Optimized Rivastigmine Nanoparticles Coated with Eudragit for Intranasal Application to Brain Delivery: Evaluation and Nasal Ciliotoxicity Studies
Abstract
:1. Introduction
2. Materials and Methods
2.1. Materials
2.2. Preliminary Optimization of Process Parameters for Blank Nanoparticle Preparation
2.3. Optimization of Parameters to Fabricate Drug-Loaded Nanoparticles
2.4. Full Factorial Design of the Rivastigmine-Loaded Nanoparticles
2.5. Preparation of Nanoparticles
2.6. In Vitro Release of Rivastigmine from the Designed Batches
2.7. % Entrapment Efficiency and Drug Loading
2.8. Coating of the Optimized Nanoparticles
2.9. FTIR Analysis
2.10. In Vitro Release of Rivastigmine from the Coated Nanoparticles
2.11. In Vitro Drug Permeability Study
2.12. Measurement of Particle Size, Particle Size Distribution, and Zeta Potential
2.13. In Vitro Mucoadhesion Testing
applied to the mucosa) × 100
2.14. Scanning Electron Microscopy (SEM)
2.15. Differential Scanning Calorimetry (DSC)
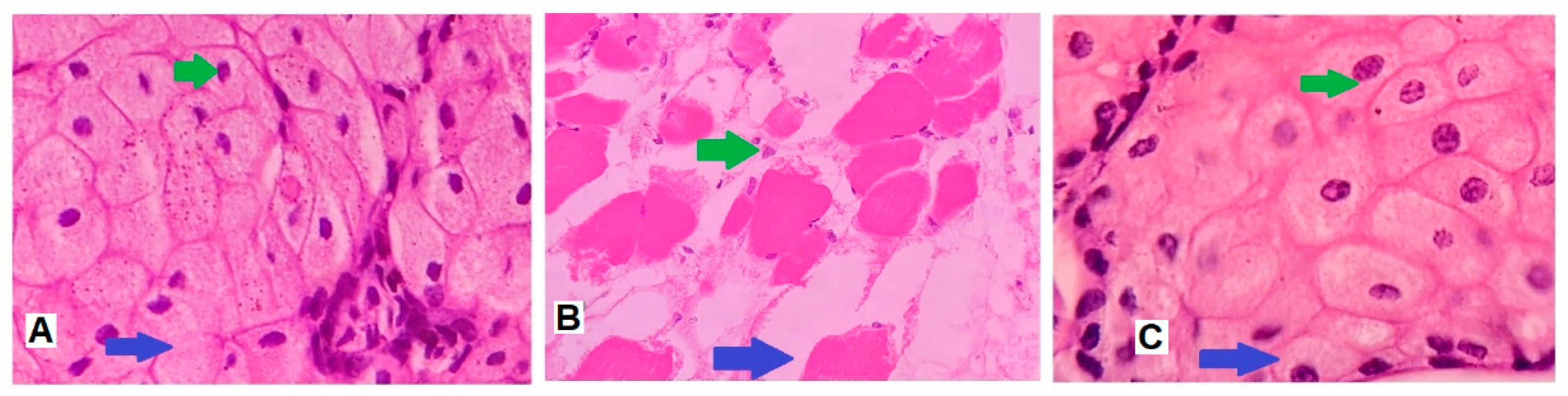
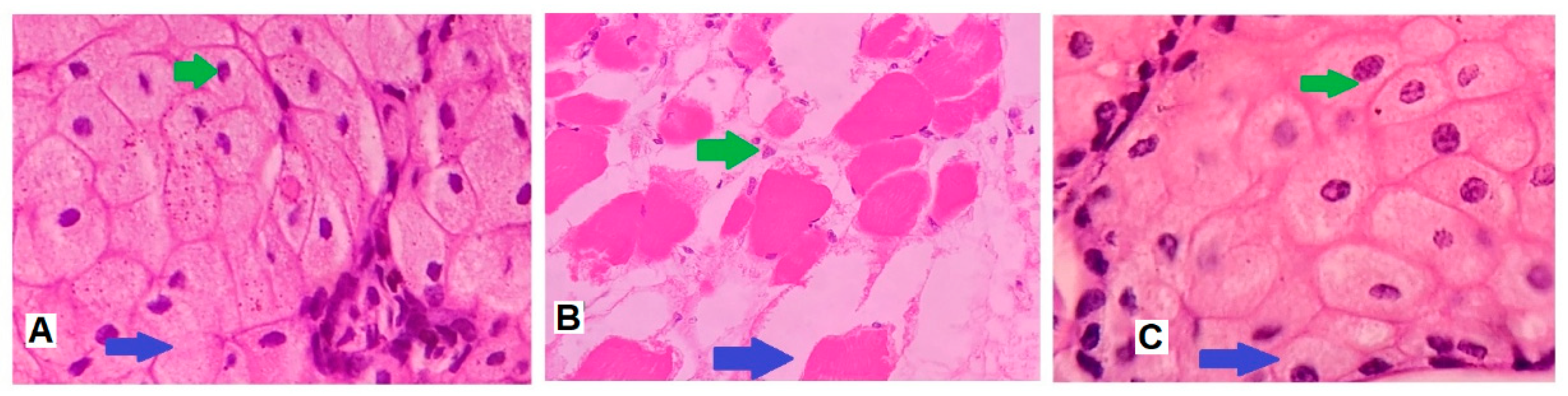
2.16. Nasal Ciliotoxicity Studies
2.17. Statistical Analysis
3. Results and Discussion
3.1. Preliminary Optimization of Process Parameters for Blank Nanoparticle Preparation
3.2. Optimization of Preliminary Batches of the Drug-Loaded Nanoparticles
3.3. Optimization of the Formulation Parameters Using 23 Full Factorial Design
3.3.1. Drug Release from Rivastigmine Nanoparticles
3.3.2. Entrapment Efficiency of Rivastigmine Nanoparticle
3.3.3. Checkpoint Batches
3.4. Coating of the Optimized Nanoparticles
3.5. FTIR Analysis
3.6. In Vitro Release of Rivastigmine from the Coated Nanoparticles
3.7. In Vitro Permeability of Rivastigmine from the Coated Nanoparticles
3.8. Particle Size, Particle Size Distribution, and Zeta Potential
3.9. In Vitro Mucoadhesion Testing
3.10. SEM Analysis of the Nanoparticles
3.11. DSC Analysis of Nanoparticle Formulation
3.12. Nasal Ciliotoxicity Studies
4. Conclusions
Author Contributions
Funding
Institutional Review Board Statement
Informed Consent Statement
Data Availability Statement
Acknowledgments
Conflicts of Interest
References
- Feigin, V.L.; Nichols, E.; Alam, T.; Bannick, M.S.; Beghi, E.; Blake, N.; Culpepper, W.J.; Dorsey, E.R.; Elbaz, A.; Ellenbogen, R.G. Global, regional, and national burden of neurological disorders, 1990–2016: A systematic analysis for the Global Burden of Disease Study 2016. Lancet Neurol. 2019, 18, 459–480. [Google Scholar] [CrossRef] [Green Version]
- Singh, S.; Dhanawat, M.; Gupta, S.; Kumar, D.; Kakkar, S.; Nair, A.; Verma, I.; Sharma, P. Naturally inspired pyrimidines analogues for alzheimer’s disease. Curr. Neuropharmacol. 2021, 19, 136–151. [Google Scholar] [CrossRef]
- Maresova, P.; Mohelská, H.; Dolejs, J.; Kuca, K. Socio-economic Aspects of Alzheimer’s Disease. Curr. Alzheimer Res. 2015, 12, 903–911. [Google Scholar] [CrossRef]
- Hussain, R.; Zubair, H.; Pursell, S.; Shahab, M. Neurodegenerative diseases: Regenerative mechanisms and novel therapeutic approaches. Brain Sci. 2018, 8, 177. [Google Scholar] [CrossRef] [PubMed] [Green Version]
- Nair, A.B.; Jigar, S.; Vishal, C.; Hiral, S.; Snehal, P. Delivery of biomolecules to the central nervous system using a polysaccharide nanocomposite. In Polysaccharide-Based Nano-Biocarrier in Drug Delivery; CRC Press: Boca Raton, FL, USA, 2018; pp. 105–128. [Google Scholar]
- Hou, Y.; Dan, X.; Babbar, M.; Wei, Y.; Hasselbalch, S.G.; Croteau, D.L.; Bohr, V.A. Ageing as a risk factor for neurodegenerative disease. Nat. Rev. Neurol. 2019, 15, 565–581. [Google Scholar] [CrossRef] [PubMed]
- Gorain, B.; Rajeswary, D.C.; Pandey, M.; Kesharwani, P.; Kumbhar, S.A.; Choudhury, H. Nose to brain delivery of nanocarriers towards attenuation of demented condition. Curr. Pharm. Des. 2020, 26, 2233–2246. [Google Scholar] [CrossRef]
- Chin, L.Y.; Tan, J.Y.P.; Choudhury, H.; Pandey, M.; Sisinthy, S.P.; Gorain, B. Development and optimization of chitosan coated nanoemulgel of telmisartan for intranasal delivery: A comparative study. J. Drug Deliv. Sci. Technol. 2021, 62, 102341. [Google Scholar] [CrossRef]
- Islam, S.U.; Shehzad, A.; Ahmed, M.B.; Lee, Y.S. Intranasal Delivery of Nanoformulations: A potential way of treatment for neurological disorders. Molecules 2020, 25, 1929. [Google Scholar] [CrossRef] [Green Version]
- Keller, L.-A.; Merkel, O.; Popp, A. Intranasal drug delivery: Opportunities and toxicologic challenges during drug development. Drug Deliv. Transl. Res. 2021, 1–23. [Google Scholar] [CrossRef]
- Chatterjee, B.; Gorain, B.; Mohananaidu, K.; Sengupta, P.; Mandal, U.K.; Choudhury, H. Targeted drug delivery to the brain via intranasal nanoemulsion: Available proof of concept and existing challenges. Int. J. Pharm. 2019, 565, 258–268. [Google Scholar] [CrossRef]
- Birks, J.S.; Evans, J.G. Rivastigmine for Alzheimer’s disease. Cochrane Database Syst. Rev. 2015, 10, CD001191. [Google Scholar] [CrossRef]
- Farlow, M.R.; Lilly, M.L. Rivastigmine: An open-label, observational study of safety and effectiveness in treating patients with Alzheimer’s disease for up to 5 years. BMC Geriatr. 2005, 5, 3. [Google Scholar] [CrossRef] [PubMed]
- Vyas, S.; Kothari, S.; Kachhwaha, S. Nootropic medicinal plants: Therapeutic alternatives for Alzheimer’s disease. J. Herb. Med. 2019, 17, 100291. [Google Scholar] [CrossRef]
- Shah, B.M.; Misra, M.; Shishoo, C.J.; Padh, H. Nose to brain microemulsion-based drug delivery system of rivastigmine: Formulation andex-vivocharacterization. Drug Deliv. 2013, 22, 918–930. [Google Scholar] [CrossRef] [PubMed]
- Fazil, M.; Shadab; Haque, S.; Kumar, M.; Baboota, S.; Sahni, J.K.; Ali, J. Development and evaluation of rivastigmine loaded chitosan nanoparticles for brain targeting. Eur. J. Pharm. Sci. Off. J. Eur. Fed. Pharm. Sci. 2012, 47, 6–15. [Google Scholar] [CrossRef]
- Khoury, R.; Rajamanickam, J.; Grossberg, G.T. An update on the safety of current therapies for Alzheimer’s disease: Focus on rivastigmine. Ther. Adv. Drug Saf. 2018, 9, 171–178. [Google Scholar] [CrossRef] [PubMed]
- Salatin, S.; Barar, J.; Barzegar-Jalali, M.; Adibkia, K.; Alami-Milani, M.; Jelvehgari, M. Formulation and Evaluation of Eudragit RL-100 Nanoparticles Loaded In-Situ Forming Gel for Intranasal Delivery of Rivastigmine. Adv. Pharm. Bull. 2020, 10, 20–29. [Google Scholar] [CrossRef]
- Wilson, B.; Samanta, M.K.; Santhi, K.; Kumar, K.P.S.; Paramakrishnan, N.; Suresh, B. Poly(n-butylcyanoacrylate) nanoparticles coated with polysorbate 80 for the targeted delivery of rivastigmine into the brain to treat Alzheimer’s disease. Brain Res. 2008, 1200, 159–168. [Google Scholar] [CrossRef]
- Kamboj, S.; Bala, S.; Nair, A.B. Solid lipid nanoparticles: An effective lipid based technology for poorly water soluble drugs. Int. J. Pharm. Sci. Rev. Res. 2010, 5, 78–90. [Google Scholar]
- Bourganis, V.; Kammona, O.; Alexopoulos, A.; Kiparissides, C. Recent advances in carrier mediated nose-to-brain delivery of pharmaceutics. Eur. J. Pharm. Biopharm. Off. J. Arb. Pharm. Verfahr. e.V 2018, 128, 337–362. [Google Scholar] [CrossRef]
- Prosapio, V.; De Marco, I.; Reverchon, E. PVP/corticosteroid microspheres produced by supercritical antisolvent coprecipita-tion. Chem. Eng. J. 2016, 292, 264–275. [Google Scholar] [CrossRef]
- Nunes, R.; Baião, A.; Monteiro, D.; Das Neves, J.; Sarmento, B. Zein nanoparticles as low-cost, safe, and effective carriers to improve the oral bioavailability of resveratrol. Drug Deliv. Transl. Res. 2020, 10, 826–837. [Google Scholar] [CrossRef] [PubMed]
- Brzeziński, M.; Kost, B.; Wedepohl, S.; Socka, M.; Biela, T.; Calderón, M. Stereocomplexed PLA microspheres: Control over morphology, drug encapsulation and anticancer activity. Colloids Surf. B Biointerfaces 2019, 184, 110544. [Google Scholar] [CrossRef] [PubMed]
- Akrawi, S.H.; Gorain, B.; Nair, A.B.; Choudhury, H.; Pandey, M.; Shah, J.N.; Venugopala, K.N. Development and optimization of naringenin-loaded chitosan-coated nanoemulsion for topical therapy in wound healing. Pharmaceutics 2020, 12, 893. [Google Scholar] [CrossRef] [PubMed]
- Sreeharsha, N.; Rajpoot, K.; Tekade, M.; Kalyane, D.; Nair, A.B.; Venugopala, K.N.; Tekade, R.K. Development of metronidazole loaded chitosan nanoparticles using QbD approach—A novel and potential antibacterial formulation. Pharmaceutics 2020, 12, 920. [Google Scholar] [CrossRef]
- Smith, J.; Wood, E.; Dornish, M. Effect of Chitosan on epithelial cell tight junctions. Pharm. Res. 2004, 21, 43–49. [Google Scholar] [CrossRef]
- Linares, V.; Yarce, C.J.; Echeverri, J.D.; Galeano, E.; Salamanca, C.H. Relationship between degree of polymeric ionisation and hydrolytic degradation of Eudragit® E polymers under extreme acid conditions. Polymers 2019, 11, 1010. [Google Scholar] [CrossRef] [Green Version]
- Porfiryeva, N.; Nasibullin, S.F.; Abdullina, S.G.; Tukhbatullina, I.K.; Moustafine, R.I.; Khutoryanskiy, V.V. Acrylated Eudragit® E PO as a novel polymeric excipient with enhanced mucoadhesive properties for application in nasal drug delivery. Int. J. Pharm. 2019, 562, 241–248. [Google Scholar] [CrossRef]
- Nair, A.B.; Shah, J.; Aljaeid, B.M.; Al-Dhubiab, B.E.; Jacob, S.; Nair; Shah; Dhubiab, A. Gellan gum-based hydrogel for the transdermal delivery of nebivolol: Optimization and evaluation. Polymers 2019, 11, 1699. [Google Scholar] [CrossRef] [Green Version]
- Souto, E.B.; Da Da Ana, R.; Souto, S.B.; Zielińska, A.; Marques, C.; Andrade, L.N.; Horbańczuk, O.K.; Atanasov, A.G.; Lucarini, M.; Durazzo, A.; et al. In vitro characterization, modelling, and antioxidant properties of polyphenon-60 from green tea in Eudragit S100-2 Chitosan microspheres. Nutrients 2020, 12, 967. [Google Scholar] [CrossRef] [Green Version]
- Rukmangathen, R.; Yallamalli, I.M.; Yalavarthi, P.R. Formulation and biopharmaceutical evaluation of risperidone-loaded chitosan nanoparticles for intranasal delivery. Drug Dev. Ind. Pharm. 2019, 45, 1342–1350. [Google Scholar] [CrossRef] [PubMed]
- Nair, A.; Gupta, R.; Vasanti, S. In vitro controlled release of alfuzosin hydrochloride using HPMC-based matrix tablets and its comparison with marketed product. Pharm. Dev. Technol. 2007, 12, 621–625. [Google Scholar] [CrossRef] [PubMed]
- Shah, H.; Nair, A.B.; Shah, J.; Jacob, S.; Bharadia, P.; Haroun, M. Proniosomal vesicles as an effective strategy to optimize naproxen transdermal delivery. J. Drug Deliv. Sci. Technol. 2021, 63, 102479. [Google Scholar] [CrossRef]
- Nair, A.; E Al-Dhubiab, B.; Shah, J.; Attimarad, M. Poly(lactic acid-coglycolic acid) nanospheres improved the oral delivery of candesartan cilexetil. Indian J. Pharm. Educ. Res. 2017, 51, 571–579. [Google Scholar] [CrossRef] [Green Version]
- Subudhi, M.B.; Jain, A.; Jain, A.; Hurkat, P.; Shilpi, S.; Gulbake, A.; Jain, S.K. Eudragit S100 coated citrus pectin nanoparticles for colon targeting of 5-Fluorouracil. Materials 2015, 8, 832–849. [Google Scholar] [CrossRef]
- Salatin, S.; Barar, J.; Barzegar-Jalali, M.; Adibkia, K.; Kiafar, F.; Jelvehgari, M. Development of a nanoprecipitation method for the entrapment of a very water soluble drug into Eudragit RL nanoparticles. Res. Pharm. Sci. 2017, 12, 1–14. [Google Scholar] [CrossRef] [Green Version]
- Nair, A.B.; Al-Dhubiab, B.E.; Shah, J.; Jacob, S.; Saraiya, V.; Attimarad, M.; SreeHarsha, N.; Akrawi, S.H.; Shehata, T.M. Mucoadhesive buccal film of almotriptan improved therapeutic delivery in rabbit model. Saudi Pharm. J. SPJ Off. Publ. Saudi Pharm. Soc. 2020, 28, 201–209. [Google Scholar] [CrossRef]
- Sharma, D.; Sharma, R.K.; Sharma, N.; Gabrani, R.; Sharma, S.K.; Ali, J.; Dang, S. Nose-To-Brain Delivery of PLGA-Diazepam Nanoparticles. AAPS PharmSciTech 2015, 16, 1108–1121. [Google Scholar] [CrossRef] [Green Version]
- Nair, A.; Vyas, H.; Shah, J.; Kumar, A. Effect of permeation enhancers on the iontophoretic transport of metoprolol tartrate and the drug retention in skin. Drug Deliv. 2011, 18, 19–25. [Google Scholar] [CrossRef] [Green Version]
- Anroop, B.; Ghosh, B.; Parcha, V.; Kumar, A.; Khanam, J. Synthesis and comparative skin permeability of atenolol and propranolol esters. J. Drug Deliv. Sci. Technol. 2005, 15, 187–190. [Google Scholar] [CrossRef]
- Shah, J.; Nair, A.B.; Jacob, S.; Patel, R.K.; Shah, H.; Shehata, T.M.; Morsy, M.A. Nanoemulsion based vehicle for effective ocular delivery of moxifloxacin using experimental design and pharmacokinetic study in rabbits. Pharmaceutics 2019, 11, 230. [Google Scholar] [CrossRef] [Green Version]
- Belgamwar, V.S.; Patel, H.S.; Joshi, A.S.; Agrawal, A.; Surana, S.J.; Tekade, A.R. Design and development of nasal mucoadhesive microspheres containing tramadol HCl for CNS targeting. Drug Deliv. 2011, 18, 353–360. [Google Scholar] [CrossRef]
- Jacob, S.; Nair, A.; Aldhubiab, B. Preparation and evaluation of niosome gel containing acyclovir for enhanced dermal deposition. J. Liposome Res. 2017, 27, 283–292. [Google Scholar] [CrossRef]
- Chaudhary, S.; Nair, A.B.; Shah, J.; Gorain, B.; Jacob, S.; Shah, H.; Patel, V. Enhanced solubility and bioavailability of dolutegravir by solid dispersion method: In vitro and in vivo evaluation—A potential approach for HIV therapy. AAPS PharmSciTech 2021, 22, 127. [Google Scholar] [CrossRef]
- Kumbhar, S.A.; Kokare, C.R.; Shrivastava, B.; Gorain, B.; Choudhury, H. Antipsychotic potential and safety profile of TPGS-based mucoadhesive aripiprazole nanoemulsion: Development and optimization for nose-to-brain delivery. J. Pharm. Sci. 2021, 110, 1761–1778. [Google Scholar] [CrossRef]
- Morsy, M.A.; Abdel-Latif, R.G.; Nair, A.B.; Venugopala, K.N.; Ahmed, A.F.; Elsewedy, H.S.; Shehata, T.M. Preparation and evaluation of atorvastatin-loaded nanoemulgel on wound-healing efficacy. Pharmaceutics 2019, 11, 609. [Google Scholar] [CrossRef] [PubMed] [Green Version]
- El Hady, W.E.A.; Mohamed, E.A.; Soliman, O.A.E.-A.; EL Sabbagh, H.M. In vitro–in vivo evaluation of chitosan-PLGA nanoparticles for potentiated gastric retention and anti-ulcer activity of diosmin. Int. J. Nanomed. 2019, 14, 7191–7213. [Google Scholar] [CrossRef] [PubMed] [Green Version]
- Mohammed, M.A.; Syeda, J.T.M.; Wasan, K.M.; Wasan, E.K. An overview of chitosan nanoparticles and its application in non-parenteral drug delivery. Pharmaceutics 2017, 9, 53. [Google Scholar] [CrossRef] [PubMed] [Green Version]
- Jhaveri, J.; Raichura, Z.; Khan, T.; Momin, M.; Omri, A. Chitosan Nanoparticles-Insight into Properties, Functionalization and Applications in Drug Delivery and Theranostics. Molecules 2021, 26, 272. [Google Scholar] [CrossRef] [PubMed]
- Sedyakina, N.; Kuskov, A.; Velonia, K.; Feldman, N.; Lutsenko, S.; Avramenko, G. Modulation of Entrapment Efficiency and In Vitro Release Properties of BSA-Loaded Chitosan Microparticles Cross-Linked with Citric Acid as a Potential Protein–Drug Delivery System. Materials 2020, 13, 1989. [Google Scholar] [CrossRef]
- Abbas, A.K.; Alhamdany, A.T. Floating microspheres of enalapril maleate as a developed controlled release dosage form: Investigation of the effect of an ionotropic gelation technique. Turk. J. Pharm. Sci. 2020, 17, 159–171. [Google Scholar] [CrossRef] [PubMed]
- Malik, N.S.; Ahmad, M.; Minhas, M.U.; Tulain, R.; Barkat, K.; Khalid, I.; Khalid, Q. Chitosan/Xanthan gum based hydrogels as potential carrier for an antiviral drug: Fabrication, characterization, and safety evaluation. Front. Chem. 2020, 8, 50. [Google Scholar] [CrossRef] [Green Version]
- Gänger, S.; Schindowski, K. Tailoring Formulations for intranasal nose-to-brain delivery: A review on architecture, physico-chemical characteristics and mucociliary clearance of the nasal olfactory mucosa. Pharmaceutics 2018, 10, 116. [Google Scholar] [CrossRef] [PubMed] [Green Version]
- Markl, D.; Zeitler, J.A. A review of disintegration mechanisms and measurement techniques. Pharm. Res. 2017, 34, 890–917. [Google Scholar] [CrossRef] [PubMed] [Green Version]
- Szekalska, M.; Sosnowska, K.; Zakrzeska, A.; Kasacka, I.; Lewandowska, A.; Winnicka, K. The influence of chitosan cross-linking on the properties of alginate microparticles with metformin hydrochloride—In vitro and in vivo evaluation. Molecules 2017, 22, 182. [Google Scholar] [CrossRef]
- Boni, F.I.; Prezotti, F.G.; Cury, B. Gellan gum microspheres crosslinked with trivalent ion: Effect of polymer and crosslinker concentrations on drug release and mucoadhesive properties. Drug Dev. Ind. Pharm. 2016, 42, 1283–1290. [Google Scholar] [CrossRef] [Green Version]
- Porfiryeva, N.N.; Semina, I.I.; Salakhov, I.A.; Moustafine, R.I.; Khutoryanskiy, V.V. Mucoadhesive and mucus-penetrating interpolyelectrolyte complexes for nose-to-brain drug delivery. Nanomed. Nanotechnol. Biol. Med. 2021, 37, 102432. [Google Scholar] [CrossRef]
- Pawłowski, Ł.; Bartmański, M.; Strugała, G.; Mielewczyk-Gryń, A.; Jażdżewska, M.; Zieliński, A. Electrophoretic deposition and characterization of Chitosan/Eudragit E 100 coatings on titanium substrate. Coatings 2020, 10, 607. [Google Scholar] [CrossRef]
- Salatin, S.; Barar, J.; Barzegar-Jalali, M.; Adibkia, K.; Jelvehgari, M. Thermosensitive in situ nanocomposite of rivastigmine hydrogen tartrate as an intranasal delivery system: Development, characterization, ex vivo permeation and cellular studies. Colloids Surf. B Biointerfaces 2017, 159, 629–638. [Google Scholar] [CrossRef]
- Huang, T.W.; Wei, C.-K.; Su, H.-W.; Fang, K.-M. Chitosan promotes aquaporin formation and inhibits mucociliary differentiation of nasal epithelial cells through increased TGF-β1 production. J. Tissue Eng. Regen. Med. 2017, 11, 3567–3575. [Google Scholar] [CrossRef]
- Nair, A.B.; Shah, J.; Jacob, S.; Al-Dhubiab, B.E.; Sreeharsha, N.; Morsy, M.A.; Gupta, S.; Attimarad, M.; Shinu, P.; Venugopala, K.N. Experimental design, formulation and in vivo evaluation of a novel topical in situ gel system to treat ocular infections. PLoS ONE 2021, 16, e0248857. [Google Scholar] [CrossRef] [PubMed]
- Anroop, B.; Ghosh, B.; Parcha, V.; Khanam, J. Transdermal delivery of atenolol: Effect of prodrugs and iontophoresis. Curr. Drug Deliv. 2009, 6, 280–290. [Google Scholar] [CrossRef] [PubMed]
- Richter, T.; Keipert, S. In vitro permeation studies comparing bovine nasal mucosa, porcine cornea and artificial membrane: Androstenedione in microemulsions and their components. Eur. J. Pharm. Biopharm. Off. J. Arb. Pharm. Verfahr. e.V 2004, 58, 137–143. [Google Scholar] [CrossRef] [PubMed]
- Pereira, G.G.; Santos-Oliveira, R.; Albernaz, M.S.; Canema, D.; Weismüller, G.; Barros, E.B.; Magalhães, L.; Lima-Ribeiro, M.H.M.; Pohlmann, A.; Guterres, S.S. Microparticles of Aloe vera/vitamin E/chitosan: Microscopic, a nuclear imaging and an in vivo test analysis for burn treatment. Eur. J. Pharm. Biopharm. Off. J. Arb. Pharm. Verfahr. e.V 2014, 86, 292–300. [Google Scholar] [CrossRef]
- Joshi, S.A.; Chavhan, S.S.; Sawant, K.K. Rivastigmine-loaded PLGA and PBCA nanoparticles: Preparation, optimization, characterization, in vitro and pharmacodynamic studies. Eur. J. Pharm. Biopharm. Off. J. Arb. Pharm. Verfahr. e.V 2010, 76, 189–199. [Google Scholar] [CrossRef] [PubMed]










| Independent Variables | |||
|---|---|---|---|
| Levels | |||
| +1 | −1 | ||
| A (Drug: Polymer) | 1:5 | 1:2 | |
| B (Stirrer Speed (rpm)) | 1500 | 1000 | |
| C (Crosslinking Time (h)) | 4 | 2 | |
| Design Matrix with the Independent Variables and Their Coded Values | |||
| Batches | Values of Independent Variables | ||
| A (Drug: Polymer) | B (Stirrer Speed (rpm)) | C (Crosslinking Time (h)) | |
| D1 | −1 | −1 | −1 |
| D2 | +1 | −1 | −1 |
| D3 | −1 | −1 | +1 |
| D4 | +1 | −1 | +1 |
| D5 | −1 | +1 | −1 |
| D6 | +1 | +1 | −1 |
| D7 | −1 | +1 | +1 |
| D8 | +1 | +1 | +1 |
| Components | Optimized Values |
|---|---|
| Rivastigmine | 75 mg |
| Chitosan | 3% |
| Span 80 | 2% |
| Glutaraldehyde | 3 mL |
| Stirrer speed | 1500 rpm |
| Crosslinking time | 3 h |
| Characterization | |
| Parameter | Outcome |
| Average particle size | 150 nm |
| % EE | 67.92 |
| % Drug loading | 11.98 |
| Aggregation | No |
| % Mucoadhesion | 89 |
| % Cumulative drug release (within 8 h) | 82.32 |
| Batches | Actual Responses | |
|---|---|---|
| Cumulative Drug Release (%) after 8 h | % EE | |
| D1 | 78.77 | 43.46 |
| D2 | 73.33 | 57.33 |
| D3 | 72.55 | 49.33 |
| D4 | 67.24 | 75.63 |
| D5 | 83.77 | 40.22 |
| D6 | 77.90 | 55.33 |
| D7 | 76.14 | 45.06 |
| D8 | 70.75 | 73.33 |
| Batches | Drug: Polymer | Crosslinking Time (h) | Stirrer Speed (rpm) | Predicted Value | Actual Value | ||
|---|---|---|---|---|---|---|---|
| Cumulative Drug Release (%) | % EE | Cumulative Drug Release (%) | % EE | ||||
| D9 | 1:5 | 3 | 1500 | 74.19 | 64.68 | 71.45 | 63.34 |
| D10 | 1:4 | 3 | 1000 | 71.81 | 60.64 | 68.76 | 59.31 |
| Components | Optimized Parameters |
|---|---|
| Drug (mg) | 60 |
| Chitosan (%) | 3 |
| Span 80 (%) | 2 |
| Glutaraldehyde (mL) | 3 |
| Stirrer speed (rpm) | 1500 |
| Crosslinking time (h) | 4 |
| Characterization | |
| Parameter | Outcome |
| Average particle size | 145 nm |
| % EE | 73.33 |
| % Drug loading | 11.76 |
| Aggregation | No |
| % Mucoadhesion | 89 |
| % Cumulative drug release (within 8 h) | 70.75 |
| Batches | Particle Size (nm) | Zeta Potential (mV) |
|---|---|---|
| D1 | 163.2 ± 33.1 | 22 ± 5.8 |
| D2 | 166.8 ± 32.8 | 23 ± 3.1 |
| D3 | 159.1 ± 29.6 | 19 ± 4.1 |
| D4 | 162.4 ± 33.3 | 25 ± 2.8 |
| D5 | 154.2 ± 30.7 | 22 ± 3.7 |
| D6 | 151.9 ± 28.5 | 20 ± 4.1 |
| D7 | 148.9 ± 29.2 | 20 ± 1.8 |
| D8 | 144.2 ± 28.4 | 18 ± 3.6 |
| C1 | 175.4 ± 41.1 | 20 ± 2.9 |
| C2 | 182.3 ± 40.9 | 23 ± 3.5 |
| C3 | 192.1 ± 43.9 | 18 ± 3.1 |
Publisher’s Note: MDPI stays neutral with regard to jurisdictional claims in published maps and institutional affiliations. |
© 2021 by the authors. Licensee MDPI, Basel, Switzerland. This article is an open access article distributed under the terms and conditions of the Creative Commons Attribution (CC BY) license (https://creativecommons.org/licenses/by/4.0/).
Share and Cite
Bhanderi, M.; Shah, J.; Gorain, B.; Nair, A.B.; Jacob, S.; Asdaq, S.M.B.; Fattepur, S.; Alamri, A.S.; Alsanie, W.F.; Alhomrani, M.; et al. Optimized Rivastigmine Nanoparticles Coated with Eudragit for Intranasal Application to Brain Delivery: Evaluation and Nasal Ciliotoxicity Studies. Materials 2021, 14, 6291. https://doi.org/10.3390/ma14216291
Bhanderi M, Shah J, Gorain B, Nair AB, Jacob S, Asdaq SMB, Fattepur S, Alamri AS, Alsanie WF, Alhomrani M, et al. Optimized Rivastigmine Nanoparticles Coated with Eudragit for Intranasal Application to Brain Delivery: Evaluation and Nasal Ciliotoxicity Studies. Materials. 2021; 14(21):6291. https://doi.org/10.3390/ma14216291
Chicago/Turabian StyleBhanderi, Mansi, Jigar Shah, Bapi Gorain, Anroop B. Nair, Shery Jacob, Syed Mohammed Basheeruddin Asdaq, Santosh Fattepur, Abdulhakeem S. Alamri, Walaa F. Alsanie, Majid Alhomrani, and et al. 2021. "Optimized Rivastigmine Nanoparticles Coated with Eudragit for Intranasal Application to Brain Delivery: Evaluation and Nasal Ciliotoxicity Studies" Materials 14, no. 21: 6291. https://doi.org/10.3390/ma14216291
APA StyleBhanderi, M., Shah, J., Gorain, B., Nair, A. B., Jacob, S., Asdaq, S. M. B., Fattepur, S., Alamri, A. S., Alsanie, W. F., Alhomrani, M., Nagaraja, S., & Anwer, M. K. (2021). Optimized Rivastigmine Nanoparticles Coated with Eudragit for Intranasal Application to Brain Delivery: Evaluation and Nasal Ciliotoxicity Studies. Materials, 14(21), 6291. https://doi.org/10.3390/ma14216291

