Antioxidant Activity, Phenolic Profile, and Nephroprotective Potential of Anastatica hierochuntica Ethanolic and Aqueous Extracts against CCl4-Induced Nephrotoxicity in Rats
Abstract
:1. Introduction
2. Materials and Methods
2.1. Sample Preparation
2.2. Preparation of Ethanolic and Aqueous Extracts
2.3. Total Phenolic Content (TPC)
2.4. Total Carotenoids (TC), Total Flavonoids (TF), and Total Flavonols (TFL)
2.5. Antioxidant Capacity Determination
2.6. Polyphenolic Compound Fractionation of A. hierochuntica Aqueous and Ethanolic Extracts
2.7. Experimental Design
2.7.1. Kidney Biochemical Analysis
2.7.2. Estimation of Renal Antioxidant Activity
2.7.3. Nephroprotection Percentage
2.7.4. Histopathological Studies
2.8. Statistical Analysis
3. Results
3.1. Phytochemicals and Antioxidant Capacity of A. hierochuntica
3.2. Quantification of A. hierochuntica Phenolic Compounds
3.3. Serum Creatinine, Urea, K, Total Protein, and Albumin Levels
3.4. Renal Antioxidant Biomarkers
3.5. Nephroprotection Percentage
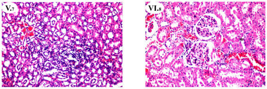
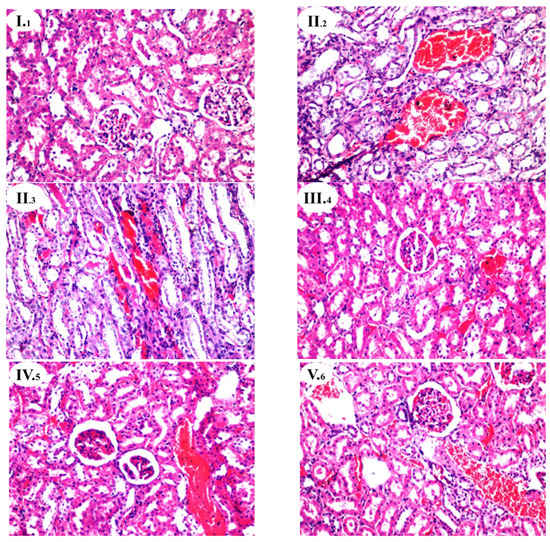
3.6. Effects of A. hierochuntica Extracts on Renal Histoarchitecture
4. Discussion
5. Conclusions
Author Contributions
Funding
Institutional Review Board Statement
Informed Consent Statement
Data Availability Statement
Conflicts of Interest
Abbreviations
References
- Statistics, K.D. Chronic Kidney Disease in the United States. 2021. Available online: https://www.cdc.gov/kidneydisease/pdf/Chronic-Kidney-Disease-in-the-US-2021-h.pdf (accessed on 20 July 2021).
- Ku, E.; Glidden, D.V.; Johansen, K.L.; Sarnak, M.; Tighiouart, H.; Grimes, B.; Hsu, C.Y. Association between strict blood pressure control during chronic kidney disease and lower mortality after onset of end-stage renal disease. Kidney Int. 2015, 87, 1055–1060. [Google Scholar] [CrossRef] [PubMed] [Green Version]
- Tumlin, J.A.; Madaio, M.P.; Hennigar, R. Idiopathic IgA nephropathy: Pathogenesis, histopathology, and therapeutic options. Clin. J. Am. Soc. Nephrol. 2007, 2, 1054–1061. [Google Scholar] [CrossRef] [PubMed] [Green Version]
- Olah, G.; Reddy, V.P.; Prakash, G.S.; Reactions, F.C. Kirk-Othmer encyclopedia of chemical technology. Contact Lenses 1978, 720–742. [Google Scholar]
- Ozturk, F.; Ucar, M.; Ozturk, I.C.; Vardi, N.; Batcioglu, K. Carbon tetrachloride-induced nephrotoxicity and protective effect of betaine in Sprague-Dawley rats. Urology 2003, 62, 353–356. [Google Scholar] [CrossRef]
- Ogeturk, M.; Kus, I.; Colakoglu, N.; Zararsiz, I.; Ilhan, N.; Sarsilmaz, M. Caffeic acid phenethyl ester protects kidneys against carbon tetrachloride toxicity in rats. J. Ethnopharmacol. 2005, 97, 273–280. [Google Scholar] [CrossRef]
- Slater, T.F. Free Radical Mechanisms in Tissue Injury. In Cell Function and Disease; Cañedo, L.E., Todd, L.E., Packer, L., Jaz, J., Eds.; Springer: Boston, MA, USA, 1988; pp. 209–218. [Google Scholar] [CrossRef]
- Khan, M.R.; Rizvi, W.; Khan, G.N.; Khan, R.A.; Shaheen, S. Carbon tetrachloride-induced nephrotoxicity in rats: Protective role of Digera muricata. J. Ethnopharmacol. 2009, 122, 91–99. [Google Scholar] [CrossRef]
- Afsar, T.; Khan, M.R.; Razak, S.; Ullah, S.; Mirza, B. Antipyretic, anti-inflammatory and analgesic activity of Acacia hydaspica R. Parker and its phytochemical analysis. BMC Complement. Altern. Med. 2015, 15, 1–12. [Google Scholar] [CrossRef] [Green Version]
- Al-Qabba, M.M.; El-Mowafy, M.A.; Althwab, S.A.; Alfheeaid, H.A.; Aljutaily, T.; Barakat, H. Phenolic profile, antioxidant activity, and ameliorating efficacy of Chenopodium quinoa sprouts against CCl4-induced oxidative stress in rats. Nutrients 2020, 12, 2904. [Google Scholar] [CrossRef]
- Al Zhrani, M.M.; Althwab, S.A.; Aljutaily, T.; Alfheeaid, H.A.; Ashoush, I.S.; Barakat, H. Protective effect of moringa-based beverages against hyperlipidemia and hyperglycemia in type 2 diabetes-induced rats. Food Res. 2021, 5, 279–289. [Google Scholar] [CrossRef]
- Khalifa, I.; Nawaz, A.; Sobhy, R.; Althwab, S.A.; Barakat, H. Polyacylated anthocyanins constructively network with catalytic dyad residues of 3CLpro of 2019-nCoV than monomeric anthocyanins: A structural-relationship activity study with 10 anthocyanins using in-silico approaches. J. Mol. Graph. Model. 2020, 100, 107690. [Google Scholar] [CrossRef]
- Yusof, J.; Mahdy, Z.A.; Noor, R.M. Use of complementary and alternative medicine in pregnancy and its impact on obstetric outcome. Complement. Ther. Clin. Pract. 2016, 25, 155–163. [Google Scholar] [CrossRef]
- Salah, S.H.; Abdou, H.S.; Abd El-Azeem, A.; Abdel-Rahim, E. The antioxidative effects of some medicinal plants as hypoglycemic agents on chromosomal aberration and abnormal nucleic acids metabolism produced by diabetes stress in male adult albino rats. J. Diabetes Mellit. 2011, 1, 6–14. [Google Scholar] [CrossRef] [Green Version]
- Daur, I. Chemical properties of the medicinal herb Kaff Maryam (Anastatica hierochuntica L.) and its relation to folk medicine use. Afr. J. Microbiol. Res. 2012, 6, 5048–5051. [Google Scholar]
- Shah, A.H.; Bhandari, M.; Al-Harbi, N.O.; Al-Ashban, R.M. Kaff-E-Maryam (Anastatica Hierochuntica L.): Evaluation of gastro-protective activity and toxicity in different experimental models. Biol. Med. 2014, 6, 1–10. [Google Scholar]
- Kim Sooi, L.; Lean Keng, S. Herbal medicines: Malaysian women’s knowledge and practice. Evid-Based Complement. Alternat. Med. 2013, 2013, 438139. [Google Scholar] [CrossRef] [PubMed] [Green Version]
- Karadaş, C.; Kara, D. Chemometric approach to evaluate trace metal concentrations in some spices and herbs. Food Chem. 2012, 130, 196–202. [Google Scholar] [CrossRef]
- Yoshikawa, M.; Xu, F.; Morikawa, T.; Ninomiya, K.; Matsuda, H. Anastatins A and B, new skeletal flavonoids with hepatoprotective activities from the desert plant Anastatica hierochuntica. Bioorganic Med. Chem. Lett. 2003, 13, 1045–1049. [Google Scholar] [CrossRef]
- Padmanabhan, P.; Jangle, S. Hepatoprotective activity of herbal preparation (HP-4) against D-galactosamine induced hepatotoxicity in mice. Int. J. Pharm. Sci. Drug Res. 2014, 6, 31–37. [Google Scholar]
- Mohamed, A.A.; Khalil, A.A.; El-Beltagi, H.E. Antioxidant and antimicrobial properties of kaff maryam (Anastatica hierochuntica) and doum palm (Hyphaene thebaica). Grasas Y Aceites 2010, 61, 67–75. [Google Scholar] [CrossRef] [Green Version]
- Barakat, H.; Almundarij, T.I. Phenolic compounds and hepatoprotective potential of Anastatica hierochuntica ethanolic and aqueous extracts against CCl4-induced hepatotoxicity in rats. J. Tradit. Chin. Med. 2020, 40, 947–955. [Google Scholar]
- Asuzu, I.U. Pharmacological evaluation of the folklore use of Sphenostylis stenocarpa. J. Ethnopharmacol. 1986, 16, 263–267. [Google Scholar] [CrossRef]
- Bettaieb, I.; Bourgou, S.; Wannes, W.A.; Hamrouni, I.; Limam, F.; Marzouk, B. Essential oils, phenolics, and antioxidant activities of different parts of cumin (Cuminum cyminum L.). J. Agric. Food Chem. 2010, 58, 10410–10418. [Google Scholar] [CrossRef] [PubMed]
- Mohdaly, A.A.A.; Hassanien, M.F.R.; Mahmoud, A.; Sarhan, M.A.; Smetanska, I. Phenolics extracted from potato, sugar beet, and sesame processing by-products. Int. J. Food Prop. 2013, 16, 1148–1168. [Google Scholar] [CrossRef]
- Khalifa, I.; Barakat, H.; El-Mansy, H.A.; Soliman, S.A. Optimizing bioactive substances extraction procedures from guava, olive and potato processing wastes and evaluating their antioxidant capacity. J. Food Chem. Nanotechnol. 2016, 2, 170–177. [Google Scholar] [CrossRef]
- Lu, J.; Zhao, H.; Chen, J.; Fan, W.; Dong, J.; Kong, W.; Sun, J.; Cao, Y.; Cai, G. Evolution of phenolic compounds and antioxidant activity during malting. J. Agric. Food Chem. 2007, 55, 10994–11001. [Google Scholar] [CrossRef] [PubMed]
- Koleva, I.I.; Van Beek, T.A.; Linssen, J.P.; Groot, A.d.; Evstatieva, L.N. Screening of plant extracts for antioxidant activity: A comparative study on three testing methods. Phytochem. Anal. 2002, 13, 8–17. [Google Scholar] [CrossRef] [PubMed]
- Zhao, H.; Dong, J.; Lu, J.; Chen, J.; Li, Y.; Shan, L.; Lin, Y.; Fan, W.; Gu, G. Effects of extraction solvent mixtures on antioxidant activity evaluation and their extraction capacity and selectivity for free phenolic compounds in barley (Hordeum vulgare L.). J. Agric. Food Chem. 2006, 54, 7277–7286. [Google Scholar] [CrossRef]
- Goupy, P.; Hugues, M.; Boivin, P.; Amiot, M.J. Antioxidant composition and activity of barley (Hordeum vulgare) and malt extracts and of isolated phenolic compounds. J. Sci. Food Agric. 1999, 79, 1625–1634. [Google Scholar] [CrossRef]
- Asuku, O.; Atawodi, S.E.; Onyike, E. Antioxidant, hepatoprotective, and ameliorative effects of methanolic extract of leaves of Grewia mollis Juss. on carbon tetrachloride–treated albino rats. J. Med. Food 2012, 15, 83–88. [Google Scholar] [CrossRef] [PubMed]
- El-Desoky, G.; Abdelreheem, M.; Abdulaziz, A.-O.; ALOthman, Z.; Mahmoud, M.; Yusuf, K. Potential hepatoprotective effects of vitamin E and selenium on hepatotoxicity induced by malathion in rats. Afr. J. Pharm. Pharmacol. 2012, 6, 806–813. [Google Scholar] [CrossRef]
- Draper, H.H.; Hadley, M. Malondialdehyde determination as index of lipid peroxidation. Methods Enzymol. 1990, 186, 421–431. [Google Scholar]
- Giannopolitis, C.N.; Ries, S.K. Superoxide dismutases: I. Occurrence in higher plants. Plant Physiol. 1977, 59, 309–314. [Google Scholar] [CrossRef] [PubMed]
- Chanarin, I. Textbook of Laboratory Haematology: An Account of Laboratory Techniques; Churchill Livingstone: New York, NY, USA, 1989. [Google Scholar]
- Bradford, M.M. A rapid and sensitive method for the quantitation of microgram quantities of protein utilizing the principle of protein-dye binding. Anal. Biochem. 1976, 72, 248–254. [Google Scholar] [CrossRef]
- Wakchaure, D.; Jain, D.; Singhai, A.K.; Somani, R. Hepatoprotective activity of Symplocos racemosa bark on carbon tetrachloride-induced hepatic damage in rats. J. Ayurveda Integr. Med. 2011, 2, 137. [Google Scholar]
- Banchroft, J.D.; Stevans, A.; Turnes, D.R. Theory and Practice of Histological Techniques, 4th ed.; Livingstone: Edinburgh, UK; London, UK; Melbourne, Australia; New York, NY, USA; Tokyo, Japan, 1996. [Google Scholar]
- Steel, R.; Torrie, J.; Dickey, D. Principles and Procedures of Statistics: A Biometrical Approach; WCB/McGraw-Hill: Columbus, OH, USA, 1997. [Google Scholar]
- Md Zin, S.R.; Mohamed, Z.; Alshawsh, M.A.; Wong, W.F.; Kassim, N.M. Mutagenicity evaluation of Anastatica hierochuntica L. aqueous extract in vitro and in vivo. Exp. Biol. Med. 2018, 243, 375–385. [Google Scholar] [CrossRef] [PubMed]
- AlGamdi, N.; Mullen, W.; Crozier, A. Tea prepared from Anastatica hirerochuntica seeds contains a diversity of antioxidant flavonoids, chlorogenic acids and phenolic compounds. Phytochemistry 2011, 72, 248–254. [Google Scholar] [CrossRef] [PubMed]
- Zin, S.R.M.; Kassim, N.M.; Alshawsh, M.A.; Hashim, N.E.; Mohamed, Z. Biological activities of Anastatica hierochuntica L.: A systematic review. Biomed. Pharmacother. 2017, 91, 611–620. [Google Scholar] [CrossRef]
- Erkan, N.; Ayranci, G.; Ayranci, E. Antioxidant activities of rosemary (Rosmarinus officinalis L.) extract, blackseed (Nigella sativa L.) essential oil, carnosic acid, rosmarinic acid and sesamol. Food Chem. 2008, 110, 76–82. [Google Scholar] [CrossRef]
- Andjelković, M.; Van Camp, J.; De Meulenaer, B.; Depaemelaere, G.; Socaciu, C.; Verloo, M.; Verhe, R. Iron-chelation properties of phenolic acids bearing catechol and galloyl groups. Food Chem. 2006, 98, 23–31. [Google Scholar] [CrossRef]
- Shahidi, F.; Janitha, P.K.; Wanasundara, P.D. Phenolic antioxidants. Crit. Rev. Food Sci. Nutr. 1992, 32, 67–103. [Google Scholar] [CrossRef]
- Sawa, T.; Nakao, M.; Akaike, T.; Ono, K.; Maeda, H. Alkylperoxyl radical-scavenging activity of various flavonoids and other phenolic compounds: Implications for the anti-tumor-promoter effect of vegetables. J. Agric. Food Chem. 1999, 47, 397–402. [Google Scholar] [CrossRef]
- Valko, M.; Rhodes, C.; Moncol, J.; Izakovic, M.; Mazur, M. Free radicals, metals and antioxidants in oxidative stress-induced cancer. Chem.-Biol. Interact. 2006, 160, 1–40. [Google Scholar] [CrossRef]
- Ogeturk, M.; Kus, I.; Kavakli, A.; Oner, J.; Kukner, A.; Sarsilmaz, M. Reduction of carbon tetrachloride-induced nephropathy by melatonin administration. Cell Biochem. Funct. Cell. Biochem. its Modul. by Act. Agents or Dis. 2005, 23, 85–92. [Google Scholar] [CrossRef] [PubMed]
- Safhi, M.M. Nephroprotective effect of zingerone against CCl4-induced renal toxicity in swiss albino mice: Molecular mechanism. Oxid. Med. Cell Longev. 2018, 2018, 2474831. [Google Scholar] [CrossRef] [Green Version]
- Hamed, M.A.; Ali, S.A.; Saba El-Rigal, N. Therapeutic potential of ginger against renal injury induced by carbon tetrachloride in rats. Sci. World J. 2012, 2012, 840421. [Google Scholar] [CrossRef] [PubMed] [Green Version]
- Sanzgiri, U.; Bruckner, J.J.F.; Toxicology, A. Effect of Emulphor, an emulsifier, on the pharmacokinetics and hepatotoxicity of oral carbon tetrachloride in the rat. Fundam. Appl. Nematol. 1997, 36, 54–61. [Google Scholar] [CrossRef]
- Ali, S.A.E.-m.; Abdelaziz, D.H.A. The protective effect of date seeds on nephrotoxicity induced by carbon tetrachloride in rats. Int. J. Pharm. Sci. Rev. Res. 2014, 26, 62–68. [Google Scholar]
- Hismiogullari, A.A.; Hismiogullari, S.E.; Karaca, O.; Sunay, F.B.; Paksoy, S.; Can, M.; Kus, I.; Seyrek, K.; Yavuz, O.J.P.R. The protective effect of curcumin administration on carbon tetrachloride CCl4-induced nephrotoxicity in rats. Pharmacol. Rep. 2015, 67, 410–416. [Google Scholar] [CrossRef] [PubMed]
- Soong, Y.-Y.; Barlow, P.J. Antioxidant activity and phenolic content of selected fruit seeds. Food Chem. 2004, 88, 411–417. [Google Scholar] [CrossRef]
- El-Demerdash, F.M. Antioxidant effect of vitamin E and selenium on lipid peroxidation, enzyme activities and biochemical parameters in rats exposed to aluminium. J. Trace. Elem. Med. Biol. 2004, 18, 113–121. [Google Scholar] [CrossRef] [PubMed]
- Khan, M.R.; Siddique, F. Antioxidant effects of Citharexylum spinosum in CCl4 induced nephrotoxicity in rat. Exp. Toxicol. Pathol. 2012, 64, 349–355. [Google Scholar] [CrossRef] [PubMed]
- Makni, M.; Chtourou, Y.; Garoui, E.; Boudawara, T.; Fetoui, H. Carbon tetrachloride-induced nephrotoxicity and DNA damage in rats: Protective role of vanillin. Hum. Exp. Toxicol. 2012, 31, 844–852. [Google Scholar] [CrossRef]
- Fridovich, I. Superoxide radical and superoxide dismutases. Annu. Rev. Biochem. 1995, 64, 97–112. [Google Scholar] [CrossRef] [PubMed]
- Dringen, R.; Pawlowski, P.G.; Hirrlinger, J. Peroxide detoxification by brain cells. J. Neurosci. Res. 2005, 79, 157–165. [Google Scholar] [CrossRef]
- Szymonik-Lesiuk, S.; Czechowska, G.; Stryjecka-Zimmer, M.; Słomka, M.; MĄldro, A.; Celiński, K.; Wielosz, M. Catalase, superoxide dismutase, and glutathione peroxidase activities in various rat tissues after carbon tetrachloride intoxication. J. Hepato-Biliary-Pancreat. Surg. 2003, 10, 309–315. [Google Scholar] [CrossRef] [PubMed]
- Kadiiska, M.B.; Gladen, B.C.; Baird, D.D.; Dikalova, A.E.; Sohal, R.S.; Hatch, G.E.; Jones, D.P.; Mason, R.P.; Barrett, J.C. Biomarkers of oxidative stress study: Are plasma antioxidants markers of CCl4 poisoning? Free Radic. Biol. Med. 2000, 28, 838–845. [Google Scholar] [CrossRef]
- McCall, K.A.; Huang, C.-C.; Fierke, C.A. Function and mechanism of zinc metalloenzymes. J. Nutr. 2000, 130, 1437S–1446S. [Google Scholar] [CrossRef] [Green Version]
- Yoshioka, H.; Usuda, H.; Fukuishi, N.; Nonogaki, T.; Onosaka, S. Carbon tetrachloride-induced nephrotoxicity in mice is prevented by pretreatment with zinc sulfate. Biol. Pharm. Bull. 2016, 39, 1042–1046. [Google Scholar] [CrossRef] [PubMed] [Green Version]
- Doğukan, A.; Akpolat, N.; Çeliker, H.; Ilhan, N.; Bahçecioğlu, H.; Günal, A.I. Protective effect of interferon-alpha on carbon tetrachloride-induced nephrotoxicity. J. Nephrol. 2003, 16, 81–84. [Google Scholar]
- Adewole, S.; Salako, A.; Doherty, O.; Naicker, T. Effect of melatonin on carbon tetrachloride-induced kidney injury in Wistar rats. Afr. J. Biomed. Res. 2007, 10, 153–164. [Google Scholar] [CrossRef]
- Jan, S.; Khan, M.R. Protective effects of Monotheca buxifolia fruit on renal toxicity induced by CCl4 in rats. BMC Complement. Altern. Med. 2016, 16, 1–15. [Google Scholar] [CrossRef] [PubMed] [Green Version]
- Venkatanarayana, G.; Sudhakara, G.; Sivajyothi, P.; Indira, P. Protective effects of curcumin and vitamin E on carbon tetrachloride-induced nephrotoxicity in rats. EXCLI J. 2012, 11, 641–650. [Google Scholar] [PubMed]


| Item | A. hierochuntica |
|---|---|
| TPC (mg GAE g−1) | 67.49 ± 3.33 |
| TC (µg g−1) | 3.51 ± 0.91 |
| TF (mg QE g−1) | 49.78 ± 2.62 |
| TFL (mg QE g−1) | 17.45 ± 0.83 |
| DPPH (µmol of TE g−1) | 128.71 ± 3.55 |
| ABTS (µmol of TE g−1) | 141.92 ± 4.67 |
| β-CB * (RAA) % | 45.74 ± 4.80 |
| CA (mg g−1) | 42.89 ± 2.11 |
| Item | No. | Compound | Ethanolic Extract (KEE) (mg 100 g−1) | Aqueous Extract (KAE) (mg 100 g−1) |
|---|---|---|---|---|
| Phenolic acids | 1 | 3,4,5-trimethoxycinnamic acid | - | 0.042 |
| 2 | 4-Aminobenzoic acid | - | 0.012 | |
| 3 | Benzoic acid | - | 0.005 | |
| 4 | Caffeic acid | 6.621 | 0.725 | |
| 5 | Catechol | - | 2.526 | |
| 6 | Chlorogenic acid | - | 0.136 | |
| 7 | Cinnamic acid | 0.094 | 0.001 | |
| 8 | Coumarin | - | 0.036 | |
| 9 | Ellagic acid | - | 0.039 | |
| 10 | e-Vanillic acid | - | 0.443 | |
| 11 | Ferulic acid | 1.854 | 0.037 | |
| 12 | Gallic acid | - | 0.041 | |
| 13 | Iso-ferulic acid | - | 0.005 | |
| 14 | α-Coumaric acid | - | 0.039 | |
| 15 | p-Coumaric acid | - | 0.009 | |
| 16 | p-Hydroxybenzoic acid | 3.440 | 0.223 | |
| 17 | Protocatechuic acid | 1.811 | 0.454 | |
| 18 | Pyrogallol | - | 1.589 | |
| 19 | Rosmarinic acid | 2.884 | - | |
| 20 | Salicylic acid | - | 0.089 | |
| 21 | Sinapic acid | 28.704 | - | |
| 22 | Syringic acid | 1.083 | 1.959 | |
| 23 | Vanillic acid | 3.326 | 1.406 | |
| Flavonoids | 1 | Apigenin-7-glucoside | 0.192 | - |
| 2 | D-Catechin | 2.410 | 0.256 | |
| 3 | Epicatechin | - | 0.193 | |
| 4 | Kaempferol | 0.434 | - | |
| 5 | Myricetin | 1.627 | - | |
| 6 | Quercetin | 0.184 | - | |
| 7 | Rutin | 0.539 | - |
| Kidney Functions | Experimental Groups | |||||
|---|---|---|---|---|---|---|
| GI | GII | GIII | GIV | GV | GVI | |
| Creatinine (mg dL−1) | 0.88 ± 0.09 a | 1.30 ± 0.11 b | 0.87 ± 0.11 a | 0.99 ± 0.07 a | 1.08 ± 0.03 a | 0.91 ± 0.11 a |
| Urea (mg dL−1) | 77.59 ± 2.60 a | 117.00 ± 3.98 b | 77.53 ± 10.11 a | 73.60 ± 5.35 a | 78.65 ± 12.69 a | 70.33 ± 8.37 a |
| K (mEq L−1) | 4.18 ± 0.21 a | 5.55 ± 0.68 bc | 4.57 ± 0.23 ab | 4.78 ± 0.21 b | 5.00 ± 0.21 b | 5.48 ± 0.23 c |
| Total proteins (g dL−1) | 8.71 ± 0.92 c | 5.04 ± 0.36 a | 7.54 ± 0.45 b | 7.89 ± 0.44 bc | 8.59 ± 0.18 c | 5.89 ± 1.43 ab |
| Albumin (g dL−1) | 3.91 ± 0.13 b | 3.28 ± 0.09 a | 3.79 ± 0.31 b | 3.68 ± 0.16 b | 4.34 ± 0.17 c | 3.71 ± 0.14 b |
| Oxidative Stress Markers | Experimental Groups | |||||
|---|---|---|---|---|---|---|
| GI | GII | GIII | GIV | GV | GVI | |
| MDA nmol/mg protein | 131.68 ± 10.83 a | 308.58 ± 18.27 c | 125.01 ± 12.40 a | 151.46 ± 9.01 a | 242.06 ± 40.81 b | 285.75 ± 20.47 b |
| SOD nmol/mg protein | 22.66 ± 0.54 c | 11.47 ± 2.01 a | 18.16 ± 0.99 b | 16.32 ± 1.51 b | 21.98 ± 0.97 c | 20.16 ± 1.87 bc |
| GSH nmol/mg protein | 3.64 ± 0.15 b | 2.42 ± 0.25 a | 3.83 ± 0.55 b | 3.40 ± 0.15 b | 3.48 ± 0.18 b | 3.82 ± 0.26 b |
| Parameters | Experimental Groups | |||
|---|---|---|---|---|
| GIII | GIV | GV | GVI | |
| Creatinine | 97.62 | 73.80 | 52.38 | 92.29 |
| Urea | 99.85 | 89.88 | 97.31 | 81.58 |
| K | 71.53 | 56.96 | 40.15 | 5.11 |
| Total proteins | 68.11 | 77.66 | 96.73 | 23.16 |
| Albumin | 80.95 | 63.49 | 168.25 | 68.25 |
| MDA | 96.23 | 88.81 | 37.60 | 12.90 |
| SOD | 59.79 | 43.34 | 93.92 | 77.65 |
| GSH | 115.57 | 80.32 | 86.89 | 85.25 |
| * TFP% | 100 | 83.27 | 97.62 | 78.85 |
| GI | GII | GIII | GIV | GV | GVI | |
|---|---|---|---|---|---|---|
| Focal inflammatory cells Infiltration between the tubule | − | ++ | − | − | ++ | − |
| Eosinophilic renal cast | − | ++ | − | − | − | − |
| Congestion | − | ++ | + | ++ | ++ | ++ |
| Focal hemorrhage | − | ++ | − | − | − | − |
Publisher’s Note: MDPI stays neutral with regard to jurisdictional claims in published maps and institutional affiliations. |
© 2021 by the authors. Licensee MDPI, Basel, Switzerland. This article is an open access article distributed under the terms and conditions of the Creative Commons Attribution (CC BY) license (https://creativecommons.org/licenses/by/4.0/).
Share and Cite
Almundarij, T.I.; Alharbi, Y.M.; Abdel-Rahman, H.A.; Barakat, H. Antioxidant Activity, Phenolic Profile, and Nephroprotective Potential of Anastatica hierochuntica Ethanolic and Aqueous Extracts against CCl4-Induced Nephrotoxicity in Rats. Nutrients 2021, 13, 2973. https://doi.org/10.3390/nu13092973
Almundarij TI, Alharbi YM, Abdel-Rahman HA, Barakat H. Antioxidant Activity, Phenolic Profile, and Nephroprotective Potential of Anastatica hierochuntica Ethanolic and Aqueous Extracts against CCl4-Induced Nephrotoxicity in Rats. Nutrients. 2021; 13(9):2973. https://doi.org/10.3390/nu13092973
Chicago/Turabian StyleAlmundarij, Tariq I., Yousef M. Alharbi, Hassan A. Abdel-Rahman, and Hassan Barakat. 2021. "Antioxidant Activity, Phenolic Profile, and Nephroprotective Potential of Anastatica hierochuntica Ethanolic and Aqueous Extracts against CCl4-Induced Nephrotoxicity in Rats" Nutrients 13, no. 9: 2973. https://doi.org/10.3390/nu13092973
APA StyleAlmundarij, T. I., Alharbi, Y. M., Abdel-Rahman, H. A., & Barakat, H. (2021). Antioxidant Activity, Phenolic Profile, and Nephroprotective Potential of Anastatica hierochuntica Ethanolic and Aqueous Extracts against CCl4-Induced Nephrotoxicity in Rats. Nutrients, 13(9), 2973. https://doi.org/10.3390/nu13092973

