A Report of Two Uncommon Cases of Mycobacterium chelonae with Localized and Disseminated Skin and Soft Tissue Infection
Abstract
1. Introduction
2. Case Presentation
2.1. Case 1: M. chelonae Tenosynovitis and Osteomyelitis
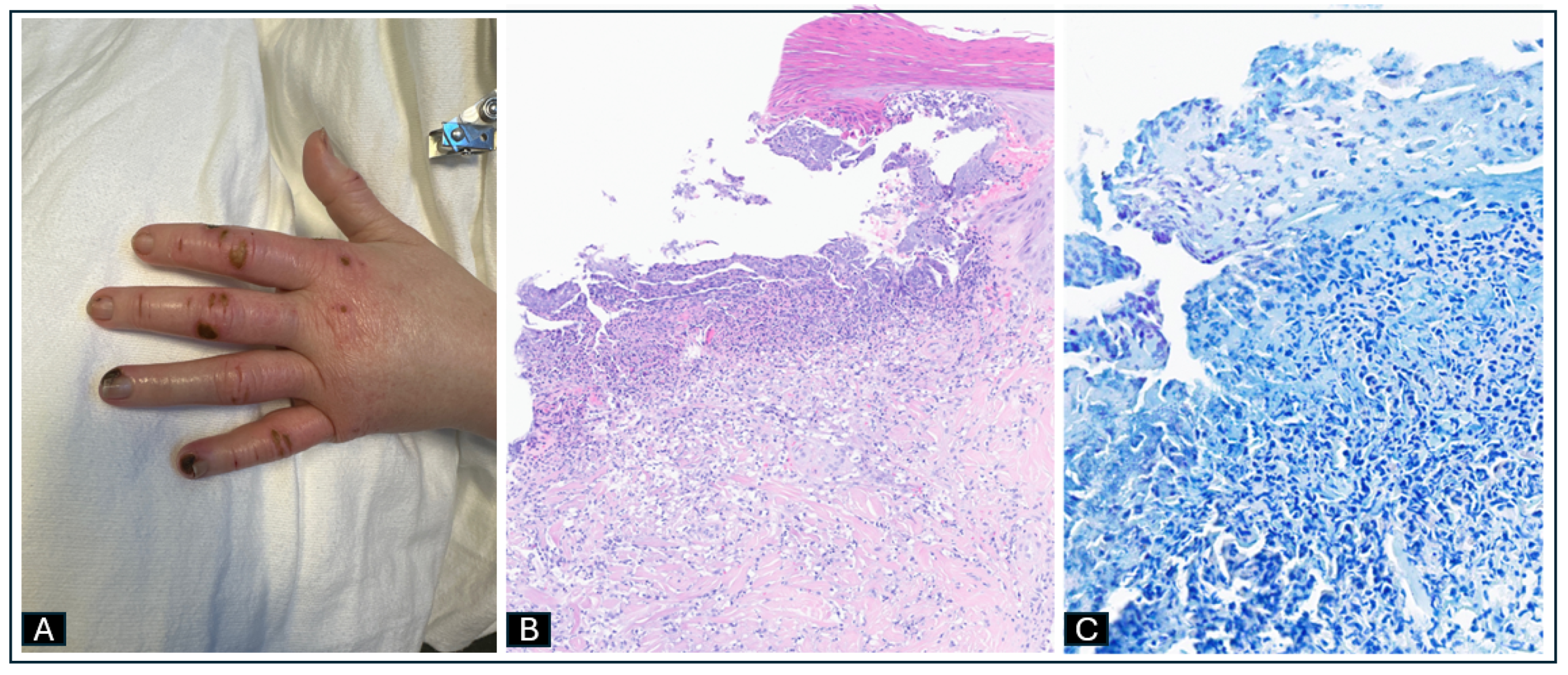
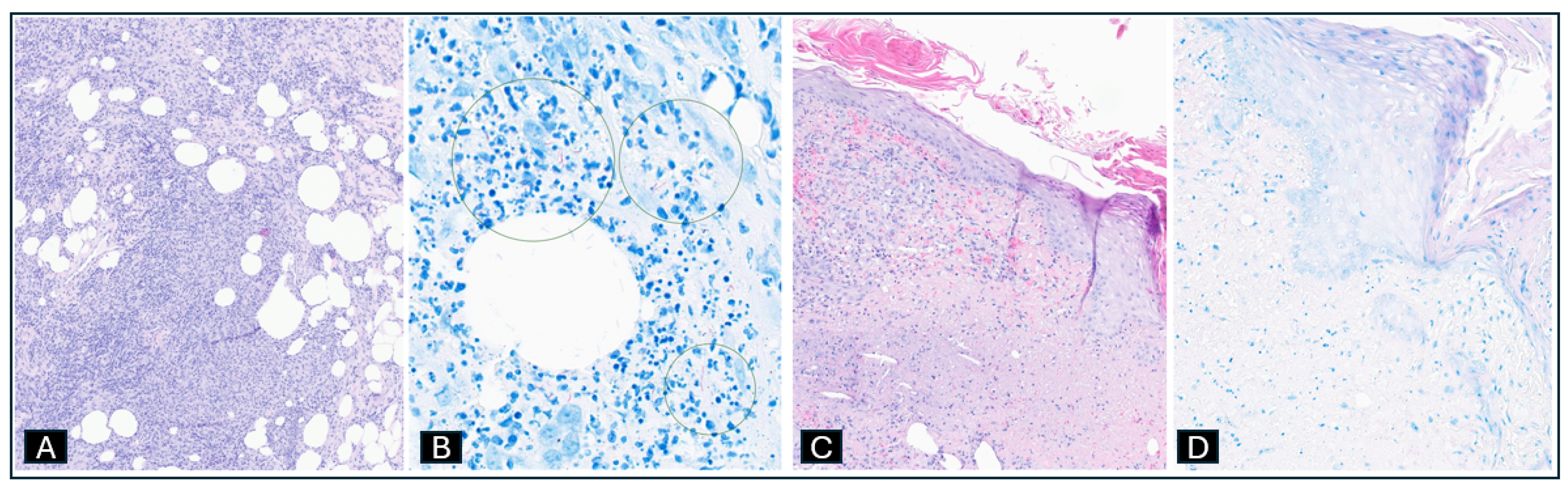
2.2. Case 2: Disseminated M. chelonae
3. Discussion
4. Conclusions
Author Contributions
Funding
Institutional Review Board Statement
Informed Consent Statement
Data Availability Statement
Conflicts of Interest
References
- Fowler, J.; Mahlen, S.D. Localized cutaneous infections in immunocompetent individuals due to rapidly growing mycobacteria. Arch. Pathol. Lab. Med. 2014, 138, 1106–1109. [Google Scholar] [CrossRef] [PubMed]
- Uslu, U.; Böhm, O.; Heppt, F.; Sticherling, M. Skin and Soft Tissue Infections Caused by Mycobacterium chelonae: More Common Than Expected? Acta Derm. Venereol. 2019, 99, 889–893. [Google Scholar] [CrossRef] [PubMed]
- Yu, E.; Forg, P.; Crum-Cianflone, N.F. Case Series and Review of the Literature of Mycobacterium chelonae Infections of the Lower Extremities. J. Foot Ankle Surg. 2020, 59, 1084–1091. [Google Scholar] [CrossRef] [PubMed]
- Mateo, L.; Rufí, G.; Nolla, J.M.; Alcaide, F. Mycobacterium chelonae tenosynovitis of the hand. Semin. Arthritis Rheum. 2004, 34, 617–622. [Google Scholar] [CrossRef] [PubMed]
- McFee, R.B. Mycobacterium chelonae. Disease-a-Month 2013, 59, 439–440. [Google Scholar] [CrossRef] [PubMed]
- Little, J.S.; Dedrick, R.M.; Freeman, K.G.; Cristinziano, M.; Smith, B.E.; Benson, C.A.; Jhaveri, T.A.; Baden, L.R.; Solomon, D.A.; Hatfull, G.F. Bacteriophage treatment of disseminated cutaneous Mycobacterium chelonae infection. Nat. Commun. 2022, 13, 2313. [Google Scholar] [CrossRef] [PubMed] [PubMed Central]
- Kennedy, B.S.; Bedard, B.; Younge, M.; Tuttle, D.; Ammerman, E.; Ricci, J.; Doniger, A.S.; Escuyer, V.E.; Mitchell, K.; Noble-Wang, J.A.; et al. Outbreak of Mycobacterium chelonae infection associated with tattoo ink. N. Engl. J. Med. 2012, 367, 1020–1024. [Google Scholar] [CrossRef] [PubMed]
- Meyers, H.; Brown-Elliott, B.A.; Moore, D.; Curry, J.; Truong, C.; Zhang, Y.; Wallace, R.J., Jr. An outbreak of Mycobacterium chelonae infection following liposuction. Clin. Infect. Dis. 2002, 34, 1500–1507. [Google Scholar] [CrossRef] [PubMed]
- Song, Y.; Zhang, L.; Yang, H.; Liu, G.; Huang, H.; Wu, J.; Chen, J. Nontuberculous mycobacterium infection in renal transplant recipients: A systematic review. Infect. Dis. 2018, 50, 409–416. [Google Scholar] [CrossRef] [PubMed]
- Joao, I.; Bujdáková, H.; Jordao, L. Opportunist Coinfections by Nontuberculous Mycobacteria and Fungi in Immunocompromised Patients. Antibiotics 2020, 9, 771. [Google Scholar] [CrossRef] [PubMed] [PubMed Central]
- Griffith, D.E.; Aksamit, T.; Brown-Elliott, B.A.; Catanzaro, A.; Daley, C.; Gordin, F.; Holland, S.M.; Horsburgh, R.; Huitt, G.; Iademarco, M.F.; et al. An official ATS/IDSA statement: Diagnosis, treatment, and prevention of nontuberculous mycobacterial diseases. Am. J. Respir. Crit. Care Med. 2007, 175, 367–416, Erratum in Am. J. Respir. Crit. Care Med. 2007, 175, 744–745. [Google Scholar] [CrossRef] [PubMed]
- Medical Section of the American Lung Association. Diagnosis and Treatment of Disease Caused by Nontuberculous Mycobacteria. Am. J. Respir. Crit. Care Med. 1997, 156 Pt 2, S1–S25. [Google Scholar] [CrossRef] [PubMed]
- Frizzell, M.; Carr, E.; Brust, K. Omadacycline for treatment of Mycobacterium chelonae skin infection. Bayl. Univ. Med. Cent. Proc. 2020, 33, 610–611. [Google Scholar] [CrossRef] [PubMed] [PubMed Central]
- Kasperbauer, S.H.; De Groote, M.A. The treatment of rapidly growing mycobacterial infections. Clin. Chest Med. 2015, 36, 67–78. [Google Scholar] [CrossRef] [PubMed]
- Omar, S.; Whitfield, M.G.; Nolan, M.B.; Ngom, J.T.; Ismail, N.; Warren, R.M.; Klopper, M. Bedaquiline for treatment of non-tuberculous mycobacteria (NTM): A systematic review and meta-analysis. J. Antimicrob. Chemother. 2024, 79, 211–240. [Google Scholar] [CrossRef] [PubMed] [PubMed Central]
- Tabaja, H.; Saleem, H.Y.; Bakri, K.; Tande, A.J. Two Decades of Insights into Nontuberculous Mycobacterial Hand Infections. Open Forum Infect. Dis. 2024, 11, ofae152. [Google Scholar] [CrossRef] [PubMed] [PubMed Central]





| Test/Case | Case 1 (First Admission) | Case 1 (Second Admission) | Case 2 |
|---|---|---|---|
| White blood cell count (×109/L) | 10 | 8.4 | 0.9 (ANC: 130) |
| Hemoglobin (g/dL) | 10.1 | 8.5 | 7.6 |
| Platelet count (×109/L) | 323 | 243 | 21 |
| Creatinine (mg/dL) | 2.04 | 5.74 | |
| Other blood workup | CRP 10.5 mg/L. Blood cultures no growth | CRP 34 mg/L | Blood and fungal cultures no growth. CRP 91.9 mg/L |
Disclaimer/Publisher’s Note: The statements, opinions and data contained in all publications are solely those of the individual author(s) and contributor(s) and not of MDPI and/or the editor(s). MDPI and/or the editor(s) disclaim responsibility for any injury to people or property resulting from any ideas, methods, instructions or products referred to in the content. |
© 2025 by the authors. Licensee MDPI, Basel, Switzerland. This article is an open access article distributed under the terms and conditions of the Creative Commons Attribution (CC BY) license (https://creativecommons.org/licenses/by/4.0/).
Share and Cite
Rueda Prada, L.; Gorasevic, M.; Gavrancic, T.; Rajani, A.J.; Sluzevich, J.C.; Nair-Collins, S.; Durvasula, R.V. A Report of Two Uncommon Cases of Mycobacterium chelonae with Localized and Disseminated Skin and Soft Tissue Infection. Infect. Dis. Rep. 2025, 17, 13. https://doi.org/10.3390/idr17010013
Rueda Prada L, Gorasevic M, Gavrancic T, Rajani AJ, Sluzevich JC, Nair-Collins S, Durvasula RV. A Report of Two Uncommon Cases of Mycobacterium chelonae with Localized and Disseminated Skin and Soft Tissue Infection. Infectious Disease Reports. 2025; 17(1):13. https://doi.org/10.3390/idr17010013
Chicago/Turabian StyleRueda Prada, Libardo, Marko Gorasevic, Tatjana Gavrancic, Aayushi J. Rajani, Jason C. Sluzevich, Sangeeta Nair-Collins, and Ravi V. Durvasula. 2025. "A Report of Two Uncommon Cases of Mycobacterium chelonae with Localized and Disseminated Skin and Soft Tissue Infection" Infectious Disease Reports 17, no. 1: 13. https://doi.org/10.3390/idr17010013
APA StyleRueda Prada, L., Gorasevic, M., Gavrancic, T., Rajani, A. J., Sluzevich, J. C., Nair-Collins, S., & Durvasula, R. V. (2025). A Report of Two Uncommon Cases of Mycobacterium chelonae with Localized and Disseminated Skin and Soft Tissue Infection. Infectious Disease Reports, 17(1), 13. https://doi.org/10.3390/idr17010013

