Quercetin Inhibits Hephaestin Expression and Iron Transport in Intestinal Cells: Possible Role of PI3K Pathway
Abstract
1. Introduction
2. Materials and Methods
Methods
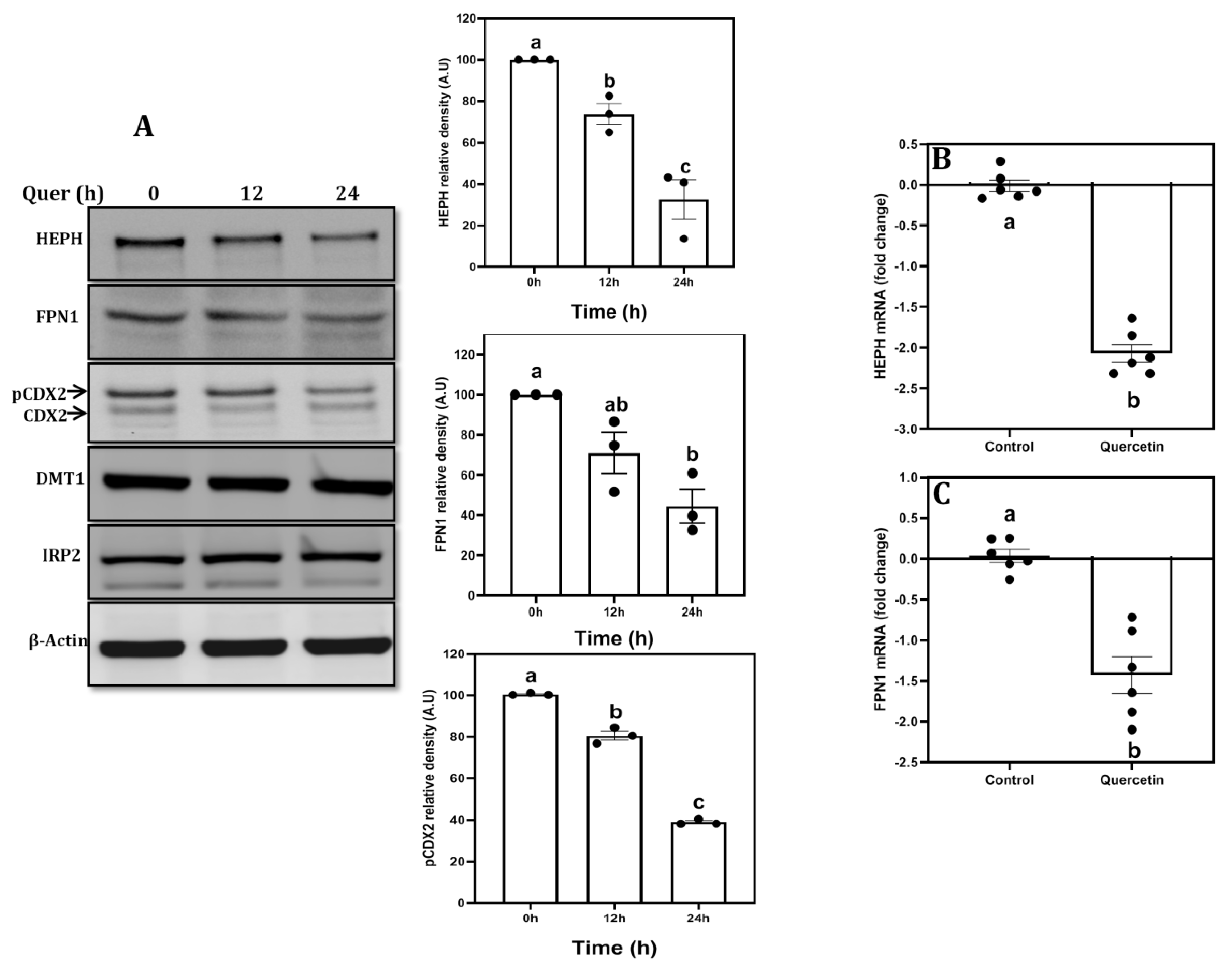
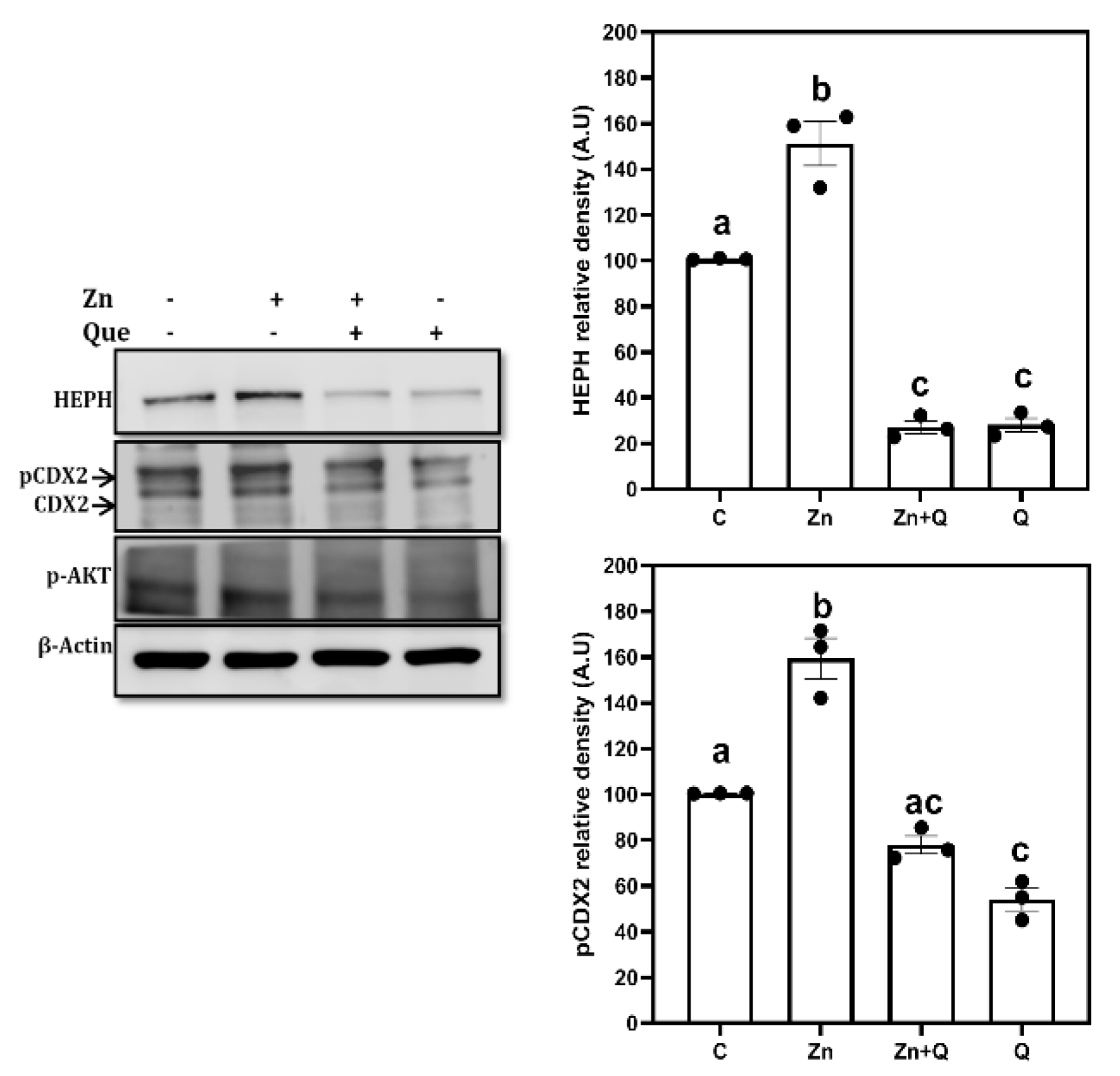
3. Results
4. Discussion
Supplementary Materials
Author Contributions
Funding
Institutional Review Board Statement
Informed Consent Statement
Data Availability Statement
Acknowledgments
Conflicts of Interest
References
- Ganz, T. Systemic Iron Homeostasis. Physiol. Rev. 2013, 93, 1721–1741. [Google Scholar] [CrossRef] [PubMed]
- Pantopoulos, K.; Porwal, S.K.; Tartakoff, A.; Devireddy, L. Mechanisms of Mammalian Iron Homeostasis. Biochemistry 2012, 51, 5705–5724. [Google Scholar] [CrossRef]
- Anderson, G.J.; Frazer, D.M. Current understanding of iron homeostasis. Am. J. Clin. Nutr. 2017, 106 (Suppl. 6), 1559S–1566S. [Google Scholar] [CrossRef] [PubMed]
- Miret, S.; Simpson, R.J.; McKie, A.T. Physiology and molecular biology of dietary iron absorption. Annu. Rev. Nutr. 2003, 23, 283–301. [Google Scholar] [CrossRef]
- Anderson, G.J.; Frazer, D.M.; McKie, A.T.; Vulpe, C.D.; Smith, A. Mechanisms of Haem and Non-Haem Iron Absorption: Lessons from Inherited Disorders of Iron Metabolism. Biometals 2005, 18, 339–348. [Google Scholar] [CrossRef] [PubMed]
- Wierzbicka, D.; Gromadzka, G. Ceruloplasmin, hephaestin and zyklopen: The three multicopper oxidases important for human iron metabolism. Adv. Hyg. Exp. Med. 2014, 68, 912–924. [Google Scholar] [CrossRef] [PubMed]
- Nemeth, E.; Ganz, T. Hepcidin-Ferroportin Interaction Controls Systemic Iron Homeostasis. Int. J. Mol. Sci. 2021, 22, 6493. [Google Scholar] [CrossRef]
- Nair, K.M.; Iyengar, V. Iron content, bioavailability & factors affecting iron status of Indians. Indian J. Med. Res. 2009, 130, 634–645. [Google Scholar]
- Hurrell, R.F.; Reddy, M.; Cook, J.D. Inhibition of non-haem iron absorption in man by polyphenolic-containing beverages. Br. J. Nutr. 1999, 81, 289–295. [Google Scholar] [CrossRef]
- Thankachan, P.; Walczyk, T.; Muthayya, S.; Kurpad, A.V.; Hurrell, R.F. Iron absorption in young Indian women: The interaction of iron status with the influence of tea and ascorbic acid. Am. J. Clin. Nutr. 2008, 87, 881–886. [Google Scholar] [CrossRef]
- Record, I.R.; McInerney, J.K.; Dreosti, I.E. Black tea, green tea, and tea polyphenols. Biol. Trace Element Res. 1996, 53, 27–43. [Google Scholar] [CrossRef] [PubMed]
- Xiao, L.; Luo, G.; Tang, Y.; Yao, P. Quercetin and iron metabolism: What we know and what we need to know. Food Chem. Toxicol. 2018, 114, 190–203. [Google Scholar] [CrossRef] [PubMed]
- Kim, E.-Y.; Ham, S.-K.; Shigenaga, M.K.; Han, O. Bioactive Dietary Polyphenolic Compounds Reduce Nonheme Iron Transport across Human Intestinal Cell Monolayers. J. Nutr. 2008, 138, 1647–1651. [Google Scholar] [CrossRef] [PubMed]
- Ma, Q.; Kim, E.-Y.; Han, O. Bioactive Dietary Polyphenols Decrease Heme Iron Absorption by Decreasing Basolateral Iron Release in Human Intestinal Caco-2 Cells. J. Nutr. 2010, 140, 1117–1121. [Google Scholar] [CrossRef]
- Lesjak, M.; Hoque, R.; Balesaria, S.; Skinner, V.; Debnam, E.S.; Srai, S.K.S.; Sharp, P.A. Quercetin Inhibits Intestinal Iron Absorption and Ferroportin Transporter Expression In Vivo and In Vitro. PLoS ONE 2014, 9, e102900. [Google Scholar] [CrossRef]
- Lesjak, M.; Balesaria, S.; Skinner, V.; Debnam, E.S.; Srai, S.K.S. Quercetin inhibits intestinal non-haem iron absorption by regulating iron metabolism genes in the tissues. Eur. J. Nutr. 2018, 58, 743–753. [Google Scholar] [CrossRef]
- Kondaiah, P.; Aslam, M.F.; Mashurabad, P.C.; Sharp, P.A.; Pullakhandam, R. Zinc induces iron uptake and DMT1 expression in Caco-2 cells via a PI3K/IRP2 dependent mechanism. Biochem. J. 2019, 476, 1573–1583. [Google Scholar] [CrossRef]
- Kondaiah, P.; Sharp, P.A.; Pullakhandam, R. Zinc induces iron egress from intestinal Caco-2 cells via induction of Hephaestin: A role for PI3K in intestinal iron absorption. Biochem. Biophys. Res. Commun. 2020, 523, 987–992. [Google Scholar] [CrossRef]
- Ramavath, H.N.; Mashurabad, P.C.; Yaduvanshi, P.S.; Veleri, S.; Sharp, P.A.; Pullakhandam, R. Zinc induces hephaestin expression via a PI3K-CDX2 dependent mechanism to regulate iron transport in intestinal Caco-2 cells. Biochem. Biophys. Res. Commun. 2022, 626, 1–7. [Google Scholar] [CrossRef]
- Gulati, N.; Laudet, B.; Zohrabian, V.M.; Murali, R.; Jhanwar-Uniyal, M. The antiproliferative effect of Quercetin in cancer cells is mediated via inhibition of the PI3K-Akt/PKB pathway. Anticancer. Res. 2006, 26, 1177–1181. [Google Scholar]
- Granato, M.; Rizzello, C.; Gilardini Montani, M.S.; Cuomo, L.; Vitillo, M.; Santarelli, R.; Gonnella, R.; D'Orazi, G.; Faggioni, A.; Cirone, M. Quercetin induces apoptosis and autophagy in primary effusion lymphoma cells by inhibiting PI3K/AKT/mTOR and STAT3 signaling pathways. J. Nutr. Biochem. 2017, 41, 124–136. [Google Scholar] [CrossRef] [PubMed]
- Kondaiah, P.; Palika, R.; Mashurabad, P.; Yaduvanshi, P.S.; Sharp, P.; Pullakhandam, R. Effect of zinc depletion/repletion on intestinal iron absorption and iron status in rats. J. Nutr. Biochem. 2021, 97, 108800. [Google Scholar] [CrossRef] [PubMed]
- Kim, E.-Y.; Pai, T.-K.; Han, O. Effect of Bioactive Dietary Polyphenols on Zinc Transport across the Intestinal Caco-2 Cell Monolayers. J. Agric. Food Chem. 2011, 59, 3606–3612. [Google Scholar] [CrossRef] [PubMed]
- Hinoi, T.; Gesina, G.; Akyol, A.; Kuick, R.; Hanash, S.; Giordano, T.J.; Gruber, S.B.; Fearon, E.R. CDX2-regulated expression of iron transport protein hephaestin in intestinal and colonic epithelium. Gastroenterology 2005, 128, 946–961. [Google Scholar] [CrossRef] [PubMed]
- Boyd, M.; Hansen, M.; Jensen, T.G.K.; Perearnau, A.; Olsen, A.K.; Bram, L.L.; Bak, M.; Tommerup, N.; Olsen, J.; Troelsen, J.T. Genome-wide Analysis of CDX2 Binding in Intestinal Epithelial Cells (Caco-2). J. Biol. Chem. 2010, 285, 25115–25125. [Google Scholar] [CrossRef]
- Boulanger, J.; Vézina, A.; Mongrain, S.; Boudreau, F.; Perreault, N.; Auclair, B.A.; Lainé, J.; Asselin, C.; Rivard, N. Cdk2-dependent Phosphorylation of Homeobox Transcription Factor CDX2 Regulates Its Nuclear Translocation and Proteasome-mediated Degradation in Human Intestinal Epithelial Cells. J. Biol. Chem. 2005, 280, 18095–18107. [Google Scholar] [CrossRef]
- Xu, T.; Zhang, X.; Liu, Y.; Wang, H.; Luo, J.; Luo, Y.; An, P. Effects of dietary polyphenol supplementation on iron status and erythropoiesis: A systematic review and meta-analysis of randomized controlled trials. Am. J. Clin. Nutr. 2021, 114, 780–793. [Google Scholar] [CrossRef]
- Kim, E.-Y.; Ham, S.-K.; Bradke, D.; Ma, Q.; Han, O. Ascorbic Acid Offsets the Inhibitory Effect of Bioactive Dietary Polyphenolic Compounds on Transepithelial Iron Transport in Caco-2 Intestinal Cells1. J. Nutr. 2011, 141, 828–834. [Google Scholar] [CrossRef]



Disclaimer/Publisher’s Note: The statements, opinions and data contained in all publications are solely those of the individual author(s) and contributor(s) and not of MDPI and/or the editor(s). MDPI and/or the editor(s) disclaim responsibility for any injury to people or property resulting from any ideas, methods, instructions or products referred to in the content. |
© 2023 by the authors. Licensee MDPI, Basel, Switzerland. This article is an open access article distributed under the terms and conditions of the Creative Commons Attribution (CC BY) license (https://creativecommons.org/licenses/by/4.0/).
Share and Cite
Ramavath, H.N.; Konda, V.; Pullakhandam, R. Quercetin Inhibits Hephaestin Expression and Iron Transport in Intestinal Cells: Possible Role of PI3K Pathway. Nutrients 2023, 15, 1205. https://doi.org/10.3390/nu15051205
Ramavath HN, Konda V, Pullakhandam R. Quercetin Inhibits Hephaestin Expression and Iron Transport in Intestinal Cells: Possible Role of PI3K Pathway. Nutrients. 2023; 15(5):1205. https://doi.org/10.3390/nu15051205
Chicago/Turabian StyleRamavath, Hanuma Naik, Venu Konda, and Raghu Pullakhandam. 2023. "Quercetin Inhibits Hephaestin Expression and Iron Transport in Intestinal Cells: Possible Role of PI3K Pathway" Nutrients 15, no. 5: 1205. https://doi.org/10.3390/nu15051205
APA StyleRamavath, H. N., Konda, V., & Pullakhandam, R. (2023). Quercetin Inhibits Hephaestin Expression and Iron Transport in Intestinal Cells: Possible Role of PI3K Pathway. Nutrients, 15(5), 1205. https://doi.org/10.3390/nu15051205
