Next Article in Journal
In-House Virtual Surgery Planning and 3D Printing for Head and Neck Surgery with Free Software: Our Workflow
Previous Article in Journal
Frontal Sinus Fractures and Traumatic Brain Injury: Predictors of Mortality in Surgical Management
 
 
Craniomaxillofacial Trauma & Reconstruction is published by MDPI from Volume 18 Issue 1 (2025). Previous articles were published by another publisher in Open Access under a CC-BY (or CC-BY-NC-ND) licence, and they are hosted by MDPI on mdpi.com as a courtesy and upon agreement with Sage.
Font Type:
Arial Georgia Verdana
Font Size:
Aa Aa Aa
Line Spacing:
Column Width:
Background:
Article

Enophthalmos: Historical Perspective on Definitions, Measurement Devices, and Clinical Significance

by
John Mayo
1,2,* and
Warren Schubert
1
1
Department of Plastic & Hand Surgery, Regions Hospital, Mail Stop 11503 B, 640 Jackson Street, St. Paul, MN 55101-2595, USA
2
Department of Plastic & Hand Surgery, The University of Minnesota, St. Paul, MN, USA
*
Author to whom correspondence should be addressed.
Craniomaxillofac. Trauma Reconstr. 2024, 17(4), 324-330; https://doi.org/10.1177/19433875241236343
Submission received: 1 November 2023 / Revised: 1 December 2023 / Accepted: 1 January 2024 / Published: 23 February 2024

Abstract

Assessing enophthalmos is critical in facial trauma patients, and there are many ways to do so. We have reviewed the various devices for measuring enophthalmos over the last 155 years. Knowing the benefits and drawbacks of each instrument is important in obtaining accurate results and interpreting them. We have reviewed the evolution of enophthalmos definitions and surgical indications. Although 2 mm of enophthalmos is commonly used as a cutoff for clinical significance, one should take into account individual patient factors, measurement techniques used, symptoms and/or the patient’s aesthetic concerns. The decision to operate must also be balanced with the risks of surgery, which may cause or worsen symptoms, such as diplopia, soft tissue deformities related to the surgical approach, and possibly blindness. We question whether enophthalmos greater than 2 mm should be considered the main criteria for corrective surgery.

Introduction

Enophthalmos refers to a posteriorly displaced globe relative to the bony orbit. The differential diagnosis for enophthalmos can be broad, but generally stems from one or more of three etiologies: (1) structural deficits of the bony orbit resulting in increased orbital volume, (2) fat atrophy, and (3) retraction/fibrosis.
Aside from the most common orbital fracture-related structural deficits (e.g., blowout of any of the orbital walls), some other causes may include bony remodeling from silent sinus or silent brain syndromes, iatrogenic (i.e., post-operative), or congenital (e.g., greater wing of sphenoid absence or from neurofibromatosis) [1,2].
Orbital fat and content atrophy may be age-related, as seen in senile enophthalmos, or from other processes like scleroderma, HIV-related lipodystrophy, orbital varix, or post-radiation [2].
Traction/fibrosis resulting in enophthalmos can be secondary to metastatic malignancy. In fact, there have been cases of enophthalmos as the initial presentation of cancer patients, specifically those with metastatic breast cancer [3].
Enophthalmos rises to clinical significance for multiple reasons including diplopia, eye asymmetry, deep superior sulcus, pseudoptosis, lagophthalmos, narrow palpebral fissure, and eyelid retraction [1].
We will further discuss the evolution of the definition of enophthalmos and measurement techniques as well as a summary of orbital floor fractures and contemporary surgical indications.

Exophthalmometry Techniques

Exophthalmometry is the measurement of distance between the corneal apex and the lateral orbital margin, as assessed between parallel tangential lines. Over the years, there have been many techniques and devices for measurement of enophthalmos. The first such device was presented by German ophthalmologist Hermann Cohn at the 1868 International Congress of Ophthalmology in Paris [4]. Since then the Hertel, Luedde, Naugel, and Mourits devices have garnished much popularity to name a few among many devices and modifications of the aforementioned. More recently, CT exophthalmometry is quickly becoming the new gold standard [5].
Dr. Hertel’s version of the exophthalmometer was released in 1905 (Figure 1) which had only a single mirror on each side, and was never actually produced [6]. There was an additional mirror added for easier reading of the scale, and the device was mass produced by Carl Zeiss Jena by 1912 (Figure 2), and the double mirror device is referred to as the Hertel exophthalmometer today. Footplates of this device rest upon both lateral orbital margins of the zygoma, and distance is assessed with a double ruler and mirror system from the corneal apex to the lateral orbital rim. The device is also capable of measuring the distance between orbital rims (Figure 3A–E).
Dr. Hertel’s stated aim was to invent a simple and inexpensive exophthalmometer as stated in the title of his seminal paper “Ein einfaches Exophthalmomter” or “An Easy Exophthalmometer” to replace the expensive and complicated “statometer” apparatus designed by BirchHirschfeld from 1900, which was equipped with a microscope and crosshair for each eye [6,7]. Dr. Hertel’s revised device quickly became the gold standard in exophthalmometry and continues to be for many providers, and is likely the most common device used today.
To obtain an accurate measurement with Dr. Hertel’s instrument, the lateral orbital rim must be non-displaced by a fracture and without significant swelling, both of which are concerns for facial trauma patients. Readings are also affected by parallax, which is the change in measurement based on the change in perspective by the mobile observer. Interobserver variation with the modern Hertel device ranges from r = 0.57 to 0.89, and is poorly correlated with CT exophthalmometry in some studies, which may be related to the relatively high learning curve [5,8].
Dr. Luedde, based out of St. Louis in 1936, devised a clear modified ruler, which was placed on the lateral external orbital notch and measures each eye separately by peering through the transparent scale at the corneal apex. Dr. Luedde felt his device was cheaper, smaller, and easier to use since there were no moving parts compared to previous devices. He cited an error of no more than 0.5 mm, which he stated was “all that can be hoped for from the Hertel instrument” in comparison [4]. Some have even found the device to be easier to clean and “less threatening to patients” [9]. This device, however, also relies on the lateral orbital rim being non-displaced from periorbital or zygomatic trauma, and without significant swelling. Furthermore, it only measures one eye at a time, and is influenced by the angle at which the device is held [4,9]. The Luedde device has been shown to have similar reliability compared to the Hertel device in some studies, but also, similar to the Hertel device, is poorly correlated with CT exophthalmometry [5,8,9].
Naugle’s orbitometer (Figure 4A–F) came on to the market in 1992 and rests on the superior and inferior orbital rims as reference to the globe, so is less affected by lateral orbital rim asymmetry from fractures. This device is relatively straightforward to use and can also measure hypophthalmos and hyperophthalmos in addition to exophthalmos and enophthalmos. Caution and clinical judgment should be used as significant disagreements between Hertel’s and Naugle’s instruments have been documented for certain fracture patterns [1].
The Naugle exophthalmometer is the authors’ preferred device. The reason is that a high percentage of orbital blowout fractures are associated with a zygomatic malar complex (ZMC) fracture. In these cases, the lateral orbital rim may be in the wrong place. The malar projections may also be displaced, but usually the frontal bar is unfractured. In this situation, the Naugle may be slightly tipped off of the malar ridge, resting only on the frontal bar. Although this does not give a perfect absolute or quantitative exophthalmetric reading, it does give a good relative reading comparing the normal side to the injured side. Serial measurements over the weeks can be used to see if the degree of enophthalmos is increasing, and if an intervention or repair of an orbital floor blowout fracture is indicated as the periorbital edema subsides [10].
Dr. Mourits’ exophthalmometer was introduced in 2014 as a modification of the Hertel instrument using prisms rather than mirrors to eliminate parallax, a concept originally introduced by Dr. Davanger in 1970. This instrument has shown improved interobserver agreement, reliability, and has the best correlation with CT exophthalmometry among the analog devices [5,11].
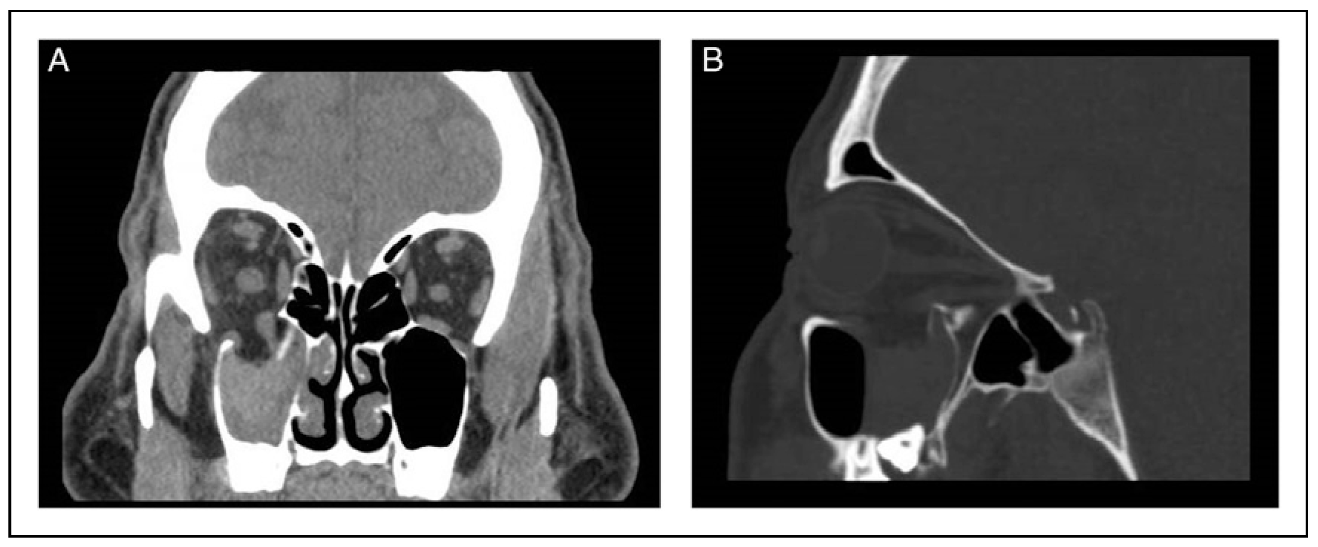
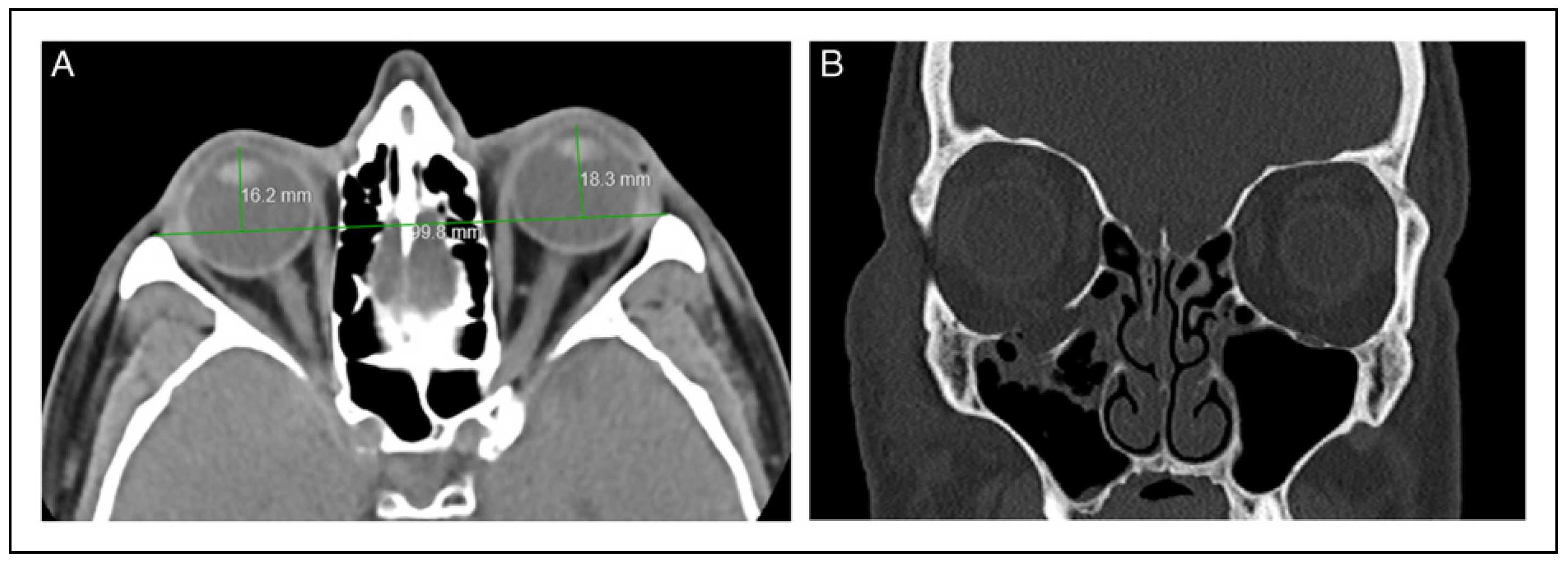
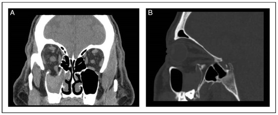
Finally, CT can be used either by measuring the difference between mirror image overlay or constructing a perpendicular along the orbital apex to a line drawn between the lateral orbital rims. Of note, one can use the posterior surface of the cornea as a stopping point when the anterior surface is difficult to define (Figure 5A,B). This analysis is quick and easy, especially initially in patients who likely already have a CT facial protocol in the context of facial trauma. CTappears to be the most reliable technique for assessment of enophthalmos based on interobserver variation data [5]. However, enophthalmos often develops later, after pneumo-orbital, swelling from edema and a possible hematoma have subsided. Even patients with a significant orbital floor fracture generally initially present with proptosis. Obtaining a repeat or serial CT may not be practical or preferrable over exophthalmetric measurements for the patient given additional unnecessary costs and radiation exposure.
Some authors feel that the initial CT can also be used for prediction of late enophthalmos by assessing the extent of orbital floor fracture, with more than 50% of floor involvement usually resulting in significant enophthalmos [12,13]. Other authors have proposed more quantitatively, a measurement of orbital fracture area > 1.90 cm2 and volume > 1 cm3 associated with late enophthalmos at 6 months [14].
Caution should be exercised with all methods of measuring enophthalmos regarding misinterpreting data, and considering contralateral unilateral exophthalmos vs. ipsilateral unilateral enophthalmos, etiology of trauma vs. underlying medical conditions as listed above, and the variation of normative data for specific populations as detailed below.

History of Enophthalmos Definitions

The first series of exophthalmometry measurements in normal patients is thought to have been done by Hermann Cohn after design of his original instrument mentioned above in the 1860s in Germany. Dr. Cohn measured 427 patients with his device and found 353 of them had asymmetry between the eyes of 0.5–8 mm and concluded “a difference of 1–3 mm is quite common even in perfectly normal individuals” [15].
The more well-known first series used to determine an “abnormal” cutoff in enophthalmos, was from Henry P. Wagener, an ophthalmologist working for the Mayo foundation in Rochester; in his paper from 1933, he conducted measurements on 200 presumably normal persons with a Hertel exophthalmometer and determined that 50 subjects had no difference between the eyes, and 150 had differences ranging from 0.5–2 mm. Thus, he concluded that “before one eye is considered enophthalmic or exophthalmic on the basis of a single exophthalmometer reading a difference greater than 2 mm should be present” [16,17].
In 1980, Dr. de Juan et al. conducted a study measuring proptosis in 804 normal black or white persons using a Luedde exophthalmometer and agreed with Dr. Wagener in using a 2 mm asymmetry cutoff, but added that in black patients “at least a 3-mm difference be present before embarking on an expensive endocrinologic or ophthalmologic workup” [18].
In a later study by Dr. Migliori et al. in 1984 Hertel exophthalmometry was used to compare normal values between races and genders. Their study found a statistically significant increased average globe protrusion in normal black men and women compared to white men and women, respectively, but no person in the study had asymmetry greater than 2 mm (Table 1) [19].
There have been many other studies defining normative exophthalmometric values in different populations showing statistically significantly different baselines between ethnicities, sexes, and ages of persons, but most have reported few if any normal patients with more than 2 mm asymmetry between the eyes [20,21,22,23,24].

Orbital Floor Fractures, Enophthalmos, and Surgery

The most common cause of unilateral enophthalmos is from orbital floor and medial orbital wall fractures, with lateral orbital wall and orbital roof fractures being less common, and less likely to lead to significant enophthalmos. Presentation of enophthalmos will either be acute or in a delayed fashion, following resolution of post-traumatic swelling and hematoma. When the diagnosis is severely delayed, fibrosis and scarring can lead to permanent ocular motility disorders and diplopia. As discussed above, the extent of enophthalmos can be assessed with various exophthalmometers and/or with CT exophthalmometry, depending on if the lateral orbital rim is involved with the fracture pattern.
Surgery has typically been indicated for enophthalmos of more than 2 mm, CT findings discussed previously predicting late enophthalmos, or diplopia in primary gaze that fails to resolve with post-trauma swelling and hematoma. Intervention may be performed in the weeks following the traumatic event, as opposed to immediately, allowing for improvement in swelling [25]. One should consider forced duction testing if there initially is suspected limited range of extraocular motion to assess for entrapment, which may indicate a more urgent intervention. Aims of surgery are to reduce any herniated orbital contents and restore the usual orbital volume, both of which can be carried out with a variety of surgical approaches beyond the scope of this paper [26,27].
Surgical repair can be complicated by diplopia, blindness, soft tissue asymmetry related to the surgical approach, or rarely infection, hematoma, implant migration, and even worsening enophthalmos. Non-surgical approaches have been recommended for many orbital floor fractures, but generally development of enophthalmos >2 mm remains an indication for early and delayed surgery by many authors [28]. However, not all patients with enophthalmos of >2 mm will have clinical symptoms like diplopia or even aesthetic concerns. In fact, 28% of persons viewing photos of patients with 3–4 mm of enophthalmos did not notice any abnormality [29]. Dr. Putterman out of Chicago in 1974 published a cohort of untreated orbital floor fracture patients who had refused surgery, or were lost to follow-up for a time, and noted that out of 7 patients with 2.5–4 mm enophthalmos only one had noticeable enophthalmos to the patient and only one had diplopia in a functional position at long-term follow-up [30].
As another example, the patient in Figure 5A,B is a 71-year-old male who suffered a right orbital floor blow-out fracture after a skiing accident. He developed late enophthalmos of >2 mm by CT exophthalmometry and 3–4 mm by Naugle measurement. He is an avid ski instructor and chose non-operative management after a long discussion, because of fears of possibly developing diplopia. His enophthalmos was evident to his wife, but not the casual observer. His only complaint was with his fitting of hard contact lenses on his enophthalmic side. This visual problem was subsequently addressed with a correctional lens when he had cataract surgery.
An additional factor that is a predictor of whether a patient will eventually develop enophthalmos following an orbital floor fracture is based on the shape of the inferior rectus muscle following an orbital floor fracture. Chiasson and Matic found that if the inferior rectus, as viewed on the coronal cuts of the CT, changes from an elliptical shape to a more rounded shape the patients are more likely to develop enophthalmos when the periorbital edema subsides [31].
Figure 6 is a photo of a patient who is a pilot who was involved in a plane crash with a significant right orbital floor fracture. He was followed by the senior surgeon with Naugle exophthalmetric measurements for 2 years, and indeed developed 3 mm of enophthalmos on his right side. His CT views of his orbit (Figure 7A,B) demonstrate a significant orbital floor fracture and a significant rounding of the inferior rectus muscle compared to the relatively flat appearance of the contralateral muscle. He never had a surgical correction and never developed diplopia, which would be a significant handicap to him, or any other patient if caused by a post-surgical procedure. His 2-year post-trauma photos were presented at an advanced AOCMF Orbit Course where the participants, with a specific interest in orbital trauma were asked which side the defect was on [32]. The choices offered were the “right side”, the “left side”, or the participant “did not know” the side of the enophthalmos. Eight percent of the participants chose the correct side, 48% chose the wrong side, and 44% did not know. The patient who now is out of state was contacted 14 years post-trauma and he and his family still do not notice a difference between the normal side and the side that sustained his orbital trauma. The critical question that needs to be asked is the following. If a patient has a measurable enophthalmos of ≥3 mm, but has no diplopia, no other symptoms, and most friends and family members do not notice the deficit, are the risks and costs of a surgical correction justified?

Conclusions

Assessing enophthalmos is important during the initial facial trauma assessment, and also in the weeks and months to follow. There have been many devices and techniques used over the years for the measurement of enophthalmos, with the authors’ preferred device being the Naugle exophthalmometer. Knowing the benefits and drawbacks of the various methods for exophthalmometry is key for obtaining accurate results. Historically, enophthalmos of >2 mm has been considered significant and used as an indication for surgery. Clinically this value needs to be correlated with each individual patient depending on their symptoms, aesthetic concerns, and their adversity to possible surgical complications, prior to considering a surgical intervention.

Funding

The author(s) received no financial support for the research, authorship, and/or publication of this article.

Conflicts of Interest

The author(s) declared no potential conflicts of interest with respect to the research, authorship, and/or publication of this article.

Disclaimer

The views expressed are those of the author(s) and do not reflect the official policy of the Department of the Army, the Department of Defense, or the US Government.

References

  1. Sobel, R.K.; Tienor, B.J. The coming age of enophthalmos. Curr. Opin. Ophthalmol. 2013, 24, 500–505. [Google Scholar] [CrossRef] [PubMed]
  2. Athanasiov, P.A.; Prabhakaran, V.C.; Selva, D. Non-traumatic enophthalmos: A review. Acta Ophthalmol. 2008, 86, 356–364. [Google Scholar] [CrossRef]
  3. Dupuis, J.E.K.; Marchand, M.; Javidi, S.; Nguyen, T.Q.T. Enophthalmos as the initial systemic finding of undiagnosed metastatic breast carcinoma. Int. Med. Case Rep. J. 2021, 14, 25–31. [Google Scholar] [CrossRef]
  4. Luedde, W.H. A transparent exophthalmometer. Arch. Oph-Thalmol. 1936, 16, 681–683. [Google Scholar] [CrossRef]
  5. Nightingale, C.L.; Shakib, K. Analysis of contemporary tools for the measurement of enophthalmos: A PRISMA-driven systematic review. Br. J. Oral. Maxillofac. Surg. 2019, 57, 904–912. [Google Scholar] [CrossRef]
  6. Simonsz, H.J. Historical perspective: The description of Emil Hertel’s exophthalmometer. Strabismus. 2008, 16, 45. [Google Scholar] [CrossRef] [PubMed]
  7. Hertel, E. Ein einfaches exophthalmometer. Albr Graefe’s Arch. Ophthalmol. 1905, 60, 171–174. [Google Scholar] [CrossRef]
  8. Delmas, J.; Loustau, J.M.; Martin, S.; Bourmault, L.; Adenis, J.P.; Robert, P.Y. Comparative study of 3 exophthalmometers and computed tomographic biometry. Eur. J. Ophthalmol. 2018, 28, 144–149. [Google Scholar] [CrossRef]
  9. Chang, A.A.; Bank, A.; Francis, I.C.; Kappagoda, M.B. Clinical exophthalmometry: A comparative study of the Luedde and Hertel exophthalmometers. Aust. N. Z. J. Ophthalmol. 1995, 23, 315–318. [Google Scholar] [CrossRef]
  10. Schmitz, J.P.; Parks, W.; Wilson, I.F.; Schubert, W. The use of the naugle orbitometer in maxillofacial trauma. J. Craniomaxillofac Trauma. 1999, 5, 13–18. [Google Scholar] [CrossRef]
  11. Genders, S.W.; Mourits, D.L.; Jasem, M.; Kloos, R.J.H.M.; Saeed, P.; Mourits, M.P. Parallax-free exophthalmometry: A comprehensive review of the literature on clinical exophthalmometry and the introduction of the first parallax-free exophthalmometer. Orbit 2015, 34, 23–29. [Google Scholar] [CrossRef] [PubMed]
  12. Hazani, R.; Yaremchuk, M.J. Correction of posttraumatic enophthalmos. Arch. Plast. Surg. 2012, 39, 11–17. [Google Scholar] [CrossRef]
  13. Whitehouse, R.W.; Batterbury, M.; Jackson, A.; Noble, J.L. Prediction of enophthalmos by computed tomography after “blow out” orbital fracture. Br. J. Ophthalmol. 1994, 78, 618–620. [Google Scholar] [CrossRef]
  14. Mo, Y.W.; Kim, S.W.; Shin, H.K. Prediction of late enophthalmos using quantitative measures in isolated medial orbital wall fracture: Multiple regression analysis. J. Plast. Reconstr. Aesthetic Surg. 2020, 73, 576–585. [Google Scholar] [CrossRef] [PubMed]
  15. Drews, L.C. Exophthalmometry and a new exophthalmometer. Trans. Am. Ophthalmol. Soc. 1956, 54, 215–252. [Google Scholar]
  16. Wagener, H.P. Enophthalmos in Horner’s syndrome. Trans. Am. Ophthalmol. Soc. 1933, 17, 209–214. [Google Scholar] [CrossRef]
  17. Bair, H.L. Henry Patrick Wagener, m.d. Trans. Am. Ophthalmol. Soc. 1961, 59, 14–16. [Google Scholar]
  18. de Juan, E. Racial differences in normal values of proptosis. Arch. Intern. Med. 1980, 140, 1230–1231. [Google Scholar] [CrossRef]
  19. Migliori, M.E.; Gladstone, G.J. Determination of the normal range of exophthalmometric values for black and white adults. Am. J. Ophthalmol. 1984, 98, 438–442. [Google Scholar] [CrossRef]
  20. Bagheri, A.; Shahraki, K.; Arabi, A.; Kashkouli, M.B. Normal exophthalmometry values in Iranian population: A metaanalysis. J. Ophthalmic Vis. Res. 2021, 16, 470–477. [Google Scholar] [CrossRef]
  21. Dunsky, I.L. Normative data for hertel exophthalmometry in a normal adult black population. Optom. Vis. Sci. 1992, 69, 562–564. [Google Scholar] [CrossRef] [PubMed]
  22. Cheng, T.; Wang, F.; Denisova, K.; Barmettler, A. Normative exophthalmometry values in Hispanic individuals. Arch. Soc. Esp. Oftalmol. 2023, 98, 199–205. [Google Scholar] [CrossRef]
  23. Beden, U.¨.; Ö zarslan, Y.; Ö ztürk, H.E.; So¨ nmez, B.; Erkan, D.; Ö ge, I. Exophthalmometry values of Turkish adult population and the effect of age, sex, refractive status, and Hertel base values on Hertel readings. Eur. J. Ophthalmol. 2008, 18, 165–171. [Google Scholar] [CrossRef]
  24. Wu, D.; Liu, X.; Wu, D.; et al. Normal values of Hertel exophthalmometry in a Chinese Han population from shenyang, Northeast China. Sci. Rep. 2015, 5, 1–6. [Google Scholar] [CrossRef]
  25. Koryczan, P.; Zapała, J.; Gontarz, M.; Wyszyn’ska-Pawelec, G. Surgical treatment of enophthalmos in children and adolescents with pure orbital blowout fracture. J. Oral. Sci. 2021, 63, 129–132. [Google Scholar] [CrossRef] [PubMed]
  26. Wilkins, R.B.; Havins, W.E. Current treatment of blow-out fractures. Ophthalmology. 1982, 89, 464–466. [Google Scholar] [CrossRef]
  27. Chen, H.H.; Pan, C.H.; Leow, A.M.; Tsay, P.K.; Chen, C.T. Evolving concepts in the management of orbital fractures with enophthalmos: A retrospective comparative analysis. Formos. J. Surg. 2016, 49, 1–8. [Google Scholar] [CrossRef]
  28. Jansen, J.; Dubois, L.; Maal, T.J.; et al. A nonsurgical approach with repeated orthoptic evaluation is justified for most blow-out fractures. J. Cranio-Maxillofacial Surg. 2020, 48, 560–568. [Google Scholar] [CrossRef]
  29. Koo, L.; Hatton, M.P.; Rubin, P.A.D. When is enophthalmos “significant”? Ophthal Plast. Reconstr. Surg. 2006, 22, 274–277. [Google Scholar] [CrossRef]
  30. Putterman, A.M.; Stevens, T.; Urist, M.J. Nonsurgical management of blow-out fractures of the orbital floor. Am. J. Ophthalmol. 1974, 77, 232–239. [Google Scholar] [CrossRef]
  31. Chiasson, G.; Matic, D. Muscle shape as a preedictor of traumatic enophthalmos. Craniomaxillofac Trauma. Reconstr. 2010, 3, 125–130. [Google Scholar] [CrossRef] [PubMed]
  32. AOCMF NA Course: Contemporary Management of Orbit and Midface Trauma (With Human Anatomical Specimens); AOCMF NA: Tampa, FL. USA, 2021.
Figure 1. Dr. Hertel 1905 original exophthalmometer drawing.
Figure 1. Dr. Hertel 1905 original exophthalmometer drawing.
Cmtr 17 00085 g001
Figure 2. Carl Zeiss Jena 1912 production version from original brochure, republished with approval of Zeiss Archives.
Figure 2. Carl Zeiss Jena 1912 production version from original brochure, republished with approval of Zeiss Archives.
Cmtr 17 00085 g002
Figure 3. (A) Modern Hertel exophthalmometer. (B) Hertel exophthalmometer unaligned. For an accurate measurement with this device, the reading must be performed while the anterior red line is aligned with a black mark on the posterior scale. (C) Hertel exophthalmometer aligned. The red line overlaps the appropriate mark on the posterior scale, and corrected for parallax. (D) Hertel exophthalmometer. Note resting point at the lateral orbital rims. (E) Hertel exophthalmometer. Note resting point at the lateral orbital rims.
Figure 3. (A) Modern Hertel exophthalmometer. (B) Hertel exophthalmometer unaligned. For an accurate measurement with this device, the reading must be performed while the anterior red line is aligned with a black mark on the posterior scale. (C) Hertel exophthalmometer aligned. The red line overlaps the appropriate mark on the posterior scale, and corrected for parallax. (D) Hertel exophthalmometer. Note resting point at the lateral orbital rims. (E) Hertel exophthalmometer. Note resting point at the lateral orbital rims.
Cmtr 17 00085 g003
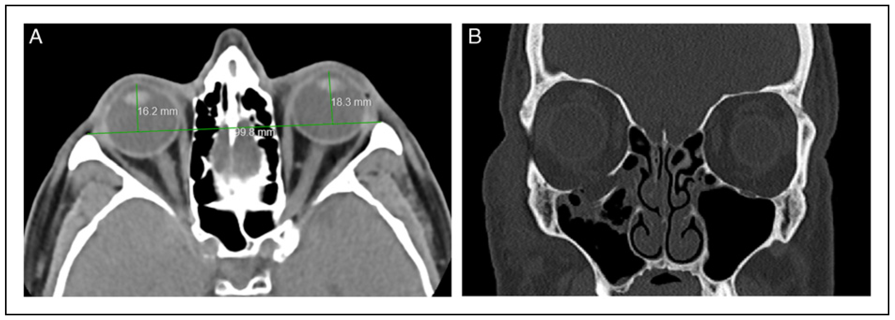
Figure 4. (A) Naugle exophthalmometer. (B) Naugle exophthalmometer interpupillary distance. (C) Naugle exophthalmometer unaligned. The same problem exists of an inaccurate reading as with the Hertel exophthalmometer if parallax has not been corrected for. (D) Naugle exophthalmometer aligned. (E) Naugle exophthalmometer. Note resting points on the frontal bar and inferior orbital rim. (F) Naugle exophthalmometer. Note resting points on the frontal bar and inferior orbital rim.
Figure 4. (A) Naugle exophthalmometer. (B) Naugle exophthalmometer interpupillary distance. (C) Naugle exophthalmometer unaligned. The same problem exists of an inaccurate reading as with the Hertel exophthalmometer if parallax has not been corrected for. (D) Naugle exophthalmometer aligned. (E) Naugle exophthalmometer. Note resting points on the frontal bar and inferior orbital rim. (F) Naugle exophthalmometer. Note resting points on the frontal bar and inferior orbital rim.
Cmtr 17 00085 g004
Figure 5. (A) CT exophthalmometry. A horizontal line is first made connecting the lateral orbital rims, and perpendicular lines extend to the posterior corneal surfaces. (B) Coronal CT demonstrating right orbital floor fracture which resulted in enophthalmos.
Figure 5. (A) CT exophthalmometry. A horizontal line is first made connecting the lateral orbital rims, and perpendicular lines extend to the posterior corneal surfaces. (B) Coronal CT demonstrating right orbital floor fracture which resulted in enophthalmos.
Cmtr 17 00085 g005
Figure 6. Photo of a pilot two years after his trauma who sustained a significant right orbital floor fracture, who was followed conservatively without surgery.
Figure 6. Photo of a pilot two years after his trauma who sustained a significant right orbital floor fracture, who was followed conservatively without surgery.
Cmtr 17 00085 g006
Figure 7. (A) Coronal CT of the orbit of the pilot demonstrating a large right orbital floor fracture with a significant rounding of the inferior rectus muscle. (B) Oblique para-sagittal CT of the orbit of the pilot demonstrating a large right orbital floor fracture.
Figure 7. (A) Coronal CT of the orbit of the pilot demonstrating a large right orbital floor fracture with a significant rounding of the inferior rectus muscle. (B) Oblique para-sagittal CT of the orbit of the pilot demonstrating a large right orbital floor fracture.
Cmtr 17 00085 g007
Table 1. Mean values and ranges of eye protrusion measured with Hertel exophthalmometer. Note: p < 0.001 for mean value white men compared to black men, and white women compared to black women. Adapted from Migliori, M. 1984. Am J Ophthalmol. 98(4).
Table 1. Mean values and ranges of eye protrusion measured with Hertel exophthalmometer. Note: p < 0.001 for mean value white men compared to black men, and white women compared to black women. Adapted from Migliori, M. 1984. Am J Ophthalmol. 98(4).
Men Women
Values (mm)White BlackWhite Black
Mean value (±1S.D.)
    Right eye16.55 ± 2.57 18.56 ± 3.0815.46 ± 2.34 17.90 ± 2.61
    Left eye16.47 ± 2.60 18.41 ± 3.0815.36 ± 2.33 17.73 ± 2.53
    Range (mean ± 2 S.D.)11.31 to 21.71 12.30 to 24.6510.74 to 20.8 12.60 to 23.04

Share and Cite

MDPI and ACS Style

Mayo, J.; Schubert, W. Enophthalmos: Historical Perspective on Definitions, Measurement Devices, and Clinical Significance. Craniomaxillofac. Trauma Reconstr. 2024, 17, 324-330. https://doi.org/10.1177/19433875241236343

AMA Style

Mayo J, Schubert W. Enophthalmos: Historical Perspective on Definitions, Measurement Devices, and Clinical Significance. Craniomaxillofacial Trauma & Reconstruction. 2024; 17(4):324-330. https://doi.org/10.1177/19433875241236343

Chicago/Turabian Style

Mayo, John, and Warren Schubert. 2024. "Enophthalmos: Historical Perspective on Definitions, Measurement Devices, and Clinical Significance" Craniomaxillofacial Trauma & Reconstruction 17, no. 4: 324-330. https://doi.org/10.1177/19433875241236343

APA Style

Mayo, J., & Schubert, W. (2024). Enophthalmos: Historical Perspective on Definitions, Measurement Devices, and Clinical Significance. Craniomaxillofacial Trauma & Reconstruction, 17(4), 324-330. https://doi.org/10.1177/19433875241236343

Article Metrics

Back to TopTop