.N.; Dalrymple, S.; Dach, I.; Olesen, C.; Gurel, B.; Demarzo, A.M.; Wilding, G.; et al. Engineering a prostate-specific membrane antigen-activated tumor endothelial cell prodrug for cancer therapy. Sci. Transl. Med. 2012, 4, 140ra86. [Google Scholar] [CrossRef] [PubMed]
- Denmeade, S.R.; Isaacs, J.T. The SERCA pump as a therapeutic target: Making a “smart bomb” for prostate cancer. Cancer Biol. Ther. 2005, 4, 14–22. [Google Scholar] [CrossRef] [PubMed]
- Pinto, J.T.; Suffoletto, B.P.; Berzin, T.M.; Qiao, C.H.; Lin, S.; Tong, W.P.; May, F.; Mukherjee, B.; Heston, W.D. Prostate-specific membrane antigen: A novel folate hydrolase in human prostatic carcinoma cells. Clin. Cancer Res. 1996, 2, 1445–1451. [Google Scholar] [PubMed]
- Denmeade, S.R.; Lin, X.S.; Isaacs, J.T. Role of programmed (apoptotic) cell death during the progression and therapy for prostate cancer. Prostate 1996, 28, 251–265. [Google Scholar] [CrossRef]
- Singh, P.; Mhaka, A.M.; Christensen, S.B.; Gray, J.J.; Denmeade, S.R.; Isaacs, J.T. Applying linear interaction energy method for rational design of noncompetitive allosteric inhibitors of the sarco- and endoplasmic reticulum calcium-ATPase. J. Med. Chem. 2005, 48, 3005–3014. [Google Scholar] [CrossRef] [PubMed]
- Mahalingam, D.; Wilding, G.; Denmeade, S.; Sarantopoulas, J.; Cosgrove, D.; Cetnar, J.; Azad, N.; Bruce, J.; Kurman, M.; Allgood, V.E.; et al. Mipsagargin, a novel thapsigargin-based PSMA-activated prodrug: Results of a first-in-man phase I clinical trial in patients with refractory, advanced or metastatic solid tumours. Br. J. Cancer 2016, 114, 986–994. [Google Scholar] [CrossRef] [PubMed]
- Lencioni, R.; Llovet, J.M. Modified RECIST (mRECIST) assessment for hepatocellular carcinoma. Semin. Liver Dis. 2010, 30, 52–60. [Google Scholar] [CrossRef] [PubMed]
- Finn, R.S.; Kang, Y.K.; Mulcahy, M.; Polite, B.N.; Lim, H.Y.; Walters, I.; Baudelet, C.; Manekas, D.; Park, J.W. Phase II, open-label study of brivanib as second-line therapy in patients with advanced hepatocellular carcinoma. Clin. Cancer Res. 2012, 18, 2090–2098. [Google Scholar] [CrossRef]
- Yau, T.; Wong, H.; Chan, P.; Yao, T.J.; Pang, R.; Cheung, T.T.; Fan, S.T.; Poon, R.T. Phase II study of bevacizumab and erlotinib in the treatment of advanced hepatocellular carcinoma patients with sorafenib-refractory disease. Investig. New Drugs 2012, 30, 2384–2390. [Google Scholar] [CrossRef]
- Llovet, J.M.; Decaens, T.; Raoul, J.L.; Boucher, E.; Kudo, M.; Chang, C.; Kang, Y.K.; Assenat, E.; Lim, H.Y.; Boige, V.; et al. Brivanib in patients with advanced hepatocellular carcinoma who were intolerant to sorafenib or for whom sorafenib failed: Results from the randomized phase III BRISK-PS study. J. Clin. Oncol. 2013, 31, 3509–3516. [Google Scholar] [CrossRef]
- Davidson, G.A.; Varhol, R.J. Kinetics of thapsigargin-Ca(2+)-ATPase (sarcoplasmic reticulum) interaction reveals a two-step binding mechanism and picomolar inhibition. J. Biol. Chem. 1995, 270, 11731–11734. [Google Scholar] [CrossRef] [PubMed]
- Rasmussen, U.; Broogger Christensen, S.; Sandberg, F. Thapsigargine and thapsigargicine, two new histamine liberators from Thapsia garganica L. Acta Pharm. Suec. 1978, 15, 133–140. [Google Scholar] [PubMed]
- Furuya, Y.; Lundmo, P.; Short, A.D.; Gill, D.L.; Isaacs, J.T. The role of calcium, pH, and cell proliferation in the programmed (apoptotic) death of androgen-independent prostatic cancer cells induced by thapsigargin. Cancer Res. 1994, 54, 6167–6175. [Google Scholar] [PubMed]
- Tombal, B.; Denmeade, S.R.; Isaacs, J.T. Assessment and validation of a microinjection method for kinetic analysis of [Ca2+]i in individual cells undergoing apoptosis. Cell Calcium 1999, 25, 19–28. [Google Scholar] [CrossRef] [PubMed]
- Tombal, B.; Weeraratna, A.T.; Denmeade, S.R.; Isaacs, J.T. Thapsigargin induces a calmodulin/calcineurin-dependent apoptotic cascade responsible for the death of prostatic cancer cells. Prostate 2000, 43, 303–317. [Google Scholar] [CrossRef]
- Wright, G.L., Jr.; Haley, C.; Beckett, M.L.; Schellhammer, P.F. Expression of prostate-specific membrane antigen in normal, benign, and malignant prostate tissues. Urol. Oncol. 1995, 1, 18–28. [Google Scholar] [CrossRef]
- Lopes, A.D.; Davis, W.L.; Rosenstraus, M.J.; Uveges, A.J.; Gilman, S.C. Immunohistochemical and pharmacokinetic characterization of the site-specific immunoconjugate CYT-356 derived from antiprostate monoclonal antibody 7E11-C5. Cancer Res. 1990, 50, 6423–6429. [Google Scholar] [PubMed]
- Israeli, R.S.; Powell, C.T.; Corr, J.G.; Fair, W.R.; Heston, W.D. Expression of the prostate-specific membrane antigen. Cancer Res. 1994, 54, 1807–1811. [Google Scholar] [PubMed]
- Williams, T.; Kole, R. Analysis of prostate-specific membrane antigen splice variants in LNCap cells. Oligonucleotides 2006, 16, 186–195. [Google Scholar] [CrossRef]
- Schmittgen, T.D.; Teske, S.; Vessella, R.L.; True, L.D.; Zakrajsek, B.A. Expression of prostate specific membrane antigen and three alternatively spliced variants of PSMA in prostate cancer patients. Int. J. Cancer 2003, 107, 323–329. [Google Scholar] [CrossRef]
- Leach, M.O.; Brindle, K.M.; Evelhoch, J.L.; Griffiths, J.R.; Horsman, M.R.; Jackson, A.; Jayson, G.C.; Judson, I.R.; Knopp, M.V.; Maxwell, R.J.; et al. The assessment of antiangiogenic and antivascular therapies in early-stage clinical trials using magnetic resonance imaging: Issues and recommendations. Br. J. Cancer 2005, 92, 1599–1610. [Google Scholar] [CrossRef] [PubMed]
- Evelhoch, J.; Garwood, M.; Vigneron, D.; Knopp, M.; Sullivan, D.; Menkens, A.; Clarke, L.; Liu, G. Expanding the use of magnetic resonance in the assessment of tumor response to therapy: Workshop report. Cancer Res. 2005, 65, 7041–7044. [Google Scholar] [CrossRef] [PubMed]
- Hsu, C.Y.; Shen, Y.C.; Yu, C.W.; Hsu, C.; Hu, F.C.; Hsu, C.H.; Chen, B.B.; Wei, S.Y.; Cheng, A.L.; Shih, T.T. Dynamic contrast-enhanced magnetic resonance imaging biomarkers predict survival and response in hepatocellular carcinoma patients treated with sorafenib and metronomic tegafur/uracil. J. Hepatol. 2011, 55, 858–865. [Google Scholar] [CrossRef] [PubMed]



| Parameter | Safety Run-in Phase | Expansion Phase | Overall (n = 25) | ||
|---|---|---|---|---|---|
| 40 mg/m2 Days 1–3 (n = 3) | 40 mg/m2 Day 1 + 66.8 mg/m2 Days 2, 3 (n = 6) | Total Run-in (n = 9) | 40 mg Days 1–3 (n = 16) | ||
| Median age, y (range) | 64.0 (63, 72) | 62.5 (53, 69) | 64.0 (53, 72) | 65.5 (51, 73) | 64.0 (51, 73) |
| n (%) ≤ 65 years | 2 (66.7%) | 4 (66.7%) | 6 (66.7%) | 8 (50.0%) | 14 (56.0%) |
| >65 years | 1 (33.3%) | 2 (33.3%) | 3 (33.3%) | 8 (50.0%) | 11 (44.0%) |
| Female:Male ratio | 0:3 | 2:4 | 2:7 | 5:11 | 7:18 |
| Race (n (%)) | |||||
| Asian | 0 | 0 | 0 | 1 (6.3%) | 1 (4.0%) |
| Black/African American | 0 | 0 | 0 | 2 (12.5%) | 2 (8.0%) |
| White | 1 (33.3%) | 5 (83.3%) | 6 (66.7%) | 10 (62.5%) | 16 (64.0%) |
| Other | 2 (66.7%) | 1 (16.7%) | 3 (33.3%) | 3 (18.8%) | 6 (24.0%) |
| ECOG performance status (n (%)) | |||||
| 0 | 1 (33.3%) | 2 (33.3%) | 3 (33.3%) | 5 (31.3%) | 8 (32.0%) |
| 1 | 2 (66.7%) | 4 (66.7%) | 6 (66.7%) | 11 (68.8%) | 17 (68.0%) |
| Child-Pugh-score (n (%)) | |||||
| A5 | 1 (33.3%) | 4 (66.7%) | 5 (55.6%) | 5 (31.3%) | 10 (40.0%) |
| A6 | 1 (33.3%) | 2 (33.3%) | 3 (33.3%) | 5 (31.3%) | 8 (32.0%) |
| B7 | 1 (33.3%) | 0 | 1 (11.1%) | 5 (31.3%) | 6 (24.0%) |
| B8 | 0 | 0 | 0 | 1 (6.3%) | 1 (4.0%) |
| Best response to previous sorafenib therapy (n (%)) | |||||
| CR | 0 | 0 | 0 | 0 | 0 |
| PR | 0 | 0 | 0 | 0 | 0 |
| SD | 2 (66.7%) | 4 (66.7%) | 6 (66.7%) | 9 (56.3%) | 15 (60.0%) |
| PD | 1 (33.3%) | 2 (33.3%) | 3 (33.3%) | 5 (31.3%) | 8 (32.0%) |
| Unknown | 0 | 0 | 0 | 2 (12.5%) | 2 (8.0%) |
| Adverse Event (N [%]) | Safety Run-in Phase | Expansion Phase | Overall (n = 25) | ||
|---|---|---|---|---|---|
| 40 mg Days 1–3 (n = 3) | 40 mg Day 1 + 66.8 mg Days 2–3 (n = 6) | Total in Safety Run-in (n = 9) | 40 mg Days 1–3 (n = 16) | ||
| Patients with any AE | 3 (100%) | 6 (100%) | 9 (100%) | 16 (100%) | 25 (100%) |
| Blood creatinine increased | 2 (66.7%) | 5 (83.3%) | 7 (77.8%) | 10 (62.5%) | 17 (68.0%) |
| Fatigue | 1 (33.3%) | 3 (50.0%) | 4 (44.4%) | 10 (62.5%) | 14 (56.0%) |
| ALT increased | 2 (66.7%) | 4 (66.7%) | 6 (66.7%) | 5 (31.3%) | 11 (44.0%) |
| Nausea | 1 (33.3%) | 3 (50.0%) | 4 (44.4%) | 7 (43.8%) | 11 (44.0%) |
| AST increased | 1 (33.3%) | 3 (50.0%) | 4 (44.4%) | 6 (37.5%) | 10 (40.0%) |
| Blood bilirubin increased | 2 (66.7%) | 0 | 2 (22.2%) | 8 (50.0%) | 10 (40.0%) |
| Decreased appetite | 2 (66.7%) | 2 (33.3%) | 4 (44.4%) | 6 (37.5%) | 10 (40.0%) |
| Pruritus | 1 (33.3%) | 2 (33.3%) | 3 (33.3%) | 7 (43.8%) | 10 (40.0%) |
| Diarrhoea | 2 (66.7%) | 2 (33.3%) | 4 (44.4%) | 5 (31.3%) | 9 (36.0%) |
| Hyperbilirubinaemia | 0 | 3 (50.0%) | 3 (33.3%) | 5 (31.3%) | 8 (32.0%) |
| Rash | 1 (33.3%) | 1 (16.7%) | 2 (22.2%) | 6 (37.5%) | 8 (32.0%) |
| Thrombocytopenia | 0 | 3 (50.0%) | 3 (33.3%) | 5 (31.3%) | 8 (32.0%) |
| Blood ALP increased | 2 (66.7%) | 1 (16.7%) | 3 (33.3%) | 4 (25.0%) | 7 (28.0%) |
| Ascites | 1 (33.3%) | 1 (16.7%) | 2 (22.2%) | 4 (25.0%) | 6 (24.0%) |
| Blood LDH increased | 1 (33.3%) | 0 | 1 (11.1%) | 5 (31.3%) | 6 (24.0%) |
| Blood urea increased | 2 (66.7%) | 2 (33.3%) | 4 (44.4%) | 2 (12.5%) | 6 (24.0%) |
| Hiccups | 1 (33.3%) | 1 (16.7%) | 2 (22.2%) | 4 (25.0%) | 6 (24.0%) |
| Oedema peripheral | 2 (66.7%) | 3 (50.0%) | 5 (55.6%) | 1 (6.3%) | 6 (24.0%) |
| Pain in extremity | 1 (33.3%) | 1 (16.7%) | 2 (22.2%) | 4 (25.0%) | 6 (24.0%) |
| Vomiting | 1 (33.3%) | 3 (50.0%) | 4 (44.4%) | 2 (12.5%) | 6 (24.0%) |
| Anaemia | 1 (33.3%) | 2 (33.3%) | 3 (33.3%) | 2 (12.5%) | 5 (20.0%) |
| Tachycardia | 2 (66.7%) | 1 (16.7%) | 3 (33.3%) | 2 (12.5%) | 5 (20.0%) |
| Blood phosphorus increased | 1 (33.3%) | 2 (33.3%) | 3 (33.3%) | 2 (12.5%) | 5 (20.0%) |
| Blood potassium increased | 0 | 2 (33.3%) | 2 (22.2%) | 3 (18.8%) | 5 (20.0%) |
| Weight decreased | 2 (66.7%) | 0 | 2 (22.2%) | 3 (18.8%) | 5 (20.0%) |
| Hyperglycaemia | 1 (33.3%) | 1 (16.7%) | 2 (22.2%) | 3 (18.8%) | 5 (20.0%) |
| Hypokalaemia | 0 | 1 (16.7%) | 1 (11.1%) | 4 (25.0%) | 5 (20.0%) |
| Hepatic encephalopathy | 0 | 0 | 0 | 5 (31.3%) | 5 (20.0%) |
© 2019 by the authors. Licensee MDPI, Basel, Switzerland. This article is an open access article distributed under the terms and conditions of the Creative Commons Attribution (CC BY) license (http://creativecommons.org/licenses/by/4.0/).
Share and Cite
Mahalingam, D.; Peguero, J.; Cen, P.; Arora, S.P.; Sarantopoulos, J.; Rowe, J.; Allgood, V.; Tubb, B.; Campos, L. A Phase II, Multicenter, Single-Arm Study of Mipsagargin (G-202) as a Second-Line Therapy Following Sorafenib for Adult Patients with Progressive Advanced Hepatocellular Carcinoma. Cancers 2019, 11, 833. https://doi.org/10.3390/cancers11060833
Mahalingam D, Peguero J, Cen P, Arora SP, Sarantopoulos J, Rowe J, Allgood V, Tubb B, Campos L. A Phase II, Multicenter, Single-Arm Study of Mipsagargin (G-202) as a Second-Line Therapy Following Sorafenib for Adult Patients with Progressive Advanced Hepatocellular Carcinoma. Cancers. 2019; 11(6):833. https://doi.org/10.3390/cancers11060833
Chicago/Turabian StyleMahalingam, Devalingam, Julio Peguero, Putao Cen, Sukeshi P. Arora, John Sarantopoulos, Julie Rowe, Victoria Allgood, Benjamin Tubb, and Luis Campos. 2019. "A Phase II, Multicenter, Single-Arm Study of Mipsagargin (G-202) as a Second-Line Therapy Following Sorafenib for Adult Patients with Progressive Advanced Hepatocellular Carcinoma" Cancers 11, no. 6: 833. https://doi.org/10.3390/cancers11060833
APA StyleMahalingam, D., Peguero, J., Cen, P., Arora, S. P., Sarantopoulos, J., Rowe, J., Allgood, V., Tubb, B., & Campos, L. (2019). A Phase II, Multicenter, Single-Arm Study of Mipsagargin (G-202) as a Second-Line Therapy Following Sorafenib for Adult Patients with Progressive Advanced Hepatocellular Carcinoma. Cancers, 11(6), 833. https://doi.org/10.3390/cancers11060833

