Investigating Apple Rubbery Wood Virus 2: HTS-Based Detection in Hungary and Involvement of sRNA-Based Regulation Processes During Its Infection
Abstract
1. Introduction
2. Materials and Methods
2.1. Origin of the Samples, RNA Extraction, and sRNA HTS
2.2. Bioinformatic Analysis of sRNA Reads for Virus Diagnostics
2.3. Validation of the Presence of ARWV2 (cDNA and RT-PCR)
2.4. Phylogenetic Analysis of the ARWV2 Strains
2.5. Bioinformatic Analysis of sRNA Reads for sRNA Profiling
2.6. RT-qPCR for Expression Analysis of PAL
3. Results
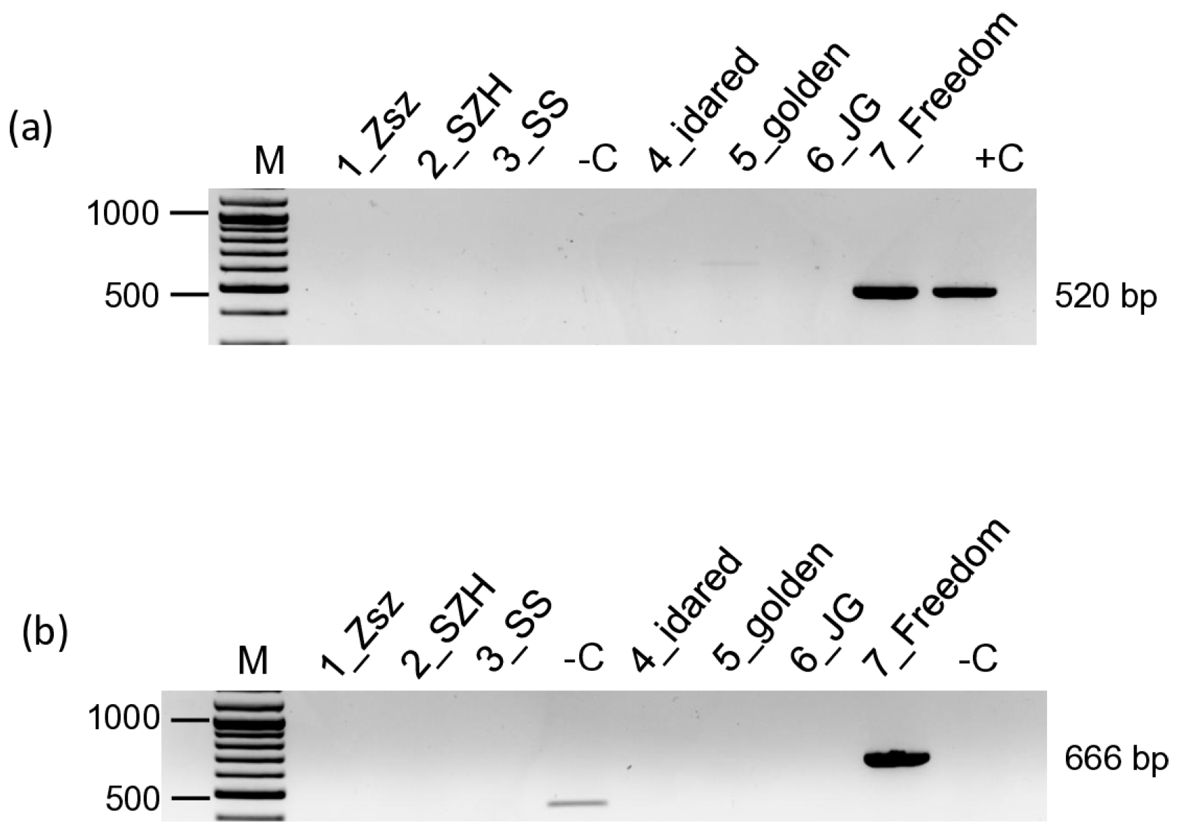
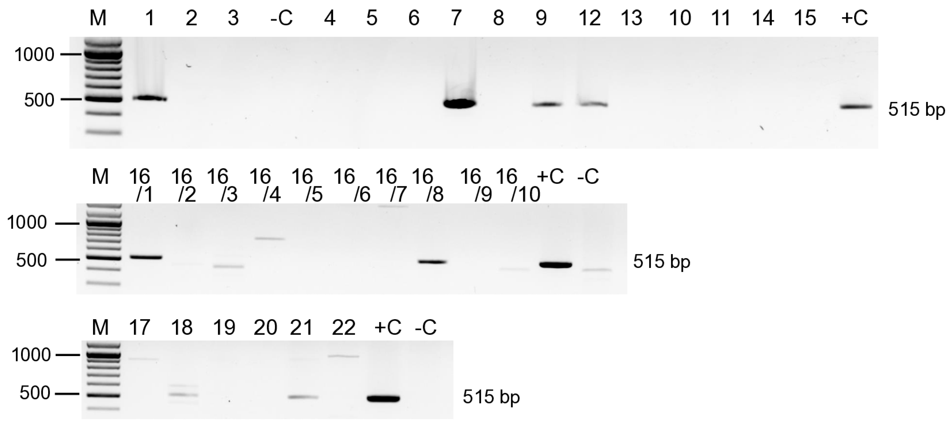
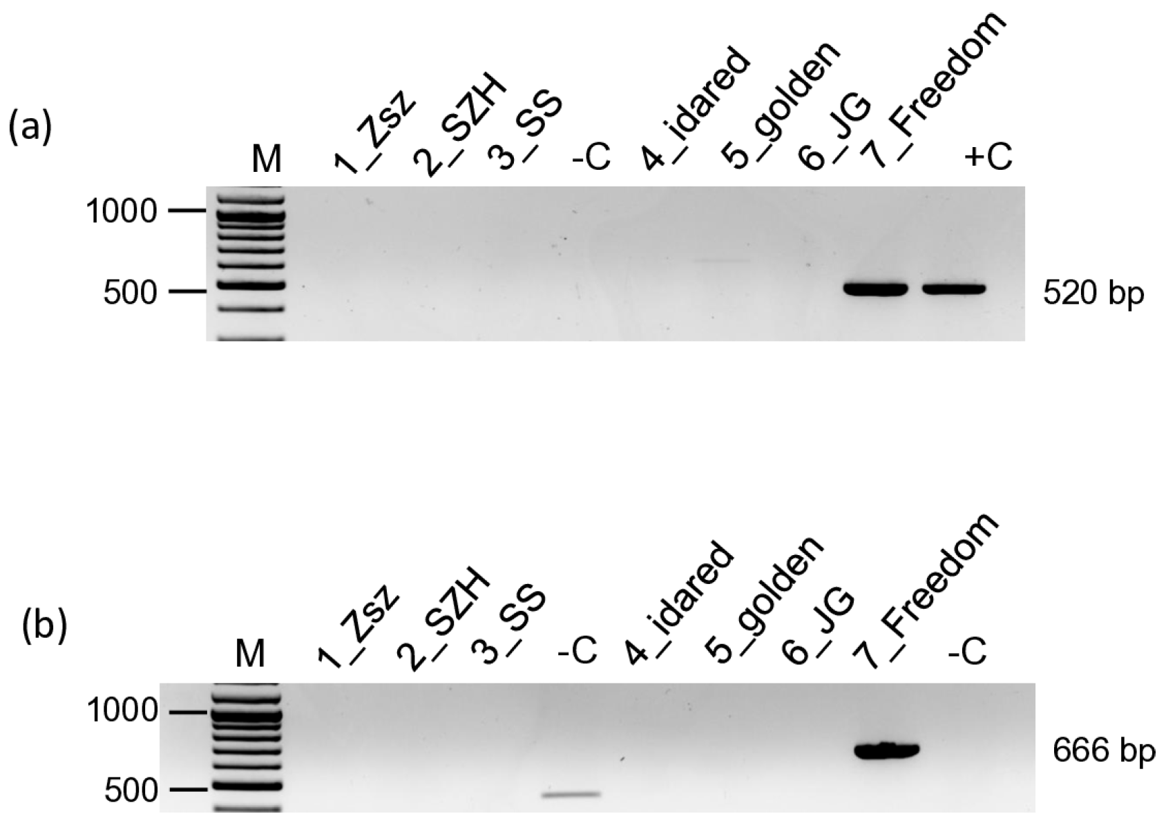
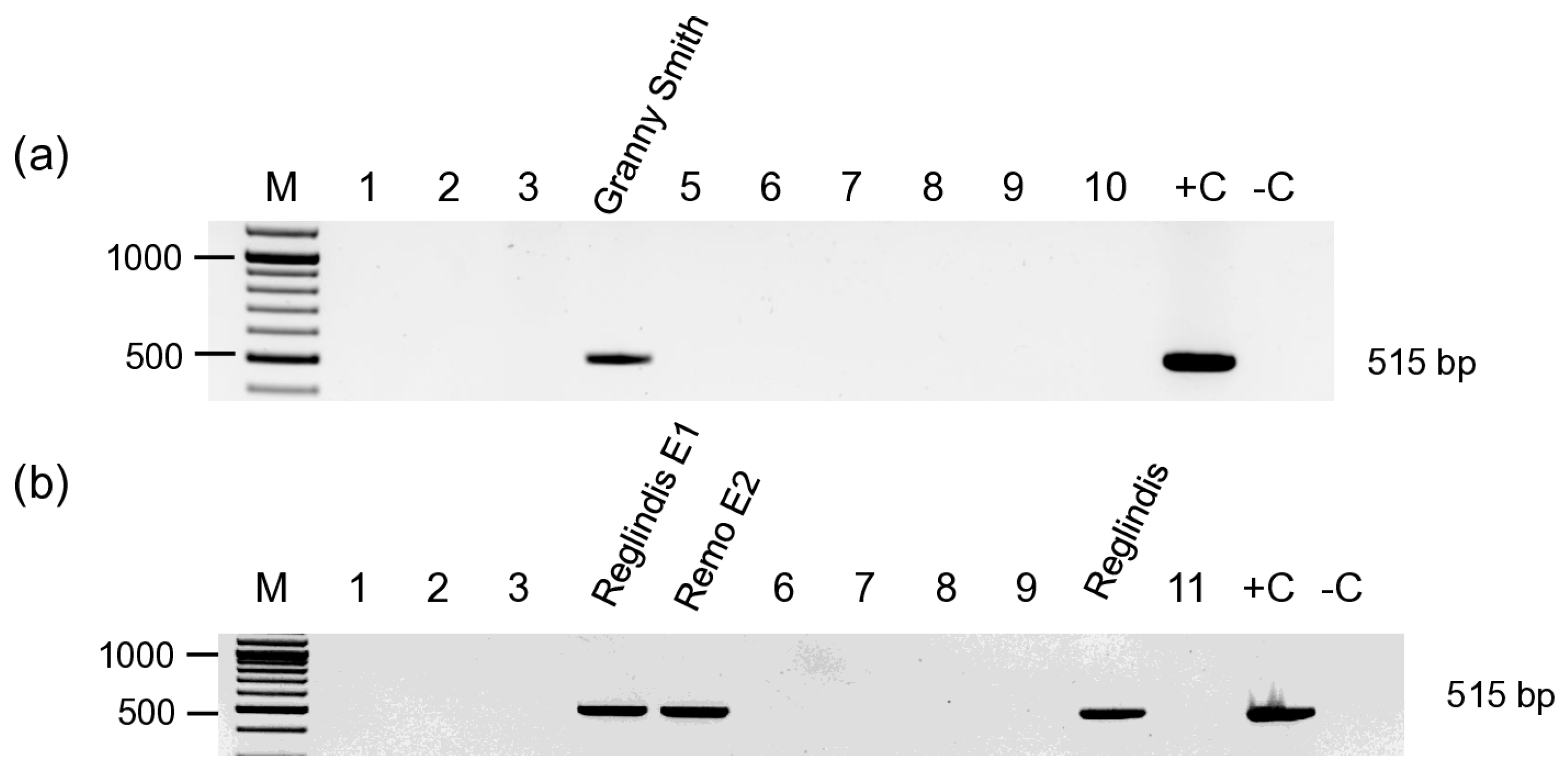
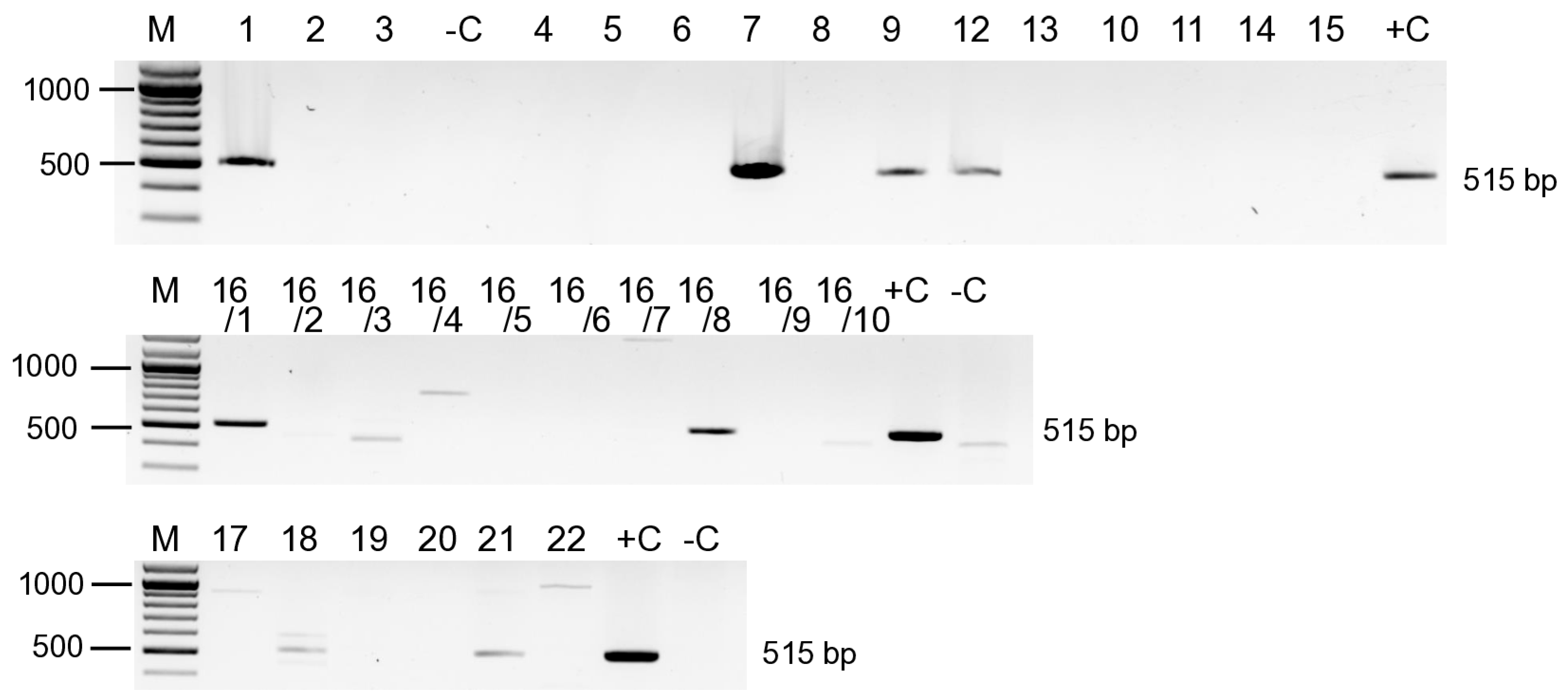
3.1. ARWV2 Is Present in the Apple Trees Growing in Hungary
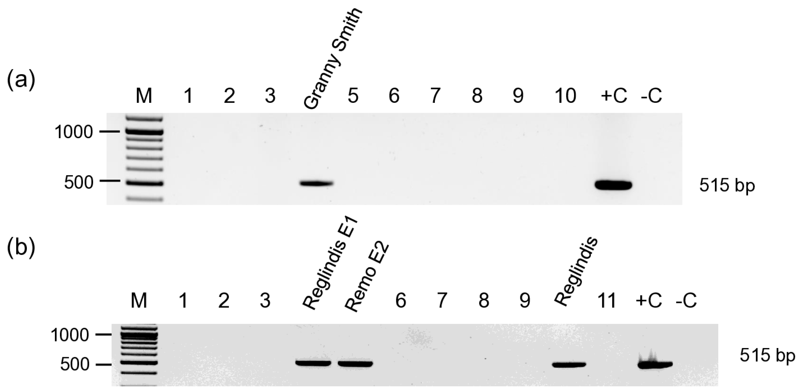
3.2. ARWV2 Infection Has Been Found in Pears and Quince
3.3. Phylogenetic Analyses of the ARWV2 Atrains of Hungarian Origin
3.4. The Expression of sRNAs Regulating the Lignin Pathway Has Been Observed in the ARWV2-Infected Trees
4. Discussion
5. Conclusions
Supplementary Materials
Author Contributions
Funding
Institutional Review Board Statement
Informed Consent Statement
Data Availability Statement
Acknowledgments
Conflicts of Interest
Appendix A
| Small RNA Library Name | Place and Type of Sampling | Cultivar/ Variety | Year of Sampling | Viruses Identified by RT-PCR | ||
|---|---|---|---|---|---|---|
| 1_Zsz | Production gardens | orchard | Zalaszanto | Fuji | 2015 | ACLSV, ASPV, ASGV, APMV, ARWV2 |
| 2_SZH | Tamasi | non identified | ASGV | |||
| 3_SS | Soroksar | non identified | ASGV | |||
| 4_idared | Vamosmikola | Idared | AHVd | |||
| 5_golden | Vamosmikola | Golden D | ASGV, CCGaV | |||
| 6_JG | Vamosmikola | Jonagold | ACLSV, ASPV, ASGV, APMV, CCGaV, AHVd | |||
| 7_Freedom | Ujfeherto | Freedom | CCGaV, AHVd, ARWV2 | |||
| 8_RosmertaI | Germplasm | mother trees in an isolator house own roots | Ujfeherto | Rosmerta | 2015 | AHVd |
| 9_HesztiaI | Hesztia | ACLSV, ASPV, ASGV, APMV, AHVd, ALV-1, ARWV2 | ||||
| 10_ArtemiszI | Artemisz | ACLSV, ASPV, ASGV, APMV | ||||
| 11_CordeliaI | Cordelia | ACLSV, ASPV, AHVd | ||||
| 12_RosmertaSz | mother trees in an open field | Germplasm collection at Soroksar | Rosmerta | ACLSV, ASPV, ASGV, APMV, ARWV2 | ||
| 13_HesztiaSz | Hesztia | ACLSV, ASPV, ASGV, APMV, AHVd | ||||
| 14_ArtemiszSz | Artemisz | ASPV, ASGV, APMV, ALV-1, CCGaV | ||||
| 15_CordeliaSz | Cordelia | ACLSV, ASPV, APMV, AHVd, ALV-1 | ||||
| 16_apple | Germplasm | old certified stock, M4 or M26 rootstock | Erd/Elvira | Ozark gold | 2017 | AHVd, ALV-1, ARWV2 |
| Jonagold | AHVd, ALV-1 | |||||
| Florina | CCGaV | |||||
| Jim Brian | ACLCV, ASPV, AHVd, ALV-1 | |||||
| Jeasymac | AHVd, ALV-1 | |||||
| Jonica | ACLSV, ASPV, ASGV | |||||
| Red Elstar | AHVd, ALV-1 | |||||
| Regal prince | AHVd, ALV-1, ARWV2 | |||||
| Redwinter | ACLCV, ASPV, AHVd, ALV-1 | |||||
| Top spur | ALV-1 | |||||
| 17_ReglindisAP1 | Production gardens | open field plantation | Olcsvaapáti | Reglindis AP1 | 2017 | ASGV, AHVd, ALV1, CCGaV |
| 18_ReglindisAP2 | Reglindis AP2 | ASGV, AHVd, CCGaV, ARWV2 | ||||
| 19_RemoAP3 | Remo AP3 | AHVd | ||||
| 20_ReglindisE1 | Reglindis E1 | ASGV, AHVd, CCGaV | ||||
| 21_RemoE2 | Remo E2 | AHVd, ARWV2 | ||||
| 22_RemoE3 | Remo E3 | ALV-1 | ||||
References
- Navarro, B.; Zicca, S.; Minutolo, M.; Saponari, M.; Alioto, D.; Di Serio, F. A Negative-Stranded RNA Virus Infecting Citrus Trees: The Second Member of a New Genus Within the Order Bunyavirales. Front. Microbiol. 2018, 9, 2340. [Google Scholar] [CrossRef] [PubMed]
- Liu, H.; Wu, L.; Nikolaeva, E.; Peter, K.; Liu, Z.; Mollov, D.; Cao, M.; Li, R. Characterization of a new apple luteovirus identified by high-throughput sequencing. Virol. J. 2018, 15, 85. [Google Scholar] [CrossRef] [PubMed]
- Wallace, T.; Swarbrick, T.; Ogilvie, L. Some troubles in the apples with special reference to the variety Lord Lambourne. Fruitgrowres 1944, 98, 427. [Google Scholar]
- Lemoine, J.; Michelesi, J.-C. Effects of three virus diseases on three pear cultivars. Sci. Hortic. 1990, 44, 69–81. [Google Scholar] [CrossRef]
- Wright, A.A.; Szostek, S.A.; Beaver-Kanuya, E.; Harper, S.J. Diversity of three bunya-like viruses infecting apple. Arch. Virol. 2018, 163, 3339–3343. [Google Scholar] [CrossRef]
- Rott, M.E.; Kesanakurti, P.; Berwarth, C.; Rast, H.; Boyes, I.; Phelan, J.; Jelkmann, W. Discovery of Negative-Sense RNA Viruses in Trees Infected with Apple Rubbery Wood Disease by Next-Generation Sequencing. Plant Dis. 2018, 102, 1254–1263. [Google Scholar] [CrossRef]
- Jakovljevic, V.; Otten, P.; Berwarth, C.; Jelkmann, W. Analysis of the apple rubbery wood disease by next generation sequencing of total RNA. Eur. J. Plant Pathol. 2016, 148, 637–646. [Google Scholar] [CrossRef]
- Wang, G.P.; Hong, N.; Wang, Y.X.; Yang, Z.K.; Guo, J.S.; Zhang, Z.; Li, L.; Li, Y.J.; Li, Q.Y.; Xu, L.; et al. First Report of Apple Rubbery Wood Virus 2 Infecting Pear (Pyrus spp.) in China. Plant Dis. 2019, 103, 3293. [Google Scholar] [CrossRef]
- Hu, G.; Dong, Y.; Zhang, Z.; Fan, X.; Ren, F.; Lu, X. First Report of Apple Rubbery Wood Virus 2 Infection of Apples in China. Plant Dis. 2021, 105, 519. [Google Scholar] [CrossRef]
- Nickel, O.; Fajardo, T.V.M.; Candresse, T. First Report on Detection of Three Bunya-Like Viruses in Apples in Brazil. Plant Dis. 2020, 104, 3088. [Google Scholar] [CrossRef]
- Bester, R.; Bougard, K.; Maree, H.J. First report of apple rubodvirus 2 infecting apples (Malus domestica) in South Africa. J. Plant Pathol. 2022, 104, 1199–1200. [Google Scholar] [CrossRef]
- Minutolo, M.; Cinque, M.; Di Serio, F.; Navarro, B.; Alioto, D. Occurrence of apple rubbery wood virus 1 and apple rubbery wood virus 2 in pear and apple in Campania (southern Italy) and development of degenerate primers for the rapid detection of rubodviruses. J. Plant Pathol. 2023, 105, 567–572. [Google Scholar] [CrossRef]
- Akdura, N.; Mendoza, J.; Hasselhoff, S.; Costa, L.; Hu, X.; Yang, Y.; Foster, J.A.; McFarland, C.; Hurtado-Gonzales, O.P. First Report of Three Bunya-Like Viruses, Apple Luteovirus 1, and Apple Hammerhead Viroid in Apples from Hakkari, Türkiye. Plant Dis. 2024, 108, 541. [Google Scholar] [CrossRef]
- Ben Mansour, K.; Koloniuk, I.; Brožová, J.; Komínková, M.; Přibylová, J.; Sarkisova, T.; Sedlák, J.; Špak, J.; Komínek, P. High-Throughput Sequencing Reveals Apple Virome Diversity and Novel Viruses in the Czech Republic. Viruses 2025, 17, 650. [Google Scholar] [CrossRef]
- Amirnia, F.; Hajizadeh, M. High-throughput sequencing survey finds three apple viruses novel to Iran; their phylogenies and world distributions noteworthy. Crop. Prot. 2025, 198, 107323. [Google Scholar] [CrossRef]
- Allen, H.; Zeef, L.; Morreel, K.; Goeminne, G.; Kumar, M.; Gomez, L.D.; Dean, A.P.; Eckmann, A.; Casiraghi, C.; McQueen-Mason, S.J.; et al. Flexible and digestible wood caused by viral-induced alteration of cell wall composition. Curr. Biol. 2022, 32, 3398–3406.e6. [Google Scholar] [CrossRef]
- Gui, J.; Lam, P.Y.; Tobimatsu, Y.; Sun, J.; Huang, C.; Cao, S.; Zhong, Y.; Umezawa, T.; Li, L. Fibre-specific regulation of lignin biosynthesis improves biomass quality in Populus. New Phytol. 2020, 226, 1074–1087. [Google Scholar] [CrossRef]
- De Meester, B.; Calderón, B.M.; De Vries, L.; Pollier, J.; Goeminne, G.; Van Doorsselaere, J.; Chen, M.; Ralph, J.; Vanholme, R.; Boerjan, W. Tailoring poplar lignin without yield penalty by combining a null and haploinsufficient CINNAMOYL-CoA REDUCTASE2 allele. Nat. Commun. 2020, 11, 5020. [Google Scholar] [CrossRef] [PubMed]
- Várallyay, E.; Přibylová, J.; Galbacs, Z.N.; Jahan, A.; Varga, T.; Špak, J.; Lenz, O.; Fránová, J.; Sedlák, J.; Koloniuk, I. Detection of Apple Hammerhead Viroid, Apple Luteovirus 1 and Citrus Concave Gum-Associated Virus in Apple Propagation Materials and Orchards in the Czech Republic and Hungary. Viruses 2022, 14, 2347. [Google Scholar] [CrossRef]
- Jahan, A.; Várallyay, É. First Description of Apple Rubbery Wood Virus 2 in Hungary by Small RNA High Throughput Sequencing. Georg. Agric. 2024, 28, 31–36. [Google Scholar]
- Jaksa-Czotter, N.; Nagyné Galbács, Z.; Jahan, A.; Demián, E.; Várallyay, É. Viromes of Plants Determined by High-Throughput Sequencing of Virus-Derived siRNAs. Methods Mol Biol 2024, 2732, 179–198. [Google Scholar] [CrossRef]
- Gambino, G.; Perrone, I.; Gribaudo, I. A Rapid and effective method for RNA extraction from different tissues of grapevine and other woody plants. Phytochem. Anal. 2008, 19, 520–525. [Google Scholar] [CrossRef] [PubMed]
- Barath, D.; Jaksa-Czotter, N.; Varga, T.; Varallyay, E. Viromes of Hungarian Peach Trees Identified by High-Throughput Sequencing of Small RNAs. Plants 2022, 11, 1591. [Google Scholar] [CrossRef] [PubMed]
- Massart, S.; Chiumenti, M.; De Jonghe, K.; Glover, R.; Haegeman, A.; Koloniuk, I.; Komínek, P.; Kreuze, J.; Kutnjak, D.; Lotos, L.; et al. Virus Detection by High-Throughput Sequencing of Small RNAs: Large-Scale Performance Testing of Sequence Analysis Strategies. Phytopathology® 2019, 109, 488–497. [Google Scholar] [CrossRef] [PubMed]
- Christine, S.; Constanze, B.; Marlen, B.; Kerstin, Z.; Andrej, V.; Lennard, K.; Stefanie, T.; Wilhelm, J. Development of Novel Detection Primers and Screening for Apple Rubbery Wood Virus 1 and 2 in Germany. J. Virol. Methods 2025, 339, 115241. [Google Scholar] [CrossRef]
- Czotter, N.; Molnar, J.; Szabó, E.; Demian, E.; Kontra, L.; Baksa, I.; Szittya, G.; Kocsis, L.; Deak, T.; Bisztray, G.; et al. NGS of Virus-Derived Small RNAs as a Diagnostic Method Used to Determine Viromes of Hungarian Vineyards. Front. Microbiol. 2018, 9, 122. [Google Scholar] [CrossRef]
- Demian, E.; Holczbauer, A.; Galbacs, Z.N.; Jaksa-Czotter, N.; Turcsan, M.; Olah, R.; Varallyay, E. Variable Populations of Grapevine Virus T Are Present in Vineyards of Hungary. Viruses 2021, 13, 1119. [Google Scholar] [CrossRef]
- Varkonyi-Gasic, E.; Gould, N.; Sandanayaka, M.; Sutherland, P.; MacDiarmid, R.M. Characterisation of microRNAs from apple (Malus domestica ‘Royal Gala’) vascular tissue and phloem sap. BMC Plant Biol. 2010, 10, 159. [Google Scholar] [CrossRef]
- Xia, R.; Zhu, H.; An, Y.-Q.; Beers, E.P.; Liu, Z. Apple miRNAs and tasiRNAs with novel regulatory networks. Genome Biol. 2012, 13, R47. [Google Scholar] [CrossRef]
- Kaja, E.; Szcześniak, M.W.; Jensen, P.J.; Axtell, M.J.; McNellis, T.; Makałowska, I. Identification of apple miRNAs and their potential role in fire blight resistance. Tree Genet. Genomes 2014, 11, 812. [Google Scholar] [CrossRef][Green Version]
- Song, C.; Zhang, D.; Zheng, L.; Zhang, J.; Zhang, B.; Luo, W.; Li, Y.; Li, G.; Ma, J.; Han, M. miRNA and Degradome Sequencing Reveal miRNA and Their Target Genes That May Mediate Shoot Growth in Spur Type Mutant “Yanfu 6”. Front. Plant Sci. 2017, 8, 441. [Google Scholar] [CrossRef] [PubMed]
- Qu, D.; Yan, F.; Meng, R.; Jiang, X.; Yang, H.; Gao, Z.; Dong, Y.; Yang, Y.; Zhao, Z. Identification of MicroRNAs and Their Targets Associated with Fruit-Bagging and Subsequent Sunlight Re-exposure in the “Granny Smith” Apple Exocarp Using High-Throughput Sequencing. Front. Plant Sci. 2016, 7, 27. [Google Scholar] [CrossRef] [PubMed]
- Guo, X.; Ma, Z.; Zhang, Z.; Cheng, L.; Zhang, X.; Li, T. Small RNA-Sequencing Links Physiological Changes and RdDM Process to Vegetative-to-Floral Transition in Apple. Front. Plant Sci. 2017, 8, 873. [Google Scholar] [CrossRef] [PubMed]
- Visser, M.; van der Walt, A.P.; Maree, H.J.; Rees, D.J.G.; Burger, J.T. Extending the sRNAome of Apple by Next-Generation Sequencing. PLoS ONE 2014, 9, e95782. [Google Scholar] [CrossRef]
- Li, J.; Song, Q.; Zuo, Z.-F.; Liu, L. MicroRNA398: A Master Regulator of Plant Development and Stress Responses. Int. J. Mol. Sci. 2022, 23, 10803. [Google Scholar] [CrossRef]
- Gao, Y.; Feng, B.; Gao, C.; Zhang, H.; Wen, F.; Tao, L.; Fu, G.; Xiong, J. The Evolution and Functional Roles of miR408 and Its Targets in Plants. Int. J. Mol. Sci. 2022, 23, 530. [Google Scholar] [CrossRef]
- Abreu, P.M.V.; Gaspar, C.G.; Buss, D.S.; Ventura, J.A.; Ferreira, P.C.G.; Fernandes, P.M.B. Carica papaya MicroRNAs Are Responsive to Papaya meleira virus Infection. PLoS ONE 2014, 9, e103401. [Google Scholar] [CrossRef]
- Huang, S.; Zhou, J.; Gao, L.; Tang, Y. Plant miR397 and its functions. Funct. Plant Biol. 2021, 48, 361–370. [Google Scholar] [CrossRef]
- Yu, X.; Lin, X.; Zhou, T.; Cao, L.; Hu, K.; Li, F.; Qu, S. Host-induced gene silencing in wild apple germplasm Malus hupehensis confers resistance to the fungal pathogen Botryosphaeria dothidea. Plant J. 2024, 118, 1174–1193. [Google Scholar] [CrossRef]
- Hu, Y.; Cheng, H.; Zhang, Y.; Zhang, J.; Niu, S.; Wang, X.; Li, W.; Yao, Y. The MdMYB16/MdMYB1-miR7125-MdCCR module regulates the homeostasis between anthocyanin and lignin biosynthesis during light induction in apple. New Phytol. 2021, 231, 1105–1122. [Google Scholar] [CrossRef]
- Liu, F.; Tang, J.; Li, T.; Zhang, Q. The microRNA miR482 regulates NBS-LRR genes in response to ALT1 infection in apple. Plant Sci. 2024, 343, 112078. [Google Scholar] [CrossRef] [PubMed]
- Zhang, Q.; Li, Y.; Zhang, Y.; Wu, C.; Wang, S.; Hao, L.; Wang, S.; Li, T. Md-miR156ab and Md-miR395 Target WRKY Transcription Factors to Influence Apple Resistance to Leaf Spot Disease. Front. Plant Sci. 2017, 8, 526. [Google Scholar] [CrossRef] [PubMed]











| Name | Max RPM | Fold Change | p-Value | Potential Target | Function of the Target |
|---|---|---|---|---|---|
| mdm-miR398b | 367,679 | 175.10 | 3.07557 × 10−7 | CDS1 and CDS2 | Cu metabolism, role in proteosomal degradation |
| mdm-miR408a | 9479 | 106.66 | 8.16911 × 10−6 | peptide chain release factor, laccase | regulation of the antioxidant content of the cell |
| mdm-miR408b | 12,200 | 79.27 | 8.07007 × 10−6 | peptide chain release factor, laccase | |
| mdm-miR397a | 2067 | 33.73 | 7.42754 × 10−5 | target the laccase (LAC) genes | lignin synthesis |
| mdm-miR7125 | 400,675 | 6.33 | 0.004234914 | cinnamoyl-coenzyme A reductase gene (CCR) | biosynthesis of lignin and anthocyanins in response to light and salicylic acid (SA) signals |
| mdm-miR10996a | 59,825 | 6.25 | 0.002462787 | transcription factor bHLH94-like | |
| mdm-miR482d | 148 | −4.76 | 0.0023785 | NBS-LRR genes | pathogen recognition |
| mdm-miR396b | 12,176 | −5.09 | 0.002962458 | GRF growth responsive factor | coordination of cell division |
| mdm-miR156t | 260 | −7.25 | 0.005670341 | SQUAMOSA-PROMOTER BINDING PROTEIN-LIKE (SPL) | transition from vegetative to reproductive growth |
| mdm-miR7123a | 8 | −10.04 | 0.005860199 | ||
| mdm-miR10982a | 17 | −12.01 | 0.000976011 | homeobox-leucine zipper protein HDG11-like | |
| mdm-miR482a-5p | 8586 | −27.94 | 2.65576 × 10−6 | NBS-LRR genes | pathogen recognition |
| mdm-miR171o | 2 | −41.17 | 5.52816 × 10−5 | ||
| mdm-miR399k | 77 | −291.31 | 0 | ubiquitin-conjugating enzyme and inorganic phosphate transporter 8-like | long-distance signal for regulators |
Disclaimer/Publisher’s Note: The statements, opinions and data contained in all publications are solely those of the individual author(s) and contributor(s) and not of MDPI and/or the editor(s). MDPI and/or the editor(s) disclaim responsibility for any injury to people or property resulting from any ideas, methods, instructions or products referred to in the content. |
© 2025 by the authors. Licensee MDPI, Basel, Switzerland. This article is an open access article distributed under the terms and conditions of the Creative Commons Attribution (CC BY) license (https://creativecommons.org/licenses/by/4.0/).
Share and Cite
Jahan, A.; Várallyay, É. Investigating Apple Rubbery Wood Virus 2: HTS-Based Detection in Hungary and Involvement of sRNA-Based Regulation Processes During Its Infection. Viruses 2025, 17, 1394. https://doi.org/10.3390/v17101394
Jahan A, Várallyay É. Investigating Apple Rubbery Wood Virus 2: HTS-Based Detection in Hungary and Involvement of sRNA-Based Regulation Processes During Its Infection. Viruses. 2025; 17(10):1394. https://doi.org/10.3390/v17101394
Chicago/Turabian StyleJahan, Almash, and Éva Várallyay. 2025. "Investigating Apple Rubbery Wood Virus 2: HTS-Based Detection in Hungary and Involvement of sRNA-Based Regulation Processes During Its Infection" Viruses 17, no. 10: 1394. https://doi.org/10.3390/v17101394
APA StyleJahan, A., & Várallyay, É. (2025). Investigating Apple Rubbery Wood Virus 2: HTS-Based Detection in Hungary and Involvement of sRNA-Based Regulation Processes During Its Infection. Viruses, 17(10), 1394. https://doi.org/10.3390/v17101394

