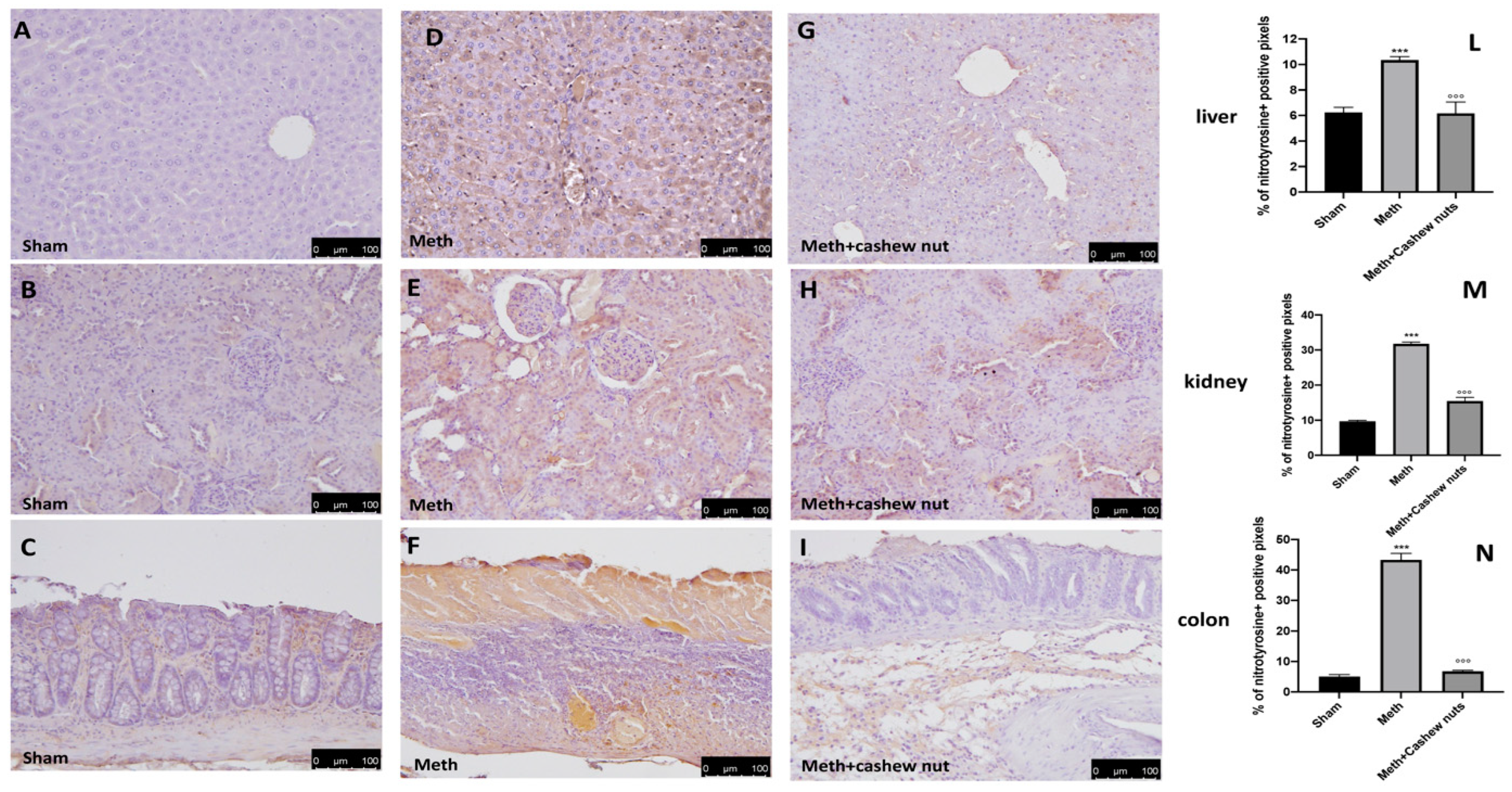
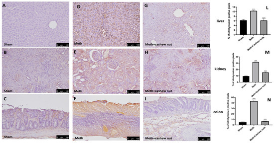
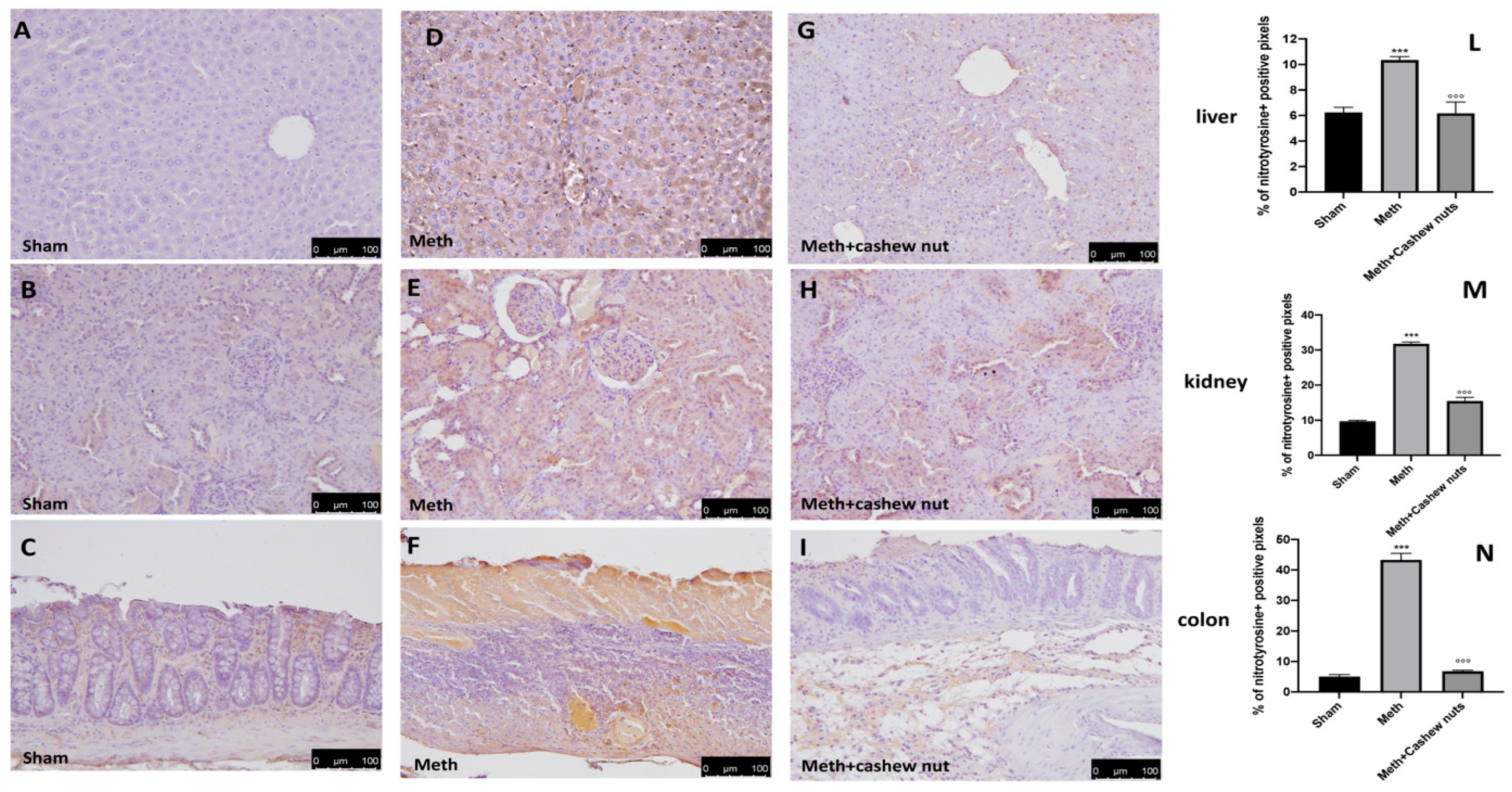
Correction: D’Amico et al. Consumption of Cashew (Anacardium occidentale L.) Nuts Counteracts Oxidative Stress and Tissue Inflammation in Mild Hyperhomocysteinemia in Rats. Nutrients 2022, 14, 1474

Reference
- D’Amico, R.; Cordaro, M.; Fusco, R.; Peritore, A.F.; Genovese, T.; Gugliandolo, E.; Crupi, R.; Mandalari, G.; Caccamo, D.; Cuzzocrea, S.; et al. Consumption of Cashew (Anacardium occidentale L.) Nuts Counteracts Oxidative Stress and Tissue Inflammation in Mild Hyperhomocysteinemia in Rats. Nutrients 2022, 14, 1474. [Google Scholar] [CrossRef] [PubMed]
Disclaimer/Publisher’s Note: The statements, opinions and data contained in all publications are solely those of the individual author(s) and contributor(s) and not of MDPI and/or the editor(s). MDPI and/or the editor(s) disclaim responsibility for any injury to people or property resulting from any ideas, methods, instructions or products referred to in the content. |
© 2023 by the authors. Licensee MDPI, Basel, Switzerland. This article is an open access article distributed under the terms and conditions of the Creative Commons Attribution (CC BY) license (https://creativecommons.org/licenses/by/4.0/).
Share and Cite
D’Amico, R.; Cordaro, M.; Fusco, R.; Peritore, A.F.; Genovese, T.; Gugliandolo, E.; Crupi, R.; Mandalari, G.; Caccamo, D.; Cuzzocrea, S.; et al. Correction: D’Amico et al. Consumption of Cashew (Anacardium occidentale L.) Nuts Counteracts Oxidative Stress and Tissue Inflammation in Mild Hyperhomocysteinemia in Rats. Nutrients 2022, 14, 1474. Nutrients 2024, 16, 133. https://doi.org/10.3390/nu16010133
D’Amico R, Cordaro M, Fusco R, Peritore AF, Genovese T, Gugliandolo E, Crupi R, Mandalari G, Caccamo D, Cuzzocrea S, et al. Correction: D’Amico et al. Consumption of Cashew (Anacardium occidentale L.) Nuts Counteracts Oxidative Stress and Tissue Inflammation in Mild Hyperhomocysteinemia in Rats. Nutrients 2022, 14, 1474. Nutrients. 2024; 16(1):133. https://doi.org/10.3390/nu16010133
Chicago/Turabian StyleD’Amico, Ramona, Marika Cordaro, Roberta Fusco, Alessio Filippo Peritore, Tiziana Genovese, Enrico Gugliandolo, Rosalia Crupi, Giuseppina Mandalari, Daniela Caccamo, Salvatore Cuzzocrea, and et al. 2024. "Correction: D’Amico et al. Consumption of Cashew (Anacardium occidentale L.) Nuts Counteracts Oxidative Stress and Tissue Inflammation in Mild Hyperhomocysteinemia in Rats. Nutrients 2022, 14, 1474" Nutrients 16, no. 1: 133. https://doi.org/10.3390/nu16010133
APA StyleD’Amico, R., Cordaro, M., Fusco, R., Peritore, A. F., Genovese, T., Gugliandolo, E., Crupi, R., Mandalari, G., Caccamo, D., Cuzzocrea, S., Di Paola, R., Siracusa, R., & Impellizzeri, D. (2024). Correction: D’Amico et al. Consumption of Cashew (Anacardium occidentale L.) Nuts Counteracts Oxidative Stress and Tissue Inflammation in Mild Hyperhomocysteinemia in Rats. Nutrients 2022, 14, 1474. Nutrients, 16(1), 133. https://doi.org/10.3390/nu16010133

