Synergistic Effects of Chitosan and Fish Oil on Lipid Metabolism in Rats Fed a High-Fat and Low-Carbohydrate Diet
Abstract
1. Introduction
2. Materials and Methods
2.1. Experimental Animals, Diets, and Sample Collection
2.2. Measurement of Total Cholesterol (TC), Triglyceride (TG), and Plasma Lipoprotein Cholesterol
2.3. Measurement of Aspartate Aminotransferase (AST) and Alanine Aminotransferase (ALT) Activities
2.4. Measurement of β-Hydroxybutyrate, TNF-α, and IL-6 Content
2.5. Measurement of Hepatic Enzyme Activities: Acetyl-CoA Carboxylase (ACC), Fatty Acid Synthase (FAS), and HMG-CoA Reductase
2.6. Hematoxylin and Eosin (H&E) Staining
2.7. Fecal Lipid Extraction
2.8. Statistical Analysis
3. Results
3.1. Effects of Chitosan and Chitosan/Fish Oil on Body Weight, Food Intake, Food Efficiency, and Organ Weight in Low-Carbohydrate/High-Fat Diet-Fed Rats
3.2. Effects of Both Chitosan and Chitosan/Fish Oil on Lipid Profiles and Lipid-Related Metabolic Changes in HF-Diet-Fed Rats
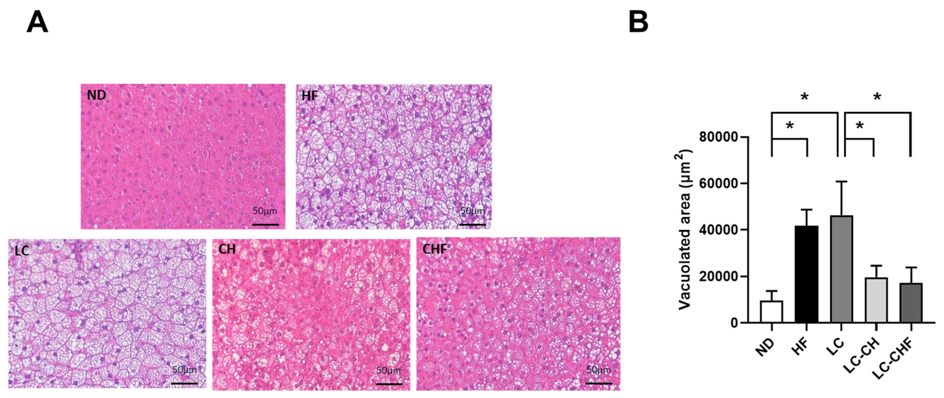
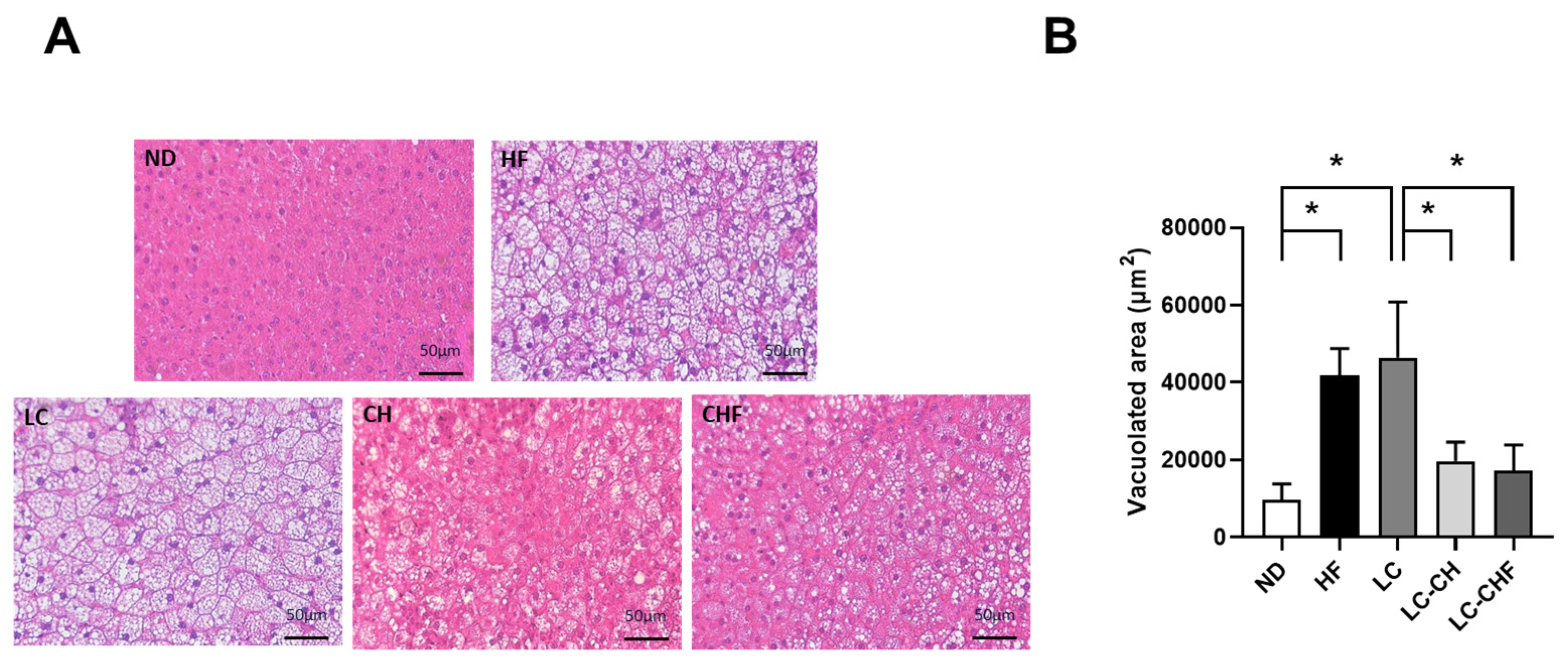
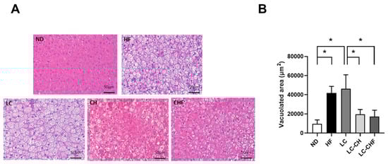
3.3. Effects of Both Chitosan and Chitosan/Fish Oil on Adipose Tissue and Fecal Lipids in HF-Diet-Fed Rats
4. Discussion
5. Conclusions
Author Contributions
Funding
Institutional Review Board Statement
Data Availability Statement
Conflicts of Interest
References
- Chooi, Y.C.; Ding, C.; Magkos, F. The epidemiology of obesity. Metabolism 2019, 92, 6–10. [Google Scholar] [CrossRef]
- Hu, L.; Yuan, D.; Zhu, Q.; Wu, M.; Tie, M.; Song, S.; Chen, Y.; Yang, Y.; He, A. Evaluation of the role of hepatic Gstm4 in diet-induced obesity and dyslipidemia. Biochem. Biophys. Res. Commun. 2024, 737, 150920–150926. [Google Scholar] [CrossRef] [PubMed]
- Dai, J.; Liang, K.; Zhao, S.; Jia, W.; Liu, Y.; Wu, H.; Lv, J.; Cao, C.; Chen, T.; Zhuang, S.; et al. Chemoproteomics reveals baicalin activates hepatic CPT1 to ameliorate diet-induced obesity and hepatic steatosis. Proc. Natl. Acad. Sci. USA 2018, 115, E5896–E5905. [Google Scholar] [CrossRef] [PubMed]
- Thornton, P.; Reader, V.; Digby, Z.; Smolak, P.; Lindsay, N.; Harrison, D.; Clarke, N.; Watt, A.P. Reversal of high fat diet-induced obesity, systemic inflammation, and astrogliosis by the NLRP3 inflammasome inhibitors NT-0249 and NT-0796. J. Pharmacol. Exp. Ther. 2024, 388, 813–826. [Google Scholar] [CrossRef] [PubMed]
- Huang, Y.; Zhu, X.; Chen, K.; Lang, H.; Zhang, Y.; Hou, P.; Ran, L.; Zhou, M.; Zheng, J.; Yi, L.; et al. Resveratrol prevents sarcopenic obesity by reversing mitochondrial dysfunction and oxidative stress via the PKA/LKB1/AMPK pathway. Aging 2019, 11, 2217–2240. [Google Scholar] [CrossRef] [PubMed]
- Fock, K.M.; Khoo, J. Diet and exercise in management of obesity and overweight. J. Gastroenterol. Hepatol. 2013, 28 (Suppl. 4), 59–63. [Google Scholar] [CrossRef]
- Hosomi, K.; Saito, M.; Park, J.; Murakami, H.; Shibata, N.; Ando, M.; Nagatake, T.; Konishi, K.; Ohno, H.; Tanisawa, K.; et al. Oral administration of Blautia wexlerae ameliorates obesity and type 2 diabetes via metabolic remodeling of the gut microbiota. Nat. Commun. 2022, 13, 4477–4493. [Google Scholar] [CrossRef]
- Sakuma, T.; Nakamura, M.; Chiba, T.; Iwanaga, T.; Kan, M.; Kojima, R.; Ao, J.; Ma, Y.; Unozawa, H.; Fujita, N.; et al. A diet-induced murine model for non-alcoholic fatty liver disease with obesity and insulin resistance that rapidly develops steatohepatitis and fibrosis. Lab. Investig. 2022, 102, 1150–1157. [Google Scholar] [CrossRef]
- Xia, W.S.; Liu, P.; Zhang, J.L.; Chen, J. Biological activities of chitosan and chitooligosaccharides. Food Hydrocoll. 2011, 25, 170–179. [Google Scholar] [CrossRef]
- Anitha, A.; Sowmya, S.; Kumar, P.T.S.; Deepthi, S.; Chennazhi, K.P.; Ehrlich, H.; Tsurkan, M.; Jayakumar, R. Chitin and chitosan in selected biomedical applications. Prog. Polym. Sci. 2014, 39, 1644–1667. [Google Scholar] [CrossRef]
- Xu, G.; Huang, X.; Qiu, L.; Wu, J.; Hu, Y. Mechanism study of chitosan on lipid metabolism in hyperlipidemic rats. Asia Pac. J. Clin. Nutr. 2007, 16 (Suppl. 1), 313–317. [Google Scholar]
- Huang, L.L.; Chen, J.; Cao, P.Q.; Pan, H.T.; Ding, C.; Xiao, T.C.; Zhang, P.F.; Guo, J.; Su, Z.Q. Anti-obese effect of glucosamine and chitosan oligosaccharide in high-fat diet-induced obese rats. Mar. Drugs 2015, 13, 2732–2756. [Google Scholar] [CrossRef]
- Hosny, E.N.; Sawie, H.G.; Abou-Seif, H.S.; Khadrawy, Y.A. Effect of caffeine-chitosan nanoparticles and alpha-lipoic acid on the cardiovascular changes induced in rat model of obesity. Int. Immunopharmacol. 2024, 129, 111627–111637. [Google Scholar] [CrossRef]
- Sumiyoshi, M.; Kimura, Y. Low molecular weight chitosan inhibits obesity induced by feeding a high-fat diet long-term in mice. J. Pharm. Pharmacol. 2006, 58, 201–207. [Google Scholar] [CrossRef]
- Mone, P.; Varzideh, F.; Kansakar, U.; Infante, C.; Lombardi, A.; de Donato, A.; Frullone, S.; Santulli, G. Omega-3 fatty acids coordinate glucose and lipid metabolism in diabetic patients. Lipids Health Dis. 2022, 21, 31–34. [Google Scholar] [CrossRef]
- Calder, P.C. Omega-3 fatty acids and inflammatory processes. Nutrients 2010, 2, 355–374. [Google Scholar] [CrossRef]
- Gao, H.; Geng, T.; Huang, T.; Zhao, Q. Fish oil supplementation and insulin sensitivity: A systematic review and meta-analysis. Lipids Health Dis. 2017, 16, 131–139. [Google Scholar] [CrossRef]
- Rundblad, A.; Sandoval, V.; Holven, K.B.; Ordovas, J.M.; Ulven, S.M. Omega-3 fatty acids and individual variability in plasma triglyceride response: A mini-review. Redox. Biol. 2023, 63, 102730–102738. [Google Scholar] [CrossRef]
- Chiu, C.Y.; Wang, L.P.; Liu, S.H.; Chiang, M.T. Fish oil supplementation alleviates the altered lipid homeostasis in blood, liver, and adipose tissues in high-fat diet-fed rats. J. Agr. Food Chem. 2018, 66, 4118–4128. [Google Scholar] [CrossRef]
- Bays, H.E.; Tighe, A.P.; Sadovsky, R.; Davidson, M.H. Prescription omega-3 fatty acids and their lipid effects: Physiologic mechanisms of action and clinical implications. Expert Rev. Cardiovasc. Ther. 2008, 6, 391–409. [Google Scholar] [CrossRef]
- Ikeda, I.; Metoki, K.; Yamahira, T.; Kato, M.; Inoue, N.; Nagao, K.; Yanagita, T.; Shirakawa, H.; Komai, M. Impact of fasting time on hepatic lipid metabolism in nutritional animal studies. Biosci. Biotechnol. Biochem. 2014, 78, 1584–1591. [Google Scholar] [CrossRef]
- Folch, J.; Lees, M.; Sloane Stanley, G.H. A simple method for the isolation and purification of total lipides from animal tissues. J. Biol. Chem. 1957, 226, 497–509. [Google Scholar] [CrossRef]
- Liu, S.H.; Chen, Y.X.; Tzeng, H.P.; Chiang, M.T. Fish Oil Enriched n-3 Polyunsaturated Fatty Acids Improve Ketogenic Low-Carbohydrate/High-Fat Diet-Caused Dyslipidemia, Excessive Fat Accumulation, and Weight Control in Rats. Nutrients 2022, 14, 1976–1989. [Google Scholar] [CrossRef]
- Liu, S.H.; Feng, S.A.; Chiu, C.Y.; Chiang, M.T. Influence of Dietary Chitosan Feeding Duration on Glucose and Lipid Metabolism in a Diabetic Rat Model. Molecules 2021, 26, 5033–5047. [Google Scholar] [CrossRef]
- Chiu, C.Y.; Chang, T.C.; Liu, S.H.; Chiang, M.T. The regulatory effects of fish oil and chitosan on hepatic lipogenic signals in high-fat diet-induced obese rats. J. Food Drug Anal. 2017, 25, 919–930. [Google Scholar] [CrossRef]
- Shearer, G.C.; Savinova, O.V.; Harris, W.S. Fish oil—How does it reduce plasma triglycerides? Biochim. Biophys. Acta 2012, 1821, 843–851. [Google Scholar] [CrossRef]
- Nepokroeff, C.M.; Lakshmanan, M.R.; Porter, J.W. Fatty-acid synthase from rat liver. Methods Enzymol. 1975, 35, 37–44. [Google Scholar]
- Calder, P.C. Mechanisms of action of (n-3) fatty acids. J. Nutr. 2012, 142, 592S–599S. [Google Scholar] [CrossRef]
- Chiu, C.Y.; Yen, T.E.; Liu, S.H.; Chiang, M.T. Comparative effects and mechanisms of chitosan and its derivatives on hypercholesterolemia in high-fat diet-fed rats. Int. J. Mol. Sci. 2019, 21, 92. [Google Scholar] [CrossRef]
- Neschen, S.; Moore, I.; Regittnig, W.; Yu, C.L.; Wang, Y.; Pypaert, M.; Petersen, K.F.; Shulman, G.I. Contrasting effects of fish oil and safflower oil on hepatic peroxisomal and tissue lipid content. Am. J. Physiol. Endocrinol. Metab. 2002, 282, E395–E401. [Google Scholar] [CrossRef]
- Kim, H.J.; Takahashi, M.; Ezaki, O. Fish oil feeding decreases mature sterol regulatory element-binding protein 1 (SREBP-1) by down-regulation of SREBP-1c mRNA in mouse liver. A possible mechanism for down-regulation of lipogenic enzyme mRNAs. J. Biol. Chem. 1999, 274, 25892–25898. [Google Scholar] [CrossRef]
- Pawlak, M.; Lefebvre, P.; Staels, B. Molecular mechanism of PPARalpha action and its impact on lipid metabolism, inflammation and fibrosis in non-alcoholic fatty liver disease. J. Hepatol. 2015, 62, 720–733. [Google Scholar] [CrossRef]
- Zhou, Y.; Yu, S.; Cai, C.; Zhong, L.; Yu, H.; Shen, W. LXRa participates in the mTOR/S6K1/SREBP-1c signaling pathway during sodium palmitate-induced lipogenesis in HepG2 cells. Nutr. Metab. 2018, 15, 31–39. [Google Scholar] [CrossRef]
- Zhang, Y.; Breevoort, S.R.; Angdisen, J.; Fu, M.; Schmidt, D.R.; Holmstrom, S.R.; Kliewer, S.A.; Mangelsdorf, D.J.; Schulman, I.G. Liver LXRalpha expression is crucial for whole body cholesterol homeostasis and reverse cholesterol transport in mice. J. Clin. Investig. 2012, 122, 1688–1699. [Google Scholar] [CrossRef]
- Chiu, C.Y.; Feng, S.A.; Liu, S.H.; Chiang, M.T. Functional comparison for lipid metabolism and intestinal and fecal microflora enzyme activities between low molecular weight chitosan and chitosan oligosaccharide in high-fat-diet-fed rats. Mar. Drugs 2017, 15, 234. [Google Scholar] [CrossRef]
- Navidshad, B.; Royan, M. Peroxisome Proliferator-Activated Receptor Alpha (PPARalpha), a Key Regulator of Lipid Metabolism in Avians. Crit. Rev. Eukaryot. Gene Expr. 2016, 26, 303–308. [Google Scholar] [CrossRef]
- Knight, B.L.; Hebbachi, A.; Hauton, D.; Brown, A.M.; Wiggins, D.; Patel, D.D.; Gibbons, G.F. A role for PPARalpha in the control of SREBP activity and lipid synthesis in the liver. Biochem. J. 2005, 389, 413–421. [Google Scholar] [CrossRef]





| Ingredients (%) | ND | HF | LC | LC-CH | LC-CHF |
|---|---|---|---|---|---|
| Casein | 20 | 20 | 20 | 20 | 20 |
| Lard | 3 | 18 | 35 | 35 | 30 |
| Soybean oil | 2 | 2 | 2 | 2 | 2 |
| Fish oil | 5 | ||||
| Vitamin mixture 1 | 1 | 1 | 1 | 1 | 1 |
| Salt mixture 2 | 4 | 4 | 4 | 4 | 4 |
| Cholesterol | 0.5 | 0.5 | 0.5 | 0.5 | |
| Choline chloride | 0.2 | 0.2 | 0.2 | 0.2 | 0.2 |
| Cholic acid | 0.2 | 0.2 | 0.2 | 0.2 | |
| Corn starch | 64.8 | 49.1 | 32.1 | 32.1 | 32.1 |
| Cellulose | 5 | 5 | 5 | ||
| Chitosan | 5 | 5 | |||
| Total calories (kcal/100 g) | 394.2 | 470.9 | 555.9 | 555.9 | 555.9 |
| Carbohydrate (%) | 68.29 | 43.83 | 24.89 | 24.89 | 24.89 |
| Protein (%) | 20.29 | 16.98 | 14.39 | 14.39 | 14.39 |
| Fat (%) | 11.41 | 39.18 | 60.71 | 60.71 | 60.71 |
| Total (%) | 100 | 100 | 100 | 100 | 100 |
| ND | HF | LC | LC-CH | LC-CHF | |
|---|---|---|---|---|---|
| Initial body weight (g) | 270.75 ± 29.63 | 283.84 ± 24.74 | 283.55 ± 24.49 | 287.92 ± 16.24 | 286.21 ± 18.67 |
| Final body weight (g) | 616.15 ± 71.71 | 627.93 ± 52.73 | 704.28 ± 50.42 *# | 613.97 ± 50.08 + | 572.04 ± 40.42 + |
| Body weight gain (g) | 345.39 ± 65.29 | 344.09 ± 54.02 | 420.73 ± 43.88 | 326.05 ± 60.70 + | 285.83 ± 47.94 + |
| Food intake (g/day) | 27.32 ± 2.17 | 24.53 ± 2.25 | 20.63 ± 1.25 *# | 19.37 ± 1.91 *# | 17.95 ± 1.28 *# |
| Food efficiency 1 | 12.56 ± 1.61 | 13.98 ± 1.35 | 20.36 ± 1.12 *# | 16.72 ± 1.57 *#+ | 15.85 ± 1.67 *+ |
| ND | HF | LC | LC-CH | LC-CHF | |
|---|---|---|---|---|---|
| Liver weight (g) | 18.18 ± 3.77 | 35.54 ± 5.76 * | 34.30 ± 3.09 * | 28.90 ± 4.84 * | 25.38 ± 3.74 *#+ |
| Relative liver weight (g/100 g BW) | 2.93 ± 0.35 | 5.63 ± 0.49 * | 4.87 ± 0.33 *# | 4.69 ± 0.49 *# | 4.42 ± 0.45 *# |
| Perirenal adipose weight (g) | 20.71 ± 6.80 | 16.30 ± 4.55 | 27.99 ± 9.05 # | 22.75 ± 4.31 | 16.29 ± 2.77 + |
| Relative perirenal adipose weight (g/100 g BW) | 3.33 ± 0.83 | 2.58 ± 0.58 | 3.95 ± 1.12 # | 3.71 ± 0.66 | 2.83 ± 0.30 |
| Epididymal adipose weight (g) | 13.85 ± 2.43 | 12.45 ± 2.69 | 20.54 ± 5.14 *# | 14.83 ± 3.03 + | 12.03 ± 1.89 + |
| Relative epididymal adipose weight (g/100 g BW) | 2.27 ± 0.44 | 1.98 ± 0.42 | 2.89 ± 0.55 # | 2.41 ± 0.40 | 2.10 ± 0.29 + |
| Total adipose tissue weight (g) | 34.56 ± 8.11 | 28.76 ± 6.45 | 48.53 ± 11.72 *# | 37.59 ± 6.07 | 28.32 ± 4.07 + |
| Relative total adipose tissue weight (g/100 g BW) | 5.60 ± 1.04 | 4.56 ± 0.83 | 6.84 ± 1.30 # | 6.12 ± 0.80 # | 4.94 ± 0.44 + |
| (mg/dL) | ND | HF | LC | LC-CH | LC-CHF |
|---|---|---|---|---|---|
| Total cholesterol | 98.17 ± 6.78 | 110.62 ± 40.41 | 94.44 ± 16.41 | 84.42 ± 19.98 | 54.12 ± 10.95 *#+ |
| HDL-C | 46.55 ± 10.49 | 27.14 ± 7.85 * | 29.34 ± 11.26 * | 26.92 ± 12.71 * | 14.13 ± 6.07 * |
| LDL-C + VLDL-C | 51.62 ± 14.67 | 83.48 ± 42.44 | 65.10 ± 19.76 | 57.50 ± 23.08 | 39.99 ± 12.07 # |
| TC/HDL-C | 2.21 ± 0.56 | 4.65 ± 3.00 | 3.70 ± 1.76 | 3.78 ± 1.92 | 4.66 ± 2.36 |
| HDL-C/(LDL-C + VLDL-C) | 1.04 ± 0.59 | 0.42 ± 0.24 | 0.51 ± 0.31 | 0.63 ± 0.61 | 0.41 ± 0.26 |
| Triglyceride | 79.02 ± 26.24 | 51.20 ± 10.80 * | 52.05 ± 12.21 | 58.94 ± 17.87 | 46.24 ± 15.50 * |
| ND | HF | LC | LC-CH | LC-CHF | |
|---|---|---|---|---|---|
| Total cholesterol | |||||
| (mg/g liver) | 6.25 ± 2.96 | 99.18 ± 17.86 * | 75.67 ± 13.08 *# | 53.29 ± 20.85 *#+ | 58.78 ± 10.29 *# |
| (g/liver) | 0.12 ± 0.08 | 3.53 ± 0.95 *# | 2.53 ± 0.57 *# | 1.54 ± 0.67 *#+ | 1.50 ± 0.47 *#+ |
| Triglyceride | |||||
| (mg/g liver) | 33.56 ± 19.07 | 94.90 ± 18.48 * | 107.50 ± 24.17 * | 87.77 ± 25.33 * | 63.55 ± 21.37 + |
| (g/liver) | 0.65 ± 0.50 | 3.37 ± 0.68 * | 3.69 ± 0.85 * | 2.57 ± 1.01 * | 1.66 ± 0.74 #+ |
| ND | HF | LC | LC-CH | LC-CHF | |
|---|---|---|---|---|---|
| Feces wet weight (g/day) | 2.57 ± 0.38 | 2.86± 0.67 | 3.39 ± 0.35 * | 2.80 ± 0.46 | 2.52 ± 0.51 + |
| Feces dry weight (g/day) | 2.05 ± 0.22 | 2.18 ± 0.39 | 2.66 ± 0.33 * | 2.14 ± 0.26 + | 2.01 ± 0.39 + |
| Total cholesterol | |||||
| (mg/g feces) | 2.53 ± 0.79 | 7.54 ± 1.37 * | 11.08 ± 1.24 *# | 12.08 ± 1.93 *# | 15.05 ± 2.96 *#+& |
| (mg/day) | 5.11 ± 1.33 | 16.73 ± 5.15 * | 29.58 ± 5.44 *# | 26.03 ± 6.13 *# | 29.82 ± 6.21 *#+& |
| Triglyceride | |||||
| (mg/g feces) | 6.30 ± 1.49 | 9.31 ± 2.62 | 9.95 ± 2.58 * | 8.90 ± 1.70 | 7.17 ± 0.77 |
| (mg/day) | 12.80 ± 2.47 | 21.01 ± 9.07 | 26.40 ± 7.30 * | 18.97 ± 3.72 | 14.43 ± 3.22 |
Disclaimer/Publisher’s Note: The statements, opinions and data contained in all publications are solely those of the individual author(s) and contributor(s) and not of MDPI and/or the editor(s). MDPI and/or the editor(s) disclaim responsibility for any injury to people or property resulting from any ideas, methods, instructions or products referred to in the content. |
© 2024 by the authors. Licensee MDPI, Basel, Switzerland. This article is an open access article distributed under the terms and conditions of the Creative Commons Attribution (CC BY) license (https://creativecommons.org/licenses/by/4.0/).
Share and Cite
Liu, S.-H.; Chang, T.-Y.; Liu, S.-H.; Chiang, M.-T. Synergistic Effects of Chitosan and Fish Oil on Lipid Metabolism in Rats Fed a High-Fat and Low-Carbohydrate Diet. Nutrients 2024, 16, 4080. https://doi.org/10.3390/nu16234080
Liu S-H, Chang T-Y, Liu S-H, Chiang M-T. Synergistic Effects of Chitosan and Fish Oil on Lipid Metabolism in Rats Fed a High-Fat and Low-Carbohydrate Diet. Nutrients. 2024; 16(23):4080. https://doi.org/10.3390/nu16234080
Chicago/Turabian StyleLiu, Shing-Hwa, Ting-Yu Chang, Shih-Hou Liu, and Meng-Tsan Chiang. 2024. "Synergistic Effects of Chitosan and Fish Oil on Lipid Metabolism in Rats Fed a High-Fat and Low-Carbohydrate Diet" Nutrients 16, no. 23: 4080. https://doi.org/10.3390/nu16234080
APA StyleLiu, S.-H., Chang, T.-Y., Liu, S.-H., & Chiang, M.-T. (2024). Synergistic Effects of Chitosan and Fish Oil on Lipid Metabolism in Rats Fed a High-Fat and Low-Carbohydrate Diet. Nutrients, 16(23), 4080. https://doi.org/10.3390/nu16234080

