Can Deep Learning-Based Auto-Contouring Software Achieve Accurate Pelvic Volume Delineation in Volumetric Image-Guided Radiotherapy for Prostate Cancer? A Preliminary Multicentric Analysis
Abstract
1. Introduction
- Lesion and OAR contouring, with data derived from fusions of multimodal imaging: The accuracy of auto-segmentation is higher for structures that have a high contrast against their surrounding tissues (lung, eye, bladder), while it is lower in the case of OARs with small volumes and fuzzy boundaries (optic chiasma). In clinical practice, manual checking is necessary, with a consideration of the different reference guidelines of different institutions.
- Treatment Planning: AI can help in augmenting dose map prediction (Dose Volume Histograms (DVHs) and voxel-based dose prediction) and in supervising and guiding the optimization process, which usually requires sequential modifications of parameters such as target coverage, OAR constraints and their priorities, selecting the ones that need an update and also allowing for procedures of replanning and adaptive RT to be completed more quickly.
- Patient- and machine-specific quality assurance: The purpose of this is to ensure consistency between the medical prescription and its delivery, reducing the workload involved in measuring and analyzing doses using a phantom and in the assessment of the performances of all devices involved in RT. AI algorithms can also help in relating the spatial dose to RT outcomes, consenting prognosis predictions and prediction of the risk of side effects.
2. Materials and Methods
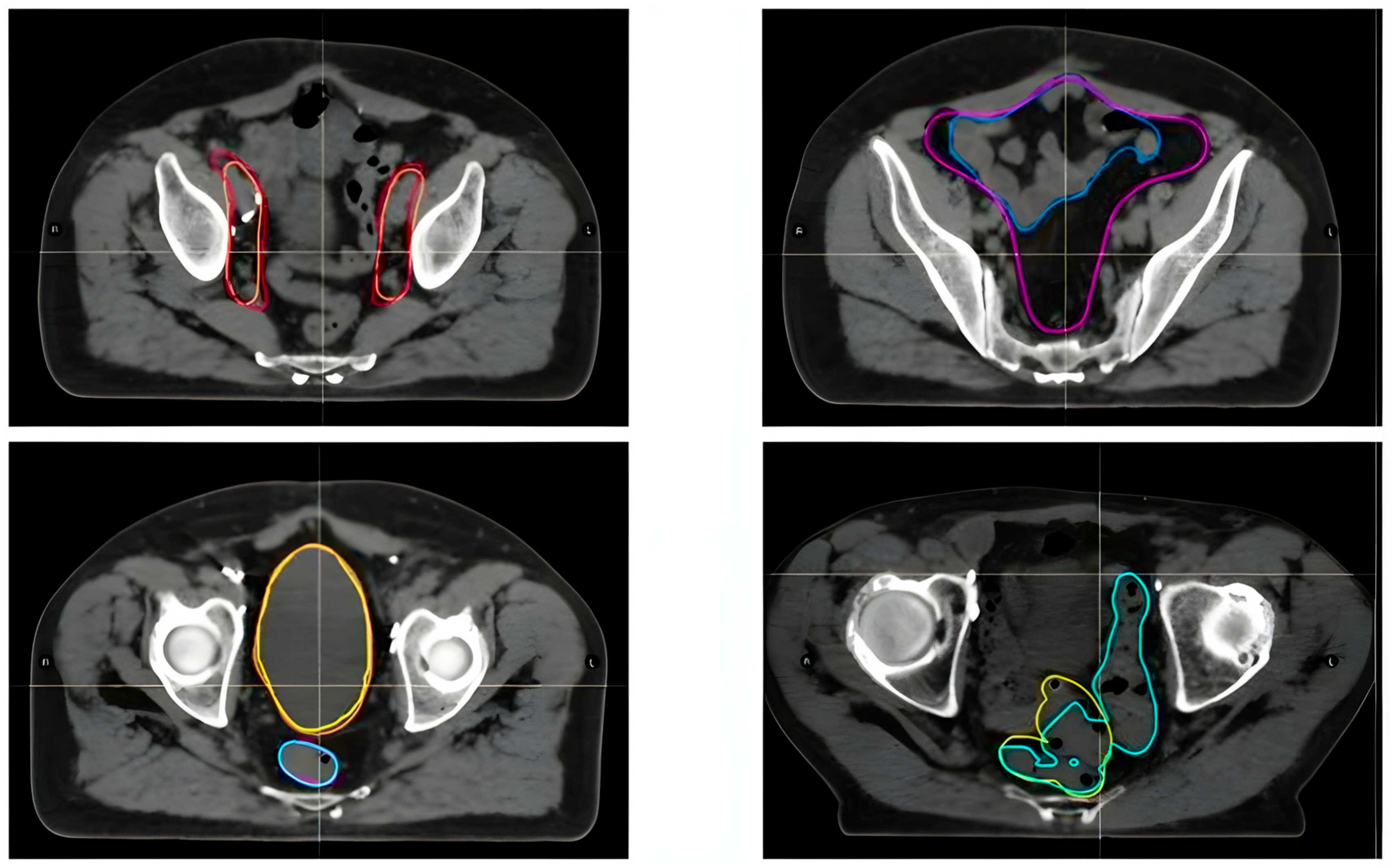
2.1. Software Description
2.2. Contouring Process and Data Analysis
- Volume: The absolute volume of each ROI expressed in cubic centimeters (cc).
- Dice Coefficient (DC): A measure of conformity, reflecting the spatial overlap between two delineated volumes. A value of 1 indicates perfect overlap.
- Precision: The proportion of voxels identified by Limbus that truly belong to the OAR, reflecting the accuracy of inclusion. A value of 1 indicates only true positives (with no irrelevant structures included).
- Sensitivity: The proportion of voxels in the true OAR that are correctly identified by Limbus, reflecting the completeness of delineation. A value of 1 indicates all true positives (no missed voxels).
- Specificity: The proportion of voxels outside the true OAR that are correctly excluded by Limbus, reflecting the ability to avoid irrelevant structures. A value of 1 indicates only true negatives (with no false positives included).
- Mean Distance to Agreement (Mean DA): The average distance between the surfaces of structures identified in both delineations and those identified by only one delineation. A value of 0 indicates perfect agreement in surface location.
- Maximum Distance to Agreement (Max DA): The largest distance between any corresponding surface points in the two delineations. A value of 0 indicates perfect spatial overlap.
3. Results
4. Discussion
5. Conclusions
Author Contributions
Funding
Institutional Review Board Statement
Informed Consent Statement
Data Availability Statement
Conflicts of Interest
Abbreviations
| RT | Radiotherapy |
| PC | Prostate Cancer |
| OARs | Organs at risk |
| LC | Limbus contour |
| RP | Radical Prostatectomy |
| BCR | Biochemical Recurrence |
| ART | Adjuvant Radiotherapy |
| GS | Gleason Score |
| SRT | Salvage Radiotherapy |
| PNRT | Pelvic Nodal Radiotherapy |
| ENRT | Elective Nodal Radiotherapy |
| CT | Computed Tomography |
| CTV | Clinical target volume |
| AI | Artificial Intelligence |
| DVHs | Dose Volume Histograms |
| CNNs | Convolutional Neural Networks |
| XAI | Explainable AI |
| UQ | Uncertainty Quantification |
| FCNs | Fully Convolutional Networks |
| DCs | Deep Learning-Based Auto-Segmented Contours |
| CNS | Central Nervous System |
| H&N | Head and Neck |
| VMAT-IGRT | Volumetric Modulated Arc Therapy-Image Guided Radiotherapy |
| TPS | Treatment Planning System |
| ROIs | Regions Of Interest |
| cc | Cubic Centimeters |
| DC | Dice Coefficient |
| DA | Distance to Agreement |
| vDSC | Volumetric Dice Similarity Coefficient |
| SBRT | Stereotactic Body Radiation Therapy |
| DEEP | Deep learning auto contour |
References
- Siegel, R.L.; Miller, K.D.; Jemal, A. Cancer statistics, 2016. CA Cancer J. Clin. 2016, 66, 7–30. [Google Scholar] [CrossRef] [PubMed]
- Ferlay, J.; Steliarova-Foucher, E.; Lortet-Tieulent, J.; Rosso, S.; Coebergh, J.W.W.; Comber, H.; Forman, D.; Bray, F. Cancer incidence and mortality patterns in Europe: Estimates for 40 countries in 2012. Eur. J. Cancer 2013, 49, 1374–1403. [Google Scholar] [CrossRef]
- Arnold, M.; Karim-Kos, H.E.; Coebergh, J.W.; Byrnes, G.; Antilla, A.; Ferlay, J.; Renehan, A.G.; Forman, D.; Soerjomataram, I. Recent trends in incidence of five common cancers in 26 European countries since 1988: Analysis of the European Cancer Observatory. Eur. J. Cancer 2013, 51, 1164–1187. [Google Scholar] [CrossRef]
- AIOM. I Numeri del Cancro in Italia. Available online: https://www.aiom.it/i-numeri-del-cancro-in-italia/ (accessed on 11 May 2025).
- Greco, C.; Vazirani, A.A.; Pares, O.; Pimentel, N.; Louro, V.; Morales, J.; Nunes, B.; Vasconcelos, A.L.; Antunes, I.; Kociolek, J.; et al. The evolving role of external beam radiotherapy in localized prostate cancer. Semin. Oncol. 2019, 46, 246–253. [Google Scholar] [CrossRef] [PubMed]
- Pollack, A.; Zagars, G.K. External beam radiotherapy dose response of prostate cancer. Int. J. Radiat. Oncol. Biol. Phys. 1997, 39, 1011–1018. [Google Scholar] [CrossRef]
- Zelefsky, M.; Leibel, S.; Gaudin, P.; Kutcher, G.; Fleshner, N.; Venkatramen, E.S.; Reuter, V.; Fair, W.; Ling, C.C.; Fuks, Z. Dose escalation with three-dimensional conformal radiation therapy affects the outcome in prostate cancer. Int. J. Radiat. Oncol. Biol. Phys. 1998, 41, 491–500. [Google Scholar] [CrossRef] [PubMed]
- Kuban, D.A.; Tucker, S.L.; Dong, L.; Starkschall, G.; Huang, E.H.; Cheung, M.R.; Lee, A.K.; Pollack, A. Long-Term Results of the M. D. Anderson Randomized Dose-Escalation Trial for Prostate Cancer. Int. J. Radiat. Oncol. Biol. Phys. 2007, 70, 67–74. [Google Scholar] [CrossRef]
- Pasalic, D.; Kuban, D.A.; Allen, P.K.; Tang, C.; Mesko, S.M.; Grant, S.R.; Augustyn, A.A.; Frank, S.J.; Choi, S.; Hoffman, K.E.; et al. Dose Escalation for Prostate Adenocarcinoma: A Long-Term Update on the Outcomes of a Phase 3, Single Institution Randomized Clinical Trial. Int. J. Radiat. Oncol. Biol. Phys. 2019, 104, 790–797. [Google Scholar] [CrossRef]
- Spratt, D.E.; Pei, X.; Yamada, J.; Kollmeier, M.A.; Cox, B.; Zelefsky, M.J. Long-term Survival and Toxicity in Patients Treated with High-Dose Intensity Modulated Radiation Therapy for Localized Prostate Cancer. Int. J. Radiat. Oncol. Biol. Phys. 2012, 85, 686–692. [Google Scholar] [CrossRef]
- Heemsbergen, W.D.; Al-Mamgani, A.; Slot, A.; Dielwart, M.F.H.; Lebesque, J.V. Long-term results of the Dutch randomized prostate cancer trial: Impact of dose-escalation on local, biochemical, clinical failure, and survival. Radiother. Oncol. 2013, 110, 104–109. [Google Scholar] [CrossRef]
- Dearnaley, D.P.; Jovic, G.; Syndikus, I.; Khoo, V.; Cowan, R.A.; Graham, J.D.; Aird, E.G.; Bottomley, D.; Huddart, R.A.; Jose, C.C.; et al. Escalated-dose versus control-dose conformal radiotherapy for prostate cancer: Long-term results from the MRC RT01 randomised controlled trial. Lancet Oncol. 2014, 15, 464–473. [Google Scholar] [CrossRef] [PubMed]
- Van Den Broeck, T.; Van Den Bergh, R.C.N.; Briers, E.; Cornford, P.; Cumberbatch, M.; Tilki, D.; De Santis, M.; Fanti, S.; Fossati, N.; Gillessen, S.; et al. Biochemical Recurrence in Prostate Cancer: The European Association of Urology Prostate Cancer Guidelines Panel Recommendations. Eur. Urol. Focus 2019, 6, 231–234. [Google Scholar] [CrossRef]
- Freedland, S.J.; Humphreys, E.B.; Mangold, L.A.; Eisenberger, M.; Dorey, F.J.; Walsh, P.C.; Partin, A.W. Death in Patients with Recurrent Prostate Cancer After Radical Prostatectomy: Prostate-Specific Antigen Doubling Time Subgroups and Their Associated Contributions to All-Cause Mortality. J. Clin. Oncol. 2007, 25, 1765–1771. [Google Scholar] [CrossRef]
- Bolla, M.; Van Poppel, H.; Tombal, B.; Vekemans, K.; Da Pozzo, L.; De Reijke, T.M.; Verbaeys, A.; Bosset, J.-F.; Van Velthoven, R.; Colombel, M.; et al. Postoperative radiotherapy after radical prostatectomy for high-risk prostate cancer: Long-term results of a randomised controlled trial (EORTC trial 22911). Lancet 2012, 380, 2018–2027. [Google Scholar] [CrossRef]
- Zimmermann, M.; Taussky, D.; Delouya, G.; Alenizi, A.M.; Zorn, K.C. Radiation therapy after radical prostatectomy: A single-centre radiation oncology experience in trends of referral and treatment practices. Can. Urol. Assoc. J. 2015, 9, 608. [Google Scholar] [CrossRef] [PubMed]
- Wiegel, T.; Bottke, D.; Steiner, U.; Siegmann, A.; Golz, R.; Störkel, S.; Willich, N.; Semjonow, A.; Souchon, R.; Stöckle, M.; et al. Phase III Postoperative Adjuvant Radiotherapy After Radical Prostatectomy Compared with Radical Prostatectomy Alone in pT3 Prostate Cancer with Postoperative Undetectable Prostate-Specific Antigen: ARO 96-02/AUO AP 09/95. J. Clin. Oncol. 2009, 27, 2924–2930. [Google Scholar] [CrossRef] [PubMed]
- Tilki, D.; Chen, M.-H.; Wu, J.; Huland, H.; Graefen, M.; Wiegel, T.; Böhmer, D.; Mohamad, O.; Cowan, J.E.; Feng, F.Y.; et al. Adjuvant Versus Early Salvage Radiation Therapy for Men at High Risk for Recurrence Following Radical Prostatectomy for Prostate Cancer and the Risk of Death. J. Clin. Oncol. 2021, 39, 2284–2293. [Google Scholar] [CrossRef] [PubMed]
- Vale, C.L.; Fisher, D.; Kneebone, A.; Parker, C.; Pearse, M.; Richaud, P.; Sargos, P.; Sydes, M.R.; Brawley, C.; Brihoum, M.; et al. Adjuvant or early salvage radiotherapy for the treatment of localised and locally advanced prostate cancer: A prospectively planned systematic review and meta-analysis of aggregate data. Lancet 2020, 396, 1422–1431. [Google Scholar] [CrossRef]
- Parker, C.; Sydes, M.R.; Catton, C.; Kynaston, H.; Logue, J.; Murphy, C.; Morgan, R.C.; Mellon, K.; Morash, C.; Parulekar, W.; et al. Radiotherapy and androgen deprivation in combination after local surgery (RADICALS): A new Medical Research Council/National Cancer Institute of Canada phase III trial of adjuvant treatment after radical prostatectomy. BJU Int. 2007, 99, 1376–1379. [Google Scholar] [CrossRef]
- Pearse, M.; Fraser-Browne, C.; Davis, I.D.; Duchesne, G.M.; Fisher, R.; Frydenberg, M.; Haworth, A.; Jose, C.; Joseph, D.J.; Lim, T.S.; et al. A Phase III trial to investigate the timing of radiotherapy for prostate cancer with high-risk features: Background and rationale of the Radiotherapy—Adjuvant Versus Early Salvage (RAVES) trial. BJU Int. 2014, 113, 7–12. [Google Scholar] [CrossRef]
- Sargos, P.; Chabaud, S.; Latorzeff, I.; Magné, N.; Benyoucef, A.; Supiot, S.; Pasquier, D.; Abdiche, M.S.; Gilliot, O.; Graff-Cailleaud, P.; et al. Adjuvant radiotherapy versus early salvage radiotherapy plus short-term androgen deprivation therapy in men with localised prostate cancer after radical prostatectomy (GETUG-AFU 17): A randomised, phase 3 trial. Lancet Oncol. 2020, 21, 1341–1352. [Google Scholar] [CrossRef]
- Pollack, A.; Karrison, T.G.; Balogh, A.G.; Gomella, L.G.; Low, D.A.; Bruner, D.W.; Wefel, J.S.; Martin, A.-G.; Michalski, J.M.; Angyalfi, S.J.; et al. The addition of androgen deprivation therapy and pelvic lymph node treatment to prostate bed salvage radiotherapy (NRG Oncology/RTOG 0534 SPPORT): An international, multicentre, randomised phase 3 trial. Lancet 2022, 399, 1886–1901. [Google Scholar] [CrossRef] [PubMed]
- Wong, J.; Fong, A.; McVicar, N.; Smith, S.; Giambattista, J.; Wells, D.; Kolbeck, C.; Giambattista, J.; Gondara, L.; Alexander, A. Comparing deep learning-based auto-segmentation of organs at risk and clinical target volumes to expert inter-observer variability in radiotherapy planning. Radiother. Oncol. 2019, 144, 152–158. [Google Scholar] [CrossRef] [PubMed]
- Schipaanboord, B.; Boukerroui, D.; Peressutti, D.; Van Soest, J.; Lustberg, T.; Dekker, A.; Van Elmpt, W.; Gooding, M.J. An Evaluation of Atlas Selection Methods for Atlas-Based Automatic Segmentation in Radiotherapy Treatment Planning. IEEE Trans. Med. Imaging 2019, 38, 2654–2664. [Google Scholar] [CrossRef] [PubMed]
- Wong, J.; Huang, V.; Wells, D.; Giambattista, J.; Giambattista, J.; Kolbeck, C.; Otto, K.; Saibishkumar, E.P.; Alexander, A. Implementation of deep learning-based auto-segmentation for radiotherapy planning structures: A workflow study at two cancer centers. Radiat. Oncol. 2021, 16, 101. [Google Scholar] [CrossRef]
- Shan, G.; Yu, S.; Lai, Z.; Xuan, Z.; Zhang, J.; Wang, B.; Ge, Y. A Review of Artificial Intelligence Application for Radiotherapy. Dose-Response 2024, 22, 3687. [Google Scholar] [CrossRef]
- Karako, K.; Tang, W. Applications of and issues with machine learning in medicine: Bridging the gap with explainable AI. Biosci. Trends 2024, 18, 497–504. [Google Scholar] [CrossRef]
- Wahid, K.A.; Wahida, B.; Kaffey, Z.Y.; Farris, D.P.; Humbert-Vidan, L.; Moreno, A.C.; Rasmussend, M.; Rend, J.; Naserb, M.A.; Nethertone, T.J.; et al. Artificial Intelligence Uncertainty Quantification in Radiotherapy Applications—A Scoping Review. Radiother. Oncol. 2024, 201, 110542. [Google Scholar] [CrossRef]
- Nikolov, S.; Blackwell, S.; Zverovitch, A.; Mendes, R.; Livne, M.; De Fauw, J.; Patel, Y.; Meyer, C.; Askham, H.; Romera-Paredes, B.; et al. Clinically Applicable Segmentation of Head and Neck Anatomy for Radiotherapy: Deep Learning Algorithm Development and Validation Study. J. Med. Internet Res. 2021, 23, e26151. [Google Scholar] [CrossRef]
- Cha, E.; Elguindi, S.; Onochie, I.; Gorovets, D.; Deasy, J.O.; Zelefsky, M.; Gillespie, E.F. Clinical implementation of deep learning contour autosegmentation for prostate radiotherapy. Radiother. Oncol. 2021, 159, 1–7. [Google Scholar] [CrossRef]
- Brouwer, C.L.; Dinkla, A.M.; Vandewinckele, L.; Crijns, W.; Claessens, M.; Verellen, D.; Van Elmpt, W. Machine learning applications in radiation oncology: Current use and needs to support clinical implementation. Phys. Imaging Radiat. Oncol. 2020, 16, 144–148. [Google Scholar] [CrossRef] [PubMed]
- Jiang, J.; Hu, Y.-C.; Liu, C.-J.; Halpenny, D.; Hellmann, M.D.; Deasy, J.O.; Mageras, G.; Veeraraghavan, H. Multiple Resolution Residually Connected Feature Streams for Automatic Lung Tumor Segmentation from CT Images. IEEE Trans. Med. Imaging 2018, 38, 134–144. [Google Scholar] [CrossRef] [PubMed]
- Vandewinckele, L.; Claessens, M.; Dinkla, A.; Brouwer, C.; Crijns, W.; Verellen, D.; Van Elmpt, W. Overview of artificial intelligence-based applications in radiotherapy: Recommendations for implementation and quality assurance. Radiother. Oncol. 2020, 153, 55–66. [Google Scholar] [CrossRef] [PubMed]
- Savenije, M.H.F.; Maspero, M.; Sikkes, G.G.; van der Voort van Zyp, J.R.N.; Kotte, A.N.; Bol, G.H.; T van den Berg, C.A. Clinical implementation of MRI-based organs-at-risk autosegmentation with convolutional networks for prostate radiotherapy. Radiat. Oncol. 2020, 15, 104. [Google Scholar] [CrossRef] [PubMed]
- Erdur, A.C.; Rusche, D.; Scholz, D.; Kiechle, J.; Fischer, S.; Llorián-Salvador, Ó.; Buchner, J.A.; Nguyen, M.Q.; Etzel, L.; Weidner, J.; et al. Deep learning for autosegmentation for radiotherapy treatment planning: State-of-the-art and novel perspectives. Strahlenther. Onkol. 2025, 201, 236–254. [Google Scholar] [CrossRef]
- Radici, L.; Ferrario, S.; Borca, V.C.; Cante, D.; Paolini, M.; Piva, C.; Baratto, L.; Franco, P.; La Porta, M.R. Implementation of a Commercial Deep Learning-Based Auto Segmentation Software in Radiotherapy: Evaluation of Effectiveness and Impact on Workflow. Life 2022, 12, 2088. [Google Scholar] [CrossRef]
- Bibault, J.-E.; Giraud, P.; Burgun, A. Big Data and machine learning in radiation oncology: State of the art and future prospects. Cancer Lett. 2016, 382, 110–117. [Google Scholar] [CrossRef]
- Watkins, W.T.; Qing, K.; Han, C.; Hui, S.; Liu, A. Auto-segmentation for total marrow irradiation. Front. Oncol. 2022, 12, 970425. [Google Scholar] [CrossRef]
- Ma, C.Y.; Zhou, J.Y.; Xu, X.T.; Guo, J.; Han, M.F.; Gao, Y.Z.; Du, H.; Stahl, J.N.; Maltz, J.S. Deep learning-based auto-segmentation of clinical target volumes for radiotherapy treatment of cervical cancer. J. Appl. Clin. Med. Phys. 2022, 23, e13470. [Google Scholar] [CrossRef]
- Qiu, W.; Zhang, W.; Ma, X.; Kong, Y.; Shi, P.; Fu, M.; Wang, D.; Hu, M.; Zhou, X.; Dong, Q.; et al. Auto-segmentation of important centers of growth in the pediatric skeleton to consider during radiation therapy based on deep learning. Med. Phys. 2023, 50, 284–296. [Google Scholar] [CrossRef]
- Shanbhag, N.M.; Bin Sumaida, A.; Binz, T.; Hasnain, S.M.; El-Koha, O.; Al Kaabi, K.; Saleh, M.; Al Qawasmeh, K.; Balaraj, K. Integrating Artificial Intelligence into Radiation Oncology: Can Humans Spot AI? Cureus 2023, 15, e50486. [Google Scholar] [CrossRef] [PubMed]
- Lustberg, T.; Van Soest, J.; Gooding, M.; Peressutti, D.; Aljabar, P.; Van Der Stoep, J.; Van Elmpt, W.; Dekker, A. Clinical evaluation of atlas and deep learning based automatic contouring for lung cancer. Radiother. Oncol. 2017, 126, 312–317. [Google Scholar] [CrossRef] [PubMed]
- Cao, H.; Liu, H.; Song, E.; Hung, C.-C.; Ma, G.; Xu, X.; Jin, R.; Lu, J. Dual-branch residual network for lung nodule segmentation. Appl. Soft Comput. 2019, 86, 105934. [Google Scholar] [CrossRef]
- Ning, Y.; Teixayavong, S.; Shang, Y.; Savulescu, J.; Nagaraj, V.; Miao, D.; Mertens, M.; Ting, D.S.W.; Ong, J.C.L.; Liu, M.; et al. Generative artificial intelligence and ethical considerations in health care: A scoping review and ethics checklist. Lancet Digit. Health 2024, 6, e848–e856. [Google Scholar] [CrossRef]
- Automatic Contouring for Radiation Therapy. Available online: https://limbus.ai/ (accessed on 17 April 2024).
- Hoque, S.M.H.; Pirrone, G.; Matrone, F.; Donofrio, A.; Fanetti, G.; Caroli, A.; Rista, R.S.; Bortolus, R.; Avanzo, M.; Drigo, A.; et al. Clinical Use of a Commercial Artificial Intelligence-Based Software for Autocontouring in Radiation Therapy: Geometric Performance and Dosimetric Impact. Cancers 2023, 15, 5735. [Google Scholar] [CrossRef]
- Wang, J.; Lu, J.; Qin, G.; Shen, L.; Sun, Y.; Ying, H.; Zhang, Z.; Hu, W. Technical Note: A deep learning-based autosegmentation of rectal tumors in MR images. Med. Phys. 2018, 45, 2560–2564. [Google Scholar] [CrossRef]
- Ronneberger, O.; Fischer, P.; Brox, T. U-Net: Convolutional Networks for Biomedical Image Segmentation. In Dans Lecture Notes in Computer Science; Springer: Berlin/Heidelberg, Germany, 2015; pp. 234–241. [Google Scholar] [CrossRef]
- Clark, K.; Vendt, B.; Smith, K.; Freymann, J.; Kirby, J.; Koppel, P.; Moore, S.; Phillips, S.; Maffitt, D.; Pringle, M.; et al. The Cancer Imaging Archive (TCIA): Maintaining and Operating a Public Information Repository. J. Digit. Imaging 2013, 26, 1045–1057. [Google Scholar] [CrossRef]
- Zuley, M.L.; Jarosz, R.; Kirk, S.; Lee, Y.; Colen, R.; Garcia, K.; Delbeke, D.; Pham, M.; Nagy, P.; Sevinc, G.; et al. The Cancer Genome Atlas Head-Neck Squamous Cell Carcinoma Collection (TCGA-HNSC) (Version 6) [Data set]. In The Cancer Imaging Archive; University of Arkansas for Medical Sciences: Little Rock, AR, USA, 2023. [Google Scholar] [CrossRef]
- Zuley, M.L.; Jarosz, R.; Drake, B.F.; Rancilio, D.; Klim, A.; Rieger-Christ, K.; Lemmerman, J. The Cancer Genome Atlas Prostate Adenocarcinoma Collection (TCGA-PRAD) (Version 4) [Data set]. In The Cancer Imaging Archive; University of Arkansas for Medical Sciences: Little Rock, AR, USA, 2016. [Google Scholar] [CrossRef]
- Rezaei, M.; Mohammadbeigi, A.; Khoshgard, K.; Haghparast, A. CT images and radiotherapy treatment planning of patients with breast cancer: A dataset. Data Brief 2017, 13, 390–395. [Google Scholar] [CrossRef] [PubMed]
- Brouwer, C.L.; Steenbakkers, R.J.; Van Den Heuvel, E.; Duppen, J.C.; Navran, A.; Bijl, H.P.; Chouvalova, O.; Burlage, F.R.; Meertens, H.; Langendijk, J.A.; et al. 3D Variation in delineation of head and neck organs at risk. Radiat. Oncol. 2012, 7, 32. [Google Scholar] [CrossRef]
- Grégoire, V.; Ang, K.; Budach, W.; Grau, C.; Hamoir, M.; Langendijk, J.A.; Lee, A.; Le, Q.-T.; Maingon, P.; Nutting, C.; et al. Delineation of the neck node levels for head and neck tumors: A 2013 update. DAHANCA, EORTC, HKNPCSG, NCIC CTG, NCRI, RTOG, TROG consensus guidelines. Radiother. Oncol. 2013, 110, 172–181. [Google Scholar] [CrossRef]
- Sun, Y.; Yu, X.-L.; Luo, W.; Lee, A.W.M.; Wee, J.T.S.; Lee, N.; Zhou, G.-Q.; Tang, L.-L.; Tao, C.-J.; Guo, R.; et al. Recommendation for a contouring method and atlas of organs at risk in nasopharyngeal carcinoma patients receiving intensity-modulated radiotherapy. Radiother. Oncol. 2014, 110, 390–397. [Google Scholar] [CrossRef]
- Gay, H.A.; Barthold, H.J.; O’Meara, E.; Bosch, W.R.; Naqa, I.E.; Al-Lozi, R.; Rosenthal, S.A.; Lawton, C.; Lee, W.R.; Sandler, H.; et al. Pelvic Normal Tissue Contouring Guidelines for Radiation Therapy: A Radiation Therapy Oncology Group Consensus Panel Atlas. Int. J. Radiat. Oncol. Biol. Phys. 2012, 83, e353–e362. [Google Scholar] [CrossRef] [PubMed]
- Brouwer, C.L.; Steenbakkers, R.J.H.M.; Bourhis, J.; Budach, W.; Grau, C.; Grégoire, V.; Van Herk, M.; Lee, A.; Maingon, P.; Nutting, C.; et al. CT-based delineation of organs at risk in the head and neck region: DAHANCA, EORTC, GORTEC, HKNPCSG, NCIC CTG, NCRI, NRG Oncology and TROG consensus guidelines. Radiother. Oncol. 2015, 117, 83–90. [Google Scholar] [CrossRef]
- Abadi, M.; Agarwal, A.; Barham, P.; Brevdo, E.; Chen, Z.; Citro, C.; Corrado, G.S.; Davis, A.; Dean, J.; Devin, M.; et al. TensorFlow: Large-Scale Machine Learning on Heterogeneous Distributed Systems. arXiv 2016, arXiv:1603.04467. [Google Scholar] [CrossRef]
- Zabel, W.J.; Conway, J.L.; Gladwish, A.; Skliarenko, J.; Didiodato, G.; Goorts-Matthews, L.; Michalak, A.; Reistetter, S.; King, J.; Nakonechny, K.; et al. Clinical Evaluation of Deep Learning and Atlas-Based Auto-Contouring of Bladder and Rectum for Prostate Radiation Therapy. Pract. Radiat. Oncol. 2021, 11, e80–e89. [Google Scholar] [CrossRef] [PubMed]
- Gambacorta, M.A.; Chiloiro, G.; Valentini, V. Should We Tailor the Delineation of Pelvic Structures According to Tumor Presentation? In Dans Springer eBooks; Springer: Berlin/Heidelberg, Germany, 2018; pp. 165–179. [Google Scholar] [CrossRef]
- Van Dijk, L.V.; Van Den Bosch, L.; Aljabar, P.; Peressutti, D.; Both, S.; Steenbakkers, R.J.; Langendijk, J.A.; Gooding, M.J.; Brouwer, C.L. Improving automatic delineation for head and neck organs at risk by Deep Learning Contouring. Radiother. Oncol. 2019, 142, 115–123. [Google Scholar] [CrossRef] [PubMed]
- Oktay, O.; Nanavati, J.; Schwaighofer, A.; Carter, D.; Bristow, M.; Tanno, R.; Jena, R.; Barnett, G.; Noble, D.; Rimmer, Y.; et al. Evaluation of Deep Learning to Augment Image-Guided Radiotherapy for Head and Neck and Prostate Cancers. JAMA Netw. Open 2020, 3, e2027426. [Google Scholar] [CrossRef]
- Kim, Y.W.; Biggs, S.; Mackonis, E.C. Investigation on performance of multiple AI-based auto-contouring systems in organs at risks (OARs) delineation. Phys. Eng. Sci. Med. 2024, 47, 1123–1140. [Google Scholar] [CrossRef]
- Wong, W.K.; Leung, L.H.; Kwong, D.L. Evaluation and optimization of the parameters used in multiple-atlas-based segmentation of prostate cancers in radiation therapy. Br. J. Radiol. 2016, 89, 20140732. [Google Scholar] [CrossRef]
- Doolan, P.J.; Charalambous, S.; Roussakis, Y.; Leczynski, A.; Peratikou, M.; Benjamin, M.; Ferentinos, K.; Strouthos, I.; Zamboglou, C.; Karagiannis, E. A clinical evaluation of the performance of five commercial artificial intelligence contouring systems for radiotherapy. Front. Oncol. 2023, 13, 1213068. [Google Scholar] [CrossRef]
- Fan, M.; Wang, T.; Lei, Y.; Patel, P.R.; Dresser, S.; Ghavidel, B.B.; Qiu, R.L.J.; Zhou, J.; Luca, K.; Kayode, O.; et al. Evaluation and failure analysis of four commercial deep learning-based autosegmentation software for abdominal organs at risk. J. Appl. Clin. Med. Phys. 2025, 26, e70010. [Google Scholar] [CrossRef] [PubMed]



| CTV | Bowel | Bladder | Rectum | Sigmoid | |
|---|---|---|---|---|---|
| Diff. Vol (cc) | −56.82 (−205.96; 185.94) | −417.25 (−1500.57; 5168) | −0.09 (−22.27; 14.58) | 3.05 (−18.91; 23.73) | −13.68 (−198.91; 82.34) |
| Dice | 0.73 (0.53; 0.84) | 0.62 (0.36; 1) | 0.97 (0.77; 1) | 0.87 (0.57; 1) | 0.60 (0.2; 1) |
| Precision | 0.58 (0.36; 0.73) | 0.45 (0.22; 1) | 0.94 (0.63; 1) | 0.76 (0.4; 1) | 0.44 (0.11; 1) |
| Sensitivity | 0.79 (0.57; 0.97) | 0.65 (0.24; 1) | 0.97 (0.76; 1) | 0.86 (0.61; 1) | 0.85 (0.22; 1) |
| Specificity | 0.65 (−0.2; 0.96) | 0.83 (−1.08; 1) | 0.98 (0.72; 1) | 0.91 (0.09; 1) | 0.41 (−6.93; 1) |
| Mean DA | 0.39 (0.18; 0.97) | 1.2 (0.01; 3.98) | 0.07 (0; 0.35) | 0.15 (0; 1) | 0.73 (0; 3.43) |
| Max DA | 3.25 (1.76; 6.65) | 8.39 (0.02; 16.51) | 0.66 (0.01; 2.26) | 1.3 (0.01; 5.52) | 5.44 (0.01; 17.09) |
Disclaimer/Publisher’s Note: The statements, opinions and data contained in all publications are solely those of the individual author(s) and contributor(s) and not of MDPI and/or the editor(s). MDPI and/or the editor(s) disclaim responsibility for any injury to people or property resulting from any ideas, methods, instructions or products referred to in the content. |
© 2025 by the authors. Licensee MDPI, Basel, Switzerland. This article is an open access article distributed under the terms and conditions of the Creative Commons Attribution (CC BY) license (https://creativecommons.org/licenses/by/4.0/).
Share and Cite
Grossi, C.; Munoz, F.; Bonavero, I.; Ngassam, E.J.T.; Garibaldi, E.; Airaldi, C.; Celia, E.; Nassisi, D.; Brignoli, A.; Trino, E.; et al. Can Deep Learning-Based Auto-Contouring Software Achieve Accurate Pelvic Volume Delineation in Volumetric Image-Guided Radiotherapy for Prostate Cancer? A Preliminary Multicentric Analysis. Curr. Oncol. 2025, 32, 321. https://doi.org/10.3390/curroncol32060321
Grossi C, Munoz F, Bonavero I, Ngassam EJT, Garibaldi E, Airaldi C, Celia E, Nassisi D, Brignoli A, Trino E, et al. Can Deep Learning-Based Auto-Contouring Software Achieve Accurate Pelvic Volume Delineation in Volumetric Image-Guided Radiotherapy for Prostate Cancer? A Preliminary Multicentric Analysis. Current Oncology. 2025; 32(6):321. https://doi.org/10.3390/curroncol32060321
Chicago/Turabian StyleGrossi, Cristiano, Fernando Munoz, Ilaria Bonavero, Eulalie Joelle Tondji Ngassam, Elisabetta Garibaldi, Claudia Airaldi, Elena Celia, Daniela Nassisi, Andrea Brignoli, Elisabetta Trino, and et al. 2025. "Can Deep Learning-Based Auto-Contouring Software Achieve Accurate Pelvic Volume Delineation in Volumetric Image-Guided Radiotherapy for Prostate Cancer? A Preliminary Multicentric Analysis" Current Oncology 32, no. 6: 321. https://doi.org/10.3390/curroncol32060321
APA StyleGrossi, C., Munoz, F., Bonavero, I., Ngassam, E. J. T., Garibaldi, E., Airaldi, C., Celia, E., Nassisi, D., Brignoli, A., Trino, E., Bianco, L., Leardi, S., Bongiovanni, D., Valero, C., & Redda, M. G. R. (2025). Can Deep Learning-Based Auto-Contouring Software Achieve Accurate Pelvic Volume Delineation in Volumetric Image-Guided Radiotherapy for Prostate Cancer? A Preliminary Multicentric Analysis. Current Oncology, 32(6), 321. https://doi.org/10.3390/curroncol32060321

