Effects of Forming Lactoferrin–Milk Protein Complexes on Lactoferrin Functionality and Intestinal Development in Infancy
Abstract
1. Introduction
2. Materials and Methods
2.1. Preparation of Protein Blends
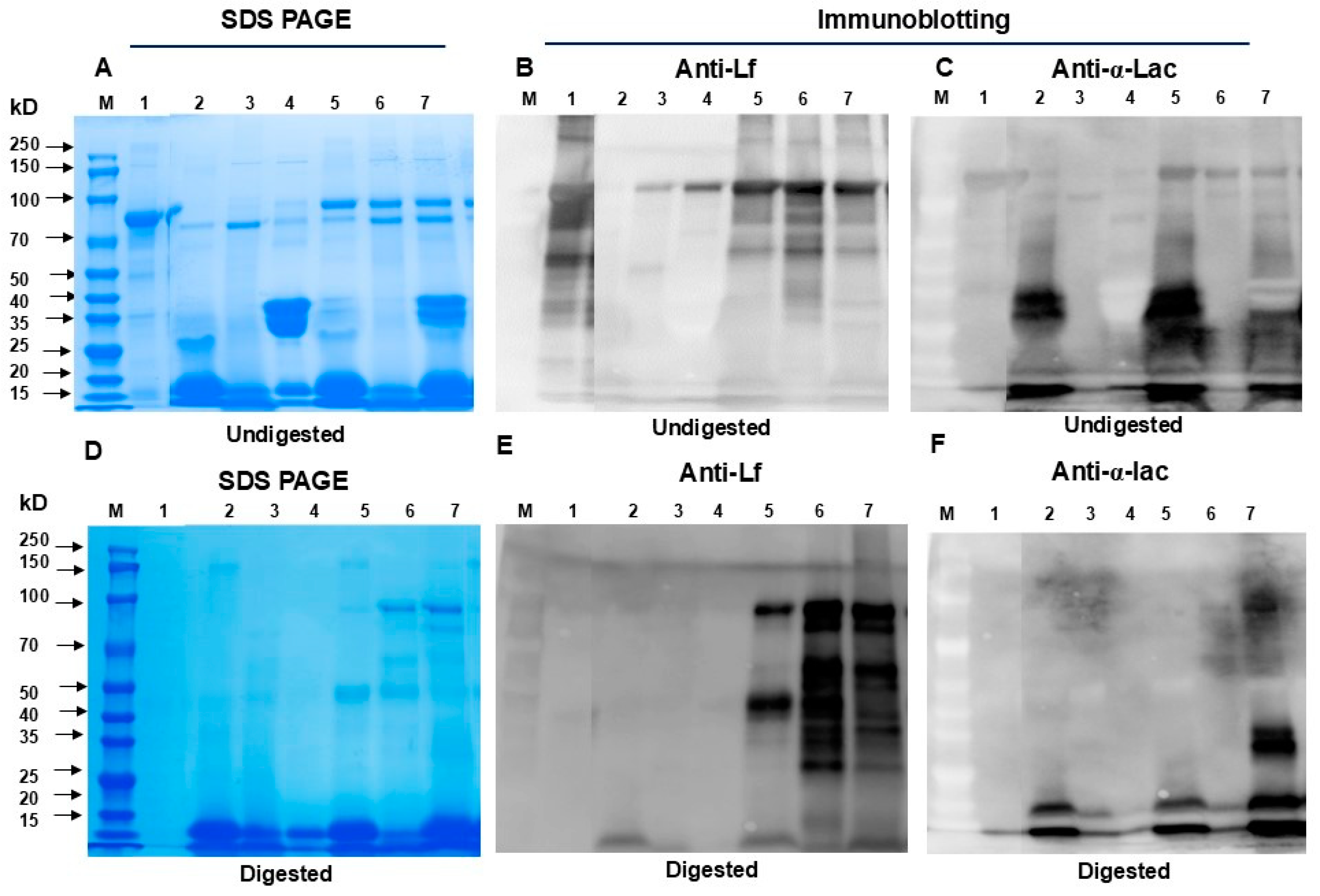
2.2. Blue Native Polyacrylamide Gel Electrophoresis (PAGE) and Immunoblotting
2.3. In Vitro Digestion
2.4. Cell Culture
2.5. Binding and Internalization of Lf in HIECs
2.6. Proliferation and Differentiation Assays
2.7. Transepithelial Electrical Resistance (TEER) Measurement
2.8. RNA Extraction and qRT-PCR
2.9. IL-18 Secretion
2.10. Effects on Transcription of the TGF-β1 Gene
2.11. Effects on Growth of Enteropathogenic Escherichia coli (EPEC)
2.12. Effects of Proteins and Lf–Protein Blends on the Inflammatory Response Induced by EPEC Infection: IL-1β, IL-6, and TNF-α
2.13. Statistical Analysis
3. Results
3.1. Endotoxin Levels of Proteins and Blends
3.2. In Vitro Digestion
3.3. Binding of Lf to the LfR and Internalization by Intestinal Epithelial Cells
3.4. Effects of Lf, α-Lac, WPH, MP, and Lf–Protein Blends on Proliferation and Differentiation of Intestinal Epithelial Cells
3.5. Effects of Proteins and Protein Blends on Intestinal Barrier Functions
3.6. Effects of Proteins and Protein Blends on Transcription of the TGF-β1 Gene
3.7. Effects of Proteins and Protein Blends on IL-18 Secretion by Caco-2 Cells
3.8. Effects of Proteins and Protein Blends on Growth of EPEC
3.9. Effects of Proteins and Lf–Protein Blends on Immune Responses to EPEC Infection
4. Discussion
5. Conclusions
Supplementary Materials
Author Contributions
Funding
Institutional Review Board Statement
Informed Consent Statement
Data Availability Statement
Conflicts of Interest
References
- Lönnerdal, B.; Iyer, S. Lactoferrin: Molecular Structure and Biological Function. Annu. Rev. Nutr. 1995, 15, 93–110. [Google Scholar] [CrossRef] [PubMed]
- Rai, D.; Adelman, A.S.; Zhuang, W.; Rai, G.P.; Boettcher, J.; Lönnerdal, B. Longitudinal Changes in Lactoferrin Concentrations in Human Milk: A Global Systematic Review. Criv. Rev. Food Sci. Nutr. 2014, 54, 1539–1547. [Google Scholar] [CrossRef] [PubMed]
- Sánchez, L.; Aranda, P.; Pérez, M.D.; Calvo, M. Concentration of Lactoferrin and Transferrin throughout Lactation in Cow’s Colostrum and Milk. Biol. Chem. Hoppe Seyler 1988, 369, 1005–1008. [Google Scholar] [CrossRef] [PubMed]
- Lönnerdal, B. Nutritional Roles of Lactoferrin. Curr. Opin. Clin. Nutr. Metab Care 2009, 12, 293–297. [Google Scholar] [CrossRef]
- Suzuki, Y.A.; Lopez, V.; Lönnerdal, B. Mammalian Lactoferrin Receptors: Structure and Function. Cell. Mol. Life Sci. 2005, 62, 2560–2575. [Google Scholar] [CrossRef]
- Liao, Y.; Jiang, R.; Lönnerdal, B. Biochemical and Molecular Impacts of Lactoferrin on Small Intestinal Growth and Development during Early Life. Biochem. Cell Biol. 2012, 90, 476–484. [Google Scholar] [CrossRef]
- Layman, D.K.; Lönnerdal, B.; Fernstrom, J.D. Applications for α-Lactalbumin in Human Nutrition. Nutr. Rev. 2018, 76, 444–460. [Google Scholar] [CrossRef]
- Ma, J.; Li, Q.; Li, Y.; Wen, X.; Li, Z.; Zhang, Z.; Zhang, J.; Yu, Z.; Li, N. Expression of Recombinant Human α-Lactalbumin in Milk of Transgenic Cloned Pigs Is Sufficient to Enhance Intestinal Growth and Weight Gain of Suckling Piglets. Gene 2016, 584, 7–16. [Google Scholar] [CrossRef]
- Corrochano, A.R.; Sariçay, Y.; Arranz, E.; Kelly, P.M.; Buckin, V.; Giblin, L. Comparison of Antioxidant Activities of Bovine Whey Proteins before and after Simulated Gastrointestinal Digestion. J. Dairy Sci. 2019, 102, 54–67. [Google Scholar] [CrossRef]
- Li, H.Y.; Li, P.; Yang, H.G.; Wang, Y.Z.; Huang, G.X.; Wang, J.Q.; Zheng, N. Investigation and Comparison of the Anti-Tumor Activities of Lactoferrin, α-Lactalbumin, and β-Lactoglobulin in A549, HT29, HepG2, and MDA231-LM2 Tumor Models. J. Dairy Sci. 2019, 102, 9586–9597. [Google Scholar] [CrossRef]
- Pei, W.; Cai, L.; Gong, X.; Zhang, L.; Zhang, J.; Zhu, P.; Jiang, H.; Wang, C.; Wang, S.; Chen, J. Drug-Loaded Oleic-Acid Grafted Mesoporous Silica Nanoparticles Conjugated with α-Lactalbumin Resembling BAMLET-like Anticancer Agent with Improved Biocompatibility and Therapeutic Efficacy. Mater. Today Bio 2022, 15, 100272. [Google Scholar] [CrossRef] [PubMed]
- Lai, X.; Yu, Y.; Xian, W.; Ye, F.; Ju, X.; Luo, Y.; Dong, H.; Zhou, Y.-H.; Tan, W.; Zhuang, H.; et al. Identified Human Breast Milk Compositions Effectively Inhibit SARS-CoV-2 and Variants Infection and Replication. iScience 2022, 25, 104136. [Google Scholar] [CrossRef] [PubMed]
- Pellegrini, A.; Thomas, U.; Bramaz, N.; Hunziker, P.; von Fellenberg, R. Isolation and Identification of Three Bactericidal Domains in the Bovine Alpha-Lactalbumin Molecule. Biochim. Biophys. Acta 1999, 1426, 439–448. [Google Scholar] [CrossRef] [PubMed]
- Yamaguchi, M.; Uchida, M. Alpha-Lactalbumin Suppresses Interleukin-6 Release after Intestinal Ischemia/Reperfusion via Nitric Oxide in Rats. Inflammopharmacology 2007, 15, 43–47. [Google Scholar] [CrossRef] [PubMed]
- Yamaguchi, M.; Takai, S.; Hosono, A.; Seki, T. Bovine Milk-Derived α-Lactalbumin Inhibits Colon Inflammation and Carcinogenesis in Azoxymethane and Dextran Sodium Sulfate-Treated Mice. Biosci. Biotechnol. Biochem. 2014, 78, 672–679. [Google Scholar] [CrossRef]
- Yang, W.; Qu, X.; Deng, C.; Dai, L.; Zhou, H.; Xu, G.; Li, B.; Yulia, N.; Liu, C. Heat Sensitive Protein-Heat Stable Protein Interaction: Synergistic Enhancement in the Thermal Co-Aggregation and Gelation of Lactoferrin and α-Lactalbumin. Food Res. Int. 2021, 142, 110179. [Google Scholar] [CrossRef]
- Yamniuk, A.P.; Burling, H.; Vogel, H.J. Thermodynamic Characterization of the Interactions between the Immunoregulatory Proteins Osteopontin and Lactoferrin. Mol. Immunol. 2009, 46, 2395–2402. [Google Scholar] [CrossRef]
- Yan, Y.; Kizilay, E.; Seeman, D.; Flanagan, S.; Dubin, P.L.; Bovetto, L.; Donato, L.; Schmitt, C. Heteroprotein Complex Coacervation: Bovine β-Lactoglobulin and Lactoferrin. Langmuir 2013, 29, 15614–15623. [Google Scholar] [CrossRef]
- Flanagan, S.E.; Malanowski, A.J.; Kizilay, E.; Seeman, D.; Dubin, P.L.; Donato-Capel, L.; Bovetto, L.; Schmitt, C. Complex Equilibria, Speciation, and Heteroprotein Coacervation of Lactoferrin and β-Lactoglobulin. Langmuir 2015, 31, 1776–1783. [Google Scholar] [CrossRef]
- Liu, L.; Jiang, R.; Liu, J.; Lönnerdal, B. The Bovine Lactoferrin-Osteopontin Complex Increases Proliferation of Human Intestinal Epithelial Cells by Activating the PI3K/Akt Signaling Pathway. Food Chem. 2020, 310, 125919. [Google Scholar] [CrossRef]
- D’Auria, E.; Salvatore, S.; Acunzo, M.; Peroni, D.; Pendezza, E.; Di Profio, E.; Fiore, G.; Zuccotti, G.V.; Verduci, E. Hydrolysed Formulas in the Management of Cow’s Milk Allergy: New Insights, Pitfalls and Tips. Nutrients 2021, 13, 2762. [Google Scholar] [CrossRef] [PubMed]
- Perreault, N.; Beaulieu, J.F. Use of the Dissociating Enzyme Thermolysin to Generate Viable Human Normal Intestinal Epithelial Cell Cultures. Exp. Cell Res. 1996, 224, 354–364. [Google Scholar] [CrossRef] [PubMed]
- Delie, F.; Rubas, W. A Human Colonic Cell Line Sharing Similarities with Enterocytes as a Model to Examine Oral Absorption: Advantages and Limitations of the Caco-2 Model. Criv. Rev. Ther. Drug Carr. Syst. 1997, 14, 221–286. [Google Scholar] [CrossRef]
- Lönnerdal, B.; Jiang, R.; Du, X. Bovine Lactoferrin Can Be Taken up by the Human Intestinal Lactoferrin Receptor and Exert Bioactivities. J. Pediatr. Gastroenterol. Nutr. 2011, 53, 606–614. [Google Scholar] [CrossRef] [PubMed]
- Stauffer, W.; Sheng, H.; Lim, H.N. EzColocalization: An ImageJ Plugin for Visualizing and Measuring Colocalization in Cells and Organisms. Sci. Rep. 2018, 8, 15764. [Google Scholar] [CrossRef]
- Jiang, R.; Lopez, V.; Kelleher, S.L.; Lönnerdal, B. Apo- and Holo-Lactoferrin Are Both Internalized by Lactoferrin Receptor via Clathrin-Mediated Endocytosis but Differentially Affect ERK-Signaling and Cell Proliferation in Caco-2 Cells. J. Cell. Physiol. 2011, 226, 3022–3031. [Google Scholar] [CrossRef]
- Eriksen, K.G.; Christensen, S.H.; Lind, M.V.; Michaelsen, K.F. Human Milk Composition and Infant Growth. Curr. Opin. Clin. Nutr. Metab. Care 2018, 21, 200–206. [Google Scholar] [CrossRef]
- Buccigrossi, V.; de Marco, G.; Bruzzese, E.; Ombrato, L.; Bracale, I.; Polito, G.; Guarino, A. Lactoferrin Induces Concentration-Dependent Functional Modulation of Intestinal Proliferation and Differentiation. Pediatr. Res. 2007, 61, 410–414. [Google Scholar] [CrossRef]
- Hinnebusch, B.F.; Siddique, A.; Henderson, J.W.; Malo, M.S.; Zhang, W.; Athaide, C.P.; Abedrapo, M.A.; Chen, X.; Yang, V.W.; Hodin, R.A. Enterocyte Differentiation Marker Intestinal Alkaline Phosphatase Is a Target Gene of the Gut-Enriched Kruppel-like Factor. Am. J. Physiol. Gastrointesv. Liver Physiol. 2004, 286, G23–G30. [Google Scholar] [CrossRef]
- Landy, E.; Carol, H.; Ring, A.; Canna, S. Biological and Clinical Roles of IL-18 in Inflammatory Diseases. Nav. Rev. Rheumatol. 2024, 20, 33–47. [Google Scholar] [CrossRef]
- Kuhara, T.; Iigo, M.; Itoh, T.; Ushida, Y.; Sekine, K.; Terada, N.; Okamura, H.; Tsuda, H. Orally Administered Lactoferrin Exerts an Antimetastatic Effect and Enhances Production of IL-18 in the Intestinal Epithelium. Nutr. Cancer 2000, 38, 192–199. [Google Scholar] [CrossRef] [PubMed]
- Jiang, R.; Liu, L.; Du, X.; Lönnerdal, B. Evaluation of Bioactivities of the Bovine Milk Lactoferrin-Osteopontin Complex in Infant Formulas. J. Agric. Food Chem. 2020, 68, 6104–6111. [Google Scholar] [CrossRef] [PubMed]
- Giblin, L.; Yalçın, A.S.; Biçim, G.; Krämer, A.C.; Chen, Z.; Callanan, M.J.; Arranz, E.; Davies, M.J. Whey Proteins: Targets of Oxidation, or Mediators of Redox Protection. Free Radic. Res. 2019, 53, 1136–1152. [Google Scholar] [CrossRef] [PubMed]
- Lin, T.; Meletharayil, G.; Kapoor, R.; Abbaspourrad, A. Bioactives in Bovine Milk: Chemistry, Technology, and Applications. Nutr. Rev. 2021, 79, 48–69. [Google Scholar] [CrossRef]
- Ng, T.B.; Cheung, R.C.F.; Wong, J.H.; Wang, Y.; Ip, D.T.M.; Wan, D.C.C.; Xia, J. Antiviral Activities of Whey Proteins. Appl. Microbiol. Biotechnol. 2015, 99, 6997–7008. [Google Scholar] [CrossRef]
- Abrahamse, E.; Thomassen, G.G.M.; Renes, I.B.; Wierenga, P.A.; Hettinga, K.A. Gastrointestinal Protein Hydrolysis Kinetics: Opportunities for Further Infant Formula Improvement. Nutrients 2022, 14, 1512. [Google Scholar] [CrossRef]
- Lindberg, T.; Engberg, S.; Sjöberg, L.B.; Lönnerdal, B. In Vitro Digestion of Proteins in Human Milk Fortifiers and in Preterm Formula. J. Pediatr. Gastroenterol. Nutr. 1998, 27, 30–36. [Google Scholar] [CrossRef]
- Kobayashi, C.; Inagaki, M.; Nohara, M.; Fukuoka, M.; Xijier; Yabe, T.; Kanamarua, Y. The Effects of Denatured Major Bovine Whey Proteins on the Digestive Tract, Assessed by Caco-2 Cell Differentiation and on Viability of Suckling Mice. J. Dairy Res. 2021, 88, 221–225. [Google Scholar] [CrossRef]










| Lf | α-Lac | WPH | MP | |
|---|---|---|---|---|
| Blend 1 | 1 | 19.2 | ||
| Blend 2 | 1 | 30.16 | ||
| Blend 3 | 1 | 19.2 | 30.16 | 29.04 |
| Primer Sequence | 5′-3′ | ||
|---|---|---|---|
| Gene | Forward | Reverse | Accession Number |
| Claudin-1 | CTGGGAGGTGCCCTACTTTG | GGCCTTGGTGTTGGGTAAGA | NM_021101.5 |
| Occludin | AAGGTTCCATCCGAAGCAGG | GATGGGGGTCCCTGACCA | U53823.1 |
| ZO-1 | CGGGAAGTTACGTGGCGAAG | GTCAGCAGCACCCGTGG | NM_001330239.4 |
| TGF β1 | TTGACTTCCGCAAGGACCTC | GAAGTTGGCATGGTAGCCCT | NM_000660.7 |
| IL-1β | AACCTCTTCGAGGCACAAGG | GCTGAAGAGAATCCCAGAGCA | NM_000576.3 |
| IL-6 | TCTGCGCAGCTTTAAGGAGT | GTGCCCATGCTACATTTGCC | NM_001371096.1 |
| TNF α | TCCCCAGGGACCTCTCTCTA | CTTGTCACTCGGGGTTCGAG | NM_000594.4 |
| GAPDH | CCACATCGCTCAGAACACCT | GCGCCCAATACGACCAAATC | M17851.1 |
Disclaimer/Publisher’s Note: The statements, opinions and data contained in all publications are solely those of the individual author(s) and contributor(s) and not of MDPI and/or the editor(s). MDPI and/or the editor(s) disclaim responsibility for any injury to people or property resulting from any ideas, methods, instructions or products referred to in the content. |
© 2024 by the authors. Licensee MDPI, Basel, Switzerland. This article is an open access article distributed under the terms and conditions of the Creative Commons Attribution (CC BY) license (https://creativecommons.org/licenses/by/4.0/).
Share and Cite
Jiang, R.; Du, X.; Lönnerdal, B. Effects of Forming Lactoferrin–Milk Protein Complexes on Lactoferrin Functionality and Intestinal Development in Infancy. Nutrients 2024, 16, 4077. https://doi.org/10.3390/nu16234077
Jiang R, Du X, Lönnerdal B. Effects of Forming Lactoferrin–Milk Protein Complexes on Lactoferrin Functionality and Intestinal Development in Infancy. Nutrients. 2024; 16(23):4077. https://doi.org/10.3390/nu16234077
Chicago/Turabian StyleJiang, Rulan, Xiaogu Du, and Bo Lönnerdal. 2024. "Effects of Forming Lactoferrin–Milk Protein Complexes on Lactoferrin Functionality and Intestinal Development in Infancy" Nutrients 16, no. 23: 4077. https://doi.org/10.3390/nu16234077
APA StyleJiang, R., Du, X., & Lönnerdal, B. (2024). Effects of Forming Lactoferrin–Milk Protein Complexes on Lactoferrin Functionality and Intestinal Development in Infancy. Nutrients, 16(23), 4077. https://doi.org/10.3390/nu16234077

