Experimental Infection of Embryonic Cells and Embryonated Eggs of Cockatiels (Nymphicus hollandicus) with Two Parrot Bornavirus Isolates (PaBV-4 and PaBV-2)
Abstract
:1. Introduction
2. Material and Methods
2.1. Virus Isolates
2.2. In Vitro Inoculation of PaBV-4 and PaBV-2
2.2.1. Embryonal Cockatiel Brain Cells (CEB)
2.2.2. Embryonal Cockatiel Fibroblast Cells (CEF)
2.3. In Vivo Inoculation of PaBV-4 and PaBV-2
2.4. RT-PCR
2.5. Histology
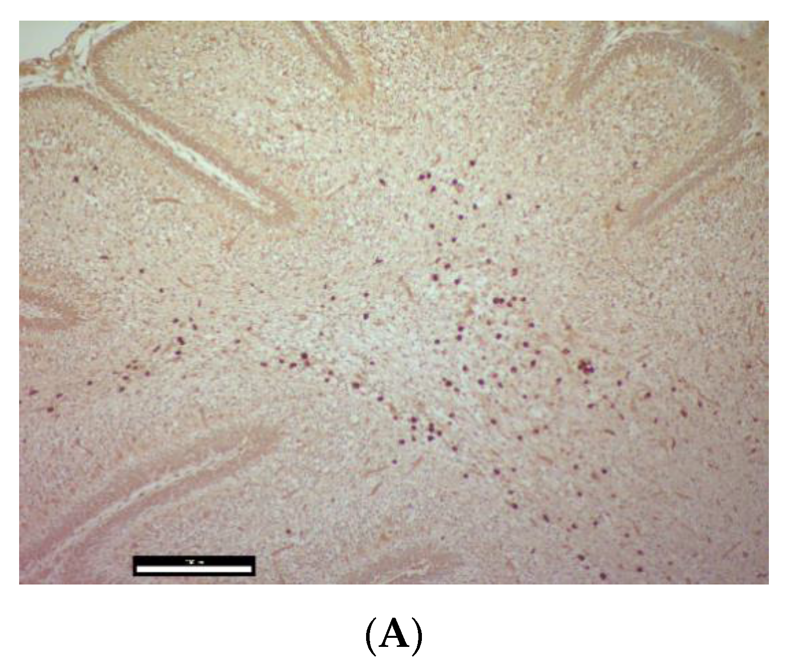
2.6. Immunohistochemistry
2.7. Virus Isolation in the CEC-32 Cell Line
2.8. Virus Isolation in Embryonic Cockatiel Cells
2.9. Statistical Analysis
3. Results
3.1. In Vitro Inoculation of PaBV-4 and PaBV-2
3.2. In Vivo Inoculation of PaBV-4 and PaBV-2
3.2.1. Trial A: Yolk Sac Inoculation with PaBV-4
3.2.2. Trial B: Yolk Sac and Chorioallantoic Membrane Inoculation with PaBV-4 or PaBV-2
4. Discussion
Author Contributions
Funding
Institutional Review Board Statement
Informed Consent Statement
Data Availability Statement
Conflicts of Interest
References
- Heffels-Redmann, U.; Enderlein, D.; Herzog, S.; Herden, C.; Piepenbring, A.; Neumann, D.; Müller, H.; Capelli, S.; Müller, H.; Oberhäuser, K.; et al. Occurrence of avian bornavirus infection in captive psittacines in various European countries and its association with proventricular dilatation disease. Avian Pathol. 2011, 40, 419–426. [Google Scholar] [CrossRef] [PubMed]
- Honkavuori, K.S.; Shivaprasad, H.L.; Williams, B.L.; Quan, P.L.; Hornig, M.; Street, C.; Palacios, G.; Hutchison, S.K.; Franca, M.; Egholm, M.; et al. Novel borna virus in psittacine birds with proventricular dilatation disease. Emerg. Infect. Dis. 2008, 14, 1883–1886. [Google Scholar] [CrossRef] [PubMed]
- Kistler, A.L.; Gancz, A.; Clubb, S.; Skewes-Cox, P.; Fischer, K.; Sorber, K.; Chiu, C.Y.; Lublin, A.; Mechani, S.; Farnoushi, Y.; et al. Recovery of divergent avian bornaviruses from cases of proventricular dilatation disease: Identification of a candidate etiologic agent. Virol. J. 2008, 5, 88. [Google Scholar] [CrossRef] [PubMed]
- Piepenbring, A.K.; Enderlein, D.; Herzog, S.; Kaleta, E.F.; Heffels-Redmann, U.; Ressmeyer, S.; Herden, C.; Lierz, M. Pathogenesis of avian bornavirus in experimentally infected cockatiels. Emerg. Infect. Dis. 2012, 18, 234–241. [Google Scholar] [CrossRef] [PubMed]
- Piepenbring, A.K.; Enderlein, D.; Herzog, S.; Al-Ibadi, B.; Heffels-Redmann, U.; Heckmann, J.; Lange-Herbst, H.; Herden, C.; Lierz, M. Parrot Bornavirus (PaBV)-2 isolate causes different disease patterns in cockatiels than PaBV-4. Avian Pathol. 2016, 45, 156–168. [Google Scholar] [CrossRef] [PubMed]
- Heckmann, J.; Enderlein, D.; Piepenbring, A.K.; Herzog, S.; Heffels-Redmann, U.; Malberg, S.; Herden, C.; Lierz, M. Investigation of different infection routes of parrot bornavirus in cockatiels. Avian Dis. 2017, 61, 90–95. [Google Scholar] [CrossRef] [PubMed]
- Heckmann, J.; Enderlein, D.; Gartner, A.M.; Bücking, B.; Herzog, S.; Heffels-Redmann, U.; Malberg, S.; Herden, C.; Lierz, M. Wounds as the portal of entrance for parrot bornavirus 4 (PaBV-4) and retrograde axonal transport in experimentally infected cockatiels (Nymphicus hollandicus). Avian Dis. 2020, 64, 247–253. [Google Scholar] [CrossRef] [PubMed]
- Raghav, R.; Taylor, M.; DeLay, J.; Ojkic, D.; Pearl, D.L.; Kistler, A.L.; DeRisi, J.L.; Ganem, D.; Smith, D.A. Avian bornavirus is present in many tissues of psittacine birds with histopathologic evidence of proventricular dilatation disease. J. Vet. Diagn. Investig. 2010, 22, 495–508. [Google Scholar] [CrossRef]
- Lierz, M.; Piepenbring, A.; Herden, C.; Oberhauser, K.; Heffels-Redmann, U.; Enderlein, D. Vertical transmission of avian bornavirus in psittacines. Emerg. Infect. Dis. 2011, 17, 2390. [Google Scholar] [CrossRef] [PubMed]
- Kerski, A.; De Kloet, A.H.; De Kloet, S.R. Vertical transmission of avian bornavirus in Psittaciformes: Avian bornavirus RNA and anti-avian bornavirus antibodies in eggs, embryos, and hatchlings obtained from infected sun conures (Aratinga solstitialis). Avian Dis. 2012, 56, 471–478. [Google Scholar] [CrossRef] [PubMed]
- Wüst, E.; Mahlberg, S.; Enderlein, D.; Heffels-Redmann, U.; Herzog, S.; Herden, C.; Lierz, M. Experimentally infection of cockatiel (Nymphicus hollandicus) eggs with Avian Bornavirus. In Proceedings of the International Conference on Avian Herpetological and Exotic Mammal Medicine, Paris, France, 18–23 April 2015; p. 285. [Google Scholar]
- Monaco, E.; Hoppes, S.; Guo, J.; Tizard, I. The detection of avian bornavirus within psittacine eggs. J. Avian Med. Surg. 2012, 26, 144–148. [Google Scholar] [CrossRef] [PubMed]
- Rubbenstroth, D.; Rinder, M.; Stein, M.; Hoper, D.; Kaspers, B.; Brosinski, K.; Horie, M.; Schmidt, V.; Legler, M.; Korbel, R.; et al. Avian bornaviruses are widely distributed in canary birds (Serinus canaria f. domestica). Vet. Microbiol. 2013, 165, 287–295. [Google Scholar] [CrossRef] [PubMed]
- Herzog, S.; Enderlein, D.; Heffels-Redmann, U.; Piepenbring, A.; Neumann, D.; Kaleta, E.F.; Muller, H.; Lierz, M.; Herden, C. Indirect immunofluorescence assay for intra vitam diagnosis of avian bornavirus infection in psittacine birds. J. Clin. Microbiol. 2010, 48, 2282–2284. [Google Scholar] [CrossRef] [PubMed]
- Waldeyer, W. Untersuchungen über den Ursprung und den Verlauf des Achsencylinders bei Wirbelthieren und Wirbellosen. Henle Und Pfeiffer’sche Z. Für Ration. Med. 1893, 24, 193–256. [Google Scholar]
- Herden, C.; Herzog, S.; Wehner, T.; Zink, C.; Richt, J.; Frese, K. Comparison of different methods of diagnosing Borna disease in horses post mortem. In Equine Infectious Diseases VIII; R&W Publications (Newmarket) Ltd.: Cambridgeshire, UK, 1999; pp. 286–290. [Google Scholar]
- Herzog, S.; Kompter, C.; Frese, K.; Rott, R. Replication of Borna disease virus in rats: Age-dependent differences in tissue distribution. Med. Microbiol. Immunol. 1984, 173, 171–177. [Google Scholar] [CrossRef]
- Piepenbring, A. Investigations on the Causality and Pathogenicity of Two Different Isolates of Psittaciform 1 Bornavirus as the Cause of Proventricular Dilatation Disease (PDD) in the Cockatiel (Nymphicus hollandicus) as a Model. Ph.D. Thesis, Justus-Liebig-University, Giessen, Germany, 2017. Available online: http://geb.uni-giessen.de/geb/volltexte/2017/12621/ (accessed on 8 July 2022).
- Rinder, M.; Ackermann, A.; Kempf, H.; Kaspers, B.; Korbel, R.; Staeheli, P. Broad tissue and cell tropism of avian bornavirus in parrots with proventricular dilatation disease. J. Virol. 2009, 83, 5401–5407. [Google Scholar] [CrossRef] [PubMed]
- Narayan, O.; Herzog, S.; Frese, K.; Scheefers, H.; Rott, R. Pathogenesis of Borna disease in rats: Immune-mediated viral ophthalmoencephalopathy causing blindness and behavioral abnormalities. J. Infect. Dis. 1983, 148, 305–315. [Google Scholar] [CrossRef] [PubMed]
- Johansson, C.B.; Momma, S.; Clarke, D.L.; Risling, M.; Lendahl, U.; Frisén, J. Identification of a neural stem cell in the adult mammalian central nervous system. Cell 1999, 96, 25–34. [Google Scholar] [CrossRef] [Green Version]
- Kehr, K. Ausbreitungs-und Persistenzstrategien des Virus der Bornaschen Krankheit in Primären Corticalen Astrozytenkulturen von Lewis-Ratten. Ph.D. Thesis, Justus-Liebig-University, Giessen, Germany, 2016. Available online: http://geb.uni-giessen.de/geb/volltexte/2016/12120/pdf/KehrKristine_2016_04_28.pdf (accessed on 8 July 2022).








| No. | PaBV RNA Ct Value in the Brain | PaBV RNA Ct Value in the Proventriculus, Gizzard, Liver, and Kidney | PaBV Antigen in the Cerebellum | PaBV Antigen in the Cerebrum | PaBV Antigen in the Proventriculus, Gizzard, Liver, and Kidney |
|---|---|---|---|---|---|
| 23.34 | - | + | - | - | |
| Egg 02 | - | - | + | - | - |
| Egg 03 | - | - | No material | No material | - |
| Egg 04 contr. | - | - | - | - | - |
| Egg 05 | 31.03 | - | No material | No material | - |
| Egg 06 | - | - | + | No material | - |
| Egg 07 | - | - | No material | + | - |
| Egg 08 | - | - | + | + | - |
| Egg 09 | - | - | No material | No material | - |
| Egg 10 | - | - | + | + | - |
| Egg 11 | 30.59 | - | + | - | - |
| Egg 12 contr. | - | - | - | - | - |
| Egg 13 | - | - | - | + | - |
| Egg 14 | 24.75 | - | + | + | - |
| Egg 15 | - | - | No material | + | - |
| Egg 16 | - | - | No material | + | - |
| Egg 17 | - | - | + | + | - |
| Egg 18 | - | - | No material | + | - |
| Egg 19 | - | - | + | - | - |
| Egg 20 | - | - | + | - | - |
| Egg 21 | - | - | + | - Less material | - |
| Egg 22 | - | - | + | No material | - |
| Egg 23 | 31.03 | - | + | + | - |
| Egg 24 | - | - | + | + | - |
| Egg 25 | - | - | + | - | - |
| Egg 26 | - | - | No material | - | - |
| Egg 27 | - | - | + | No material | - |
| Egg 28 | - | - | + | No material | - |
| Egg 29 | 37.36 | - | No material | - | - |
| Egg 30 | - | - | - | - | - |
| Egg 31 | 30.84 | - | + | - | - |
| Egg 32 | - | - | + | + | - |
| Egg 33 | 34.88 | - | + | - | - |
| Egg 34 | 26.48 | - | + | No material | - |
| Group 1 Yolk Sac Inoculation with PaBV-4 (Laboratory Number of Embryo) | Ct Value in the Brain | Ct Value in the Proventriculus, Gizzard, Liver, and Kidney |
|---|---|---|
| PCR_DO 01 | 21.17 | - |
| PCR_DO 02 | 30.47 | - |
| PCR_DO 03 | 29.56 | - |
| PCR_DO 04 | - | - |
| PCR_DO 05 | 21.09 | - |
| PCR_DO 06 | 28.75 | - |
| PCR_DO 07 | 38.90 | - |
| PCR_DO 08 | 21.78 | - |
| PCR_DO 09 | 21.81 | - |
| PCR_DO 10 | - | - |
| PCR_DO 11 control | - | - |
| Group 2 chorioallantoic membrane with PaBV-4 | ||
| PCR_CA 01 | 23.02 | - |
| PCR_CA 02 | 21.87 | - |
| PCR_CA 03 | 24.33 | - |
| PCR_CA 04 | 22.42 | - |
| PCR_CA 05 | 31.46 | - |
| PCR_CA 06 | 31.10 | - |
| PCR_CA 07 | 32.48 | - |
| PCR_CA 08 | - | - |
| PCR_CA 09 | 25.07 | - |
| PCR_CA 10 | - | - |
| PCR_CA 11 control | - | - |
| Group 3 yolk sac inoculation with PaBV-2 | ||
| PCR_PaBV-2 02 DO | 26.43 | - |
| PCR_PaBV-2 04 DO | 25.23 | - |
| PCR_PaBV-2 06 DO | 39.63 | - |
| PCR_PaBV-2 08 DO | 26.41 | - |
| PCR_PaBV-2 10 DO | - | - |
| PCR_PaBV-2 12 DO control | - | - |
| Group 4 chorioallantoic membrane inoculation with PaBV-2 | ||
| PCR_PaBV-2 01 CA | 31.16 | - |
| PCR_PaBV-2 03 CA | 38.11 | - |
| PCR_PaBV-2 05 CA | 36.94 | - |
| PCR_PaBV-2 07 CA | 29.66 | - |
| PCR_PaBV-2 09 CA | 29.90 | - |
| PCR_PaBV-2 11 CA control | - | - |
Publisher’s Note: MDPI stays neutral with regard to jurisdictional claims in published maps and institutional affiliations. |
© 2022 by the authors. Licensee MDPI, Basel, Switzerland. This article is an open access article distributed under the terms and conditions of the Creative Commons Attribution (CC BY) license (https://creativecommons.org/licenses/by/4.0/).
Share and Cite
Wuest, E.; Malberg, S.; Petzold, J.; Enderlein, D.; Heffels-Redmann, U.; Herzog, S.; Herden, C.; Lierz, M. Experimental Infection of Embryonic Cells and Embryonated Eggs of Cockatiels (Nymphicus hollandicus) with Two Parrot Bornavirus Isolates (PaBV-4 and PaBV-2). Viruses 2022, 14, 1984. https://doi.org/10.3390/v14091984
Wuest E, Malberg S, Petzold J, Enderlein D, Heffels-Redmann U, Herzog S, Herden C, Lierz M. Experimental Infection of Embryonic Cells and Embryonated Eggs of Cockatiels (Nymphicus hollandicus) with Two Parrot Bornavirus Isolates (PaBV-4 and PaBV-2). Viruses. 2022; 14(9):1984. https://doi.org/10.3390/v14091984
Chicago/Turabian StyleWuest, Elisa, Sarah Malberg, Jana Petzold, Dirk Enderlein, Ursula Heffels-Redmann, Sibylle Herzog, Christiane Herden, and Michael Lierz. 2022. "Experimental Infection of Embryonic Cells and Embryonated Eggs of Cockatiels (Nymphicus hollandicus) with Two Parrot Bornavirus Isolates (PaBV-4 and PaBV-2)" Viruses 14, no. 9: 1984. https://doi.org/10.3390/v14091984
APA StyleWuest, E., Malberg, S., Petzold, J., Enderlein, D., Heffels-Redmann, U., Herzog, S., Herden, C., & Lierz, M. (2022). Experimental Infection of Embryonic Cells and Embryonated Eggs of Cockatiels (Nymphicus hollandicus) with Two Parrot Bornavirus Isolates (PaBV-4 and PaBV-2). Viruses, 14(9), 1984. https://doi.org/10.3390/v14091984

