Impact of Rye Inclusion in Diets for Broilers on Performance, Litter Quality, Foot Pad Health, Digesta Viscosity, Organ Traits and Intestinal Morphology
Abstract
1. Introduction
2. Materials and Methods
2.1. Birds and Housing
2.2. Diets
2.3. Feed Analysis and Feed Composition
2.4. Performance Parameters
2.5. Litter and Excreta Analyses
2.6. Foot Pad Dermatitis (FPD) Scoring
2.7. Estimation of Nitrogen Efficiency
2.8. Dissection
2.9. Digesta Viscosity
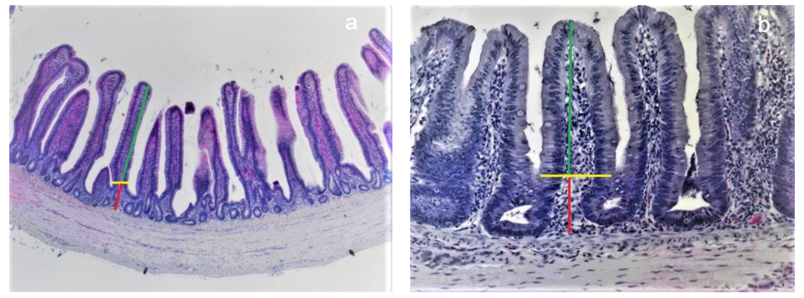
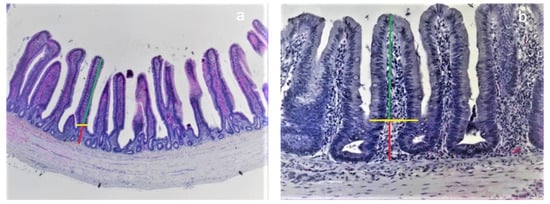
2.10. Histological Investigations
2.11. Statistical Analyses
3. Results
3.1. Diets and Performance
3.2. Excreta Quality and Viscosity
3.3. Litter Quality and FPD Scoring
3.4. Organ Weight and Ileal Viscosity
3.5. Intestinal Morphology
4. Discussion
5. Conclusions
Supplementary Materials
Author Contributions
Funding
Acknowledgments
Conflicts of Interest
References
- Vaarst, M.; Steenfeldt, S.; Horsted, K. Sustainable development perspectives of poultry production. Worlds Poult. Sci. J. 2015, 71, 609–620. [Google Scholar] [CrossRef]
- Alders, R.; Costa, R.; Gallardo, R.A.; Sparks, N.; Zhou, H. Smallholder poultry: Leveraging for sustainable food and nutrition security. In Encyclopedia of Food Security and Sustainability; Elsevier: Amsterdam, The Netherlands, 2018; pp. 340–346. [Google Scholar]
- Spring, P. The challenge of cost effective poultry and animal nutrition: Optimizing existing and applying novel concepts. Lohmann Inf. 2013, 48, 38–46. [Google Scholar]
- International Feed Industry Federation. 2016. Available online: http://www.ifif.org/ (accessed on 15 March 2020).
- Chikmawati, T.; Gustafson, J.P. Rye (Secale cereale L.) and wheat (Triticum aestivum L.) simple sequence repeat variation within Secale spp.(Poaceae). HAYATI J. Biosci. 2013, 20, 163–170. [Google Scholar] [CrossRef][Green Version]
- Bederska-Łojewska, D.; Świątkiewicz, S.; Arczewska-Włosek, A.; Schwarz, T. Rye non-starch polysaccharides: Their impact on poultry intestinal physiology, nutrients digestibility and performance indices—A review. Ann. Anim. Sci. 2017, 17, 351–369. [Google Scholar] [CrossRef]
- Arczewska-Wlosek, A.; Swiatkiewicz, S.; Bederska-Lojewska, D.; Orczewska-Dudek, S.; Szczurek, W.; Boros, D.; Fras, A.; Tomaszewska, E.; Dobrowolski, P.; Muszynski, S. The efficiency of xylanase in broiler chickens fed with increasing dietary levels of rye. Animals 2019, 9, 46. [Google Scholar] [CrossRef] [PubMed]
- Bach Knudsen, K.E. Carbohydrate and lignin contents of plant materials used in animal feeding. Anim. Feed Sci. Technol. 1997, 67, 319–338. [Google Scholar] [CrossRef]
- Rodehutscord, M.; Rückert, C.; Maurer, H.P.; Schenkel, H.; Schipprack, W.; Bach Knudsen, K.E.; Schollenberger, M.; Laux, M.; Eklund, M.; Siegert, W. Variation in chemical composition and physical characteristics of cereal grains from different genotypes. Arch. Anim. Nutr. 2016, 70, 87–107. [Google Scholar] [CrossRef]
- Smits, C.H.; Annison, G. Non-starch plant polysaccharides in broiler nutrition–towards a physiologically valid approach to their determination. Worlds Poult. Sci. J. 1996, 52, 203–221. [Google Scholar] [CrossRef]
- Bedford, M.R.; Classen, H.L. Reduction of intestinal viscosity through manipulation of dietary rye and pentosanase concentration is effected through changes in the carbohydrate composition of the intestinal aqueous phase and results in improved growth rate and food conversion efficiency of broiler chicks. J. Nutr. 1992, 122, 560–569. [Google Scholar] [CrossRef]
- Van Krimpen, M.; Torki, M.; Schokker, D. Effects of rye inclusion in grower diets on immune competence-related parameters and performance in broilers. Poult. Sci. 2017, 96, 3324–3337. [Google Scholar] [CrossRef]
- Choct, M.; Annison, G. Anti-nutritive activity of wheat pentosans in broiler diets. Br. Poult. Sci. 1990, 31, 811–821. [Google Scholar] [CrossRef] [PubMed]
- Bach Knudsen, K.E. Fiber and nonstarch polysaccharide content and variation in common crops used in broiler diets. Poult. Sci. 2014, 93, 2380–2393. [Google Scholar] [CrossRef] [PubMed]
- Teirlynck, E.; Bjerrum, L.; Eeckhaut, V.; Huygebaert, G.; Pasmans, F.; Haesebrouck, F.; Dewulf, J.; Ducatelle, R.; Van Immerseel, F. The cereal type in feed influences gut wall morphology and intestinal immune cell infiltration in broiler chickens. Br. J. Nutr. 2009, 102, 1453–1461. [Google Scholar] [CrossRef] [PubMed]
- Jürgens, H.-U.; Jansen, G.; Wegener, C.B. Characterisation of several rye cultivars with respect to arabinoxylans and extract viscosity. J. Agric. Sci. 2012, 4, 1–12. [Google Scholar] [CrossRef]
- Schwarz, T.; Kuleta, W.; Turek, A.; Tuz, R.; Nowicki, J.; Rudzki, B.; Bartlewski, P.M. Assessing the efficiency of using a modern hybrid rye cultivar for pig fattening, with emphasis on production costs and carcass quality. Anim. Prod. Sci. 2015, 55, 467–473. [Google Scholar] [CrossRef]
- Hetland, H.; Svihus, B.; Olaisen, V. Effect of feeding whole cereals on performance, starch digestibility and duodenal particle size distribution in broiler chickens. Br. Poult. Sci. 2002, 43, 416–423. [Google Scholar] [CrossRef]
- Svihus, B. The gizzard: Function, influence of diet structure and effects on nutrient availability. Worlds Poult. Sci. J. 2011, 67, 207–224. [Google Scholar] [CrossRef]
- Ferket, P.R.; Gernat, A.G. Factors that affect feed intake of meat birds: A review. Int. J. Poult. Sci. 2006, 5, 905–911. [Google Scholar]
- Svihus, B.; Sacranie, A.; Denstadli, V.; Choct, M. Nutrient utilization and functionality of the anterior digestive tract caused by intermittent feeding and inclusion of whole wheat in diets for broiler chickens. Poult. Sci. 2010, 89, 2617–2625. [Google Scholar] [CrossRef]
- Amerah, A. Interactions between wheat characteristics and feed enzyme supplementation in broiler diets. Anim. Feed Sci. Tech. 2015, 199, 1–9. [Google Scholar] [CrossRef]
- Stilling, R.M.; van de Wouw, M.; Clarke, G.; Stanton, C.; Dinan, T.G.; Cryan, J.F. The neuropharmacology of butyrate: The bread and butter of the microbiota-gut-brain axis? Neurochem. Int. 2016, 99, 110–132. [Google Scholar] [CrossRef] [PubMed]
- Choct, M.; Dersjant-Li, Y.; McLeish, J.; Peisker, M. Soy oligosaccharides and soluble non-starch polysaccharides: A review of digestion, nutritive and anti-nutritive effects in pigs and poultry. Asian Austral. J. Anim. Sci. 2010, 23, 1386–1398. [Google Scholar] [CrossRef]
- Abd El-Wahab, A.; Visscher, C.; Kamphues, J. Impact of different dietary protein sources on performance, litter quality and foot pad dermatitis in broilers. J. Anim. Feed Sci. 2018, 27, 148–154. [Google Scholar] [CrossRef]
- Naumann, C.; Bassler, R. Methoden der Landwirtschaftlichen Forschungs-und Untersuchungsanstalt, Biochemische Untersuchung von Futtermitteln. Methodenbuch III (Einschließlich der Achten Ergänzungen); VDLUFA: Darmstadt, Germany, 2012. [Google Scholar]
- Dusel, G.; Kluge, H.; Glaser, K.; Simon, O.; Hartmann, G.; Lengerken, J.; Jeroch, H. An investigation into the variability of extract viscosity of wheat-relationship with the content of non-starch-polysaccharide fractions and metabolisable energy for broiler chickens. Arch. Anim. Nutr. 1997, 50, 121–135. [Google Scholar] [CrossRef]
- Mayne, R.K.; Else, R.W.; Hocking, P.M. High litter moisture alone is sufficient to cause footpad dermatitis in growing turkeys. Br. Poult. Sci. 2007, 48, 538–545. [Google Scholar] [CrossRef]
- Ullrich, C.; Langeheine, M.; Brehm, R.; Taube, V.; Siebert, D.; Visscher, C. Influence of reduced protein content in complete diets with a consistent arginine–lysine ratio on performance and nitrogen excretion in broilers. Sustainability 2018, 10, 3827. [Google Scholar] [CrossRef]
- Bregendahl, K.; Sell, J.; Zimmerman, D. Effect of low-protein diets on growth performance and body composition of broiler chicks. Poult. Sci. 2002, 81, 1156–1167. [Google Scholar] [CrossRef]
- Aletor, V.A.; Hamid, I.I.; Niess, E.; Pfeffer, E. Low-protein amino acid-supplemented diets in broiler chickens: Effects on performance, carcass characteristics, whole-body composition and efficiencies of nutrient utilisation. J. Sci. Food Agric. 2000, 80, 547–554. [Google Scholar] [CrossRef]
- Ernährungsphysiologie, G.F. Empfehlungen zur Energie und Nährstoffversorgung der Legehennen und Masthühner (Broiler); DLG Verlag: Frankfurt am Main, Germany, 1999. [Google Scholar]
- Kamran, Z.; Sarwar, M.; Nisa, M.; Nadeem, M.; Ahmad, S.; Mushtaq, T.; Ahmad, T.; Shahzad, M. Effect of lowering dietary protein with constant energy to protein ratio on growth, body composition and nutrient utilization of broiler chicks. Asian Australas. J. Anim. Sci. 2008, 21, 1629–1634. [Google Scholar] [CrossRef]
- Slaoui, M.; Fiette, L. Histopathology procedures: From tissue sampling to histopathological evaluation. In Drug Safety Evaluation; Springer: Berlin/Heidelberg, Germany, 2011; pp. 69–82. [Google Scholar]
- Aviagen. Ross 308: Broiler Nutrition Specifications 2019. Available online: http://en.aviagen.com/assets/Tech_Center/Ross_Broiler/RossBroilerNutritionSpecs2019-EN.pdf (accessed on 24 March 2020).
- Ghorbani, M.; Fayazi, J.; Chaji, M. Effect of dietary phytase and NSP-degrading enzymes in diets containing rape seed meal on broiler performance and carcass characteristic. Res. J. Biol. Sci. 2009, 4, 258–264. [Google Scholar]
- Mourão, J.L.T.d.A.M.; Pinheiro, V.M.C. Effects of rye, wheat and xylanase supplementation on diet nutritive value and broiler chicken performance. Rev. Bras. Zootec. 2009, 38, 2417–2424. [Google Scholar] [CrossRef]
- Jozefiak, D.; Rutkowski, A.; Jensen, B.B.; Engberg, R.M. Effects of dietary inclusion of triticale, rye and wheat and xylanase supplementation on growth performance of broiler chickens and fermentation in the gastrointestinal tract. Anim. Feed Sci. Tech. 2007, 132, 79–93. [Google Scholar] [CrossRef]
- Langhout, D.J. The Role of the Intestinal Flora as Affected by Non-Starch Polysaccharides in Broiler Chicks; Agricultural University Wageningen: Wageningen, The Netherlands, 1998. [Google Scholar]
- Tellez, G.; Latorre, J.D.; Kuttappan, V.A.; Kogut, M.H.; Wolfenden, A.; Hernandez-Velasco, X.; Hargis, B.M.; Bottje, W.G.; Bielke, L.R.; Faulkner, O.B. Utilization of rye as energy source affects bacterial translocation, intestinal viscosity, microbiota composition, and bone mineralization in broiler chickens. Front. Genet. 2014, 5. [Google Scholar] [CrossRef] [PubMed]
- Singh, Y. Whole Grain Inclusion in Poultry Diets: Effects on Performance, Nutrient Utilisation, Gut Development, Caecal Microflora Profile and Coccidiosis Challenge. Ph.D. Thesis, Massey University, Palmerston North, New Zealand, 2013. [Google Scholar]
- Wu, Y.B.; Ravindran, V.; Thomas, D.; Birtles, M.; Hendriks, W. Influence of method of whole wheat inclusion and xylanase supplementation on the performance, apparent metabolisable energy, digestive tract measurements and gut morphology of broilers. Br. Poult. Sci. 2004, 45, 385–394. [Google Scholar] [CrossRef] [PubMed]
- Svihus, B.; Hetland, H. Ileal starch digestibility in growing broiler chickens fed on a wheat-based diet is improved by mash feeding, dilution with cellulose or whole wheat inclusion. Br. Poult. Sci. 2001, 42, 633–637. [Google Scholar] [CrossRef] [PubMed]
- Jones, G.; Taylor, R. The incorporation of whole grain into pelleted broiler chicken diets: Production and physiological responses. Br. Poult. Sci. 2001, 42, 477–483. [Google Scholar] [CrossRef] [PubMed]
- Bennett, C.; Classen, H.; Riddell, C. Feeding broiler chickens wheat and barley diets containing whole, ground and pelleted grain. Poult. Sci. 2002, 81, 995–1003. [Google Scholar] [CrossRef] [PubMed]
- Yasar, S. Performance, gut size and ileal digesta viscosity of broiler chickens fed with a whole wheat added diet and the diets with different wheat particle sizes. Int. J. Poult. Sci. 2003, 2, 75–82. [Google Scholar]
- Dänicke, S.; Simon, O.; Jeroch, H. Effects of dietary fat type and non-starch-polysaccharide-hydrolysing enzyme addition to rye-based diets on muscle protein turnover in broilers. Br. Poult. Sci. 2003, 44, 245–255. [Google Scholar] [CrossRef]
- Lee, K.; Everts, H.; Kappert, H.; Van Der Kuilen, J.; Lemmens, A.; Frehner, M.; Beynen, A. Growth performance, intestinal viscosity, fat digestibility and plasma cholesterol in broiler chickens fed a rye-containing diet without or with essential oil components. Int. J. Poult. Sci. 2004, 3, 613–618. [Google Scholar]
- Campbell, G.; Classen, H.; Reichert, R.; Campbell, L. Improvement of the nutritive value of rye for broiler chickens by gamma irradiation-induced viscosity reduction. Br. Poult. Sci. 1983, 24, 205–212. [Google Scholar] [CrossRef] [PubMed]
- Choct, M.; Hughes, R.J.; Trimble, R.P.; Angkanaporn, K.; Annison, G. Non-starch polysaccharide-degrading enzymes increase the performance of broiler chickens fed wheat of low apparent metabolizable energy. J. Nutr. 1995, 125, 485–492. [Google Scholar] [CrossRef] [PubMed]
- Bedford, M.; Classen, H. An in vitro assay for prediction of broiler intestinal viscosity and growth when fed rye-based diets in the presence of exogenous enzymes. Poult. Sci. 1993, 72, 137–143. [Google Scholar] [CrossRef]
- Smulikowska, S.; Mieczkowska, A.; Nguyen, C.; Babelewska, M. The influence of digesta viscosity on the development of the stomach, on in vitro small intestinal motility, and on digestion of nutrients in broiler chickens. J. Anim. Feed Sci. 2002, 11, 683–694. [Google Scholar] [CrossRef]
- Ravindran, V.; Amerah, A.M. Wheat: Composition and feeding value for poultry. In Soybean and Wheat Crops: Growth, Fertilization and Yield; Nova Science Publishers: New York, NY, USA, 2009; pp. 245–259. [Google Scholar]
- Simon, O. The mode of action of NSP hydrolysing enzymes in the gastrointestinal tract. J. Anim. Feed Sci. 1998, 7, 115–123. [Google Scholar] [CrossRef]
- Silva, S.; Smithard, R. Effect of enzyme supplementation of a rye-based diet on xylanase activity in the small intestine of broilers, on intestinal crypt cell proliferation and on nutrient digestibility and growth performance of the birds. Br. Poult. Sci. 2002, 43, 274–282. [Google Scholar] [CrossRef]
- Abd El-Wahab, A.; Visscher, C.; Beineke, A.; Beyerbach, M.; Kamphues, J. Effects of high electrolyte contents in the diet and using floor heating on development and severity of foot pad dermatitis in young turkeys. J. Anim. Physiol. Anim. Nutr. 2013, 97, 39–47. [Google Scholar] [CrossRef]
- Chuppava, B.; Visscher, C.; Kamphues, J. Effect of different flooring designs on the performance and foot pad health in broilers and turkeys. Animals 2018, 8, 70. [Google Scholar] [CrossRef]
- Ospina-Rojas, I.; Murakami, A.; Duarte, C.; Eyng, C.; Oliveira, C.; Janeiro, V. Valine, isoleucine, arginine and glycine supplementation of low-protein diets for broiler chickens during the starter and grower phases. Br. Poult. Sci. 2014, 55, 766–773. [Google Scholar] [CrossRef]
- Mathlouthi, N.; LalleȲs, J.P.; Lepercq, P.; Juste, C.; Larbier, M. Xylanase and β-glucanase supplementation improve conjugated bile acid fraction in intestinal contents and increase villus size of small intestine wall in broiler chickens fed a rye-based diet. J. Anim. Sci. 2002, 80, 2773–2779. [Google Scholar] [CrossRef]
- Zang, J.J.; Piao, X.S.; Huang, D.S.; Wang, J.J.; Ma, X.; Ma, Y.X. Effects of feed particle size and feed form on growth performance, nutrient metabolisability and intestinal morphology in broiler chickens. Asian-Australas J. Anim. Sci. 2009, 22, 107–112. [Google Scholar] [CrossRef]
- Qaisrani, S.; Van Krimpen, M.; Kwakkel, R.; Verstegen, M.; Hendriks, W. Diet structure, butyric acid, and fermentable carbohydrates influence growth performance, gut morphology, and cecal fermentation characteristics in broilers. Poult. Sci. 2015, 94, 2152–2164. [Google Scholar] [CrossRef] [PubMed]
- Husvéth, F.; Pál, L.; Galamb, E.; Ács, K.; Bustyaházai, L.; Wágner, L.; Dublecz, F.; Dublecz, K. Effects of whole wheat incorporated into pelleted diets on the growth performance and intestinal function of broiler chickens. Anim. Feed Sci. Tech. 2015, 210, 144–151. [Google Scholar] [CrossRef]




| Week of Life | Group | Starter | Grower | Finisher | SFI 1 | SFII 2 | Crushed Corn | Squashed Rye |
|---|---|---|---|---|---|---|---|---|
| 1 | All groups | 100% | ||||||
| 2 | 100% | |||||||
| 3 | Control | 100% | ||||||
| SFI-Corn | 95% | 5% | ||||||
| SFII-Rye | 95% | 5% | ||||||
| Mixed | 47.5% | 47.5% | 2.5% | 2.5% | ||||
| 4 | Control | 100% | ||||||
| SFI-Corn | 90% | 10% | ||||||
| SFII-Rye | 90% | 10% | ||||||
| Mixed | 45% | 45% | 5% | 5% | ||||
| 5 | Control | 100% | ||||||
| SFI-Corn | 80% | 20% | ||||||
| SFII-Rye | 80% | 20% | ||||||
| Mixed | 40% | 40% | 10% | 10% | ||||
| 6 | Control | 100% | ||||||
| SFI-Corn | 70% | 30% | ||||||
| SFII-Rye | 70% | 30% | ||||||
| Mixed | 35% | 35% | 15% | 15% |
| Item | Ingredient | Feed | |||
|---|---|---|---|---|---|
| Crushed Corn | Squashed Rye | Control 1 | SFI 2 | SFII 3 | |
| Dry matter | 897 | 893 | 879 | 880 | 879 |
| Crude ash | 16.9 | 17.7 | 45.7 | 48.5 | 48.8 |
| Crude protein | 105 | 104 | 222 | 238 | 238 |
| Crude fat | 66.6 | 19.8 | 67.7 | 61.5 | 69.8 |
| Crude fibre | 27.7 | 22.8 | 32.7 | 31.5 | 32.8 |
| Starch | 666 | 611 | 474 | 455 | 450 |
| Sugar | 26.9 | 61.8 | 41.7 | 43.4 | 42.8 |
| Nitrogen free extract | 784 | 836 | 632 | 621 | 611 |
| AMEn 4, MJ/kg | 15.4 | 13.3 | 14.2 | 14.0 | 14.1 |
| Calcium | 0.04 | 0.07 | 6.02 | 5.99 | 6.19 |
| Magnesium | 1.38 | 0.90 | 2.02 | 2.24 | 2.24 |
| Phosphorus | 3.81 | 2.77 | 5.60 | 5.97 | 6.00 |
| Sodium | 0.02 | 0.03 | 1.46 | 1.63 | 1.72 |
| Potassium | 4.64 | 5.26 | 7.70 | 8.69 | 8.69 |
| Chloride | 0.68 | 0.95 | 1.84 | 1.62 | 1.73 |
| Sulfur | 1.34 | 1.38 | 2.44 | 2.91 | 3.19 |
| Arginine | 4.86 | 5.29 | 13.9 | 14.7 | 14.8 |
| Cysteine | 2.41 | 2.52 | 4.14 | 4.16 | 4.16 |
| Isoleucine | 3.29 | 3.15 | 9.12 | 9.61 | 9.94 |
| Leucine | 12.3 | 6.34 | 16.6 | 17.3 | 17.8 |
| Lysine | 3.21 | 3.98 | 13.1 | 13.8 | 14.4 |
| Methionine | 2.16 | 1.77 | 7.31 | 7.11 | 7.51 |
| Phenylalanine | 4.93 | 4.48 | 10.6 | 11.2 | 11.6 |
| Threonine | 4.20 | 3.28 | 9.52 | 9.89 | 8.99 |
| Valine | 4.97 | 4.83 | 10.5 | 10.9 | 11.2 |
| Day of Life | Experimental Diets | p-Value | |||
|---|---|---|---|---|---|
| Control | SFI-Corn 1 | SFII-Rye 2 | Mixed | ||
| 7 | 219 a ± 1.11 | 224 a ± 1.65 | 220 a ± 1.72 | 221 a ± 2.03 | 0.185 |
| 14 | 534 a ± 1.97 | 546 a ± 4.16 | 532 a ± 7.63 | 536 a ± 3.29 | 0.186 |
| 21 | 1004 b ± 2.96 | 1041 a ± 11.6 | 1039 a ± 7.68 | 1027 ab ± 9.53 | 0.018 |
| 28 | 1646 a ± 11.6 | 1708 a ± 25.7 | 1658 a ± 18.0 | 1668 a ± 19.1 | 0.148 |
| 35 | 2350 a ± 14.1 | 2367 a ± 40.1 | 2320 a ± 26.7 | 2338 a ± 37.3 | 0.761 |
| 42 | 3038 a ± 20.7 | 2970 a ± 51.3 | 2932 a ± 39.5 | 2899 a ± 42.3 | 0.106 |
| Experimental Diets | p-Value | ||||
|---|---|---|---|---|---|
| Control | SFI-Corn 1 | SFII-Rye 2 | Mixed | ||
| Feed intake (g) | 4008 a ± 60.5 | 4039 a ± 86.7 | 4089 a ± 76.5 | 4083 a ± 58.9 | 0.834 |
| Water intake (g) | 7012 a ± 106 | 7113 a ± 122 | 7462 a ± 144 | 7107 a ± 252 | 0.258 |
| W/F ratio 3 | 1.75 a ± 0.04 | 1.77 a ± 0.04 | 1.83 a ± 0.02 | 1.74 a ± 0.05 | 0.466 |
| BWG (g) | 2504 a ± 20.6 | 2424 a ± 48.3 | 2400 a ± 40.7 | 2363 a ± 40.6 | 0.093 |
| FCR | 1.60 c ± 0.02 | 1.67 b ± 0.01 | 1.70 a,b ± 0.01 | 1.73 a ± 0.02 | <0.001 |
| Parameter | Experimental Diets | p-Value | |||
|---|---|---|---|---|---|
| Control | SFI-Corn 1 | SFII-Rye 2 | Mixed | ||
| Amount of litter/pen (kg) | 13.7 a ± 0.47 | 13.8 a ± 0.30 | 14.8 a ± 0.21 | 13.7 a ± 0.30 | 0.074 |
| N-intake from feed/pen (g) | 1136 a ± 16.6 | 945 b ± 20.2 | 963 b ± 18.2 | 959 b ± 13.6 | <0.001 |
| N-content in final litter/pen (g) | 297 a ± 22.1 | 280 a ± 13.1 | 304 a ± 18.0 | 313 a ± 17.3 | 0.629 |
| Weight gain/pen (g) | 20,032 a ± 165 | 19,393 a ± 387 | 19,200 a ± 326 | 18,901 a ± 325 | 0.093 |
| N-retained/pen (g) | 708 a ± 2.06 | 654 a ± 12.0 | 655 a ± 9.23 | 637 a ± 9.87 | 0.126 |
| N-retention efficiency (g N retained/g N consumed × 100) | 62.3 c ± 0.87 | 69.2 a ± 0.49 | 68.0 b ± 0.62 | 66.4 b ± 0.56 | <0.001 |
| N-efficiency ratio (g weight gain/g N consumed) | 17.6 c ± 0.22 | 20.5 a ± 0.13 | 19.9 b ± 0.13 | 19.7 b ± 0.19 | <0.001 |
| N-excretion (apparent)/pen (g) | 429 a ± 16.4 | 291 b ± 9.47 | 308 b ± 10.8 | 322 b ± 7.23 | <0.001 |
| N-excretion (apparent)/bird (g) | 55.3 a ± 2.04 | 33.1 b ± 1.18 | 36.4 b ± 1.35 | 36.9 b ± 0.90 | <0.001 |
| Item (%) of Live BW | Experimental Diets | p-Value | |||
|---|---|---|---|---|---|
| Control | SFI-Corn 1 | SFII-Rye 2 | Mixed | ||
| Carcass weight | 83.4 a ± 0.68 | 81.1 a ± 0.59 | 81.0 a ± 0.70 | 81.7 a ± 0.81 | 0.063 |
| Pancreas | 0.17 a ± 0.01 | 0.17 a ± 0.01 | 0.19 a ± 0.01 | 0.17 a ± 0.01 | 0.085 |
| Gizzard | 1.34 b ± 0.05 | 1.68 a ± 0.05 | 1.51 ab ± 0.004 | 1.53 a ± 0.06 | 0.001 |
| Spleen | 0.10 a ± 0.004 | 0.09 a ± 0.003 | 0.10 a ± 0.004 | 0.09 a ± 0.003 | 0.042 |
| Liver | 1.92 a ± 0.05 | 1.99 a ± 0.05 | 1.91 a ± 0.01 | 1.89 a ± 0.04 | 0.491 |
| Bursa | 0.22 a ± 0.01 | 0.21 a ± 0.01 | 0.22 a ± 0.06 | 0.20 a ± 0.01 | 0.786 |
| Ileal digesta viscosity (mPas) | 2.45 a ± 0.06 | 2.41 a ± 0.08 | 2.45 a ± 0.08 | 2.44 a ± 0.08 | 0.980 |
| Organ | Parameter (μm) | Experimental Diets | p-Value | |||
|---|---|---|---|---|---|---|
| Control | SFI-Corn 1 | SFII-Rye 2 | Mixed | |||
| Ileum | Villus height | 483 a ± 21.0 | 425 b ± 13.6 | 518 a ± 16.5 | 512 a ± 15.0 | 0.001 |
| Villus width | 113 a ± 3.91 | 111 a ± 3.64 | 123 a ± 3.59 | 118 a ± 4.59 | 0.133 | |
| Crypt depth | 112 a ± 4.44 | 104 a ± 3.81 | 120 a ± 4.64 | 119 a ± 6.61 | 0.096 | |
| VH:CD ratio 3 | 4.41 a ± 0.23 | 4.16 a ± 0.15 | 4.41 a ± 0.16 | 4.45 a ± 0.15 | 0.630 | |
| Caecum | Villus height | 190 a ± 9.64 | 195 a ± 5.69 | 178 a ± 6.57 | 184 a ± 8.43 | 0.462 |
| Villus width | 69.8 a ± 3.51 | 67.3 a ± 2.08 | 72.0 a ± 2.57 | 76.3 a ± 3.60 | 0.199 | |
| Crypt depth | 69.3 a ± 3.85 | 75.5 a ± 5.32 | 71.8 a ± 2.99 | 82.1 a ± 4.92 | 0.180 | |
| VH:CD ratio 3 | 2.82 a ± 0.14 | 2.78 a ± 0.15 | 2.54 a ± 0.10 | 2.38 a ± 0.14 | 0.079 | |
© 2020 by the authors. Licensee MDPI, Basel, Switzerland. This article is an open access article distributed under the terms and conditions of the Creative Commons Attribution (CC BY) license (http://creativecommons.org/licenses/by/4.0/).
Share and Cite
El-Wahab, A.A.; Lingens, J.B.; Chuppava, B.; Ahmed, M.F.E.; Osman, A.; Langeheine, M.; Brehm, R.; Taube, V.; Grone, R.; von Felde, A.; et al. Impact of Rye Inclusion in Diets for Broilers on Performance, Litter Quality, Foot Pad Health, Digesta Viscosity, Organ Traits and Intestinal Morphology. Sustainability 2020, 12, 7753. https://doi.org/10.3390/su12187753
El-Wahab AA, Lingens JB, Chuppava B, Ahmed MFE, Osman A, Langeheine M, Brehm R, Taube V, Grone R, von Felde A, et al. Impact of Rye Inclusion in Diets for Broilers on Performance, Litter Quality, Foot Pad Health, Digesta Viscosity, Organ Traits and Intestinal Morphology. Sustainability. 2020; 12(18):7753. https://doi.org/10.3390/su12187753
Chicago/Turabian StyleEl-Wahab, Amr Abd, Jan Berend Lingens, Bussarakam Chuppava, Marwa F. E. Ahmed, Ahmed Osman, Marion Langeheine, Ralph Brehm, Venja Taube, Richard Grone, Andreas von Felde, and et al. 2020. "Impact of Rye Inclusion in Diets for Broilers on Performance, Litter Quality, Foot Pad Health, Digesta Viscosity, Organ Traits and Intestinal Morphology" Sustainability 12, no. 18: 7753. https://doi.org/10.3390/su12187753
APA StyleEl-Wahab, A. A., Lingens, J. B., Chuppava, B., Ahmed, M. F. E., Osman, A., Langeheine, M., Brehm, R., Taube, V., Grone, R., von Felde, A., Kamphues, J., & Visscher, C. (2020). Impact of Rye Inclusion in Diets for Broilers on Performance, Litter Quality, Foot Pad Health, Digesta Viscosity, Organ Traits and Intestinal Morphology. Sustainability, 12(18), 7753. https://doi.org/10.3390/su12187753

