Development of Theranostic Cationic Liposomes Designed for Image-Guided Delivery of Nucleic Acid
Abstract
1. Introduction
2. Materials and Methods
2.1. Materials
2.2. Cationic Liposome Preparation
2.3. Magnetic Liposome Preparation
2.3.1. Reverse Phase Evaporation Method
2.3.2. Post-Insertion of DMAPAP into Pre-Formed UML
2.3.3. Cosolvent Sonication Method
2.4. Lipoplex Formation
2.5. Characterization
2.5.1. Dynamic Light Scattering
2.5.2. Atomic Absorption Spectroscopy
2.5.3. Transmission Electron Microscopy (TEM) and Transmission Electron Cryomicroscopy (cryoTEM)
2.5.4. Relaxivity at 7 T
2.5.5. Lipoplex Formation Efficiency
2.6. Transfection In Vitro
2.7. Cytotoxicity Test
2.8. Statistical Analysis
3. Results and Discussion
3.1. MCLs by Post Insertion of DMAPAP
3.2. Optimization of MCLs by Reverse Phase Evaporation Method
3.3. Optimization of MCLs by Cosolvent Sonication Method
3.3.1. Effect of Sonication Time
3.3.2. Effect of PEGn-PE on the Colloidal Stability of Cosol Formulations
3.4. Comparison of MCLs Prepared by Two Methods
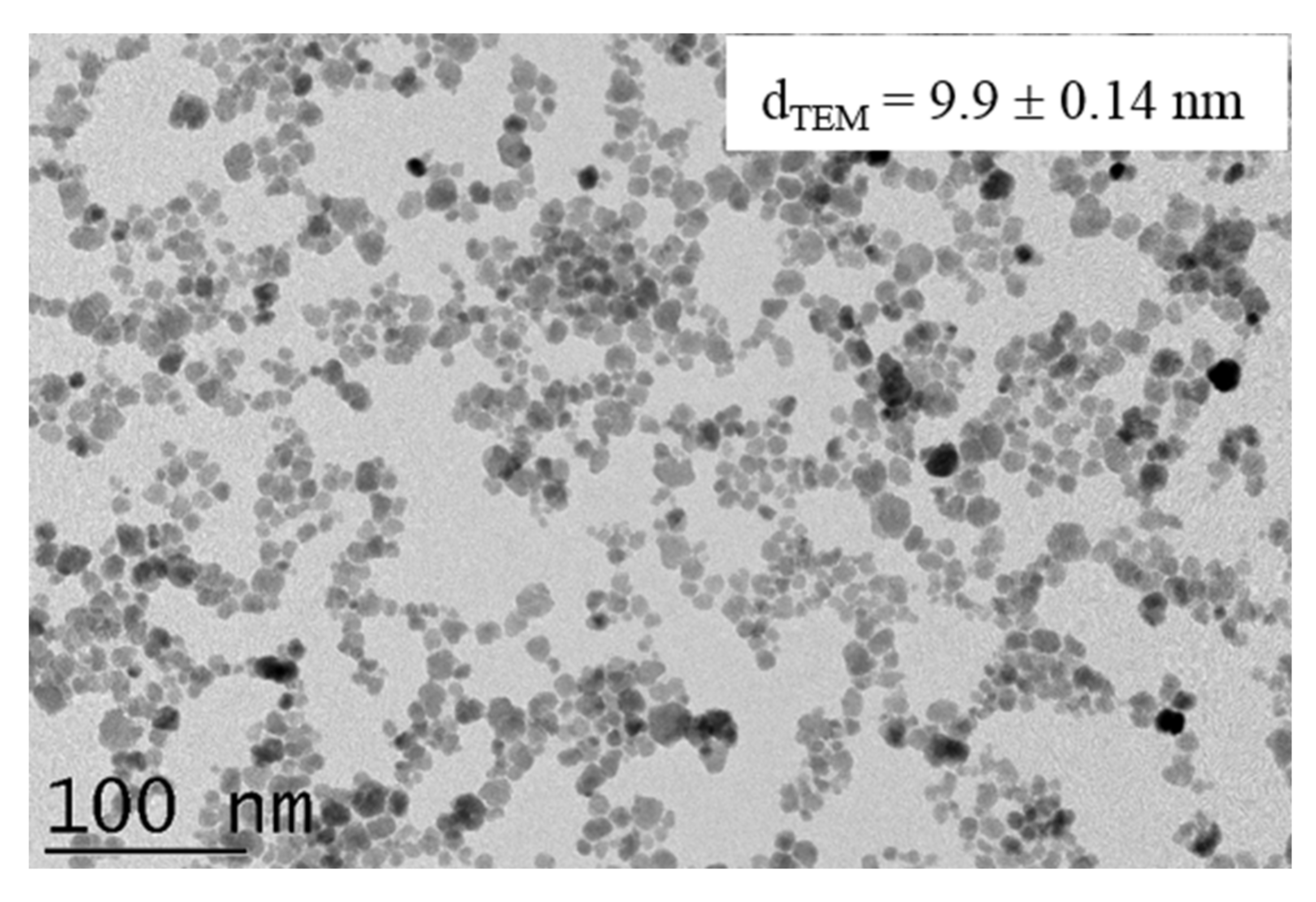
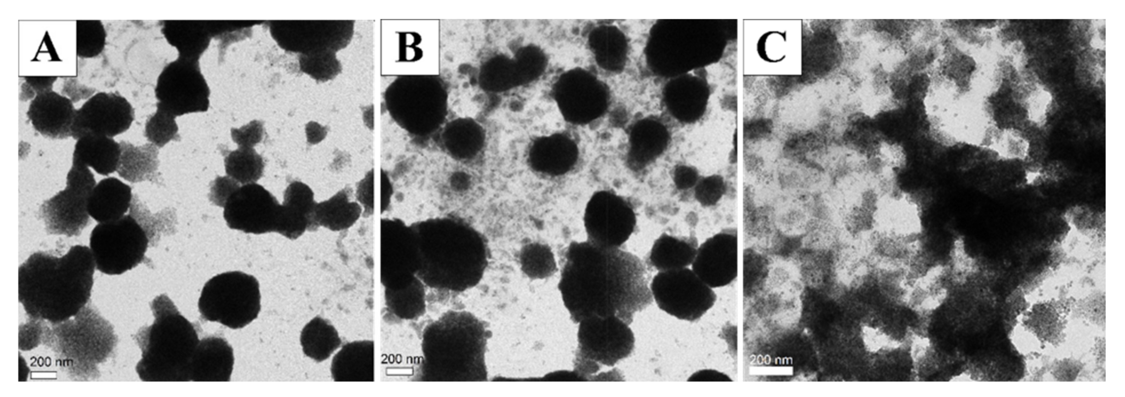
3.4.1. TEM, CryoTEM
3.4.2. Movement of MCLs under External Magnetic Field Exposure
3.4.3. MRI Relaxivity at 7T
3.4.4. Lipoplexation
3.4.5. In Vitro Transfection Efficiency
3.5. Optimization of In Vitro Transfection by Cosol_MCLs
3.5.1. Optimization of PEG Length and Charge Ratio
3.5.2. Optimization of Magnetic Induction Time
3.6. Cytotoxicity of Cosol_MCLs and their Lipoplexes
4. Conclusions
Supplementary Materials
Author Contributions
Funding
Acknowledgments
Conflicts of Interest
References
- Blaese, R.M.; Culver, K.W.; Miller, A.D.; Carter, C.S.; Fleisher, T.; Clerici, M.; Shearer, G.; Chang, L.; Chiang, Y.; Tolstoshev, P.; et al. T lymphocyte-directed gene therapy for ADA-SCID: Initial trial results after 4 years. Science 1995, 270, 475–480. [Google Scholar] [CrossRef] [PubMed]
- Rosenberg, S.A.; Aebersold, P.; Cornetta, K.; Kasid, A.; Morgan, R.A.; Moen, R.; Karson, E.M.; Lotze, M.T.; Yang, J.C.; Topalian, S.L.; et al. Gene Transfer into humans—Immunotherapy of patients with advanced melanoma, using tumor-infiltrating lymphocytes modified by retroviral gene transduction. N. Engl. J. Med. 1990, 323, 570–578. [Google Scholar] [CrossRef] [PubMed]
- Culver, K.; Cornetta, K.; Morgan, R.; Morecki, S.; Aebersold, P.; Kasid, A.; Lotze, M.; Rosenberg, S.A.; Anderson, W.F.; Blaese, R.M. Lymphocytes as cellular vehicles for gene therapy in mouse and man. Proc. Natl. Acad. Sci. USA 1991, 88, 3155–3159. [Google Scholar] [CrossRef] [PubMed]
- Ginn, S.L.; Amaya, A.K.; Alexander, I.E.; Edelstein, M.; Abedi, M.R. Gene therapy clinical trials worldwide to 2017: An update. J. Gene Med. 2018, 20, e3015. [Google Scholar] [CrossRef] [PubMed]
- Mulligan, R. The basic science of gene therapy. Science 1993, 260, 926–932. [Google Scholar] [CrossRef] [PubMed]
- Ibraheem, D.; Elaissari, A.; Fessi, H. Gene therapy and DNA delivery systems. Int. J. Pharm. 2014, 459, 70–83. [Google Scholar] [CrossRef]
- Riley, M.; Vermerris, W. Recent Advances in Nanomaterials for Gene Delivery—A Review. Nanomaterials 2017, 7, 94. [Google Scholar] [CrossRef]
- Faraji, A.H.; Wipf, P. Nanoparticles in cellular drug delivery. Bioorg. Med. Chem. 2009, 17, 2950–2962. [Google Scholar] [CrossRef]
- El-Aneed, A. An overview of current delivery systems in cancer gene therapy. J. Control. Release 2004, 94, 1–14. [Google Scholar] [CrossRef]
- Byk, G.; Dubertret, C.; Escriou, V.; Frederic, M.; Jaslin, G.; Rangara, R.; Pitard, B.; Crouzet, J.; Wils, P.; Schwartz, B.; et al. Synthesis, activity, and structure-activity relationship studies of novel cationic lipids for DNA transfer. J. Med. Chem. 1998, 41, 229–235. [Google Scholar] [CrossRef]
- Thompson, B.; Mignet, N.; Hofland, H.; Lamons, D.; Seguin, J.; Nicolazzi, C.; De La Figuera, N.; Kuen, R.L.; Meng, X.Y.; Scherman, D.; et al. Neutral postgrafted colloidal particles for gene delivery. Bioconjug. Chem. 2005, 16, 608–614. [Google Scholar] [CrossRef] [PubMed]
- Bessodes, M.; Dhotel, H.; Mignet, N. Lipids for nucleic acid delivery: Cationic or neutral lipoplexes, synthesis, and particle formation. Methods Mol. Biol. (Clifton, N.J.) 2019, 1943, 123–139. [Google Scholar]
- Schlegel, A.; Largeau, C.; Bigey, P.; Bessodes, M.; Lebozec, K.; Scherman, D.; Escriou, V. Anionic polymers for decreased toxicity and enhanced in vivo delivery of siRNA complexed with cationic liposomes. J. Control. Release 2011, 152, 393–401. [Google Scholar] [CrossRef] [PubMed]
- Schlegel, A.; Bigey, P.; Dhotel, H.; Scherman, D.; Escriou, V. Reduced in vitro and in vivo toxicity of siRNA-lipoplexes with addition of polyglutamate. J. Control. Release 2013, 165, 1–8. [Google Scholar] [CrossRef] [PubMed]
- Jiang, S.; Eltoukhy, A.A.; Love, K.T.; Langer, R.; Anderson, D.G. Lipidoid-coated iron oxide nanoparticles for efficient DNA and siRNA delivery. Nano Lett. 2013, 13, 1059–1064. [Google Scholar] [CrossRef]
- Zheng, X.; Lu, J.; Deng, L.; Xiong, Y.; Chen, J. Preparation and characterization of magnetic cationic liposome in gene delivery. Int. J. Pharm. 2009, 366, 211–217. [Google Scholar] [CrossRef] [PubMed]
- Samadikhah, H.R.; Majidi, A.; Nikkhah, M.; Hosseinkhani, S. Preparation, characterization, and efficient transfection of cationic liposomes and nanomagnetic cationic liposomes. Int. J. Nanomedicine 2011, 6, 2275–2283. [Google Scholar]
- Reddy, L.H.; Arias, J.L.; Nicolas, J.; Couvreur, P. Magnetic Nanoparticles: Design and Characterization, Toxicity and Biocompatibility, Pharmaceutical and Biomedical Applications. Chem. Rev. 2012, 112, 5818–5878. [Google Scholar] [CrossRef]
- Vallabani, N.V.S.; Singh, S. Recent advances and future prospects of iron oxide nanoparticles in biomedicine and diagnostics. 3 Biotech 2018, 8, 279. [Google Scholar] [CrossRef]
- Béalle, G.; Di Corato, R.; Kolosnjaj-Tabi, J.; Dupuis, V.; Clément, O.; Gazeau, F.; Wilhelm, C.; Ménager, C. Ultra Magnetic Liposomes for MR Imaging, Targeting, and Hyperthermia. Langmuir 2012, 28, 11834–11842. [Google Scholar] [CrossRef]
- Fernández-Sánchez, M.E.; Barbier, S.; Whitehead, J.; Béalle, G.; Michel, A.; Latorre-Ossa, H.; Rey, C.; Fouassier, L.; Claperon, A.; Brullé, L.; et al. Mechanical induction of the tumorigenic β-catenin pathway by tumour growth pressure. Nature 2015, 523, 92–95. [Google Scholar] [CrossRef] [PubMed]
- Thébault, C.J.; Ramniceanu, G.; Michel, A.; Beauvineau, C.; Girard, C.; Seguin, J.; Mignet, N.; Ménager, C.; Doan, B.-T. In Vivo Evaluation of Magnetic Targeting in Mice Colon Tumors with Ultra-Magnetic Liposomes Monitored by MRI. Mol. Imaging Biol. 2019, 21, 269–278. [Google Scholar] [CrossRef] [PubMed]
- Marie, C.; Vandermeulen, G.; Quiviger, M.; Richard, M.; Préat, V.; Scherman, D. pFARs, plasmids free of antibiotic resistance markers, display high-level transgene expression in muscle, skin and tumour cells. J. Gene Med. 2010, 12, 323–332. [Google Scholar] [CrossRef] [PubMed]
- Nag, O.K.; Awasthi, V. Surface Engineering of Liposomes for Stealth Behavior. Pharmaceutics 2013, 5, 542. [Google Scholar] [CrossRef]
- Nakamura, K.; Yamashita, K.; Itoh, Y.; Yoshino, K.; Nozawa, S.; Kasukawa, H. Comparative studies of polyethylene glycol-modified liposomes prepared using different PEG-modification methods. Biochim. Biophys. Acta-Biomembr. 2012, 1818, 2801–2807. [Google Scholar] [CrossRef]
- Béalle, G. Préparation de Vésicules Magnétiques pour le Traitement Anticancéreux par Hyperthermie ou par Photothérapie Dynamique. Ph.D. Thesis, Sorbonne University, Paris, France, 2012. [Google Scholar]
- Nicolazzi, C.; Garinot, M.; Mignet, N.; Scherman, D.; Bessodes, M. Cationic Lipids for Transfection. Curr. Med. Chem. 2005, 10, 1263–1277. [Google Scholar] [CrossRef]
- Verhoef, J.J.F.; Anchordoquy, T.J. Questioning the Use of PEGylation for Drug Delivery. Drug Deliv. Transl. Res. 2013, 3, 499–503. [Google Scholar] [CrossRef]
- Hobbs, S.K.; Monsky, W.L.; Yuan, F.; Roberts, W.G.; Griffith, L.; Torchilin, V.P.; Jain, R.K. Regulation of transport pathways in tumor vessels: Role of tumor type and microenvironment. Proc. Natl. Acad. Sci. USA 1998, 95, 4607–4612. [Google Scholar] [CrossRef]
- Stylianopoulos, T. EPR-effect: Utilizing size-dependent nanoparticle delivery to solid tumors. Ther. Deliv. 2013, 4, 421–423. [Google Scholar] [CrossRef]
- Yuan, F.; Dellian, M.; Fukumura, D.; Leunig, M.; Berk, D.A.; Jain, R.K.; Torchilin, V.P. Vascular Permeability in a Human Tumor Xenograft: Molecular Size Dependence and Cutoff Size. Cancer Res. 1995, 55, 3752–3756. [Google Scholar]
- Martínez-González, R.; Estelrich, J.; Busquets, M.A. Liposomes loaded with hydrophobic iron oxide nanoparticles: Suitable T2 contrast agents for MRI. Int. J. Mol. Sci. 2016, 17, 1209. [Google Scholar] [CrossRef] [PubMed]
- Lv, H.; Zhang, S.; Wang, B.; Cui, S.; Yan, J. Toxicity of cationic lipids and cationic polymers in gene delivery. J. Control. Release 2006, 114, 100–109. [Google Scholar] [CrossRef]
- Seguin, J.; Dhotel, H.; Kai-Luen, R.; Bessodes, M.; Mignet, N. Fine tuning of mixed ionic and hydrogen bond interactions for plasmid delivery using lipoplexes. Eur. J. Pharm. Biopharm. 2015, 90, 63–69. [Google Scholar] [CrossRef]
- Tranchant, I.; Thompson, B.; Nicolazzi, C.; Mignet, N.; Scherman, D. Physicochemical optimisation of plasmid delivery by cationic lipids. J. Gene Med. 2004, 6, 24–35. [Google Scholar] [CrossRef] [PubMed]
- Baraldo, K.; Leforestier, N.; Bureau, M.; Mignet, N.; Scherman, D. Sphingosine-based liposome as DNA vector for intramuscular gene delivery. Pharm. Res. 2002, 19, 1144–1149. [Google Scholar] [CrossRef]
- Turek, J.; Dubertret, C.; Jaslin, G.; Antonakis, K.; Scherman, D.; Pitard, B. Formulations which increase the size of lipoplexes prevent serum-associated inhibition of transfection. J. Gene Med. 2000, 2, 32–40. [Google Scholar] [CrossRef]
- Rejman, J.; Wagenaar, A.; Engberts, J.B.F.; Hoekstra, D. Characterization and transfection properties of lipoplexes stabilized with novel exchangeable polyethylene glycol–lipid conjugates. Biochim. Biophys. Acta-Biomembr. 2004, 1660, 41–52. [Google Scholar] [CrossRef] [PubMed][Green Version]
- Plank, C.; Schillinger, U.; Scherer, F.; Bergemann, C.; Rémy, J.-S.; Krötz, F.; Anton, M.; Lausier, J.; Rosenecker, J. The Magnetofection Method: Using Magnetic Force to Enhance Gene Delivery. Biol. Chem. 2003, 384, 737–747. [Google Scholar] [CrossRef]
- Namiki, Y.; Namiki, T.; Yoshida, H.; Ishii, Y.; Tsubota, A.; Koido, S.; Nariai, K.; Mitsunaga, M.; Yanagisawa, S.; Kashiwagi, H.; et al. A novel magnetic crystal-lipid nanostructure for magnetically guided in vivo gene delivery. Nat. Nanotechnol. 2009, 4, 598–606. [Google Scholar] [CrossRef]
- Manta, S.; Renault, G.; Delalande, A.; Couture, O.; Lagoutte, I.; Seguin, J.; Lager, F.; Houzé, P.; Midoux, P.; Bessodes, M.; et al. Cationic microbubbles and antibiotic-free miniplasmid for sustained ultrasound–mediated transgene expression in liver. J. Control. Release 2017, 262, 170–181. [Google Scholar] [CrossRef]
- Li, Y.; Cui, X.L.; Chen, Q.S.; Yu, J.; Zhang, H.; Gao, J.; Sun, D.X.; Zhang, G.Q. Cationic liposomes induce cytotoxicity in HepG2 via regulation of lipid metabolism based on whole-transcriptome sequencing analysis. BMC Pharmacol. Toxicol. 2018, 19, 43. [Google Scholar] [CrossRef] [PubMed]
- Peng, Z.; Wang, C.; Fang, E.; Lu, X.; Wang, G.; Tong, Q. Co-delivery of doxorubicin and SATB1 shRNA by Thermosensitive Magnetic Cationic Liposomes for Gastric Cancer Therapy. PLoS ONE 2014, 9. [Google Scholar] [CrossRef] [PubMed]
- Shinkai, M.; Yanase, M.; Honda, H.; Wakabayashi, T.; Yoshida, J.; Kobayashi, T. Intracellular hyperthermia for cancer using magnetite cationic liposomes: In vitro study. Jpn. J. Cancer Res. 1996, 87, 1179–1183. [Google Scholar] [CrossRef] [PubMed]


















| Components | MCLs | UMLs |
|---|---|---|
| DOPE (mol%) | 49 | 0 |
| DMAPAP (mol%) | 50 | 0 |
| 14:0 PEG-PE (mol%) | 1 | 0 |
| DPPC (mol%) | 0 | 86 |
| DSPC (mol%) | 0 | 9 |
| 18:0 PEG2000-PE (mol%) | 0 | 5 |
| Fe (mM) | 2.5–1000 | 1000 |
| Label | Fe Concentration Input (mM) | Z Average (d.nm) | PDI | Zeta Potential (mV) | Encapsulation Efficiency % | Loading Efficiency % |
|---|---|---|---|---|---|---|
| REV_MCL_2.5 | 2.5 | 126.3 ± 2.6 | 0.188 ± 0.043 | +71.6 ± 4.2 | 70.3 ± 2.1 | 8.3 ± 0.2 |
| REV_MCL_5 | 5 | 169.9 ± 24.7 | 0.202 ± 0.012 | +69.1 ± 2.3 | 75.6 ± 2.3 | 16.3 ± 0.4 |
| REV_MCL_10 | 10 | 194.1 ± 14.2 | 0.240 ± 0.024 | +68.3 ± 4.0 | 78.8 ± 7.2 | 28.9 ± 1.9 |
| REV_MCL_25 | 25 | 371.8 ± 36.7 | 0.388 ± 0.037 | +57.5 ± 5.4 | 35.6 ± 7.2 | 31.3 ± 4.4 |
| Label | Sonication Time (h) | Z Average (d.nm) | PDI | Zeta Potential (mV) | Encapsulation Efficiency % | Loading Efficiency % |
|---|---|---|---|---|---|---|
| Cosol_MCL_1 h | 1 | 268.0 ± 7.2 | 0.168 ± 0.029 | +37.7 ± 0.7 | 61.0 ± 2.5 | 37.5 ± 1.0 |
| Cosol_MCL_3 h | 3 | 215.7 ± 15.3 | 0.158 ± 0.047 | +46.8 ± 7.3 | 67.0 ± 2.7 | 39.7 ± 1.0 |
| Cosol_MCL_6 h | 6 | 208.8 ± 24.8 | 0.178 ± 0.052 | +47.1 ± 2.5 | 69.4 ± 3.7 | 40.6 ± 1.3 |
| PEG-PE | Z Average (d.nm) | PDI | Zeta Potential (mV) |
|---|---|---|---|
| 14:0 PEG750 PE | 175.2 ± 20.2 | 0.143 ± 0.004 | 49.5 ± 1.4 |
| 14:0 PEG1000 PE | 207.4 ± 11.7 | 0.143 ± 0.022 | 41.7 ± 0.1 |
| 14:0 PEG2000 PE | 244.4 ± 66.3 | 0.184 ± 0.033 | 44.5 ± 0.8 |
| Sample | r1 (s−1.mM−1) | r2 (s−1.mM−1) | r2/r1 | r2* (s−1.mM−1) |
|---|---|---|---|---|
| Free MNPs | 2.54 | 159.13 | 62.58 | 178.87 |
| REV_MCLs | 0.37 | 172.77 | 461.83 | 279.18 |
| Cosol_MCL | 1.07 | 222.59 | 207.99 | 296.74 |
| Sample | RC | LE % |
|---|---|---|
| Ctrl+ | 8 | 92.0 ± 3.8 |
| REV_MCLs | 8 | 90.5 ± 5.1 |
| 10 | 94.9 ± 1.8 | |
| 12 | 93.9 ± 1.6 | |
| Cosol_MCLs | 8 | 88.0 ± 3.7 |
| 10 | 87.8 ± 5.1 | |
| 12 | 89.0 ± 2.4 |
© 2020 by the authors. Licensee MDPI, Basel, Switzerland. This article is an open access article distributed under the terms and conditions of the Creative Commons Attribution (CC BY) license (http://creativecommons.org/licenses/by/4.0/).
Share and Cite
Do, H.D.; Ménager, C.; Michel, A.; Seguin, J.; Korichi, T.; Dhotel, H.; Marie, C.; Doan, B.-T.; Mignet, N. Development of Theranostic Cationic Liposomes Designed for Image-Guided Delivery of Nucleic Acid. Pharmaceutics 2020, 12, 854. https://doi.org/10.3390/pharmaceutics12090854
Do HD, Ménager C, Michel A, Seguin J, Korichi T, Dhotel H, Marie C, Doan B-T, Mignet N. Development of Theranostic Cationic Liposomes Designed for Image-Guided Delivery of Nucleic Acid. Pharmaceutics. 2020; 12(9):854. https://doi.org/10.3390/pharmaceutics12090854
Chicago/Turabian StyleDo, Hai Doan, Christine Ménager, Aude Michel, Johanne Seguin, Tawba Korichi, Hélène Dhotel, Corinne Marie, Bich-Thuy Doan, and Nathalie Mignet. 2020. "Development of Theranostic Cationic Liposomes Designed for Image-Guided Delivery of Nucleic Acid" Pharmaceutics 12, no. 9: 854. https://doi.org/10.3390/pharmaceutics12090854
APA StyleDo, H. D., Ménager, C., Michel, A., Seguin, J., Korichi, T., Dhotel, H., Marie, C., Doan, B.-T., & Mignet, N. (2020). Development of Theranostic Cationic Liposomes Designed for Image-Guided Delivery of Nucleic Acid. Pharmaceutics, 12(9), 854. https://doi.org/10.3390/pharmaceutics12090854

