Abstract
‘Candidatus Phytoplasma ulmi’ (16SrV-A) is the causal agent of elm yellows (EY), a lethal and/or decline disease of several Ulmus (elm) species and hybrids in North America and Europe. In this study, field observations and PCR assays were used to detect phytoplasma infections in diseased U. minor, U. pumila and U. glabra trees in southern Italy. Also, a multigene sequence analysis employing various less conserved genes was carried out to explore the genetic variation in detected strains. All the symptomatic elm trees tested were infected with ‘Ca. Phytoplasma ulmi’. No other phytoplasmas or variants could be detected. Although ‘Ca. Phytoplasma ulmi’ was already known to occur in southern Italy on European field elm, the current work expands the information on the presence, disease incidence and severity, plant host range and molecular aspects of EY phytoplasma strains occurring in southern Italy. In addition, this is the first report from Italy on the molecular characterization of EY phytoplasma strains through map, imp and groEL gene sequence and phylogenetic analyses. Among the newly detected EY phytoplasma strains, some proved distantly related to each other and to other previously characterized EY phytoplasma strains within the genes examined. This implies the presence of distinct taxonomic entities within the material examined. The occurrence of different strains was not linked to the biological traits and geographical distribution. However, the data obtained may provide a basis for further studies aimed at elucidating several other unknown aspects of the EY agent, knowledge of which is essential for effective disease management and control strategies. The results of the current work also show that the EY phytoplasma is particularly widespread in southern Italy and is of considerable economic and ecological relevance.
Keywords:
elm; taxonomic groups; sequence analysis; witches’ broom; yellowing; reduced growth; RFLP analysis; groEL gene; rDNA 1. Introduction
‘Candidatus Phytoplasma ulmi’ is the causal agent of elm yellows (EY), a lethal and/or decline disease of several Ulmus (elm) species and hybrids occurring in North America and Europe [1,2,3,4,5,6,7,8,9]. Symptoms of EY vary among the species. Extensive phloem necrosis and death are predominant in North American species, whereas in European and Asian species, witches’ brooms are common. Over the last century, EY has caused destructive epidemics in North America, which have killed thousands of elm trees [3], and severe outbreaks in experimental fields in northern and central Italy, which were established to examine the adaptability of various elm genotypes to local environmental conditions [10,11]. Among the diseases affecting elm, EY is second only to Dutch elm disease in relevance [3,12]. In addition, EY exacerbates Dutch elm disease because it provides additional breeding material for the insect vector of the Dutch elm disease agent [12]. Phytoplasmas are wall-less obligate bacterial plant pathogens associated with diseases of more than 1000 plant species worldwide. Many of these diseases, including those of forest trees, are of great concern. In plants, phytoplasmas colonize the phloem elements and are transmitted from plant to plant by homopteran insects such as leafhoppers, planthoppers and psyllids [13]. Taxonomically, phytoplasmas are members of the class Mollicutes and are assigned to the genus ‘Candidatus Phytoplasma’ based mainly on 16S rDNA sequences [14]. Within this genus, several taxonomic groups (or 16Sr groups) and subgroups were delineated by an RFLP analysis of the 16S rDNA sequences [15,16]. Multigene analysis of various less-conserved genes is an additional tool for strain differentiation and species delineation [15,16]. Among these, in addition to the 16S/23S rDNA spacer region, the ribosomal protein rpsV (rpl22) and rpsC (rps3) and the map, imp and groEL genes have been widely used over the last few years in several laboratories [1,17,18,19].
‘Ca. Phytoplasma ulmi’ is a member of the EY phytoplasma group or 16SrV group, subgroup 16SrV-A [1], which includes several other phytoplasmas causing mainly diseases of woody plants [1,17,20,21,22,23,24,25,26,27]. ‘Ca. Phytoplasma ulmi’ differs from other members of the EY group, including ‘Ca. Phytoplasma rubi’ (the Rubus stunt agent) and ‘Ca. Phytoplasma ziziphi’ (the jujube witches’ broom agent), by less than 2.5% in terms of 16S rDNA sequence similarity, which is the threshold for assigning species rank to phytoplasmas under the provisional status ‘Candidatus’ [14]. Recently, this threshold was lowered to 1.35% [15]. However, supporting data for separating the above taxa at the putative species level were obtained through other molecular markers and through considering various biological traits [1,14,15,21]. ‘Ca. Phytoplasma ulmi’ seems to have a high plant host specificity. In nature, this pathogen is restricted to Ulmus plants. Scaphoideus luteolus is the vector of EY phytoplasma in North America whereas Macropsis mendax has been identified as a vector in northern Italy [3,28]. However, other vectors are likely to be involved in its natural transmission since ‘Ca. Phytoplasma ulmi’ infections have been detected by PCR methods in several other leafhopper taxa in both Europe and North America [29,30,31,32].
Previous work has shown the occurrence of EY phytoplasma in diseased U. minor (syn.: U. carpinifolia, European field elm) trees in southern Italy through microscopical methods and RFLP analysis of PCR-amplified 16S rDNA using AluI restriction endonuclease [33]. In continuing this work, some strains of the EY phytoplasma detected in European field elm trees in southern Italy underwent further molecular characterization [1,34]. The research presented here focuses on further investigations into various aspects of EY phytoplasma in southern Italy. For this purpose, European field elm, U. pumila (Siberian elm) and U. glabra (Scots or wych elm) trees showing EY symptoms of different severities, collected in several areas of southern Italy, were examined for EY phytoplasma infections by PCR assays using universal and group-specific phytoplasma primers. Most of the surveyed areas had not been examined before. Also, a multigene sequence analysis was employed for the characterization and differentiation of the elm-infecting phytoplasma strains in southern Italy.
2. Materials and Methods
2.1. Sources of Diseased and Healthy Plants
Sampling of diseased and healthy-appearing elm trees belonging to three different species was carried out in several sites of the neighboring regions Basilicata, Campania and Calabria of southern Italy from 2019 to 2024, in particular during the growing seasons. Trees were kept under observation throughout the sampling period for evaluation of symptom expression and its variation over time. A total of 264 diseased elm trees were sampled. Of the 195 diseased European field elm trees, 95 trees were sampled in Basilicata, near Grumento Nova (22 trees), Tramutola (21 trees), Marsicovetere (15 trees), Paterno (12 trees), Marsico Nuovo (11 trees) and Viggiano (14 trees); 88 trees were sampled in Campania, near Fisciano (15 trees), Mercato San Severino (15 trees), Baronissi (9 trees), Salerno (11 trees), Battipaglia (12 trees), Eboli (12 trees) and Montesano sulla Marcellana (14 trees); and 12 trees were sampled in Calabria, near Sibari (5 trees), Castrovillari (4 trees) and Morano Calabro (3 trees). Fifty-seven diseased Siberian elm trees were sampled in some of the same locations where European field elms were collected: notably, 37 trees were sampled in Basilicata, near Grumento Nova (11 trees), Tramutola (12 trees), Marsicovetere (8 trees) and Paterno (6 trees), and 20 trees were sampled in Campania, near Fisciano (4 trees), Mercato San Severino (3 trees), Baronissi (2 trees) and Montesano sulla Marcellana (11 trees). Twelve affected Scots elm trees were sampled near Grumento Nova (three trees), Tramutola (four trees) and Fisciano (five trees) (Figure 1). Many of the mentioned trees were sampled more than once for re-examination. A representative number of non-symptomatic field-collected trees from all elm species examined in each location and elm seedlings maintained in glasshouses were used as healthy controls. In addition, DNA samples from the following strains were included for comparison: ULW and EY1 (elm yellows), RUS (Rubus stunt), ALY (alder yellows), SpaWB (Spartium witches’ broom) [1,34] and FD-D (flavescence dorée of grapevine, 16SrV-D subgroup, provided by F. Quaglino).
Figure 1.
Sampling sites in the Campania (upper left), Basilicata (lower left) and Calabria (lower right) regions of southern Italy. All Italian regions are depicted on the (upper right) panel. Maps were created through d-maps.com, accessed on 20 September 2024.
2.2. DNA Extraction and PCR Assays
DNA was extracted from 1.0 g of fresh tissue of diseased and healthy elm trees employing the method previously described by Ahrens and Seemüller [35]. Fresh tissue included leaves, shoots or roots. Phloem preparations from shoots and/or roots were obtained according to Ahrens and Seemüller [36].
For PCR amplification of phytoplama ribosomal DNA sequences, two universal primer pairs were employed: P1/P7, which amplified a 1800 bp fragment [37] and P1A/P7A, which primed a fragment of about 1800 bp [1]. Also, the following group-specific primer pairs were used: fB1/rULWS [38] and R16(V)F1/R1 [39]. These amplified a fragment of about 1650 bp and 1100 bp, respectively, from phytoplasmas of the 16Sr-V group. In nested PCR assays, amplification (‘first round’) with primers P1/P7 was followed by a second round using P1A/P7A or fB1/rULWS and R16(V)F1/R1. For amplification of rp genes rpsV (rpl22) and rpsC (rps3), the EY group-specific primer pair rp(V)F1/rpR1 was followed by rp(V)F1A/rp(V)R1A [1]. The latter yielded a DNA fragment of about 1200 bp in length. SecY-map locus (map gene) was amplified by employing FD9f5/MAPr1 followed by FD9f6/MAPr2 [40]. Both primer pairs are EY group-specific. FD9f6/MAPr2 gave a 674 bp fragment. Amplification of Imp and groEL genes were obtained by EY group-specific fEY_imp/rpyrG and fEY_groEL/rEY_groEL, respectively [41]. Primers fEY_imp/rpyrG gave a fragment of 675 bp in length, whereas fEY_groEL/rEY_groEL yielded a fragment of 880 bp. Further information on primers employed in the present work is provided in Table S1.
Amplification was carried out in a 50 µL reaction containing 125 µM of the four dNTPs, 0.5 µM of each primer, 1 U of Dream Taq DNA polymerase, 1× polymerase buffer (both Thermo Fisher Scientific, Waltham, MA, USA), 5 µL of template DNA (100–200 ng) and water. PCR conditions and agarose gel electrophoresis were as described [1,34,40,41].
2.3. Restriction Enzyme Digestion
Ten microliters of P1/P7 or P1A/P7A and fB1/rULWS amplicons was digested with TaqI and BfaI restriction enzymes following the manufacturer’s instructions (Thermo Fisher Scientific). Seven to twelve microliters of the digests was used to resolve the restriction fragments on vertical 5% polyacrylamide gel, as described [34]. The sizes of the DNA fragments were estimated by 1 Kb Plus DNA ladder (Thermo Fisher Scientific). Sequences of P1A/P7A and rp(V)F1A/rp(V)R1A amplimers obtained in the current study (see Section 2.4—Nucleotide Sequence Analysis and Phylogenetic Relationships) were employed in virtual RFLP analysis using pDRAW32 program (http://www.acaclone.com, accessed on 20 September 2024) [1,34,42]. The resulting restriction profiles were compared with those of 16SrV group reference strains present in GenBank. Virtual RFLP analysis of R16F2n/R2 sequences was performed according to Zhao et al. [43].
2.4. Nucleotide Sequence Analysis and Phylogenetic Relatioships
P1A/P7A, rp(V)F1A/rp(V)R1A, FD9f6/MAPr2, fEY_imp/rpyrG and fEY_groEL/rEY_groEL amplicons were purified through PureLink PCR Purification Kit (Invitrogen, Waltham, MA, USA) and sequenced directly by BMR Genomics, Italy, using the same primers employed in PCR assays. The obtained sequences were used in a BLAST search carried out according to Altschul et al. [44]. Sequence similarities were determined by CLUSTAL W of the LaserGene software (DNASTAR) version 7.1. GenBank accession nos. of sequences generated in this work are as follows: PP329915 to PP329927 for rDNA, PP332813 to PP332829 for rpsV (rpl22) and rpsC (rps3), PP332830 to PP332857 for map, PP332858 to PP332870 for Imp, and PP332871 to PP332881 for groEL sequences. Several other sequences were retrieved from the GenBank database and used for comparisons (Table S2). Phylogenetic analyses were conducted in MEGA, version 11, using the neighbor-joining method [45]. The data were resampled 1000 times and the bootstrap percentage values are given at the nodes of the tree. Phylogenetic distances were calculated by pairwise comparison.
3. Results
3.1. Symptoms and Disease Incidence
The symptoms observed on the diseased elm trees strikingly resembled those previously described [33,34]. They included leaf epinasty, leaf curl, yellowing, stunting, reduced terminal growth, small leaves, premature leaf shedding, pronounced witches’ brooms at the tips of twigs and branches and at the roots, die-back and decline. In some cases, witches’ brooms and proliferating shoots were present along the entire trunk of the affected trees. Localized brooming and yellowing were recorded in the crown of some affected trees. Over time, these symptoms increased in severity and progressively spread to the entire crown, giving the tree a starved appearance (Figure 2, Figure 3 and Figure S1). Also, infected trees that initially showed only non-specific symptoms such as foliar yellowing and general decline, which can be confused with those induced by several other biotic and/or abiotic factors, over time, developed EY-specific symptoms such as small leaves, reduced terminal growth, proliferating shoots along the trunk and branches, and apical witches’ brooms with a decreasing leaf size towards the top on newly formed shoots (Figure S1).
Figure 2.
Elm yellows (EY)-affected Ulmus pumila (Siberian elm) (a–c,f) and U. minor (European field elm) (d,e) trees showing symptoms of yellowing, witches’ brooms, shoot proliferation, small leaves and reduced terminal growth. (c) Severe yellowing and systemic brooming. (e) Witches’ brooms and proliferating shoots are present along the entire trunk of the affected tree. A healthy-looking tree is on the left.
Figure 3.
(a,b,d) Diseased U. minor (European field elm) trees showing witches’ brooms during the dormant season. (c,e–g) Pronounced witches’ brooms arising from roots of affected U. pumila (c,e,g) and U. minor (f) trees.
The disease incidence varied from 10 to 50%, but in some locations such as the Grumento Nova and Tramutola of Basilicata regions, more than 80% of the elm trees were affected. The disease incidence was higher in the European field elm trees than in the Siberian and Scots elm trees.
3.2. Phytoplasma Detection
With the rDNA primers, the target DNA was amplified from all 264 symptomatic elm trees examined. However, in the samples from 52 symptomatic elm trees, positive results were obtained only when the P1/P7 PCR products were re-amplified with either P1A/P7A or fB1/rULWS and R16(V)F1/R1. The primers rp(V)F1/rpR1 and rp(V)F1A/rp(V)R1A, FD9f5/MAPr1 and FD9f6/MAPr2, and fEY_imp/rpyrG and fEY_groEL/rEY_groEL gave results identical to those achieved by the rDNA primers. All of the reference strains tested positive with all of the primer pairs used, whereas all the samples from the healthy control plants tested negative for phytoplasmas in both the direct and nested PCR assays.
3.3. Restriction Enzyme Digestion
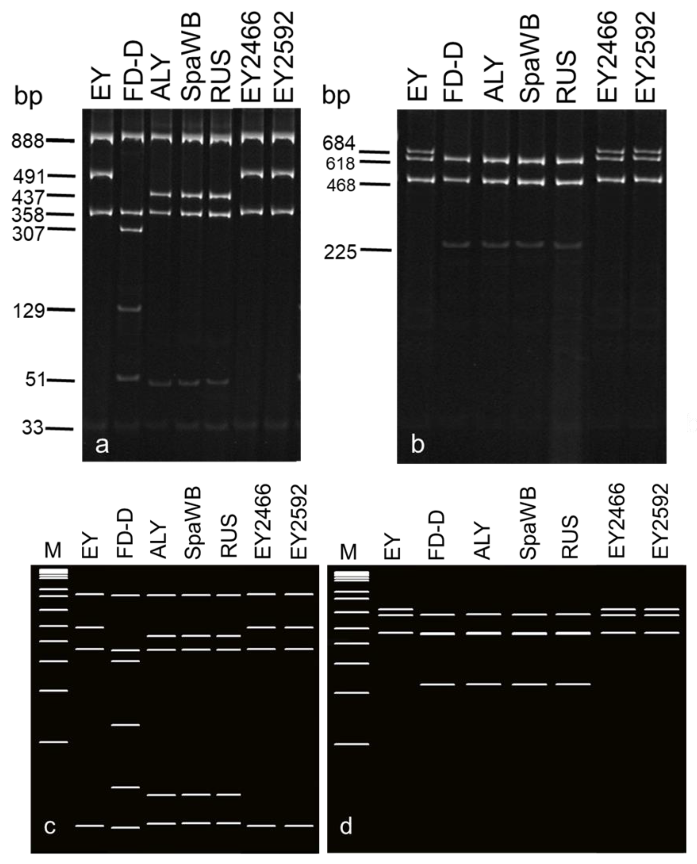
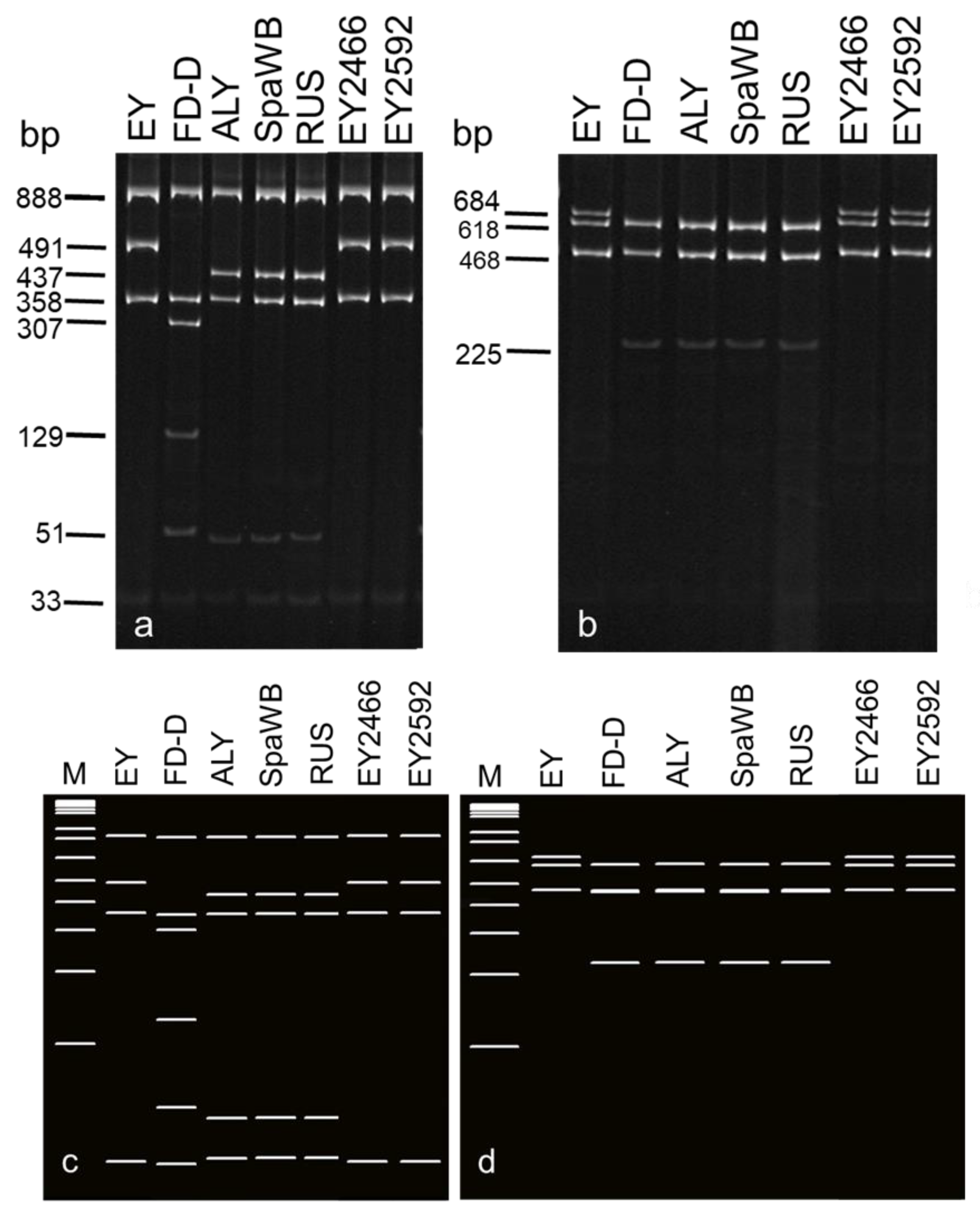
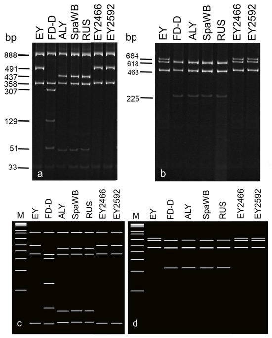
After the digestion of the P1/P7 and/or P1A/P7A amplicons with TaqI, all the phytoplasma-positive samples from the elms showed the same restriction profile as the reference strains ULW and EY1. This profile is due to the three cleavage sites in the amplified sequences (Figure 4a). The strains ALY, SpaWB and RUS, and FD-D showed different profiles, which is due to four and five cleavage sites, respectively. Following the digestion of the fB1/rULWS amplicons with TaqI, all of the samples from the elms showed the same restriction pattern as the strains ULW, EY1, ALY, SpaWB and RUS. This resulted because the TaqI site in the 16S/23S rDNA spacer region, which allows one to distinguish 16SrV-C phytoplasmas from the EY agent [34], was not present in the sequences targeted by the fB1/rULWS primer. However, the FD-D strain differed from the other phytoplasmas. When the P1/P7 and/or P1A/P7A and fB1/rULWS amplicons were digested with BfaI, all the phytoplasma-positive samples from the elms showed the same pattern as the ULW and EY1 strains. This pattern, which is due to the two cleavage sites, differed from that of the ALY, SpaWB, RUS and FD-D strains, which resulted from three cleavage sites (Figure 4b).
Figure 4.
(a) TaqI and (b) BfaI actual and (c) TaqI and (d) BfaI virtual restriction patterns of P1A/P7A fragment from elm yellows (EY) phytoplasma strains and reference strains. EY, elm yellows (strain EY1); FD-D, flavescence dorée (16SrV-D); ALY, alder yellows; SpaWB, Spartium witches’ broom; RUS, Rubus stunt; EY2466 and EY2592, newly detected EY phytoplasma strains in southern Italy (examples). In (c,d), FD-D (strain FD1487); ALY (strain ALY-SI); SpaWB (strain SpaWB229); RUS (strain RUS); M, 1 Kb Plus DNA ladder.
The in silico restriction analysis of the P1A/P7A sequences of the newly detected EY phytoplasma strains in southern Italy, hereinafter referred to as ‘ND-SI-EY strains’, (see Section 3.4—Nucleotide Sequence Analysis and Phylogenetic Relationships) with TaqI and BfaI, showed the same pattern with each enzyme. The TaqI pattern was identical to that of strain EY1 of the EY agent but different from those of the ALY (strain ALY-SI), SpaWB (strain SpaWB229), RUS (strain RUS) and FD-D (strain FD1487) phytoplasmas, respectively (Figure 4c). The BfaI pattern was identical to those of strain EY1 of the EY agent but different from those of the ALY (strain ALY-SI), SpaWB (strain SpaWB229), RUS (strain RUS) and FD-D (strain FD1487) phytoplasmas (Figure 4d). The expected sizes obtained with the virtual RFLP analysis were in accordance with those of the actual RFLP results of the P1A-P7A PCR products (Figure 4). The in silico restriction analysis of the F2nR2 sequences showed that the ND-SI-EY strains belong to the 16SrV-A subgroup. They had the same RFLP profiles as the reference strain EY1, sharing a pattern similarity coefficient of 1.00 (Figure 5 and Figure S2). Following the virtual digestion of the rp(V)F1A/rp(V)R1A sequences with nine restriction enzymes, all 17 ND-SI-EY strains examined showed the same RFLP profiles with each endonuclease. These profiles were identical to those of strains EY1, EY125, EY626 and EY627 of the EY phytoplasma (Table S3). Therefore, the ND-SI-EY strains are members of the rpV-A subgroup delineated by Lee et al. [1]. The DraI, TaqI, AluI, MseI, SspI and Tsp509I restriction profiles of the rp(V)F1A/rp(V)R1A sequences resulted from the presence of 7, 2, 10, 30, 4 and 20 restriction sites, respectively. None of the rp(V)F1A/rp(V)R1A sequences showed HpaII, HaeIII and HhaI cleavage sites.
Figure 5.
(a–d). In silico (=virtual) restriction analysis carried out according to Zhao et al. [43] with 17 restriction endonucleases of R16F2n/R2 sequences from EY phytoplasma strains detected in the present work (examples) and phytoplasma reference strain EY1. MW, φX174DNA HaeIII digest.
3.4. Nucleotide Sequence Analysis and Phylogenetic Relatioships
The nucleotide sequence analysis showed that the ND-SI-EY strains shared 16S rDNA sequence similarity varying from 98.5 (EY2579 vs. EY2595) to 99.6% (EY2637 vs. EY2592). Comparisons of these strains with previously reported EY strains revealed sequence similarity values between 98.5 (EY2579 vs. EY1-GenBank accession no. AF122910) and 100% (EY2467 vs. EY24-SRB). Comparisons with members of other 16SrV subgroups showed 16S rDNA sequence similarity values of 97.8%–99.7%, 97.8%–99.7%, 97.8%–99.6%, 97.6%–99.8%, 97.5%–99.3%, 97%–99.2% and 96.2%–97.9% with the ALY, SpaWB, HD, FD, RUS, 16SrV-B (JRWB, PY-In, CLY5 and JWB-G1) and BltWB strains, respectively. The phytoplasmas from the other taxonomic groups differed from the ND-SI-EY strains in more than 6.6% of the nucleotide positions. The phylogenetic relationships of the ND-SI-EY strains at the 16S rDNA sequence level to each other and to other phytoplasmas are shown in Figure 6. The ND-SI-EY strains clustered with other EY strains. At the 16S/23S rDNA level, the ND-SI-EY strains showed similarity values between 95.9 (EY2471 vs. EY2581) and 100% (EY2467 vs. EY2637). Strains EY2467, EY2470, EY2476 and EY2637 proved to be identical to the EY strains EY1 (GenBank accession no. AF189214), EYCZ1 and EY4PL, whereas the remaining ND-SI-EY strains shared 95.1%–99.6% 16S/23S rDNA similarity with other EY strains used for comparison. Within the 16SrVgroup, the strain most distantly related to the ND-SI-EY strains was BltWB (Ca. Phytoplasma balanitae), which shared 93.4%–96.5% 16S/23S rDNA similarity with them. In the phylogenetic analysis, most of the ND-SI-EY strains clustered tightly together, whereas the remaining ND-SI-EY strains clustered with both the American and European EY strains (Figure S3).
Figure 6.
Phylogenetic tree generated through the neighbor-joining method [45] with 16S rDNA sequences obtained from newly detected EY phytoplasma strains in southern Italy (in bold type), previously reported EY strains, 16SrV-B, -C, -D, -E and -F subgroup phytoplasmas, and a number of formally described ‘Candidatus Phytoplasma’ species. Acholeplasma laidlawii was used as the outgroup. Bar corresponds to a distance of 0.02 nucleotide substitutions per site. GenBank accession number is provided for each phytoplasma. Bootstrap values are given on branches of the tree.
The sequence analysis of the rpsV (rpl22) and rpsC (rps3) genes of 17 ND-SI-EY strains showed similarity values which varied from 98.1 to 100%. These strains had 98.2%–100% similarity with the other EY strains. The sequence similarity to the members of the other 16SrV subgroups was 96.4%–97.6%, 96.8%–98%, 96.4%–97.5%, 96.4%–97.5%, 96.5%–97.6% and 95%–96.4% for the ALY, FD, SpaWB, RUS, HD and 16SrV-B (JRWB, PY-In, CLY5) strains, respectively. The phylogenetic relationships of the ND-SI-EY strains based on the rp genes to each other and to other 16SrV subgroup members are depicted in Figure 7.
Figure 7.
Phylogenetic tree generated through the neighbor-joining method [45] with rp operon sequences, covering rpsV (rpl22) and rpsC (rps3) genes, obtained from newly detected EY phytoplasma strains in southern Italy (in bold type), previously reported EY strains, and flavescence dorée (FD), Spartium witches’ broom (SpaWB), Rubus stunt (RUS), hemp dogbane yellows (HD), jujube witches’ broom (JWB), cherry lethal yellows (CLY) and peach yellows (PY) strains. Potato witches’ broom (PWB) phytoplasma strain PWB2 was used as the outgroup. Bar corresponds to a distance of 0.02 nucleotide substitutions per site. GenBank accession number is provided for each phytoplasma. Bootstrap values are given on branches of the tree.
The comparisons of the map gene sequences showed similarity values ranging from 98.5 to 100% among the ND-SI-EY strains. These strains had 97.9%–100% map gene sequence similarity with previously reported EY strains. The strains most closely related to the ND-SI-EY strains were the EY strains E04-D714 and EY24-SBR, previously detected in U. glabra in France and U. minor in Serbia, respectively [40,46], which had 99.1%–100% map gene similarity with them. More distantly related were the other Serbian EY strains EY1-SRB, EY10-SRB, EY18-SRB and EY20-SRB, the Croatian EY strains KP1, NK3, NK16, DM1, DM8, DM20, J2, J7, C5, and the French EY strain E04-D438, which shared 98.1%–99.1% map gene sequence similarity with the ND-SI-EY strains. In the comparisons with the other 16SrV subgroup members, the ND-SI-EY strains shared 96.1%–97.2%, 95.1%–97%, 96%–97%, 95.8%–96.7%, 96.6%–97.5% and 96.4%–97.3% map gene similarity with the strains of the ALY, FD, PGY, SpaWB, HD and RUS phytoplasmas, respectively. Within the ND-SI-EY strains, EY2466, EY2468, EY2470, EY2471, EY2477, EY2479, EY2517, EY2578, EY2635, EY2636 and EY2637 proved to be identical to strains E04-D714 and EY24-SBR (Table S4). Strains EY2467 and EY2596 differed by a SNP (G instead of T) at position 423 from the strain E04-D714. The strains EY2476, EY2554, EY2577, EY2579 and EY2581 each differed by two SNPs from the strain E04-D714, whereas strains EY2469, EY2478, EY2516, EY2553, EY2582, EY2591, EY2595, EY2607, EY2608 and EY2638 differed from the strain E04-D714 by a number of SNPs ranging from three to six (Table S4). In the phylogenetic analysis based on the map gene, the ND-SI-EY strains clustered with the strains E04-D714 and EY24-SBR. The latter two strains are members of the Map-EY1 phylogenetic lineage delineated in previous work [46,47]. Flanked to a cluster of ND-SI-EY strains were clusters comprising other EY strains such as the Serbian and Croatian strains and the French strain E04-D438 (Figure S4).
The comparisons of the imp gene sequences of 13 ND-SI-EY strains revealed similarity values ranging from 98.5 to 100%. The ND-SI-EY strains shared 70.9%–99.8% imp gene similarity with other EY strains. The strains most closely related to the ND-SI-EY strains were the EY strains ULW, and 0485-Um-BW and 3400-Um-ST, previously recorded in France and Germany, respectively [33], which shared 99.8% imp gene similarity with them. The similarity values to other 16SrV subgroup members were lower, being 70.2%–71.3%, 70.8%–78.5% and 62.6%–63.9% for the ALY, FD and JWB strains, respectively. In the phylogenetic analysis, the ND-SI-EY strains formed a monophyletic group and clustered together with some other EY strains. Flanked to the cluster of ND-SI-EY strains were the other EY strains, and the FD and ALY strains (Figure 8a).
Figure 8.
Phylogenetic tree generated through the neighbor-joining method [45] using imp (a) and groEL (b) sequences obtained from newly detected EY phytoplasma strains in southern Italy (in bold type), previously reported EY strains and a number of reference phytoplasmas. Napier grass stunt (NGS) phytoplasma strain UG20 (a), and aster yellows phytoplasma strain ORN (b) were used as the outgroups. Bar corresponds to a distance of 0.05 nucleotide substitutions for site. GenBank accession number is provided for each phytoplasma. Bootstrap values are given on branches of the trees.
An analysis of the groEL gene sequences of the ND-SI-EY strains revealed similarity values which varied from 99.1 to 100%. The ND-SI-EY strains shared 95.1%–100% groEL gene similarity with the other EY strains. In particular, the strains EY2478, EY2553, EY2579 and EY2581 proved to be identical to the EY strain ULW. The ND-SI-EY strains shared 95%–95.9%, 95.5%–96.5% and 93.3%–94.2% groEL gene similarity with the other 16SrV group members such as the ALY, FD and JWB strains, respectively. The phylogeny based on the groEL gene revealed a monophyletic origin of the ND-SI-EY strains. These clustered with the EY strains ULW and 1986-Um-RP. Flanked to the cluster containing the ND-SI-EY strains were the other EY strains and the ALY and FD strains (Figure 8b).
4. Discussion
In this study, field observations and PCR assays were used to detect phytoplasma infections in diseased U. minor, U. pumila and U. glabra trees in several sites of the neighboring regions Basilicata, Campania and Calabria of southern Italy. Also, multigene sequence analysis using various less conserved genes was carried out to elucidate the genetic diversity of elm-infecting phytoplasma strains in southern Italy. On the basis of the primer specificity and actual and virtual RFLP and sequence analyses of rDNA sequences, the detected phytoplasma was identified as the EY agent ‘Ca. Phytoplasma ulmi’, a member of the 16SrV-A subgroup. The virtual RFLP analysis of the 16S rDNA sequences showed that the newly detected EY phytoplasma strains in southern Italy (=ND-SI-EY strains) are all members of the 16SrV-A subgroup. Neither the 16SrV-A variants nor the other 16SrV subgroup members or phytoplasmas of the other 16Sr groups could be detected in the present work. Previous studies showed that in addition to the specific EY agent, other phytoplasmas which are not specific to elm (=‘non-elm’ phytoplasmas) have been detected in EY-affected elm trees. These include the subgroup 16SrI-B, 16SrV-B and -C, 16SrVI-C, 16SrXII-A and -E phytoplasmas [7,47,48,49,50,51,52]. The combined use of universal and specific primers in our work clearly proved that ‘non-elm’ phytoplasmas did not occur in the material examined and that EY-specific primers did not cross-amplify DNA from phytoplasmas of other taxonomic groups. In accordance with previous work [53,54,55], nested PCR proved to be more sensitive than direct (‘one-round’) PCR. Repeated amplification with nested primers was needed to reveal all the infected elm trees, since about 20% of the infected trees examined in the present study tested negative for phytoplasma with direct PCR assays. These results indicate that the density of the phytoplasma population in some elm trees was very low or the pathogen was unevenly distributed in the tree. Alternatively, PCR inhibitory factors may occur in DNA extracts from trees. There are several other examples where the detection of phytoplasma infections in woody plants by direct PCR was difficult due to the low colonization density and was possible only through the highly sensitive nested PCR assays [8,56,57,58]. However, although PCR technology is the method of choice for the detection of phytoplasma infections, it cannot be ruled out that infected samples test negative for phytoplasma (=false negatives) with this method. This occurs mainly in woody plants due to several factors including the uneven distribution of phytoplasmas in the infected tissues. The EY phytoplasma was previously known to occur in European field elm in southern Italy. The presence of this pathogen in Siberian elm and Scots elm in the same geographic areas represents a new finding. The results of the current study also indicate that the EY phytoplasma is particularly widespread in southern Italy and is of considerable economic and ecological significance. Notably, it represents a predisposing factor for Dutch elm disease, which is particularly destructive in southern Italy. In contrast to the findings of previous studies [7,47], which showed that in Germany and Croatia, a great percentage of elm trees were latently infected with ‘Ca. Phytoplasma ulmi’ or had only mild symptoms, our data clearly evidenced that elm trees in southern Italy were severely damaged by the EY agent, as shown by the symptom severity and disease incidence. This may be due to fact that strains in southern Italy differ in virulence from those occurring in Germany and Croatia and/or the plant hosts have different responses to the EY agent in these countries. It is possible that elm genotypes under the soil and climatic conditions of southern Italy are more severely affected than those under the soil and climatic conditions occurring in other countries. The high disease incidence recorded in southern Italy reflects the occurrence of an efficient insect vector. Such a high disease incidence is similar to that found in central and northern Italy [10,11,28].
At the 16S rDNA level, the ND-SI-EY strains differ from each other at 0.4%–1.5% of nucleotide positions. On the basis of the sequence dissimilarity and branching pattern, the strains EY2579 and EY2595 proved to be the most distantly related. These strains greatly differed from each other also within each other gene examined. These findings indicate the presence of distinct taxonomic entities within the material examined, although further work is need to elucidate their pathological and epidemiological relevance. Within the 16S rRNA gene, some ND-SI-EY strains were most related to the EY strains from Serbia, Poland and the Czech Republic, while the other ND-SI-EY strains proved most related to the American, French and Italian EY strains. The sequence comparisons of the rp gene sequences showed that the ND-SI-EY strains are more closely related to the American and Italian EY strains than those from eastern European countries such as Serbia, Croatia, Poland and the Czech Republic. An exception was the Serbian strain EY24-SRB, which was identical or nearly identical to several ND-SI-EY strains. Also, on the basis of the virtual RFLP analysis of the rp gene sequences, the ND-SI-EY strains were assigned to the rpV-A subgroup delineated by Lee et al. [1]. This subgroup also includes the American and Italian EY strains and the Serbian strain EY24-SRB [1,46]. The sequence analyses of the map gene revealed the occurrence of 15 genotypes in the material examined. These genotypes were designated as map genotype M1 through map genotype M15. The most prevalent genotype was the map genotype M1, which included 11 out of 28 strains examined and was previously known to occur in Europe [40,46,47]. Map genotype M2 through map genotype M15 were newly identified in the present work. The ND-SI-EY strains showed slightly more genetic variability at the imp gene sequence level than at the groEL gene level. This reflects the role of the imp and groEL genes as two markers of different resolving powers, as previously reported [18,19,41,59]. The genetic variation observed may result from mechanisms such as geographic isolation or host-specific adaptation.
Prior to this work, only a few strains from France and a number of strains from Serbia and Croatia, of the EY agent, were examined at the map gene sequence level [40,46,47], whereas strains of the same pathogen at the imp and groEL gene sequence levels were examined only in Germany [41]. Therefore, this is the first report from Italy on the molecular characterization of EY phytoplasma strains through map, imp and groEL gene sequence and phylogenetic analyses. No evidence of mixed infections by different strains in a given elm tree examined was obtained in the present work. The EY strains detected in this work have not been recorded in plants of genera other than elm. Therefore, it is likely that they are spread among elm species and hybrids by vector(s) which is(are) strictly related to elm. This is also supported by previous findings which show that the EY agent has a very narrow plant host range. Since the EY phytoplasma seems of European origin [3,11], it is presumable that affected European field elm trees act as the major inoculum source from which the pathogen is spread to other elm genotypes.
The occurrence of different strains, delineated in the present work, especially at the map gene sequence level, was not linked to biological traits such as the plant host species, kind and severity of symptoms and disease incidence or to the geographical distribution of the examined elm trees. However, the data obtained may provide a basis for further studies aimed at elucidating several other aspects of this pathogen, such as its insect vectors, phytoplasma–insect vector relationships, phytoplasma–plant host interactions, difference in strain virulence, host tolerance and resistance, pathogenicity and antagonistic strain interactions. Knowledge of these aspects is essential for effective disease management and control strategies. Notably, avirulent strains can be exploited to develop cross-protection approaches to control EY disease whereas the control of insect vectors and the use of resistant and/or tolerant taxa and certified planting material can greatly reduce disease incidence and impact.
Because European and Asian elm species are less prone to severe decline due to phloem necrosis in the roots and stems of affected trees, these species should be considered in elm selection and breeding programs aimed at developing cultivars resistant or tolerant to EY phytoplasma. However, the widespread occurrence and symptom severity of EY disease in southern Italy make selection and breeding work more difficult.
5. Conclusions
‘Ca. Phytoplasma ulmi’ is a harmful pathogen that is included in the A1 quarantine pest list of the European and Mediterranean Plant Protection Organization (EPPO) [60]. This pathogen is more widespread than previously thought in southern Italy and severely affects the vigor and longevity of elm trees, as evidenced by the symptom expression recorded in the present study. In some surveyed areas, a high rate of elm trees proved to be affected. In all the affected elm trees, only ‘Ca. phytoplasma ulmi’ occurred. Phytoplasmas of other taxonomic groups could not be detected. Although ‘Ca. phytoplasma ulmi’ was already known to occur in southern Italy on European field elm, the current work expands the knowledge on the presence, disease incidence and severity, plant host range and molecular aspects of EY phytoplasma strains occurring in southern Italy. Also, the molecular characterization of EY phytoplasma strains through the map, imp and groEL gene sequences and phylogenetic analyses was carried out for the first time in Italy in the present work. The identification of strains which proved distantly related to each other and to other previously characterized EY phytoplasma strains implies the presence of distinct taxonomic entities among the ND-SI-EY strains that have not been reported before.
Although the occurrence of different strains was not linked to biological traits and geographical distribution, the data obtained may form a basis for further studies aimed at elucidating several other unknown aspects of the EY agent, knowledge of which is essential for effective disease management and control.
Future research should be aimed at exploring the pathogen’s interaction with insect vectors, examining environmental factors that may influence pathogen spread, or evaluating host resistance across different Ulmus species.
Supplementary Materials
The following supporting information can be downloaded at https://www.mdpi.com/article/10.3390/f15122067/s1. Figure S1: Elm yellows (EY)-diseased U. minor (European field elm) and U. glabra (Scots elm) trees; Figure S2: Virtual RFLP analysis with TaqI and BfaI of R16F2n/R2 fragments; Figure S3: Phylogenetic tree with 16S/23S rDNA spacer region; Figure S4: Phylogenetic tree with map gene; Table S1: Details of primers; Table S2: Phytoplasmas related to ND-SI-EY strains used for comparisons; Table S3: Pattern types obtained by virtual RFLP analysis of rp genes; Table S4: SNPs in the map gene [61,62,63,64,65,66,67,68,69,70,71,72,73,74].
Author Contributions
Conceptualization, C.M.; methodology, C.M., C.P. and A.C.; formal analysis, CM. and C.P.; investigation, C.M. and C.P.; data curation, C.M.; writing—original draft preparation, C.M. and C.P.; writing—review and editing, C.M., C.P. and A.C.; visualization, C.M.; supervision, C.M.; project administration, C.M. All authors have read and agreed to the published version of the manuscript.
Funding
This work was performed by C.M. in the context of EUPHRESCO project “Study on the diversity of phytoplasmas detected in European forests (PhyFor)” and was funded by Gal “Terra è Vita”, Campania region.
Data Availability Statement
DNA sequences obtained in this work were deposited in GenBank under accession numbers PP329915 to PP329927 for rDNA, PP332813 to PP332829 for rpsV (rpl22) and rpsC (rps3), PP332830 to PP332857 for map, PP332858 to PP332870 for Imp, and PP332871 to PP332881 for groEL genes.
Acknowledgments
We thank F. Quaglino (University of Milan, Milan, Italy) for supplying the FD-D strain, and the anonymous reviewers for their helpful comments and suggestions.
Conflicts of Interest
The authors declare no conflicts of interest.
References
- Lee, I.-M.; Martini, M.; Marcone, C.; Zhu, S.F. Classification of phytoplasma strains in the elm yellows group (16SrV) and proposal of ‘Candidatus Phytoplasma ulmi’ for the phytoplasma associated with elm yellows. Int. J. Syst. Evol. Microbiol. 2004, 54, 337–347. [Google Scholar] [CrossRef] [PubMed]
- Griffiths, H.M.; Sinclair, W.A.; Boudon-Padieu, E.; Daire, X.; Lee, I.-M.; Sfalanga, A.; Bertaccini, A. Phytoplasmas associated with elm yellows: Molecular variability and differentiation from related organisms. Plant Dis. 1999, 83, 1101–1104. [Google Scholar] [CrossRef] [PubMed]
- Sinclair, W.A. Elm yellows in North America. In The Elms: Breeding, Conservation, and Disease Management; Dunn, C.P., Ed.; Kluwer Academic Publisher: Boston, MA, USA, 2000; pp. 121–136. [Google Scholar]
- Jović, J.; Cvrković, T.; Mitrović, M.; Petrović, A.; Krnjajić, S.; Toševski, I. New strain of ‘Candidatus Phytoplasma ulmi’ infecting Ulmus minor and U. laevis in Serbia. Plant Pathol. 2008, 57, 1174. [Google Scholar] [CrossRef]
- Murolo, S.; Romanazzi, G. Infections of Candidatus Phytoplasma ulmi in Ulmus parvifolia, Ulmus sp. and Zelkova serrata trained as bonsais. J. Plant Pathol. 2008, 90, 345–349. [Google Scholar]
- Navrátil, M.; Šafářová, D.; Válová, P.; Fránová, J.; Šimková, M. Phytoplasma associated with witches’-broom disease of Ulmus minor Mill. in the Czech Republic: Electron miscoscopy and molecular characterization. Folia Microbiol. 2009, 54, 37–42. [Google Scholar] [CrossRef]
- Schneider, B.; Kätzel, R.; Kube, M. Widespread occurrence of ‘Candidatus Phytoplasma ulmi’ in elm species in Germany. BMC Microbiol. 2020, 20, 74. [Google Scholar] [CrossRef]
- Marcone, C.; Valiunas, D.; Mondal, S.; Sundararaj, R. On some significant phytoplasma diseases of forest trees: An update. Forests 2021, 12, 408. [Google Scholar] [CrossRef]
- Cieślińska, M.; Krajciczek, K.; Pałka, A. Multigene characterization of ‘Candidatus Phytoplasma ulmi’-related isolates associated with elm yellows disease of Ulmus minor Mill. in Poland. For. Pathol. 2022, 52, e12734. [Google Scholar] [CrossRef]
- Conti, M.; D’Agostino, G.; Mittempergher, L. A recent epiphytotic of elm yellows in Italy. In Proceedings of the 7th Congress of the Mediterranean Phytopathological Union, Granada, Spain, 20–27 September 1987; pp. 208–209. [Google Scholar]
- Mittempergher, L. Elm yellows in Europe. In The Elms: Breeding, Conservation, and Disease Management; Dunn, C.P., Ed.; Kluwer Academic Publisher: Boston, MA, USA, 2000; pp. 103–119. [Google Scholar]
- Lanier, G.N.; Schubert, D.C.; Manion, P.D. Dutch elm disease and elm yellows in central New York. Plant Dis. 1988, 72, 189–194. [Google Scholar] [CrossRef]
- Weintraub, P.G.; Beanland, L. Insect vectors of phytoplasmas. Ann. Rev. Entomol. 2006, 51, 91–111. [Google Scholar] [CrossRef]
- IRPCM Phytoplasma/Spiroplasma Working Team—Phytoplasma taxonomy group. ‘Candidatus Phytoplasma’, a taxon for the wall-less, non-helical prokaryotes that colonize plant phloem and insects. Int. J. Syst. Evol. Microbiol. 2004, 54, 1243–1255. [Google Scholar] [CrossRef] [PubMed]
- Bertaccini, A.; Arocha-Rosete, Y.; Contaldo, N.; Duduk, B.; Fiore, N.; Guglielmi Montano, H.; Kube, M.; Kuo, C.-H.; Martini, M.; Oshima, K.; et al. Revision of the ‘Candidatus Phytoplasma’ species description guidelines. Int. J. Syst. Evol. Microbiol. 2022, 72, 005353. [Google Scholar] [CrossRef] [PubMed]
- Wei, W.; Zhao, Y. Phytoplasma Taxonomy: Nomenclature, Classification, and Identification. Biology 2022, 11, 1119. [Google Scholar] [CrossRef] [PubMed]
- Malembic-Maher, S.; Desqué, D.; Khalil, D.; Salar, P.; Bergey, B.; Danet, J.-L.; Duret, S.; Dubrana-Ourabah, M.-P.; Beven, L.; Ember, I.; et al. When a Palearctic bacterium meets a Nearctic insect vector: Genetic and ecological insights into the emergence of the grapevine Flavescence doreé epidemics in Europe. PLoS Pathog. 2020, 16, e1007967. [Google Scholar] [CrossRef] [PubMed]
- Danet, J.L.; Balakishiyeva, G.; Cimerman, A.; Sauvion, N.; Marie-Jeanne, V.; Labonne, G.; Laviňa, A.; Battle, A.; Križanac, I.; Škorić, D.; et al. Multilocus sequence analysis reveals the genetic diversity of European fruit tree phytoplasmas and supports the existence of inter-species recombination. Microbiology 2011, 157, 438–450. [Google Scholar] [CrossRef]
- Mitrović, J.; Smiljković, M.; Seemüller, E.; Reinhardt, R.; Hüttel, B.; Büttner, C.; Bertaccini, A.; Kube, M.; Duduk, B. Differentiation of ‘Candidatus Phytoplasma cynodontis’ based on 16S rRNA and groEL genes and identification of a new subgroup, 16SrXIV-C. Plant Dis. 2015, 99, 1578–1583. [Google Scholar] [CrossRef]
- Jung, H.-Y.; Sawayanagi, T.; Kakizawa, S.; Nishigawa, H.; Wei, W.; Oshima, K.; Miyata, S.-i.; Ugaki, M.; Hibi, T.; Namba, S. ‘Candidatus Phytoplasma ziziphi’, a novel phytoplasma taxon associated with jujube witches’-broom disease. Int. J. Syst. Evol. Microbiol. 2003, 53, 1037–1041. [Google Scholar] [CrossRef]
- Malembic-Maher, S.; Salar, P.; Filippin, L.; Carle, P.; Angelini, E.; Foissac, X. Genetic diversity of European phytoplasmas of the 16SrV taxonomic group and proposal of ‘Candidatus Phytoplasma rubi’. Int. J. Syst. Evol. Microbiol. 2011, 61, 2129–2134. [Google Scholar] [CrossRef]
- Win, N.K.K.; Lee, S.-Y.; Bertaccini, A.; Namba, S.; Jung, H.-Y. ‘Candidatus Phytoplasma balanitae’ associated with witches’ broom disease of Balanites triflora. Int. J. Syst. Evol. Microbiol. 2013, 63, 636–640. [Google Scholar] [CrossRef]
- Lai, F.; Song, C.S.; Ren, Z.G.; Lin, C.L.; Xu, Q.C.; Li, Y.; Piao, C.G.; Yu, S.S.; Guo, M.W.; Tian, G.Z. Molecular characterization of a new member of the 16SrV group of phytoplasma associated with Bischofia polycarpa (Levl.) airy shaw witches’-broom disease in China by a multiple gene-based analysis. Australas. Plant Pathol. 2014, 43, 557–569. [Google Scholar] [CrossRef]
- Fránová, J.; de Sousa, E.; Koloniuk, I.; Mimoso, C.; Matos, J.; Cardoso, F.; Contaldo, N.; Paltrinieri, S.; Bertaccini, E. Multigene characterization of a new ‘Candidatus Phytoplasma rubi’-related strain associated with blackberry witches’ broom. Int. J. Syst. Evol. Microbiol. 2016, 66, 1438–1446. [Google Scholar] [CrossRef] [PubMed]
- Wang, J.; Liu, Q.; Wei, W.; Davis, R.E.; Tan, Y.; Lee, I.-M.; Zhu, D.; Wei, H.; Zhao, Y. Multilocus genotyping identifies a highly homogeneous phytoplasma lineage associated with sweet cherry virescence disease in China and its carriage by an erythroneurine leafhopper. Crop Prot. 2018, 106, 13–22. [Google Scholar] [CrossRef]
- Bertaccini, A.; Lee, I.-M. Phytoplasmas: An update. In Phytoplasmas: Plant Pathogenic Bacteria-I. Characterization and Epidemiology of Phytoplasma-Associated Diseases; Rao, G.P., Bertaccini, A., Fiore, N., Liefting, L., Eds.; Springer Nature: Singapore, 2018; pp. 1–29. [Google Scholar]
- Bertaccini, A. Plants and phytoplasmas: When bacteria modify plants. Plants 2022, 11, 1425. [Google Scholar] [CrossRef] [PubMed]
- Carraro, L.; Ferrini, F.; Ermacora, P.; Loi, N.; Martini, M.; Osler, R. Macropsis mendax as a vector of elm yellows phytoplasma of Ulmus species. Plant Pathol. 2004, 53, 90–95. [Google Scholar] [CrossRef]
- Herath, P.; Hoover, G.A.; Angelini, E.; Moorman, G.W. Detection of elm yellows phytoplasma in elms and insects using real-time PCR. Plant Dis. 2010, 94, 1355–1360. [Google Scholar] [CrossRef]
- Rosa, C.; McCarthy, E.; Duong, K.; Hoover, G.; Moorman, G. First report of the spittlebug Lepyronia quadrangularis and the leafhopper Latalus sp. as vectors of the elm yellows associated phytoplasma, Candidatus Phytoplasma ulmi in North America. Plant Dis. 2014, 98, 154. [Google Scholar] [CrossRef]
- Boudon-Padieu, E.; Larrue, J.; Clair, D.; Hourdel, A.; Jeanneau, A.; Sforza, R.; Collin, E. Detection and prophylaxis of elm yellows phytoplasma in France. For. Syst. 2004, 13, 71–80. [Google Scholar] [CrossRef]
- Jović, J.; Cvrković, T.; Mitrović, M.; Petrović, A.; Krstić, O.; Krnjajić, S.; Toševski, I. Genetic variability among ‘Candidatus Phytoplasma ulmi’ strains infecting elms in Serbia and survey of potential vectors. In Book of the Combinated Meeting of Work Groups COST Action FA0807: Current Status and Perspectives of Phytoplasma Disease Research and Management, Sitges, Spain, 1–2 February 2010; Bertaccini, A., Laviña, A., Torres, E., Eds.; IRTA: Cabrils, Spain, 2010; p. 18. [Google Scholar]
- Marcone, C.; Ragozzino, A.; Firrao, G.; Locci, R. Detection of elm witches’-broom agent in Basilicata, Southern Italy. Phytopath. Medit. 1994, 33, 194–199. [Google Scholar]
- Marcone, C.; Ragozzino, A.; Seemüller, E. Identification and characterization of the phytoplasma associated with elm yellows in southern Italy and its relatedness to other phytoplasmas of the elm yellows group. Eur. J. For. Pathol. 1997, 27, 45–54. [Google Scholar] [CrossRef]
- Ahrens, U.; Seemüller, E. Detection of DNA of plant pathogenic mycoplasmalike organisms by a polymerase chain reaction that amplifies a sequence of the 16S rRNA gene. Phytopathology 1992, 82, 828–832. [Google Scholar] [CrossRef]
- Ahrens, U.; Seemüller, E. Detection of mycoplasmalike organisms in declining oaks by polymerase chain reaction. Eur. J. For. Pathol. 1994, 24, 55–63. [Google Scholar] [CrossRef]
- Schneider, B.; Seemüller, E.; Smart, C.D.; Kirkpatrick, B.C. Phylogenetic classification of plant pathogenic mycoplasma-like organisms or phytoplasmas. In Molecular and Diagnostic Procedures in Mycoplasmology; Razin, S., Tully, J.G., Eds.; Academic Press: San Diego, CA, USA, 1995; Volume I, pp. 369–380. [Google Scholar]
- Smart, C.D.; Schneider, B.; Blomquist, C.L.; Guerra, L.J.; Harrison, N.A.; Ahrens, U.; Lorenz, K.-H.; Seemüller, E.; Kirkpatrick, B.C. Phytoplasma-specific PCR primers based on sequences of the 16S/23S rRNA spacer region. Appl. Environ. Microbiol. 1996, 62, 2988–2993. [Google Scholar] [CrossRef] [PubMed]
- Lee, I.-M.; Gundersen, D.E.; Hammond, R.W.; Davis, R.E. Use of mycoplasmalike organism (MLO) group-specific oligonucleotide primers for nested-PCR assays to detect mixed-MLO infections in a single host plant. Phytopathology 1994, 84, 559–566. [Google Scholar] [CrossRef]
- Arnaud, G.; Malembic-Maher, S.; Salar, P.; Bonnet, P.; Maixner, M.; Marcone, C.; Boudon-Padieu, E.; Foissac, X. Multilocus sequence typing confirms the close genetic interrelatedness of three distinct flavescence dorée phytoplasma strain clusters and group 16SrV phytoplasmas infecting grapevine and alder in Europe. Appl. Environ. Microbiol. 2007, 73, 4001–4010. [Google Scholar] [CrossRef]
- Schneider, B.; Hüttel, B.; Zübert, C.; Kube, M. Genetic variation, phylogenetic relationship and spatial distribution of ‘Candidatus Phytoplasma ulmi’ strains in Germany. Sci. Rep. 2020, 10, 21864. [Google Scholar] [CrossRef]
- Martini, M.; Bottner-Parker, K.D.; Lee, I.-M. PCR-based sequence analysis on multiple genes other than 16S rRNA gene for differentiation of phytoplasmas. In Phytoplasmas: Methods and Protocols, Methods in Molecular Biology; Musetti, R., Pagliari, L., Eds.; Springer Science+Business Media, LLC: New York, NY, USA, 2019; Volume 1875, pp. 97–115. [Google Scholar]
- Zhao, Y.; Wei, W.; Lee, I.-M.; Shao, J.; Suo, X.; Davis, R.E. Construction of an interactive online phytoplasma classification tool, iPhyClassifier, and its application in analysis of the peach X-disease phytoplasma group (16SrIII). Int. J. Syst. Evol. Microbiol. 2009, 59, 2582–2593. [Google Scholar] [CrossRef]
- Altschul, S.F.; Madden, T.L.; Schaffer, A.A.; Zhang, J.; Zhang, Z.; Miller, W.; Lipman, D.J. Gapped BLAST and PSI-BLAST: A new generation of protein database search programs. Nucleic Acids Res. 1997, 25, 3389–3402. [Google Scholar] [CrossRef]
- Tamura, K.; Stecher, G.; Kumar, S. MEGA 11: Molecular evolutionary genetics analysis version 11. Mol. Biol. Evol. 2021, 38, 3022–3027. [Google Scholar] [CrossRef]
- Jović, J.; Cvrković, T.; Mitrović, M.; Petrović, A.; Krstić, O.; Krnjajić, S.; Toševski, I. Multigene sequence data and genetic diversity among ‘Candidatus Phytoplasma ulmi’ strains infecting Ulmus spp. in Serbia. Plant Pathol. 2011, 60, 356–368. [Google Scholar] [CrossRef]
- Katanić, Z.; Krstin, L.; Ježić, M.; Zebec, M.; Ćurković-Perica, M. Molecular characterization of elm yellows phytoplasmas in Croatia and their impact on Ulmus spp. Plant Pathol. 2016, 65, 1430–1440. [Google Scholar] [CrossRef]
- Lee, I.-M.; Bertaccini, A.; Vibio, M.; Gundersen, D.E.; Davis, R.E.; Mittempergher, L.; Conti, M.; Gennari, F. Detection and characterization of phytoplasmas associated with disease in Ulmus and Rubus in northern and central Italy. Phytopath. Medit. 1995, 34, 174–183. [Google Scholar]
- Jacobs, K.A.; Lee, I.-M.; Griffiths, H.M.; Miller, F.D., Jr.; Bottner, K.D. A new member of the clover proliferation phytoplasma group (16SrVI) associated with elm yellows in Illinois. Plant Dis. 2003, 87, 241–246. [Google Scholar] [CrossRef] [PubMed]
- Zhu, T.S.; Pan, Y.Z.; Cui, T.T.; Gao, R.; Li, X.-D.; Zhu, S.F. Molecular detection and identification of the phytoplasma associated with elm yellows in China. Acta Phytopathol. Sin. 2008, 38, 401–406. [Google Scholar]
- Gao, R.; Wang, J.; Shao, Y.-H.; Li, X.-D.; Yang, B.-H.; Chang, W.C.; Zhao, W.-J.; Zhu, S.-F. Molecular identification of a phytoplasma associated with elm witches’-broom in China. For. Pathol. 2011, 41, 355–360. [Google Scholar] [CrossRef]
- De Jonghe, K.; Goedefroit, T.; Deeren, A.-M.; Fauche, F.; Steyer, S. A phytoplasma survey reveals the presence of ‘Candidatus Phytoplasma fragariae’ in Ulmus spp. and Acer pseudoplatanus in Belgium. For. Pathol. 2020, 50, e12635. [Google Scholar] [CrossRef]
- Berges, R.; Cousin, M.T.; Roux, J.; Seemüller, E. Detection of phytoplasma infections in declining Populus nigra ‘Italica’ trees and molecular differentiation of the aster yellows phytoplasmas identified in various Populus species. Eur. J. For. Pathol. 1997, 27, 33–43. [Google Scholar] [CrossRef]
- Berges, R.; Rott, M.; Seemüller, E. Range of phytoplasma concentrations in various plant hosts as determined by competitive polymerase chain reaction. Phytopathology 2000, 90, 1145–1152. [Google Scholar] [CrossRef]
- Bertaccini, A.; Paltrinieri, S.; Contaldo, N. Standard detection protocol: PCR and RFLP analyses based on 16S rRNA gene. In Phytoplasmas: Methods and Protocols, Methods in Molecular Biology; Musetti, R., Pagliari, L., Eds.; Springer Science+Business Media, LLC: New York, NY, USA, 2019; Volume 1875, pp. 83–95. [Google Scholar]
- Oropeza, C.; Cordova, I.; Chumba, A.; Narváez, M.; Sáenz, M.; Ashburner, R.; Harrison, N. Phytoplasma distribution in coconut palms affected by lethal yellowing disease. Ann. Appl. Biol. 2011, 159, 109–117. [Google Scholar] [CrossRef]
- Wright, A.A.; Shires, M.; Molnar, C.; Bishop, G.; Johnson, A.; Frias, C.; Harper, S.J. Titer and distribution of ‘Candidatus Phytoplasma pruni’ in Prunus avium. Phytopathology 2022, 112, 1406–1412. [Google Scholar] [CrossRef]
- De Silva, P.R.; Perera, C.N.; Bahder, B.W.; Attanayake, R.N. Nested PCR-based rapid detection of phytoplasma leaf wilt disease of coconut in Sri Lanka and systemic movement of the pathogen. Pathogens 2023, 12, 294. [Google Scholar] [CrossRef]
- Muirhead, K.; Pérez-López, E.; Bahder, B.W.; Hill, J.E.; Dumonceaux, T. The CpnClassiPhyR is a resource for cpn 60 universal target-based classification of phytoplasmas. Plant Dis. 2019, 103, 2494–2497. [Google Scholar] [CrossRef] [PubMed]
- European and Mediterranean Plant Protection Organization (EPPO). ‘Candidatus Phytoplasma ulmi’. In EPPO Datasheets on Pests Recommended for Regulation; European and Mediterranean Plant Protection Organization (EPPO): Paris, France, 2024. [Google Scholar]
- Davis, R.E.; Dally, E.L. Revised subgroup classification of group 16SrV phytoplasmas and placement of Flavescence dorée eassociated phytoplasmas in two distinct subgroups. Plant Dis. 2001, 85, 790–797. [Google Scholar] [CrossRef] [PubMed]
- Seemüller, E.; Schneider, B.; Mäurer, R.; Ahrens, U.; Daire, X.; Kison, H.; Lorenz, K.-H.; Firrao, G.; Avinent, L.; Sears, B.B.; et al. Phylogenetic classification of phytopathogenic mollicutes by sequence analysis of 16S ribosomal DNA. Int. J. Syst. Bacteriol. 1994, 44, 440–446. [Google Scholar] [CrossRef] [PubMed]
- Han, S.-S.; Lee, G.-W.; Kim, J.-S.; Park, J.-H.; Lee, K.S.; Seralathan, K.-K. Strains related to ‘Candidatus Phytoplasma ulmi’—Are associated with Chinese Elm yellows in Korea. J. Plant Pathol. 2021, 103, 1339–1340. [Google Scholar] [CrossRef]
- Seemüller, E.; Marcone, C.; Lauer, U.; Ragozzino, A.; Göschl, M. Current status of molecular classification of the phytoplasmas. J. Plant Pathol. 1998, 80, 3–26. [Google Scholar]
- Jurga, M.; Zwolińska, A. Artemisia vulgaris, a new host of 16SrV-C phytoplasma related strains infecting black alder in Poland. J. Phytopathol. 2020, 168, 659–667. [Google Scholar] [CrossRef]
- Šeruga Musić, M.; Škorić, D.; Haluška, I.; Križanac, I.; Plavec, J.; Mikec, I. First report of Flavescence dorée-related phytoplasma affecting grapevines in Croatia. Plant Dis. 2011, 95, 353. [Google Scholar] [CrossRef]
- Debonneville, C.; Mandelli, L.; Brodard, J.; Groux, R.; Roquis, D.; Schumpp, O. The complete genome of the “Flavescence dorée” phytoplasma reveals characteristics of low genome plasticity. Biology 2022, 11, 95. [Google Scholar] [CrossRef]
- Kamala-Kannan, S.; Han, S.-S.; Lee, K.-J.; Velmurugan, P.; Lee, Y.H.; Chae, J.-C.; Lee, Y.-S.; Lee, J.-Y.; Oh, B.-T. Association of elm yellows subgroup 16SrV-B phytoplasma with a disease of Hovenia dulcis. J. Phytopathol. 2011, 159, 171–174. [Google Scholar] [CrossRef]
- Trivellone, V.; Ripamonti, M.; Angelini, E.; Filippin, L.; Rossi, M.; Marzachì, C. Galetto, L. Evidence suggesting interactions between immunodominant membrane protein Imp of Flavescence dorée phytoplasma and protein extracts from distantly related insect species. J. Appl. Microbiol. 2019, 127, 1801–1813. [Google Scholar] [CrossRef]
- Rashidi, M.; Galetto, L.; Bosco, D.; Bulgarelli, A.; Vallino, M.; Veratti, F.; Marzachì, C. Role of the major antigenic membrane protein in phytoplasma transmission by two insect vector species. BMC Microbiol. 2015, 15, 193. [Google Scholar] [CrossRef] [PubMed]
- Dumonceaux, T.J.; Green, M.; Hammond, C.; Perez, E.; Olivier, C. Molecular diagnostic tools for detection and differentiation of phytoplasmas based on chaperonin-60 reveal differences in host plant infection patterns. PloS ONE 2014, 9, e116039. [Google Scholar] [CrossRef] [PubMed]
- Wang, J.; Song, L.; Jiao, Q.; Yang, S.; Gao, R.; Lu, X.; Zhou, G. Comparative genome analysis of jujube witches’-broom phytoplasma, an obligate pathogen that causes jujube witches’-broom disease. BMC Genomics 2018, 19, 689. [Google Scholar] [CrossRef] [PubMed]
- Xue, C.; Zhang, Y.; Li, H.; Liu, Z.; Gao, W.; Liu, M.; Wang, H.; Liu, P.; Zhao, J. The genome of Candidatus phytoplasma ziziphi provides insights into their biological characteristics. BMC Plant Biology 2023, 23, 251. [Google Scholar] [CrossRef]
- Martini, M.; Lee, I.-M.; Bottner, K.D.; Zhao, Y.; Botti, S.; Bertaccini, A.; Harrison, N.A.; Carraro, L.; Marcone, C.; Khan, A.J.; et al. Ribosomal protein gene-based phylogeny for finer differentiation and classification of phytoplasmas. Int. J. Syst. Evol. Microbiol. 2007, 57, 2037–2051. [Google Scholar] [CrossRef]
Disclaimer/Publisher’s Note: The statements, opinions and data contained in all publications are solely those of the individual author(s) and contributor(s) and not of MDPI and/or the editor(s). MDPI and/or the editor(s) disclaim responsibility for any injury to people or property resulting from any ideas, methods, instructions or products referred to in the content. |
© 2024 by the authors. Licensee MDPI, Basel, Switzerland. This article is an open access article distributed under the terms and conditions of the Creative Commons Attribution (CC BY) license (https://creativecommons.org/licenses/by/4.0/).







