Effects of Rambutan Peel (Nepheliumlappaceum) PhenolicExtract on RANKL-Induced Differentiation of RAW264.7 Cells into Osteoclasts and Retinoic Acid-Induced Osteoporosis in Rats
Abstract
1. Introduction
2. Materials and Methods
2.1. Materials and Reagents
2.2. Cell Culture
2.2.1. Cell Viability Assay
2.2.2. TRAP-Positive Cell Staining
2.2.3. Total TRAP Activity
2.3. Animal Experiments
2.3.1. Serum Biochemical Assays
2.3.2. Measurement of Organ Coefficients
2.3.3. Bone Quality Assays
2.3.4. Histopathological Assays
2.4. Statistical Analyses
3. Results
3.1. Effect of RPP on Viability of RAW264.7 Cells
3.2. Suppressive Effect of RPP on RANKL-Induced Osteoclastogenesis
3.3. Animal Experiment
3.3.1. Body Weight
3.3.2. Serum Biochemical Indicators
3.3.3. Organ Coefficients
3.3.4. Bone Quality
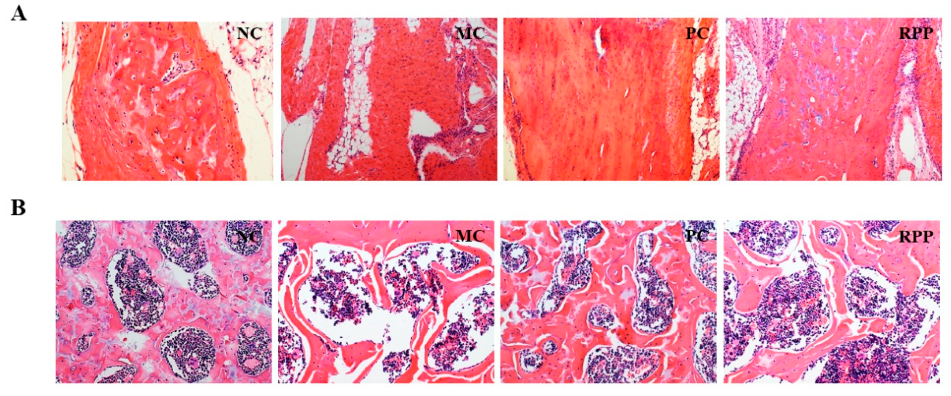
3.3.5. Histopathology
4. Discussion
5. Conclusions
Author Contributions
Funding
Conflicts of Interest
References
- Sözen, T.; Özışık, L.; Başaran, N.Ç. An overview and management of osteoporosis. Eur. J. Rheumatol. 2017, 4, 46. [Google Scholar] [CrossRef] [PubMed]
- Zamani, M.; Zamani, V.; Heidari, B. Prevalence of osteoporosis with the WorldHealth Organization diagnostic criteria in the eastern Mediterraneanregion: A systematic review andmeta-analysis. Arch. Osteoporos. 2018, 13, 129. [Google Scholar] [CrossRef] [PubMed]
- Xu, H.H.; Liu, T.T.; Hu, L.H.; Li, J.; Gan, C.X.; Xu, J. Effect of caffeine on ovariectomy-induced osteoporosis in rats. Biomed. Pharmacother. 2019, 112, 108650. [Google Scholar] [CrossRef]
- Vasikaran, S. Assessment of bone turnover in osteoporosis: Harmonization of the total testing process. Clin. Chem. Lab. Med. 2018, 56, 1603–1607. [Google Scholar] [CrossRef] [PubMed]
- Kim, H.J.; Ohk, B.; Yoon, H.J.; Kang, W.Y.; Seong, S.J.; Kim, S.Y. Docosahexaenoic acid signaling attenuates the proliferation and differentiation of bone marrow-derived osteoclast precursors and promotes apoptosis in mature osteoclasts. Cell. Signal. 2017, 29, 226–232. [Google Scholar] [CrossRef]
- Ikeda, K.; Takeshita, S. The role of osteoclast differentiation and function in skeletal homeostasis. J. Biochem. 2016, 159, 1–8. [Google Scholar] [CrossRef]
- Buyun, K.; Yong, L.K.; Byoungduck, P. Icariin abrogates osteoclast formation through the regulation of the RANKL-mediated TRAF6/NF-κB/ERK signaling pathway in RAW264.7 cells. Phytomedicine 2018, 51, 181–190. [Google Scholar]
- Weitzmann, M.N. Bone and the immune system. Toxicol. Pathol. 2017, 45, 911–924. [Google Scholar] [CrossRef]
- Rahman, M.M.; Bhattacharya, A.; Fernandes, G. Conjugated linoleic acid inhibits osteoclast differentiation of RAW264.7 cells by modulating RANKL signaling. J. Lipid Res. 2006, 47, 1739–1748. [Google Scholar] [CrossRef]
- Chen, X.; Zhu, G.; Jin, T.; Gu, S.; Xiao, H.; Qiu, J. Cadmium induces differentiation of RAW264.7 cells into osteoclasts in the presence of RANKL. Food Chem. Toxicol. 2011, 49, 2392–2397. [Google Scholar] [CrossRef]
- El-Baz, F.K.; Saleh, D.O.; Abdel Jaleel, G.A.; Hussein, R.A.; Hassan, A. Heamatococcuspluvialisameliorates bone loss in experimentally-inducedosteoporosis in rats via the regulation of OPG/RANKL pathway. Biomed. Pharmacother. 2019, 116, 109017. [Google Scholar] [CrossRef] [PubMed]
- Boyle, W.J.; Simonet, W.S.; Laccey, D.L. Osteoclast differentiation and activation. Nature 2003, 423, 337–342. [Google Scholar] [CrossRef] [PubMed]
- Hong, J.W.; Nam, W.; Cha, I.H.; Chung, S.W.; Choi, H.S.; Kim, K.M. Oral bisphosphonate-related osteonecrosis of the jaw: The first report in Asia. Osteoporos. Int. 2010, 21, 847–853. [Google Scholar] [CrossRef]
- Ying, W.U.; Bo, H.E.; Juan, L.S.; Li, Y.H.; Yu, Y.; Qiang, S.Z. Effects of Geraniin on Experimental Osteoporosis and Survival Rate of Osteoclasts. J. Kunming Med. Coll. 2006, 27, 9–15. [Google Scholar]
- Jia, T.T.; Zhang, Y.T.; Liu, S.Z. Establishment of retinoic acid induced osteoporosis rat model. J. Oral Sci. Res. 2012, 28, 420–422. [Google Scholar]
- Liu, R.H.; Ren, H.; Kang, X.; Xu, L.P.; Nian, H.L.; Yang, X.W.; Shi, H.T. Effect of the combined extracts of herbaepimedii and fructusligustrilucidi on sex hormone functional levels in osteoporosis rats. Evid. Based Complementary Altern. 2015, 9, 1–13. [Google Scholar]
- Wei, M.; Yang, Z.; Li, P.; Zhang, Y.; Sse, W.C. Anti-osteoporosis activity of naringin in the retinoic acid-induced osteoporosis model. Am. J. Chin. Med. 2007, 35, 663–667. [Google Scholar] [CrossRef]
- Huang, S.Q.; Cai, S.B.; Cao, J.X. Digestion property and synergistic effect on biological activity of purple rice (Oryza sativa L.) anthocyanins subjected to a simulated gastrointestinal digestion in vitro. Food Res. Int. 2015, 78, 114–123. [Google Scholar]
- Alkan, D.; Yemenicioğlu, A.D. Potential application of natural phenolic antimicrobials and edible film technology against bacterial plant pathogens. Food Hydrocol. 2016, 55, 1–10. [Google Scholar] [CrossRef]
- Ma, T.T.; Sun, X.Y.; Tian, C.R.; Zheng, Y.J.; Zheng, C.P.; Zhan, J.C. Chemical composition and hepatoprotective effects of polyphenols extracted from the stems and leaves of Sphallerocarpusgracilis. J. Funct. Foods 2015, 18, 673–683. [Google Scholar] [CrossRef]
- Yun-Hee, L.; Joung-Hee, K.; Sou, K.; Ji, O.; Woo, S.; Kyung-Mi, K. Barley sprouts extract attenuates alcoholic fatty liver injury in mice by reducing inflammatory response. Nutrients 2016, 8, 440. [Google Scholar]
- Oka, Y.; Iwai, S.; Amano, H.; Irie, Y.; Oguchi, K. Tea polyphenols inhibit rat osteoclast formation and differentiation. J. Pharmacol. Sci. 2011, 118, 55–64. [Google Scholar] [CrossRef]
- Fistonić, I.; Situm, M.; Bulat, V.; Harapin, M.; Verbanac, D. Olive oil biophenols and women’s health. Med. Glas. 2012, 9, 1–9. [Google Scholar]
- Sehmisch, S.; Hammer, F.; Christoffel, J.; Seidlova-Wuttke, D.; Tezval, M.; Wuttke, W. Comparison of the PhytohormonesGenistein, Resveratrol and 8-Prenylnaringenin as Agents for Preventing Osteoporosis. Planta Med. 2008, 74, 794–801. [Google Scholar] [CrossRef] [PubMed]
- Yang, C.T.; Zhao, Y.L.; Sun, Y.; Zhuang, Y.L. Effect of plant polyphenols on anti-osteoporosis. Sci. Technol. Food Ind. 2014, 35, 386–389. [Google Scholar]
- Zhuang, Y.L.; Ma, Q.Y.; Guo, Y.; Sun, L.P. Purification and identification of rambutan (Nepheliumlappaceum) peel phenolics with evaluation of antioxidant and antiglycation activities in vitro. Int. J. Food Sci. Tech. 2017, 52, 1810–1819. [Google Scholar]
- Ma, Q.; Guo, Y.; Sun, L.; Zhuang, Y.; Ma, Q.; Guo, Y. Anti-diabetic effects of phenolic extract from rambutan peels (Nepheliumlappaceum) in high-fat diet and streptozotocin-induced diabetic mice. Nutrients 2017, 9, 801. [Google Scholar]
- Xiao, J.J.; Liu, B.T.; Zhuang, Y.L. Effects of rambutan (Nepheliumlappaceum) peel phenolics and Leu-Ser-Gly-Tyr-Gly-Pro on hairless mice skin photoaging induced by ultraviolet irradiation. Food Chem. Toxicol. 2019, 129, 30–37. [Google Scholar] [CrossRef]
- Li, Y.J.; Li, Z.J.; Hou, H.; Zhuang, Y.L.; Sun, L.P. Metal Chelating, Inhibitory DNA Damage, and Anti-Inflammatory Activities of Phenolics from Rambutan (Nepheliumlappaceum) Peel and the Quantifications of Geraniin and Corilagin. Molecules 2018, 23, 2263. [Google Scholar] [CrossRef]
- Zhuang, Y.; Ma, Q.; Guo, Y.; Sun, L. Protective effects of rambutan (Nepheliumlappaceum) peel phenolics on H2O2-induced oxidative damages in HepG2 cells and d-galactose-induced aging mice. Food Chem. Toxicol. 2017, 108, 554–562. [Google Scholar] [CrossRef]
- Zhang, X.C.; He, B.; Chen, P.; Lu, Y.Q.; Dong, Z.J.; Liu, J.K.; Shen, Z.Q. Effects of Geraniin on Osteoclastic Bone-resorption Activity. J. Kunming Med. Coll. 2012, 33, 1–5. [Google Scholar]
- Panahande, S.B.; Maghbooli, Z.; Hossein-nezhad, A.; Qorbani, M.; Moeini-Nodeh, S.; Haghi-Aminjan, H.; Hosseini, S. Effects of French maritime pine bark extract (Oligopin®) supplementation on bone remodeling markers in postmenopausal osteopenic women: A randomized clinical trial. Phytother. Res. 2019, 33, 1233–1240. [Google Scholar] [CrossRef] [PubMed]
- Shalan, N.A.A.M.; Mustapha, N.M.; Mohamed, S. Noni leaf and black tea enhance bone regeneration in estrogen-deficient rats. Nutrition 2017, 33, 42–51. [Google Scholar] [CrossRef] [PubMed]
- Rantlha, M.; Sagar, T.; Kruger, M.C.; Coetzee, M.; Deepak, V. Ellagic acid inhibits RANKL-induced osteoclast differentiation by suppressing the p38 MAP kinase pathway. Arch. Pharm. Res. 2016, 40, 1–9. [Google Scholar] [CrossRef] [PubMed]
- Kong, L.M.; Deng, X.; Zuo, Z.L.; Sun, H.D.; Zhao, Q.S.; Li, Y. Identification and validation of p50 as the cellular target of eriocalyxin B. Oncotarget 2014, 5, 11354–11364. [Google Scholar] [CrossRef] [PubMed]
- Chen, M.; Liu, X.Y.; Deng, Y.T.; Wang, Q.W. Pharmacodynamics of HerbaEcliptae on retinoic acid induced osteoporosis in rats. Chin. J. Osteoporos. 2016, 22, 1318–1323. [Google Scholar]
- Xu, B.E.; He, Y.T.; Lu, Y.; Ren, W.Y.; Shen, J.P. Glucagon like peptide 2 has a positive impact on osteoporosis in ovariectomized rats. Life Sci. 2019, 226, 47–56. [Google Scholar] [CrossRef]
- Arjmandi, B.H.; Johnson, S.A.; Pourafshar, S.; Navaei, N.; George, K.S.; Hooshmand, S.; Chai, S.C.; Akhavan, N.S. Bone-Protective Effects of Dried Plum in Postmenopausal Women: Efficacy and Possible Mechanisms. Nutrients 2017, 9, 496. [Google Scholar] [CrossRef]
- Davicco, M.J.; Wittrant, Y.; Coxam, V. Berries, their micronutrients and bone health. Curr. Opin. Clin. Nutr. 2016, 19, 453–457. [Google Scholar] [CrossRef][Green Version]
- Carvalho, A.R.; Costa, G.; Figueirinha, A.; Liberal, J.; Prior, J.A.V.; Lopes, M.C. Urtica spp.: Phenolic composition, safety, antioxidant and anti-inflammatory activities. Food Res. Int. 2017, 99, 485–494. [Google Scholar] [CrossRef]
- Das, S.K.; Ren, R.; Hashimoto, T.; Kanazawa, K. Fucoxanthin induces apoptosis in osteoclast-like cells differentiated from RAW264.7 cells. J. Agric. Food Chem. 2010, 58, 6090–6095. [Google Scholar] [CrossRef] [PubMed]
- Xiao, J.; Xiang, C.; Xijie, Y. MicroRNAs in osteoclastogenesis and function: Potential therapeutic targets for osteoporosis. Int. J. Mol. Sci. 2016, 17, 349. [Google Scholar]
- Xie, B.P.; Shi, L.Y.; Li, J.P.; Zeng, Y.; Liu, W.; Tang, S.Y.; Jia, L.J. Oleanolic acid inhibits RANKL-induced osteoclastogenesis via ER alpha/miR-503/RANK signaling pathway in RAW264.7 cells. Biomed. Pharmacother. 2019, 117, 109045. [Google Scholar] [CrossRef] [PubMed]
- Dan, X.; Ying, L.; Xiaowen, C.; Xiaoyu, Z.; Jinqiu, F.; Yajun, X. FructusLigustriLucidi ethanol extract inhibits osteoclastogenesis in RAW264.7 cells via the RANKL signaling pathway. Mol. Med. Rep. 2016, 14, 4767–4774. [Google Scholar]
- Suh, K.S.; Chon, S.; Jung, W.W.; Choi, E.M. Effects of methylglyoxal on RANKL-induced osteoclast differentiation in RAW264.7 cells. Chem. Biol. Interact. 2018, 296, 18–25. [Google Scholar] [CrossRef]
- Kuo, T.R.; Chen, C.H. Bone biomarker for the clinical assessment of osteoporosis: Recent developments and future perspectives. Biomark. Res. 2017, 5, 18. [Google Scholar] [CrossRef]
- Peter, A.; Sandra, S. The role of cortical bone and its microstructure in bone strength. Age Ageing 2006, 35, 27–31. [Google Scholar]









© 2020 by the authors. Licensee MDPI, Basel, Switzerland. This article is an open access article distributed under the terms and conditions of the Creative Commons Attribution (CC BY) license (http://creativecommons.org/licenses/by/4.0/).
Share and Cite
Zhuang, Y.; Sun, X.; Liu, B.; Hou, H.; Sun, Y. Effects of Rambutan Peel (Nepheliumlappaceum) PhenolicExtract on RANKL-Induced Differentiation of RAW264.7 Cells into Osteoclasts and Retinoic Acid-Induced Osteoporosis in Rats. Nutrients 2020, 12, 883. https://doi.org/10.3390/nu12040883
Zhuang Y, Sun X, Liu B, Hou H, Sun Y. Effects of Rambutan Peel (Nepheliumlappaceum) PhenolicExtract on RANKL-Induced Differentiation of RAW264.7 Cells into Osteoclasts and Retinoic Acid-Induced Osteoporosis in Rats. Nutrients. 2020; 12(4):883. https://doi.org/10.3390/nu12040883
Chicago/Turabian StyleZhuang, Yongliang, Xiaodong Sun, Bingtong Liu, Hu Hou, and Yun Sun. 2020. "Effects of Rambutan Peel (Nepheliumlappaceum) PhenolicExtract on RANKL-Induced Differentiation of RAW264.7 Cells into Osteoclasts and Retinoic Acid-Induced Osteoporosis in Rats" Nutrients 12, no. 4: 883. https://doi.org/10.3390/nu12040883
APA StyleZhuang, Y., Sun, X., Liu, B., Hou, H., & Sun, Y. (2020). Effects of Rambutan Peel (Nepheliumlappaceum) PhenolicExtract on RANKL-Induced Differentiation of RAW264.7 Cells into Osteoclasts and Retinoic Acid-Induced Osteoporosis in Rats. Nutrients, 12(4), 883. https://doi.org/10.3390/nu12040883
