Azygos Vein ICD Lead Implantation Lowers Defibrillation Threshold in a Patient with Hypertrophic Cardiomyopathy
Abstract
:1. Introduction
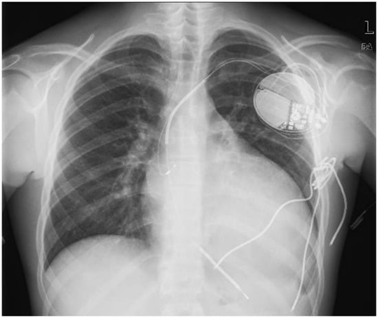
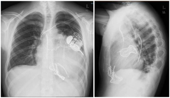
2. Case Presentation
3. Discussion
4. Conclusions
Funding
Institutional Review Board Statement
Informed Consent Statement
Data Availability Statement
Conflicts of Interest
References
- Elliott, P.M.; Anastasakis, A.; Borger, M.A.; Borggrefe, M.; Cecchi, F.; Charron, P.; Hagege, A.A.; Lafont, A.; Limongelli, G.; Mahrholdt, H.; et al. ESC Guidelines on diagnosis and management of hypertrophic cardiomyopathy: The Task Force for the Diagnosis and Management of Hypertrophic Cardiomyopathy of the European Society of Cardiology (ESC). Eur. Heart J. 2014, 35, 2733–2779. [Google Scholar] [PubMed]
- Francia, P.; Adduci, C.; Semprini, L.; Palano, F.; Santini, D.; Musumeci, B.; Santolamazza, C.; Volpe, M.; Autore, C. Prognostic Implications of Defibrillation Threshold Testing in Patients with Hypertrophic Cardiomyopathy. J. Cardiovasc. Electrophysiol. 2017, 28, 103–108. [Google Scholar] [CrossRef] [PubMed] [Green Version]
- Maron, B.J.; Spirito, P.; Shen, W.K.; Haas, T.S.; Formisano, F.; Link, M.S.; Epstein, A.E.; Almquist, A.K.; Daubert, J.P.; Lawrenz, T.; et al. Implantable cardioverter-defibrillators and prevention of sudden cardiac death in hypertrophic cardiomyopathy. JAMA 2007, 298, 405–412. [Google Scholar] [CrossRef] [PubMed] [Green Version]
- Roberts, B.D.; Hood, R.E.; Saba, M.M.; Dickfeld, T.M.; Saliaris, A.P.; Shorofsky, S.R. Defibrillation threshold testing in patients with hypertrophic cardiomyopathy. Pacing Clin. Electrophysiol. 2010, 33, 1342–1346. [Google Scholar] [CrossRef] [PubMed]
- Quin, E.M.; Cuoco, F.A.; Forcina, M.S.; Coker, J.B.; Yoe, R.H.; Spencer, W.H., 3rd; Fernandes, V.L.; Nielsen, C.D.; Sturdivant, J.L.; Leman, R.B.; et al. Defibrillation thresholds in hypertrophic cardiomyopathy. J. Cardiovasc. Electrophysiol. 2011, 22, 569–572. [Google Scholar] [CrossRef] [PubMed]
- Cooper, J.A.; Latacha, M.P.; Soto, G.E.; Garmany, R.G.; Gleva, M.J.; Chen, J.; Faddis, M.N.; Smith, T.W. The azygos defibrillator lead for elevated defibrillation thresholds: Implant technique, lead stability, and patient series. Pacing Clin. Electrophysiol. 2008, 31, 1405–1410. [Google Scholar] [CrossRef] [PubMed]
- Seow, S.C.; Tolentino, C.S.; Zhao, J.; Lim, T.W. Azygous vein coil lowers defibrillation threshold in patients with high defibrillation threshold. Europace 2011, 13, 825–828. [Google Scholar] [CrossRef] [PubMed]
- Jastrzębski, M.; Czarnecka, D. Obniżenie progu defibrylacji poprzez implantację elektrody defibrylującej do vena azygos [Change of defibrillation vector with addition of an azygos vein coil lowers defibrillation threshold]. Kardiol Pol. 2012, 70, 1202–1204. [Google Scholar] [PubMed]
- Cooper, J.A.; Smith, T.W. How to implant a defibrillation coil in the azygous vein. Heart Rhythm 2009, 6, 1677–1680. [Google Scholar] [CrossRef] [PubMed]
- Yamada, T.; Robertson, P.G.; McElderry, H.T.; Doppalapudi, H.; Plumb, V.J.; Kay, G.N. Successful reduction of a high defibrillation threshold by a combined implantation of a subcutaneous array and azygos vein lead. Pacing Clin. Electrophysiol. 2012, 35, e173–e176. [Google Scholar] [CrossRef] [PubMed]



Publisher’s Note: MDPI stays neutral with regard to jurisdictional claims in published maps and institutional affiliations. |
© 2021 by the authors. Licensee MDPI, Basel, Switzerland. This article is an open access article distributed under the terms and conditions of the Creative Commons Attribution (CC BY) license (https://creativecommons.org/licenses/by/4.0/).
Share and Cite
Quarta, G.; Ferrari, P.; Giammarresi, A.; Malanchini, G.; Leidi, C.; Senni, M.; De Filippo, P. Azygos Vein ICD Lead Implantation Lowers Defibrillation Threshold in a Patient with Hypertrophic Cardiomyopathy. Cardiogenetics 2021, 11, 185-190. https://doi.org/10.3390/cardiogenetics11040019
Quarta G, Ferrari P, Giammarresi A, Malanchini G, Leidi C, Senni M, De Filippo P. Azygos Vein ICD Lead Implantation Lowers Defibrillation Threshold in a Patient with Hypertrophic Cardiomyopathy. Cardiogenetics. 2021; 11(4):185-190. https://doi.org/10.3390/cardiogenetics11040019
Chicago/Turabian StyleQuarta, Giovanni, Paola Ferrari, Andrea Giammarresi, Giovanni Malanchini, Cristina Leidi, Michele Senni, and Paolo De Filippo. 2021. "Azygos Vein ICD Lead Implantation Lowers Defibrillation Threshold in a Patient with Hypertrophic Cardiomyopathy" Cardiogenetics 11, no. 4: 185-190. https://doi.org/10.3390/cardiogenetics11040019
APA StyleQuarta, G., Ferrari, P., Giammarresi, A., Malanchini, G., Leidi, C., Senni, M., & De Filippo, P. (2021). Azygos Vein ICD Lead Implantation Lowers Defibrillation Threshold in a Patient with Hypertrophic Cardiomyopathy. Cardiogenetics, 11(4), 185-190. https://doi.org/10.3390/cardiogenetics11040019

